Characterization of Copper/Zinc Superoxide Dismutase Activity on Phascolosoma esculenta (Sipuncula: Phascolosomatidea) and Its Protection from Oxidative Stress Induced by Cadmium
Abstract
1. Introduction
2. Results
2.1. Response of Antioxidative Indexes in the Supernatants after Cd Exposure
2.2. Pe-Cu/Zn SOD Sequence Analysis and Protein Structure
2.3. Sequence Alignment and Phylogenetic Analysis
2.4. Structural Characteristics of the Pe-Cu/Zn SOD Protein
2.5. Tissue Expression Patterns of Pe-Cu/Zn SOD mRNA
2.6. Expression Characteristics of Pe-Cu/Zn SOD under Cd Stress
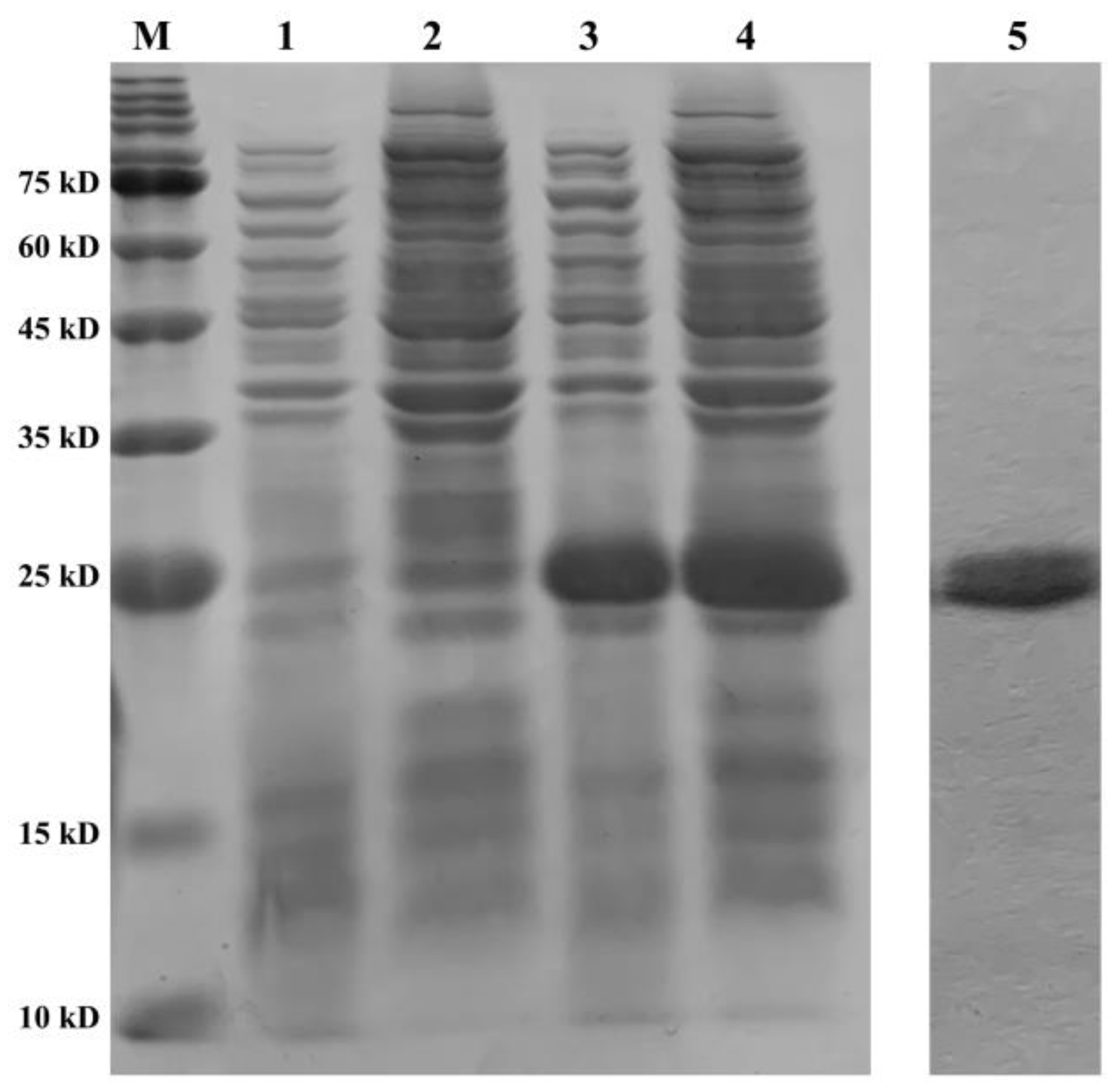
2.7. Expression and Purification of Pe-Cu/Zn SOD Protein
2.8. Cd Tolerance of Recombinant E. coli
2.9. Regulation of Pe-Cu/Zn SOD of the ROS Content Induced by Cd in Coelomocytes
3. Discussion
3.1. Sequence and Protein Structure of Pe-Cu/Zn SOD
3.2. Physiological and Biochemical Changes of P. esculenta under Cd Stress
3.3. Response of Cu/Zn SOD to Cd Stress
3.4. Antioxidant Function of Cu/Zn SOD
4. Materials and Methods
4.1. Samples
4.2. Chemical Exposure and Sampling
4.3. Total Superoxide Dismutase, Glutathione S-Transferase Activity, and GSH and MDA Content Determination in the Supernatants
4.4. Full-Length Complimentary DNA Cloning of Cu/Zn SOD
4.5. Sequence Alignment, Structure Prediction, and Phylogenetic Analysis
4.6. mRNA Expression and Enzyme Activity of Pe-Cu/Zn SOD
4.7. Recombinant Protein Expression and Purification
4.8. Cd Tolerance of Recombinant E. coli
4.9. Analysis of the Pe-Cu/Zn SOD Protection Function In Vivo
4.10. Data Analysis
5. Conclusions
Supplementary Materials
Author Contributions
Funding
Institutional Review Board Statement
Informed Consent Statement
Data Availability Statement
Acknowledgments
Conflicts of Interest
References
- Shi, W.; Guan, X.; Han, Y.; Guo, C.; Rong, J.H.; Su, W.H.; Zha, S.J.; Wang, Y.C.; Liu, G.X. Waterborne Cd2+ weakens the immune responses of blood clam through impacting Ca2+ signaling and Ca2+ related apoptosis pathways. Fish Shellfish. Immunol. 2018, 77, 208–213. [Google Scholar] [CrossRef] [PubMed]
- Dorta, D.J.; Leite, S.; DeMarco, K.C.; Prado, I.M.R.; Rodrigues, T.; Mingatto, F.E.; Uyemura, S.A.; Santos, A.C.; Curti, C. A proposed sequence of events for cadmium-induced mitochondrial impairment. J. Inorg. Biochem. 2003, 97, 251–257. [Google Scholar] [CrossRef]
- Wang, J.; Song, J.; Li, Y.; Zhou, X.; Zhang, X.T.; Liu, T.T.; Liu, B.G.; Wang, L.; Li, L.; Li, C. The distribution, expression of the Cu/Zn superoxide dismutase in Apostichopus japonicus and its function for sea cucumber immunity. Fish Shellfish. Immunol. 2019, 89, 745–752. [Google Scholar] [CrossRef]
