Our Experience with Cyst Excision and Hepaticoenterostomy for Choledocal Cyst: A Single Center Case Review of 16 Patients
Abstract
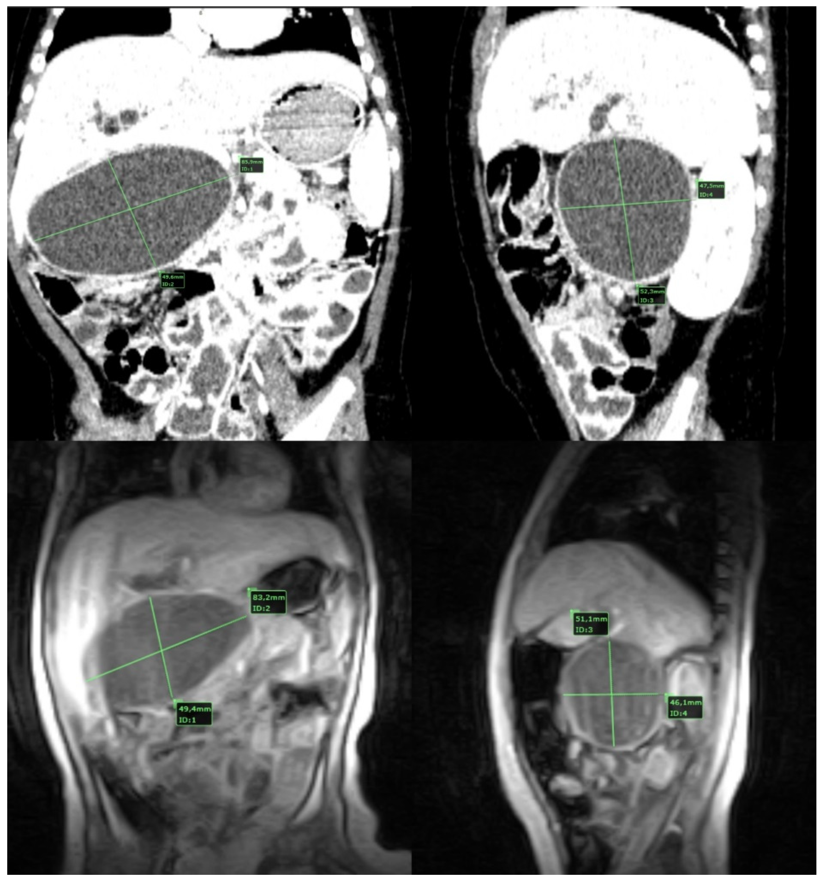
:1. Introduction
2. Patients and Methods
3. Results
4. Discussion
5. Conclusions
Author Contributions
Funding
Institutional Review Board Statement
Informed Consent Statement
Data Availability Statement
Conflicts of Interest
References
- Rubalcava, N.S.; Overman, R.E.; Pilkington, M.; Grant, C.N.; Geiger, J.D.; Jarboe, M.D.; Speck, K.E. Laparoscopic choledochal cyst resection using a novel articulating instrument in pediatric patients. J. Pediatr. Surg. Case Rep. 2021, 70, 101888. [Google Scholar] [CrossRef]
- Liem, N.T.; Pham, H.D.; Dung, L.A.; Son, T.N.; Vu, H.M. Early and intermediate outcomes of laparoscopic surgery for choledochal cysts with 400 patients. J. Laparoendosc. Adv. Surg. Tech. 2012, 22, 599–603. [Google Scholar] [CrossRef] [PubMed]
- Lee, C.; Byun, J.; Ko, D.; Yang, H.-B.; Youn, J.K.; Kim, H.-Y. Comparison of long-term biliary complications between open and laparoscopic choledochal cyst excision in children. Ann. Surg. Treat. Res. 2021, 100, 186–192. [Google Scholar] [CrossRef]
- Todani, T. Congenital choledochal dilatation: Classification, clinical features, and long-term results. J. Hepatobiliary Pancreat. Surg. 1997, 4, 276–282. [Google Scholar] [CrossRef]
- Silva-Baez, H.; Coello-Ramírez, P.; Ixtabalán-Escalante, E.M.; Sotelo-Anaya, E.; Gallo-Morales, M.; Cordero-Estrada, E.; Sainz-Escarrega, V.H.; Ploneda-Valencia, C.F. Treatment of choledochal cyst in a pediatric population. A single institution experience of 15-years. Case series. Ann. Med. Surg. 2016, 5, 81–85. [Google Scholar] [CrossRef]
- Söreide, K.; Körner, H.; Havnen, J.; Söreide, J.A. Bile duct cysts in adults. Br. J. Surg. 2004, 91, 1538–1548. [Google Scholar] [CrossRef] [PubMed]
- Hamada, Y.; Ando, H.; Kamisawa, T.; Itoi, T.; Urushihara, N.; Koshinaga, T.; Saito, T.; Fujii, H.; Morotomi, Y. Diagnostic criteria for congenital biliary dilatation 2015. J. Hepatobiliary Pancreat. Sci. 2016, 23, 342–346. [Google Scholar] [CrossRef] [PubMed] [Green Version]
- Hong, L.; Wu, Y.; Yan, Z.; Xu, M.; Chu, J.; Chen, Q.-M. Laparoscopic surgery for choledochal cyst in children: A case review of 31 patients. Eur. J. Pediatr. Surg. Off. J. Austrian Assoc. Pediatr. Surg. 2008, 18, 67–71. [Google Scholar] [CrossRef]
- Babbitt, D.P. Congenital choledochal cysts: New etiological concept based on anomalous relationships of the common bile duct and pancreatic bulb. Ann. Radiol. 1969, 12, 231–240. [Google Scholar]
- Spitz, L. Experimental production of cystic dilatation of the common bile duct in neonatal lambs. J. Pediatr. Surg. 1977, 12, 39–42. [Google Scholar] [CrossRef]
