A Comprehensive Assessment of Tear-Film-Oriented Diagnosis (TFOD) in a Dacryoadenectomy Dry Eye Model
Abstract
1. Introduction
2. Results
2.1. Tear Film Breakup Time (TBUT) and Breakup Patterns
2.2. Corneal Fluorescein Staining Scores
2.3. Schirmer’s I Test and Tear Meniscus Height (TMH)
2.4. Lipid Layer Thickness (LLT) Grading Using Interferometry
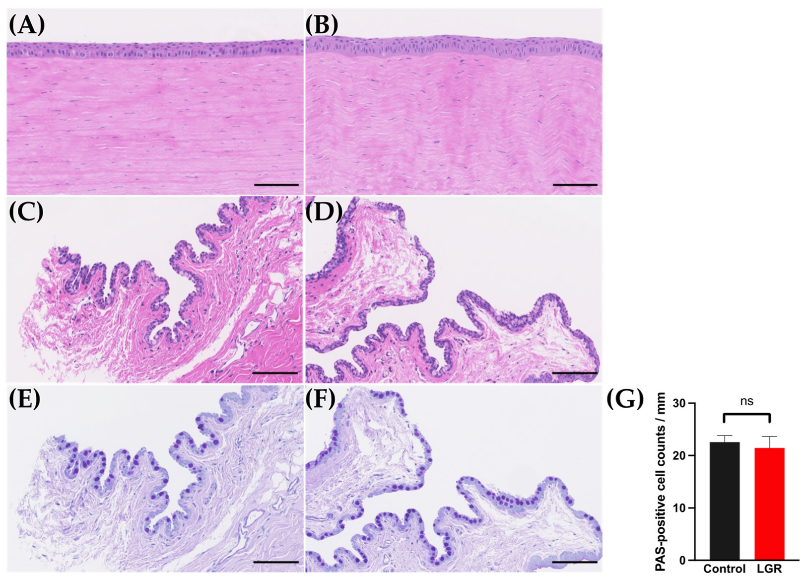
2.5. Histological Assessment
3. Discussion
4. Materials and Methods
4.1. Animals and Ethics Statement
4.2. Removal of Lacrimal Glands and Nictitating Membranes
4.3. Ocular Surface Evaluation
4.4. Tear Film Breakup Time (TBUT) and Breakup Pattern Assessment, Blink Rate, and Corneal Fluorescein Staining
4.5. Schirmer’s I Test
4.6. Lipid Layer Thickness (LLT) Assessment using Interferometry
4.7. Histological Assessments of Cornea and Conjunctiva
4.8. Statistical Analysis
Author Contributions
Funding
Institutional Review Board Statement
Informed Consent Statement
Data Availability Statement
Acknowledgments
Conflicts of Interest
References
- Stapleton, F.; Alves, M.; Bunya, V.Y.; Jalbert, I.; Lekhanont, K.; Malet, F.; Na, K.S.; Schaumberg, D.; Uchino, M.; Vehof, J.; et al. TFOS DEWS II Epidemiology Report. Ocul. Surf. 2017, 15, 334–365. [Google Scholar] [CrossRef] [PubMed]
- Verjee, M.A.; Brissette, A.R.; Starr, C.E. Dry Eye Disease: Early Recognition with Guidance on Management and Treatment for Primary Care Family Physicians. Ophthalmol. Ther. 2020, 9, 877–888. [Google Scholar] [CrossRef] [PubMed]
- Vehof, J.; Kozareva, D.; Hysi, P.G.; Hammond, C.J. Prevalence and risk factors of dry eye disease in a British female cohort. Br. J. Ophthalmol. 2014, 98, 1712–1717. [Google Scholar] [CrossRef] [PubMed]
- Akowuah, P.K.; Kobia-Acquah, E. Prevalence of Dry Eye Disease in Africa: A Systematic Review and Meta-analysis. Optom. Vis. Sci. 2020, 97, 1089–1098. [Google Scholar] [CrossRef]
- Cai, Y.; Wei, J.; Zhou, J.; Zou, W. Prevalence and Incidence of Dry Eye Disease in Asia: A Systematic Review and Meta-Analysis. Ophthalmic Res. 2022, 65, 647–658. [Google Scholar] [CrossRef] [PubMed]
- Tsubota, K.; Yokoi, N.; Shimazaki, J.; Watanabe, H.; Dogru, M.; Yamada, M.; Kinoshita, S.; Kim, H.M.; Tchah, H.W.; Hyon, J.Y.; et al. New Perspectives on Dry Eye Definition and Diagnosis: A Consensus Report by the Asia Dry Eye Society. Ocul. Surf. 2017, 15, 65–76. [Google Scholar] [CrossRef]
- Kojima, T.; Dogru, M.; Kawashima, M.; Nakamura, S.; Tsubota, K. Advances in the diagnosis and treatment of dry eye. Prog. Retin. Eye Res. 2020, 78, 100842. [Google Scholar] [CrossRef]
- Tsubota, K.; Pflugfelder, S.C.; Liu, Z.; Baudouin, C.; Kim, H.M.; Messmer, E.M.; Kruse, F.; Liang, L.; Carreno-Galeano, J.T.; Rolando, M.; et al. Defining Dry Eye from a Clinical Perspective. Int. J. Mol. Sci. 2020, 21, 9271. [Google Scholar] [CrossRef]
- Craig, J.P.; Nichols, K.K.; Akpek, E.K.; Caffery, B.; Dua, H.S.; Joo, C.K.; Liu, Z.; Nelson, J.D.; Nichols, J.J.; Tsubota, K.; et al. TFOS DEWS II Definition and Classification Report. Ocul. Surf. 2017, 15, 276–283. [Google Scholar] [CrossRef]