- Cuypers, A.; Plusquin, M.; Remans, T.; Jozefczak, M.; Keunen, E.; Gielen, H.; Opdenakker, K.; Nair, A.R.; Munters, E.; Artois, T.J.; et al. Cadmium stress: An oxidative challenge. BioMetals 2010, 23, 927–940. [Google Scholar] [CrossRef] [PubMed]
- Thévenod, F. Cadmium and cellular signaling cascades: To be or not to be? Toxicol. Appl. Pharmacol. 2009, 238, 221–239. [Google Scholar] [CrossRef]
- Xiang, N.; Zhao, C.; Diao, X.; Han, Q.; Zhou, H.L. Dynamic responses of antioxidant enzymes in pearl oyster Pinctada martensii exposed to di (2-ethylhexyl) phthalate (DEHP). Environ. Toxicol. Pharmacol. 2017, 54, 184–190. [Google Scholar] [CrossRef]
- Nardi, A.; Mincarelli, L.F.; Benedetti, M.; Fattorini, D.; Errico, G.; Regoli, F. Indirect effects of climate changes on cadmium bioavailability and biological effects in the Mediterranean mussel Mytilus galloprovincialis. Chemosphere 2017, 169, 493–502. [Google Scholar] [CrossRef]
- Kim, K.Y.; Lee, S.Y.; Cho, Y.S.; Bang, I.C.; Kim, K.H.; Kim, D.S.; Nam, Y.K. Molecular characterization and mRNA expression during metal exposure and thermal stress of copper/zinc- and manganese-superoxide dismutases in disk abalone, Haliotis discus discus. Fish Shellfish. Immunol. 2007, 23, 1043–1059. [Google Scholar] [CrossRef] [PubMed]
- Anne-Frances, M. Superoxide dismutases: Ancient enzyme and new insights. Fed. Eur. Biochem. Soc. 2012, 586, 585–595. [Google Scholar]
- Zelko, I.N.; Mariani, T.J.; Folz, R.J. Superoxide dismutase multigene family: A comparison of the CuZn-SOD (SOD1), Mn-SOD (SOD2), and EC-SOD (SOD3) gene structures, evolution, and expression. Free. Radic. Biol. Med. 2002, 33, 337–349. [Google Scholar] [CrossRef]
- Valentine, J.S.; Doucette, P.A.; Potter, S.Z. Copper-zinc superoxide dismutase and amyotrophic lateral sclerosis. Annu. Rev. Biochem. 2005, 74, 563–593. [Google Scholar] [CrossRef] [PubMed]
- Oury, T.D.; Crapo, J.Z.; Enghild, J.J. Human extracellular superoxide dismutase is a tetramer composed of two disulphide-linked dimers: A simplified, high-yield purification of extracellular superoxide dismutase. Biochem. J. 1996, 317, 51–57. [Google Scholar] [CrossRef] [PubMed]
- Fang, Y.; Yang, H.S.; Wang, T.M.; Liu, B.Z.; Zhao, H.L.; Chen, M.Y. Metallothionein and superoxide dismutase responses to sublethal cadmium exposure in the clam Mactra veneriformis. Comp. Biochem. Physiol. C-Toxicol. Pharmacol. 2010, 151, 325–333. [Google Scholar] [CrossRef]
- Kim, J.S.; Kim, H.; Yim, B.; Rhee, J.S.; Won, E.J.; Lee, Y.M. Identification and molecular characterization of two Cu/Zn-SODs and Mn-SOD in the marine ciliate Euplotes crassus: Modulation of enzyme activity and transcripts in response to copper and cadmium. Aquat. Toxicol. 2018, 199, 296–304. [Google Scholar] [CrossRef] [PubMed]
