Antioxidant Defence in Labeo rohita to Biotic and Abiotic Stress: Insight from mRNA Expression, Molecular Characterization and Recombinant Protein-Based ELISA of Catalase, Glutathione Peroxidase, CuZn Superoxide Dismutase, and Glutathione S-Transferase
Abstract
:1. Introduction
2. Material and Methods
2.1. Maintenance of L. rohita
2.2. RNA Isolation, cDNA Synthesis and PCR Amplification
2.3. Cloning and Characterization of Catalase (LrCAT), CuZnSOD (LrCuZnSOD), GPx1 (Lr GPx1) and GST-mu (LrGST-mu) mRNA of L. rohita
2.4. Expression Analysis of Antioxidant Genes
2.4.1. Ontogeny and Tissue-Specific Expression
2.4.2. Expression Analysis following Bacterial (Aeromonas hydrophila) Infection
2.4.3. Expression Analysis following Parasitic (Argulus siamensis) Infection
2.4.4. Expression Analysis following Poly I:C Induction
2.4.5. Expression Analysis following Ammonia-Induced Stress
2.5. Relative Quantification by RT-PCR (qRT-PCR)
2.6. Expression of Recombinant Proteins of LrCAT, LrCuZnSOD, LrGST-mu and LrGPX-1, Their Purification and Antibody Production
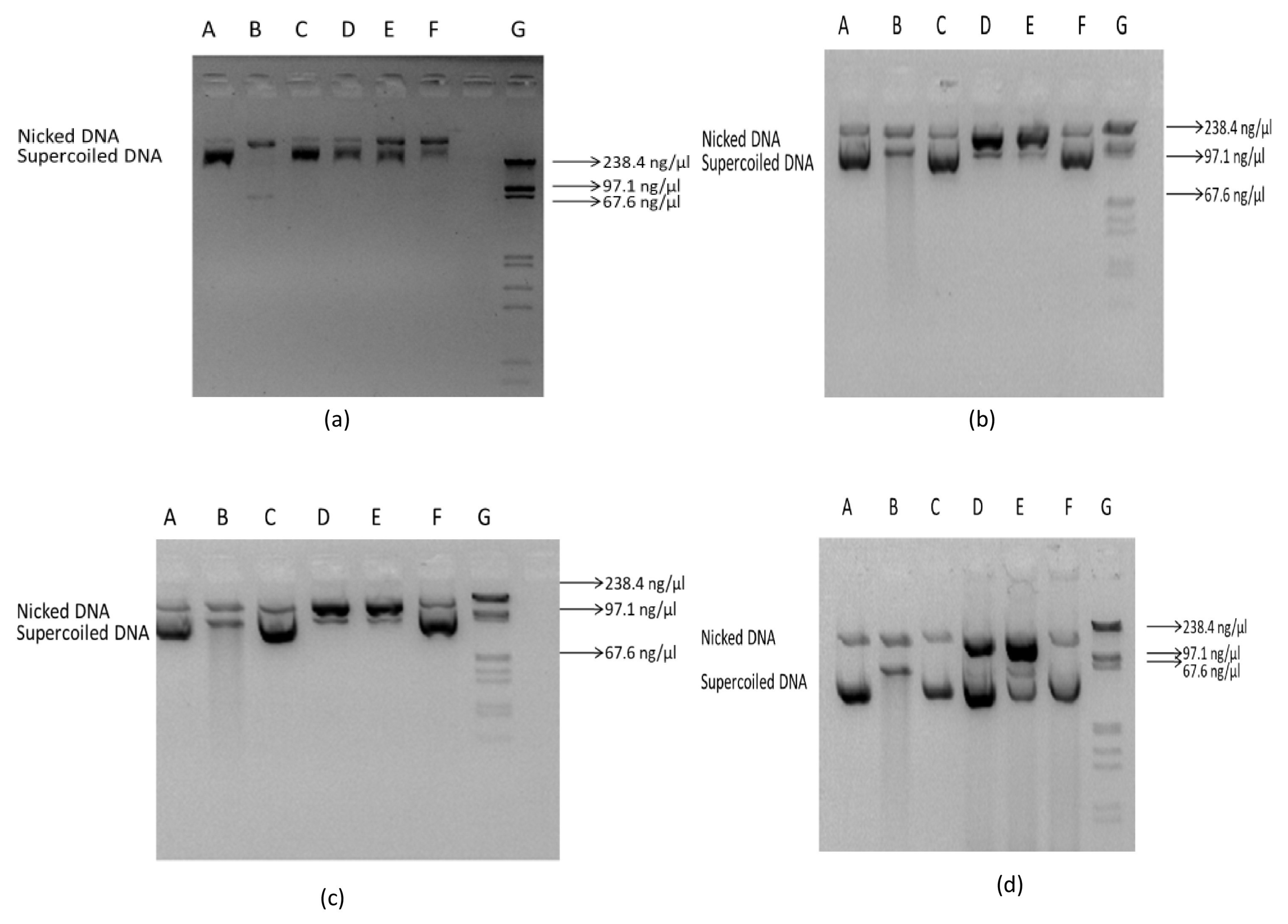
2.7. Antioxidant Activity of Recombinant Proteins as Measured through DNA Protection Assay
2.8. Antimicrobial Activity of rLrCAT, rLrCuZnSOD, rLrGST-mu and rLrGPX-1
2.9. Immunomodulation Study Using Recombinant Antioxidant Proteins
2.10. Development of Indirect ELISAs for Catalase (rLrCAT), CuZnsod (rLrCuZNSOD), GPx-1 (rLrGPX-1) and GST-mu (rLrGST-mu)
2.11. Antioxidant Protein Concentration in L. rohita Serum during Biotic and Abiotic Stress
2.12. Statistical Analysis
3. Results
3.1. Cloning and Sequence Characterization of LrCAT, LrCuZnSOD, LrGPX-1 and LrGST-mu
3.2. Characterization of Antimicrobial Peptide
3.3. Ontogeny and Tissue-Specific Expression Analysis of Antioxidant Genes
3.4. LrCAT, LrCuZnSOD, LrGPX-1 and LrGST-mu Transcription Analysis Using Three Different Types of Pathogen Models and under Abiotic Stress
3.4.1. Bacterial Infection
3.4.2. Parasitic Infection
3.4.3. Poly I:C Induction
3.4.4. Abiotic Stress
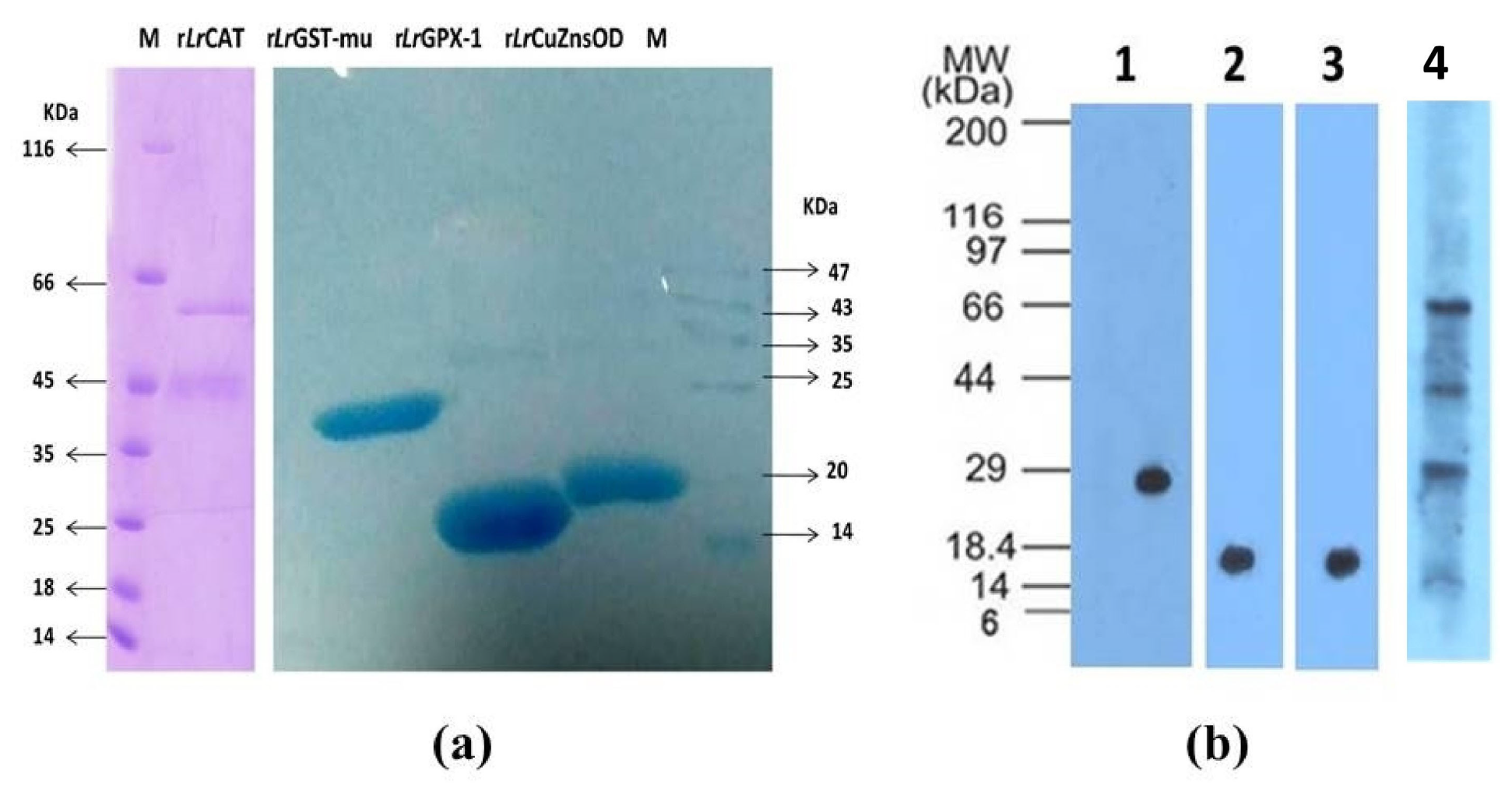
3.5. Recombinant Protein Production and Their Characterization
Antioxidant and Antimicrobial Activities
3.6. Immunomodulation Study
3.7. Development of Indirect ELISA to Measure the Level of Antioxidant Molecules in Rohu Serum
3.8. Antioxidant Levels in L. rohita Serum during Biotic and Abiotic Stress
4. Discussion
5. Conclusions
Supplementary Materials
Author Contributions
Funding
Institutional Review Board Statement
Informed Consent Statement
Data Availability Statement
Conflicts of Interest
References
- Schieber, M.; Chandel, N.S. ROS function in redox signaling and oxidative stress. Curr. Biol. 2014, 24, R453–R462. [Google Scholar] [CrossRef]
- Martínez-Álvarez, R.M.; Morales, A.E.; Sanz, A. Antioxidant defenses in fish: Biotic and abiotic factors. Rev. Fish Biol. Fish. 2005, 15, 75–88. [Google Scholar] [CrossRef]
- Frei, B. Molecular and biological mechanisms of antioxidant action. FASEB J. 1999, 13, 963–964. [Google Scholar] [CrossRef] [PubMed]
- Mittapalli, O.; Neal, J.J.; Shukle, R.H. Antioxidant defense response in a galling insect. Proc. Natl. Acad. Sci. USA 2007, 104, 1889–1894. [Google Scholar] [CrossRef]
- Klotz, K.N.; Hessling, J.; Hegler, J.; Owman, C.; Kull, B.; Fredholm, B.B.; Lohse, M.J. Comparative pharmacology of human adenosine receptor subtypes–characterization of stably transfected receptors in CHO cells. Naunyn Schmiedebergs Arch. Pharmacol. 1997, 357, 1–9. [Google Scholar] [CrossRef] [PubMed]
- Ha, E.M.; Oh, C.T.; Ryu, J.H.; Bae, Y.S.; Kang, S.W.; Jang, I.H.; Brey, P.T.; Lee, W.J. An antioxidant system required for host protection against gut infection in Drosophila. Dev. Cell 2005, 8, 125–132. [Google Scholar] [CrossRef]
- Moosavi-Movahedi, A.A. Catalase and its mysteries. Prog. Biophys. Mol. Biol. 2018, 140, 5–12. [Google Scholar]
