Black Soybean and Adzuki Bean Extracts Lower Blood Pressure by Modulating the Renin-Angiotensin System in Spontaneously Hypertensive Rats
Abstract
1. Introduction
2. Materials and Methods
2.1. Sample Preparation
2.2. Animals and Diets
2.3. Growth Performance and Organ Weights
2.4. Blood Pressure Measurement
2.5. Blood Biochemical Analysis
2.6. Real-Time PCR
2.7. Histological Analysis of Aorta
2.8. Statistical Analysis
3. Results and Discussion
3.1. Growth Performance and Organ Weights
3.2. Blood Biochemical Parameters
3.3. Systolic Blood Pressure and Diastolic Blood Pressure
3.4. Angiotensin-Converting Enzyme and Angiotensin Ⅱ Level in Serum, and Renin mRNA Expression in the Kidney
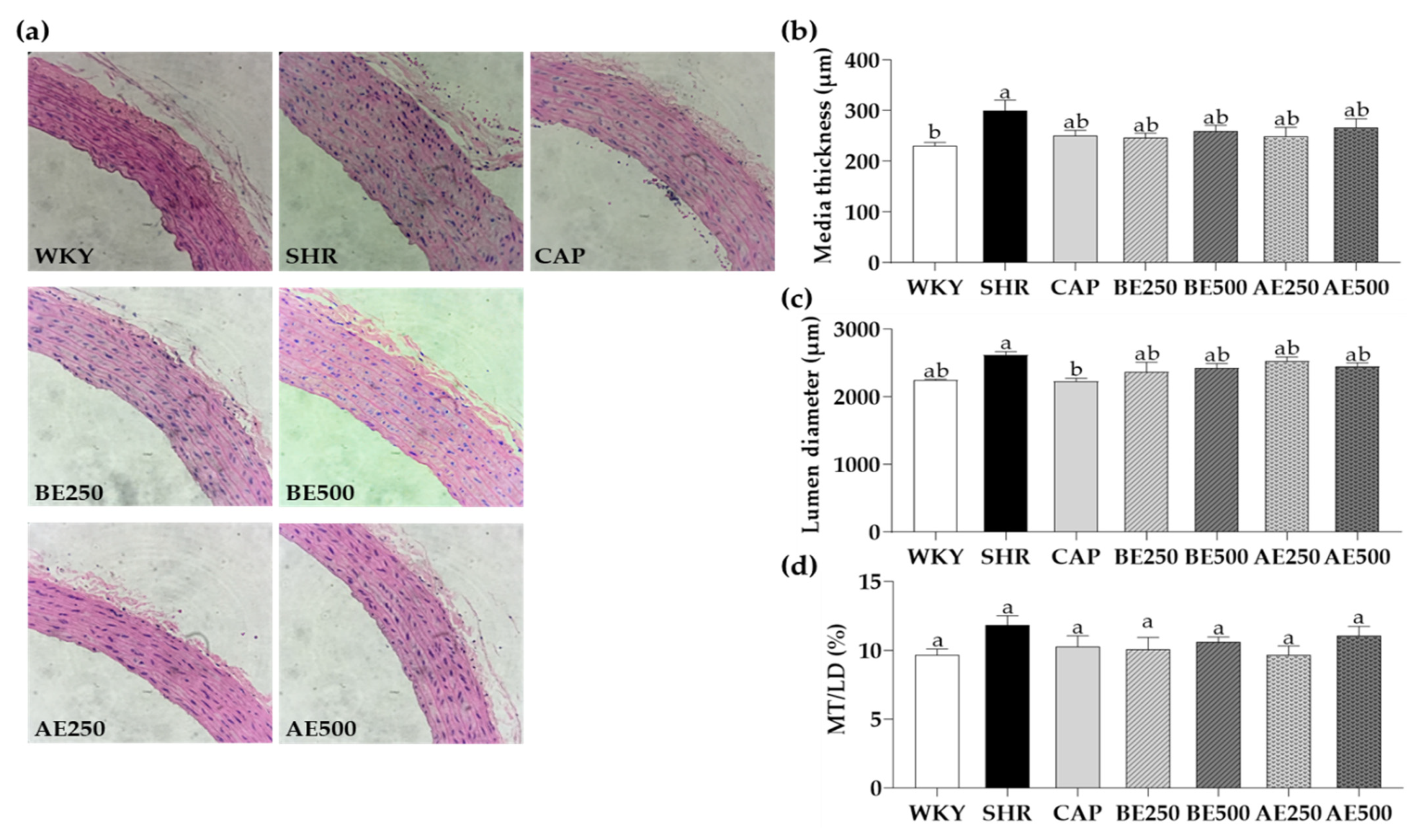
3.5. Histological Findings of the Aorta
4. Conclusions
Author Contributions
Funding
Institutional Review Board Statement
Informed Consent Statement
Data Availability Statement
Conflicts of Interest
References
- World Health Organization. Factsheet on Hypertension. Available online: https://www.who.int/news-room/fact-sheets/detail/hypertension (accessed on 25 September 2020).
