Common and Uncommon Errors in Emergency Ultrasound
Abstract
:1. Introduction
2. Findings
- Environmental factors;
- Patients;
- Technical skills of the operator.
2.1. Environmental Factors
2.2. Patients
2.3. The Technical Skills of the Operator
3. Errors of Interpretation
- Bad artifacts;
- Chest artifacts with no clinical context;
- US-setting errors;
- Anatomy and anatomical variants.
3.1. Bad Artifacts
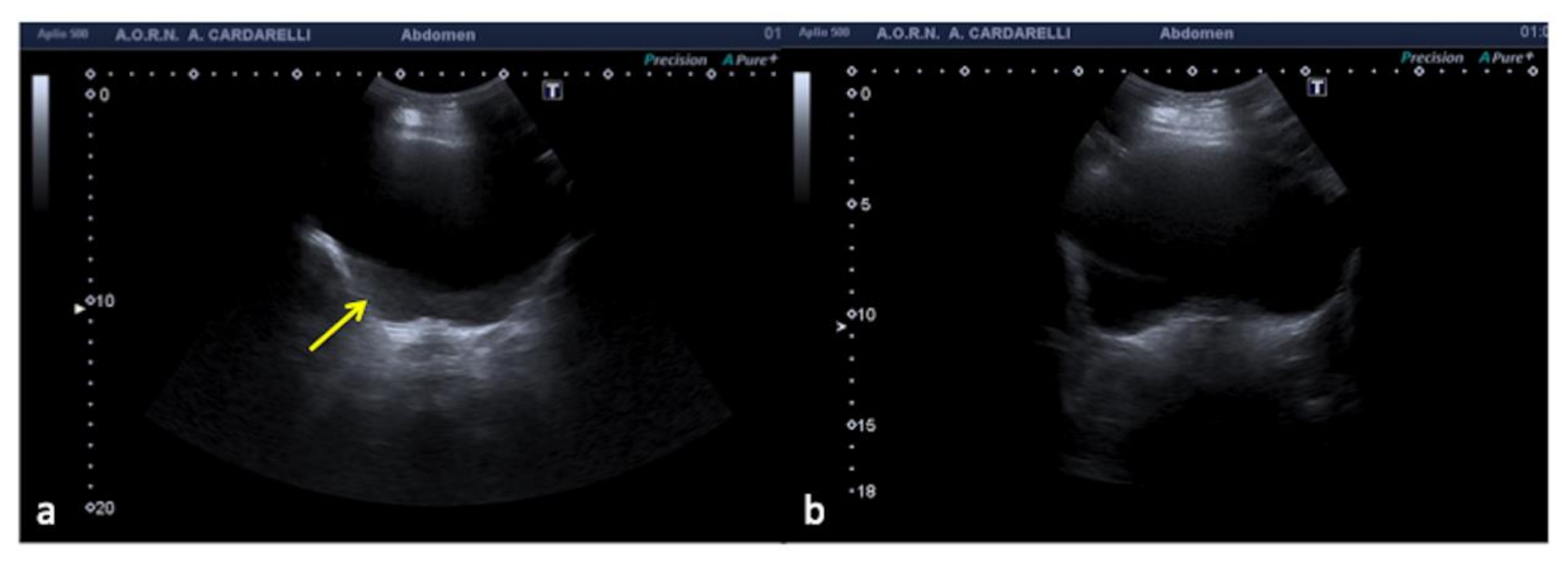
3.1.1. The Side Lobe Artifact
3.1.2. The Mirror-Imaging Effect
3.1.3. The Speed-Displacement Artifact (Propagation Velocity Artifact)
3.1.4. Refraction Artifacts
3.1.5. Reverberation Artifacts
