Endoscopic Endonasal Transplanum–Transtuberculum Approach for Pituitary Adenomas/PitNET: 25 Years of Experience
Abstract
1. Introduction
2. Materials and Methods
2.1. Study Design, Settings and Inclusion Criteria
2.2. Patient Management and Surgical Nuances
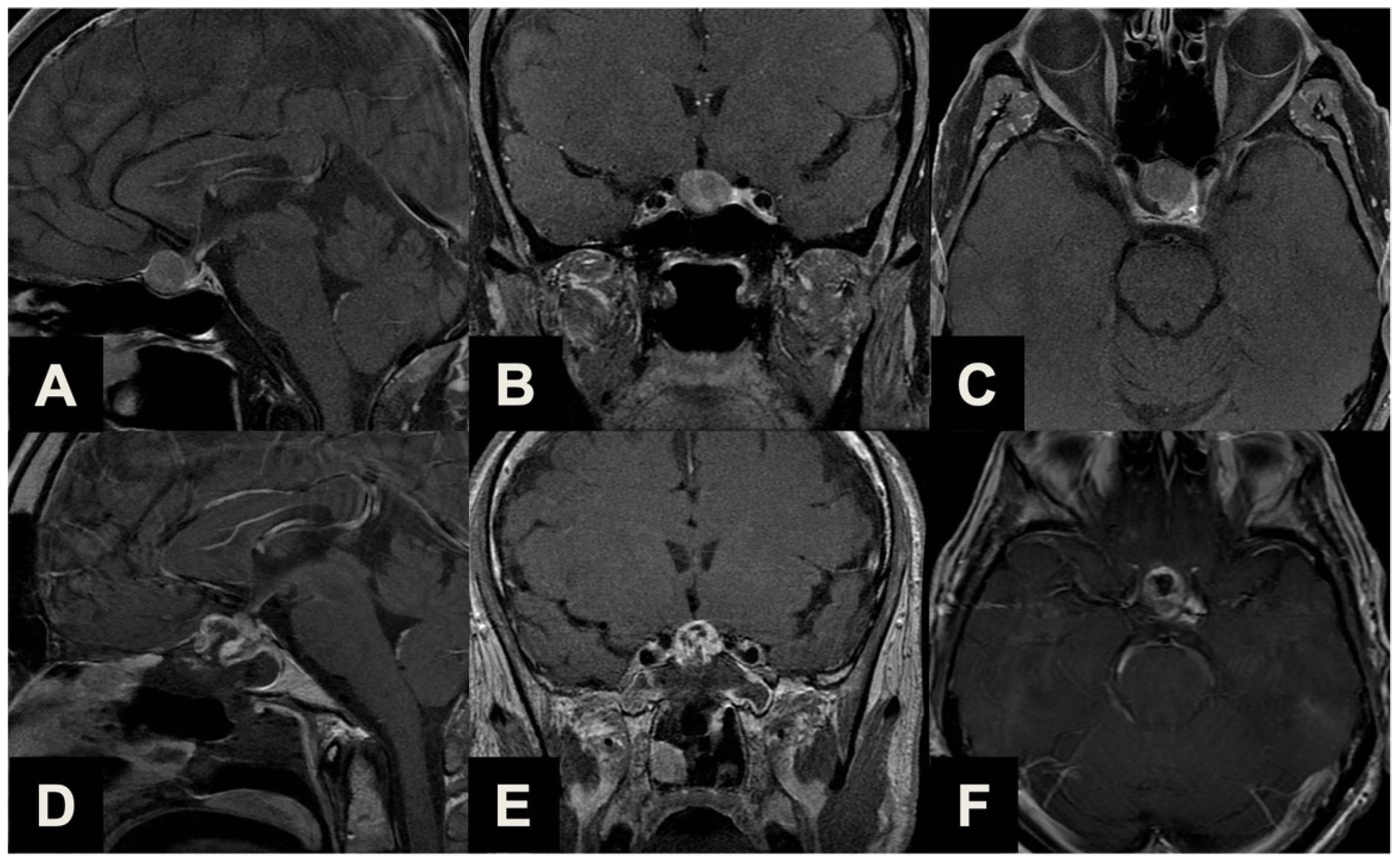
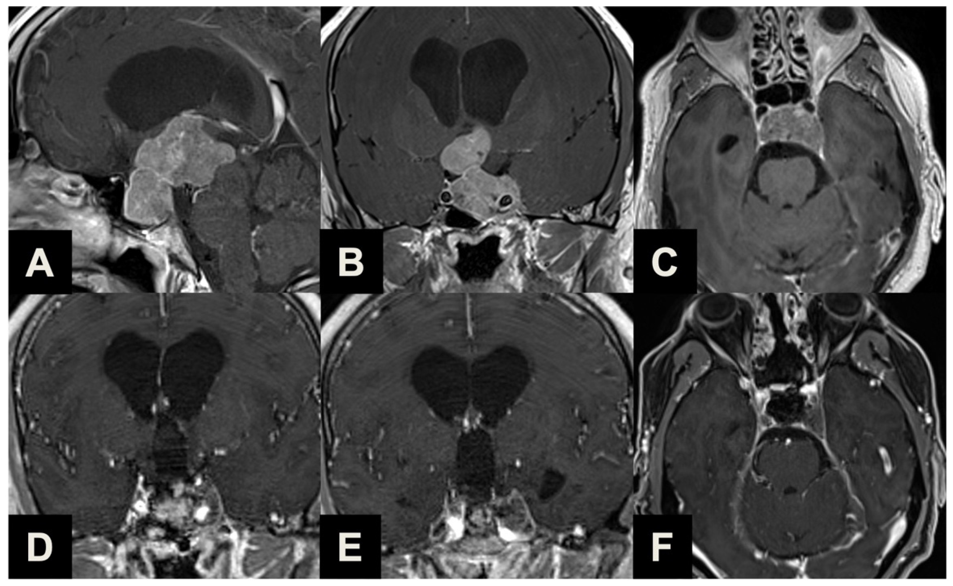
| Type 1 | Ectopic peduncular or supradiaphragmatic peri-infundibular PAs, including ectopic microadenomas of the pituitary stalk or purely supradiaphragmatic macroadenomas (mostly remnant or recurrence after previous partial surgeries). These tumors are not suitable for an EEA because they have no sellar infradiaphragmatic component. | 
| Type 2 | PAs with sub-frontal extension, including macroadenomas with a supra- or infradiaphragmatic sub-frontal extension. These tumors are not fully resectable with an EEA because of their sub-frontal component, which extends anteriorly with an unfavorable angle and direction for the trans-sphenoidal approach. | 
| Type 3 | PAs presenting with a major extrasellar component, including macroadenomas with suprasellar supradiaphragmatic component exceeding the sellar volume (i.e., air balloon PAs) unlikely to be delivered through the sella with an EEA, and macroadenomas with both a large intrasellar infradiaphragmatic part and a large suprasellar supradiaphragmatic portion connected through a narrow isthmus (i.e., snowman PAs), which impairs their resection through an EEA. | 
2.3. Data Sources and Variables Included
2.4. Statistical Analysis
3. Results
Statistical Analysis
4. Discussion
4.1. Classification, Surgical Indications and EOR
4.2. Surgical Complications
4.3. Clinical Outcome
4.4. Strengths and Limitations
5. Conclusions
Author Contributions
Funding
Institutional Review Board Statement
Informed Consent Statement
Data Availability Statement
Conflicts of Interest
References
- Weiss, M.H. Transnasal transsphenoidal approach. In Surgery of the Third Ventricle; Williams & Wilkins: Baltimore, MA, USA, 1987; pp. 476–494. [Google Scholar]
 - Couldwell, W.T.; Weiss, M.H.; Rabb, C.; Liu, J.K.; Apfelbaum, R.I.; Fukushima, T. Variations on the standard transsphenoidal approach to the sellar region, with emphasis on the extended approaches and parasellar approaches: Surgical experience in 105 cases. Neurosurgery 2004, 55, 539–547. [Google Scholar] [CrossRef]
