Role of Ultrasound in the Assessment and Differential Diagnosis of Pelvic Pain in Pregnancy
Abstract
:1. Introduction
1.1. Background of Pelvic Pain in Pregnancy
1.2. Diagnostic Imaging in Pregnancy
2. Obstetric Causes
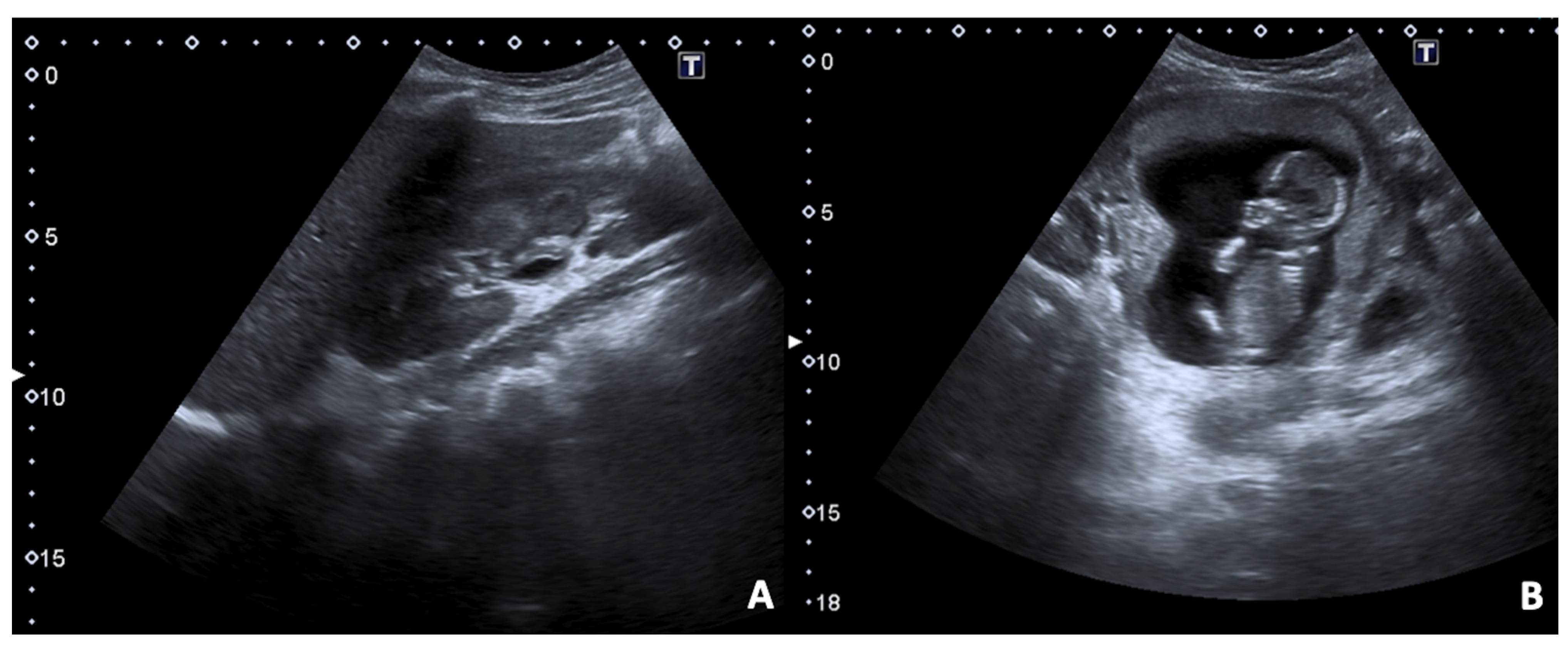
2.1. Spontaneous Abortion
2.2. Ectopic Pregnancy
2.3. Placental Abruption
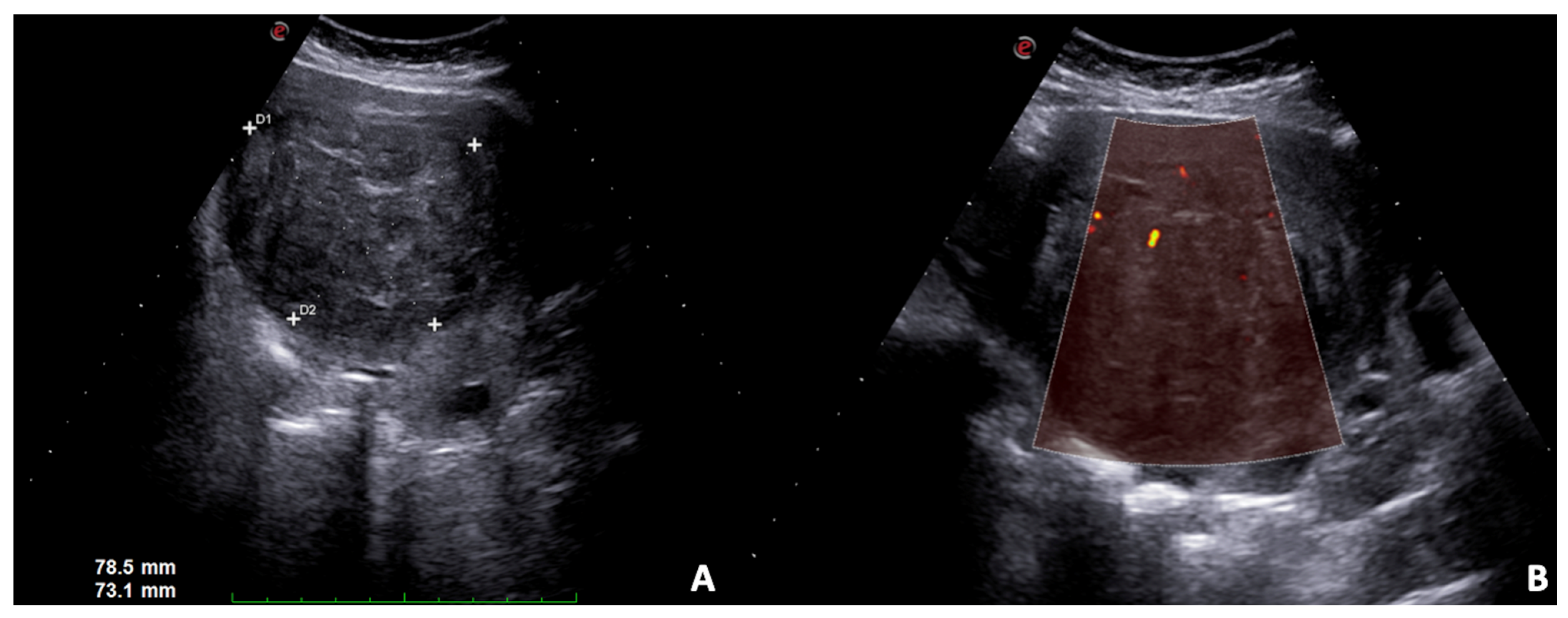
2.4. Uterine Rupture
3. Gynaecologic Causes
3.1. Adnexal Masses or Ovarian Cyst
3.2. Adnexal Torsion
3.3. Uterine Leiomyoma
3.4. Endometriosis
3.5. Pelvic Inflammatory Disease
4. Urinary Tract Causes
5. Gastrointestinal Causes
5.1. Appendicitis
5.2. Inflammatory Bowel Disease
5.3. Bowel Obstruction
6. Vascular Causes
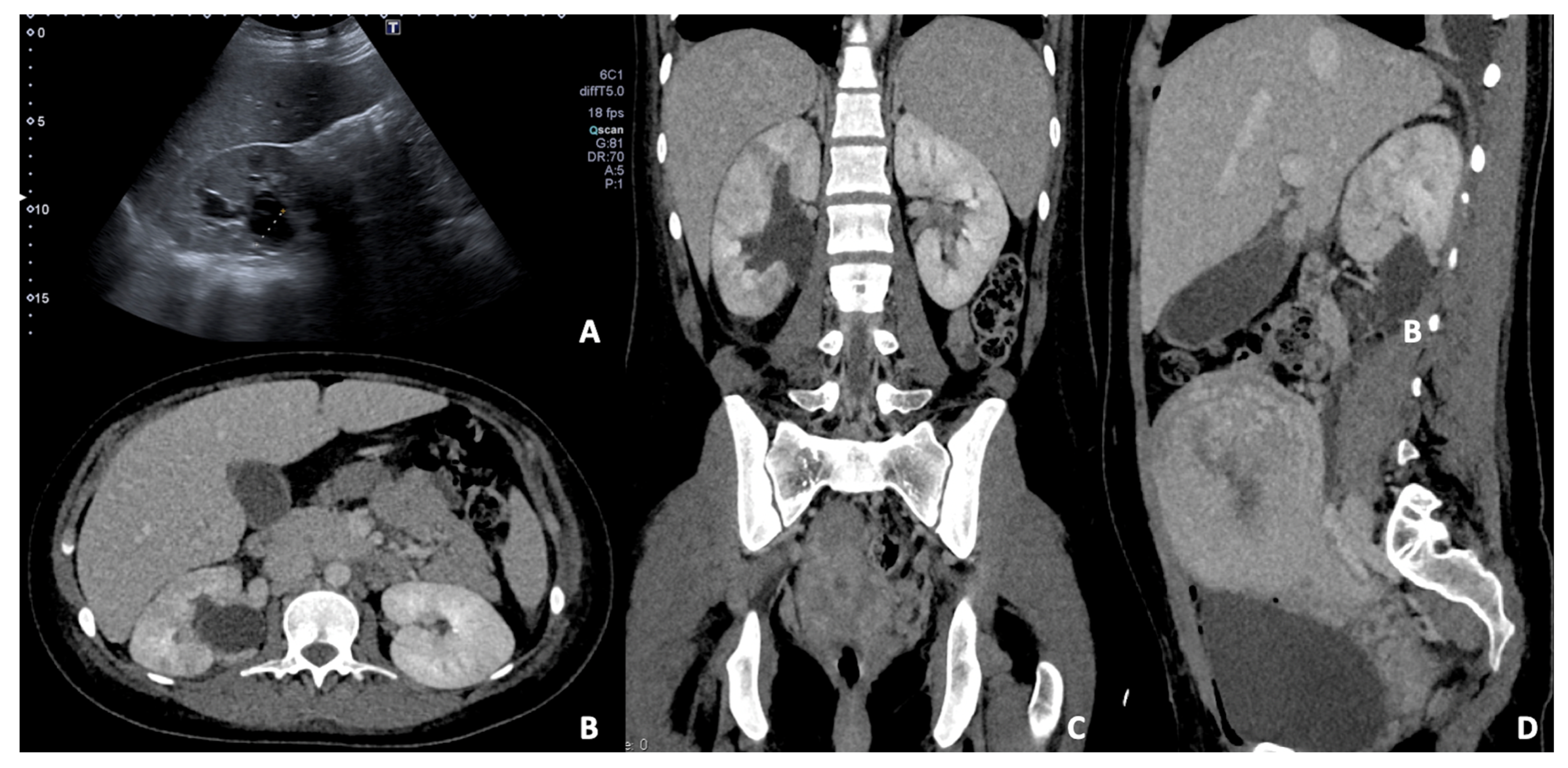
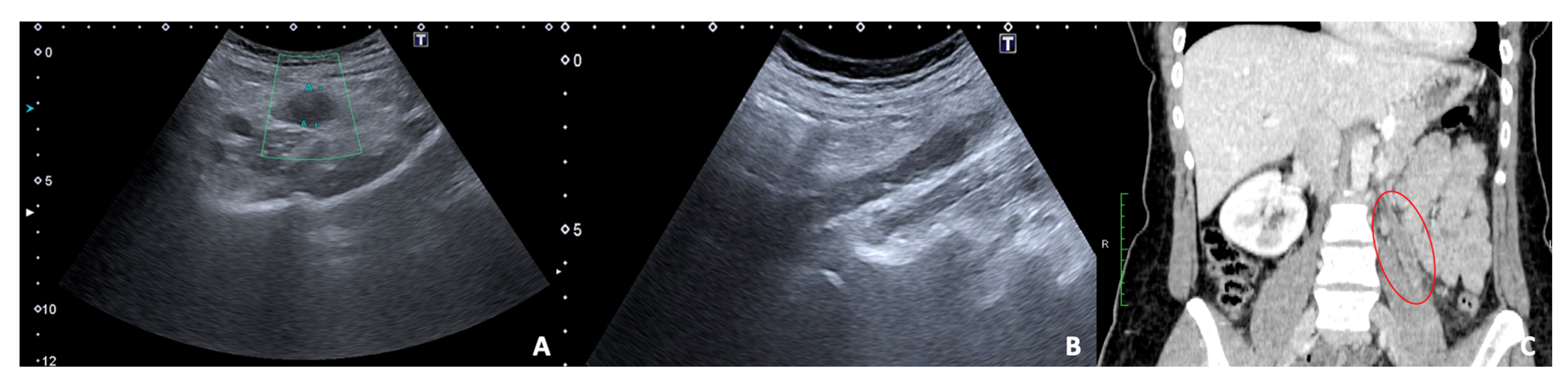
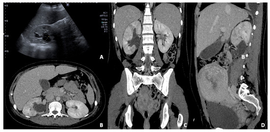
6.1. Thrombosis of the Gonadal Veins
6.2. Gonadal Vein Syndrome
7. Conclusions
Author Contributions
Funding
Institutional Review Board Statement
Informed Consent Statement
Data Availability Statement
Conflicts of Interest
References
- Berber, M.A.; Satılmış, İ.G. Characteristics of Low Back Pain in Pregnancy, Risk Factors, and Its Effects on Quality of Life. Pain Manag. Nurs. 2020, 21, 579–586. [Google Scholar] [CrossRef] [PubMed]
- Manyozo, S. Low back pain during pregnancy: Prevalence, risk factors and association with daily activities among pregnant women in urban Blantyre, Malawi. Malawi Med. J. 2019, 31, 71. [Google Scholar] [CrossRef] [PubMed] [Green Version]
- Eyvazzadeh, A.D.; Levine, D. Imaging of Pelvic Pain in the First Trimester of Pregnancy. Radiol. Clin. N. Am. 2006, 44, 863–877. [Google Scholar] [CrossRef] [PubMed]
- Masselli, G.; Brunelli, R.; Monti, R.; Guida, M.; Laghi, F.; Casciani, E.; Polettini, E.; Gualdi, G. Imaging for acute pelvic pain in pregnancy. Insights Imaging 2014, 5, 165–181. [Google Scholar] [CrossRef] [Green Version]
- Masselli, G.; Derchi, L.; McHugo, J.; Rockall, A.; Vock, P.; Weston, M.; Spencer, J. Acute abdominal and pelvic pain in pregnancy: ESUR recommendations. Eur. Radiol. 2013, 23, 3485–3500. [Google Scholar] [CrossRef]
- Woodfield, C.A.; Lazarus, E.; Chen, K.C.; Mayo-Smith, W.W. Abdominal Pain in Pregnancy: Diagnoses and Imaging Unique to Pregnancy—Review. Am. J. Roentgenol. 2010, 194, WS14–WS30. [Google Scholar] [CrossRef] [Green Version]
- Shur, J.; Bottomley, C.; Walton, K.; Patel, J. Imaging of acute abdominal pain in the third trimester of pregnancy. BMJ 2018, 361, k2511. [Google Scholar] [CrossRef]
- Trop, I.; Levine, D. Hemorrhage during Pregnancy. Am. J. Roentgenol. 2001, 176, 607–615. [Google Scholar] [CrossRef]
- Rodgers, S.K.; Chang, C.; DeBardeleben, J.T.; Horrow, M.M. Normal and Abnormal US Findings in Early First-Trimester Pregnancy: Review of the Society of Radiologists in Ultrasound 2012 Consensus Panel Recommendations. RadioGraphics 2015, 35, 2135–2148. [Google Scholar] [CrossRef] [Green Version]