- Imazu, M.; Iwai, N.; Tokiwa, K.; Shimotake, T.; Kimura, O.; Ono, S. Factors of biliary carcinogenesis in choledochal cysts. Eur. J. Pediatr. Surg. Off. J. Austrian Assoc. Pediatr. Surg. 2001, 11, 24–27. [Google Scholar] [CrossRef] [PubMed]
- Kusunoki, M.; Saitoh, N.; Yamamura, T.; Fujita, S.; Takahashi, T.; Utsunomiya, J. Choledochal cysts. Oligoganglionosis in the narrow portion of the choledochus. Arch. Surg. 1988, 123, 984–986. [Google Scholar] [CrossRef] [PubMed]
- Iwata, F.; Uchida, A.; Miyaki, T.; Aoki, S.; Fujioka, T.; Yamada, J.; Joh, T.; Itoh, M. Familial occurrence of congenital bile duct cysts. J. Gastroenterol. Hepatol. 1998, 13, 316–319. [Google Scholar] [CrossRef]
- Soares, K.C.; Arnaoutakis, D.J.; Kamel, I.; Rastegar, N.; Anders, R.; Maithel, S.; Pawlik, T.M. Choledochal cysts: Presentation, clinical differentiation, and management. J. Am. Coll. Surg. 2014, 219, 1167–1180. [Google Scholar] [CrossRef] [PubMed] [Green Version]
- Katabi, N.; Pillarisetty, V.G.; DeMatteo, R.; Klimstra, D.S. Choledochal cysts: A clinicopathologic study of 36 cases with emphasis on the morphologic and the immunohistochemical features of premalignant and malignant alterations. Hum. Pathol. 2014, 45, 2107–2114. [Google Scholar] [CrossRef] [PubMed]
- Liu, C.-L.; Fan, S.-T.; Lo, C.-M.; Lam, C.M.; Poon, R.T.-P.; Wong, J. Choledochal cysts in adults. Arch. Surg. 2002, 137, 465–468. [Google Scholar] [CrossRef] [Green Version]
- Bhavsar, M.S.; Vora, H.B.; Giriyappa, V.H. Choledochal cysts: A review of literature. Saudi J. Gastroenterol. 2012, 18, 230. [Google Scholar] [PubMed]
- Lin, S.L.; Shan, K.M.; Hung, Y.B.; Ng, S.H.; Lin, C.Y. Choledochal cyst associated with acute acalculous cholecystitis. J. Pediatr. Gastroenterol. Nutr. 2000, 31, 307–308. [Google Scholar] [CrossRef]
- Jiménez-Urueta, P.S.; Alexis-Pacheco, B.; de Jesús Gutiérrez-Escobedo, J.; Castañeda-Ortiz, R.A.; Suárez-Gutiérrez, R. Resección de quiste de colédoco y hepatoduodeno anastomosis vía laparoscópica. Acta Pediátrica México 2013, 34, 258–262. [Google Scholar]
- Liu, S.-L.; Li, L.; Hou, W.-Y.; Zhang, J.; Huang, L.-M.; Li, X.; Xie, H.-W.; Cheng, W. Laparoscopic excision of choledochal cyst and Roux-en-Y hepaticojejunostomy in symptomatic neonates. J. Pediatr. Surg. 2009, 44, 508–511. [Google Scholar] [CrossRef] [PubMed]
- Mishra, A.; Pant, N.; Chadha, R.; Choudhury, S.R. Choledochal cysts in infancy and childhood. Indian J. Pediatr. 2007, 74, 937–942. [Google Scholar] [CrossRef] [PubMed]
- Irie, H.; Honda, H.; Jimi, M.; Yokohata, K.; Chijiiwa, K.; Kuroiwa, T.; Hanada, K.; Yoshimitsu, K.; Tajima, T.; Matsuo, S.; et al. Value of MR cholangiopancreatography in evaluating choledochal cysts. AJR Am. J. Roentgenol. 1998, 171, 1381–1385. [Google Scholar] [CrossRef] [PubMed]
- Alonso-Lej, F.; Rever, W.B.J.; Pessagno, D.J. Congenital choledochal cyst, with a report of 2, and an analysis of 94, cases. Int. Abstr. Surg. 1959, 108, 1–30. [Google Scholar] [PubMed]