- Dan, Z.; Li, H.; Gang, X.L.; Hao, S.; Bo, H.C. Molecular Cloning and Sequence Analysis of an Intracellular Cu/Zn-superoxide Dismutase Gene from Hard Clam (Meretrix meretrix). Biotechnol. Bull. 2010, 11, 123–128, 133. [Google Scholar]
- Bao, Y.; Li, L.; Xu, F.; Zhang, G.F. Intracellular copper/zinc superoxide dismutase from bay scallop Argopecten irradians: Its gene structure, mRNA expression and recombinant protein. Fish Shellfish. Immunol. 2009, 27, 210–220. [Google Scholar] [CrossRef]
- Okado-Matsumoto, A.; Fridovich, I. Subcellular distribution of superoxide dismutases (SOD) in rat liver Cu, Zn-SOD in mitochondria. J. Biol. Chem. 2001, 276, 38388–38393. [Google Scholar] [CrossRef]
- Kim, B.M.; Lee, J.W.; Seo, J.S.; Shin, K.H.; Rhee, J.S.; Lee, J.S. Modulated expression and enzymatic activity of the monogonont rotifer Brachionus koreanus Cu/Zn- and Mn-superoxide dismutase (SOD) in response to environmental biocides. Chemosphere 2015, 120, 470–478. [Google Scholar] [CrossRef]
- Ni, D.; Song, L.; Gao, Q.; Wu, L.T.; Yu, T.D.; Zhao, J.M.; Qiu, L.M.; Zhang, H.; Shi, F.F. The cDNA cloning and m RNA expression of cytoplasmic Cu, Zn superoxide dismutase (SOD) gene in scallop Chlamys farreri. Fish Shellfish. Immunol. 2007, 23, 1032–1042. [Google Scholar] [CrossRef]
- Zheng, J.L.; Yuan, S.S.; Wu, C.W.; Lv, Z.M. Acute exposure to waterborne cadmium induced oxidative stress and immunotoxicity in the brain, ovary and liver of zebrafish (Danio rerio). Aquatictoxicology 2016, 180, 36–44. [Google Scholar] [CrossRef]
- Xia, L.; Chen, S.; Dahms, H.U.; Ying, X.P.; Peng, X. Cadmium induced oxidative damage and apoptosis in the hepatopancreas of Meretrix meretrix. Ecotoxicology 2016, 25, 959–969. [Google Scholar] [CrossRef] [PubMed]
- Zhang, H.; Pan, L.; Tao, Y. Antioxidant responses in clam Venerupis philippinarum exposed to environmental pollutant hexabromocyclododecane. Environ. Sci. Pollut. Res. 2014, 21, 8206–8215. [Google Scholar] [CrossRef] [PubMed]
- Xue, B.; Zhang, P.; Li, Z.H.; Zhao, L.; Lai, X.F.; Chen, J.H.; Gao, H.; Yan, B.L. Toxicity effects of cadmium on the ridgetail white prawn Exopalaemon carinicauda. Asian J. Ecotoxicol. 2016, 11, 207–213. (In Chinese) [Google Scholar]
- Deng, S.P.; Zhao, Y.T.; Zhu, C.H.; Zeng, M.; Fu, S.; Li, G.L. Effects of Cadmium on the antioxidant enzyme activity and lipid peroxidation in Sanguinolaria acuta. Acta Hydrobiol. Sin. 2012, 36, 7. (In Chinese) [Google Scholar]
- Sun, B.; Ge, Q.W.; Lu, H.X.; Xu, Y.J. Effects of Cadmium exposure on antioxidant enzyme system of Tegillarca granosa Linnaeus. Ecol. Sci. 2014, 30, 383–388. (In Chinese) [Google Scholar]