- Bron, A.J.; de Paiva, C.S.; Chauhan, S.K.; Bonini, S.; Gabison, E.E.; Jain, S.; Knop, E.; Markoulli, M.; Ogawa, Y.; Perez, V.; et al. TFOS DEWS II pathophysiology report. Ocul. Surf. 2017, 15, 438–510. [Google Scholar]
- Tsubota, K.; Yokoi, N.; Watanabe, H.; Dogru, M.; Kojima, T.; Yamada, M.; Kinoshita, S.; Kim, H.M.; Tchah, H.W.; Hyon, J.Y.; et al. A New Perspective on Dry Eye Classification: Proposal by the Asia Dry Eye Society. Eye Contact Lens. 2020, 46 (Suppl. S1), S2–S13. [Google Scholar] [CrossRef]
- Yokoi, N.; Georgiev, G.A.; Kato, H.; Komuro, A.; Sonomura, Y.; Sotozono, C.; Tsubota, K.; Kinoshita, S. Classification of Fluorescein Breakup Patterns: A Novel Method of Differential Diagnosis for Dry Eye. Am. J. Ophthalmol. 2017, 180, 72–85. [Google Scholar] [CrossRef] [PubMed]
- Uchino, M.; Yokoi, N.; Uchino, Y.; Dogru, M.; Kawashima, M.; Komuro, A.; Sonomura, Y.; Kato, H.; Kinoshita, S.; Schaumberg, D.A.; et al. Prevalence of dry eye disease and its risk factors in visual display terminal users: The Osaka study. Am. J. Ophthalmol. 2013, 156, 759–766. [Google Scholar] [CrossRef]
- Messmer, E.M. The pathophysiology, diagnosis, and treatment of dry eye disease. Dtsch. Arztebl. Int. 2015, 112, 71–81, quiz 82. [Google Scholar] [CrossRef] [PubMed]
- Tsubota, K. Short Tear Film Breakup Time-Type Dry Eye. Investig. Ophthalmol. Vis. Sci. 2018, 59, DES64–DES70. [Google Scholar] [CrossRef]
- Rahman, M.M.; Kim, D.H.; Park, C.K.; Kim, Y.H. Experimental Models, Induction Protocols, and Measured Parameters in Dry Eye Disease: Focusing on Practical Implications for Experimental Research. Int. J. Mol. Sci. 2021, 22, 12102. [Google Scholar] [CrossRef]
- Barabino, S.; Dana, M.R. Animal models of dry eye: A critical assessment of opportunities and limitations. Investig. Ophthalmol. Vis. Sci. 2004, 45, 1641–1646. [Google Scholar] [CrossRef] [PubMed]
- Zhu, J.; Inomata, T.; Shih, K.C.; Okumura, Y.; Fujio, K.; Huang, T.; Nagino, K.; Akasaki, Y.; Fujimoto, K.; Yanagawa, A.; et al. Application of Animal Models in Interpreting Dry Eye Disease. Front. Med. 2022, 9, 830592. [Google Scholar] [CrossRef]
- Bozkir, G.; Bozkir, M.; Dogan, H.; Aycan, K.; Guler, B. Measurements of axial length and radius of corneal curvature in the rabbit eye. Acta Med. Okayama 1997, 51, 9–11. [Google Scholar]
- Hammid, A.; Fallon, J.K.; Lassila, T.; Salluce, G.; Smith, P.C.; Tolonen, A.; Sauer, A.; Urtti, A.; Honkakoski, P. Carboxylesterase Activities and Protein Expression in Rabbit and Pig Ocular Tissues. Mol. Pharm. 2021, 18, 1305–1316. [Google Scholar] [CrossRef]
- Huang, W.; Tourmouzis, K.; Perry, H.; Honkanen, R.A.; Rigas, B. Animal models of dry eye disease: Useful, varied and evolving (Review). Exp. Ther. Med. 2021, 22, 1394. [Google Scholar] [CrossRef] [PubMed]