- Ryu, J.H.; Ha, E.M.; Oh, C.T.; Seol, J.H.; Brey, P.T.; Jin, I.; Lee, D.G.; Kim, J.; Lee, D.; Lee, W.J. An essential complementary role of NF-κB pathway to microbicidal oxidants in Drosophila gut immunity. EMBO J. 2006, 25, 3693–3701. [Google Scholar] [CrossRef] [PubMed]
- Xu, J.; Lu, M.X.; Huang, D.L.; Du, Y.Z. Molecular cloning, characterization, genomic structure and functional analysis of catalase in Chilo suppressalis. J. Asia Pac. Entomol. 2017, 20, 331–336. [Google Scholar] [CrossRef]
- Vigneshkumar, B.; Pandian, S.K.; Balamurugan, K. Catalase activity and innate immune response of Caenorhabditis elegans against the heavy metal toxin lead. Environ. Toxicol. 2013, 28, 313–321. [Google Scholar] [CrossRef]
- Zikić, R.V.; Stajn, A.S.; Pavlović, S.Z.; Ognjanović, B.I.; Saićić, Z.S. Activities of superoxide dismutase and catalase in erythrocytes and plasma transaminases of goldfish (Carassius auratus gibelio Bloch.) exposed to cadmium. Physiol. Res. 2001, 50, 105–111. [Google Scholar] [PubMed]
- Gerhard, G.S.; Kauffman, E.J.; Grundy, M.A. Molecular cloning and sequence analysis of the Danio rerio catalase gene. Comp. Biochem. Physiol. B Biochem. Mol. Biol. 2000, 127, 447–457. [Google Scholar] [CrossRef] [PubMed]
- Elvitigala, D.A.S.; Premachandra, H.K.A.; Whang, I.; Priyathilaka, T.T.; Kim, E.; Lim, B.S.; Jung, H.B.; Yeo, S.Y.; Park, H.C.; Lee, J. Marine teleost ortholog of catalase from rock bream (Oplegnathus fasciatus): Molecular perspectives from genomic organization to enzymatic behavior with respect to its potent antioxidant properties. Fish Shellfish Immunol. 2013, 35, 1086–1096. [Google Scholar] [CrossRef] [PubMed]
- Elvitigala, D.A.S.; Priyathilaka, T.T.; Whang, I.; Nam, B.H.; Lee, J. A teleostan homolog of catalase from black rockfish (Sebastes schlegelii): Insights into functional roles in host antioxidant defense and expressional responses to septic conditions. Fish Shellfish Immunol. 2015, 44, 321–331. [Google Scholar] [CrossRef]
- Yu, H.; Deng, W.; Zhang, D.; Gao, Y.; Yang, Z.; Shi, X.; Sun, J.; Zhou, J.; Ji, H. Antioxidant defenses of Onychostoma macrolepis in response to thermal stress: Insight from mRNA expression and activity of superoxide dismutase and catalase. Fish Shellfish Immunol. 2017, 66, 50–61. [Google Scholar] [CrossRef] [PubMed]
- Sellaththurai, S.; Priyathilaka, T.T.; Lee, J. Molecular cloning, characterization, and expression level analysis of a marine teleost homolog of catalase from big belly seahorse (Hippocampus abdominalis). Fish Shellfish Immunol. 2019, 89, 647–659. [Google Scholar] [CrossRef] [PubMed]
- Shen, B.; Wei, K.; Ding, Y.; Zhang, J. Molecular cloning, mRNA expression and functional characterization of a catalase from Chinese black sleeper (Bostrychus sinensis). Fish Shellfish Immunol. 2020, 103, 310–320. [Google Scholar] [CrossRef]
- Arockiaraj, J.; Easwvaran, S.; Vanaraja, P.; Singh, A.; Othman, R.Y.; Bhassu, S. Molecular cloning, characterization and gene expression of an antioxidant enzyme catalase (MrCat) from Macrobrachium rosenbergii. Fish Shellfish Immunol. 2012, 32, 67. [Google Scholar] [CrossRef]
- Zhao, Y.Q.; Liu, G.D.; Hou, C.C.; Han, Y.L.; Zhu, J.Q. Effect of cadmium exposure on antioxidant enzyme catalase in different tissues of Acrossocheilus fasciatus. Mol. Cell. Toxicol. 2016, 12, 255–263. [Google Scholar] [CrossRef]
- Zhang, Q.; Li, F.; Zhang, X.; Dong, B.; Zhang, J.; Xie, Y.; Xiang, J. cDNA cloning, characterization and expression analysis of the antioxidant enzyme gene, catalase, of Chinese shrimp Fenneropenaeus chinensis. Fish Shellfish Immunol. 2008, 24, 584–591. [Google Scholar] [CrossRef] [PubMed]
- Dalton, T.P.; Shertzer, H.G.; Puga, A. Regulation of gene expression by reactive oxygen. Annu. Rev. Pharmacol. Toxicol. 1999, 39, 67–101. [Google Scholar] [CrossRef]
- Lubos, E.; Loscalzo, J.; Handy, D.E. Glutathione peroxidase-1 in health and disease: From molecular mechanisms to therapeutic opportunities. Antioxid. Redox Signal. 2011, 15, 1957–1997. [Google Scholar] [CrossRef] [PubMed]
- Brigelius-Flohé, R.; Maiorino, M. Glutathione peroxidases. Biochim. Biophys. Acta Gen. Subj. 2013, 1830, 3289–3303. [Google Scholar] [CrossRef]
