Cytomegalovirus Pneumonia in a Patient with Down Syndrome
Abstract
1. Introduction
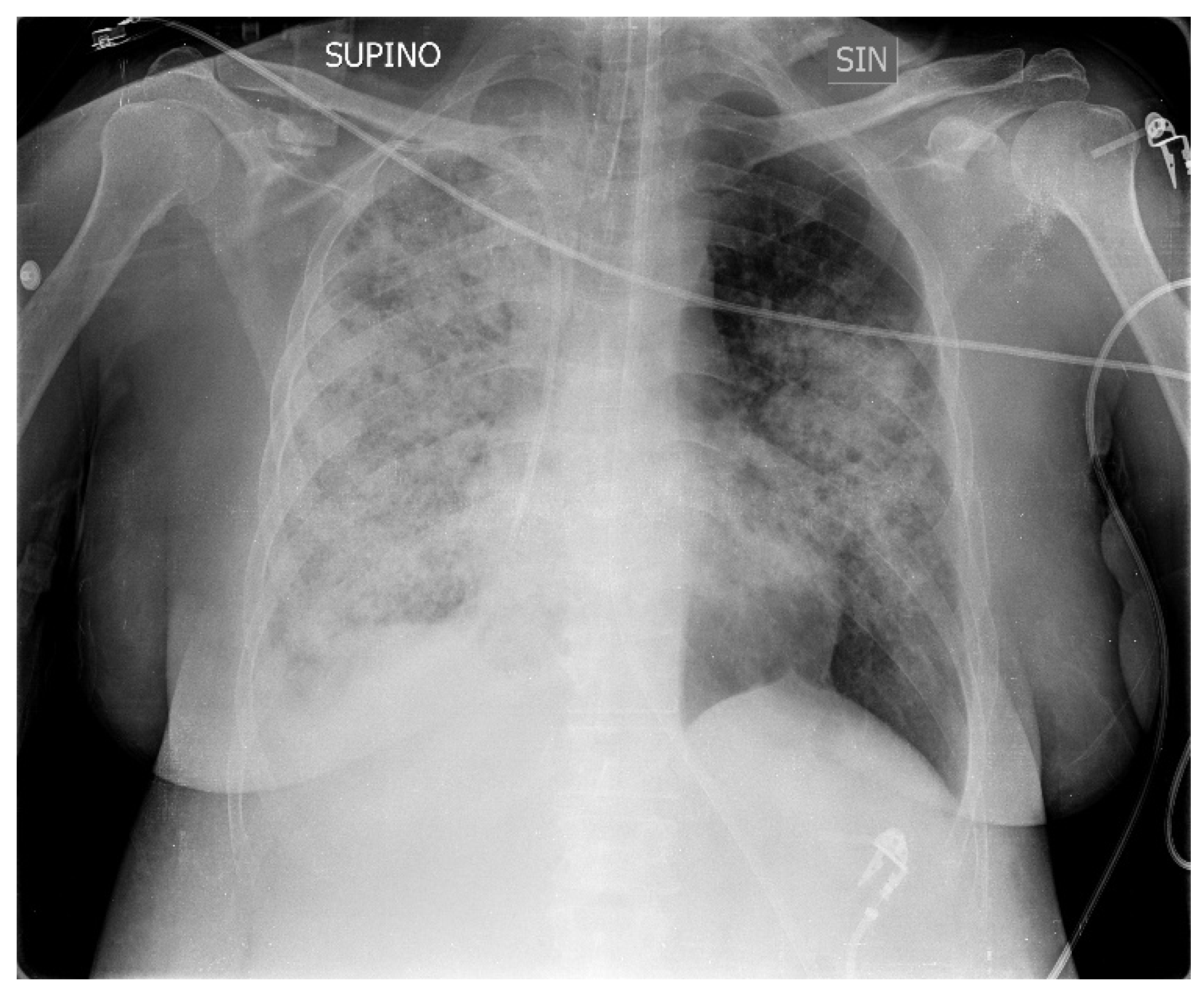
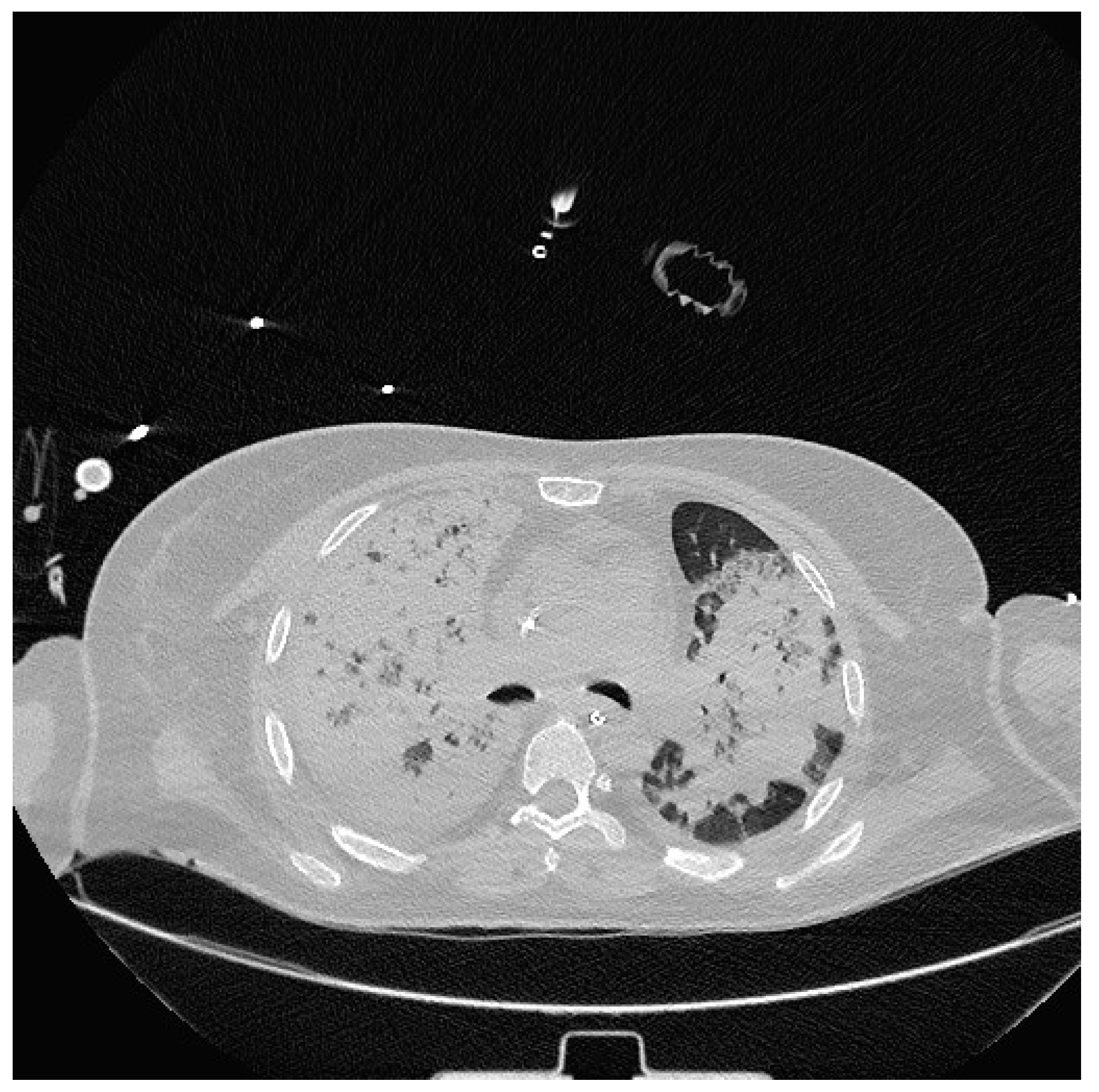
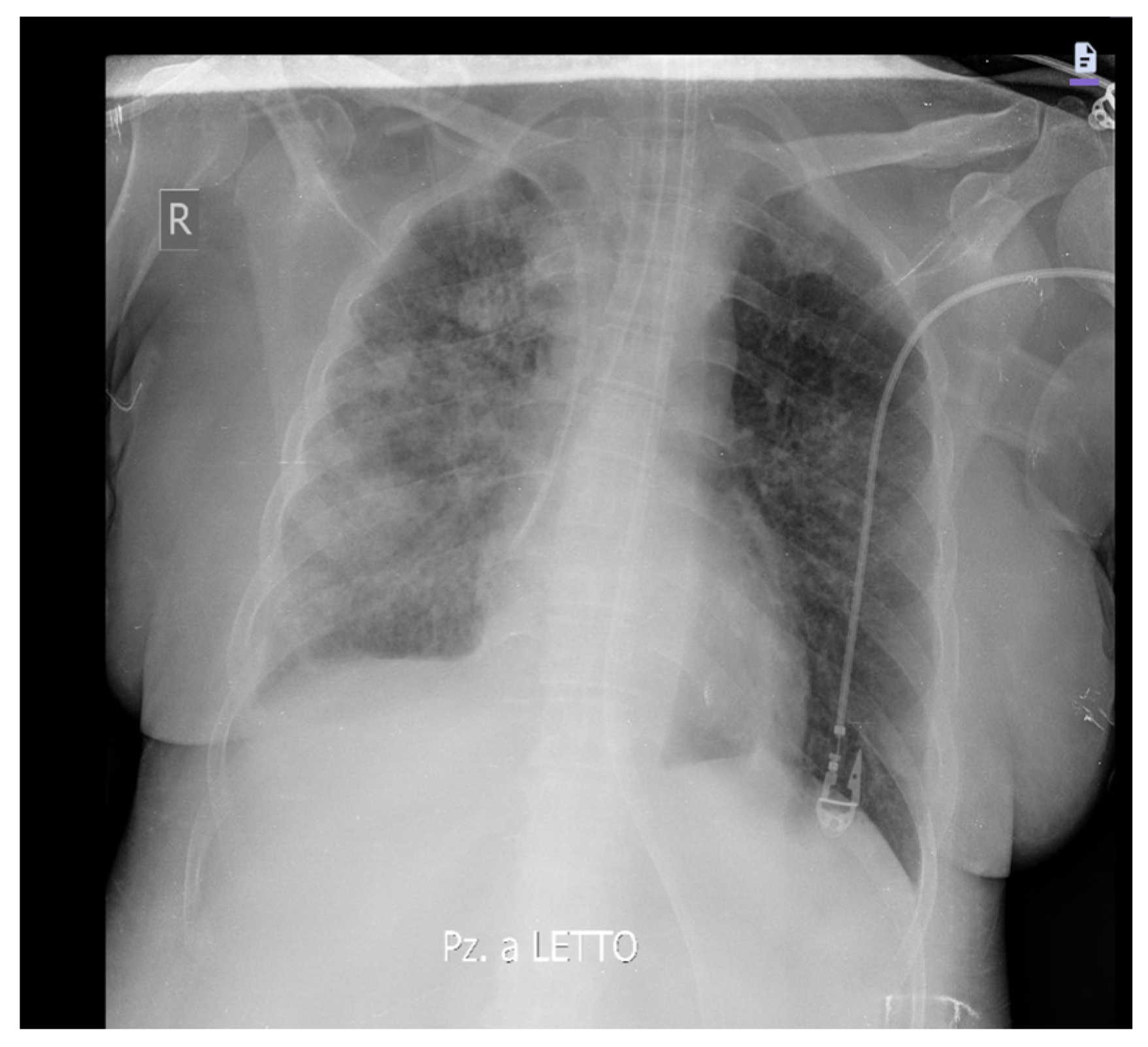
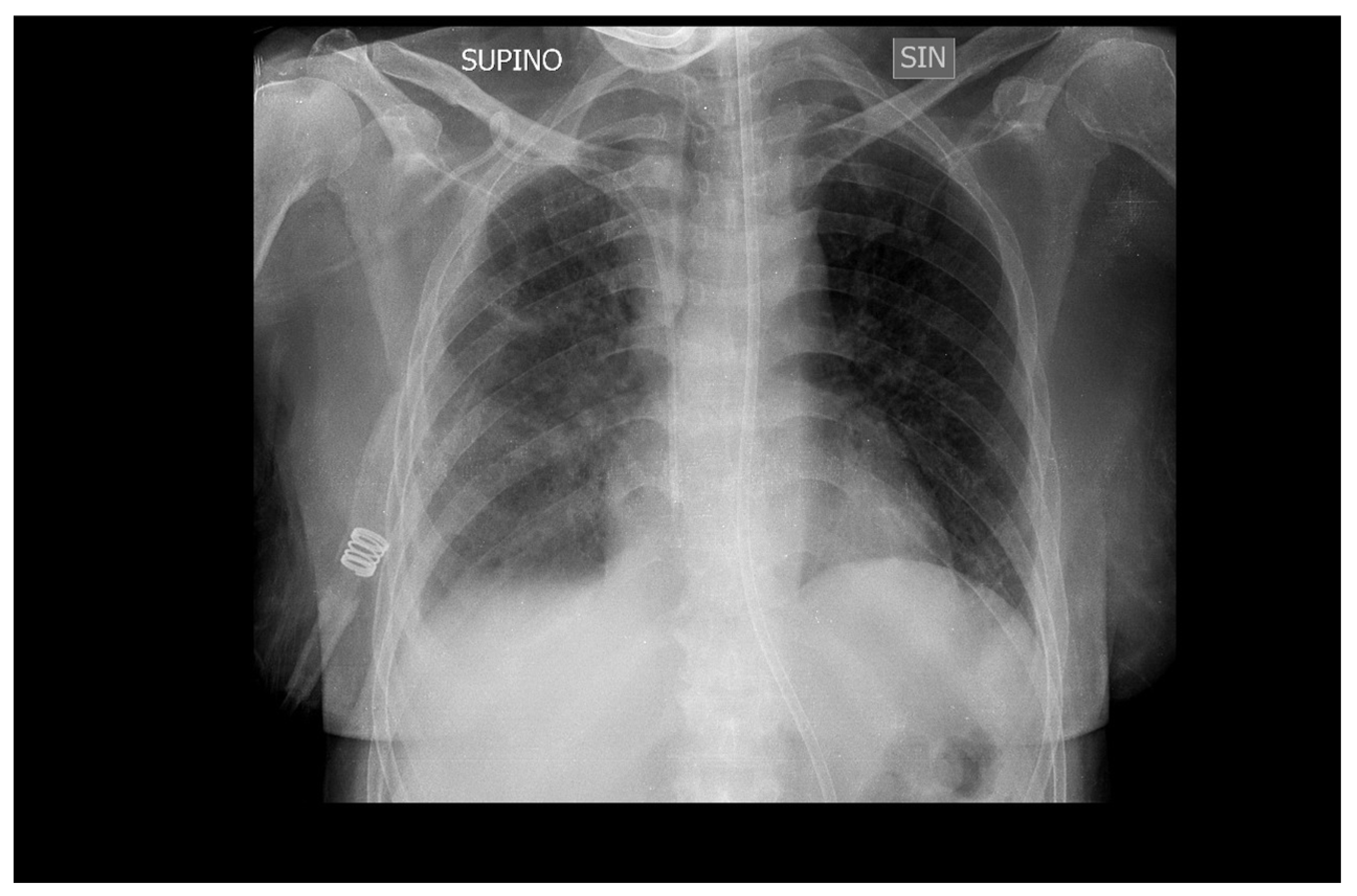
2. Case Presentation
3. Discussion
4. Conclusions
Author Contributions
Funding
Institutional Review Board Statement
Informed Consent Statement
Data Availability Statement
Conflicts of Interest
References
- Shepperd, S.; Farndon, P.; Grainge, V.; Oliver, S.; Parker, M.; Perera, R.; Bedford, H.; Elliman, D.; Kent, A.; Rose, P. DIS-CERN-Genetics: Quality criteria for information on genetic testing. Eur. J. Hum. Genet. 2006, 14, 1179–1188. [Google Scholar] [CrossRef] [PubMed][Green Version]
- Blake, J.M.; Estrada Gomez, D.; Skotko, B.G.; Torres, A.; Santoro, S.L. Pneumonia and respiratory infection in Down syndrome: A 10-year cohrt analysis of inpatient and outpatient encounters across the lifespan. Am. J. Med. Genet. 2021, 185, 2878–2887. [Google Scholar] [CrossRef] [PubMed]
- Bittles, A.H.; Bower, C.; Hussain, R.; Glasson, E.J. The four ages of Down syndrome. Eur. J. Public Health 2007, 17, 221–225. [Google Scholar] [CrossRef] [PubMed]
- Santoro, S.L.; Chicoine, B.; Jasien, J.M.; Kim, J.L.; Stephens, M.; Bulova, P.; Capone, G. Pneumonia and respiratory infections in Down syndrome: A scoping review of the literature. Am. J. Med. Genet. 2021, 185, 286–299. [Google Scholar] [CrossRef] [PubMed]
- Ljungman, P.; Griffiths, P.; Paya, C. Definitions of cytomegalovirus infection and disease in transplant recipients. Clin. Infect. Dis. 2002, 34, 1094–1097. [Google Scholar] [CrossRef] [PubMed]
- Beam, E.; Germer, J.J.; Lahr, B.; Yao, J.D.; Limper, A.H.; Binnicker, M.J.; Razonable, R.R. Cytomegalovirus (CMV) DNA quantification in bronchoalveolar lavage fluid of immunocompromised patients with CMV pneumonia. Clin. Transpl. 2018, 32, e13149. [Google Scholar] [CrossRef]
