Encephalomyocarditis Virus 2A Protein Inhibited Apoptosis by Interaction with Annexin A2 through JNK/c-Jun Pathway
Abstract
:1. Introduction
2. Methods
2.1. Cells, Plasmids and Viruses
2.2. Prokaryotic Expression of 2A Protein
2.3. His Pull Down Assay
2.4. Mass Spectrometry
2.5. Localization of 2A
2.6. Flow Cytometry
2.7. Caspase 3 Activity Detection
2.8. Confocal Imaging and Co-IP
2.9. siRNA Interference
2.10. Replication Kinetics of EMCV
2.11. RNA Extraction and Quantitative Real-Time PCR
2.12. Western Blot
2.13. Statistical Analyses
3. Results
3.1. 2A Protein Inhibits Apoptosis in PK15 Cells
3.2. 2A-Interacting Proteins Identified by His Pull-Down Assay and Mass Spectrometry
3.3. 2A Protein Interacts and Colocalizes with Annexin A2
3.4. Reducing Annexin A2 Using Small Interfering RNA (siRNA) Induces Apoptosis
3.5. Reducing of Annexin A2 Increased Apoptosis in the Infection of EMCV
3.6. Effect of Annxin A2 on EMCV Proliferation
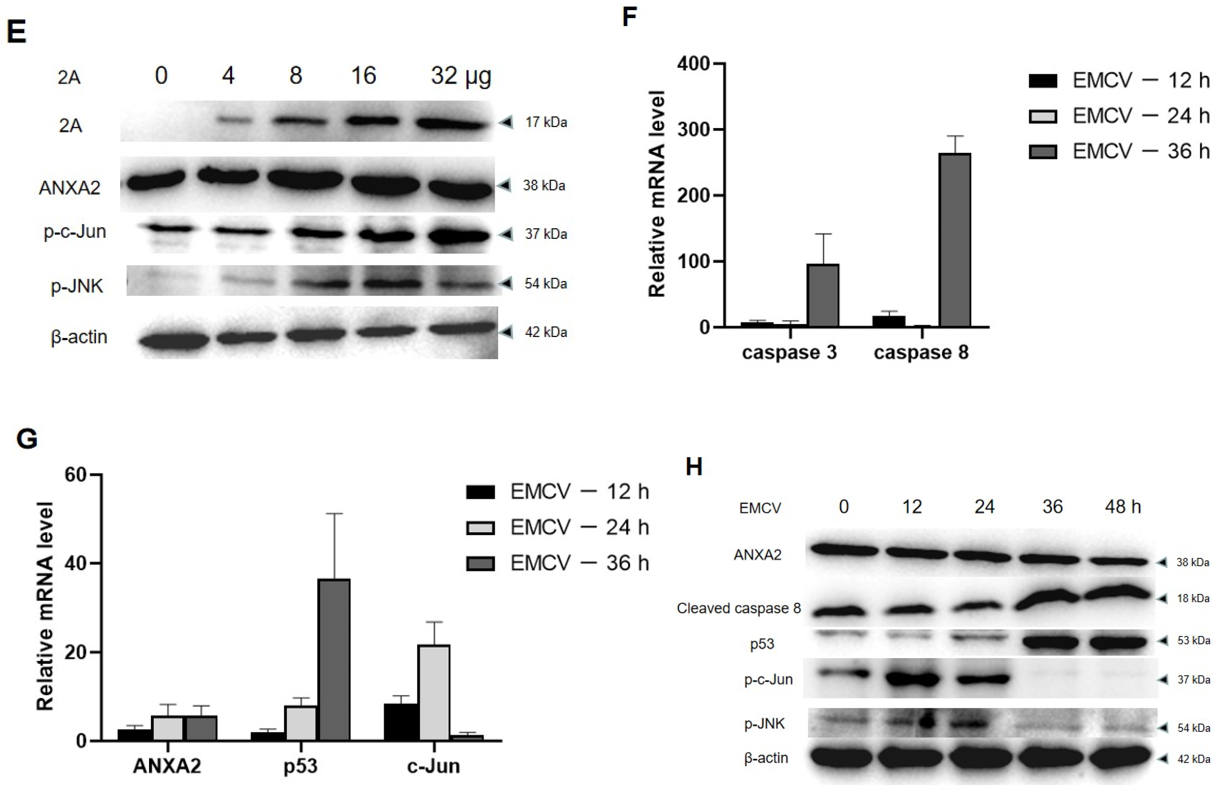
3.7. Annexin A2 Mediates the Inhibition of Apoptosis by 2A Protein via JNK/c-Jun Pathway in BHK21 Cells
4. Discussion
Author Contributions
Funding
Institutional Review Board Statement
Informed Consent Statement
Data Availability Statement
Acknowledgments
Conflicts of Interest
References
- Carocci, M.; Bakkali-Kassimi, L. The encephalomyocarditis virus. Virulence 2012, 3, 351–367. [Google Scholar] [CrossRef] [Green Version]
- Agol, V.I.; Gmyl, A.P. Viral security proteins: Counteracting host defences. Nat. Rev. Microbiol. 2010, 8, 867–878. [Google Scholar] [CrossRef]
- Carocci, M.; Cordonnier, N.; Huet, H.; Romey, A.; Relmy, A.; Gorna, K.; Blaise-Boisseau, S.; Zientara, S.; Kassimi, L.B. Encephalomyocarditis virus 2A protein is required for viral pathogenesis and inhibition of apoptosis. J. Virol. 2011, 85, 10741–10754. [Google Scholar] [CrossRef] [Green Version]
- Hajjar, K.A.; Krishnan, S. Annexin II: A mediator of the plasmin/plasminogen activator system. Trends Cardiovasc. Med. 1999, 9, 128–138. [Google Scholar] [CrossRef]
- Jolly, C.; Winfree, S.; Hansen, B.; Steele-Mortimer, O. The Annexin A2/p11 complex is required for efficient invasion of Salmonella typhimurium in epithelial cells. Cell. Microbiol. 2014, 16, 64–77. [Google Scholar] [CrossRef] [Green Version]