 - Fatemi, N.; Dusick, J.R.; de Paiva Neto, M.A.; Kelly, D.F. The endonasal microscopic approach for pituitary adenomas and other parasellar tumors: A 10-year experience. Neurosurgery 2008, 63, 244–256. [Google Scholar] [CrossRef] [PubMed]
 - Hashimoto, N.; Handa, H.; Yamagami, T. Transsphenoidal extracapsular approach to pituitary tumors. J. Neurosurg. 1986, 64, 16–20. [Google Scholar] [CrossRef] [PubMed]
 - Kato, T.; Sawamura, Y.; Abe, H.; Nagashima, M. Transsphenoidal-transtuberculum sellae approach for supradiaphragmatic tumours: Technical note. Acta Neurochir. 1998, 140, 715–718. [Google Scholar] [CrossRef]
 - Kouri, J.G.; Chen, M.Y.; Watson, J.C.; Oldfield, E.H. Resection of suprasellar tumors by using a modified transsphenoidal approach. Report of four cases. J. Neurosurg. 2000, 92, 1028–1035. [Google Scholar] [CrossRef]
 - Maira, G.; Anile, C.; Rossi, G.F.; Colosimo, C. Surgical treatment of craniopharyngiomas: An evaluation of the transsphenoidal and pterional approaches. Neurosurgery 1995, 36, 715–724. [Google Scholar] [CrossRef] [PubMed]
 - Mason, R.B.; Nieman, L.K.; Doppman, J.L.; Oldfield, E.H. Selective excision of adenomas originating in or extending into the pituitary stalk with preservation of pituitary function. J. Neurosurg. 1997, 87, 343–351. [Google Scholar] [CrossRef]
 - Jho, H.D.; Carrau, R.L. Endoscopic endonasal transsphenoidal surgery: Experience with 50 patients. J. Neurosurg. 1997, 87, 44–51. [Google Scholar] [CrossRef]
 - Cappabianca, P.; Frank, G.; Pasquini, E.; de Divitiis, O.; Calbucci, F. Extended endoscopic endonasal transsphenoidal approaches to the suprasellar region, planum sphenoidale & clivus. In Endoscopic Endonasal Transsphenoidal Surgery; de Divitiis, E., Cappabianca, P., Eds.; Springer: Vienna, Austria, 2003; pp. 176–187. [Google Scholar] [CrossRef]
 - de Divitiis, E.; Cappabianca, P.; Cavallo, L.M.; Esposito, F.; de Divitiis, O.; Messina, A. Extended endoscopic transsphenoidal approach for extrasellar craniopharyngiomas. Neurosurgery 2007, 61, 219–227. [Google Scholar] [CrossRef]
 - de Divitiis, E.; Cavallo, L.M.; Cappabianca, P.; Esposito, F. Extended endoscopic endonasal transsphenoidal approach for the removal of suprasellar tumors: Part 2. Neurosurgery 2007, 60, 46–58. [Google Scholar] [CrossRef]
 - de Divitiis, E.; Cavallo, L.M.; Esposito, F.; Stella, L.; Messina, A. Extended endoscopic transsphenoidal approach for tuberculum sellae meningiomas. Neurosurgery 2008, 62, 1192–1201. [Google Scholar] [CrossRef] [PubMed]