- Unger, T.; Borghi, C.; Charchar, F.; Khan, N.A.; Poulter, N.R.; Prabhakaran, D.; Ramirez, A.; Schlaich, M.; Stergiou, G.S.; Tomaszewski, M. 2020 International society of hypertension global hypertension practice guidelines. Hypertension 2020, 75, 1334–1357. [Google Scholar] [CrossRef]
- Zhou, B.; Bentham, J.; Di Cesare, M.; Bixby, H.; Danaei, G.; Cowan, M.J.; Paciorek, C.J.; Singh, G.; Hajifathalian, K.; Bennett, J.E. Worldwide trends in blood pressure from 1975 to 2015: A pooled analysis of 1479 population-based measurement studies with 19· 1 million participants. Lancet 2017, 389, 37–55. [Google Scholar] [CrossRef]
- Mills, K.T.; Bundy, J.D.; Kelly, T.N.; Reed, J.E.; Kearney, P.M.; Reynolds, K.; Chen, J.; He, J. Global disparities of hypertension prevalence and control: A systematic analysis of population-based studies from 90 countries. Circulation 2016, 134, 441–450. [Google Scholar] [CrossRef] [PubMed]
- Wierzejska, E.; Giernaś, B.; Lipiak, A.; Karasiewicz, M.; Cofta, M.; Staszewski, R. A global perspective on the costs of hypertension: A systematic review. Arch. Med. Sci. 2020, 16, 1078–1091. [Google Scholar] [CrossRef] [PubMed]
- Burnier, M.; Egan, B.M. Adherence in hypertension: A review of prevalence, risk factors, impact, and management. Circ. Res. 2019, 124, 1124–1140. [Google Scholar] [CrossRef] [PubMed]
- Chobanian, A.V. The hypertension paradox—more uncontrolled disease despite improved therapy. N. Engl. J. Med. 2009, 361, 878–887. [Google Scholar] [CrossRef]
- Özkaya, E.; Yazganoğlu, K.D. Adverse Cutaneous Drug Reactions to Cardiovascular Drugs; Springer: London, UK, 2014; pp. 3–63. [Google Scholar]
- Dos Santos, R.L.; Dellacqua, L.O.; Delgado, N.T.; Rouver, W.N.; Podratz, P.L.; Lima, L.C.; Piccin, M.P.; Meyrelles, S.S.; Mauad, H.; Graceli, J.B. Pomegranate peel extract attenuates oxidative stress by decreasing coronary angiotensin-converting enzyme (ACE) activity in hypertensive female rats. J. Toxicol. Environ. Health A 2016, 79, 998–1007. [Google Scholar] [CrossRef] [PubMed]
- Tong, R.-C.; Qi, M.; Yang, Q.-M.; Li, P.-F.; Wang, D.-D.; Lan, J.-P.; Wang, Z.-T.; Yang, L. Extract of Plantago asiatica L. seeds ameliorates hypertension in spontaneously hypertensive rats by inhibition of angiotensin converting enzyme. Front. Pharmacol. 2019, 10, 403. [Google Scholar] [CrossRef]
- Balasuriya, N.; Rupasinghe, H.V. Antihypertensive properties of flavonoid-rich apple peel extract. Food Chem. 2012, 135, 2320–2325. [Google Scholar] [CrossRef]
- Maione, F.; Cicala, C.; Musciacco, G.; De Feo, V.; Amat, A.G.; Ialenti, A.; Mascolo, N. Phenols, alkaloids and terpenes from medicinal plants with antihypertensive and vasorelaxant activities. A review of natural products as leads to potential therapeutic agents. Nat. Prod. Commun. 2013, 8, 539–544. [Google Scholar] [CrossRef]
