Characterization of Three Types of Elongases from Different Fungi and Site-Directed Mutagenesis
Abstract
1. Introduction
2. Materials and Methods
2.1. Sequence Comparison and Structure Prediction
2.2. Strains and Plasmid
2.3. Culture Conditions
2.4. Yeast Transformation
2.5. Immunoblot Analysis of Elongase Expression
2.6. Mutation Study
2.7. Lipid Extraction and Analysis
2.8. Homology Modelling and Molecular Docking of the Three-Dimensional Structure
2.9. Statistical Analysis
3. Results
3.1. Bioinformatics Analysis of Fatty Acid Elongases McELO, PrELO, and PsELO
3.2. Functional Analysis of McELO, PrELO, and PsELO Genes in S. cerevisiae
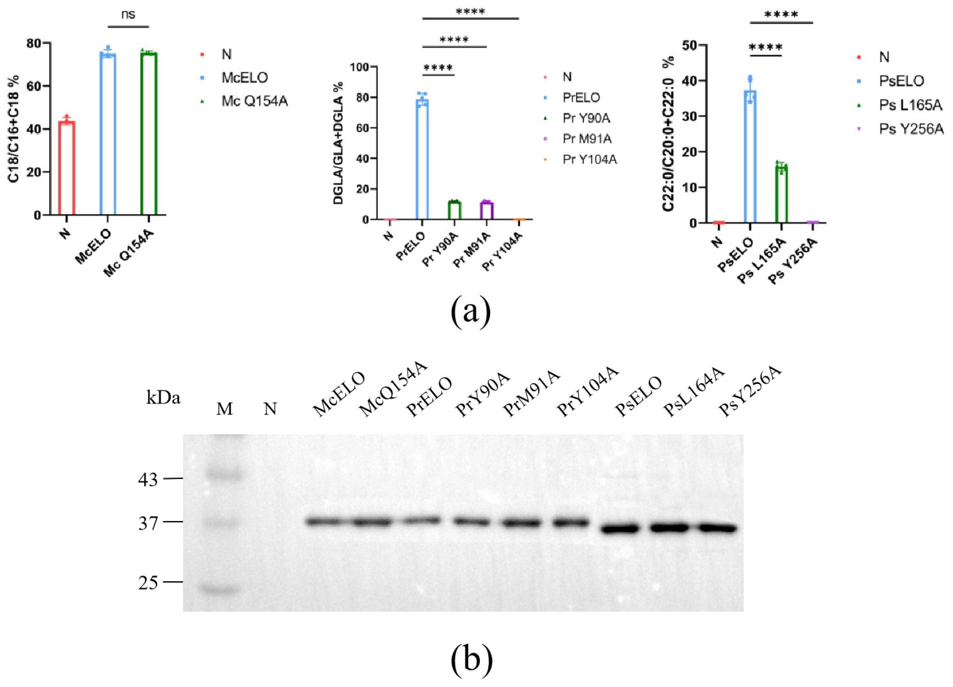
3.3. McELO, PrELO, PsELO Differentially Conserved Amino Acid Mutation Studies
3.4. Three-D Structure Model Demonstrating the Position of the Mutation Site Relative to the Substrate
4. Discussion
Supplementary Materials
Author Contributions
Funding
Data Availability Statement
Conflicts of Interest
References
- Kyselova, L.; Vitova, M.; Rezanka, T. Very long chain fatty acids. Prog. Lipid Res. 2022, 87, 101180. [Google Scholar] [CrossRef]
- Bellou, S.; Triantaphyllidou, I.E.; Aggeli, D.; Elazzazy, A.M.; Baeshen, M.N.; Aggelis, G. Microbial oils as food additives: Recent approaches for improving microbial oil production and its polyunsaturated fatty acid content. Curr. Opin. Biotechnol. 2016, 37, 24–35. [Google Scholar] [CrossRef]
- Xue, Z.; Sharpe, P.L.; Hong, S.P.; Yadav, N.S.; Xie, D.; Short, D.R.; Damude, H.G.; Rupert, R.A.; Seip, J.E.; Wang, J.; et al. Production of omega-3 eicosapentaenoic acid by metabolic engineering of Yarrowia lipolytica. Nat. Biotechnol. 2013, 31, 734–740. [Google Scholar] [CrossRef]
- Wang, F.; Bi, Y.; Diao, J.; Lv, M.; Cui, J.; Chen, L.; Zhang, W. Metabolic engineering to enhance biosynthesis of both docosahexaenoic acid and odd-chain fatty acids in Schizochytrium sp. S31. Biotechnol. Biofuels 2019, 12, 141. [Google Scholar] [CrossRef]
- Tamano, K.; Yasunaka, Y.; Kamishima, M.; Itoh, A.; Miura, A.; Kan, E.; Koyama, Y.; Tamura, T. Enhancement of the productivity of free dihomo-gamma-linolenic acid via co-overexpression of elongase and two desaturase genes in Aspergillus oryzae. J. Biosci. Bioeng. 2020, 130, 480–488. [Google Scholar] [CrossRef]
- Wang, K.; Shi, T.Q.; Wang, J.; Wei, P.; Ledesma-Amaro, R.; Ji, X.J. Engineering the Lipid and Fatty Acid Metabolism in Yarrowia lipolytica for Sustainable Production of High Oleic Oils. Acs Synth. Biol. 2022, 11, 1542–1554. [Google Scholar] [CrossRef] [PubMed]