- Morón, Ú.M.; Castilla-Cortázar, I. Protection against oxidative stress and “IGF-I deficiency conditions”. In Antioxidant Enzyme; Springer: Berlin/Heidelberg, Germany, 2012; p. 89. [Google Scholar]
- Drevet, J.R. The antioxidant glutathione peroxidase family and spermatozoa: A complex story. Mol. Cell. Endocrinol. 2006, 250, 70–79. [Google Scholar] [CrossRef] [PubMed]
- Forgione, M.A.; Weiss, N.; Heydrick, S.; Cap, A.; Klings, E.S.; Bierl, C.; Eberhardt, R.T.; Farber, H.W.; Loscalzo, J. Cellular glutathione peroxidase deficiency and endothelial dysfunction. Am. J. Physiol. Heart Circ. Physiol. 2002, 282, H1255–H1261. [Google Scholar] [CrossRef]
- Do, T.D.; Thi Mai, N.; Duy Khoa, T.N.; Abol-Munafi, A.B.; Liew, H.J.; Kim, C.B.; Wong, L.L. Molecular characterization and gene expression of glutathione peroxidase 1 in Tor tambroides exposed to temperature stress. Evol. Bioinform. Libertas Academica Ltd., New Zealand. 2019, 15, 1176934319853580. [Google Scholar] [CrossRef] [PubMed]
- Xie, X.; Chen, M.; Zhu, A. Identification and characterization of two selenium-dependent glutathione peroxidase 1 isoforms from Larimichthys crocea. Fish Shellfish Immunol. 2017, 71, 411–422. [Google Scholar] [CrossRef]
- Liu, C.H.; Tseng, M.C.; Cheng, W. Identification and cloning of the antioxidant enzyme, glutathione peroxidase, of white shrimp, Litopenaeus vannamei, and its expression following Vibrio alginolyticus infection. Fish Shellfish Immunol. 2007, 23, 34–45. [Google Scholar] [CrossRef]
- Wu, C.; Mai, K.; Zhang, W.; Ai, Q.; Xu, W.; Wang, X.; Ma, H.; Liufu, Z. Molecular cloning, characterization and mRNA expression of selenium-dependent glutathione peroxidase from abalone Haliotis discus hannai Ino in response to dietary selenium, zinc and iron. Comp. Biochem. Physiol. Part C Toxicol. Pharmacol. 2010, 152, 121–132. [Google Scholar] [CrossRef]
- Zhang, L.; Liu, X.; Chen, L.; You, L.; Pei, D.; Cong, M.; Zhao, J.; Li, C.; Liu, D.; Yu, J.; et al. Transcriptional regulation of selenium-dependent glutathione peroxidase from Venerupis philippinarum in response to pathogen and contaminants challenge. Fish Shellfish Immunol. 2011, 31, 831–837. [Google Scholar] [CrossRef]
- Duan, Y.; Liu, P.; Li, J.; Li, J.; Chen, P. Expression profiles of selenium dependent glutathione peroxidase and glutathione S-transferase from Exopalaemon carinicauda in response to Vibrio anguillarum and WSSV challenge. Fish Shellfish Immunol. 2013, 35, 661–670. [Google Scholar] [CrossRef]
- Xia, X.; Hua, C.; Xue, S.; Shi, B.; Gui, G.; Zhang, D.; Wang, X.; Guo, L. Response of selenium-dependent glutathione peroxidase in the freshwater bivalve Anodonta woodiana exposed to 2, 4-dichlorophenol, 2, 4, 6-trichlorophenol and pentachlorophenol. Fish Shellfish Immunol. 2016, 55, 99–509. [Google Scholar] [CrossRef] [PubMed]
- Wang, H.; Zhu, F.; Huang, Y.; Ding, Y.; Jian, J.; Wu, Z. Construction of glutathione peroxidase (GPx) DNA vaccine and its protective efficiency on the orange-spotted grouper (Epinephelus coioides) challenged with Vibrio harveyi. Fish Shellfish Immunol. 2017, 60, 529–536. [Google Scholar] [CrossRef] [PubMed]
- Fridovich, I. Superoxide radical and superoxide dismutases. Ann. Rev. Biochem. 1995, 64, 97–112. [Google Scholar] [CrossRef] [PubMed]
- Dringen, R.; Pawlowski, P.G.; Hirrlinger, J. Peroxide detoxification by brain cells. J. Neurosci. Res. 2005, 79, 157–165. [Google Scholar] [CrossRef] [PubMed]
- Ighodaro, O.M.; Akinloye, O.A. First line defence antioxidants-superoxide dismutase (SOD), catalase (CAT) and glutathione peroxidase (GPX): Their fundamental role in the entire antioxidant defence grid. Alex. J. Med. 2018, 54, 287–293. [Google Scholar] [CrossRef]
- Rosen, D.R.; Siddique, T.; Patterson, D.; Figlewicz, D.A.; Sapp, P.; Hentati, A.; Donaldson, D.; Goto, J.; O’Regan, J.P.; Deng, H.X.; et al. Mutations in Cu/Zn superoxide dismutase gene are associated with familial amyotrophic lateral sclerosis. Nature 1993, 362, 59–62. [Google Scholar] [CrossRef] [PubMed]