- Sachdeva, V.; Roy, A.; Bharadvaja, N. Current prospects of nutraceuticals: A review. Curr. Pharm. Biotechnol. 2020, 21, 884–896. [Google Scholar] [CrossRef]
- Bai, Y.; Xu, Y.; Wang, B.; Li, S.; Guo, F.; Hua, H.; Zhao, Y.; Yu, Z. Comparison of phenolic compounds, antioxidant and antidiabetic activities between selected edible beans and their different growth periods leaves. J. Funct. Foods 2017, 35, 694–702. [Google Scholar] [CrossRef]
- Lee, J.H.; Ham, H.; Kim, M.Y.; Ko, J.Y.; Sim, E.-Y.; Kim, H.-J.; Lee, C.K.; Jeon, Y.H.; Jeong, H.S.; Woo, K.S. Phenolic compounds and antioxidant activity of adzuki bean cultivars. Legume Res. 2018, 41, 681–688. [Google Scholar] [CrossRef]
- Nur’aini, F.D.; Rahayu, S.; Rifa’i, M. Anti-inflammatory activity of elicited soybean (Glycine max) extract on Balb/C mice (Mus musculus) with high-fat and-fructose diet. Cent. Eur. J. Immunol. 2019, 44, 7–14. [Google Scholar] [CrossRef]
- Yim, J.H.; Lee, O.-H.; Choi, U.-K.; Kim, Y.-C. Antinociceptive and anti-inflammatory effects of ethanolic extracts of Glycine max (L.) Merr and Rhynchosia nulubilis seeds. Int. J. Mol. Sci. 2009, 10, 4742–4753. [Google Scholar] [CrossRef]
- Kim, K.; Lim, K.-M.; Kim, C.-W.; Shin, H.-J.; Seo, D.-B.; Lee, S.-J.; Noh, J.-Y.; Bae, O.-N.; Shin, S.; Chung, J.-H. Black soybean extract can attenuate thrombosis through inhibition of collagen-induced platelet activation. J. Nutr. Biochem. 2011, 22, 964–970. [Google Scholar] [CrossRef] [PubMed]
- Miyazaki, H.; Okamoto, Y.; Motoi, A.; Watanabe, T.; Katayama, S.; Kawahara, S.-I.; Makabe, H.; Fujii, H.; Yonekura, S. Adzuki bean (Vigna angularis) extract reduces amyloid-β aggregation and delays cognitive impairment in drosophila models of Alzheimer’s disease. Nutr. Res. Pract. 2019, 13, 64–69. [Google Scholar] [CrossRef] [PubMed]
- Kwon, O.S.; Jeong, M.S.; Kim, B.; Kim, S.-H. Antiangiogenic effect of ethanol extract of Vigna angularis via inhibition of phosphorylation of VEGFR2, Erk, and Akt. J. Evid. Based Complementary Altern. Med. 2015, 2015, 1–9. [Google Scholar]
- Sato, S.; Mukai, Y.; Kataoka, S.; Kurasaki, M. Azuki bean (Vigna angularis) extract stimulates the phosphorylation of AMP-activated protein kinase in HepG2 cells and diabetic rat liver. J. Sci. Food Agric. 2016, 96, 2312–2318. [Google Scholar] [CrossRef] [PubMed]
- Lim, H.J.; Park, S.I.; Bak, S.G.; Cheong, S.H.; Lee, S.; Baek, Y.B.; Lee, C.M.; Lee, K.M.; Lee, S.W.; Lee, S.J. Beneficial effects of Vigna angularis extract in osteoporosis and osteoarthritis. Food Sci. Nutr. 2020, 8, 6550–6556. [Google Scholar] [CrossRef]