- Kwan, M.L.; Miglioretti, D.L.; Marlow, E.C.; Aiello Bowles, E.J.; Weinmann, S.; Cheng, S.Y.; Deosaransingh, K.A.; Chavan, P.; Moy, L.M.; Bolch, W.E.; et al. Trends in Medical Imaging During Pregnancy in the United States and Ontario, Canada, 1996 to 2016. JAMA Netw. Open 2019, 2, e197249. [Google Scholar] [CrossRef]
- Abramowicz, J.S. Benefits and risks of ultrasound in pregnancy. Semin. Perinatol. 2013, 37, 295–300. [Google Scholar] [CrossRef] [PubMed] [Green Version]
- ACOG Committee on Obstetric Practice. Committee Opinion No. 723: Guidelines for Diagnostic Imaging During Pregnancy and Lactation. Obstet. Gynecol. 2017, 130, e210–e216. [Google Scholar] [CrossRef]
- Ulrich, C.C.; Dewald, O. Pregnancy Ultrasound Evaluation; StatPearls Publishing: Treasure Island, FL, USA, 2022. [Google Scholar]
- Katz, D.S.; Klein, M.A.I.; Ganson, G.; Hines, J.J. Imaging of Abdominal Pain in Pregnancy. Radiol. Clin. N. Am. 2012, 50, 149–171. [Google Scholar] [CrossRef] [PubMed]
- Ali, A.; Beckett, K.; Flink, C. Emergent MRI for acute abdominal pain in pregnancy—Review of common pathology and imaging appearance. Emerg. Radiol. 2020, 27, 205–214. [Google Scholar] [CrossRef]
- Mervak, B.M.; Altun, E.; McGinty, K.A.; Hyslop, W.B.; Semelka, R.C.; Burke, L.M. MRI in pregnancy: Indications and practical considerations. J. Magn. Reson. Imaging 2019, 49, 621–631. [Google Scholar] [CrossRef]
- Mervak, B.M.; Wilson, S.B.; Handly, B.D.; Altun, E.; Burke, L.M. MRI of acute appendicitis. J. Magn. Reson. Imaging 2019, 50, 1367–1376. [Google Scholar] [CrossRef]
- Horowitz, J.M.; Hotalen, I.M.; Miller, E.S.; Barber, E.L.; Shahabi, S.; Miller, F.H. How Can Pelvic MRI with Diffusion-Weighted Imaging Help My Pregnant Patient? Am. J. Perinatol. 2020, 37, 577–588. [Google Scholar] [CrossRef]
- Kanal, E.; Barkovich, A.J.; Bell, C.; Borgstede, J.P.; Bradley, W.G.; Froelich, J.W.; Gilk, T.; Gimbel, J.R.; Gosbee, J.; Kuhni-Kami7nski, E.; et al. ACR Guidance Document for Safe MR Practices: 2007. Am. J. Roentgenol. 2007, 188, 1447–1474. [Google Scholar] [CrossRef]
- Goldberg-Stein, S.A.; Liu, B.; Hahn, P.F.; Lee, S.I. Radiation Dose Management: Part 2, Estimating Fetal Radiation Risk From CT During Pregnancy. Am. J. Roentgenol. 2012, 198, W352–W356. [Google Scholar] [CrossRef]
- Raj, M.H.; Mullins, J.N.; Chi, J.M.; Choy, A.H.; Grimaldi, G.M.; Friedman, B. The utility of abdominopelvic CT in pregnant patients with abdominal pain and a negative or inconclusive abdominal MRI. Clin. Imaging 2020, 59, 88–94. [Google Scholar] [CrossRef] [Green Version]
- Goldberg-Stein, S.; Liu, B.; Hahn, P.F.; Lee, S.I. Body CT During Pregnancy: Utilization Trends, Examination Indications, and Fetal Radiation Doses. Am. J. Roentgenol. 2011, 196, 146–151. [Google Scholar] [CrossRef] [PubMed]
- Alves, C.; Rapp, A. Spontaneous Abortion; StatPearls Publishing: Treasure Island, FL, USA, 2022. [Google Scholar]
- Simpson, J.L.; Carson, S.A. Genetic and Nongenetic Causes of Pregnancy Loss. Glob. Libr. Women’s Med. 2009. [Google Scholar] [CrossRef]