- Wang, J.; Song, J.; Li, Y.; Zhou, X.; Zhang, X.; Liu, T.; Liu, B.; Wang, L.; Li, L.; Li, C. The distribution, expression of the Cu/Zn superoxide dismutase in Apostichopus japonicus and its function for sea cucumber immunity. Fish Shellfish Immunol. 2019, 89, 745–752. [Google Scholar] [CrossRef] [PubMed]
- Du, J.; Zhu, H.; Ye, M.; Ma, Y. Macrobrachium rosenbergii Cu/Zn superoxide dismutase (Cu/Zn SOD) expressed in Saccharomyces cerevisiae and evaluation of the immune function to Vibrio parahaemolyticus. Fish Shellfish Immunol. 2019, 90, 363–375. [Google Scholar] [CrossRef]
- Xia, X.; Huang, C.; Zhang, D.; Zhang, Y.; Xue, S.; Wang, X.; Zhang, Q.; Guo, L. Molecular cloning, characterization, and the response of Cu/Zn superoxide dismutase and catalase to PBDE-47 and-209 from the freshwater bivalve Anodonta woodiana. Fish Shellfish Immunol. 2016, 51, 200–210. [Google Scholar] [CrossRef]
- Ni, D.; Song, L.; Gao, Q.; Wu, L.; Yu, Y.; Zhao, J.; Qiu, L.; Zhang, H.; Shi, F. The cDNA cloning and mRNA expression of cytoplasmic Cu, Zn superoxide dismutase (SOD) gene in scallop Chlamys farreri. Fish Shellfish Immunol. 2007, 23, 1032–1042. [Google Scholar] [CrossRef] [PubMed]
- Li, C.; Sun, H.; Chen, A.; Ning, X.; Wu, H.; Qin, S.; Xue, Q.; Zhao, J. Identification and characterization of an intracellular Cu, Zn-superoxide dismutase (Cu/Zn-SOD) gene from clam Venerupis philippinarum. Fish Shellfish Immunol. 2010, 28, 499–503. [Google Scholar] [CrossRef] [PubMed]
- Zhang, Z.W.; Li, Z.; Liang, H.W.; Li, L.; Luo, X.Z.; Zou, G.W. Molecular cloning and differential expression patterns of copper/zinc superoxide dismutase and manganese superoxide dismutase in Hypophthalmichthys molitrix. Fish Shellfish Immunol. 2011, 30, 473–479. [Google Scholar] [CrossRef] [PubMed]
- Hung, M.N.; Shiomi, R.; Nozaki, R.; Kondo, H.; Hirono, I. Identification of novel copper/zinc superoxide dismutase (Cu/ZnSOD) genes in kuruma shrimp Marsupenaeus japonicus. Fish Shellfish Immunol. 2014, 40, 472–477. [Google Scholar] [CrossRef] [PubMed]
- Liu, H.; He, J.; Chi, C.; Gu, Y. Identification and analysis of icCu/Zn-SOD, Mn-SOD and ecCu/Zn-SOD in superoxide dismutase multigene family of Pseudosciaena crocea. Fish Shellfish Immunol. 2015, 43, 491–501. [Google Scholar] [CrossRef]
- Kim, K.Y.; Lee, S.Y.; Cho, Y.S.; Bang, I.C.; Kim, K.H.; Kim, D.S.; Nam, Y.K. Molecular characterization and mRNA expression during metal exposure and thermal stress of copper/zinc-and manganese-superoxide dismutases in disk abalone, Haliotis discus discus. Fish Shellfish Immunol. 2007, 23, 1043–1059. [Google Scholar] [CrossRef]
- Sheehan, D.; Meade, G.; Foley, V.M.; Dowd, C.A. Structure, function and evolution of glutathione transferases: Implications for classification of non-mammalian members of an ancient enzyme superfamily. Biochem. J. 2001, 360, 1–16. [Google Scholar] [CrossRef] [PubMed]
- Ranson, H.; Hemingway, J. Mosquito glutathione transferases. Methods Enzymol. 2005, 401, 226–241. [Google Scholar]
- Che-Mendoza, A.; Penilla, R.P.; Rodríguez, D.A. Insecticide resistance and glutathione S-transferases in mosquitoes: A review. Afr. J. Biotechnol. 2009, 8, 1386–1397. [Google Scholar]
- Lee, K.W.; Raisuddin, S.; Rhee, J.S.; Hwang, D.S.; Yu, I.T.; Lee, Y.M.; Park, H.G.; Lee, J.S. Expression of glutathione S-transferase (GST) genes in the marine copepod Tigriopus japonicus exposed to trace metals. Aquat. Toxicol. 2008, 89, 158–166. [Google Scholar] [CrossRef]
- Lee, K.W.; Rhee, J.S.; Han, J.; Park, H.G.; Lee, J.S. Effect of culture density and antioxidants on naupliar production and gene expression of the cyclopoid copepod, Paracyclopina nana. Comp. Biochem. Physiol. Part A Mol. Integr. Physiol. 2012, 161, 145–152. [Google Scholar] [CrossRef]
- Samaraweera, A.V.; Sandamalika, W.G.; Liyanage, D.S.; Lee, S.; Priyathilaka, T.T.; Lee, J. Molecular characterization and functional analysis of glutathione S-transferase kappa 1 (GSTκ1) from the big belly seahorse (Hippocampus abdominalis): Elucidation of its involvement in innate immune responses. Fish Shellfish Immunol. 2019, 92, 356–366. [Google Scholar] [CrossRef] [PubMed]