- Todani, T.; Watanabe, Y.; Narusue, M.; Tabuchi, K.; Okajima, K. Congenital bile duct cysts: Classification, operative procedures, and review of thirty-seven cases including cancer arising from choledochal cyst. Am. J. Surg. 1977, 134, 263–269. [Google Scholar] [CrossRef]
- Singham, J.; Yoshida, E.M.; Scudamore, C.H. Choledochal cysts: Part 1 of 3: Classification and pathogenesis. Can. J. Surg. 2009, 52, 434–440. [Google Scholar]
- Serena Serradel, A.F.; Santamaría Linares, E.; Herrera Goepfert, R. Cystic dilatation of the cystic duct: A new type of biliary cyst. Surgery 1991, 109, 320–322. [Google Scholar]
- Lipsett, P.A.; Pitt, H.A. Surgical treatment of choledochal cysts. J. Hepatobiliary Pancreat. Surg. 2003, 10, 352–359. [Google Scholar] [CrossRef]
- Piskin, E.; Ustuner, M.A.; Oter, V.; Aydin, O.; Ozgun, Y.M.; Colakoglu, M.K.; Aksoy, E.; Keklik, T.T.; Ozogul, Y.B.; Bostanci, E.B. Single-Center Results of Choledochal Cysts in Turkish Population. Arch. Iran. Med. 2021, 24, 43–47. [Google Scholar] [CrossRef]
- Yeung, F.; Chung, P.H.Y.; Wong, K.K.Y.; Tam, P.K.H. Biliary-enteric reconstruction with hepaticoduodenostomy following laparoscopic excision of choledochal cyst is associated with better postoperative outcomes: A single-centre experience. Pediatr. Surg. Int. 2015, 31, 149–153. [Google Scholar] [CrossRef]
- Farello, G.A.; Cerofolini, A.; Rebonato, M.; Bergamaschi, G.; Ferrari, C.; Chiappetta, A. Congenital choledochal cyst: Video-guided laparoscopic treatment. Surg. Laparosc. Endosc. 1995, 5, 354–358. [Google Scholar]
- Woo, R.; Le, D.; Albanese, C.T.; Kim, S.S. Robot-assisted laparoscopic resection of a type I choledochal cyst in a child. J. Laparoendosc. Adv. Surg. Tech. A 2006, 16, 179–183. [Google Scholar] [CrossRef] [PubMed]
- Zhen, C.; Xia, Z.; Long, L.; Lishuang, M.; Pu, Y.; Wenjuan, Z.; Xiaofan, L. Laparoscopic excision versus open excision for the treatment of choledochal cysts: A systematic review and meta-analysis. Int. Surg. 2015, 100, 115–122. [Google Scholar] [CrossRef] [PubMed] [Green Version]
- Shen, H.-J.; Xu, M.; Zhu, H.-Y.; Yang, C.; Li, F.; Li, K.-W.; Shi, W.-J.; Huo-Jian, S. Laparoscopic versus open surgery in children with choledochal cysts: A meta-analysis. Pediatr. Surg. Int. 2015, 31, 529–534. [Google Scholar] [CrossRef] [PubMed]
- Diao, M.; Li, L.; Cheng, W. Role of laparoscopy in treatment of choledochal cysts in children. Pediatr. Surg. Int. 2013, 29, 317–326. [Google Scholar] [CrossRef]
- Nazki, S.; Kanojia, R.P.; Bawa, M.; Binu, V.; Lal, S.; Sood, A.; Samujh, R. Robotic Excision of Choledochal Cyst with Hepaticoduodenostomy (HD): Report of HD Technique, Initial Experience, and Early Outcome. Eur. J. Pediatr. Surg. Off. J. Austrian Assoc. Pediatr. Surg. 2021, 31, 286–291. [Google Scholar] [CrossRef]