- Luo, M.; Hajjar, K.A. Annexin A2 system in human biology: Cell surface and beyond. Semin. Thromb. Hemost. 2013, 39, 338–346. [Google Scholar] [CrossRef] [Green Version]
- Feng, X.; Liu, H.; Zhang, Z.; Gu, Y.; Qiu, H.; He, Z. Annexin A2 contributes to cisplatin resistance by activation of JNK-p53 pathway in non-small cell lung cancer cells. J. Exp. Clin. Cancer Res. 2017, 36, 123. [Google Scholar] [CrossRef] [Green Version]
- Ma, Y.; Sun, J.; Gu, L.; Bao, H.; Zhao, Y.; Shi, L.; Yao, W.; Tian, G.; Wang, X.; Chen, H. Annexin A2 (ANXA2) interacts with nonstructural protein 1 and promotes the replication of highly pathogenic H5N1 avian influenza virus. BMC Microbiol. 2017, 17, 191. [Google Scholar] [CrossRef] [Green Version]
- Aliyu, I.A.; Ling, K.H.; Md Hashim, N.F.; Lam, J.Y.; Chee, H.Y. Annexin II as a Dengue Virus Serotype 2 Interacting Protein Mediating Virus Interaction on Vero Cells. Viruses 2019, 11, 335. [Google Scholar] [CrossRef] [Green Version]
- Chen, L.; Li, X.; Wang, H.; Hou, P.; He, H. Annexin A2 gene interacting with viral matrix protein to promote bovine ephemeral fever virus release. J. Vet. Sci. 2020, 21, e33. [Google Scholar] [CrossRef]
- Groppo, R.; Brown, B.A.; Palmenberg, A.C. Mutational analysis of the EMCV 2A protein identifies a nuclear localization signal and an eIF4E binding site. Virology 2011, 410, 257–267. [Google Scholar] [CrossRef] [PubMed] [Green Version]
- Rescher, U.; Gerke, V. Annexins–unique membrane binding proteins with diverse functions. J. Cell Sci. 2004, 117, 2631–2639. [Google Scholar] [CrossRef] [PubMed] [Green Version]
- Chasserot-Golaz, S.; Vitale, N.; Sagot, I.; Delouche, B.; Dirrig, S.; Pradel, L.A.; Henry, J.P.; Aunis, D.; Bader, M.F. Annexin II in exocytosis: Catecholamine secretion requires the translocation of p36 to the subplasmalemmal region in chromaffin cells. J. Cell Biol. 1996, 133, 1217–1236. [Google Scholar] [CrossRef] [PubMed]
- Mai, J.; Waisman, D.M.; Sloane, B.F. Cell surface complex of cathepsin B/annexin II tetramer in malignant progression. Biochim. Biophys. Acta 2000, 1477, 215–230. [Google Scholar] [CrossRef]
- Chiang, Y.; Rizzino, A.; Sibenaller, Z.A.; Wold, M.S.; Vishwanatha, J.K. Specific down-regulation of annexin II expression in human cells interferes with cell proliferation. Mol. Cell. Biochem. 1999, 199, 139–147. [Google Scholar] [CrossRef]
