Retinal Findings and Cardiovascular Risk: Prognostic Conditions, Novel Biomarkers, and Emerging Image Analysis Techniques
Abstract
:1. Introduction
2. Methods
3. Findings
3.1. Retinal Conditions Established in the Literature as Portending Increased Cardiovascular Risk
3.1.1. Central Retinal Artery Occlusion
3.1.2. Central Retinal Vein Occlusion
3.1.3. Cotton Wool Spots
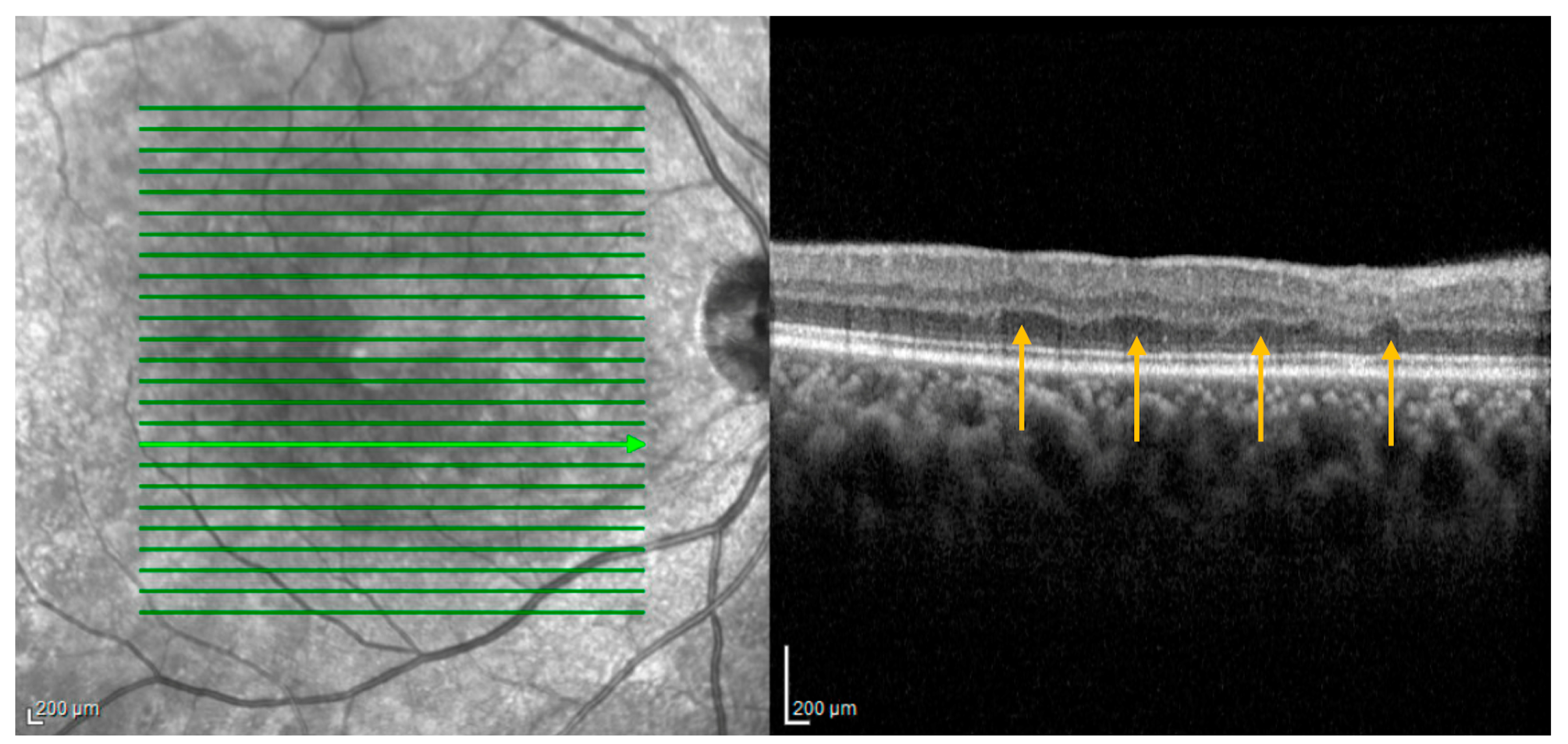
3.1.4. Age-Related Macular Degeneration: Subretinal Drusenoid Deposits
3.2. A Retinal Condition of Uncertain Systemic Cardiovascular Significance
Acute Macular Neuroretinopathy
3.3. Retinal Imaging Biomarkers of Potential Cardiovascular Significance
3.3.1. Paracentral Acute Middle Maculopathy
3.3.2. Retinal Ischemic Perivascular Lesions (RIPLs)
3.4. Advanced Retinal Imaging Techniques and Correlations with Cardiovascular Disease
3.4.1. Vessel Parameters on Fundus Photography
3.4.2. Retinal and Choroidal Thickness on Optical Coherence Tomography
3.4.3. Optical Coherence Tomography Angiography
4. Limitations
5. Conclusions
Author Contributions
Funding
Acknowledgments
Conflicts of Interest
Abbreviations
References
- Hurley, J.B.; Lindsay, K.J.; Du, J. Glucose, lactate, and shuttling of metabolites in vertebrate retinas. J. Neurosci. Res. 2015, 93, 1079–1092. [Google Scholar] [CrossRef]
- Campbell, J.P.; Zhang, M.; Hwang, T.S.; Bailey, S.T.; Wilson, D.J.; Jia, Y.; Huang, D. Detailed Vascular Anatomy of the Human Retina by Projection-Resolved Optical Coherence Tomography Angiography. Sci. Rep. 2017, 7, srep42201. [Google Scholar] [CrossRef] [PubMed]
- Park, S.J.; Choi, N.-K.; Seo, K.H.; Park, K.H.; Woo, S.J. Nationwide Incidence of Clinically Diagnosed Central Retinal Artery Occlusion in Korea, 2008 to 2011. Ophthalmology 2014, 121, 1933–1938. [Google Scholar] [CrossRef]
- Hayreh, S.S.; Zimmerman, M.B. Central Retinal Artery Occlusion: Visual Outcome. Am. J. Ophthalmol. 2005, 140, 376.e1. [Google Scholar] [CrossRef] [PubMed]
- Mac Grory, B.; Schrag, M.; Biousse, V.; Furie, K.L.; Gerhard-Herman, M.; Lavin, P.J.; Sobrin, L.; Tjoumakaris, S.I.; Weyand, C.M.; Yaghi, S. Management of Central Retinal Artery Occlusion: A Scientific Statement from the American Heart Association. Stroke 2021, 52, e282–e294. [Google Scholar] [CrossRef] [PubMed]
- Lavin, P.; Patrylo, M.; Hollar, M.; Espaillat, K.B.; Kirshner, H.; Schrag, M. Stroke Risk and Risk Factors in Patients with Central Retinal Artery Occlusion. Am. J. Ophthalmol. 2018, 196, 96–100. [Google Scholar] [CrossRef]
- Park, S.J.; Choi, N.-K.; Yang, B.R.; Park, K.H.; Lee, J.; Jung, S.-Y.; Woo, S.J. Risk and Risk Periods for Stroke and Acute Myocardial Infarction in Patients with Central Retinal Artery Occlusion. Ophthalmology 2015, 122, 2336–2343.e2. [Google Scholar] [CrossRef] [PubMed]
- Roskal-Wałek, J.; Wałek, P.; Biskup, M.; Odrobina, D.; Mackiewicz, J.; Głuszek, S.; Wożakowska-Kapłon, B. Central and Branch Retinal Artery Occlusion—Do They Harbor the Same Risk of Further Ischemic Events? J. Clin. Med. 2021, 10, 3093. [Google Scholar] [CrossRef]
- Mir, T.A.; Arham, A.Z.; Fang, W.; Alqahtani, F.; Alkhouli, M.; Gallo, J.; Hinkle, D.M. Acute Vascular Ischemic Events in Patients with Central Retinal Artery Occlusion in the United States: A Nationwide Study 2003–2014. Arch. Ophthalmol. 2019, 200, 179–186. [Google Scholar] [CrossRef]
- Bradley, S.M.; Borgerding, J.A.; Wood, G.B.; Maynard, C.; Fihn, S.D. Incidence, Risk Factors, and Outcomes Associated with In-Hospital Acute Myocardial Infarction. JAMA Netw. Open 2019, 2, e187348. [Google Scholar] [CrossRef]
- Vu, T.H.K.; Chen, H.; Pan, L.; Cho, K.-S.; Doesburg, D.; Thee, E.F.; Wu, N.; Arlotti, E.; Jager, M.J.; Chen, D.F. CD4+ T-Cell Responses Mediate Progressive Neurodegeneration in Experimental Ischemic Retinopathy. Am. J. Pathol. 2020, 190, 1723–1734. [Google Scholar] [CrossRef]
- Kumar, V.; Prabhu, S.D.; Bansal, S.S. CD4+ T-lymphocytes exhibit biphasic kinetics post-myocardial infarction. Front. Cardiovasc. Med. 2022, 9, 992653. [Google Scholar] [CrossRef] [PubMed]
- Niccoli, G.; Montone, R.A.; Sabato, V.; Crea, F. Role of Allergic Inflammatory Cells in Coronary Artery Disease. Circulation 2018, 138, 1736–1748. [Google Scholar] [CrossRef]