- Wang, Y.-X.; Mínguez-Alarcón, L.; Gaskins, A.J.; Missmer, S.A.; Rich-Edwards, J.W.; Manson, J.E.; Pan, A.; Chavarro, J.E. Association of spontaneous abortion with all cause and cause specific premature mortality: Prospective cohort study. BMJ 2021, 372, n530. [Google Scholar] [CrossRef] [PubMed]
- Datta, M.R.; Raut, A. Efficacy of first-trimester ultrasound parameters for prediction of early spontaneous abortion. Int. J. Gynecol. Obstet. 2017, 138, 325–330. [Google Scholar] [CrossRef]
- Whitworth, M.; Bricker, L.; Mullan, C. Ultrasound for fetal assessment in early pregnancy. Cochrane Database Syst. Rev. 2015. [Google Scholar] [CrossRef]
- Yegul, N.T.; Filly, R.A. Further observations on the empty “amnion sign”. J. Clin. Ultrasound 2010, 38, 113–117. [Google Scholar] [CrossRef]
- Bree, R.; Edwards, M.; Bohm-Velez, M.; Beyler, S.; Roberts, J.; Mendelson, E. Transvaginal sonography in the evaluation of normal early pregnancy: Correlation with HCG level. Am. J. Roentgenol. 1989, 153, 75–79. [Google Scholar] [CrossRef]
- Winder, S.; Reid, S.; Condous, G. Ultrasound diagnosis of ectopic pregnancy. Australas. J. Ultrasound Med. 2011, 14, 29–33. [Google Scholar] [CrossRef] [Green Version]
- Fernandez, H.; Gervaise, A. Ectopic pregnancies after infertility treatment: Modern diagnosis and therapeutic strategy. Hum. Reprod. Update 2004, 10, 503–513. [Google Scholar] [CrossRef] [Green Version]
- Mausner Geffen, E.; Slywotzky, C.; Bennett, G. Pitfalls and tips in the diagnosis of ectopic pregnancy. Abdom. Radiol. 2017, 42, 1524–1542. [Google Scholar] [CrossRef]
- Baker, M.; de la Cruz, J. Ectopic Pregnancy, Ultrasound; StatPearls Publishing: Treasure Island, FL, USA, 2022. [Google Scholar]
- Nadim, B.; Infante, F.; Lu, C.; Sathasivam, N.; Condous, G. Morphological ultrasound types known as ‘blob’ and ‘bagel’ signs should be reclassified from suggesting probable to indicating definite tubal ectopic pregnancy. Ultrasound Obstet. Gynecol. 2018, 51, 543–549. [Google Scholar] [CrossRef] [PubMed]
- Hendriks, E.; Rosenberg, R.; Prine, L. Ectopic Pregnancy: Diagnosis and Management. Am. Fam. Physician 2020, 101, 599–606. [Google Scholar] [PubMed]
- Akbas, M.; Koyuncu, F.M. The Utility of Myometrial and Cervical Ultrasound Shear Wave Elastography in the Diagnosis of Ectopic Pregnancy. Ultrasound Med. Biol. 2020, 46, 2215–2221. [Google Scholar] [CrossRef] [PubMed]
- Szadok, P.; Kubiaczyk, F.; Bajorek, A.; Suchocki, S. Ovarian ectopic pregnancy. Ginekol. Pol. 2019, 90, 728. [Google Scholar] [CrossRef] [Green Version]
- Gonzalez, N.; Tulandi, T. Cesarean Scar Pregnancy: A Systematic Review. J. Minim. Invasive Gynecol. 2017, 24, 731–738. [Google Scholar] [CrossRef] [PubMed]
- Kashif, A. Scar Ectopic Pregnancy. J. Coll. Physicians Surg. Pak. 2020, 30, 884–885. [Google Scholar] [CrossRef] [PubMed]
- Schmidt, P.; Skelly, C.L.; Raines, D.A. Placental Abruption. In StatPearls [Internet]; StatPearls Publishing: Treasure Island, FL, USA, 2022. [Google Scholar]