- Taylor, J.R.; Skeate, J.G.; Kast, W.M. Annexin A2 in Virus Infection. Front. Microbiol. 2018, 9, 2954. [Google Scholar] [CrossRef] [Green Version]
- Yu, Y.; Zhang, L.; Chen, Y.; Li, Y.; Wang, Z.; Li, G.; Wang, G.; Xin, J. GroEL Protein (Heat Shock Protein 60) of Mycoplasma gallisepticum Induces Apoptosis in Host Cells by Interacting with Annexin A2. Infect. Immun. 2019, 87, e00248-19. [Google Scholar] [CrossRef] [Green Version]
- Wu, Q.; Wu, W.; Jacevic, V.; Franca, T.C.C.; Wang, X.; Kuca, K. Selective inhibitors for JNK signalling: A potential targeted therapy in cancer. J. Enzyme Inhib. Med. Chem. 2020, 35, 574–583. [Google Scholar] [CrossRef] [Green Version]
- Wang, C.Y.; Chen, C.L.; Tseng, Y.L.; Fang, Y.T.; Lin, Y.S.; Su, W.C.; Chen, C.C.; Chang, K.C.; Wang, Y.C.; Lin, C.F. Annexin A2 silencing induces G2 arrest of non-small cell lung cancer cells through p53-dependent and -independent mechanisms. J. Biol. Chem. 2012, 287, 32512–32524. [Google Scholar] [CrossRef] [Green Version]
- Aliyu, I.A.; Ling, K.H.; Md Hashim, N.; Chee, H.Y. Annexin A2 extracellular translocation and virus interaction: A potential target for antivirus-drug discovery. Rev. Med. Virol. 2019, 29, e2038. [Google Scholar] [CrossRef]
- Dallacasagrande, V.; Hajjar, K.A. Annexin A2 in Inflammation and Host Defense. Cells 2020, 9, 1499. [Google Scholar] [CrossRef] [PubMed]
- Schloer, S.; Pajonczyk, D.; Rescher, U. Annexins in Translational Research: Hidden Treasures to Be Found. Int. J. Mol. Sci. 2018, 19, 1781. [Google Scholar] [CrossRef] [PubMed] [Green Version]













| Primer | Sequence (5′–3′) (Restriction Enzyme) # |
|---|---|
| His-2A-F | cgGGATCCAGTCCAAATGCCCTAGACAT |
| His-2A-R | cgCTCGAGttaTTGGGTCTGGAAAACCTGTT |
| Flag-2A-F | cgGTCGACAGTCCAAATGCCCTAGACAT |
| Flag-2A-R | cgGGATCCttaTTGGGTCTGGAAAACCTGTT |
| HA-ANXA2-F | cgGGATCCATGTCTACCGTTCATGAAATTCTGTGCAA |
| HA-ANXA2-R | cgCTCGAGttaTCAGTCATCCCCACCACACAGGTA |
| pEGFP-2A-F | CGAATTCTGATGAGTCCAAATGCCCTAGACAT |
| pEGFP-2A-R | GGATCCCGTTGGGTCTGGAAAACCTGTT |
| pDsRed-ANXA2-F | ctgctcagatctcgagctcaATGTCTACCGTTCATGAAATTCTG |
| pDsRed-ANXA2-R | tcagttatctagatccggtgTCAGTCATCCCCACCACAC |
| siRNA | Sequence (5′–3′) | |
|---|---|---|