- Saxena, N.A.; Kulkarni, B.K.; Borwankar, S.S.; Lahoti, H.N.; Multani, P.; Oak, S.N. Hepaticoduodenostomy as a technique for biliary anastomosis in children with choledochal cyst: An experience with 31 cases. Ann. Pediatr. Surg. 2017, 13, 78–80. [Google Scholar] [CrossRef]
- Narayanan, S.K.; Chen, Y.; Narasimhan, K.L.; Cohen, R.C. Hepaticoduodenostomy versus hepaticojejunostomy after resection of choledochal cyst: A systematic review and meta-analysis. J. Pediatr. Surg. 2013, 48, 2336–2342. [Google Scholar] [CrossRef]
- Santore, M.T.; Behar, B.J.; Blinman, T.A.; Doolin, E.J.; Hedrick, H.L.; Mattei, P.; Nance, M.L.; Adzick, N.S.; Flake, A.W. Hepaticoduodenostomy vs hepaticojejunostomy for reconstruction after resection of choledochal cyst. J. Pediatr. Surg. 2011, 46, 209–213. [Google Scholar] [CrossRef]
- Gardikis, S.; Antypas, S.; Kambouri, K.; Lainakis, N.; Panagidis, A.; Deftereos, S.; Polychronidis, A.; Dolatzas, T.; Simopoulos, C. The Roux-en-Y procedure in congenital hepato-biliary disorders. Rom. J. Gastroenterol. 2005, 14, 135–140. [Google Scholar]
- Yamataka, A.; Kobayashi, H.; Shimotakahara, A.; Okada, Y.; Yanai, T.; Lane, G.J.; Urao, M.; Miyano, T. Recommendations for preventing complications related to Roux-en-Y hepatico-jejunostomy performed during excision of choledochal cyst in children. J. Pediatr. Surg. 2003, 38, 1830–1832. [Google Scholar] [CrossRef]
- Serber, J.; Stranzinger, E.; Geiger, J.D.; Teitelbaum, D.H. Association of gastroschisis and choledochal cyst. J. Pediatr. Surg. 2009, 44, e23–e26. [Google Scholar] [CrossRef] [PubMed]
- Todani, T.; Watanabe, Y.; Mizuguchi, T.; Fujii, T.; Toki, A. Hepaticoduodenostomy at the hepatic hilum after excision of choledochal cyst. Am. J. Surg. 1981, 142, 584–587. [Google Scholar] [CrossRef]
- Shimotakahara, A.; Yamataka, A.; Yanai, T.; Kobayashi, H.; Okazaki, T.; Lane, G.J.; Miyano, T. Roux-en-Y hepaticojejunostomy or hepaticoduodenostomy for biliary reconstruction during the surgical treatment of choledochal cyst: Which is better? Pediatr. Surg. Int. 2005, 21, 5–7. [Google Scholar] [CrossRef] [PubMed]
- Todani, T.; Watanabe, Y.; Urushihara, N.; Noda, T.; Morotomi, Y. Biliary complications after excisional procedure for choledochal cyst. J. Pediatr. Surg. 1995, 30, 478–481. [Google Scholar] [CrossRef]
- Moslim, M.A.; Takahashi, H.; Seifarth, F.G.; Walsh, R.M.; Morris-Stiff, G. Choledochal Cyst Disease in a Western Center: A 30-Year Experience. J. Gastrointest. Surg. Off. J. Soc. Surg. Aliment. Tract. 2016, 20, 1453–1463. [Google Scholar] [CrossRef]
- Edil, B.H.; Cameron, J.L.; Reddy, S.; Lum, Y.; Lipsett, P.A.; Nathan, H.; Pawlik, T.M.; Choti, M.A.; Wolfgang, C.L.; Schulick, R.D. Choledochal cyst disease in children and adults: A 30-year single-institution experience. J. Am. Coll. Surg. 2008, 206, 1000–1005. [Google Scholar] [CrossRef]