- Wang, L.L.; Xia, B.; Chen, B.J.; Li, C.H.; Tang, X.X. Effects of cadmium stress on antioxidant defense system of Patinopecten yessoensis. Mar. Environ. Sci. 2012, 31, 39–42. (In Chinese) [Google Scholar]
- Xing, H.F.; Li, Y.Q.; Yang, H.Z.; Wang, L. Effects of Cadmium on the antioxidant enzyme activity and lipid peroxidation in the mantle and gill of freshwater bivalbe A. woodiana woodiana. Acta Sci. Circumstantiae 2013, 33, 856–860. (In Chinese) [Google Scholar]
- Bierrum, M.J.; Bauer, R.; Danielsen, E.; Kofpd, P. The Zn-site in bovine copper, zinc superoxide dismutase studied by 111Cd PAC. Free. Radic. Res. 1991, 12, 297–303. [Google Scholar]
- Casalino, E.; Calzaretti, G.; Sblano, C.; Landriscina, C. Molecular inhibitory mechanisms of antioxidant enzymes in rat liver and kidney by cadmium. Toxicology 2002, 179, 37–50. [Google Scholar] [CrossRef]
- Livingstone, D.R.; Lips, F.; Martinez, P.G.; Pipe, R.K. Antioxidant enzymes in the digestive gland of the common mussel (Mytilus edulis). Mar. Biol. 1992, 112, 265–276. [Google Scholar] [CrossRef]
- Lei, Y.J. The Toxicity Effects of Copper and Cadmium and the Possible Protective Effects of Selenium and α-Lipoic Acid on juvenile Abalone Haliotis Discus Hannai Ino; Ocean University of China: Qingdao, China, 2014. [Google Scholar]
- Wang, X.Y. Physiological Responses of the Four-Horned Clam Mactra Veneriformis to Cadmium and Mercury Pollution Stress; Graduate School of Chinese Academy of Sciences: Beijing, China, 2009. [Google Scholar]
- Lu, Z.; Wang, S.; Shan, X.; Ji, C.L.; Wu, H.F. Differential biological effects in two pedigrees of clam Ruditapes philippinarum exposed to cadmium using iTRAQ-based proteomics. Environ. Toxicol. Pharmacol. 2019, 65, 66–72. [Google Scholar] [CrossRef] [PubMed]
- Liu, N.; Yan, B.; Li, Y.Q.; Wang, Q.; Wang, L. Effects of Cd2+ on glutathione system of hepatopancreas and gills in freshwater crab Sinopotamon yangtsekiense. Environ. Sci. 2008, 29, 2302–2307. (In Chinese) [Google Scholar]
- Loro, V.L.; Jorge, M.B.; Silva, K.R.; Wood, C.M. Oxidative stress parameters and antioxidant response to sublethal waterborne zinc in a euryhaline teleost Fundulus heteroclitus: Protective effects of salinity. Aquat. Toxicol. 2012, 110–111, 187–193. [Google Scholar] [CrossRef] [PubMed]
- Haque, N.; Lee, D.; Kim, B.; Nam, S.E.; Rhee, J.S. Dose- and age-specific antioxidant responses of the mysid crustacean Neomysis awatschensis to metal exposure. Aquat. Toxicol. 2018, 201, 21–30. [Google Scholar] [CrossRef] [PubMed]
- Pretto, A.; Loro, V.L.; Morsch, V.M.; Moraes, B.S.; Menezes, C.; Clasen, B.; Hoehne, L.; Dressler, V. Acetylcholinesterase activity, lipid peroxidation, and bioaccumulation in silver catfish (Rhamdia quelen) exposed to cadmium. Arch. Environ. Contam. Toxicol. 2010, 58, 1008–1014. [Google Scholar] [CrossRef] [PubMed]