- Kim, C.; Kim, M.-B.; Hwang, J.-K. Red bean extract inhibits immobilization-induced muscle atrophy in C57BL/6N mice. J. Med. Food 2020, 23, 29–36. [Google Scholar] [CrossRef] [PubMed]
- Sato, S.; Mukai, Y.; Yamate, J.; Kato, J.; Kurasaki, M.; Hatai, A.; Sagai, M. Effect of polyphenol-containing azuki bean (Vigna angularis) extract on blood pressure elevation and macrophage infiltration in the heart and kidney of spontaneously hypertensive rats. Clin. Exp. Pharmacol. Physiol. 2008, 35, 43–49. [Google Scholar] [CrossRef]
- Mukai, Y.; Sato, S. Polyphenol-containing azuki bean (Vigna angularis) extract attenuates blood pressure elevation and modulates nitric oxide synthase and caveolin-1 expressions in rats with hypertension. Nutr. Metab. Cardiovasc. Dis. 2009, 19, 491–497. [Google Scholar] [CrossRef] [PubMed]
- Mukai, Y.; Sato, S. Polyphenol-containing azuki bean (Vigna angularis) seed coats attenuate vascular oxidative stress and inflammation in spontaneously hypertensive rats. J. Nutr. Biochem. 2011, 22, 16–21. [Google Scholar] [CrossRef] [PubMed]
- Chan, K.-C.; Kok, K.-E.; Huang, K.-F.; Weng, Y.-L.; Chung, Y.-C. Effects of fermented red bean extract on nephropathy in streptozocin-induced diabetic rats. Food Nutr. Res. 2020, 64, 4272–4280. [Google Scholar] [CrossRef] [PubMed]
- Park, S.Y.; Pak, S.; Kang, S.J.; Kim, N.Y.; Kim, D.S.; Kim, M.J.; Kim, S.A.; Kim, J.Y.; Park, S.Y.; Park, S.H.; et al. Effects of the C3G/D3G anthocyanins-rich black soybean testa extracts on improvement of lipid profiles in STZ-induce diabetic rats. J. Nutr. Health 2015, 48, 299–309. [Google Scholar] [CrossRef]
- Kokubo, M.; Uemura, A.; Matsubara, T.; Murohara, T. Noninvasive evaluation of the time course of change in cardiac function in spontaneously hypertensive rats by echocardiography. Hypertens. Res. 2005, 28, 601–609. [Google Scholar] [CrossRef][Green Version]
- Yang, H.-Y.; Yang, S.-C.; Chen, J.-R.; Tzeng, Y.-H.; Han, B.-C. Soyabean protein hydrolysate prevents the development of hypertension in spontaneously hypertensive rats. Br. J. Nutr. 2004, 92, 507–512. [Google Scholar] [CrossRef]
- Cabassi, A.; Vinci, S.; Cantoni, A.M.; Quartieri, F.; Moschini, L.; Cavazzini, S.; Cavatorta, A.; Borghetti, A. Sympathetic activation in adipose tissue and skeletal muscle of hypertensive rats. Hypertension 2002, 39, 656–661. [Google Scholar] [CrossRef][Green Version]
- Clark, J.L.; Loader, T.B.; Anderson, H.D.; Zahradka, P.; Taylor, C.G. Regular black bean consumption is necessary to sustain improvements in small-artery vascular compliance in the spontaneously hypertensive rat. Nutrients 2020, 12, 685. [Google Scholar] [CrossRef]