- Zhang, Y.; Yang, C.; Xia, J.; Deng, L.; Wang, F.; Liu, J. Overproducing nervonic acid by synergism of fatty acid elongases in engineered Saccharomyces cerevisiae. Process Biochem. 2022, 122, 341–346. [Google Scholar] [CrossRef]
- Leonard, A.E.; Pereira, S.L.; Sprecher, H.; Huang, Y.S. Elongation of long-chain fatty acids. Prog. Lipid Res. 2004, 43, 36–54. [Google Scholar] [CrossRef] [PubMed]
- Denic, V.; Weissman, J.S. A molecular caliper mechanism for determining very long-chain fatty acid length. Cell 2007, 130, 663–677. [Google Scholar] [CrossRef] [PubMed]
- Fazili, A.B.A.; Shah, A.M.; Zan, X.; Naz, T.; Nosheen, S.; Nazir, Y.; Ullah, S.; Zhang, H.; Song, Y. Mucor circinelloides: A model organism for oleaginous fungi and its potential applications in bioactive lipid production. Microb. Cell Fact. 2022, 21, 29. [Google Scholar] [CrossRef] [PubMed]
- Zhang, Y.; Wang, Y.; Yang, J.; Yang, W.; Wang, X.; Wu, C.; Song, Y. Improved γ-Linolenic Acid Production from Cellulose in Mucor circinelloides via Coexpression of Cellobiohydrolase and Delta-6 Desaturase. J. Agric. Food Chem. 2022, 70, 4373–4381. [Google Scholar] [CrossRef] [PubMed]
- Jeennor, S.; Cheawchanlertfa, P.; Suttiwattanakul, S.; Panchanawaporn, S.; Chutrakul, C.; Laoteng, K. Novel elongase of Pythium sp. with high specificity on Δ6-18C desaturated fatty acids. Biochem. Biophys. Res. Commun. 2014, 450, 507–512. [Google Scholar] [CrossRef] [PubMed]
- Hernandez-Buquer, S.; Blacklock, B.J. Site-directed mutagenesis of a fatty acid elongase ELO-like condensing enzyme. FEBS Lett. 2013, 587, 3837–3842. [Google Scholar] [CrossRef] [PubMed]
- Tinti, E.; Geay, F.; Lopes Rodrigues, M.; Kestemont, P.; Perpete, E.A.; Michaux, C. Molecular cloning and 3D model of a fatty-acid elongase in a carnivorous freshwater teleost, the European perch (Perca fluviatilis). 3 Biotech 2019, 9, 242. [Google Scholar] [CrossRef] [PubMed]
- Cui, J.; Chen, H.; Tang, X.; Zhang, H.; Chen, Y.Q.; Chen, W. Characterization and Molecular Mechanism of a Novel Cytochrome b(5) Reductase with NAD(P)H Specificity from Mortierella alpina. J. Agric. Food Chem. 2022, 70, 5186–5196. [Google Scholar] [CrossRef] [PubMed]
- Metcalfe, L.D.; Schmitz, A.A.; Pełka, J.J.A.C. Rapid Preparation of Fatty Acid Esters from Lipids for Gas Chromatographic Analysis. Anal. Chem. 1966, 38, 514–515. [Google Scholar] [CrossRef]
- Wang, L.; Chen, W.; Feng, Y.; Ren, Y.; Gu, Z.; Chen, H.; Wang, H.; Thomas, M.J.; Zhang, B.; Berquin, I.M.; et al. Genome characterization of the oleaginous fungus Mortierella alpina. PLoS ONE 2011, 6, e28319. [Google Scholar] [CrossRef]