- Xu, H.; Song, P.; Gu, W.B.; Yang, Z. Effects of heavy metals on production of thiol compounds and antioxidant enzymes in Agaricus bisporus. Ecotoxicol. Environ. Saf. 2011, 74, 1685–1692. [Google Scholar] [CrossRef]
- Winterbourn, C.C.; Peskin, A.V.; Parsons-Mair, H.N. Thiol oxidase activity of copper, zinc superoxide dismutase. J. Biol. Chem. 2002, 277, 1906–1911. [Google Scholar] [CrossRef]
- Wang, F.; Zhao, Y.F.; Liu, C.F. Effects of Cu2+ on the antioxidative defence in muscle of Paralichthys olivaceus. Freshw. Fish. 2007, 2, 27–29. (In Chinese) [Google Scholar]
- Liu, H.F.; Wang, F. Advanced research on pollution of heavy metals on biomarkers in aquatic animals. Freshw. Fish. 2009, 5, 299–302. (In Chinese) [Google Scholar]
- Kim, B.M.; Rhee, J.S.; Park, G.S.; Lee, J.; Lee, Y.M.; Lee, J.S. Cu/Zn- and Mn-superoxide dismutase (SOD) from the copepod Tigriopus japonicus: Molecular cloning and expression in response to environmental pollutants. Chemosphere 2011, 84, 1467–1475. [Google Scholar] [CrossRef]
- Rhee, J.S.; Won, E.J.; Kim, R.O.; Lee, J.; Shin, K.H.; Lee, J.S. Expression of superoxide dismutase (SOD) genes from the copper-exposed polychaete, Neanthes succinea. Mar. Pollut. Bull. 2011, 63, 277–286. [Google Scholar] [CrossRef] [PubMed]
- Kumar, N.; Krishnani, K.K.; Meena, K.K.; Gupta, S.K.; Singh, N.P. Oxidative and cellular metabolic stress of Oreochromis mossambicus as biomarkers indicators of trace element contaminants. Chemosphere 2017, 171, 265–274. [Google Scholar] [CrossRef] [PubMed]
- Xie, Y.; Chen, H.; Zheng, S.; Zhang, X.L.; Mu, S.N. Molecular characterization of Cu/Zn SOD gene in Asian clam Corbicula fluminea and mRNA expression and enzymatic activity modulation induced by metals. Gene 2018, 663, 189–195. [Google Scholar] [CrossRef] [PubMed]
- Hwang, C.S.; Rhie, G.; Oh, J.H.; Huh, W.K.; Yim, H.S.; Kang, S.O. Copper- and zinc- containing superoxide dismutase (Cu/Zn SOD) is required for the protection of Candida albicans against oxidative stresses and the expression of its full virulence. Microbiology 2002, 148, 3705–3713. [Google Scholar] [CrossRef]
- Liu, Y.C.; Su, H.; Wang, P.C.; Xu, Y.L.; Wei, T.C.; Wang, H.; Xu, Y. Cloning and fusion expression of extracellular Cu-Zn superoxide dismutase gene and detection of recombinant protease activity in Somalis borer. Acta Sericologica Sin. 2018, 44, 188–195. [Google Scholar]
- Perera, N.; Godahewa, G.; Lee, J. Copper-zinc-superoxide dismutase (CuZnSOD), an antioxidant gene from seahorse (Hippocampus abdominalis); molecular cloning, sequence characterization, antioxidant activity and potential peroxidation function of its recombinant protein. Fish Shellfish. Immunol. 2016, 57, 386–399. [Google Scholar] [CrossRef]