- Gegunde, S.; Alfonso, A.; Alvariño, R.; Alonso, E.; González-Juanatey, C.; Botana, L.M. Crosstalk between cyclophilins and T lymphocytes in coronary artery disease. Exp. Cell Res. 2021, 400, 112514. [Google Scholar] [CrossRef] [PubMed]
- Kumar, V.; Rosenzweig, R.; Asalla, S.; Nehra, S.; Prabhu, S.D.; Bansal, S.S. TNFR1 Contributes to Activation-Induced Cell Death of Pathological CD4+ T Lymphocytes During Ischemic Heart Failure. JACC Basic Transl. Sci. 2022, 7, 1038–1049. [Google Scholar] [CrossRef] [PubMed]
- Kewcharoen, J.; Tom, E.S.; Wiboonchutikula, C.; Trongtorsak, A.; Wittayalikit, C.; Vutthikraivit, W.; Prasitlumkum, N.; Rattanawong, P. Prevalence of Atrial Fibrillation in Patients with Retinal Vessel Occlusion and Its Association: A Systematic Review and Meta-Analysis. Curr. Eye Res. 2019, 44, 1337–1344. [Google Scholar] [CrossRef]
- Mac Grory, B.; Landman, S.R.; Ziegler, P.D.; Boisvert, C.J.; Flood, S.P.; Stretz, C.; Madsen, T.E.; Reznik, M.E.; Cutting, S.; Moore, E.E.; et al. Detection of Atrial Fibrillation After Central Retinal Artery Occlusion. Stroke 2021, 52, 2773–2781. [Google Scholar] [CrossRef]
- Biousse, V.; Nahab, F.; Newman, N.J. Management of Acute Retinal Ischemia: Follow the Guidelines! Ophthalmology 2018, 125, 1597–1607. [Google Scholar] [CrossRef]
- Varma, D.D.; Cugati, S.; Lee, A.W.; Chen, C.S. A review of central retinal artery occlusion: Clinical presentation and management. Eye 2013, 27, 688–697. [Google Scholar] [CrossRef]
- Youn, T.S.; Lavin, P.; Patrylo, M.; Schindler, J.; Kirshner, H.; Greer, D.M.; Schrag, M. Current treatment of central retinal artery occlusion: A national survey. J. Neurol. 2018, 265, 330–335. [Google Scholar] [CrossRef] [PubMed]
- Sobol, E.K.; Sakai, Y.; Wheelwright, D.; Wilkins, C.S.; Norchi, A.; Fara, M.G.; Kellner, C.; Chelnis, J.; Mocco, J.; Rosen, R.B.; et al. Intra-Arterial Tissue Plasminogen Activator for Central Retinal Artery Occlusion. Clin. Ophthalmol. 2021, 15, 601–608. [Google Scholar] [CrossRef]
- Dumitrascu, O.M.; Newman, N.J.; Biousse, V. Thrombolysis for Central Retinal Artery Occlusion in 2020: Time Is Vision! J. Neuro-Ophthalmol. 2020, 40, 333–345. [Google Scholar] [CrossRef]
- Mehta, N.; Marco, R.D.; Goldhardt, R.; Modi, Y. Central Retinal Artery Occlusion: Acute Management and Treatment. Curr. Ophthalmol. Rep. 2017, 5, 149–159. [Google Scholar] [CrossRef]
- Klein, R.; Moss, S.E.; Meuer, S.M.; Klein, B.E.K. The 15-Year Cumulative Incidence of Retinal Vein Occlusion: The Beaver Dam Eye Study. Arch. Ophthalmol. 2008, 126, 513–518. [Google Scholar] [CrossRef]
- Rehak, J.; Rehak, M. Branch Retinal Vein Occlusion: Pathogenesis, Visual Prognosis, and Treatment Modalities. Curr. Eye Res. 2008, 33, 111–131. [Google Scholar] [CrossRef] [PubMed]
- Yin, X.; Li, J.; Zhang, B.; Lu, P. Association of glaucoma with risk of retinal vein occlusion: A meta-analysis. Acta Ophthalmol. 2019, 97, 652–659. [Google Scholar] [CrossRef]
- The Eye Disease Case-Control Study Group. Risk factors for central retinal vein occlusion. Arch Ophthalmol. 1996, 114, 545–554. [Google Scholar] [CrossRef]
- Frederiksen, K.H.; Stokholm, L.; Frederiksen, P.H.; Jørgensen, C.M.; Möller, S.; Kawasaki, R.; Peto, T.; Grauslund, J. Cardiovascular morbidity and all-cause mortality in patients with retinal vein occlusion: A Danish nationwide cohort study. Br. J. Ophthalmol. 2022, 107, 1324–1330. [Google Scholar] [CrossRef]
- Martin, S.C.; Butcher, A.; Martin, N.; Farmer, J.; Dobson, P.M.; A Bartlett, W.; Jones, A.F. Cardiovascular risk assessment in patients with retinal vein occlusion. Br. J. Ophthalmol. 2002, 86, 774–776. [Google Scholar] [CrossRef]
- Chen, Y.-Y.; Sheu, S.-J.; Hu, H.-Y.; Chu, D.; Chou, P. Association between retinal vein occlusion and an increased risk of acute myocardial infarction: A nationwide population-based follow-up study. PLoS ONE 2017, 12, e0184016. [Google Scholar] [CrossRef] [PubMed]
- Wu, C.Y.; Riangwiwat, T.; Limpruttidham, N.; Rattanawong, P.; Rosen, R.B.; Deobhakta, A. Association of retinal vein occlusion with cardiovascular events and mortality: A systematic review and meta-analysis. Retina 2019, 39, 1635–1645. [Google Scholar] [CrossRef] [PubMed]