- Sandamalika, W.G.; Priyathilaka, T.T.; Liyanage, D.S.; Lee, S.; Lim, H.K.; Lee, J. Molecular characterization of kappa class glutathione S-transferase from the disk abalone (Haliotis discus discus) and changes in expression following immune and stress challenges. Fish Shellfish Immunol. 2018, 77, 252–263. [Google Scholar] [CrossRef]
- Liu, Q.; Shang, X.; Ma, Y.; Xia, X.; Xue, S.; Hua, C.; Liang, G.; Yao, L.; Guo, L. Isolation and characterization of two glutathione S-transferases from freshwater bivalve Anodonta woodiana: Chronic effects of pentachlorophenol on gene expression profiles. Fish Shellfish Immunol. 2017, 64, 339–351. [Google Scholar] [CrossRef] [PubMed]
- Wang, C.; Zhao, J.; Mu, C.; Wang, Q.; Wu, H.; Wang, C. cDNA cloning and mRNA expression of four glutathione S-transferase (GST) genes from Mytilus galloprovincialis. Fish Shellfish Immunol. 2013, 34, 697–703. [Google Scholar] [CrossRef] [PubMed]
- Zhao, D.; Chen, L.; Qin, C.; Zhang, H.; Wu, P.; Zhang, F. A delta-class glutathione transferase from the Chinese mitten crab Eriocheir sinensis: cDNA cloning, characterization and mRNA expression. Fish Shellfish Immunol. 2010, 29, 698–703. [Google Scholar] [CrossRef] [PubMed]
- Hui, K.M.; Hao, F.Y.; Li, W.; Zhang, Z.; Zhang, C.Y.; Wang, W.; Ren, Q. Cloning and identification of four Mu-type glutathione S-transferases from the giant freshwater prawn Macrobrachium rosenbergii. Fish Shellfish Immunol. 2013, 35, 546–552. [Google Scholar] [CrossRef]
- FAO. The State of World Fisheries and Aquaculture, 2022; Towards Blue Transformation; FAO: Rome, Italy, 2022. [Google Scholar]
- Das, S.; Mohapatra, A.; Sahoo, P.K. Expression analysis of heat shock protein genes during Aeromonas hydrophila infection in rohu, Labeo rohita, with special reference to molecular characterization of Grp78. Cell Stress Chaperones 2015, 20, 73–84. [Google Scholar] [CrossRef]
- Mohapatra, A.; Parida, S.; Mohanty, J.; Sahoo, P.K. Identification and functional characterization of a g-type lysozyme gene of Labeo rohita, an Indian major carp species. Dev. Comp. Immunol. 2019, 92, 87–98. [Google Scholar] [CrossRef] [PubMed]
- Kar, B.; Mohanty, J.; Hemaprasanth, K.P.; Sahoo, P.K. The immune response in rohu, Labeo rohita (Actinopterygii: Cyprinidae) to Argulus siamensis (Branchiura: Argulidae) infection: Kinetics of immune gene expression and innate immune response. Aquac. Res. 2015, 46, 1292–1308. [Google Scholar] [CrossRef]
- Sharma, A.; Paul, A.; Parida, S.; Pattanayak, S.; Mohapatra, A.; Kumar, P.R.; Sahoo, M.K.; Sundaray, J.K.; Sahoo, P.K. Dynamics of expression of antibacterial and antioxidant defence genes in Indian major carp, Labeo rohita in response to Aeromonas hydrophila infection. Microb. Pathog. 2018, 125, 108–115. [Google Scholar] [CrossRef] [PubMed]
- Kar, B.; Moussa, C.; Mohapatra, A.; Mohanty, J.; Jayasankar, P.; Sahoo, P.K. Variation in susceptibility pattern of fish to Argulus siamensis: Do immune responses of host play a role? Vet. Parasitol. 2016, 221, 76–83. [Google Scholar] [CrossRef] [PubMed]
- Hall, T.A. BioEdit: A user-friendly biological sequence alignment editor and analysis program for Windows 95/98/NT. Nucleic Acids Symp. Ser. 1999, 41, 95–98. [Google Scholar]
- Parida, S.; Mohapatra, A.; Sahoo, P.K. Cloning and functional characterisation of natural killer enhancing factor-B (NKEF-B) gene of Labeo rohita: Antioxidant and antimicrobial activities of its recombinant protein. Mol. Immunol. 2020, 126, 73–86. [Google Scholar] [CrossRef]
- Gasteiger, E.; Gattiker, A.; Hoogland, C.; Ivanyi, I.; Appel, R.D.; Bairoch, A. ExPASy: The proteomics server for in-depth protein knowledge and analysis. Nucleic Acids Res. 2003, 31, 3784–3788. [Google Scholar] [CrossRef]
- Zhang, Y. I-TASSER server for protein 3D structure prediction. BMC Bioinform. 2008, 9, 1–8. [Google Scholar] [CrossRef]