- Durand, C.M.; Marr, K.A.; Arnold, C.A.; Tang, L.; Durand, D.J.; Avery, R.K.; Valsamakis, A.; Neofytos, D. Detection of cytomegalovirus DNA in plasma as an adjunct diagnostic for gastrointestinal tract disease in kidney and liver transplant recipients. Clin. Infect. Dis. 2013, 57, 1550–1559. [Google Scholar] [CrossRef]
- Janoff, E.N.; Tseng, H.F.; Nguyen, J.L.; Alfred, T.; Vietri, J.; McDaniel, A.; Chilson, E.; Yan, Q.; Malhotra, D.; Isturiz, R.E.; et al. Incidence and clinical outcomes of pneumonia in persons with down syndrome in the United States. Vaccine 2023, 41, 4571–4578. [Google Scholar] [CrossRef]
- Schmidt, G.M.; Horak, D.A.; Niland, J.C.; Duncan, S.R.; Forman, S.J.; Zaia, J.A.; The City of Hope-Stanford-Syntex CMV Study Group. A randomized, controlled trial of prophylactic ganciclovir for cytomegalovirus pulmonary infection in recipients of allogeneic bone marrow transplants. N. Engl. J. Med. 1991, 324, 1005–1010. [Google Scholar] [CrossRef]
- Boeckh, M.; Ljungman, P. How we treat cytomegalovirus in hematopoietic cell transplant recipients. Blood 2009, 113, 5711–5719. [Google Scholar] [CrossRef]
- Fishman, J.A. Infection in solid-organ transplant recipients. N. Engl. J. Med. 2007, 357, 2601–2614. [Google Scholar] [CrossRef]
- Hill, R.B., Jr.; Rowlands, D.T., Jr.; Rifkind, D. Infectious Pulmonary Disease in Patients Receiving Immunosuppressive Therapy for Organ Transplantation. N. Engl. J. Med. 1964, 271, 1021–1027. [Google Scholar] [CrossRef]
- Snyder, L.D.; Finlen-Copeland, C.A.; Turbyfill, W.J.; Howell, D.; Willner, D.A.; Palmer, S.M. Cytomegalovirus pneumonitis is a risk for bronchiolitis obliterans syndrome in lung transplantation. Am. J. Respir. Crit. Care Med. 2010, 181, 1391–1396. [Google Scholar] [CrossRef] [PubMed]
- Wallace, J.M.; Hannah, J. Cytomegalovirus pneumonitis in patients with AIDS. Findings in an autopsy series. Chest 1987, 92, 198–203. [Google Scholar] [CrossRef] [PubMed]