- Fukuda, S.; Tsuchikura, S.; Iida, H. Age-related changes in blood pressure, hematological values, concentrations of serum biochemical constituents and weights of organs in the SHR/Izm, SHRSP/Izm and WKY/Izm. Exp. Anim. 2004, 53, 67–72. [Google Scholar] [CrossRef] [PubMed]
- Brookes, M.; Cooper, B. Hypertension and fatty liver: Guilty by association? J. Hum. Hypertens. 2007, 21, 264–270. [Google Scholar] [CrossRef]
- Diehl, A. Fatty liver, hypertension, and the metabolic syndrome. Gut 2004, 53, 923–924. [Google Scholar] [CrossRef]
- Stranges, S.; Trevisan, M.; Dorn, J.M.; Dmochowski, J.; Donahue, R.P. Body fat distribution, liver enzymes, and risk of hypertension: Evidence from the Western New York Study. Hypertension 2005, 46, 1186–1193. [Google Scholar] [CrossRef]
- Kurimoto, Y.; Shibayama, Y.; Inoue, S.; Soga, M.; Takikawa, M.; Ito, C.; Nanba, F.; Yoshida, T.; Yamashita, Y.; Ashida, H. Black soybean seed coat extract ameliorates hyperglycemia and insulin sensitivity via the activation of AMP-activated protein kinase in diabetic mice. J. Agric. Food Chem. 2013, 61, 5558–5564. [Google Scholar] [CrossRef] [PubMed]
- Kim, S.; Hong, J.; Jeon, R.; Kim, H.-S. Adzuki bean ameliorates hepatic lipogenesis and proinflammatory mediator expression in mice fed a high-cholesterol and high-fat diet to induce nonalcoholic fatty liver disease. Nutr. Res. 2016, 36, 90–100. [Google Scholar] [CrossRef]
- Jung, J.-H.; Kim, H.-S. The inhibitory effect of black soybean on hepatic cholesterol accumulation in high cholesterol and high fat diet-induced non-alcoholic fatty liver disease. Food Chem. Toxicol. 2013, 60, 404–412. [Google Scholar] [CrossRef]
- Kim, M.; Pichiah, P.B.T.; Kim, D.K.; Cha, Y.S. Black adzuki bean (Vigna angularis) extract exerts phenotypic effects on white adipose tissue and reverses liver steatosis in diet-induced obese mice. J. Food Biochem. 2017, 41, e12333. [Google Scholar] [CrossRef]
- Han, K.-H.; Fukushima, M.; Ohba, K.; Shimada, K.-I.; Sekikawa, M.; Chiji, H.; Lee, C.-H.; Nakano, M. Hepatoprotective effects of the water extract from adzuki bean hulls on acetaminophen-induced damage in rat liver. J. Nuti. Sci. Vitaminol. 2004, 50, 380–383. [Google Scholar] [CrossRef]
- Lee, M.; Sorn, S.R.; Park, Y.; Park, H.-K. Anthocyanin rich-black soybean testa improved visceral fat and plasma lipid profiles in overweight/obese Korean adults: A randomized controlled trial. J. Med. Food 2016, 19, 995–1003. [Google Scholar] [CrossRef] [PubMed]
- Loader, T.B.; Zahradka, P.; Ahmadi, S.; Taylor, C.G. Processing method modulates the effectiveness of black beans for lowering blood cholesterol in spontaneously hypertensive rats. J. Sci. Food Agric. 2021, 101, 449–458. [Google Scholar] [CrossRef] [PubMed]