- Hammid, A.; Fallon, J.K.; Lassila, T.; Vieiro, P.; Balla, A.; Gonzalez, F.; Urtti, A.; Smith, P.C.; Tolonen, A.; Honkakoski, P. Activity and Expression of Carboxylesterases and Arylacetamide Deacetylase in Human Ocular Tissues. Drug. Metab. Dispos. 2022, 50, 1483–1492. [Google Scholar] [CrossRef] [PubMed]
- Singh, S.; Sharma, S.; Basu, S. Rabbit models of dry eye disease: Current understanding and unmet needs for translational research. Exp. Eye Res. 2021, 206, 108538. [Google Scholar] [CrossRef] [PubMed]
- Xiong, C.; Chen, D.; Liu, J.; Liu, B.; Li, N.; Zhou, Y.; Liang, X.; Ma, P.; Ye, C.; Ge, J.; et al. A rabbit dry eye model induced by topical medication of a preservative benzalkonium chloride. Investig. Ophthalmol. Vis. Sci. 2008, 49, 1850–1856. [Google Scholar] [CrossRef]
- Li, C.; Song, Y.; Luan, S.; Wan, P.; Li, N.; Tang, J.; Han, Y.; Xiong, C.; Wang, Z. Research on the stability of a rabbit dry eye model induced by topical application of the preservative benzalkonium chloride. PLoS ONE 2012, 7, e33688. [Google Scholar]
- Toshida, H.; Suto, C. Preganglionic Parasympathetic Denervation Rabbit Model for Innervation Studies. Cornea 2018, 37 (Suppl. S1), S106–S112. [Google Scholar] [CrossRef]
- Honkanen, R.; Huang, W.; Huang, L.; Kaplowitz, K.; Weissbart, S.; Rigas, B. A New Rabbit Model of Chronic Dry Eye Disease Induced by Complete Surgical Dacryoadenectomy. Curr. Eye Res. 2019, 44, 863–872. [Google Scholar] [CrossRef]
- Ning, Y.; Bhattacharya, D.; Jones, R.E.; Zhao, F.; Chen, R.; Zhang, J.; Wang, M. Evaluating the Functionality of Conjunctiva Using a Rabbit Dry Eye Model. J. Ophthalmol. 2016, 2016, 3964642. [Google Scholar] [CrossRef][Green Version]
- Li, N.; Deng, X.; Gao, Y.; Zhang, S.; He, M.; Zhao, D. Establishment of the mild, moderate and severe dry eye models using three methods in rabbits. BMC Ophthalmol. 2013, 13, 50. [Google Scholar] [CrossRef]
- Chen, X.M.; Kuang, J.B.; Yu, H.Y.; Wu, Z.N.; Wang, S.Y.; Zhou, S.Y. A Novel Rabbit Dry Eye Model Induced by a Controlled Drying System. Transl. Vis. Sci. Technol. 2021, 10, 32. [Google Scholar] [CrossRef]
- Odaka, A.; Toshida, H.; Ohta, T.; Tabuchi, N.; Koike, D.; Suto, C.; Murakami, A. Efficacy of retinol palmitate eye drops for dry eye in rabbits with lacrimal gland resection. Clin. Ophthalmol. 2012, 6, 1585–1593. [Google Scholar]
- Wolffsohn, J.S.; Arita, R.; Chalmers, R.; Djalilian, A.; Dogru, M.; Dumbleton, K.; Gupta, P.K.; Karpecki, P.; Lazreg, S.; Pult, H.; et al. TFOS DEWS II Diagnostic Methodology report. Ocul. Surf. 2017, 15, 539–574. [Google Scholar] [CrossRef] [PubMed]
- Barabino, S.; Chen, W.; Dana, M.R. Tear film and ocular surface tests in animal models of dry eye: Uses and limitations. Exp. Eye Res. 2004, 79, 613–621. [Google Scholar] [CrossRef] [PubMed]
- Sanchez-Gonzalez, M.C.; Capote-Puente, R.; Garcia-Romera, M.C.; De-Hita-Cantalejo, C.; Bautista-Llamas, M.J.; Silva-Viguera, C.; Sanchez-Gonzalez, J.M. Dry eye disease and tear film assessment through a novel non-invasive ocular surface analyzer: The OSA protocol. Front. Med. 2022, 9, 938484. [Google Scholar] [CrossRef] [PubMed]
