AMPK-Mediated Hypolipidemic Effects of a Salvia miltiorrhiza and Paeonia lactiflora Mixed Extract on High-Fat Diet-Induced Liver Triglyceride Accumulation: An In Vivo and In Vitro Study
Abstract
1. Introduction
2. Materials and Methods
2.1. Plant Material
2.2. Preparation of the Mixed Extract
2.3. Animal Care and Experimental Protocol
2.4. Measurement of Liver TG Levels
2.5. Cell Culture
2.6. Cell Viability and Proliferation Assay
2.7. Western Blot Analysis
2.8. Inhibition of AMPK Phosphorylation
2.9. Statistical Analysis
3. Results
3.1. Effects of an HFD Administered for 8 Weeks on BW
3.2. Effects of USCP119 on Serum Lipid Profiles in the HFD Hamster Model
3.3. Effects of USCP119 on Hepatic Lipid and Epididymal Fat Levels in the HFD Hamster Model
3.4. Effects of USCP119 on 3T3-L1 Preadipocyte Viability, Lipid Accumulation in Differentiated Cells, and AMPK Signaling Pathways
3.5. Effects of USCP119 on HepG2 Cell Viability, Lipid Accumulation in Differentiated Cells, and AMPK Signaling Pathways
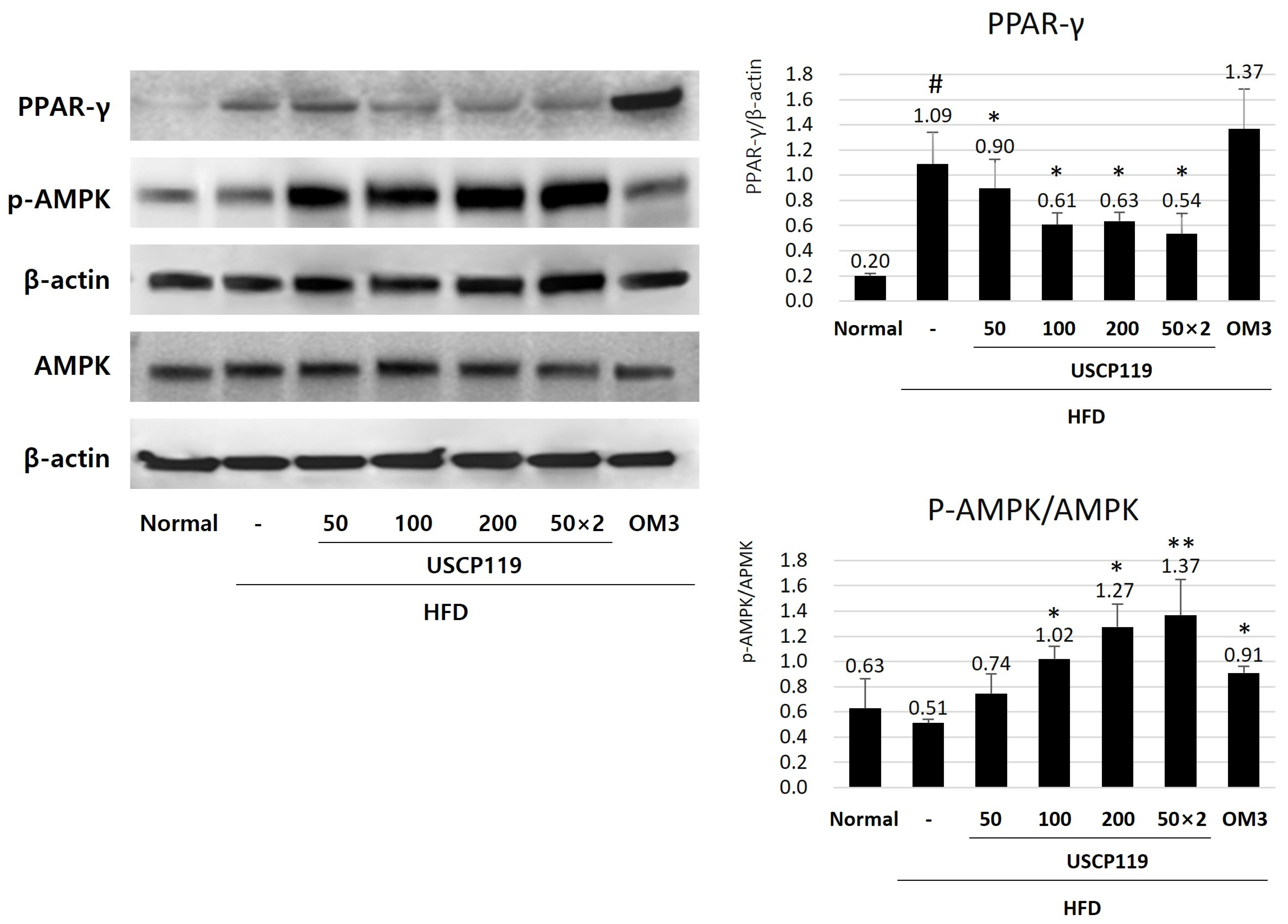
3.6. Effect of USCP119 on AMPK Signaling Pathways in the HFD Hamster Model
4. Discussion
5. Conclusions
Supplementary Materials
Author Contributions
Funding
Institutional Review Board Statement
Informed Consent Statement
Data Availability Statement
Conflicts of Interest
References
- Tsuru, H.; Osaka, M.; Hiraoka, Y.; Yoshida, M. HFD-induced hepatic lipid accumulation and inflammation are decreased in Factor D deficient mouse. Sci. Rep. 2020, 10, 17593. [Google Scholar] [CrossRef] [PubMed]
- Dong, Y.; Guo, Y.; Li, Q.; Zhao, Y.; Cao, J. Soluble dietary fiber from Dendrocalamus brandisii (Munro) Kurz shoot improves liver injury by regulating gut microbial disorder in mice. Food Chem. X 2024, 22, 101472. [Google Scholar] [CrossRef] [PubMed]
- Yin, Y.; Li, Z.; Gao, L.; Li, Y.; Zhao, J.; Zhang, W. AMPK-dependent modulation of hepatic lipid metabolism by nesfatin-1. Mol. Cell. Endocrinol. 2015, 417, 20–26. [Google Scholar] [CrossRef] [PubMed]
- Semova, I.; Biddinger, S.B. Triglycerides in nonalcoholic fatty liver disease: Guilty until proven innocent. Trends Pharmacol. Sci. 2021, 42, 183–190. [Google Scholar] [CrossRef]
- Rodríguez-Lara, A.; Rueda-Robles, A.; Sáez-Lara, M.J.; Plaza-Diaz, J.; Álvarez-Mercado, A.I. From non-alcoholic fatty liver disease to liver cancer: Microbiota and inflammation as key players. Pathogens 2023, 12, 940. [Google Scholar] [CrossRef]