- Bakhoum, C.Y.; Madala, S.; Long, C.K.; Adabifirouzjaei, F.; Freeman, W.R.; Goldbaum, M.H.; DeMaria, A.N.; Bakhoum, M.F. Retinal vein occlusion is associated with stroke independent of underlying cardiovascular disease. Eye 2022, 37, 764–767. [Google Scholar] [CrossRef] [PubMed]
- Li, M.; Hu, X.; Huang, J.; Tan, Y.; Yang, B.; Tang, Z. Impact of Retinal Vein Occlusion on Stroke Incidence: A Meta-Analysis. J. Am. Heart Assoc. 2016, 5, e004703. [Google Scholar] [CrossRef]
- Yoo, J.; Shin, J.Y.; Jeon, J.; Kim, J. Impact of statin treatment on cardiovascular events in patients with retinal vein occlusion: A nested case-control study. Epidemiol. Health 2023, 45, e2023035. [Google Scholar] [CrossRef]
- Patel, P.S.; Sadda, S.R. Retinal Artery Obstructions, 5th ed.; Elsevier Inc.: Amsterdam, The Netherlands, 2012. [Google Scholar]
- Gomez, M.L.; Mojana, F.; Bartsch, D.-U.; Freeman, W.R. Imaging of Long-term Retinal Damage after Resolved Cotton Wool Spots. Ophthalmology 2009, 116, 2407–2414. [Google Scholar] [CrossRef]
- Wong, T.Y.; McIntosh, R. Hypertensive retinopathy signs as risk indicators of cardiovascular morbidity and mortality. Br. Med. Bull. 2005, 73–74, 57–70. [Google Scholar] [CrossRef]
- Gobron, C.; Erginay, A.; Massin, P.; Lutz, G.; Tessier, N.; Vicaut, E.; Chabriat, H. Microvascular retinal abnormalities in acute intracerebral haemorrhage and lacunar infarction. Rev. Neurol. 2014, 170, 13–18. [Google Scholar] [CrossRef]
- Wong, T.Y.; McIntosh, R. Systemic associations of retinal microvascular signs: A review of recent population-based studies. Ophthalmic Physiol. Opt. 2005, 25, 195–204. [Google Scholar] [CrossRef] [PubMed]
- Wong, T.Y.; Hubbard, L.D.; Klein, R.; Marino, E.K.; Kronmal, R.; Sharrett, A.R.; Siscovick, D.S.; Burke, G.; Tielsch, J.M. Retinal microvascular abnormalities and blood pressure in older people: The Cardiovascular Health Study. Br. J. Ophthalmol. 2002, 86, 1007–1013. [Google Scholar] [CrossRef]
- Rein, D.B.; Wittenborn, J.S.; Burke-Conte, Z.; Gulia, R.; Robalik, T.; Ehrlich, J.R.; Lundeen, E.A.; Flaxman, A.D. Prevalence of Age-Related Macular Degeneration in the US in 2019. JAMA Ophthalmol. 2022, 140, 1202–1208. [Google Scholar] [CrossRef]
- Wong, W.L.; Su, X.; Li, X.; Cheung, C.M.G.; Klein, R.; Cheng, C.Y.; Wong, T.Y. Global prevalence of age-related macular degeneration and disease burden projection for 2020 and 2040: A systematic review and meta-analysis. Lancet Glob. Health 2014, 2, e106–e116. [Google Scholar] [CrossRef] [PubMed]
- Agrón, E.; Agrón, E.; Domalpally, A.; Domalpally, A.; Cukras, C.A.; Cukras, C.A.; Clemons, T.E.; Clemons, T.E.; Chen, Q.; Chen, Q.; et al. Reticular Pseudodrusen: The Third Macular Risk Feature for Progression to Late Age-Related Macular Degeneration: Age-Related Eye Disease Study 2 Report 30. Ophthalmology 2022, 129, 1107–1119. [Google Scholar] [CrossRef] [PubMed]
- Veerappan, M.; El-Hage-Sleiman, A.-K.M.; Tai, V.; Chiu, S.J.; Winter, K.P.; Stinnett, S.S.; Hwang, T.S.; Hubbard, G.B.; Michelson, M.; Gunther, R.; et al. Optical Coherence Tomography Reflective Drusen Substructures Predict Progression to Geographic Atrophy in Age-related Macular Degeneration. Ophthalmology 2016, 123, 2554–2570. [Google Scholar] [CrossRef] [PubMed]
- Chang, C.; Huang, C.; Chou, Y.; Chang, J.; Sun, C. Association Between Age-Related Macular Degeneration and Risk of Heart Failure: A Population-Based Nested Case-Control Study. J. Am. Heart Assoc. 2021, 10, e020071. [Google Scholar] [CrossRef]
- Duan, Y.; Mo, J.; Klein, R.; Scott, I.U.; Lin, H.-M.; Caulfield, J.; Patel, M.; Liao, D. Age-Related Macular Degeneration Is Associated with Incident Myocardial Infarction among Elderly Americans. Ophthalmology 2007, 114, 732–737. [Google Scholar] [CrossRef]
- Liao, D.; Mo, J.; Duan, Y.; Klein, R.; Scott, I.U.; Huang, K.A.; Zhou, H. Is Age-Related Macular Degeneration Associated with Stroke Among Elderly Americans? Open Ophthalmol. J. 2008, 2, 37–42. [Google Scholar] [CrossRef]
- Wang, J.; Xue, Y.; Thapa, S.; Wang, L.; Tang, J.; Ji, K. Relation between Age-Related Macular Degeneration and Cardiovascular Events and Mortality: A Systematic Review and Meta-Analysis. BioMed Res. Int. 2016, 2016, 8212063. [Google Scholar] [CrossRef]