- Tamura, K.; Stecher, G.; Peterson, D.; Filipski, A.; Kumar, S. MEGA6: Molecular evolutionary genetics analysis version 6.0. Mol. Biol. Evol. 2013, 30, 2725–2729. [Google Scholar] [CrossRef]
- Robinson, N.; Sahoo, P.K.; Baranski, M.; Mahapatra, K.D.; Saha, J.N.; Das, S.; Mishra, Y.; Das, P.; Barman, H.K.; Eknath, A.E. Expressed sequences and polymorphisms in rohu carp (Labeo rohita, Hamilton) revealed by mRNA-seq. Mar. Biotechnol. 2012, 14, 620–633. [Google Scholar] [CrossRef]
- Sahoo, P.K.; Parida, S.; Parida, S.; Parida, P.; Paul, A. Stability evaluation and validation of appropriate reference genes for real-time PCR expression analysis of immune genes in the rohu (Labeo rohita) skin following argulosis. Sci. Rep. 2023, 13, 2660. [Google Scholar] [CrossRef] [PubMed]
- Mohapatra, A.; Karan, S.; Kar, B.; Garg, L.C.; Dixit, A.; Sahoo, P.K. Apolipoprotein AI in Labeo rohita: Cloning and functional characterisation reveals its broad spectrum antimicrobial property, and indicate significant role during ectoparasitic infection. Fish Shellfish Immunol. 2016, 55, 717–728. [Google Scholar] [CrossRef]
- Nayak, S.P.; Mohanty, B.R.; Mishra, J.; Rauta, P.R.; Das, A.; Eknath, A.E.; Sahoo, P.K. Ontogeny and tissue-specific expression of innate immune related genes in rohu, Labeo rohita (Hamilton). Fish Shellfish Immunol. 2011, 30, 1197–1201. [Google Scholar] [CrossRef] [PubMed]
- Mohanty, B.R.; Mishra, J.; Das, S.; Jena, J.K.; Sahoo, P.K. An outbreak of aeromoniasis in an organized composite carp culture farm in India: Experimental pathogenicity and antibiogram study. J. Aquac. 2008, 16, 27–37. [Google Scholar] [CrossRef]
- Reed, L.J.; Muench, H. A simple method of estimating fifty per cent endpoints. Am. J. Epidemiol. 1938, 27, 493–497. [Google Scholar] [CrossRef]
- Pfaffl, M.W. Relative quantification. In Real-Time PCR; Taylor & Francis: Abingdon, UK, 2007; pp. 89–108. ISBN 9780203967317. [Google Scholar]
- Rauta, P.R.; Mohanty, J.; Garnayak, S.K.; Sahoo, P.K. Characterization of serum immunoglobulin in Channa striata (BLOCH) and kinetics of its response to Aeromonas hydrophila antigen. J. Immunoass. Immunochem. 2013, 34, 283–293. [Google Scholar] [CrossRef] [PubMed]
- Singh, B.N.; Singh, B.R.; Singh, R.L.; Prakash, D.; Dhakarey, R.; Upadhyay, G.; Singh, H.B. Oxidative DNA damage protective activity, antioxidant and anti-quorum sensing potentials of Moringa oleifera. Food Chem. Toxicol. 2009, 47, 1109–1116. [Google Scholar] [CrossRef]
- Xu, J.G.; Hu, Q.P.; Liu, Y. Antioxidant and DNA-protective activities of chlorogenic acid isomers. J. Agric. Food Chem. 2012, 60, 11625–11630. [Google Scholar] [CrossRef]
- Vig, E.; Nemcsok, J. The effects of hypoxia and paraquat on the superoxide dismutase activity in different organs of carp, Cyprinus carpio L. J. Fish Biol. 1989, 35, 23–25. [Google Scholar] [CrossRef]
- Choi, C.Y.; An, K.W.; Nelson, E.R.; Habibi, H.R. Cadmium affects the expression of metallothionein (MT) and glutathione peroxidase (GPX) mRNA in goldfish, Carassius auratus. Comp. Biochem. Physiol. C Toxicol. Pharmacol. 2007, 145, 595–600. [Google Scholar] [CrossRef]
- Udayantha, H.M.V.; Samaraweera, A.V.; Nadarajapillai, K.; Sandamalika, W.G.; Lim, C.; Yang, H.; Lee, S.; Lee, J. Molecular characterization and immune regulatory, antioxidant, and antiapoptotic activities of thioredoxin domain-containing protein 17 (TXNDC17) in yellowtail clownfish (Amphiprion clarkii). Fish Shellfish Immunol. 2021, 115, 75–85. [Google Scholar] [CrossRef]
- Yu, H.; Wang, C.; Deng, W.; Liu, G.; Liu, S.; Ji, H. Characterization and expression profiling of glutathione peroxidase 1 gene (GPX1) and activity of GPX in Onychostoma macrolepis suffered from thermal stress. Turkish J. Fish. Aquat. Sci. 2021, 21, 541–551. [Google Scholar] [CrossRef]
- Kashiwagi, A.; Kashiwagi, K.; Takase, M.; Hanada, H.; Nakamura, M. Comparison of catalase in diploid and haploid Rana rugosa using heat and chemical inactivation techniques. Comp. Biochem. Physiol. B Biochem. Mol. Biol. 1997, 118, 499–503. [Google Scholar] [CrossRef] [PubMed]