- Sabucedo-Villamarin, B.; Pena-Verdeal, H.; Garcia-Queiruga, J.; Giraldez, M.J.; Garcia-Resua, C.; Yebra-Pimentel, E. Categorization of the Aqueous Deficient Dry Eye by a Cut-Off Criterion of TMH Measured with Tearscope. Life 2022, 12, 2007. [Google Scholar] [CrossRef]
- Chiou, Y.R.; Lin, P.Y.; Chou, Y.B.; Huang, P.W.; Fan, N.W. Differential characteristics among asymptomatic and symptomatic meibomian gland dysfunction and those with dry eye. BMC Ophthalmol. 2023, 23, 154. [Google Scholar] [CrossRef]
- Bhattacharya, D.; Ning, Y.; Zhao, F.; Stevenson, W.; Chen, R.; Zhang, J.; Wang, M. Tear Production After Bilateral Main Lacrimal Gland Resection in Rabbits. Investig. Ophthalmol. Vis. Sci. 2015, 56, 7774–7783. [Google Scholar] [CrossRef]
- Willcox, M.D.P.; Argüeso, P.; Georgiev, G.A.; Holopainen, J.M.; Laurie, G.W.; Millar, T.J.; Papas, E.B.; Rolland, J.P.; Schmidt, T.A.; Stahl, U.; et al. TFOS DEWS II Tear Film Report. Ocul. Surf. 2017, 15, 366–403. [Google Scholar] [CrossRef]
- Yokoi, N.; Bron, A.J.; Georgiev, G.A. The precorneal tear film as a fluid shell: The effect of blinking and saccades on tear film distribution and dynamics. Ocul. Surf. 2014, 12, 252–266. [Google Scholar] [CrossRef]
- Oganov, A.; Yazdanpanah, G.; Jabbehdari, S.; Belamkar, A.; Pflugfelder, S. Dry eye disease and blinking behaviors: A narrative review of methodologies for measuring blink dynamics and inducing blink response. Ocul. Surf. 2023, 29, 166–174. [Google Scholar] [CrossRef]
- Su, Y.; Liang, Q.; Su, G.; Wang, N.; Baudouin, C.; Labbe, A. Spontaneous Eye Blink Patterns in Dry Eye: Clinical Correlations. Investig. Ophthalmol. Vis. Sci. 2018, 59, 5149–5156. [Google Scholar] [CrossRef] [PubMed]
- Rodriguez, J.D.; Lane, K.J.; Ousler, G.W., 3rd; Angjeli, E.; Smith, L.M.; Abelson, M.B. Blink: Characteristics, Controls, and Relation to Dry Eyes. Curr. Eye Res. 2018, 43, 52–66. [Google Scholar] [CrossRef] [PubMed]
- Lee, Y.J.; Choi, H.S.; Park, S.J.; Sun, H.J.; Jang, S.Y. Refractory Dry Eye Syndrome after Transconjunctival Excision of the Palpebral Lobe of the Lacrimal Gland. Medicina 2021, 57, 608. [Google Scholar] [CrossRef]
- Yu, D.F.; Chen, Y.; Han, J.M.; Zhang, H.; Chen, X.P.; Zou, W.J.; Liang, L.Y.; Xu, C.C.; Liu, Z.G. MUC19 expression in human ocular surface and lacrimal gland and its alteration in Sjogren syndrome patients. Exp. Eye Res. 2008, 86, 403–411. [Google Scholar] [CrossRef]
- Paulsen, F. Cell and molecular biology of human lacrimal gland and nasolacrimal duct mucins. Int. Rev. Cytol. 2006, 249, 229–279. [Google Scholar]
- Georgiev, G.A.; Eftimov, P.; Yokoi, N. Contribution of Mucins towards the Physical Properties of the Tear Film: A Modern Update. Int. J. Mol. Sci. 2019, 20, 6132. [Google Scholar] [CrossRef] [PubMed]
- Hori, Y.; Kageyama, T.; Sakamoto, A.; Shiba, T.; Nakamura, M.; Maeno, T. Comparison of Short-Term Effects of Diquafosol and Rebamipide on Mucin 5AC Level on the Rabbit Ocular Surface. J. Ocul. Pharmacol. Ther. 2017, 33, 493–497. [Google Scholar] [CrossRef] [PubMed]