- Nguyen-Khoa, B.-A.; Goehring, E.L.; Werther, W.; Gower, E.W.; Do, D.V.; Jones, J.K. Hospitalized Cardiovascular Diseases in Neovascular Age-Related Macular Degeneration. Arch. Ophthalmol. 2008, 126, 1280. [Google Scholar] [CrossRef]
- Fernandez, A.B.; Wong, T.Y.; Klein, R.; Collins, D.; Burke, G.; Cotch, M.F.; Klein, B.; Sadeghi, M.M.; Chen, J. Age-Related Macular Degeneration and Incident Cardiovascular Disease: The Multi-Ethnic Study of Atherosclerosis. Ophthalmology 2012, 119, 765–770. [Google Scholar] [CrossRef]
- Jung, W.; Han, K.; Kim, B.; Hwang, S.; Yoon, J.M.; Park, J.; Lim, D.H.; Shin, D.W. Age-Related Macular Degeneration with Visual Disability Is Associated with Cardiovascular Disease Risk in the Korean Nationwide Cohort. J. Am. Heart Assoc. 2023, 12, e028027. [Google Scholar] [CrossRef]
- Thomson, R.J.B.; Chazaro, J.B.; Otero-Marquez, O.; Ledesma-Gil, G.; Tong, Y.; Coughlin, A.C.B.; Teibel, Z.R.; Alauddin, S.; Tai, K.B.; Lloyd, H.B.; et al. Subretinal drusenoid deposits and soft drusen: Are they markers for distinct retinal diseases. Retina 2022, 42, 1311–1318. [Google Scholar] [CrossRef]
- Cymerman, R.M.; Skolnick, A.H.; Cole, W.J.; Nabati, C.; Curcio, C.A.; Smith, R.T. Coronary Artery Disease and Reticular Macular Disease, a Subphenotype of Early Age-Related Macular Degeneration. Curr. Eye Res. 2016, 41, 1482–1488. [Google Scholar] [CrossRef]
- Liang, C.; Wang, N. Subretinal Drusenoid Deposits and Lower Serum High-Density Lipoprotein Cholesterol Levels Possess Latent Relation to Cardiovascular Disease and Can Be a Feasible Predictor. Comput. Math. Methods Med. 2022, 2022, 3135100. [Google Scholar] [CrossRef]
- Leisy, H.B.; Ahmad, M.; Marmor, M.; Smith, R.T. Association between Decreased Renal Function and Reticular Macular Disease in Age-Related Macular Degeneration. Ophthalmol. Retin. 2016, 1, 42–48. [Google Scholar] [CrossRef]
- Rahimy, E.; Sarraf, D. Paracentral acute middle maculopathy spectral-domain optical coherence tomography feature of deep capillary ischemia. Curr. Opin. Ophthalmol. 2014, 25, 207–212. [Google Scholar] [CrossRef] [PubMed]
- Fawzi, A.A.; Pappuru, R.R.; Sarraf, D.; Le, P.P.; McCannel, C.A.; Sobrin, L.; Goldstein, D.A.; Honowitz, S.; Walsh, A.C.; Sadda, S.R.; et al. Acute macular neuroretinopathy: Long-term insights revealed by multimodal imaging. Retina 2012, 32, 1500–1513. [Google Scholar] [CrossRef]
- Powers, J.H.; Singh, B.P.P.; Grewal, D.S.; Matthews, J.D.; Fekrat, S. Multimodal imaging of type 2 acute macular neuroretinopathy in a young woman. Digit. J. Ophthalmol. 2021, 27, 44–47. [Google Scholar] [CrossRef] [PubMed]
- Munk, M.R.; Jampol, L.M.; Souza, E.C.; de Andrade, G.C.; Esmaili, D.D.; Sarraf, D.; A Fawzi, A. New associations of classic acute macular neuroretinopathy. Br. J. Ophthalmol. 2016, 100, 389–394. [Google Scholar] [CrossRef]
- Bhavsar, K.V.; Lin, S.; Rahimy, E.; Joseph, A.; Freund, K.B.; Sarraf, D.; Cunningham, E.T. Acute macular neuroretinopathy: A comprehensive review of the literature. Surv. Ophthalmol. 2016, 61, 538–565. [Google Scholar] [CrossRef]
- Chu, S.; Nesper, P.L.; Soetikno, B.T.; Bakri, S.J.; Fawzi, A.A. Projection-Resolved OCT Angiography of Microvascular Changes in Paracentral Acute Middle Maculopathy and Acute Macular Neuroretinopathy. Investig. Opthalmol. Vis. Sci. 2018, 59, 2913–2922. [Google Scholar] [CrossRef] [PubMed]
- Scharf, J.; Freund, K.; Sadda, S.; Sarraf, D. Paracentral acute middle maculopathy and the organization of the retinal capillary plexuses. Prog. Retin. Eye Res. 2021, 81, 100884. [Google Scholar] [CrossRef] [PubMed]
- Maltsev, D.S.; Kulikov, A.N.; Burnasheva, M.A.; Chhablani, J. Prevalence of resolved paracentral acute middle maculopathy lesions in fellow eyes of patients with unilateral retinal vein occlusion. Acta Ophthalmol. 2019, 98, E22–E28. [Google Scholar] [CrossRef] [PubMed]
- Falavarjani, K.G.; Phasukkijwatana, N.; Freund, K.B.; Cunningham, E.T.; Kalevar, A.; McDonald, H.R.; Dolz-Marco, R.; Roberts, P.K.; Tsui, I.; Rosen, R.; et al. En Face Optical Coherence Tomography Analysis to Assess the Spectrum of Perivenular Ischemia and Paracentral Acute Middle Maculopathy in Retinal Vein Occlusion. Am. J. Ophthalmol. 2017, 177, 131–138. [Google Scholar] [CrossRef] [PubMed]