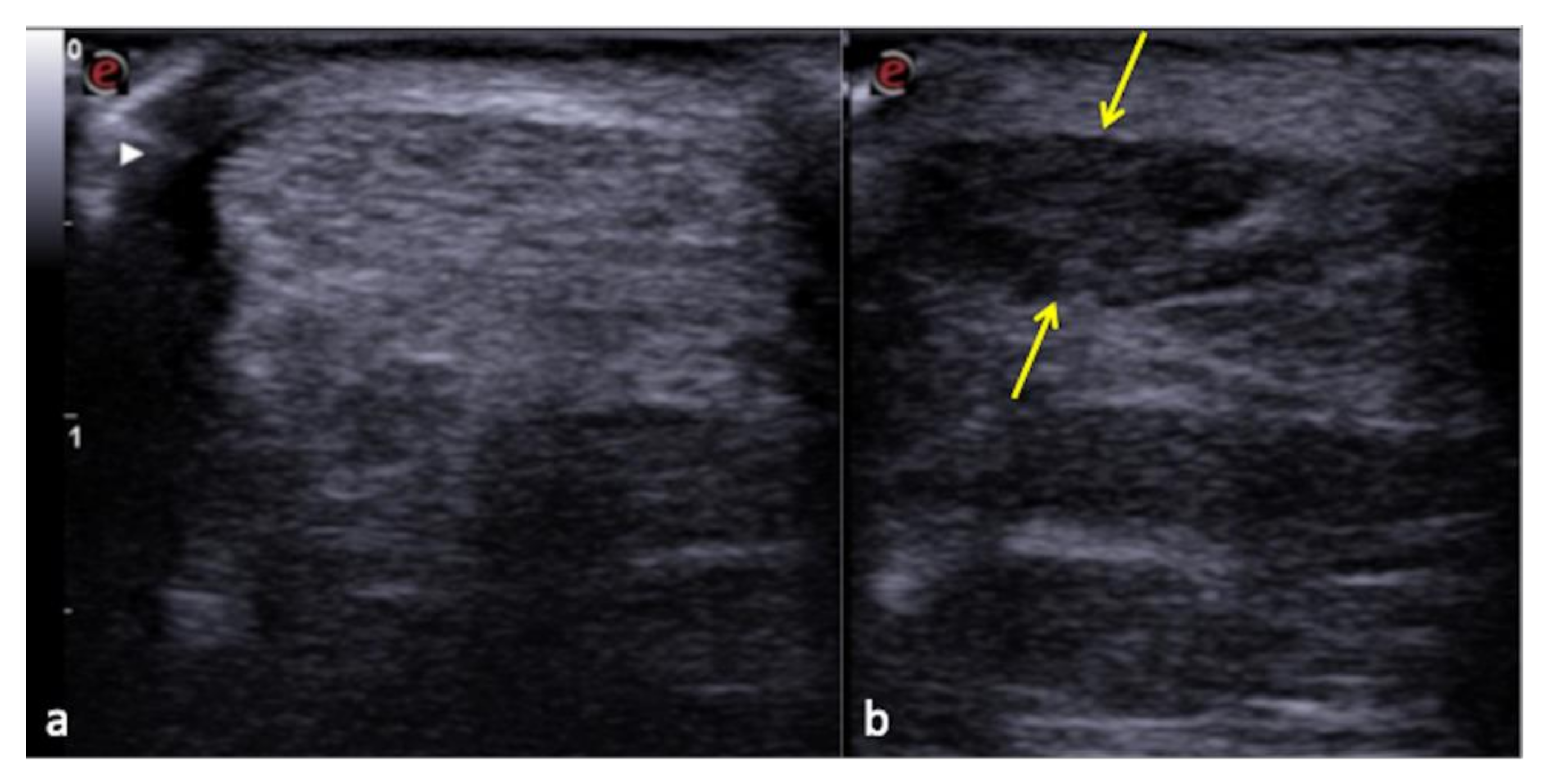
3.1.6. Image-Adaptation Artifacts
3.1.7. Anisotropy
3.2. Chest Artifacts with No Clinical Context
3.3. US-Setting Errors
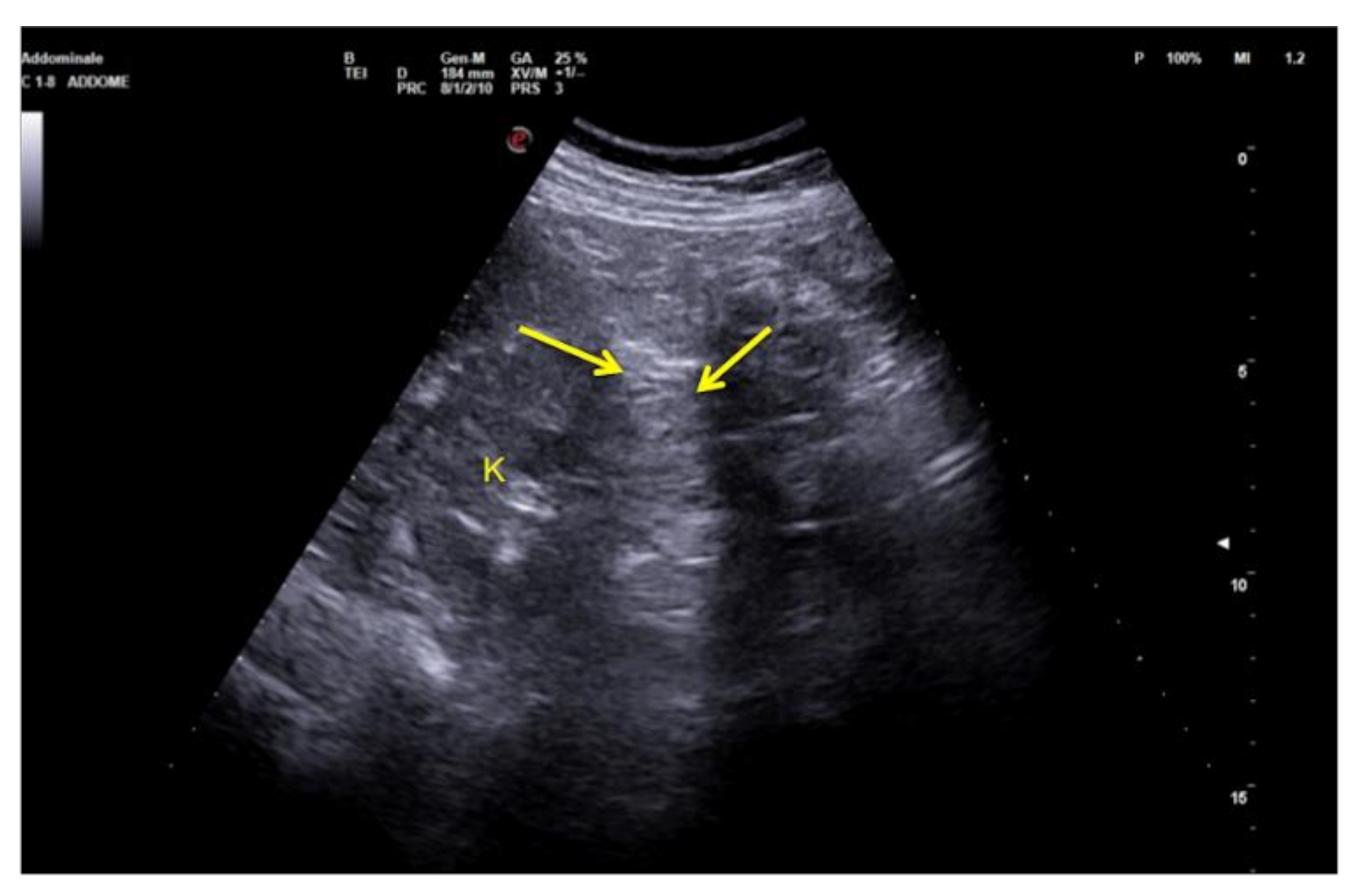