 - Giammattei, L.; Starnoni, D.; Cossu, G.; Bruneau, M.; Cavallo, L.M.; Cappabianca, P.; Meling, T.R.; Jouanneau, E.; Schaller, K.; Benes, V.; et al. Surgical management of Tuberculum sellae Meningiomas: Myths. facts, and controversies. Acta Neurochir. 2020, 162, 631–640. [Google Scholar] [CrossRef] [PubMed]
 - Kulwin, C.; Schwartz, T.H.; Cohen-Gadol, A.A. Endoscopic extended transsphenoidal resection of tuberculum sellae meningiomas: Nuances of neurosurgical technique. Neurosurg. Focus 2013, 35, E6. [Google Scholar] [CrossRef] [PubMed]
 - Chibbaro, S.; Signorelli, F.; Milani, D.; Cebula, H.; Scibilia, A.; Bozzi, M.T.; Messina, R.; Zaed, I.; Todeschi, J.; Ollivier, I.; et al. Primary Endoscopic Endonasal Management of Giant Pituitary Adenomas: Outcome and Pitfalls from a Large Prospective Multicenter Experience. Cancers 2021, 13, 3603. [Google Scholar] [CrossRef]
 - Di Maio, S.; Cavallo, L.M.; Esposito, F.; Stagno, V.; Corriero, O.V.; Cappabianca, P. Extended endoscopic endonasal approach for selected pituitary adenomas: Early experience. J. Neurosurg. 2011, 114, 345–353. [Google Scholar] [CrossRef]
 - Mascarenhas, L.; Moshel, Y.A.; Bayad, F.; Szentirmai, O.; Salek, A.A.; Leng, L.Z.; Hofstetter, C.P.; Placantonakis, D.G.; Tsiouris, A.J.; Anand, V.K.; et al. The Transplanum Transtuberculum Approaches for Suprasellar and Sellar-Suprasellar Lesions: Avoidance of Cerebrospinal Fluid Leak and Lessons Learned. World Neurosurg. 2014, 82, 186–195. [Google Scholar] [CrossRef]
 - Mazzatenta, D.; Zoli, M.; Frank, G.; Pasquini, E. Transnasal Endoscopic Transplanum/Transtuberculum Approach in Pituitary Adenomas. In Endoscopic Sinus Surgery: Anatomy, Three-Dimensional Reconstruction, and Surgical Technique, 4th ed.; Thieme: Stuttgart, Germany, 2017. [Google Scholar]
 - Solari, D.; D’Avella, E.; Bove, I.; Cappabianca, P.; Cavallo, L.M. Extended endonasal approaches for pituitary adenomas. J. Neurosurg. Sci. 2021, 65, 160–168. [Google Scholar] [CrossRef]
 - Barazi, S.A.; Pasquini, E.; D’Urso, P.I.; Zoli, M.; Mazzatenta, D.; Sciarretta, V.; Frank, G. Extended endoscopic transplanum-transtuberculum approach for pituitary adenomas. Br. J. Neurosurg. 2013, 27, 374–382. [Google Scholar] [CrossRef]