- Itoh, T.; Kobayashi, M.; Horio, F.; Furuichi, Y. Hypoglycemic effect of hot-water extract of adzuki (Vigna angularis) in spontaneously diabetic KK-Ay mice. Nutrition 2009, 25, 134–141. [Google Scholar] [CrossRef] [PubMed]
- Yamashita, Y.; Wang, L.; Nakamura, A.; Nanba, F.; Saito, S.; Toda, T.; Nakagawa, J.; Ashida, H. Black soybean improves the vascular function through an increase in nitric oxide and a decrease in oxidative stress in healthy women. Arch. Biochem. Biophys. 2020, 688, 108408–108418. [Google Scholar] [CrossRef]
- Hermsdorff, H.H.M.; Zulet, M.Á.; Abete, I.; Martínez, J.A. A legume-based hypocaloric diet reduces proinflammatory status and improves metabolic features in overweight/obese subjects. Eur. J. Nutr. 2011, 50, 61–69. [Google Scholar] [CrossRef] [PubMed]
- Zhang, Y.; Pechan, T.; Chang, S.K. Antioxidant and angiotensin-I converting enzyme inhibitory activities of phenolic extracts and fractions derived from three phenolic-rich legume varieties. J. Funct. Foods 2018, 42, 289–297. [Google Scholar] [CrossRef] [PubMed]
- Yu, M.; Kim, H.-J.; Yu, J.; Lee, H.; Sung, J.; Jeong, H.S.; Lee, J. Comparison of antioxidant and anti-hypertensive activities of ethanol extracts from cereal grains and legumes. J. Korean Soc. Food Sci. Nutr. 2020, 49, 1069–1076. [Google Scholar] [CrossRef]
- Chen, C.-H.; Lin, J.-Y.; Lin, C.-N.; Hsu, S.-Y. Inhibition of angiotensin-I-converting enzyme by tetrahydroxyxanthones isolated from Tripterospermum lanceolatum. J. Nat. Prod. 1992, 55, 691–695. [Google Scholar] [CrossRef]
- Lacaille-Dubois, M.; Franck, U.; Wagner, H. Search for potential angiotensin converting enzyme (ACE)-inhibitors from plants. Phytomedicine 2001, 8, 47–52. [Google Scholar] [CrossRef]
- Takahashi, S.; Hori, K.; Kumagai, M.; Wakabayashi, S. Human renin inhibitory activity in legumes. ACE 2007, 13, 15. [Google Scholar]
- Yao, F.; Sun, C.; Chang, S.K. Lentil polyphenol extract prevents angiotensin II-induced hypertension, vascular remodelling and perivascular fibrosis. Food Funct. 2012, 3, 127–133. [Google Scholar] [CrossRef]



| WKY | SHR | CAP | BE250 | BE500 | AE250 | AE500 | |
|---|---|---|---|---|---|---|---|
| Body weight (g) | 377 ± 2.73 a | 339 ± 3.41 bc | 351 ± 1.83 b | 342 ± 3.90 bc | 347 ± 4.32 bc | 341 ± 1.48 bc | 333 ± 4.32 c |
| Feed intake (g/day) | 23.9 ± 0.24 b | 25.5 ± 0.31 a | 25.5 ± 0.34 a | 24.7 ± 0.56 ab | 24.8 ± 0.40 ab | 25.1 ± 0.29 ab | 24.6 ± 0.14 ab |
| Liver weight (g) | 9.69 ± 0.36 d | 18.2 ± 0.32 a | 12.5 ± 0.54 b | 11.0 ± 0.15 cd | 11.9 ± 0.15 bc | 12.0 ± 0.10 cd | 11.0 ± 0.33 bc |
| Relative liver weight (%) | 2.57 ± 0.09 c | 5.19 ± 0.11 a | 3.79 ± 0.01 b | 3.23 ± 0.01 b | 3.49 ± 0.08 b | 3.39 ± 0.06 b | 3.37 ± 0.18 b |