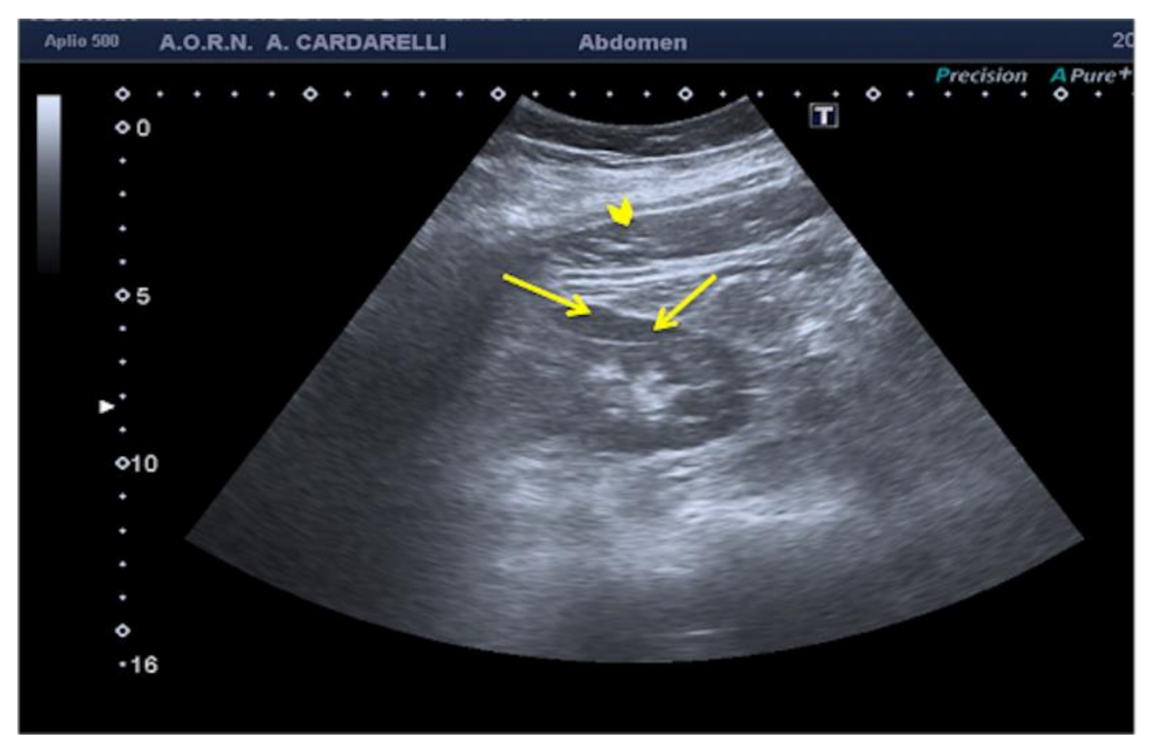
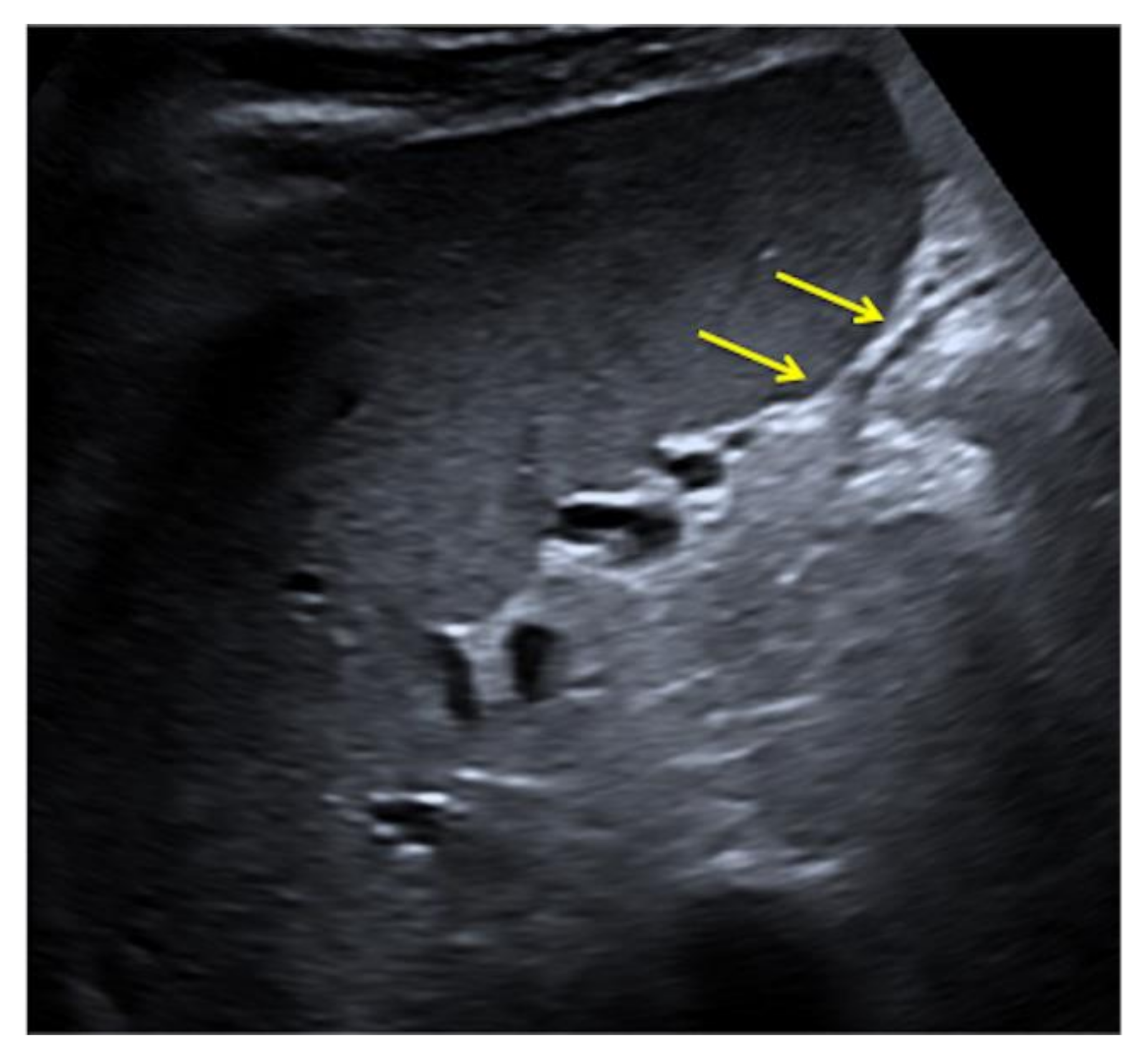
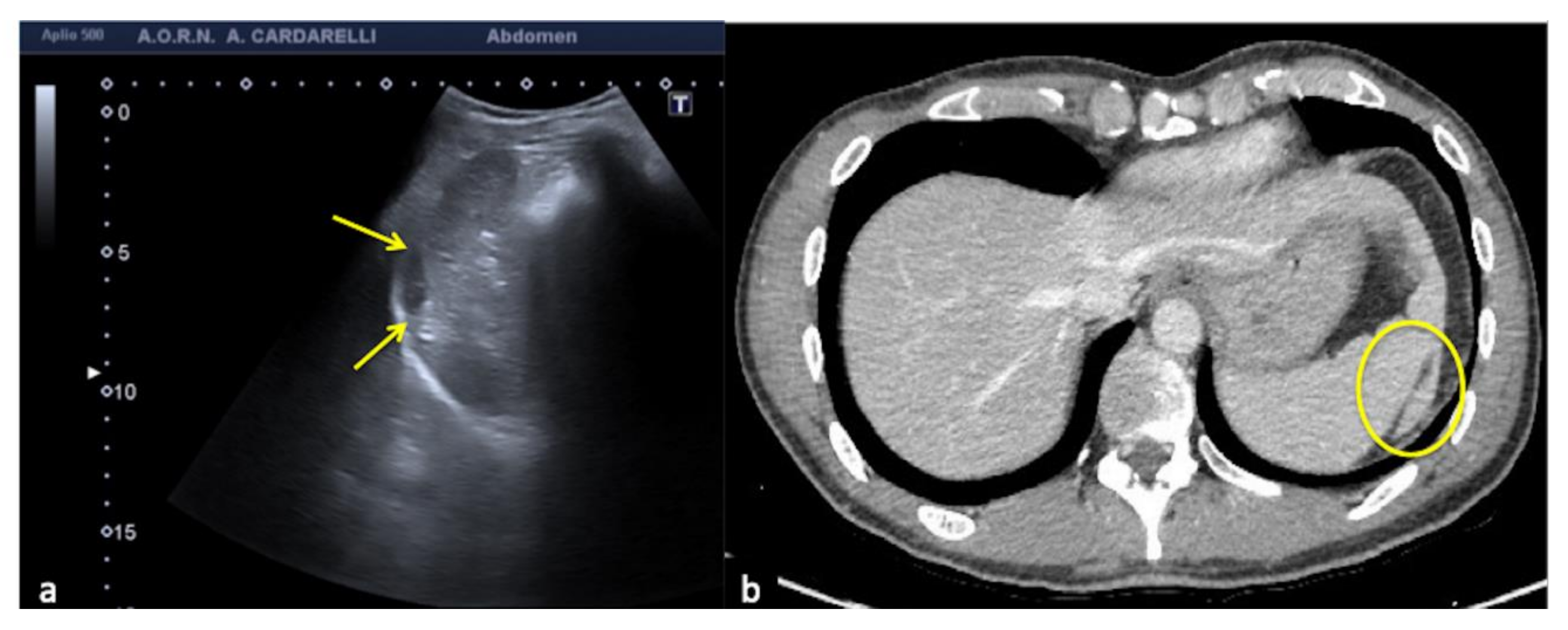
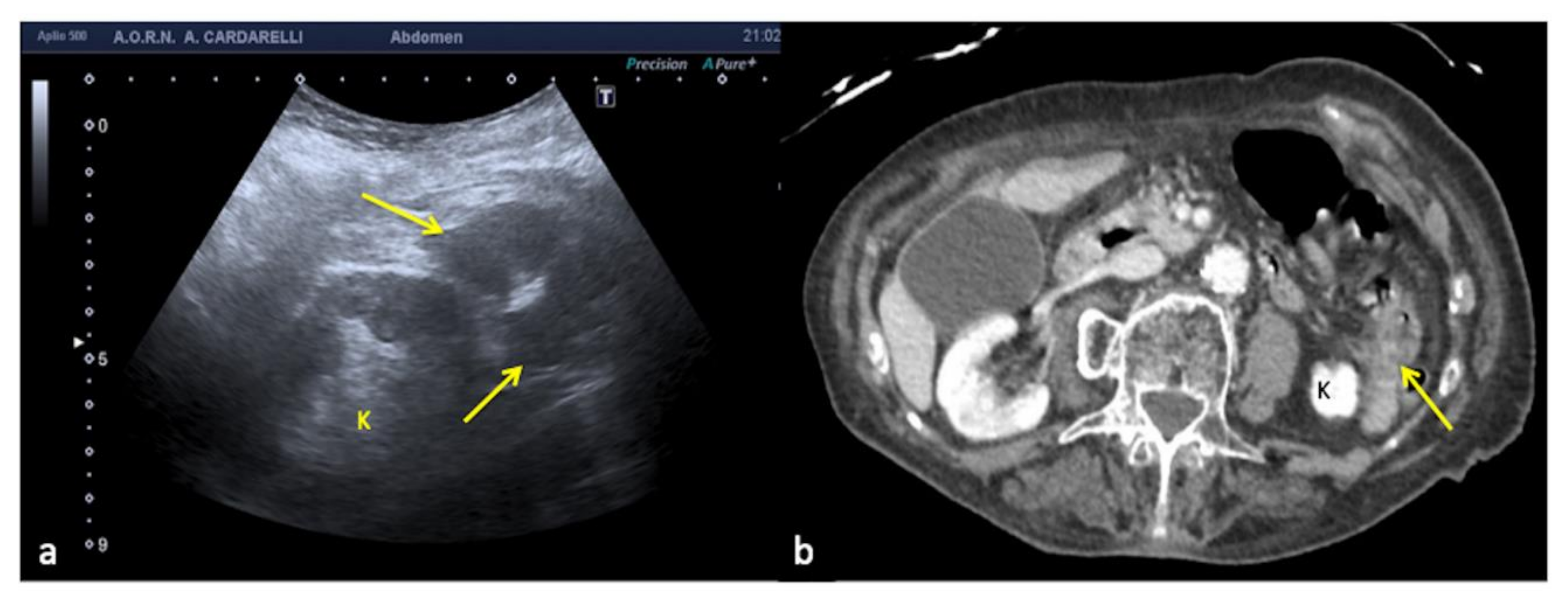
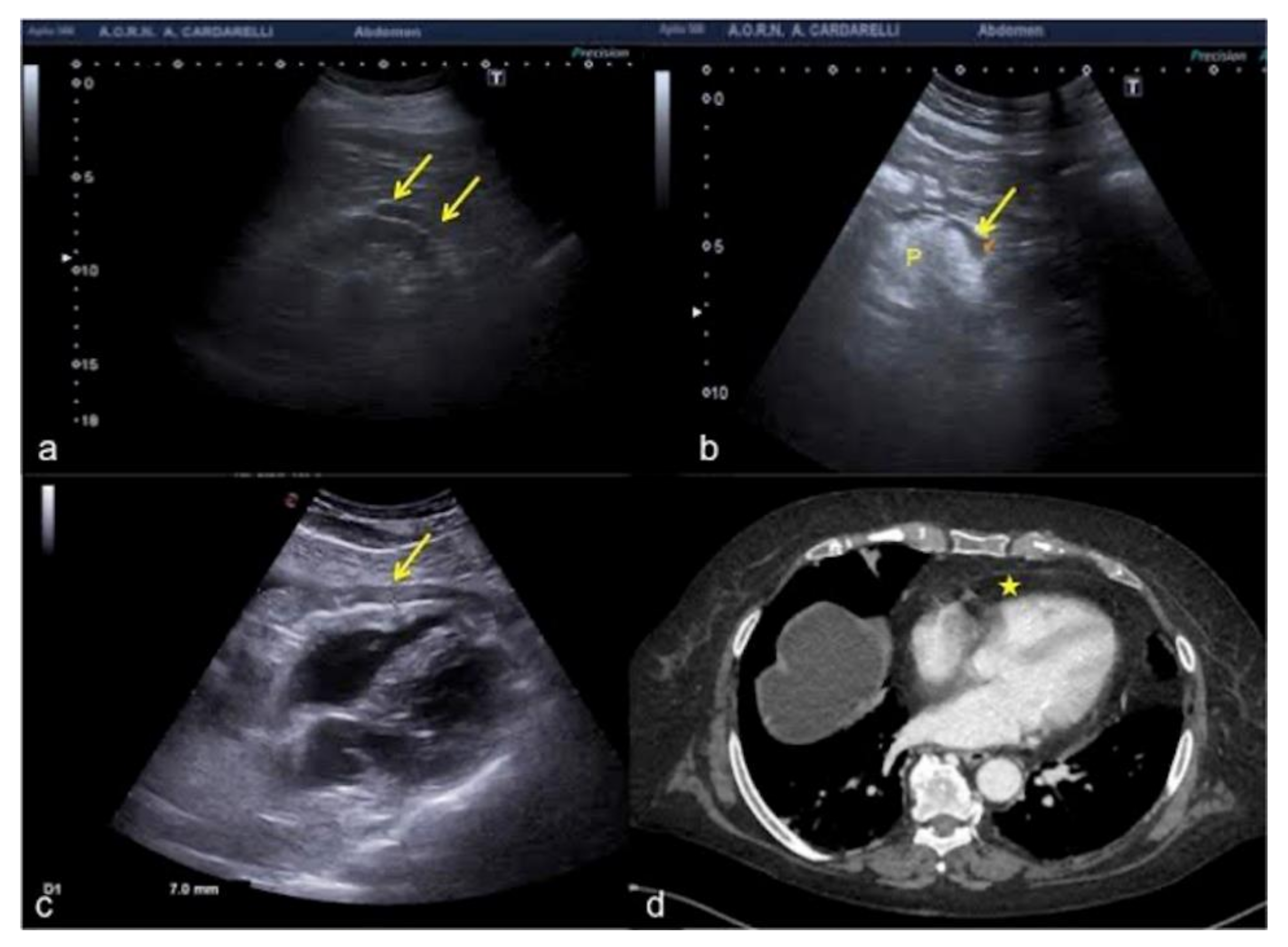
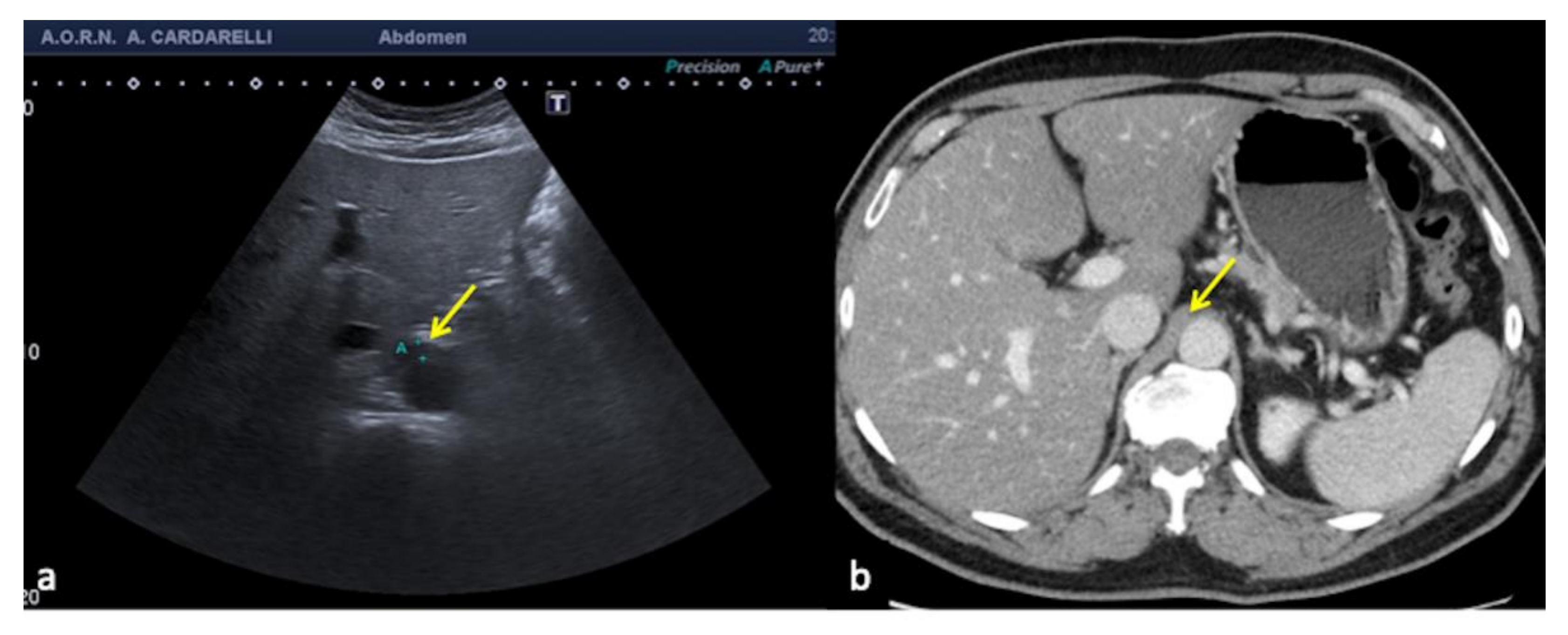