- Szczawinska-Poplonyk, A.; Jonczyk-Potoczna, K.; Ossowska, L.; Breborowicz, A.; Bartkowska-Sniatkowska, A.; Wachowiak, J. Cytomegalovirus pneumonia as the first manifestation of severe combined immunodeficiency. Cent. Eur. J. Immunol. 2014, 39, 392–395. [Google Scholar] [CrossRef] [PubMed]
- Cunha, B.A.; Pherez, F.; Walls, N. Severe cytomegalovirus (CMV) community-acquired pneumonia (CAP) in a non immuno-compromised host. Heart Lung 2009, 38, 243–248. [Google Scholar] [CrossRef] [PubMed]
- Grilli, E.; Galati, V.; Bordi, L.; Taglietti, F.; Petrosillo, N. Cytomegalovirus pneumonia in immunocompetent host: Case report and literature review. J. Clin. Virol. 2012, 55, 356–359. [Google Scholar] [CrossRef]
- Goncalves, C.; Cipriano, A.; Videira Santos, F.; Abreu, M.; Mendez, J.; Sarmento, E.C.R. Cytomegalovirus acute infection with pulmonary involvement in an immunocompetent patient. IDCases 2018, 14, e00445. [Google Scholar] [CrossRef] [PubMed]
- Rafailidis, P.I.; Mourtzoukou, E.G.; Varbobitis, I.C.; Falagas, M.E. Severe cytomegalovirus infection in apparently immuno-competent patients: A systematic review. Virol. J. 2008, 5, 47. [Google Scholar] [CrossRef] [PubMed]
- Moon, J.H.; Kim, E.A.; Lee, K.S.; Kim, T.S.; Jung, K.J.; Song, J.H. Cytomegalovirus pneumonia: High-resolution CT findings in ten non-AIDS immunocompromised patients. Korean J. Radiol. 2000, 1, 73–78. [Google Scholar] [CrossRef]
- Boeckh, M.; Murphy, W.J.; Peggs, K.S. Recent Advances in Cytomegalovirus: An Update on Pharmacologic and Cellular Therapies. Biol. Blood Marrow Transpl. 2014, 21, 24–29. [Google Scholar] [CrossRef]
- Razonable, R.R.; Humar, A. Cytomegalovirus in solid organ transplantation. Am. J. Transpl. 2013, 13 (Suppl. S4), 93–106. [Google Scholar] [CrossRef] [PubMed]
- Kotton, C.N.; Kumar, D.; Caliendo, A.M.; Åsberg, A.; Chou, S.; Danziger-Isakov, L.; Humar, A.; Transplantation Society International CMV Consensus Group. Updated international consensus guidelines on the management of cytomeg-alovirus in solid-organ transplantation. Transplantation 2013, 96, 333–360. [Google Scholar] [CrossRef]