- Petkau, A.; Kelly, K.; Chelack, W.S.; Barefoot, C. Protective effect of superoxide dismutase on erythrocytes of X-irradiated mice. Biochem. Biophys. Res. Commun. 1976, 70, 452–458. [Google Scholar] [CrossRef]
- Petkau, A.; Chelack, W.S.; Pleskach, S.D. Protection by superoxide dismutase of white blood cells in X-irradiated mice. Life Sci. 1978, 22, 867–882. [Google Scholar] [CrossRef]
- Oda, T.; Akaike, T.T.; Hamamoto, T.; Hirano, T.; Maeda, H. Oxygen radicals in infuenza-induced pathogenesis and treatment with pyran polymer-conjugated SOD. Science 1989, 244, 974–976. [Google Scholar] [CrossRef]
- Meng, J.; Gao, X.; Luo, S.; Lin, C.; Du, C.; Hou, C.; Wang, J.P.; Jin, S.; Tang, D.J.; Zhang, C.; et al. Cloning, Functional Characterization and Response to Cadmium Stress of the Thioredoxin-like Protein 1 Gene from Phascolosoma esculenta. Int. J. Mol. Sci. 2022, 23, 332. [Google Scholar] [CrossRef]











Publisher’s Note: MDPI stays neutral with regard to jurisdictional claims in published maps and institutional affiliations. |
© 2022 by the authors. Licensee MDPI, Basel, Switzerland. This article is an open access article distributed under the terms and conditions of the Creative Commons Attribution (CC BY) license (https://creativecommons.org/licenses/by/4.0/).
Share and Cite
Liu, Y.; Du, C.; Lin, C.; Gao, X.; Zhu, J.; Zhang, C. Characterization of Copper/Zinc Superoxide Dismutase Activity on Phascolosoma esculenta (Sipuncula: Phascolosomatidea) and Its Protection from Oxidative Stress Induced by Cadmium. Int. J. Mol. Sci. 2022, 23, 12136. https://doi.org/10.3390/ijms232012136
Liu Y, Du C, Lin C, Gao X, Zhu J, Zhang C. Characterization of Copper/Zinc Superoxide Dismutase Activity on Phascolosoma esculenta (Sipuncula: Phascolosomatidea) and Its Protection from Oxidative Stress Induced by Cadmium. International Journal of Molecular Sciences. 2022; 23(20):12136. https://doi.org/10.3390/ijms232012136
Chicago/Turabian StyleLiu, Yang, Chen Du, Chenwen Lin, Xinming Gao, Junquan Zhu, and Chundan Zhang. 2022. "Characterization of Copper/Zinc Superoxide Dismutase Activity on Phascolosoma esculenta (Sipuncula: Phascolosomatidea) and Its Protection from Oxidative Stress Induced by Cadmium" International Journal of Molecular Sciences 23, no. 20: 12136. https://doi.org/10.3390/ijms232012136
APA StyleLiu, Y., Du, C., Lin, C., Gao, X., Zhu, J., & Zhang, C. (2022). Characterization of Copper/Zinc Superoxide Dismutase Activity on Phascolosoma esculenta (Sipuncula: Phascolosomatidea) and Its Protection from Oxidative Stress Induced by Cadmium. International Journal of Molecular Sciences, 23(20), 12136. https://doi.org/10.3390/ijms232012136