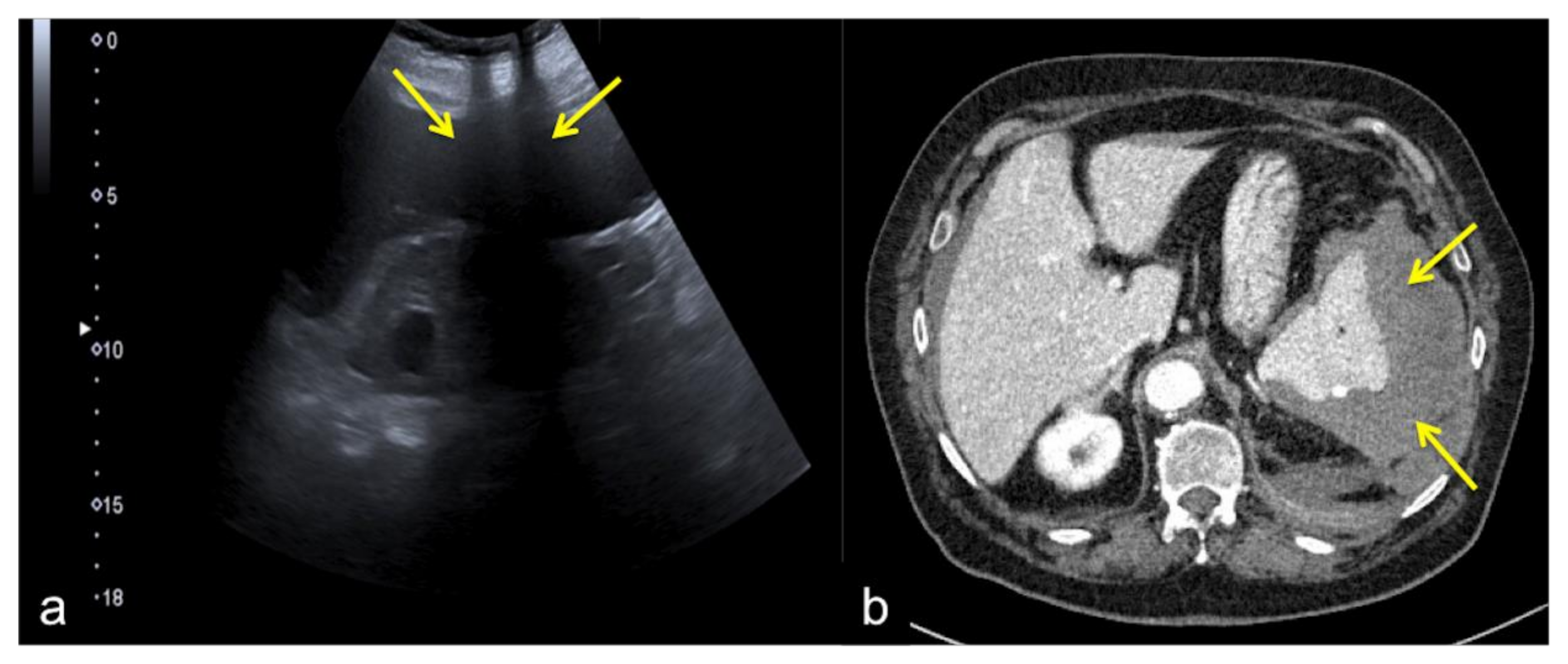
3.4. Anatomy and Anatomical Variants
4. Errors of Underestimation
How to Avoid Diagnostic Errors in Ultrasound: Is Artificial Intelligence the Right Way?