- Park, W.Y.; Yiannakou, I.; Petersen, J.M.; Hoffmann, U.; Ma, J.; Long, M.T. Sugar-sweetened beverage, diet soda, and nonalcoholic fatty liver disease over 6 years: The framingham heart study. Clin. Gastroenterol. Hepatol. 2022, 20, 2524–2532.e2. [Google Scholar] [CrossRef]
- Naomi, N.D.; Ngo, J.; Brouwer-Brolsma, E.M.; Buso, M.E.C.; Soedamah-Muthu, S.S.; Pérez-Rodrigo, C.; Harrold, J.A.; Halford, J.C.G.; Raben, A.; Geleijnse, J.M.; et al. Sugar-sweetened beverages, low/no-calorie beverages, fruit juice and non-alcoholic fatty liver disease defined by fatty liver index: The SWEET project. Nutr. Diabetes 2023, 13, 6. [Google Scholar] [CrossRef]
- Chen, Y.; Yu, C.-Y.; Deng, W.-M. The role of pro-inflammatory cytokines in lipid metabolism of metabolic diseases. Int. Rev. Immunol. 2019, 38, 249–266. [Google Scholar] [CrossRef]
- Deprince, A.; Haas, J.T.; Staels, B. Dysregulated lipid metabolism links NAFLD to cardiovascular disease. Mol. Metab. 2020, 42, 101092. [Google Scholar] [CrossRef]
- Lee, M.-H.; Park, S.; Xu, Y.; Kim, J.-E.; Han, H.; Lee, J.-H.; Paik, J.K.; Lee, H.-J. Ethanol extract of Pinus koraiensis leaves mitigates high fructose-induced hepatic triglyceride accumulation and hypertriglyceridemia. Appl. Sci. 2022, 12, 6745. [Google Scholar] [CrossRef]
- Zhang, G.H.; Lu, J.X.; Chen, Y.; Guo, P.H.; Qiao, Z.L.; Feng, R.F.; Chen, S.E.; Bai, J.L.; Huo, S.D.; Ma, Z.R. ChREBP and LXRα mediate synergistically lipogenesis induced by glucose in porcine adipocytes. Gene 2015, 565, 30–38. [Google Scholar] [CrossRef] [PubMed]
- Lee, M.-S.; Cho, S.-M.; Lee, M.-h.; Lee, E.-O.; Kim, S.-H.; Lee, H.-J. Ethanol extract of Pinus koraiensis leaves containing lambertianic acid exerts anti-obesity and hypolipidemic effects by activating adenosine monophosphate-activated protein kinase (AMPK). BMC Complement. Altern. Med. 2016, 16, 51. [Google Scholar] [CrossRef] [PubMed]
- Rodríguez, C.; Muñoz, M.; Contreras, C.; Prieto, D. AMPK, metabolism, and vascular function. FEBS J. 2021, 288, 3746–3771. [Google Scholar] [CrossRef] [PubMed]
- Huang, Y.; Xie, H.; Pan, P.; Qu, Q.; Xia, Q.; Gao, X.; Zhang, S.; Jiang, Q. Heat stress promotes lipid accumulation by inhibiting the AMPK-PGC-1α signaling pathway in 3T3-L1 preadipocytes. Cell Stress Chaperones 2021, 26, 563–574. [Google Scholar] [CrossRef]