- Antaki, F.; Milad, D.; Hamel, T. Acute retinal ischaemia associated with paracentral acute middle maculopathy detected on multimodal imaging: A premonitory sign of severe carotid occlusive disease. BMJ Case Rep. 2022, 15, e252266. [Google Scholar] [CrossRef]
- Chen, X.; Rahimy, E.; Sergott, R.C.; Nunes, R.P.; Souza, E.C.; Choudhry, N.; Cutler, N.E.; Houston, S.K.; Munk, M.R.; Fawzi, A.A.; et al. Spectrum of Retinal Vascular Diseases Associated with Paracentral Acute Middle Maculopathy. Am. J. Ophthalmol. 2015, 160, 26–34.e1. [Google Scholar] [CrossRef] [PubMed]
- Mairot, K.; Sené, T.; Lecler, A.; Philibert, M.; Clavel, G.; Hemmendinger, A.; Denis, D.; Vignal-Clermont, C.; Mauget-Faÿsse, M.; Hage, R. Paracentral acute middle maculopathy in giant cell arteritis. Retina 2021, 42, 476–484. [Google Scholar] [CrossRef]
- Mishra, P.; Mohanty, S.; P, S.; Moharana, B.; Das, D. Paracentral Acute Middle Maculopathy as the Presenting Sign of Ischemic Cardiomyopathy. Cureus 2023, 15, e35418. [Google Scholar] [CrossRef]
- Khalid, H.; Wagner, S.; Raja, L.; Huemer, J.; Ferraz, D.; Balaskas, K.; Sim, D.; Keane, P.A. Incident cardiovascular events following paracentral acute middle maculopathy. Investig. Ophthalmol. Vis. Sci. 2022, 63, 1750-F0210. [Google Scholar]
- Long, C.P.; Chan, A.X.; Bakhoum, C.Y.; Toomey, C.B.; Madala, S.; Garg, A.K.; Freeman, W.R.; Goldbaum, M.H.; DeMaria, A.N.; Bakhoum, M.F. Prevalence of subclinical retinal ischemia in patients with cardiovascular disease—A hypothesis driven study. eClinicalMedicine 2021, 33, 100775. [Google Scholar] [CrossRef]
- Madala, S.; Adabifirouzjaei, F.; Lando, L.; Yarmohammadi, A.; Long, C.P.; Bakhoum, C.Y.; Goldbaum, M.H.; Sarraf, D.; DeMaria, A.N.; Bakhoum, M.F. Retinal Ischemic Perivascular Lesions, a Biomarker of Cardiovascular Disease. Ophthalmol. Retina 2022, 6, 865–867. [Google Scholar] [CrossRef]
- Seidelmann, S.B.; Claggett, B.; Bravo, P.E.; Gupta, A.; Farhad, H.; Klein, B.E.; Klein, R.; Di Carli, M.; Solomon, S.D. Retinal Vessel Calibers in Predicting Long-Term Cardiovascular Outcomes: The Atherosclerosis Risk in Communities Study. Circulation 2016, 134, 1328–1338. [Google Scholar] [CrossRef]
- Sharrett, A.R.; Hubbard, L.D.; Cooper, L.S.; Sorlie, P.D.; Brothers, R.J.; Nieto, F.J.; Pinsky, J.L.; Klein, R. Retinal Arteriolar Diameters and Elevated Blood Pressure: The Atherosclerosis Risk in Communities Study. Am. J. Epidemiol. 1999, 150, 263–270. [Google Scholar] [CrossRef]
- Arnould, L.; Binquet, C.; Guenancia, C.; Alassane, S.; Kawasaki, R.; Daien, V.; Tzourio, C.; Kawasaki, Y.; Bourredjem, A.; Bron, A.; et al. Association between the retinal vascular network with Singapore “I” Vessel Assessment (SIVA) software, cardiovascular history and risk factors in the elderly: The Montrachet study, population-based study. PLoS ONE 2018, 13, e0194694. [Google Scholar] [CrossRef]
- Diaz-Pinto, A.; Ravikumar, N.; Attar, R.; Suinesiaputra, A.; Zhao, Y.; Levelt, E.; Dall’armellina, E.; Lorenzi, M.; Chen, Q.; Keenan, T.D.L.; et al. Predicting myocardial infarction through retinal scans and minimal personal information. Nat. Mach. Intell. 2022, 4, 55–61. [Google Scholar] [CrossRef]
- Francoz, M.; Fenolland, J.-R.; Giraud, J.-M.; El Chehab, H.; Sendon, D.; May, F.; Renard, J.-P. Reproducibility of macular ganglion cell–inner plexiform layer thickness measurement with cirrus HD-OCT in normal, hypertensive and glaucomatous eyes. Br. J. Ophthalmol. 2013, 98, 322–328. [Google Scholar] [CrossRef] [PubMed]
- Xu, X.; Guo, X.; Xiao, H.; Mi, L.; Chen, X.; Liu, X. Reproducibility of macular ganglion cell–inner plexiform layer thickness in normal eyes determined by two different OCT scanning protocols. BMC Ophthalmol. 2017, 17, 37. [Google Scholar] [CrossRef]
- Park, S.M.; Lee, K.B.; Kim, K.N.; Hwang, Y.H. Reproducibility of Retinal Nerve Fiber Layer and Macular Ganglion Cell Layer Thickness Measurements by Optical Coherence Tomography in Myopic Eyes. Eur. J. Gastroenterol. Hepatol. 2021, 30, 834–838. [Google Scholar] [CrossRef] [PubMed]
- Malamas, A.; Dervenis, N.; Kilintzis, V.; Chranioti, A.; Topouzis, F. Inter- and intraobserver repeatability and reproducibility of choroidal thickness measurements using two different methods. Int. Ophthalmol. 2018, 39, 1061–1069. [Google Scholar] [CrossRef]