 - Cavallo, L.M.; Messina, A.; Esposito, F.; de Divitiis, O.; Fabbro, M.D.; de Divitiis, E.; Cappabianca, P. Skull base reconstruction in the extended endoscopic transsphenoidal approach for suprasellar lesions. J. Neurosurg. 2007, 107, 713–720. [Google Scholar] [CrossRef]
 - Cavallo, L.M.; Solari, D.; Somma, T.; Cappabianca, P. The 3F (Fat, Flap, and Flash) Technique for Skull Base Reconstruction After Endoscopic Endonasal Suprasellar Approach. World Neurosurg. 2019, 126, 439–446. [Google Scholar] [CrossRef]
 - Eloy, J.A.; Choudhry, O.J.; Shukla, P.A.; Kuperan, A.B.; Friedel, M.E.; Liu, J.K. Nasoseptal flap repair after endoscopic transsellar versus expanded endonasal approaches: Is there an increased risk of postoperative cerebrospinal fluid leak? Laryngoscope 2012, 122, 1219–1225. [Google Scholar] [CrossRef] [PubMed]
 - Eloy, J.A.; Shukla, P.A.; Choudhry, O.J.; Singh, R.; Liu, J.K. Challenges and surgical nuances in reconstruction of large planum sphenoidale tuberculum sellae defects after endoscopic endonasal resection of parasellar skull base tumors. Laryngoscope 2013, 123, 1353–1360. [Google Scholar] [CrossRef] [PubMed]
 - Jin, B.; Wang, X.-S.; Huo, G.; Mou, J.-M.; Yang, G. Reconstruction of skull base bone defects using an in situ bone flap after endoscopic endonasal transplanum-transtuberculum approaches. Eur. Arch. Otorhinolaryngol. 2020, 277, 2071–2080. [Google Scholar] [CrossRef]
 - Liu, J.K.; Schmidt, R.F.; Choudhry, O.J.; Shukla, P.A.; Eloy, J.A. Surgical nuances for nasoseptal flap reconstruction of cranial base defects with high-flow cerebrospinal fluid leaks after endoscopic skull base surgery. Neurosurg. Focus 2012, 32, E7. [Google Scholar] [CrossRef] [PubMed]
 - Tosaka, M.; Prevedello, D.M.; Yamaguchi, R.; Fukuhara, N.; Miyagishima, T.; Tanaka, Y.; Aihara, M.; Shimizu, T.; Yoshimoto, Y. Single-Layer Fascia Patchwork Closure for the Extended Endoscopic Transsphenoidal Transtuberculum Transplanum Approach: Deep Suturing Technique and Preliminary Results. World Neurosurg. 2021, 155, e271–e284. [Google Scholar] [CrossRef]
 - Frank, G.; Pasquini, E.; Doglietto, F.; Mazzatenta, D.; Sciarretta, V.; Farneti, G.; Calbucci, F. The endoscopic extended transsphenoidal approach for craniopharyngiomas. Neurosurgery 2006, 59, ONS75-83. [Google Scholar] [CrossRef]
 - WHO Classification of Tumours Online. Available online: https://tumourclassification.iarc.who.int/welcome/# (accessed on 11 June 2023).