5. Conclusions
Author Contributions
Funding
Institutional Review Board Statement
Informed Consent Statement
Data Availability Statement
Conflicts of Interest
References
- Pinto, A.; Pinto, F.; Faggian, A.; Rubini, G.; Caranci, F.; Macarini, L.; Genovese, E.A.; Brunese, L. Sources of error in emergency ultrasonography. Crit. Ultrasound J. 2013, 5 (Suppl. 1), S1. [Google Scholar] [CrossRef] [PubMed] [Green Version]
- Pinto, A.; Reginelli, A.; Pinto, F.; Lo Re, G.; Midiri, F.; Muzj, C.; Romano, L.; Brunese, L. Errors in imaging patients in the emergency setting. Br. J. Radiol. 2016, 89, 20150914. [Google Scholar] [CrossRef] [PubMed] [Green Version]
- Stasi, G.; Ruoti, E.M. A critical evaluation in the delivery of the ultrasound practice: The point of view of the radiologist. Ital. J. Med. 2015, 9, 502. [Google Scholar] [CrossRef] [Green Version]
- Kohn, L.T.; Corrigan, J.M.; Donaldosn, M.S. To Err Is Human: Building a Safer Health System; Institute of Medicine: Washington, DC, USA; National Academy Press: Washington, DC, USA, 1999. [Google Scholar]
- Feldman, M.K.; Katyal, S.; Blackwood, M.S. US artifacts. Radiographics 2009, 29, 1179–1189. [Google Scholar] [CrossRef] [PubMed]
- Barbera, P.; Campo, I.; Derchi, L.E.; Bertolotto, M. Emergency ultrasound in trauma patients: Beware of pitfalls and artifacts! J. Emerg. Med. 2020, 60, 368–376. [Google Scholar] [CrossRef] [PubMed]
- Wu, W.T.; Chang, K.V.; Hsu, Y.C.; Hsu, P.C.; Ricci, V.; Özçakar, L. Artifacts in musculoskeletal ultrasonography: From physics to clinics. Diagnostics 2020, 10, 645. [Google Scholar] [CrossRef] [PubMed]
- Di Serafino, M.; Notaro, M.; Rea, G.; Iacobellis, F.; Delli Paoli, V.; Acampora, C.; Ianniello, S.; Brunese, L.; Romano, L.; Vallone, G. The lung ultrasound: Facts or artifacts? In the era of COVID-19 outbreak. Radiol. Med. 2020, 125, 738–753. [Google Scholar] [CrossRef] [PubMed]
- Zander, D.; Hüske, S.; Hoffmann, B.; Cui, X.W.; Dong, Y.; Lim, A.; Jenssen, C.; Löwe, A.; Koch, J.B.H.; Dietrich, C.F. Ultrasound image optimization (“knobology”): B-mode. Ultrasound Int. Open 2020, 6, E14–E24. [Google Scholar] [CrossRef] [PubMed]
- Di Serafino, M.; Acampora, C.; Iacobellis, F.; Schillirò, M.L.; Borzelli, A.; Barbuto, L.; Oliva, G.; Pezzullo, F.; Segreto, S.; Vallone, G.; et al. Ultrasound of scrotal and penile emergency: How, why and when. J. Ultrasound 2021, 24, 211–226. [Google Scholar] [CrossRef] [PubMed]
- Blanco, P.; Volpicelli, G. Common pitfalls in point-of-care ultrasound: A practical guide for emergency and critical care physicians. Crit. Ultrasound J. 2016, 8, 15. [Google Scholar] [CrossRef] [PubMed] [Green Version]
- Revzin, M.V.; Imanzadeh, A.; Menias, C.; Pourjabbar, S.; Mustafa, A.; Nezami, N.; Spektor, M.; Pellerito, J.S. Optimizing image quality when evaluating blood flow at doppler US: A tutorial. RadioGraphics 2019, 39, 1501–1523. [Google Scholar] [CrossRef] [PubMed]
- Di Serafino, M.; Vallone, G. The role of point of care ultrasound in radiology department: Update and prospective. A statement of Italian college ultrasound. Radiol. Med. 2021, 126, 636–641. [Google Scholar] [CrossRef] [PubMed]
- Ianniello, S.; Conte, P.; Di Serafino, M.; Miele, V.; Trinci, M.; Vallone, G.; Galluzzo, M. Diagnostic accuracy of pubic symphysis ultrasound in the detection of unstable pelvis in polytrauma patients during e-FAST: The value of FAST-PLUS protocol. A preliminary experience. J. Ultrasound 2021, 24, 423–428. [Google Scholar] [CrossRef] [PubMed]
- Choy, G.; Khalilzadeh, O.; Michalski, M.; Do, S.; Samir, A.E.; Pianykh, O.S.; Geis, J.R.; Pandharipande, P.V.; Brink, J.A.; Dreyer, K.J. Current applications and future impact of machine learning in radiology. Radiology 2018, 288, 318–328. [Google Scholar] [CrossRef] [PubMed]
- Verde, F.; Romeo, V.; Stanzione, A.; Maurea, S. Current trends of artificial intelligence in cancer imaging. Artif. Intell. Med. Imaging 2020, 1, 87–93. [Google Scholar] [CrossRef]
- Chartrand, G.; Cheng, P.M.; Vorontsov, E.; Drozdzal, M.; Turcotte, S.; Pal, C.J.; Kadoury, S.; Tang, A. Deep learning: A primer for radiologists. Radiographics 2017, 37, 2113–2131. [Google Scholar] [CrossRef] [PubMed] [Green Version]