- Chemaly, R.F.; Yen-Lieberman, B.; Castilla, E.A.; Reilly, A.; Arrigain, S.; Farver, C.; Avery, R.K.; Gordon, S.M.; Procop, G.W. Correlation between viral loads of cytomegalovirus in blood and bronchoalveolar lavage specimens from lung transplant recipients determined by histology and immunohistochemistry. J. Clin. Microbiol. 2004, 42, 2168–2172. [Google Scholar] [CrossRef] [PubMed]
- Tan, S.K.; Burgener, E.B.; Waggoner, J.J.; Gajurel, K.; Gonzalez, S.; Chen, S.F.; Pinsky, B.A. Molecular and Culture -Based Bronchoalveolar Lavage Fluid Testing for the Diagnosis of Cytomegalovirus Pneumonitis. Open Forum Infect. Dis. 2015, 3, ofv212. [Google Scholar] [CrossRef]
- Hayden, R.T.; Yan, X.; Wick, M.T.; Rodriguez, A.B.; Xiong, X.; Ginocchio, C.C.; Mitchell, M.J.; Caliendo, A.M. Factors contributing to variability of quantitative viral PCR results in proficiency testing samples: A multivariate analysis. J. Clin. Microbiol. 2012, 50, 337–345. [Google Scholar] [CrossRef] [PubMed]
- Preiksaitis, J.K.; Hayden, R.T.; Tong, Y.; Pang, X.L.; Fryer, J.F.; Heath, A.B.; Cook, L.; Petrich, A.K.; Yu, B.; Caliendo, A.M. Are we there yet? Impact of the first international standard for cytomegalovirus DNA on the harmonization of results reported on plasma samples. Clin. Infect. Dis. 2016, 63, 583–589. [Google Scholar] [CrossRef] [PubMed]
- Naegele, K.; Lautenschlager, I.; Gosert, R.; Loginov, R.; Bir, K.; Helanterä, I.; Schaub, S.; Khanna, N.; Hirsch, H.H. Cytomegalovirus sequence variability, amplicon length, and DNase-sensitive non-encapsidated genomes are obstacles to standardization and commutability of plasma viral load results. J. Clin. Virol. 2018, 104, 39–47. [Google Scholar] [CrossRef] [PubMed]