- Karaca, E.E.; Özdek, Ş.; Yalçin, N.G.; Ekici, F. Reproducibility of Choroidal Thickness Measurements in Healthy Turkish Subjects. Eur. J. Ophthalmol. 2014, 24, 202–208. [Google Scholar] [CrossRef]
- von Hanno, T.; Hareide, L.L.; Småbrekke, L.; Morseth, B.; Sneve, M.; Erke, M.G.; Mathiesen, E.B.; Bertelsen, G. Macular Layer Thickness and Effect of BMI, Body Fat, and Traditional Cardiovascular Risk Factors: The Tromsø Study. Investig. Opthalmol. Vis. Sci. 2022, 63, 16. [Google Scholar] [CrossRef]
- Chen, Y.; Yuan, Y.; Zhang, S.; Yang, S.; Zhang, J.; Guo, X.; Huang, W.; Zhu, Z.; He, M.; Wang, W. Retinal nerve fiber layer thinning as a novel fingerprint for cardiovascular events: Results from the prospective cohorts in UK and China. BMC Med. 2023, 21, 24. [Google Scholar] [CrossRef] [PubMed]
- Jeong, D.; Sung, K.R.; Jo, Y.H.; Yun, S.-C. Age-Related Physiologic Thinning Rate of the Retinal Nerve Fiber Layer in Different Levels of Myopia. J. Ophthalmol. 2020, 2020, 1873581. [Google Scholar] [CrossRef] [PubMed]
- Schuster, A.K.; Leuschner, A.; Feretos, C.; Blumenstein, P.; Troebs, S.-O.; Schwuchow, S.; Schulz, A.; Nickels, S.; Mirshahi, A.; Blettner, M.; et al. Choroidal thickness is associated with cardiovascular risk factors and cardiac health: The Gutenberg Health Study. Clin. Res. Cardiol. 2020, 109, 172–182. [Google Scholar] [CrossRef]
- Arnould, L.; Seydou, A.; Gabrielle, P.-H.; Guenancia, C.; Tzourio, C.; Bourredjem, A.; El Alami, Y.; Daien, V.; Binquet, C.; Bron, A.M.; et al. Subfoveal Choroidal Thickness, Cardiovascular History, and Risk Factors in the Elderly: The Montrachet Study. Investig. Opthalmol. Vis. Sci. 2019, 60, 2431–2437. [Google Scholar] [CrossRef] [PubMed]
- Kim, J.H.; Kim, S.E.; Kim, S.H.; Choi, B.W.; Rim, T.H.; Byeon, S.H.; Kim, S.S. Relationship between Coronary Artery Calcification and Central Chorioretinal Thickness in Patients with Subclinical Atherosclerosis. Ophthalmologica 2021, 244, 18–26. [Google Scholar] [CrossRef]
- Ahmad, M.; Kaszubski, P.A.; Cobbs, L.; Reynolds, H.; Smith, R.T. Choroidal thickness in patients with coronary artery disease. PLoS ONE 2017, 12, e0175691. [Google Scholar] [CrossRef]
- Matulevičiūtė, I.; Sidaraitė, A.; Tatarūnas, V.; Veikutienė, A.; Dobilienė, O.; Žaliūnienė, D. Retinal and Choroidal Thinning—A Predictor of Coronary Artery Occlusion? Diagnostics 2022, 12, 2016. [Google Scholar] [CrossRef]
- Abbey, A.M.; Kuriyan, A.E.; Modi, Y.S.; Thorell, M.R.; Nunes, R.P.; Goldhardt, R.; Yehoshua, Z.; Gregori, G.; Feuer, W.; Rosenfeld, P.J. Optical Coherence Tomography Measurements of Choroidal Thickness in Healthy Eyes: Correlation with Age and Axial Length. Ophthalmic Surg. Lasers Imaging Retina 2015, 46, 18–24. [Google Scholar] [CrossRef]
- Lavia, C.; Bonnin, S.; Maule, M.; Erginay, A.; Tadayoni, R.; Gaudric, A. Vessel density of superficial, intermediate, and deep capillary plexuses using optical coherence tomography angiography. Retina 2019, 39, 247–258. [Google Scholar] [CrossRef]
- Lombardo, M.; Di Marco, E.; Nucci, C.; Cesareo, M. Reproducibility of retinal vessel density among three different OCTA devices in ADOA patients. Graefe’s Arch. Clin. Exp. Ophthalmol. 2023, 261, 277–279. [Google Scholar] [CrossRef]
- Nishida, T.; Moghimi, S.; Hou, H.; A Proudfoot, J.; Chang, A.C.; David, R.C.C.; Kamalipour, A.; El-Nimri, N.; Rezapour, J.; Bowd, C.; et al. Long-term reproducibility of optical coherence tomography angiography in healthy and stable glaucomatous eyes. Br. J. Ophthalmol. 2021, 107, 657–662. [Google Scholar] [CrossRef] [PubMed]
- Lei, J.; Durbin, M.K.; Shi, Y.; Uji, A.; Balasubramanian, S.; Baghdasaryan, E.; Al-Sheikh, M.; Sadda, S.R. Repeatability and Reproducibility of Superficial Macular Retinal Vessel Density Measurements Using Optical Coherence Tomography Angiography En Face Images. JAMA Ophthalmol. 2017, 135, 1092–1098. [Google Scholar] [CrossRef] [PubMed]
- Donati, S.; Maresca, A.M.; Cattaneo, J.; Grossi, A.; Mazzola, M.; Caprani, S.M.; Premoli, L.; Docchio, F.; Rizzoni, D.; Guasti, L.; et al. Optical coherence tomography angiography and arterial hypertension: A role in identifying subclinical microvascular damage? Eur. J. Ophthalmol. 2021, 31, 158–165. [Google Scholar] [CrossRef] [PubMed]