| Heart weight (g) | 1.29 ± 0.04 b | 1.75 ± 0.04 a | 1.63 ± 0.01 a | 1.63 ± 0.10 a | 1.72 ± 0.08 a | 1.65 ± 0.02 a | 1.78 ± 0.03 a |
| Relative heart weight (%) | 0.35 ± 0.01 b | 0.51 ± 0.00 a | 0.47 ± 0.00 a | 0.47 ± 0.03 a | 0.48 ± 0.02 a | 0.49 ± 0.01 a | 0.51 ± 0.01 a |
| WKY | SHR | CAP | BE250 | BE500 | AE250 | AE500 | |
|---|---|---|---|---|---|---|---|
| AST (IU/L) | 18.6 ± 1.87 b | 24.7 ± 1.95 a | 16.5 ± 0.65 bc | 14.4 ± 0.69 bcd | 11.2 ± 0.37 cd | 10.7 ± 0.72 cd | 10.0 ± 1.31d |
| ALT (IU/L) | 4.29 ± 0.76 c | 19.3 ± 2.50 a | 8.05 ± 1.17 b c | 12.2 ± 1.46 b | 7.47 ± 0.60 bc | 7.36 ± 2.32 bc | 8.31 ± 0.82 bc |
| TG (mg/dL) | 37.6 ± 3.99 c | 135 ± 7.24 a | 74.5 ± 6.86 b | 83.4 ± 1.58 b | 97.2 ± 9.27 b | 74.2± 4.88 b | 74.9 ± 3.38 b |
| TC (mg/dL) | 88.4 ± 2.18 b | 95.6 ± 1.21 a | 77.7 ± 0.89 c | 79.2 ± 0.86 c | 78.8 ± 1.95 c | 75.8 ± 0.25 c | 80.3 ± 2.31 c |
| LDL-C (mg/dL) | 8.95 ± 0.26 ab | 9.53 ± 0.44 a | 7.73 ± 0.16 b | 8.88 ± 0.36 ab | 7.78 ± 0.34 b | 7.70 ± 0.07 b | 7.80 ± 0.18 b |
Publisher’s Note: MDPI stays neutral with regard to jurisdictional claims in published maps and institutional affiliations. |
© 2021 by the authors. Licensee MDPI, Basel, Switzerland. This article is an open access article distributed under the terms and conditions of the Creative Commons Attribution (CC BY) license (https://creativecommons.org/licenses/by/4.0/).
Share and Cite
Jeong, E.-W.; Park, S.-Y.; Yang, Y.-S.; Baek, Y.-J.; Yun, D.-M.; Kim, H.-J.; Go, G.-W.; Lee, H.-G. Black Soybean and Adzuki Bean Extracts Lower Blood Pressure by Modulating the Renin-Angiotensin System in Spontaneously Hypertensive Rats. Foods 2021, 10, 1571. https://doi.org/10.3390/foods10071571
Jeong E-W, Park S-Y, Yang Y-S, Baek Y-J, Yun D-M, Kim H-J, Go G-W, Lee H-G. Black Soybean and Adzuki Bean Extracts Lower Blood Pressure by Modulating the Renin-Angiotensin System in Spontaneously Hypertensive Rats. Foods. 2021; 10(7):1571. https://doi.org/10.3390/foods10071571
Chicago/Turabian StyleJeong, Eun-Woo, Se-Yeong Park, Yun-Sun Yang, You-Jin Baek, Da-Min Yun, Hyun-Joo Kim, Gwang-Woong Go, and Hyeon-Gyu Lee. 2021. "Black Soybean and Adzuki Bean Extracts Lower Blood Pressure by Modulating the Renin-Angiotensin System in Spontaneously Hypertensive Rats" Foods 10, no. 7: 1571. https://doi.org/10.3390/foods10071571
APA StyleJeong, E.-W., Park, S.-Y., Yang, Y.-S., Baek, Y.-J., Yun, D.-M., Kim, H.-J., Go, G.-W., & Lee, H.-G. (2021). Black Soybean and Adzuki Bean Extracts Lower Blood Pressure by Modulating the Renin-Angiotensin System in Spontaneously Hypertensive Rats. Foods, 10(7), 1571. https://doi.org/10.3390/foods10071571