- Dioverti, M.V.; Lahr, B.D.; Germer, J.J.; Yao, J.D.; Gartner, M.L.; Razonable, R.R. Comparison of standardized cytomegalovirus (CMV) viral load thresholds in whole blood and plasma of solid organ and hematopoietic stem cell transplant recipients with CMV in-fection and disease. Open Forum Infect. Dis. 2017, 4, ofx143. [Google Scholar] [CrossRef]
- Boeckh, M.; Stevens-Ayers, T.; Travi, G.; Huang, M.L.; Cheng, G.S.; Xie, H.; Leisenring, W.; Erard, V.; Seo, S.; Kimball, L.; et al. Cytomegalovirus (CMV) DNA quantitation in bronchoalveolar lavage fluid from hematopoietic stem cell transplant recipients with CMV pneumonia. J. Infect. Dis. 2017, 215, 1514–1522. [Google Scholar] [CrossRef]
- Restrepo-Gualteros, S.M.; Gutierrez, M.J.; Villamil-Osorio, M.; Arroyo, M.A.; Nino, G. Challenges and Clinical Implications of the Diagnosis of Cytomegalovirus Lung Infection in Children. Curr. Infect. Dis. Rep. 2019, 21, 24. [Google Scholar] [CrossRef]
- Govender, K.; Jeena, P.; Parboosing, R. Clinical utility of bronchoalveolar lavage cytomegalovirus viral loads in the diagnosis of cytomegalovirus pneumonitis in infants. J. Med. Virol. 2017, 89, 1080–1087. [Google Scholar] [CrossRef] [PubMed]
- Lee, H.Y.; Rhee, C.K.; Choi, J.Y.; Lee, H.Y.; Lee, J.W.; Lee, D.G. Diagnosis of cytomegalovirus pneumonia by quantitative polymerase chain reaction using bronchial washing fluid from patients with hematologic malignancies. Oncotarget 2017, 8, 39736–39745. [Google Scholar] [CrossRef]
- Erard, V.; Guthrie, K.A.; Seo, S.; Smith, J.; Huang, M.; Chien, J.; Flowers, M.E.; Corey, L.; Boeckh, M. Reduced Mortality of Cytomegalovirus Pneumonia after Hematopoietic Cell Transplantation Due to Antiviral Therapy and Changes in Transplantation Practices. Clin. Infect. Dis. 2015, 61, 31–39. [Google Scholar] [CrossRef] [PubMed]
- Canto, C.L.; Granato, C.F.; Garcez, E.; Villas Boas, L.S.; Fink, M.C.D.S.; Estevam, M.P.; Pannuti, C.S. Cytomegalovirus infection in children with Down syndrome in a day-care center in Brazil. Rev. Inst. Med. Trop. Sao Paulo 2000, 42, 179–183. [Google Scholar] [CrossRef] [PubMed]