| sense | antisense | |
| siRNA1 | CCGUCAAAGCAUACACCAATT | UUGGUGUAUGCUUUGACGGTT |
| siRNA2 | GCCUUUGCCUACCAAAGAATT | UUCUUUGGUAGGCAAAGGCTT |
| siRNA3 | CCAAGUGGAUCAGUAUCAUTT | AUGAUACUGAUCCACUUGGTT |
| NC | UUCUCCGAACGUGUCACGUTT | ACGUGACACGUUCGGAGAATT |
| siRNA | Sequence (5′–3′) | |
|---|---|---|
| sense | antisense | |
| Caspase 3 | AGGTGGGCATCTGGTAGCCA | GATCAGTTATCGCGAATGCCA |
| Caspase 8 | CATCCAGTCACTTTGCCAGA | GCATCTGTTTCCCCATGTTT |
| Caspase 9 | TTCCCAGGTTTTGTTTCCTG | CCTTTCACCGAAACAGCATT |
| ANXA2 | GGTCCAGTGCATTCAGAACA | TCAGTCATCCCCACCACACA |
| c-Jun | AGAATACGCTGCCCAGTGTC | TAGACCGGAGGCTCACTGTG |
| p53 | CGGCTACCACATCCAAGGAA | GCTGGAATTACCGCGGCT |
| GAPDH | CCTCAACTACATGGTCTACA | CCTGGAAGATGGTGATGG |
| Accession | Description | MW [kDa] | Sum PEP Score |
|---|---|---|---|
| I3LUP6 | Nucleophosmin | 32.6 | 29.389 |
| F2Z594 | High mobility group protein B1 | 25.3 | 28.364 |
| A0A4X1TPT6 | Annexin A2 | 38.7 | 8.369 |
Publisher’s Note: MDPI stays neutral with regard to jurisdictional claims in published maps and institutional affiliations. |
© 2022 by the authors. Licensee MDPI, Basel, Switzerland. This article is an open access article distributed under the terms and conditions of the Creative Commons Attribution (CC BY) license (https://creativecommons.org/licenses/by/4.0/).
Share and Cite
Han, R.; Liang, L.; Qin, T.; Xiao, S.; Liang, R. Encephalomyocarditis Virus 2A Protein Inhibited Apoptosis by Interaction with Annexin A2 through JNK/c-Jun Pathway. Viruses 2022, 14, 359. https://doi.org/10.3390/v14020359
Han R, Liang L, Qin T, Xiao S, Liang R. Encephalomyocarditis Virus 2A Protein Inhibited Apoptosis by Interaction with Annexin A2 through JNK/c-Jun Pathway. Viruses. 2022; 14(2):359. https://doi.org/10.3390/v14020359
Chicago/Turabian StyleHan, Ruochan, Lin Liang, Tong Qin, Sa Xiao, and Ruiying Liang. 2022. "Encephalomyocarditis Virus 2A Protein Inhibited Apoptosis by Interaction with Annexin A2 through JNK/c-Jun Pathway" Viruses 14, no. 2: 359. https://doi.org/10.3390/v14020359
APA StyleHan, R., Liang, L., Qin, T., Xiao, S., & Liang, R. (2022). Encephalomyocarditis Virus 2A Protein Inhibited Apoptosis by Interaction with Annexin A2 through JNK/c-Jun Pathway. Viruses, 14(2), 359. https://doi.org/10.3390/v14020359