- Corsi, F.; Arteaga, K.; Corsi, F.; Masi, M.; Cattaneo, A.; Selleri, P.; Crasta, M.; Peruccio, C.; Guandalini, A. Clinical parameters obtained during tear film examination in domestic rabbits. BMC Vet. Res. 2022, 18, 398. [Google Scholar] [CrossRef]
- Zheng, W.; Ma, M.; Du, E.; Zhang, Z.; Jiang, K.; Gu, Q.; Ke, B. Therapeutic efficacy of fibroblast growth factor 10 in a rabbit model of dry eye. Mol. Med. Rep. 2015, 12, 7344–7350. [Google Scholar] [CrossRef]
- Georgiev, G.A.; Yokoi, N.; Ivanova, S.; Tonchev, V.; Nencheva, Y.; Krastev, R. Surface relaxations as a tool to distinguish the dynamic interfacial properties of films formed by normal and diseased meibomian lipids. Soft Matter 2014, 10, 5579–5588. [Google Scholar] [CrossRef]
- Hosaka, E.; Kawamorita, T.; Ogasawara, Y.; Nakayama, N.; Uozato, H.; Shimizu, K.; Dogru, M.; Tsubota, K.; Goto, E. Interferometry in the evaluation of precorneal tear film thickness in dry eye. Am. J. Ophthalmol. 2011, 151, 18–23.e1. [Google Scholar] [CrossRef] [PubMed]
- Jung, J.W.; Park, S.Y.; Kim, J.S.; Kim, E.K.; Seo, K.Y.; Kim, T.I. Analysis of Factors Associated With the Tear Film Lipid Layer Thickness in Normal Eyes and Patients With Dry Eye Syndrome. Investig. Ophthalmol. Vis. Sci. 2016, 57, 4076–4083. [Google Scholar] [CrossRef] [PubMed]
- Arita, R.; Morishige, N.; Fujii, T.; Fukuoka, S.; Chung, J.L.; Seo, K.Y.; Itoh, K. Tear Interferometric Patterns Reflect Clinical Tear Dynamics in Dry Eye Patients. Investig. Ophthalmol. Vis. Sci. 2016, 57, 3928–3934. [Google Scholar] [CrossRef] [PubMed]
- Goto, E.; Matsumoto, Y.; Kamoi, M.; Endo, K.; Ishida, R.; Dogru, M.; Kaido, M.; Kojima, T.; Tsubota, K. Tear evaporation rates in Sjogren syndrome and non-Sjogren dry eye patients. Am. J. Ophthalmol. 2007, 144, 81–85. [Google Scholar] [CrossRef]
- Yokoi, N.; Komuro, A. Non-invasive methods of assessing the tear film. Exp. Eye Res. 2004, 78, 399–407. [Google Scholar] [CrossRef]
- Butovich, I.A.; Yuksel, S.; Leonard, B.; Gadek, T.; Polans, A.S.; Albert, D.M. Novel Lipids of the Rabbit Harderian Gland Improve Tear Stability in an Animal Model of Dry Eye Disease. J. Ocul. Pharmacol. Ther. 2021, 37, 545–555. [Google Scholar] [CrossRef]
- Butovich, I.A.; Lu, H.; McMahon, A.; Eule, J.C. Toward an animal model of the human tear film: Biochemical comparison of the mouse, canine, rabbit, and human meibomian lipidomes. Investig. Ophthalmol. Vis. Sci. 2012, 53, 6881–6896. [Google Scholar] [CrossRef]
- Azzarolo, A.M.; Brew, K.; Kota, S.; Ponomareva, O.; Schwartz, J.; Zylberberg, C. Presence of tear lipocalin and other major proteins in lacrimal fluid of rabbits. Comp. Biochem. Physiol. B Biochem. Mol. Biol. 2004, 138, 111–117. [Google Scholar] [CrossRef]
- Zhou, L.; Beuerman, R.W.; Barathi, A.; Tan, D. Analysis of rabbit tear proteins by high-pressure liquid chromatography/electrospray ionization mass spectrometry. Rapid. Commun. Mass. Spectrom. 2003, 17, 401–412. [Google Scholar] [CrossRef]