- Smith, B.K.; Marcinko, K.; Desjardins, E.M.; Lally, J.S.; Ford, R.J.; Steinberg, G.R. Treatment of nonalcoholic fatty liver disease: Role of AMPK. Am. J. Physiol.-Endocrinol. Metab. 2016, 311, E730–E740. [Google Scholar] [CrossRef]
- Jung, I.; Kim, H.; Moon, S.; Lee, H.; Kim, B. Overview of Salvia miltiorrhiza as a potential therapeutic agent for various diseases: An update on efficacy and mechanisms of action. Antioxidants 2020, 9, 857. [Google Scholar] [CrossRef]
- Parker, S.; May, B.; Zhang, C.; Zhang, A.L.; Lu, C.; Xue, C.C. A pharmacological review of bioactive constituents of Paeonia lactiflora Pallas and Paeonia veitchii Lynch. Phytother. Res. 2016, 30, 1445–1473. [Google Scholar] [CrossRef]
- Wang, X.; Wang, Y.; Jiang, M.; Zhu, Y.; Hu, L.; Fan, G.; Wang, Y.; Li, X.; Gao, X. Differential cardioprotective effects of salvianolic acid and tanshinone on acute myocardial infarction are mediated by unique signaling pathways. J. Ethnopharmacol. 2011, 135, 662–671. [Google Scholar] [CrossRef]
- Pan, C.; Lou, L.; Huo, Y.; Singh, G.; Chen, M.; Zhang, D.; Wu, A.; Zhao, M.; Wang, S.; Li, J. Salvianolic acid B and tanshinone IIA attenuate myocardial ischemia injury in mice by NO production through multiple pathways. Ther. Adv. Cardiovasc. Dis. 2011, 5, 99–111. [Google Scholar] [CrossRef]
- Nam, K.N.; Woo, B.-C.; Moon, S.-K.; Park, S.-U.; Park, J.-Y.; Hwang, J.-W.; Bae, H.-S.; Ko, C.-N.; Lee, E.H. Paeonol attenuates inflammation-mediated neurotoxicity and microglial activation. Neural Regen. Res. 2013, 8, 1637–1643. [Google Scholar]
- Wang, D.; Liu, L.; Li, S.; Wang, C. Effects of paeoniflorin on neurobehavior, oxidative stress, brain insulin signaling, and synaptic alterations in intracerebroventricular streptozotocin-induced cognitive impairment in mice. Physiol. Behav. 2018, 191, 12–20. [Google Scholar] [CrossRef] [PubMed]
- Reeves, P.G. Components of the AIN-93 diets as improvements in the AIN-76A diet. J. Nutr. 1997, 127, 838S–841S. [Google Scholar] [CrossRef] [PubMed]
- Trang, N.M.; Kim, E.-N.; Lee, H.-S.; Jeong, G.-S. Effect on osteoclast differentiation and ER stress downregulation by amygdalin and RANKL binding interaction. Biomolecules 2022, 12, 256. [Google Scholar] [CrossRef]
- Trang, N.M.; Kim, E.-N.; Pham, T.H.; Jeong, G.-S. Citropten ameliorates osteoclastogenesis related to MAPK and PLCγ/Ca2+ signaling pathways through the regulation of amyloid beta. J. Agric. Food Chem. 2023, 71, 10037–10049. [Google Scholar] [CrossRef]