- Fadl, S.A.; Linnau, K.F.; Dighe, M.K. Placental abruption and hemorrhage—review of imaging appearance. Emerg. Radiol. 2019, 26, 87–97. [Google Scholar] [CrossRef]
- Sadro, C.; Bernstein, M.P.; Kanal, K.M. Imaging of Trauma: Part 2, Abdominal Trauma and Pregnancy—A Radiologist’s Guide to Doing What Is Best for the Mother and Baby. Am. J. Roentgenol. 2012, 199, 1207–1219. [Google Scholar] [CrossRef] [Green Version]
- Wang, S.S.; Shum, D.; Kennedy, A. Imaging of Postpartum/Peripartum Complications. Radiol. Clin. N. Am. 2020, 58, 431–443. [Google Scholar] [CrossRef]
- Aboughalia, H.; Basavalingu, D.; Revzin, M.V.; Sienas, L.E.; Katz, D.S.; Moshiri, M. Imaging evaluation of uterine perforation and rupture. Abdom. Radiol. 2021, 46, 4946–4966. [Google Scholar] [CrossRef]
- Heemskerk, S.G.; Ten Eikelder, M.L.G.; Janssen, C.A.H. Uterine rupture in pregnancy after an intervention complicated by uterine perforation: Case report and systematic review of literature. Sex. Reprod. Healthc. 2019, 19, 9–14. [Google Scholar] [CrossRef] [PubMed]
- Montes de Oca, M.K.; Dotters-Katz, S.K.; Kuller, J.A.; Previs, R.A. Adnexal Masses in Pregnancy. Obstet. Gynecol. Surv. 2021, 76, 437–450. [Google Scholar] [CrossRef] [PubMed]
- Martone, S.; Troìa, L.; Luisi, S. Adnexal masses during pregnancy: Management for a better approach. Gynecol. Surg. 2021, 18, 3. [Google Scholar] [CrossRef]
- Senarath, S.; Ades, A.; Nanayakkara, P. Ovarian cysts in pregnancy: A narrative review. J. Obstet. Gynaecol. 2021, 41, 169–175. [Google Scholar] [CrossRef] [PubMed]
- Lee, S.J.; Kim, Y.-H.; Lee, M.-Y.; Ko, H.S.; Oh, S.; Seol, H.-J.; Kim, J.W.; Ahn, K.H.; Na, S.; Seong, W.J.; et al. Ultrasonographic evaluation of ovarian mass for predicting malignancy in pregnant women. Gynecol. Oncol. 2021, 163, 385–391. [Google Scholar] [CrossRef] [PubMed]
- Botha, M.H.; Rajaram, S.; Karunaratne, K. Cancer in pregnancy. Int. J. Gynecol. Obstet. 2018, 143, 137–142. [Google Scholar] [CrossRef] [PubMed]
- Lee, S.J.; Oh, H.R.; Na, S.; Hwang, H.S.; Lee, S.M. Ultrasonographic ovarian mass scoring system for predicting malignancy in pregnant women with ovarian mass. Obstet. Gynecol. Sci. 2022, 65, 1–13. [Google Scholar] [CrossRef]
- Sayasneh, A.; Ekechi, C.; Ferrara, L.; Kaijser, J.; Stalder, C.; Sur, S.; Timmerman, D.; Bourne, T. The characteristic ultrasound features of specific types of ovarian pathology (Review). Int. J. Oncol. 2015, 46, 445–458. [Google Scholar] [CrossRef] [Green Version]
- Fruscio, R.; de Haan, J.; Van Calsteren, K.; Verheecke, M.; Mhallem, M.; Amant, F. Ovarian cancer in pregnancy. Best Pract. Res. Clin. Obstet. Gynaecol. 2017, 41, 108–117. [Google Scholar] [CrossRef]
- Bhosale, P.R.; Javitt, M.C.; Atri, M.; Harris, R.D.; Kang, S.K.; Meyer, B.J.; Pandharipande, P.V.; Reinhold, C.; Salazar, G.M.; Shipp, T.D.; et al. ACR Appropriateness Criteria® Acute Pelvic Pain in the Reproductive Age Group. Ultrasound Q. 2016, 32, 108–115. [Google Scholar] [CrossRef]