- Majithia, M.; Ribeiro, S.P. COVID-19 and down syndrome. Nat. Rev. Immunol. 2022, 22, 404–405. [Google Scholar] [CrossRef] [PubMed]
- Hill, D.A.; Gridley, G.; Cnattingius, S.; Mellemkjaer, L.; Linet, M.; Adami, H.O.; Olsen, J.H.; Nyren, O.; Fraumeni, J.F. Mortality and cancer incidence among individuals with Down syndrome. Arch. Intern. Med. 2003, 163, 705–711. [Google Scholar] [CrossRef]
- Marcovecchio, G.E.; Bortolomai, I.; Ferrua, F.; Fontana, E.; Imberti, L.; Conforti, E.; Amodio, D.; Bergante, S.; Macchiarulo, G.; D’Oria, V.; et al. Thymic epithelium abnormalities in DiGeorge and Down syndrome patients contribute to dysregulation in T cell development. Front. Immunol. 2019, 10, 447. [Google Scholar] [CrossRef]
- Satgé, D.; Seidel, M.G. The pattern of malignancies in Down syndrome and its potential context with the immune system. Front. Immunol. 2018, 9, 3058. [Google Scholar] [CrossRef]
- Kusters, M.A.; Verstegen, R.H.; Gemen, E.F.; de Vries, E. Intrinsic defect of the immune system in children with Down syn-drome: A review. Clin. Exp. Immunol. 2009, 156, 189–193. [Google Scholar] [CrossRef]
- Valentini, D.; Cotugno, N.; Scoppola, V.; Di Camillo, C.; Colagrossi, L.; Manno, E.C.; Perno, C.F.; Russo, C.; Palma, P.; Rossi, P.; et al. Safety and long-term immunogenicity of BNT162b2 vaccine in individuals with Down syndrome. J. Clin. Med. 2022, 11, 694. [Google Scholar] [CrossRef] [PubMed]
- Joshi, A.Y.; Abraham, R.S.; Snyder, M.R.; Boyce, T.G. Immune evaluation and vaccine responses in Down syndrome: Evidence of immunodeficiency? Vaccine 2011, 29, 5040–5046. [Google Scholar] [CrossRef]
- Fourati, S.; Cristescu, R.; Loboda, A.; Talla, A.; Filali, A.; Railkar, R.; Schaeffer, A.K.; Favre, D.; Gagnon, D.; Peretz, Y.; et al. Pre-vaccination inflammation and B-cell signalling predict age-related hyporesponse to hepatitis B vaccination. Nat. Commun. 2016, 7, 10369. [Google Scholar] [CrossRef] [PubMed]