- Chelikani, P.; Fita, I.; Oewen, P.C. Diversity of structures and properties among catalases. Cell. Mol. Life Sci. 2004, 61, 192–208. [Google Scholar] [CrossRef] [PubMed]
- Zhang, H.C.; Ma, K.X.; Yang, Y.J.; Shi, C.Y.; Chen, G.W.; Liu, D.Z. CuZnSOD and MnSOD from freshwater planarian Dugesia japonica: cDNA cloning, mRNA expression and enzyme activity in response to environmental pollutants. Aquat. Toxicol. 2019, 208, 12–19. [Google Scholar] [CrossRef]
- Dos Santos Carvalho, C.; Bernusso, V.A.; de Araújo, H.S.S.; Espíndola, E.L.G.; Fernandes, M.N. Biomarker responses as an indication of contaminant effects in Oreochromis niloticus. Chemosphere 2012, 89, 60–69. [Google Scholar] [CrossRef]
- Świergosz-Kowalewska, R.; Bednarska, A.; Kafel, A. Glutathione levels and enzyme activity in the tissues of bank vole Clethrionomys glareolus chronically exposed to a mixture of metal contaminants. Chemosphere 2006, 65, 963–974. [Google Scholar] [CrossRef] [PubMed]
- Pacitti, D.; Wang, T.; Page, M.M.; Martin, S.A.M.; Sweetman, J.; Feldmann, J.; Secombes, C. Characterization of cytosolic glutathione peroxidase and phospholipid-hydroperoxide glutathione peroxidase genes in rainbow trout (Oncorhynchus mykiss) and their modulation by in vitro selenium exposure. Aquat. Toxicol. 2013, 130, 97–111. [Google Scholar] [CrossRef] [PubMed]
- Habig, W.H.; Pabst, M.J.; Jakoby, W.B. Glutathione S-transferases. The first enzymatic step in mercapturic acid formation. J. Biol. Chem. 1974, 249, 7130–7139. [Google Scholar] [CrossRef] [PubMed]
- Wilce, M.C.; Parker, M.W. Structure and function of glutathione S-transferases. Biochim. Biophys. Acta Protein Struct. Mol. Enzymol. 1994, 1205, 1–18. [Google Scholar] [CrossRef]
- Ren, Q.; Sun, R.R.; Zhao, X.F.; Wang, J.X. A selenium-dependent glutathione peroxidase (Se-GPx) and two glutathione S-transferases (GSTs) from Chinese shrimp (Fenneropenaeus chinensis). Comp. Biochem. Physiol. Part C Toxicol. Pharmacol. 2009, 149, 613–623. [Google Scholar] [CrossRef]
- Kim, J.H.; Rhee, J.S.; Lee, J.S.; Dahms, H.U.; Lee, J.; Han, K.N.; Lee, J.S. Effect of cadmium exposure on expression of antioxidant gene transcripts in the river pufferfish, Takifugu obscurus (Tetraodontiformes). Comp. Biochem. Physiol. Part C Toxicol. Pharmacol. 2010, 152, 473–479. [Google Scholar] [CrossRef]
- Li, M.; Zheng, Y.; Liang, H.; Zou, L.; Sun, J.; Zhang, Y.; Qin, F.; Liu, S.; Wang, Z. Molecular cloning and characterization of cat, gpx1 and Cu/Zn-sod genes in pengze crucian carp (Carassius auratus var. Pengze) and antioxidant enzyme modulation induced by hexavalent chromium in juveniles. Comp. Biochem. Physiol. Part C Toxicol. Pharmacol. 2013, 157, 310–321. [Google Scholar] [CrossRef]
- Anju, A.; Jeswin, J.; Thomas, P.C.; Paulton, M.P.; Vijayan, K.K. Molecular cloning, characterization and expression analysis of cytoplasmic Cu/Zn-superoxide dismutase (SOD) from pearl oyster Pinctada fucata. Fish Shellfish Immunol. 2013, 34, 946–950. [Google Scholar] [CrossRef] [PubMed]
- Akpek, E.K.; Gottsch, J.D. Immune defense at the ocular surface. Eye 2003, 17, 949–956. [Google Scholar] [CrossRef]
- Rotruck, J.T.; Pope, A.L.; Ganther, H.E.; Swanson, A.B.; Hafeman, D.G.; Hoekstra, W. Selenium: Biochemical role as a component of glutathione peroxidase. Science 1973, 179, 588–590. [Google Scholar] [CrossRef] [PubMed]
- Nirgude, S.; Choudhary, B. Insights into the role of GPX3, a highly efficient plasma antioxidant, in cancer. Biochem. Pharmacol. 2021, 184, 14365. [Google Scholar] [CrossRef] [PubMed]
- Yeh, S.P.; Liu, K.F.; Chiu, S.T.; Jian, S.J.; Cheng, W.; Liu, C.H. Identification and cloning of a selenium dependent glutathione peroxidase from giant freshwater prawn, Macrobrachium rosenbergii. Fish Shellfish Immunol. 2009, 27, 181–191. [Google Scholar] [CrossRef] [PubMed]