 - Zhu, J.; Wang, Z.; Zhang, Y.; Liu, J.; Li, X.; Deng, K.; Lu, L.; Yao, Y. Suprasellar pituitary adenomas: A 10-year experience in a single tertiary medical center and a literature review. Pituitary 2020, 23, 367–380. [Google Scholar] [CrossRef]
 - Buchfelder, M.; Kreutzer, J. Transcranial surgery for pituitary adenomas. Pituitary 2008, 11, 375–384. [Google Scholar] [CrossRef]
 - Frank, G.; Pasquini, E. Endoscopic endonasal approaches to the cavernous sinus: Surgical approaches. Neurosurgery 2002, 50, 675. [Google Scholar] [CrossRef]
 - Guan, X.; Wang, Y.; Zhang, C.; Ma, S.; Zhou, W.; Jia, G.; Jia, W. Surgical Experience of Transcranial Approaches to Large-to-Giant Pituitary Adenomas in Knosp Grade 4. Front. Endocrinol. 2022, 13, 857314. [Google Scholar] [CrossRef]
 - Yaşargil, M.G. Transcranial Surgery for Large Pituitary Adenomas. In Microneurosurgery, 4th ed.; Thieme: New York, NY, USA, 1996; pp. 200–204. [Google Scholar]
 - Guidetti, B.; Fraioli, B.; Cantore, G.P. Results of surgical management of 319 pituitary adenomas. Acta Neurochir. 1987, 85, 117–124. [Google Scholar] [CrossRef] [PubMed]
 - Pérez-López, C.; Palpán, A.J.; Saez-Alegre, M.; Zamarrón, Á.; Alfonso, C.; Álvarez-Escola, C.; Isla, A. Volumetric Study of Nonfunctioning Pituitary Adenomas: Predictors of Gross Total Resection. World Neurosurg. 2021, 147, e206–e214. [Google Scholar] [CrossRef]
 - Gellner, V.; Tomazic, P.V. Limits of the endoscopic transnasal transtubercular approach. J. Neurosurg. Sci. 2018, 62, 297–300. [Google Scholar] [CrossRef] [PubMed]
 - Serra, C.; Burkhardt, J.-K.; Esposito, G.; Bozinov, O.; Pangalu, A.; Valavanis, A.; Holzmann, D.; Schmid, C.; Regli, L. Pituitary surgery and volumetric assessment of extent of resection: A paradigm shift in the use of intraoperative magnetic resonance imaging. Neurosurg. Focus 2016, 40, E17. [Google Scholar] [CrossRef]
 - Staartjes, V.E.; Togni-Pogliorini, A.; Stumpo, V.; Serra, C.; Regli, L. Impact of intraoperative magnetic resonance imaging on gross total resection, extent of resection, and residual tumor volume in pituitary surgery: Systematic review and meta-analysis. Pituitary 2021, 24, 644–656. [Google Scholar] [CrossRef]
 - Cossu, G.; Jouanneau, E.; Cavallo, L.M.; Froelich, S.; Starnoni, D.; Giammattei, L.; Harel, E.; Mazzatenta, D.; Bruneau, M.; Meling, T.R.; et al. Surgical management of giant pituitary neuroendocrine tumors: Meta-analysis and consensus statement on behalf of the EANS skull base section. Brain Spine 2022, 2, 100878. [Google Scholar] [CrossRef]
 - Lee, M.H.; Lee, J.H.; Seol, H.J.; Lee, J.-I.; Kim, J.H.; Kong, D.-S.; Nam, D.-H. Clinical Concerns about Recurrence of Non-Functioning Pituitary Adenoma. Brain Tumor Res Treat. 2016, 4, 1–7. [Google Scholar] [CrossRef]
 - Wang, S.; Li, D.; Ni, M.; Jia, W.; Zhang, Q.; He, J.; Jia, G. Clinical Predictors of Diabetes Insipidus After Transcranial Surgery for Pituitary Adenoma. World Neurosurg. 2017, 101, 1–10. [Google Scholar] [CrossRef] [PubMed]
 - Khan, D.Z.; Ali, A.M.S.; Koh, C.H.; Dorward, N.L.; Grieve, J.; Horsfall, H.L.; Muirhead, W.; Santarius, T.; Van Furth, W.R.; Najafabadi, A.H.Z.; et al. Skull base repair following endonasal pituitary and skull base tumour resection: A systematic review. Pituitary 2021, 24, 698–713. [Google Scholar] [CrossRef] [PubMed]