- Jumper, J.; Evans, R.; Pritzel, A.; Green, T.; Figurnov, M.; Ronneberger, O.; Tunyasuvunakool, K.; Bates, R.; Zidek, A.; Potapenko, A.; et al. Highly accurate protein structure prediction with AlphaFold. Nature 2021, 596, 583–589. [Google Scholar] [CrossRef]
- Oyewusi, H.A.; Huyop, F.; Wahab, R.A. Molecular docking and molecular dynamics simulation of Bacillus thuringiensis dehalogenase against haloacids, haloacetates and chlorpyrifos. J. Biomol. Struct. Dyn. 2022, 40, 1979–1994. [Google Scholar] [CrossRef]
- Trott, O.; Olson, A.J. AutoDock Vina: Improving the speed and accuracy of docking with a new scoring function, efficient optimization, and multithreading. J. Comput. Chem. 2010, 31, 455–461. [Google Scholar] [CrossRef]
- Li, G.; Panday, S.K.; Alexov, E. SAAFEC-SEQ: A Sequence-Based Method for Predicting the Effect of Single Point Mutations on Protein Thermodynamic Stability. Int. J. Mol. Sci. 2021, 22, 606. [Google Scholar] [CrossRef] [PubMed]
- Shi, Y.; Liu, M.; Pan, Y.; Hu, H.; Liu, J. Delta6 Fatty Acid Elongase is Involved in Eicosapentaenoic Acid Biosynthesis Via the omega6 Pathway in the Marine Alga Nannochloropsis oceanica. J. Agric. Food Chem. 2021, 69, 9837–9848. [Google Scholar] [CrossRef]
- Dolch, L.J.; Rak, C.; Perin, G.; Tourcier, G.; Broughton, R.; Leterrier, M.; Morosinotto, T.; Tellier, F.; Faure, J.D.; Falconet, D.; et al. A Palmitic Acid Elongase Affects Eicosapentaenoic Acid and Plastidial Monogalactosyldiacylglycerol Levels in Nannochloropsis. Plant Physiol. 2017, 173, 742–759. [Google Scholar] [CrossRef] [PubMed]
- Silve, S.; Leplatois, P.; Josse, A.; Dupuy, P.-H. The Immunosuppressant SR 31747 Blocks Cell Proliferation by Inhibiting a Steroid Isomerase in Saccharomyces cerevisiae. Mol. Cell. Biol. 1996, 16, 2719–2727. [Google Scholar] [CrossRef] [PubMed]
- Oh, C.-S.; Toke, D.A.; Mandala, S.; Martin, C.E. ELO2 and ELO3, Homologues of the Saccharomyces cerevisiae ELO1 Gene, Function in Fatty Acid Elongation and Are Required for Sphingolipid Formation. J. Biol. Chem. 1997, 272, 17376–17384. [Google Scholar] [CrossRef]
- Sakuradani, E.; Nojiri, M.; Suzuki, H.; Shimizu, S. Identification of a novel fatty acid elongase with a wide substrate specificity from arachidonic acid-producing fungus Mortierella alpina 1S-4. Appl. Microbiol. Biotechnol. 2009, 84, 709–716. [Google Scholar] [CrossRef]
- Petrie, J.R.; Mackenzie, A.M.; Shrestha, P.; Liu, Q.; Frampton, D.F.; Robert, S.S.; Singh, S.P. Isolation of Three Novel Long-Chain Polyunsaturated Fatty Acid Δ9-Elongases and the Transgenic Assembly of the Entire Pavlova Salina Docosahexaenoic Acid Pathway in Nicotiana Benthamiana1. J. Phycol. 2010, 46, 917–925. [Google Scholar] [CrossRef]