- Ali, K.M.; Wonnerth, A.; Huber, K.; Wojta, J. Cardiovascular disease risk reduction by raising HDL cholesterol—Current therapies and future opportunities. Br. J. Pharmacol. 2012, 167, 1177–1194. [Google Scholar] [CrossRef]
- Liu, X.; Chhipa, R.R.; Nakano, I.; Dasgupta, B. The AMPK inhibitor Compound C is a potent AMPK-independent antiglioma agent. Mol. Cancer Ther. 2014, 13, 596–605. [Google Scholar] [CrossRef] [PubMed]
- Pawlak, M.; Lefebvre, P.; Staels, B. Molecular mechanism of PPARα action and its impact on lipid metabolism, inflammation and fibrosis in non-alcoholic fatty liver disease. J. Hepatol. 2015, 62, 720–733. [Google Scholar] [CrossRef]
- Corrales, P.; Vidal-Puig, A.; Medina-Gómez, G. PPARs and metabolic disorders associated with challenged adipose tissue plasticity. Int. J. Mol. Sci. 2018, 19, 2124. [Google Scholar] [CrossRef]
- Shaik Mohamed Sayed, U.F.; Moshawih, S.; Goh, H.P.; Kifli, N.; Gupta, G.; Singh, S.K.; Chellappan, D.K.; Dua, K.; Hermansyah, A.; Ser, H.L.; et al. Natural products as novel anti-obesity agents: Insights into mechanisms of action and potential for therapeutic management. Front. Pharmacol. 2023, 14, 1182937. [Google Scholar] [CrossRef]
- Majeed, M.; Majeed, S.; Nagabhushanam, K.; Gnanamani, M.; Mundkur, L. Lesser investigated natural ingredients for the management of obesity. Nutrients 2021, 13, 510. [Google Scholar] [CrossRef]
- Li, H.; Rafie, A.R.; Hamama, A.; Siddiqui, R.A. Immature ginger reduces triglyceride accumulation by downregulating Acyl CoA carboxylase and phosphoenolpyruvate carboxykinase-1 genes in 3T3-L1 adipocytes. Food Nutr. Res. 2023, 67, 9126. [Google Scholar] [CrossRef] [PubMed]
- Li, J.; Liu, M.; Yu, H.; Wang, W.; Han, L.; Chen, Q.; Ruan, J.; Wen, S.; Zhang, Y.; Wang, T. Mangiferin improves hepatic lipid metabolism mainly through its metabolite-norathyriol by modulating SIRT-1/AMPK/SREBP-1c signaling. Front. Pharmacol. 2018, 9, 201. [Google Scholar] [CrossRef] [PubMed]
- Bort, A.; Sánchez, B.G.; Mateos-Gómez, P.A.; Díaz-Laviada, I.; Rodríguez-Henche, N. Capsaicin targets lipogenesis in HepG2 cells through AMPK activation, AKT inhibition and PPARs regulation. Int. J. Mol. Sci. 2019, 20, 1660. [Google Scholar] [CrossRef] [PubMed]
- Son, J.; Cha, M.-R.; Song, S.; Oh, B.; Bang, S.; Cha, J.; Lim, S.D.; Yang, S.Y. Efficacy of a mixed extract of Salvia miltiorrhiza and Paeonia lactiflora in inhibiting the aging of vascular wall through in vitro and in vivo experiments. Biosci. Biotechnol. Biochem. 2024, 88, 420–428. [Google Scholar] [CrossRef] [PubMed]