- Li, M.-J.; Feng, J.-X.; Jin, Q.-F. Early complications after excision with hepaticoenterostomy for infants and children with choledochal cysts. Hepatobiliary Pancreat. Dis. Int. HBPD Int. 2002, 1, 281–284. [Google Scholar]
- Mukhopadhyay, B.; Shukla, R.M.; Mukhopadhyay, M.; Mandal, K.C.; Mukherjee, P.P.; Roy, D.; Biswas, S.K.; Basu, K.S. Choledochal cyst: A review of 79 cases and the role of hepaticodochoduodenostomy. J. Indian Assoc. Pediatr. Surg. 2011, 16, 54–57. [Google Scholar] [CrossRef]
- Goto, N.; Yasuda, I.; Uematsu, T.; Kanemura, N.; Takai, S.; Ando, K.; Kato, T.; Osada, S.; Takao, H.; Saji, S.; et al. Intrahepatic cholangiocarcinoma arising 10 years after the excision of congenital extrahepatic biliary dilation. J. Gastroenterol. 2001, 36, 856–862. [Google Scholar] [CrossRef]



| Type | |
|---|---|
| IA | Diffuse cystic dilatation of the extrahepatic bile ducts, with normal intrahepatic ducts |
| IB | Focal, segmental cystic dilatation of the extrahepatic bile ducts |
| IC | Fusiform dilatation, usually extending from the pancreaticobiliary junction to the intrahepatic duct |
| II | A thin-stemmed diverticulum of the extrahepatic bile duct |
| III | Cystic dilatation of the distal extrahepatic bile duct, extending into the duodenal lumen (cholodococele) |
| IVA | Cystic or fusiform dilatation of the intrahepatic of extrahepatic bile ducts |
| IVB | Multiple cystic dilatation of the extrahepatic bile ducts (radiographically appear as a string of beads or bunch of grapes) |
| V | Multiple, cystic or saccular dialations of the intrahepatic bile ducts. These CCs refer to Caroli’s disease, and occur as connecting cavernous ectasia. |
| Age (Months) | Sex | Initial Presentation | Imaging Techniques | Surgical Technique | Approach | Postop. Complications | Pathology | Follow Up (Months) | |||||||||||
|---|---|---|---|---|---|---|---|---|---|---|---|---|---|---|---|---|---|---|---|
| Ns | Jd | AP | AM | As/Hu | Pt | Cl | US | CT | MRI | Cyst Type | Cyst Dimension (mm) * | Liver Disease | |||||||
| 1 | 63 | F | Yes | Yes | No | No | No | No | Yes | Yes | No | No | HD | Open | No | 1C | 90 | N | 28 |
| 2 | 26 | F | Yes | No | No | No | No | No | No | Yes | No | No | HD | Lap | No | 1C | 25 | N | 12 |
| 3 | 204 | F | Yes | No | No | No | No | No | No | Yes | No | Yes | HD | Lap | No | 1B | 39 | N | LTF |
| 4 | 36 | F | Yes | Yes | Yes | No | No | Yes | Yes | Yes | Yes | No | HJ | Open | Yes—Pt | 1C | 54 | N | 6 |
| 5 | 23 | F | No | Yes | Yes | No | No | No | Yes | Yes | Yes | No | HD | Lap | No | 4A | 26 | CH | 12 |
| 6 | 120 | M | Yes | No | Yes | No | No | No | No | Yes | Yes | No | HD | Lap | No | 1B | 30 | N | 48 |
| 7 | 35 | M | Yes | Yes | Yes | No | No | No | Yes | Yes | Yes | No | HD | Lap | No | 1A | 42 | N | 16 |
| 8 | 18 | M | No | Yes | No | No | Yes | No | No | Yes | Yes | No | HJ | Open | No | 1C | 48 | N | 10 |
| 9 | 14 | F | No | No | Yes | No | No | No | No | yes | Yes | Yes | HJ | Open | No | 4A | 14 | N | 24 |