- Stagliano, D.R.; Nylund, C.M.; Eide, M.B.; Eberly, M.D. Children with Down syndrome are high-risk for severe respiratory syncytial virus disease. J. Pediatr. 2015, 166, 703–709.e2. [Google Scholar] [CrossRef] [PubMed]
- Kusters, M.A.A.; Manders, N.C.C.; de Jong, B.A.W.; van Hout, R.W.N.M.; Rijkers, G.T.; de Vries, E. Functionality of the pneumococcal antibody response in Down syndrome subjects. Vaccine 2013, 31, 6261–6265. [Google Scholar] [CrossRef]
- Nurmi, T.; Leinonen, M.; Häivä, V.M.; Tiilikainen, A.; Kouvalainen, K. Antibody response to pneumococcal vaccine in patients with trisomy-21 (Down’s syndrome). Clin. Exp. Immunol. 1982, 48, 485. [Google Scholar] [PubMed]
- Langkamp, D.L.; Dusseau, A.; Brown, M.F. Vaccine Hesitancy and Low Immunization Rates in Children with Down Syndrome. J. Pediatr. 2020, 223, 64–67. [Google Scholar] [CrossRef] [PubMed]
- Dunn, J.J.; Selvarangan, R.; Maggert, K.; Young, S.; Leber, A.L. Multicenter Evaluation of the DiaSorin Molecular Simplexa Congenital CMV Direct PCR Test on Neonatal Saliva and Urine Specimens. J. Clin. Microbiol. 2023, 61, e00283-23. [Google Scholar] [CrossRef]
- Rawlinson, W.D.; Boppana, S.B.; Fowler, K.B.; Kimberlin, D.W.; Lazzarotto, T.; Alain, S.; Daly, K.; Doutré, S.; Gibson, L.; Giles, M.L.; et al. Congenital cytomegalovirus infection in pregnancy and the neonate: Consensus recommendations for prevention, diagnosis, and therapy. Lancet Infect. Dis. 2017, 17, e177–e188. [Google Scholar] [CrossRef]
- Luck, S.E.; Wieringa, J.W.; Blázquez-Gamero, D.; Henneke, P.; Schuster, K.; Butler, K.; Capretti, M.G.; Cilleruelo, M.J.; Curtis, N.; Garofoli, F.; et al. Congenital cytomegalovirus: A European expert consensus statement on diagnosis and management. Pediatr. Infect. Dis. J. 2017, 36, 1205–1213. [Google Scholar] [CrossRef]




| DAY | 1 | 2 | 3 | 4 | 5 | 6 | 7 | 8 | 9 | 10 |
|---|---|---|---|---|---|---|---|---|---|---|