- Kucukkurt, I.; Akkol, E.K.; Karabag, F.; Ince, S.; Süntar, I.; Eryavuz, A.; Sözbilir, N.B. Determination of the regulatory properties of Yucca schidigera extracts on the biochemical parameters and plasma hormone levels associated with obesity. Rev. Bras. Farmacogn. 2016, 26, 246–250. [Google Scholar] [CrossRef]
- Shrestha, R.; Gurung, P.; Lim, J.; Thapa Magar, T.B.; Kim, C.-W.; Lee, H.Y.; Kim, Y.-W. Anti-obesity effect of Chlorin e6-mediated photodynamic therapy on mice with high-fat-diet-induced obesity. Pharmaceuticals 2023, 16, 1053. [Google Scholar] [CrossRef]
- Cherng, J.-Y.; Shih, M.-F. Preventing dyslipidemia by Chlorella pyrenoidosa in rats and hamsters after chronic high fat diet treatment. Life Sci. 2005, 76, 3001–3013. [Google Scholar] [CrossRef]










| Group | Time after Administration (Weeks) | |||
|---|---|---|---|---|
| Body Weight (g) | % of BW Change (8 w/0 w × 100%) | |||
| 0 w | 4 w | 8 w | ||
| G1—Normal diet | 108.8 ± 6.7 | 120.4 ± 8.4 | 126.9 ± 8.8 | 18.1 ± 10.5 |
| G2—HFD | 108.4 ± 5.6 | 127.9 ± 11.5 | 138.2 ± 6.1 | 29.8 ± 10.2 |
| G3—HFD + USCP119_50 | 105.1 ± 6.1 | 121.7 ± 13.4 | 131.1 ± 13.4 | 29.0 ± 12.3 |
| G4—HFD + USCP119_100 | 106.7 ± 5.9 | 121.9 ± 6.2 | 132.0 ± 7.7 | 25.4 ± 7.7 |
| G5—HFD + USCP119_50 × 2 | 103.7 ± 8.6 | 113.1 ± 6.9 * | 119.2 ± 7.9 * | 15.5 ± 9.6 * |
| G6—HFD + OM3 | 106.3 ± 6.6 | 121.1 ± 11.3 | 127.7 ± 13.1 | 21.3 ± 16.3 |
| Group | Serum TG Level (mmol/L) | Serum TC Level (mmol/L) | Serum HDL-C Level (mmol/L) | Serum LDL-C Level (mmol/L) |
|---|---|---|---|---|
| G1 | 120.0 ± 14.63 | 99.86 ± 8.88 | 68.14 ± 6.69 | 18.43 ± 1.27 |
| G2 | 287.29 ± 24.64 ### | 280.29 ± 30.46 ### | 131.00 ± 14.40 ### | 33.29 ± 13.47 # |
| G3 | 248.43 ± 36.02 * | 265.00 ± 22.46 | 121.71 ± 11.91 | 30.00 ± 5.80 |
| G4 | 216.43 ± 19.90 *** | 227.57 ± 36.41 * | 109.86 ± 18.17 | 20.57 ± 5.50 * |
| G5 | 184.29 ± 17.98 *** | 240.14 ± 22.59 * | 117.57 ± 9.88 | 25.14 ± 8.03 |
| G6 | 244.14 ± 34.57 * | 275.00 ± 33.26 | 117.57 ± 20.70 | 43.86 ± 8.61 |
| Group | Liver Weight (g) | Hepatic TG Level (µg/mg) | Oil Red O-Positive Intensity (Arbitrary Unit) | Epididymal Fat Weight (g) | eWAT Lipid Diameter (µm) |
|---|---|---|---|---|---|
| G1 | 3.30 ± 0.14 | 28.54 ± 4.69 | 50.38 ± 8.99 | 1.70 ± 0.38 | 48.06 ± 4.92 |