- Moro, F.; Bolomini, G.; Sibal, M.; Vijayaraghavan, S.B.; Venkatesh, P.; Nardelli, F.; Pasciuto, T.; Mascilini, F.; Pozzati, F.; Leone, F.P.G.; et al. Imaging in gynecological disease (20): Clinical and ultrasound characteristics of adnexal torsion. Ultrasound Obstet. Gynecol. 2020, 56, 934–943. [Google Scholar] [CrossRef] [PubMed]
- Sasaki, K.J.; Miller, C.E. Adnexal Torsion: Review of the Literature. J. Minim. Invasive Gynecol. 2014, 21, 196–202. [Google Scholar] [CrossRef] [PubMed]
- Woźniak, A.; Woźniak, S. Ultrasonography of uterine leiomyomas. Menopausal Rev. 2017, 16, 113–117. [Google Scholar] [CrossRef] [PubMed]
- Chill, H.H.; Karavani, G.; Rachmani, T.; Dior, U.; Tadmor, O.; Shushan, A. Growth pattern of uterine leiomyoma along pregnancy. BMC Women’s Health 2019, 19, 100. [Google Scholar] [CrossRef] [Green Version]
- Dohbit, J.S.; Meka, E.N.U.; Tochie, J.N.; Kamla, I.; Danwang, C.; Tianyi, F.-L.; Foumane, P.; Andze, G.O. Diagnostic ambiguity of aseptic necrobiosis of a uterine fibroid in a term pregnancy: A case report. BMC Pregnancy Childbirth 2019, 19, 9. [Google Scholar] [CrossRef]
- Giuliani, E.; As--Sanie, S.; Marsh, E.E. Epidemiology and management of uterine fibroids. Int. J. Gynecol. Obstet. 2020, 149, 3–9. [Google Scholar] [CrossRef]
- Wilde, S.; Scott-Barrett, S. Radiological appearances of uterine fibroids. Indian J. Radiol. Imaging 2009, 19, 222–231. [Google Scholar] [CrossRef]
- Czyzyk, A.; Podfigurna, A.; Szeliga, A.; Meczekalski, B. Update on endometriosis pathogenesis. Minerva Obstet. Gynecol. 2017, 69, 447–461. [Google Scholar] [CrossRef]
- Mehedintu, C.; Plotogea, M.N.; Ionescu, S.; Antonovici, M. Endometriosis still a challenge. J. Med. Life 2014, 7, 349–357. [Google Scholar]
- Kiesel, L.; Sourouni, M. Diagnosis of endometriosis in the 21st century. Climacteric 2019, 22, 296–302. [Google Scholar] [CrossRef]
- Tran-Harding, K.; Nair, R.T.; Dawkins, A.; Ayoob, A.; Owen, J.; Deraney, S.; Lee, J.T.; Stevens, S.; Ganesh, H. Endometriosis revisited: An imaging review of the usual and unusual manifestations with pathological correlation. Clin. Imaging 2018, 52, 163–171. [Google Scholar] [CrossRef] [PubMed]
- Leone Roberti Maggiore, U.; Ferrero, S.; Mangili, G.; Bergamini, A.; Inversetti, A.; Giorgione, V.; Viganò, P.; Candiani, M. A systematic review on endometriosis during pregnancy: Diagnosis, misdiagnosis, complications and outcomes. Hum. Reprod. Update 2016, 22, 70–103. [Google Scholar] [CrossRef] [PubMed] [Green Version]
- Collins, B.G.; Ankola, A.; Gola, S.; McGillen, K.L. Transvaginal US of Endometriosis: Looking Beyond the Endometrioma with a Dedicated Protocol. RadioGraphics 2019, 39, 1549–1568. [Google Scholar] [CrossRef] [PubMed]
- Foti, P.V.; Farina, R.; Palmucci, S.; Vizzini, I.A.A.; Libertini, N.; Coronella, M.; Spadola, S.; Caltabiano, R.; Iraci, M.; Basile, A.; et al. Endometriosis: Clinical features, MR imaging findings and pathologic correlation. Insights Imaging 2018, 9, 149–172. [Google Scholar] [CrossRef] [PubMed] [Green Version]