- Inagaki, K.; Aki, T.; Fukuda, Y.; Kawamoto, S.; Shigeta, S.; Ono, K.; Suzuki, O. Identication and Expression of a Rat Fatty Acid Elongase Involved in the Biosynthesis of C18 Fatty Acids. Biosci. Biotechnol. Biochem. 2002, 66, 613–622. [Google Scholar] [CrossRef]
- Rigouin, C.; Croux, C.; Borsenberger, V.; Ben Khaled, M.; Chardot, T.; Marty, A.; Bordes, F. Increasing medium chain fatty acids production in Yarrowia lipolytica by metabolic engineering. Microb. Cell Fact. 2018, 17, 142. [Google Scholar] [CrossRef]
- Nie, L.; Pascoa, T.C.; Pike, A.C.W.; Bushell, S.R.; Quigley, A.; Ruda, G.F.; Chu, A.; Cole, V.; Speedman, D.; Moreira, T.; et al. The structural basis of fatty acid elongation by the ELOVL elongases. Nat. Struct. Mol. Biol. 2021, 28, 512–520. [Google Scholar] [CrossRef]
- Capriotti, E.; Fariselli, P.; Rossi, I.; Casadio, R. A three-state prediction of single point mutations on protein stability changes. BMC Bioinform. 2008, 9 (Suppl. 2), S6. [Google Scholar] [CrossRef]
- Matsuzawa, T.; Kamisaka, Y.; Maehara, T.; Takaku, H.; Yaoi, K. Identification and characterization of two fatty acid elongases in Lipomyces starkeyi. Appl. Microbiol. Biotechnol. 2020, 104, 2537–2544. [Google Scholar] [CrossRef]
- Tang, X.; Chen, H.; Gu, Z.; Zhang, H.; Chen, Y.Q.; Song, Y.; Chen, W. Role of g6pdh and leuB on Lipid Accumulation in Mucor circinelloides. J. Agric. Food Chem. 2020, 68, 4245–4251. [Google Scholar] [CrossRef]
- Parker-Barnes, J.M.; Das, T.; Bobik, E.; Leonard, A.E.; Thurmond, J.M.; Chaung, L.T.; Huang, Y.S.; Mukerji, P. Identification and characterization of an enzyme involved in the elongation of n-6 and n-3 polyunsaturated fatty acids. Proc. Natl. Acad. Sci. USA 2000, 97, 8284–8289. [Google Scholar] [CrossRef]
- Ohara, J.; Sakaguchi, K.; Okita, Y.; Okino, N.; Ito, M. Two fatty acid elongases possessing C18-Delta6/C18-Delta9/C20-Delta5 or C16-Delta9 elongase activity in Thraustochytrium sp. ATCC 26185. Mar. Biotechnol. 2013, 15, 476–486. [Google Scholar] [CrossRef]
- Sun, Q.; Liu, J.; Zhang, Q.; Qing, X.; Dobson, G.; Li, X.; Qi, B. Characterization of three novel desaturases involved in the delta-6 desaturation pathways for polyunsaturated fatty acid biosynthesis from Phytophthora infestans. Appl. Microbiol. Biotechnol. 2013, 97, 7689–7697. [Google Scholar] [CrossRef] [PubMed]
- Tan, L.; Meesapyodsuk, D.; Qiu, X. Molecular analysis of ∆6 desaturase and ∆6 elongase from Conidiobolus obscurus in the biosynthesis of eicosatetraenoic acid, a ω3 fatty acid with nutraceutical potentials. Appl. Microbiol. Biotechnol. 2011, 90, 591–601. [Google Scholar] [CrossRef] [PubMed][Green Version]