| G2 | 8.37 ± 0.96 ## | 45.85 ± 8.26 ## | 223.77 ± 8.34 ### | 2.56 ± 0.64 # | 61.11 ± 7.26 # |
| G3 | 8.37 ± 0.94 | 34.56 ± 4.33 * | 210.69 ± 7.88 * | 2.50 ± 0.86 | 51.87 ± 5.37 |
| G4 | 8.16 ± 0.50 | 29.55 ± 5.49 ** | 202.06 ± 20.41 * | 2.40 ± 0.69 | 51.20 ± 4.44 |
| G5 | 7.27 ± 0.60 * | 28.01 ± 6.11 ** | 205.81 ± 15.13 * | 1.85 ± 0.42 * | 50.97 ± 3.97 * |
| G6 | 8.46 ± 1.04 | 37.97 ± 3.17 | 214.06 ± 3.53 * | 2.41 ± 0.64 | 59.78 ± 5.05 |
Disclaimer/Publisher’s Note: The statements, opinions and data contained in all publications are solely those of the individual author(s) and contributor(s) and not of MDPI and/or the editor(s). MDPI and/or the editor(s) disclaim responsibility for any injury to people or property resulting from any ideas, methods, instructions or products referred to in the content. |
© 2024 by the authors. Licensee MDPI, Basel, Switzerland. This article is an open access article distributed under the terms and conditions of the Creative Commons Attribution (CC BY) license (https://creativecommons.org/licenses/by/4.0/).
Share and Cite
Son, J.; Phong, N.V.; Cha, M.-R.; Oh, B.; Song, S.; Yang, S.Y. AMPK-Mediated Hypolipidemic Effects of a Salvia miltiorrhiza and Paeonia lactiflora Mixed Extract on High-Fat Diet-Induced Liver Triglyceride Accumulation: An In Vivo and In Vitro Study. Nutrients 2024, 16, 3189. https://doi.org/10.3390/nu16183189
Son J, Phong NV, Cha M-R, Oh B, Song S, Yang SY. AMPK-Mediated Hypolipidemic Effects of a Salvia miltiorrhiza and Paeonia lactiflora Mixed Extract on High-Fat Diet-Induced Liver Triglyceride Accumulation: An In Vivo and In Vitro Study. Nutrients. 2024; 16(18):3189. https://doi.org/10.3390/nu16183189
Chicago/Turabian StyleSon, Juah, Nguyen Viet Phong, Mi-Ran Cha, Byulnim Oh, Sukjin Song, and Seo Young Yang. 2024. "AMPK-Mediated Hypolipidemic Effects of a Salvia miltiorrhiza and Paeonia lactiflora Mixed Extract on High-Fat Diet-Induced Liver Triglyceride Accumulation: An In Vivo and In Vitro Study" Nutrients 16, no. 18: 3189. https://doi.org/10.3390/nu16183189
APA StyleSon, J., Phong, N. V., Cha, M.-R., Oh, B., Song, S., & Yang, S. Y. (2024). AMPK-Mediated Hypolipidemic Effects of a Salvia miltiorrhiza and Paeonia lactiflora Mixed Extract on High-Fat Diet-Induced Liver Triglyceride Accumulation: An In Vivo and In Vitro Study. Nutrients, 16(18), 3189. https://doi.org/10.3390/nu16183189