- Monteiro-Henriques, I.; Rocha-Sousa, A.; Barbosa-Breda, J. Optical coherence tomography angiography changes in cardiovascular systemic diseases and risk factors: A Review. Acta Ophthalmol. 2022, 100, E1–E15. [Google Scholar] [CrossRef] [PubMed]
- Hua, D.; Xu, Y.; Zeng, X.; Yang, N.; Jiang, M.; Zhang, X.; Yang, J.; He, T.; Xing, Y. Use of optical coherence tomography angiography for assessment of microvascular changes in the macula and optic nerve head in hypertensive patients without hypertensive retinopathy. Microvasc. Res. 2020, 129, 103969. [Google Scholar] [CrossRef] [PubMed]
- Tan, W.; Yao, X.; Le, T.-T.; Tan, A.C.S.; Cheung, C.Y.; Chin, C.W.L.; Schmetterer, L.; Chua, J. The Application of Optical Coherence Tomography Angiography in Systemic Hypertension: A Meta-Analysis. Front. Med. 2021, 8. [Google Scholar] [CrossRef]
- Pascual-Prieto, J.; Burgos-Blasco, B.; Sánchez-Torija, M.; Fernández-Vigo, J.I.; Arriola-Villalobos, P.; Pedraz, M.A.B.; García-Feijoo, J.; Martínez-De-La-Casa, J.M. Utility of optical coherence tomography angiography in detecting vascular retinal damage caused by arterial hypertension. Eur. J. Ophthalmol. 2020, 30, 579–585. [Google Scholar] [CrossRef]
- Chua, J.; Chin, C.W.L.; Tan, B.; Wong, S.H.; Devarajan, K.; Le, T.-T.; Ang, M.; Wong, T.Y.; Schmetterer, L. Impact of systemic vascular risk factors on the choriocapillaris using optical coherence tomography angiography in patients with systemic hypertension. Sci. Rep. 2019, 9, 5819. [Google Scholar] [CrossRef]
- Mahdjoubi, A.; Bousnina, Y.; Barrande, G.; Bensmaine, F.; Chahed, S.; Ghezzaz, A. Features of cotton wool spots in diabetic retinopathy: A spectral-domain optical coherence tomography angiography study. Int. Ophthalmol. 2020, 40, 1625–1640. [Google Scholar] [CrossRef]
- Chua, J.; Sim, R.; Tan, B.; Wong, D.; Yao, X.; Liu, X.; Ting, D.S.W.; Schmidl, D.; Ang, M.; Garhöfer, G.; et al. Optical Coherence Tomography Angiography in Diabetes and Diabetic Retinopathy. J. Clin. Med. 2020, 9, 1723. [Google Scholar] [CrossRef]
- Srinivasan, S.; Sivaprasad, S.; Rajalakshmi, R.; Anjana, R.M.; Malik, R.A.; Kulothungan, V.; Raman, R.; Bhende, M. Association of OCT and OCT angiography measures with the development and worsening of diabetic retinopathy in type 2 diabetes. Eye 2023. [Google Scholar] [CrossRef] [PubMed]
- Tan, T.-E.; Nguyen, Q.; Chua, J.; Schmetterer, L.; Tan, G.S.W.; Wong, C.W.; Tsai, A.; Cheung, G.C.M.; Wong, T.Y.; Ting, D.S.W. Global Assessment of Retinal Arteriolar, Venular and Capillary Microcirculations Using Fundus Photographs and Optical Coherence Tomography Angiography in Diabetic Retinopathy. Sci. Rep. 2019, 9, 11751. [Google Scholar] [CrossRef] [PubMed]
- Agemy, S.A.; Scripsema, N.K.; Shah, C.M.; Chui, T.; Garcia, P.M.; Lee, J.G.; Gentile, R.C.; Hsiao, Y.-S.; Zhou, Q.; Ko, T.; et al. Retinal vascular perfusion density mapping using optical coherence tomography angiography in normals and diabetic retinopathy patients. Retina 2015, 35, 2353–2363. [Google Scholar] [CrossRef] [PubMed]
- Sun, Z.; Tang, F.; Wong, R.; Lok, J.; Szeto, S.K.; Chan, J.C.; Chan, C.K.; Tham, C.C.; Ng, D.S.; Cheung, C.Y. OCT Angiography Metrics Predict Progression of Diabetic Retinopathy and Development of Diabetic Macular Edema: A Prospective Study. Ophthalmology 2019, 126, 1675–1684. [Google Scholar] [CrossRef]
- Shaw, L.T.; Khanna, S.; Chun, L.Y.; Dimitroyannis, R.C.; Rodriguez, S.H.; Massamba, N.; Hariprasad, S.M.; Skondra, D. Quantitative Optical Coherence Tomography Angiography (OCTA) Parameters in a Black Diabetic Population and Correlations with Systemic Diseases. Cells 2021, 10, 551. [Google Scholar] [CrossRef]
- Liu, B.; Hu, Y.; Ma, G.; Xiao, Y.; Zhang, B.; Liang, Y.; Zhong, P.; Zeng, X.; Lin, Z.; Kong, H.; et al. Reduced Retinal Microvascular Perfusion in Patients with Stroke Detected by Optical Coherence Tomography Angiography. Front. Aging Neurosci. 2021, 13, 628336. [Google Scholar] [CrossRef] [PubMed]
- Liu, X.; Yang, B.; Tian, Y.; Ma, S.; Zhong, J. Quantitative assessment of retinal vessel density and thickness changes in internal carotid artery stenosis patients using optical coherence tomography angiography. Photodiagnosis Photodyn. Ther. 2022, 39, 103006. [Google Scholar] [CrossRef]