- Piessens, S.; Edwards, A. Sonographic Evaluation for Endometriosis in Routine Pelvic Ultrasound. J. Minim. Invasive Gynecol. 2020, 27, 265–266. [Google Scholar] [CrossRef] [Green Version]
- Millischer, A.E.; Marcellin, L.; Santulli, P.; Maignien, C.; Bourdon, M.; Borghese, B.; Goffinet, F.; Chapron, C. Magnetic resonance imaging presentation of deep infiltrating endometriosis nodules before and after pregnancy: A case series. PLoS ONE 2019, 14, e0223330. [Google Scholar] [CrossRef] [Green Version]
- Curry, A.; Williams, T.; Penny, M.L. Pelvic Inflammatory Disease: Diagnosis, Management, and Prevention. Am. Fam. Phys. 2019, 100, 357–364. [Google Scholar]
- Blanchard, A.C.; Pastorek, J.G.; Weeks, T. Pelvic Inflammatory Disease During Pregnancy. South. Med. J. 1987, 80, 1363–1365. [Google Scholar] [CrossRef]
- Ravel, J.; Moreno, I.; Simón, C. Bacterial vaginosis and its association with infertility, endometritis, and pelvic inflammatory disease. Am. J. Obstet. Gynecol. 2021, 224, 251–257. [Google Scholar] [CrossRef]
- Jennings, L.K.; Krywko, D.M. Pelvic Inflammatory Disease; StatPearls Publishing: Treasure Island, FL, USA, 2022. [Google Scholar]
- Kazma, J.M.; van den Anker, J.; Allegaert, K.; Dallmann, A.; Ahmadzia, H.K. Anatomical and physiological alterations of pregnancy. J. Pharmacokinet. Pharmacodyn. 2020, 47, 271–285. [Google Scholar] [CrossRef]
- Grosjean, J.; Cannie, M.; de Meyer, J.-M. L’hydronéphrose physiologique durant la grossesse: Prévalences et causes possibles. Une étude basée sur l’IRM. Progrès Urol. 2017, 27, 603–608. [Google Scholar] [CrossRef] [PubMed]
- Dell’Atti, L. Our ultrasonographic experience in the management of symptomatic hydronephrosis during pregnancy. J. Ultrasound 2016, 19, 1–5. [Google Scholar] [CrossRef] [PubMed] [Green Version]
- Pedro, R.N.; Das, K.; Buchholz, N. Urolithiasis in pregnancy. Int. J. Surg. 2016, 36, 688–692. [Google Scholar] [CrossRef] [PubMed]
- Valovska, M.-T.I.; Pais, V.M. Contemporary best practice urolithiasis in pregnancy. Ther. Adv. Urol. 2018, 10, 127–138. [Google Scholar] [CrossRef] [PubMed] [Green Version]
- Somani, B.K.; Dellis, A.; Liatsikos, E.; Skolarikos, A. Review on diagnosis and management of urolithiasis in pregnancy: An ESUT practical guide for urologists. World J. Urol. 2017, 35, 1637–1649. [Google Scholar] [CrossRef] [PubMed]
- Shokeir, A.A.; Mahran, M.R.; Abdulmaaboud, M. Renal colic in pregnant women: Role of renal resistive index. Urology 2000, 55, 344–347. [Google Scholar] [CrossRef]
- White, W.M.; Zite, N.B.; Gash, J.; Waters, W.B.; Thompson, W.; Klein, F.A. Low-Dose Computed Tomography for the Evaluation of Flank Pain in the Pregnant Population. J. Endourol. 2007, 21, 1255–1260. [Google Scholar] [CrossRef]
- Enikeev, D.V.; Glybochko, P.; Alyaev, Y.; Enikeev, M.; Rapoport, L. Imaging Technologies in the Diagnosis and Treatment of Acute Pyelonephritis. Urol. J. 2017, 84, 179–184. [Google Scholar] [CrossRef]