 - Dlouhy, B.J.; Madhavan, K.; Clinger, J.D.; Reddy, A.; Dawson, J.D.; O’Brien, E.K.; Chang, E.; Graham, S.M.; Greenlee, J.D.W. Elevated body mass index and risk of postoperative CSF leak following transsphenoidal surgery. J. Neurosurg. 2012, 116, 1311–1317. [Google Scholar] [CrossRef]
 - Fraser, S.; Gardner, P.A.; Koutourousiou, M.; Kubik, M.; Fernandez-Miranda, J.C.; Snyderman, C.H.; Wang, E.W. Risk factors associated with postoperative cerebrospinal fluid leak after endoscopic endonasal skull base surgery. J. Neurosurg. 2018, 128, 1066–1071. [Google Scholar] [CrossRef] [PubMed]
 - Ivan, M.E.; Iorgulescu, J.B.; El-Sayed, I.; McDermott, M.W.; Parsa, A.T.; Pletcher, S.D.; Jahangiri, A.; Wagner, J.; Aghi, M.K. Risk factors for postoperative cerebrospinal fluid leak and meningitis after expanded endoscopic endonasal surgery. J Clin Neurosci. 2015, 22, 48–54. [Google Scholar] [CrossRef] [PubMed]
 - Schreiber, A.; Bertazzoni, G.; Ferrari, M.; Rampinelli, V.; Verri, P.; Mattavelli, D.; Fontanella, M.; Nicolai, P.; Doglietto, F. Nasal Morbidity and Quality of Life After Endoscopic Transsphenoidal Surgery: A Single-Center Prospective Study. World Neurosurg. 2019, 123, e557–e565. [Google Scholar] [CrossRef] [PubMed]
 - Georgalas, C.; Badloe, R.; van Furth, W.; Reinartz, S.; Fokkens, W.J. Quality of life in extended endonasal approaches for skull base tumours. Rhinology 2012, 50, 255–261. [Google Scholar] [CrossRef]
 - Cavallo, L.M.; Frank, G.; Cappabianca, P.; Solari, D.; Mazzatenta, D.; Villa, A.; Zoli, M.; D’Enza, A.I.; Esposito, F.; Pasquini, E. The endoscopic endonasal approach for the management of craniopharyngiomas: A series of 103 patients. J. Neurosurg. 2014, 121, 100–113. [Google Scholar] [CrossRef]
 - Solari, D.; d’Avella, E.; Agresta, G.; Catapano, D.; D’Ecclesia, A.; Locatelli, D.; Massimi, L.; Mazzatenta, D.; Spena, G.; Tamburrini, G.; et al. Endoscopic endonasal approach for infradiaphragmatic craniopharyngiomas: A multicentric Italian study. J. Neurosurg. 2023, 138, 522–532. [Google Scholar] [CrossRef]
 - Komotar, R.J.; Starke, R.M.; Raper, D.M.S.; Anand, V.K.; Schwartz, T.H. Endoscopic endonasal compared with microscopic transsphenoidal and open transcranial resection of giant pituitary adenomas. Pituitary 2012, 15, 150–159. [Google Scholar] [CrossRef]
 - Müslüman, A.M.; Cansever, T.; Yılmaz, A.; Kanat, A.; Oba, E.; Çavuşoğlu, H.; Sirinoğlu, D.; Aydın, Y. Surgical results of large and giant pituitary adenomas with special consideration of ophthalmologic outcomes. World Neurosurg. 2011, 76, 141–148. [Google Scholar] [CrossRef]
 - Graillon, T.; Castinetti, F.; Fuentes, S.; Gras, R.; Brue, T.; Dufour, H. Transcranial approach in giant pituitary adenomas: Results and outcome in a modern series. J. Neurosurg. Sci. 2020, 64, 25–36. [Google Scholar] [CrossRef]
 - Kinoshita, Y.; Taguchi, A.; Tominaga, A.; Sakoguchi, T.; Arita, K.; Yamasaki, F. Predictive factors of postoperative diabetes insipidus in 333 patients undergoing transsphenoidal surgery for non-functioning pituitary adenoma. Pituitary 2022, 25, 100–107. [Google Scholar] [CrossRef]
 