- Versura, P.; Nanni, P.; Bavelloni, A.; Blalock, W.L.; Piazzi, M.; Roda, A.; Campos, E.C. Tear proteomics in evaporative dry eye disease. Eye 2010, 24, 1396–1402. [Google Scholar] [CrossRef]
- Fujihara, T.; Murakami, T.; Nagano, T.; Nakamura, M.; Nakata, K. INS365 suppresses loss of corneal epithelial integrity by secretion of mucin-like glycoprotein in a rabbit short-term dry eye model. J. Ocul. Pharmacol. Ther. 2002, 18, 363–370. [Google Scholar] [CrossRef] [PubMed]
- van Bijsterveld, O.P. Diagnostic tests in the Sicca syndrome. Arch. Ophthalmol. 1969, 82, 10–14. [Google Scholar] [CrossRef] [PubMed]
- Guillon, J.P. Non-invasive Tearscope Plus routine for contact lens fitting. Cont. Lens. Anterior. Eye 1998, 21 (Suppl. S1), S31–S40. [Google Scholar] [CrossRef] [PubMed]
- Rasband, W.S. ImageJ; U.S. National Institutes of Health: Bethesda, MD, USA, 2009. Available online: https://rsb.info.nih.gov/ij/ (accessed on 1 May 2023).






Disclaimer/Publisher’s Note: The statements, opinions and data contained in all publications are solely those of the individual author(s) and contributor(s) and not of MDPI and/or the editor(s). MDPI and/or the editor(s) disclaim responsibility for any injury to people or property resulting from any ideas, methods, instructions or products referred to in the content. |
© 2023 by the authors. Licensee MDPI, Basel, Switzerland. This article is an open access article distributed under the terms and conditions of the Creative Commons Attribution (CC BY) license (https://creativecommons.org/licenses/by/4.0/).
Share and Cite
Sakakura, S.; Inagaki, E.; Ochiai, Y.; Yamamoto, M.; Takai, N.; Nagata, T.; Higa, K.; Sato, Y.; Toshida, H.; Murat, D.; et al. A Comprehensive Assessment of Tear-Film-Oriented Diagnosis (TFOD) in a Dacryoadenectomy Dry Eye Model. Int. J. Mol. Sci. 2023, 24, 16510. https://doi.org/10.3390/ijms242216510
Sakakura S, Inagaki E, Ochiai Y, Yamamoto M, Takai N, Nagata T, Higa K, Sato Y, Toshida H, Murat D, et al. A Comprehensive Assessment of Tear-Film-Oriented Diagnosis (TFOD) in a Dacryoadenectomy Dry Eye Model. International Journal of Molecular Sciences. 2023; 24(22):16510. https://doi.org/10.3390/ijms242216510
Chicago/Turabian StyleSakakura, Saki, Emi Inagaki, Yuichiro Ochiai, Masatoshi Yamamoto, Naofumi Takai, Taeko Nagata, Kazunari Higa, Yasunori Sato, Hiroshi Toshida, Dogru Murat, and et al. 2023. "A Comprehensive Assessment of Tear-Film-Oriented Diagnosis (TFOD) in a Dacryoadenectomy Dry Eye Model" International Journal of Molecular Sciences 24, no. 22: 16510. https://doi.org/10.3390/ijms242216510
APA StyleSakakura, S., Inagaki, E., Ochiai, Y., Yamamoto, M., Takai, N., Nagata, T., Higa, K., Sato, Y., Toshida, H., Murat, D., Hirayama, M., Ogawa, Y., Negishi, K., & Shimmura, S. (2023). A Comprehensive Assessment of Tear-Film-Oriented Diagnosis (TFOD) in a Dacryoadenectomy Dry Eye Model. International Journal of Molecular Sciences, 24(22), 16510. https://doi.org/10.3390/ijms242216510