- Yu, S.Y.; Li, H.; Tong, M.; Ouyang, L.L.; Zhou, Z.G. Identification of a Delta6 fatty acid elongase gene for arachidonic acid biosynthesis localized to the endoplasmic reticulum in the green microalga Myrmecia incisa Reisigl. Gene 2012, 493, 219–227. [Google Scholar] [CrossRef] [PubMed]
- Zank, T.K.; ZaÈhringer, U.; Beckmann, C.; Pohnert, G.; Boland, W.; Holtorf, H.; Reski, R.; Lerchl, J.; Heinz, E. Cloning and functional characterisation of an enzyme involved in the elongation of D6-polyunsaturated fatty acids from the moss Physcomitrella patens. Plant J. 2002, 31, 255–268. [Google Scholar] [CrossRef] [PubMed]
- Robert, S.S.; Singh, S.P.; Zhou, X.R.; Petrie, J.R.; Blackburn, S.I.; Mansour, P.M.; Nichols, P.D.; Liu, Q.; Green, A.G. Metabolic engineering of Arabidopsis to produce nutritionally important DHA in seed oil. Funct. Plant Biol. 2005, 32, 473–479. [Google Scholar] [CrossRef] [PubMed]
- Ratledge, J.P.W.a.C. Evidence that the rate-limiting step for the biosynthesis of arachidonic acid in Mortierella alpina is at the level of the 18:3 to 20:3 elongase. Microbiology 2000, 146, 2325–2331. [Google Scholar]
- Yousef, L.F.; Wojno, M.; Dick, W.A.; Dick, R.P. Lipid profiling of the soybean pathogen Phytophthora sojae using Fatty Acid Methyl Esters (FAMEs). Fungal Biol. 2012, 116, 613–619. [Google Scholar] [CrossRef] [PubMed]
- Ferrero, E.; Di Gregorio, E.; Ferrero, M.; Ortolan, E.; Moon, Y.A.; Di Campli, A.; Pavinato, L.; Mancini, C.; Tripathy, D.; Manes, M.; et al. Spinocerebellar ataxia 38: Structure-function analysis shows ELOVL5 G230V is proteotoxic, conformationally altered and a mutational hotspot. Hum. Genet. 2023, 142, 1055–1076. [Google Scholar] [CrossRef] [PubMed]
- Planas-Iglesias, J.; Marques, S.M.; Pinto, G.P.; Musil, M.; Stourac, J.; Damborsky, J.; Bednar, D. Computational design of enzymes for biotechnological applications. Biotechnol. Adv. 2021, 47, 107696. [Google Scholar] [CrossRef]




| Fatty Acid Composition (%) | Dry Cell Weight (g/L) | Lipid Content (%) | ||||||||
|---|---|---|---|---|---|---|---|---|---|---|
| C16:0 | C16:1Δ9 | C18:0 | C18:1Δ9 | C18:1Δ11 | C20:0 | C20:1Δ11 | C22:0 | |||
| control | 20.6 ± 0.5 a | 34.4 ± 0.7 a | 12.8 ± 0.3 c | 29.8 ± 0.4 b | 2.4 ± 0.07 b | ND | ND | ND | 2.04 ± 0.1 | 9.70 ± 0.3 |
| +McELO | 3.8 ± 0.2 c | 7.4 ± 0.1 b | 15.6 ± 0.2 b | 60.1 ± 0.6 a | 7.5 ± 0.2 a | ND | 5.6 ± 0.2 | ND | 2.56 ± 0.2 | 9.50 ± 0.4 |
| +PrELO | 21.6 ± 1.3 a | 36.2 ± 1.9 a | 12.0 ± 0.7 c | 27.5 ± 1.5 b | 2.6 ± 0.3 b | ND | ND | ND | 2.18 ± 0.2 | 8.34 ± 0.3 |