| N, % or SD | ||
|---|---|---|
| Sex | Male | 35, 61.4 | 
| Female | 22, 38.6 | |
| Age | 54.1 ± 13.5 | |
| BMI | 27.8 ± 5.4 | |
| Previous treatment | Naïve | 26, 45.6 | 
| Previous surgery | 30, 52.6 | |
| Previous surgery and radiotherapy | 1, 1.8 | |
| Previous surgical procedure | EEA | 20, 64.5 | 
| EA + TCA | 2, 6.5 | |
| TCA | 5, 16.1 | |
| Microsurgical trans-sphenoidal | 4, 12.9 | |
| First clinical manifestation | Cognitive decline | 3, 5.3 | 
| Endocrinological hyperproduction | 15, 26.3 | |
| Visual disturbances | 32, 56.1 | |
| Incidental | 6, 10.5 | |
| Headache | 1, 1.8 | |
| Endocrinological hypersecretion at admission | PRL | 5, 8.8 | 
| ACTH | 4, 7 | |
| GH | 4, 7 | |
| TSH | 1, 1.8 | |
| No | 43, 75.4 | |
| Endocrinological impairment at admission | Anterior partial hypopituitarism | 1, 1.8 | 
| Anterior panhypopituitarism | 14, 24.6 | |
| DI | 0, 0 | |
| Anterior partial hypopituitarism and DI | 1, 1.8 | |
| Panhypopituitarism and DI | 1, 1.8 | |
| No | 40, 70.2 | |
| Visual acuity impairment at admission | Yes | 6, 10.5 | 
| No | 51, 89.5 | |
| Visual field impairment at admission | Yes | 34, 59.6 | 
| No | 23, 40.4 | |
| Volume, cm3 | 13.8 ± 16.8 | |
| Maximal diameter, mm | 30.3 ± 12.8 | |
| Cranial extension | Foramina of Monro | 11, 19.3 | 
| Third ventricle | 22, 38.6 | |
| Suprasellar cistern | 24, 42.1 | |
| Morphology according to Barazi et al. [21] | Type 1 | 16, 28.1 | 
| Type 2 | 7, 12.3 | |
| Type 3 | 34, 59.6 | |
| N, % | ||
|---|---|---|
| Consistency | Soft | 45, 78.9 | 
| Firm | 12, 21.1 | |
| Vessel encasement/engulfment | Yes | 9, 15.8 | 
| No | 48, 84.2 | |
| Subarachnoid invasion | Yes | 37, 64.9 | 
| No | 20, 35.1 | |
| Type of surgical approach | ETTA | 55, 96.5 | 
| ETTA + TCA (one step) | 2, 3.5 | |
| Closure with fascia lata, fat, possibly bone and cartilage, and mucoperiosteal graft | Yes | 22, 38.6 | 
| No | 35, 61.4 | |
| Closure with Biodesign, fat, possibly bone and cartilage, and naso-septal flap | Yes | 32, 56.1 | 
| No | 25, 43.8 | |
| N, % | ||
|---|---|---|
| EOR | Radical | 33, 57.9 | 
| Non-radical | 24, 42.1 | |
| Hypersecretion post-operative normalization | PRL | 3, 60 | 
| ACTH | 4, 100 | |
| GH | 1, 25 | |
| TSH | 1, 100 | |
| Residual hypersecretion | 5, 35.7 | |
| Complications | CSF leak | 5, 8.8 | 
| Epistaxis | 1, 1.8 | |
| Meningitis | 1, 1.8 | |
| Asymptomatic brain ischemia | 2, 3.5 | |
| Transient third cranial nerve palsy | 2, 3.5 | |
| Transient DI | 1, 1.8 | |
| Hematoma | 6, 10.5 | |
| Hydrocephalus requiring VPS | 1, 1.8 | |
| Normalized/Improved | Unchanged | Worsened | ||
|---|---|---|---|---|
| N, % | N, % | N, % | ||
| Endocrinological disturbances | Intact | 0, 0 | 22, 55 | 18, 45 | 
| Anterior partial hypopituitarism | 0, 0 | 0, 0 | 1, 100 | |
| Anterior panhypopituitarism | 0, 0 | 10, 71.4 | 4, 28.6 | |
| DI | 0, 0 | 0, 0 | 0, 0 | |
| Anterior partial hypopituitarism and DI | 0, 0 | 1, 100 | 0, 0 | |
| Panhypopituitarism and DI | 0, 0 | 0, 0 | 1, 100 | |
| Visual acuity deficits | Intact | 0, 0 | 49, 86 | 2, 4 | 
| Present | 2, 33.3 | 4, 66.7 | 0, 0 | |