- Chua, J.; Le, T.; Sim, Y.C.; Chye, H.Y.; Tan, B.; Yao, X.; Wong, D.; Ang, B.W.Y.; Toh, D.; Lim, H.; et al. Relationship of Quantitative Retinal Capillary Network and Myocardial Remodeling in Systemic Hypertension. J. Am. Heart Assoc. 2022, 11, e024226. [Google Scholar] [CrossRef]
- Arnould, L.; Guenancia, C.; Azemar, A.; Alan, G.; Pitois, S.; Bichat, F.; Zeller, M.; Gabrielle, P.-H.; Bron, A.M.; Creuzot-Garcher, C.; et al. The EYE-MI Pilot Study: A Prospective Acute Coronary Syndrome Cohort Evaluated with Retinal Optical Coherence Tomography Angiography. Investig. Opthalmol. Vis. Sci. 2018, 59, 4299–4306. [Google Scholar] [CrossRef]
- Wang, J.; Jiang, J.; Zhang, Y.; Qian, Y.W.; Zhang, J.F.; Wang, Z.L. Retinal and choroidal vascular changes in coronary heart disease: An optical coherence tomography angiography study. Biomed. Opt. Express 2019, 10, 1532–1544. [Google Scholar] [CrossRef]
- Huang, S.; Bacchi, S.; Chan, W.; Macri, C.; Selva, D.; Wong, C.X.; Sun, M.T. Detection of systemic cardiovascular illnesses and cardiometabolic risk factors with machine learning and optical coherence tomography angiography: A pilot study. Eye 2023. [Google Scholar] [CrossRef] [PubMed]
- Pachade, S.; Coronado, I.; Abdelkhaleq, R.; Yan, J.; Salazar-Marioni, S.; Jagolino, A.; Green, C.; Bahrainian, M.; Channa, R.; Sheth, S.A.; et al. Detection of Stroke with Retinal Microvascular Density and Self-Supervised Learning Using OCT-A and Fundus Imaging. J. Clin. Med. 2022, 11, 7408. [Google Scholar] [CrossRef] [PubMed]
- Salehi, M.A.; Rezagholi, F.; Mohammadi, S.; Zakavi, S.S.; Jahanshahi, A.; Gouravani, M.; Yazdanpanah, G.; Seddon, I.; Jabbehdari, S.; Singh, R.P. Optical coherence tomography angiography measurements in Parkinson’s disease: A systematic review and meta-analysis. Eye 2023. [Google Scholar] [CrossRef]
- Hu, Z.; Wang, L.; Zhu, D.; Qin, R.; Sheng, X.; Ke, Z.; Shao, P.; Zhao, H.; Xu, Y.; Bai, F. Retinal Alterations as Potential Biomarkers of Structural Brain Changes in Alzheimer’s Disease Spectrum Patients. Brain Sci. 2023, 13, 460. [Google Scholar] [CrossRef]
- Pellegrini, M.; Vagge, A.; Desideri, L.F.; Bernabei, F.; Triolo, G.; Mastropasqua, R.; Del Noce, C.; Borrelli, E.; Sacconi, R.; Iovino, C.; et al. Optical Coherence Tomography Angiography in Neurodegenerative Disorders. J. Clin. Med. 2020, 9, 1706. [Google Scholar] [CrossRef] [PubMed]







Disclaimer/Publisher’s Note: The statements, opinions and data contained in all publications are solely those of the individual author(s) and contributor(s) and not of MDPI and/or the editor(s). MDPI and/or the editor(s) disclaim responsibility for any injury to people or property resulting from any ideas, methods, instructions or products referred to in the content. |
© 2023 by the authors. Licensee MDPI, Basel, Switzerland. This article is an open access article distributed under the terms and conditions of the Creative Commons Attribution (CC BY) license (https://creativecommons.org/licenses/by/4.0/).
Share and Cite
Colcombe, J.; Mundae, R.; Kaiser, A.; Bijon, J.; Modi, Y. Retinal Findings and Cardiovascular Risk: Prognostic Conditions, Novel Biomarkers, and Emerging Image Analysis Techniques. J. Pers. Med. 2023, 13, 1564. https://doi.org/10.3390/jpm13111564
Colcombe J, Mundae R, Kaiser A, Bijon J, Modi Y. Retinal Findings and Cardiovascular Risk: Prognostic Conditions, Novel Biomarkers, and Emerging Image Analysis Techniques. Journal of Personalized Medicine. 2023; 13(11):1564. https://doi.org/10.3390/jpm13111564
Chicago/Turabian StyleColcombe, Joseph, Rusdeep Mundae, Alexis Kaiser, Jacques Bijon, and Yasha Modi. 2023. "Retinal Findings and Cardiovascular Risk: Prognostic Conditions, Novel Biomarkers, and Emerging Image Analysis Techniques" Journal of Personalized Medicine 13, no. 11: 1564. https://doi.org/10.3390/jpm13111564
APA StyleColcombe, J., Mundae, R., Kaiser, A., Bijon, J., & Modi, Y. (2023). Retinal Findings and Cardiovascular Risk: Prognostic Conditions, Novel Biomarkers, and Emerging Image Analysis Techniques. Journal of Personalized Medicine, 13(11), 1564. https://doi.org/10.3390/jpm13111564