| +PsELO | 15.5 ± 0.8 b | 34.5 ± 2.3 a | 17.7 ± 0.4 a | 27.1 ± 0.9 b | 2.3 ± 0.1 b | 2.4 ± 0.3 | ND | 0.7 ± 0.1 | 2.05 ± 0.1 | 8.25 ± 0.8 |
| Fatty Acid Composition (%) | ||||||||||
|---|---|---|---|---|---|---|---|---|---|---|
| C16:0 | C16:1 | C18:0 | C18:1 | C18:2 | C18:3 | C20:0 | C20:3 | C20:2 | C22:0 | |
| Control + C18:2Δ9,12 | 24.7 ± 0.8 | 30.6 ± 3.1 | 8.3 ± 1.9 | 26.7 ± 2.3 | 9.6 ± 1.3 | - | - | - | - | - |
| McELO + C18:2Δ9,12 | 6.9 ± 0.2 | 12.3 ± 2.1 | 13.5 ± 0.3 | 57.4 ± 3.1 | 8.9 ± 1.6 | - | - | - | 0.9 ± 0.2 | - |
| Control + C18:3Δ9,12,15 | 23.6 ± 0.7 | 30.8 ± 1.5 | 7.8 ± 0.6 | 25.9 ± 1.7 | - | 11.9 ± 0.4 | - | - | - | - |
| PrELO + C18:3Δ9,12,15 | 24.8 ± 1.3 | 30.5 ± 1.1 | 8.7 ± 0.4 | 23.8 ± 1.7 | 1.4 ± 0.2 | 2.8 ± 0.5 | - | 8.0 ± 0.6 | - | - |
| Control + C20:0 | 24.2 ± 1.1 | 30.0 ± 2.2 | 10.9 ± 1.2 | 28.5 ± 2.5 | - | - | 6.4 ± 0.6 | - | - | - |
| PsELO + C20:0 | 18.9 ± 0.5 | 35.5 ± 1.2 | 6.8 ± 0.3 | 27.0 ± 0.8 | - | - | 8.7 ± 0.2 | - | - | 3.1 ± 0.2 |
Disclaimer/Publisher’s Note: The statements, opinions and data contained in all publications are solely those of the individual author(s) and contributor(s) and not of MDPI and/or the editor(s). MDPI and/or the editor(s) disclaim responsibility for any injury to people or property resulting from any ideas, methods, instructions or products referred to in the content. |
© 2024 by the authors. Licensee MDPI, Basel, Switzerland. This article is an open access article distributed under the terms and conditions of the Creative Commons Attribution (CC BY) license (https://creativecommons.org/licenses/by/4.0/).
Share and Cite
Wang, Y.; Chang, L.; Zhang, H.; Chen, Y.Q.; Chen, W.; Chen, H. Characterization of Three Types of Elongases from Different Fungi and Site-Directed Mutagenesis. J. Fungi 2024, 10, 129. https://doi.org/10.3390/jof10020129
Wang Y, Chang L, Zhang H, Chen YQ, Chen W, Chen H. Characterization of Three Types of Elongases from Different Fungi and Site-Directed Mutagenesis. Journal of Fungi. 2024; 10(2):129. https://doi.org/10.3390/jof10020129
Chicago/Turabian StyleWang, Yuxin, Lulu Chang, Hao Zhang, Yong Q. Chen, Wei Chen, and Haiqin Chen. 2024. "Characterization of Three Types of Elongases from Different Fungi and Site-Directed Mutagenesis" Journal of Fungi 10, no. 2: 129. https://doi.org/10.3390/jof10020129
APA StyleWang, Y., Chang, L., Zhang, H., Chen, Y. Q., Chen, W., & Chen, H. (2024). Characterization of Three Types of Elongases from Different Fungi and Site-Directed Mutagenesis. Journal of Fungi, 10(2), 129. https://doi.org/10.3390/jof10020129