- Talwar, H.S.; Panwar, V.K.; Ghorai, R.P.; Mittal, A. Catastrophic complications of urolithiasis in pregnancy. BMJ Case Rep. 2021, 14, e241597. [Google Scholar] [CrossRef]
- Ramakrishnan, K.; Scheid, D.C. Diagnosis and management of acute pyelonephritis in adults. Am. Fam. Phys. 2005, 71, 933–942. [Google Scholar]
- Vernuccio, F.; Patti, D.; Cannella, R.; Salvaggio, G.; Midiri, M. CT imaging of acute and chronic pyelonephritis: A practical guide for emergency radiologists. Emerg. Radiol. 2020, 27, 561–567. [Google Scholar] [CrossRef] [PubMed]
- Miloudi, N.; Brahem, M.; Ben Abid, S.; Mzoughi, Z.; Arfa, N.; Tahar Khalfallah, M. Acute appendicitis in pregnancy: Specific features of diagnosis and treatment. J. Visc. Surg. 2012, 149, e275–e279. [Google Scholar] [CrossRef] [PubMed]
- Bouyou, J.; Gaujoux, S.; Marcellin, L.; Leconte, M.; Goffinet, F.; Chapron, C.; Dousset, B. Abdominal emergencies during pregnancy. J. Visc. Surg. 2015, 152, S105–S115. [Google Scholar] [CrossRef] [PubMed]
- Giljaca, V.; Nadarevic, T.; Poropat, G.; Nadarevic, V.S.; Stimac, D. Diagnostic Accuracy of Abdominal Ultrasound for Diagnosis of Acute Appendicitis: Systematic Review and Meta-analysis. World J. Surg. 2017, 41, 693–700. [Google Scholar] [CrossRef] [PubMed]
- Pedrosa, I.; Levine, D.; Eyvazzadeh, A.D.; Siewert, B.; Ngo, L.; Rofsky, N.M. MR Imaging Evaluation of Acute Appendicitis in Pregnancy. Radiology 2006, 238, 891–899. [Google Scholar] [CrossRef] [PubMed]
- Poletti, P.-A.; Botsikas, D.; Becker, M.; Picarra, M.; Rutschmann, O.T.; Buchs, N.C.; Zaidi, H.; Platon, A. Suspicion of appendicitis in pregnant women: Emergency evaluation by sonography and low-dose CT with oral contrast. Eur. Radiol. 2019, 29, 345–352. [Google Scholar] [CrossRef]
- Selzer, D.J.; Stefanidis, D. Surgical Emergencies in the Pregnant Patient. Adv. Surg. 2019, 53, 161–177. [Google Scholar] [CrossRef]
- Kucharzik, T.; Maaser, C. Intestinal ultrasound and management of small bowel Crohn’s disease. Therap. Adv. Gastroenterol. 2018, 11, 175628481877136. [Google Scholar] [CrossRef]
- Cavalcoli, F.; Zilli, A.; Fraquelli, M.; Conte, D.; Massironi, S. Small Bowel Ultrasound beyond Inflammatory Bowel Disease: An Updated Review of the Recent Literature. Ultrasound Med. Biol. 2017, 43, 1741–1752. [Google Scholar] [CrossRef] [Green Version]
- Flanagan, E.; Bell, S. Abdominal Imaging in pregnancy (maternal and foetal risks). Best Pract. Res. Clin. Gastroenterol. 2020, 44–45, 101664. [Google Scholar] [CrossRef]
- Bettenworth, D.; Bokemeyer, A.; Baker, M.; Mao, R.; Parker, C.E.; Nguyen, T.; Ma, C.; Panés, J.; Rimola, J.; Fletcher, J.G.; et al. Assessment of Crohn’s disease-associated small bowel strictures and fibrosis on cross-sectional imaging: A systematic review. Gut 2019, 68, 1115–1126. [Google Scholar] [CrossRef] [PubMed] [Green Version]