| WBC cells/xμL) | 16,060 | 20,000 | 26,800 | 28,600 | 26,800 | 19,860 | 14,810 | 13,090 | 9750 | 7300 |
| CRP (mg/L) | 22.32 | 22.78 | 21.71 | 23.93 | 22.75 | 18.85 | 14.93 | 12.43 | 7.48 | 3.43 |
| PCT (ng/mL) | 3.22 | 3.17 | 2.65 | 1.87 | 1.32 | 1.0 | 0.83 | 0.89 | 0.74 | 0.7 |
| CREA (mg/dL) | 1.63 | 2.32 | 2.18 | 1.98 | 1.88 | 2.09 | 2.05 | 1.87 | 1.85 | 1.68 |
| CMV DNA Copies/mL (BAL) | 300 2.4 LOG |
Disclaimer/Publisher’s Note: The statements, opinions and data contained in all publications are solely those of the individual author(s) and contributor(s) and not of MDPI and/or the editor(s). MDPI and/or the editor(s) disclaim responsibility for any injury to people or property resulting from any ideas, methods, instructions or products referred to in the content. |
© 2024 by the authors. Licensee MDPI, Basel, Switzerland. This article is an open access article distributed under the terms and conditions of the Creative Commons Attribution (CC BY) license (https://creativecommons.org/licenses/by/4.0/).
Share and Cite
Perrotta, F.; Piscopiello, D.; Rizzo, D.; Iosa, G.; Garzya, G.; Calò, P.; Gemma, D. Cytomegalovirus Pneumonia in a Patient with Down Syndrome. Medicina 2024, 60, 242. https://doi.org/10.3390/medicina60020242
Perrotta F, Piscopiello D, Rizzo D, Iosa G, Garzya G, Calò P, Gemma D. Cytomegalovirus Pneumonia in a Patient with Down Syndrome. Medicina. 2024; 60(2):242. https://doi.org/10.3390/medicina60020242
Chicago/Turabian StylePerrotta, Francesco, Donato Piscopiello, Daniela Rizzo, Gaetano Iosa, Giorgio Garzya, Piero Calò, and Daniele Gemma. 2024. "Cytomegalovirus Pneumonia in a Patient with Down Syndrome" Medicina 60, no. 2: 242. https://doi.org/10.3390/medicina60020242
APA StylePerrotta, F., Piscopiello, D., Rizzo, D., Iosa, G., Garzya, G., Calò, P., & Gemma, D. (2024). Cytomegalovirus Pneumonia in a Patient with Down Syndrome. Medicina, 60(2), 242. https://doi.org/10.3390/medicina60020242