| Visual field deficits | Intact | 0, 0 | 23, 100 | 0, 0 | 
| Present | 25, 73.5 | 7, 20.6 | 2, 5.9 | |
| Parameter | EOR | CSF Leak | New-Onset Anterior Pituitary Impairment | New-Onset DI | Visual Acuity Outcome | Visual Field Outcome | 
|---|---|---|---|---|---|---|
| BMI * | 0.177 | 0.038 | 0.307 | 0.314 | 0.089 | 0.220 | 
| Age § | 0.615 | 0.331 | 0.235 | 0.659 | 0.366 | 0.467 | 
| Sex | 0.885 | 0.647 | 0.034 | 0.269 | 0.780 | 0.695 | 
| Volume * | 0.482 | 0.593 | 0.092 | 0.048 | 0.027 | 0.827 | 
| Maximal diameter § | 0.188 | 0.301 | 0.128 | 0.006 | 0.017 | 0.387 | 
| Remnant/recurrence | 0.033 | 0.362 | 0.049 | 0.057 | 0.523 | 0.024 | 
| Consistency | 0.972 | 0.719 | 0.067 | 0.534 | 0.781 | 0.061 | 
| Vessel encasement | <0.001 | 0.591 | 0.802 | 0.030 | 0.213 | 0.116 | 
| Subarachnoid invasion | 0.174 | 0.332 | 0.558 | 0.040 | 0.924 | 0.904 | 
| TCA | 0.091 | 0.655 | 0.525 | 0.016 | 0.064 | 0.177 | 
| Third ventricle extension | 0.116 | 0.385 | 0.206 | 0.423 | 0.645 | 0.373 | 
| Morphology according to Barazi et al. [21] | 0.906 | 0.622 | 0.178 | 0.328 | 0.104 | 0.428 | 
| Closure with fascia lata | - | 0.647 | - | - | - | - | 
| Closure with naso-septal flap | - | 0.618 | - | - | - | - | 
Disclaimer/Publisher’s Note: The statements, opinions and data contained in all publications are solely those of the individual author(s) and contributor(s) and not of MDPI and/or the editor(s). MDPI and/or the editor(s) disclaim responsibility for any injury to people or property resulting from any ideas, methods, instructions or products referred to in the content.  | 
© 2023 by the authors. Licensee MDPI, Basel, Switzerland. This article is an open access article distributed under the terms and conditions of the Creative Commons Attribution (CC BY) license (https://creativecommons.org/licenses/by/4.0/).
Share and Cite
Carretta, A.; Zoli, M.; Guaraldi, F.; Sollini, G.; Rustici, A.; Asioli, S.; Faustini-Fustini, M.; Pasquini, E.; Mazzatenta, D. Endoscopic Endonasal Transplanum–Transtuberculum Approach for Pituitary Adenomas/PitNET: 25 Years of Experience. Brain Sci. 2023, 13, 1121. https://doi.org/10.3390/brainsci13071121
Carretta A, Zoli M, Guaraldi F, Sollini G, Rustici A, Asioli S, Faustini-Fustini M, Pasquini E, Mazzatenta D. Endoscopic Endonasal Transplanum–Transtuberculum Approach for Pituitary Adenomas/PitNET: 25 Years of Experience. Brain Sciences. 2023; 13(7):1121. https://doi.org/10.3390/brainsci13071121
Chicago/Turabian StyleCarretta, Alessandro, Matteo Zoli, Federica Guaraldi, Giacomo Sollini, Arianna Rustici, Sofia Asioli, Marco Faustini-Fustini, Ernesto Pasquini, and Diego Mazzatenta. 2023. "Endoscopic Endonasal Transplanum–Transtuberculum Approach for Pituitary Adenomas/PitNET: 25 Years of Experience" Brain Sciences 13, no. 7: 1121. https://doi.org/10.3390/brainsci13071121
APA StyleCarretta, A., Zoli, M., Guaraldi, F., Sollini, G., Rustici, A., Asioli, S., Faustini-Fustini, M., Pasquini, E., & Mazzatenta, D. (2023). Endoscopic Endonasal Transplanum–Transtuberculum Approach for Pituitary Adenomas/PitNET: 25 Years of Experience. Brain Sciences, 13(7), 1121. https://doi.org/10.3390/brainsci13071121
        