- Villani, M.; Ageno, W.; Grandone, E.; Dentali, F. The prevention and treatment of venous thromboembolism in pregnancy. Expert Rev. Cardiovasc. Ther. 2017, 15, 397–402. [Google Scholar] [CrossRef] [PubMed]
- Riva, N.; Calleja-Agius, J. Ovarian Vein Thrombosis: A Narrative Review. Hamostaseologie 2021, 41, 257–266. [Google Scholar] [CrossRef] [PubMed]
- Nagayama, M.; Watanabe, Y.; Okumura, A.; Amoh, Y.; Nakashita, S.; Dodo, Y. Fast MR Imaging in Obstetrics. RadioGraphics 2002, 22, 563–580. [Google Scholar] [CrossRef]













| Sonographic Methods | Probe | Protocol | Utility | Limits |
|---|---|---|---|---|
| Transabdominal sonography (TAS) | Low-frequency probe (convex probe 3–5 MHz) | The standard protocol starts with a TAS with the full bladder, serving as an acoustic window. Following bladder emptying, the Patient assumes the lithotomy position and TVS is performed. The two imaging techniques are complementary and often provide different diagnostic information. Color, power and spectral Doppler are usually performed to assess the grayscale findings better. The 3D ultrasound is helpful in assessing the position of the IUD to better evaluate submucosal leiomyomas and the bottom of the uterus as well as foetal morphology. |
|
|
| Transvaginal sonography (TVS) | High-frequency probe (endocavitary probe > 7 MHz). |
|
|
Publisher’s Note: MDPI stays neutral with regard to jurisdictional claims in published maps and institutional affiliations. |
© 2022 by the authors. Licensee MDPI, Basel, Switzerland. This article is an open access article distributed under the terms and conditions of the Creative Commons Attribution (CC BY) license (https://creativecommons.org/licenses/by/4.0/).
Share and Cite
Caruso, M.; Dell’Aversano Orabona, G.; Di Serafino, M.; Iacobellis, F.; Verde, F.; Grimaldi, D.; Sabatino, V.; Rinaldo, C.; Schillirò, M.L.; Romano, L. Role of Ultrasound in the Assessment and Differential Diagnosis of Pelvic Pain in Pregnancy. Diagnostics 2022, 12, 640. https://doi.org/10.3390/diagnostics12030640
Caruso M, Dell’Aversano Orabona G, Di Serafino M, Iacobellis F, Verde F, Grimaldi D, Sabatino V, Rinaldo C, Schillirò ML, Romano L. Role of Ultrasound in the Assessment and Differential Diagnosis of Pelvic Pain in Pregnancy. Diagnostics. 2022; 12(3):640. https://doi.org/10.3390/diagnostics12030640
Chicago/Turabian StyleCaruso, Martina, Giuseppina Dell’Aversano Orabona, Marco Di Serafino, Francesca Iacobellis, Francesco Verde, Dario Grimaldi, Vittorio Sabatino, Chiara Rinaldo, Maria Laura Schillirò, and Luigia Romano. 2022. "Role of Ultrasound in the Assessment and Differential Diagnosis of Pelvic Pain in Pregnancy" Diagnostics 12, no. 3: 640. https://doi.org/10.3390/diagnostics12030640
APA StyleCaruso, M., Dell’Aversano Orabona, G., Di Serafino, M., Iacobellis, F., Verde, F., Grimaldi, D., Sabatino, V., Rinaldo, C., Schillirò, M. L., & Romano, L. (2022). Role of Ultrasound in the Assessment and Differential Diagnosis of Pelvic Pain in Pregnancy. Diagnostics, 12(3), 640. https://doi.org/10.3390/diagnostics12030640