- Komatsu, M.; Sakai, A.; Dozen, A.; Shozu, K.; Yasutomi, S.; Machino, H.; Asada, K.; Kaneko, S.; Hamamoto, R. Towards clinical application of artificial intelligence in ultrasound imaging. Biomedicines 2021, 9, 720. [Google Scholar] [CrossRef] [PubMed]
- Shen, Y.T.; Chen, L.; Yue, W.W.; Xu, H.X. Artificial intelligence in ultrasound. Eur. J. Radiol. 2021, 139, 109717. [Google Scholar] [CrossRef] [PubMed]



























| A-Lines | B-Lines | ||
|---|---|---|---|
| Normal | Abnormal | Normal | Abnormal |
|
|
|
|
| Steps | B-Mode Parameter | Remarks |
|---|---|---|
| 1st | Transmission power | Depth penetration is improved and scattering is reduced with increasing transmission power. |
| 2nd | Gain | Adjust as low as possible to avoid overexposure. The adjustment is almost always performed during the execution of an exam to reduce some artifacts and increase the visibility of low-contrast sound formations with respect to the surrounding tissues. By selectively amplifying the echoes from greater depths, using the time-gain compensation (TGC) method or depth-gain compensation (DGC), equal reflectors at unequal depths are displayed as structures of equal brightness on the monitor. |
| 3rd | Frequency | Pivotal element of ultrasound image quality. Adjustment can be of great help with both convex and linear transducers. This parameter affects the spatial resolution and mainly the axial resolution. |
| 4th | Depth penetration | Adjust to the structure of interest. The adjustment is almost always carried out during the execution of an exam, as it is important in US to start from the greatest possible spatiality and then move on to the detailed analysis. |
| 5th | Focal zone(s) | At the level of interest or use focus. This parameter optimizes the lateral resolution. |
| 6th | Further settings | Only in the case of insufficient image quality: change the pre-set, adjust the dynamic range, grey maps, persistence, and/or frame rate. |
| Steps | Color and Pulse Doppler Parameter | Remarks |
| 1st | Pulse repetition frequency (PRF) | Optimal PRF proportional to the flow to be studied and in principle must be lowered until it almost reaches the aliasing threshold. |
| 2nd | Size and position of the color box | The color box must be neither too wide, too small, too long nor too deep. |
| 3rd | Angle correction | To calibrate the velocity scale for the angle between the US beam and the blood flow being measured. Ideally, the direction of flow should be at an approximately 45–60° angle relative to the transducer. |
| 4th | Steering | Use probe positioning/beam steering to obtain satisfactory beam/vessel angle |
| 5th | Further settings | Wall filters; inversion of flow; color gain; spectral gain; baseline. |
Publisher’s Note: MDPI stays neutral with regard to jurisdictional claims in published maps and institutional affiliations. |
© 2022 by the authors. Licensee MDPI, Basel, Switzerland. This article is an open access article distributed under the terms and conditions of the Creative Commons Attribution (CC BY) license (https://creativecommons.org/licenses/by/4.0/).
Share and Cite
Di Serafino, M.; Iacobellis, F.; Schillirò, M.L.; D’auria, D.; Verde, F.; Grimaldi, D.; Dell’Aversano Orabona, G.; Caruso, M.; Sabatino, V.; Rinaldo, C.; et al. Common and Uncommon Errors in Emergency Ultrasound. Diagnostics 2022, 12, 631. https://doi.org/10.3390/diagnostics12030631
Di Serafino M, Iacobellis F, Schillirò ML, D’auria D, Verde F, Grimaldi D, Dell’Aversano Orabona G, Caruso M, Sabatino V, Rinaldo C, et al. Common and Uncommon Errors in Emergency Ultrasound. Diagnostics. 2022; 12(3):631. https://doi.org/10.3390/diagnostics12030631
Chicago/Turabian StyleDi Serafino, Marco, Francesca Iacobellis, Maria Laura Schillirò, Divina D’auria, Francesco Verde, Dario Grimaldi, Giuseppina Dell’Aversano Orabona, Martina Caruso, Vittorio Sabatino, Chiara Rinaldo, and et al. 2022. "Common and Uncommon Errors in Emergency Ultrasound" Diagnostics 12, no. 3: 631. https://doi.org/10.3390/diagnostics12030631
APA StyleDi Serafino, M., Iacobellis, F., Schillirò, M. L., D’auria, D., Verde, F., Grimaldi, D., Dell’Aversano Orabona, G., Caruso, M., Sabatino, V., Rinaldo, C., Guerriero, P., Cantisani, V., Vallone, G., & Romano, L. (2022). Common and Uncommon Errors in Emergency Ultrasound. Diagnostics, 12(3), 631. https://doi.org/10.3390/diagnostics12030631