| 10 | 2 | M | Yes | No | No | No | No | No | No | Yes | Yes | No | HD | Open | No | 1C | 30 | N | 36 |
| 11 | 82 | F | Yes | Yes | Yes | Yes | No | Yes | Yes | Yes | Yes | Yes | HD | Lap | Yes—AL | 1C | 99 | N | LTF |
| 12 | 84 | F | Yes | Yes | Yes | Yes | No | No | Yes | Yes | Yes | Yes | HJ | Open | No | 1C | 60 | N | 12 |
| 13 | 4 | M | No | Yes | No | No | Yes | No | No | Yes | Yes | No | HJ | Conversion | No | 1C | 23 | VH | Deceased |
| 14 | 2 | F | No | Yes | No | No | No | Yes | No | Yes | Yes | No | HJ | Open | No | 1C | 40 | N | 3 |
| 15 | 84 | M | Yes | Yes | Yes | No | No | No | No | Yes | No | No | HJ | Open | No | 1C | 60 | N | LTF |
| 16 | 54 | F | No | No | Yes | No | No | No | Yes | Yes | Yes | No | HJ | Open | No | 1A | 80 | N | 3 |
| 1977—Todani | 2019—Baison | |
|---|---|---|
| Type I | Cyst excision + Roux-en-Y HJ (T-tube for IB, sphincteroplasty for IC) | Cyst excision + Hepaticoenterostomy (HJ/HD) |
| Type II | No experience (Case reports − diverticulectomy) | Diverticulectomy |
| Type III | No experience (Case reports − transduodeal excision + sphincteroplasty) | Endoscopic transduodenal excision + sphincteroplasty |
| Type IV | Cyst excision + HJ | Cyst excision + Hepaticoenterostomy (HJ/HD) |
| Type V | Partial resection in localized disease | Partial resection for partial disease, liver transplantation for diffuse disease |
Publisher’s Note: MDPI stays neutral with regard to jurisdictional claims in published maps and institutional affiliations. |
© 2022 by the authors. Licensee MDPI, Basel, Switzerland. This article is an open access article distributed under the terms and conditions of the Creative Commons Attribution (CC BY) license (https://creativecommons.org/licenses/by/4.0/).
Share and Cite
Balanescu, L.; Moga, A.; Balanescu, R.; Strimbu, T.; Cardoneanu, A. Our Experience with Cyst Excision and Hepaticoenterostomy for Choledocal Cyst: A Single Center Case Review of 16 Patients. Medicina 2022, 58, 416. https://doi.org/10.3390/medicina58030416
Balanescu L, Moga A, Balanescu R, Strimbu T, Cardoneanu A. Our Experience with Cyst Excision and Hepaticoenterostomy for Choledocal Cyst: A Single Center Case Review of 16 Patients. Medicina. 2022; 58(3):416. https://doi.org/10.3390/medicina58030416
Chicago/Turabian StyleBalanescu, Laura, Andreea Moga, Radu Balanescu, Tudor Strimbu, and Ancuta Cardoneanu. 2022. "Our Experience with Cyst Excision and Hepaticoenterostomy for Choledocal Cyst: A Single Center Case Review of 16 Patients" Medicina 58, no. 3: 416. https://doi.org/10.3390/medicina58030416
APA StyleBalanescu, L., Moga, A., Balanescu, R., Strimbu, T., & Cardoneanu, A. (2022). Our Experience with Cyst Excision and Hepaticoenterostomy for Choledocal Cyst: A Single Center Case Review of 16 Patients. Medicina, 58(3), 416. https://doi.org/10.3390/medicina58030416