- Doyen, P.; Vasseur, P.; Rodius, F. Identification, sequencing and expression of selenium-dependent glutathione peroxidase transcript in the freshwater bivalve Unio tumidus exposed to Aroclor 1254. Comp. Biochem. Physiol. C Toxicol. Pharmacol. 2006, 144, 122–129. [Google Scholar] [CrossRef]
- Doyen, P.; Bigot, A.; Vasseur, P.; Rodius, F. Molecular cloning and expression study of pi-class glutathione S-transferase (pi-GST) and selenium-dependent glutathione peroxidase (Se-GPx) transcripts in the freshwater bivalve Dreissena polymorpha. Comp. Biochem. Physiol. C. Toxicol. Pharmacol. 2008, 147, 69–77. [Google Scholar] [CrossRef]
- Revathy, K.S.; Umasuthan, N.; Lee, Y.; Choi, C.Y.; Whang, I.; Lee, J. First molluscan theta-class Glutathione S-Transferase: Identification, cloning, characterization and transcriptional analysis post immune challenges. Comp. Biochem. Physiol. B Biochem. Mol. Biol. 2012, 162, 10–23. [Google Scholar] [CrossRef]
- Wan, Q.; Whang, I.; Lee, J. Molecular characterization of mu class glutathione-S-transferase from disk abalone (Haliotis discus discus), a potential biomarker of endocrine-disrupting chemicals. Comp. Biochem. Physiol. B Biochem. Mol. Biol. 2008, 150, 187–199. [Google Scholar] [CrossRef]
- Kim, M.; Ahn, I.Y.; Cheon, J.; Park, H. Molecular cloning and thermal stress-induced expression of a pi-class glutathione S-transferase (GST) in the Antarctic bivalve Laternula elliptica. Comp. Biochem. Physiol. Part A Mol. Integr. Physiol. 2009, 152, 207–213. [Google Scholar] [CrossRef] [PubMed]
- Rhee, J.S.; Raisuddin, S.; Hwang, D.S.; Horiguchi, T.; Cho, H.S.; Lee, J.S. A Mu-class glutathione S-transferase (GSTM) from the rock shell Thais clavigera. Comp. Biochem. Physiol. Part C Toxicol. Pharmacol. 2008, 148, 195–203. [Google Scholar] [CrossRef] [PubMed]
- Shao, Y.; Lv, Z.; Li, C.; Zhang, W.; Duan, X.; Qiu, Q.; Jin, C.; Zhao, X. Molecular cloning and functional characterization of theta class glutathione S-transferase from Apostichopus japonicus. Fish Shellfish Immunol. 2017, 63, 31–39. [Google Scholar] [CrossRef] [PubMed]
- Udayantha, H.M.V.; Liyanage, D.S.; Nadarajapillai, K.; Omeka, W.K.M.; Yang, H.; Jeong, T.; Lee, J. Molecular characterization, immune and xenobiotic responses of glutathione S-transferase omega 1 from the big-belly seahorse: Novel insights into antiviral defense. Fish Shellfish Immunol. 2021, 109, 62–70. [Google Scholar] [CrossRef] [PubMed]
- Rubio-Riquelme, N.; Huerta-Retamal, N.; Gómez-Torres, M.J.; Martínez-Espinosa, R.M. Catalase as a molecular target for male infertility diagnosis and monitoring: An overview. Antioxidants 2020, 9, 78. [Google Scholar] [CrossRef] [PubMed]
- De Zoysa, M.; Pushpamali, W.A.; Oh, C.; Whang, I.; Kim, S.J.; Lee, J. Transcriptional up-regulation of disk abalone selenium dependent glutathione peroxidase by H2O2 oxidative stress and Vibrio alginolyticus bacterial infection. Fish Shellfish Immunol. 2008, 25, 446–457. [Google Scholar] [CrossRef]
- Sandamalika, W.G.; Priyathilaka, T.T.; Lee, S.; Yang, H.; Lee, J. Immune and xenobiotic responses of glutathione S-transferase theta (GST-θ) from marine invertebrate disk abalone (Haliotis discus discus): With molecular characterization and functional analysis. Fish Shellfish Immunol. 2019, 91, 159–171. [Google Scholar] [CrossRef]
- Wang, W.T.; Liao, S.F.; Wu, Z.L.; Chang, C.W.; Wu, J.Y. Simultaneous study of antioxidant activity, DNA protection and anti-inflammatory effect of Vernonia amygdalina leaves extracts. PLoS ONE 2020, 15, e0235717. [Google Scholar] [CrossRef]
- Sandamalika, W.G.; Kwon, H.; Lim, C.; Yang, H.; Lee, J. The possible role of catalase in innate immunity and diminution of cellular oxidative stress: Insights into its molecular characteristics, antioxidant activity, DNA protection, and transcriptional regulation in response to immune stimuli in yellowtail clownfish (Amphiprion clarkii). Fish Shellfish Immunol. 2021, 113, 106–117. [Google Scholar]
- Naqvi, S.A.R.; Nadeem, S.; Komal, S.; Naqvi, S.A.A.; Mubarik, M.S.; Qureshi, S.Y.; Ahmad, S.; Abbas, A.; Zahid, M.; Raza, S.S.; et al. Antioxidants: Natural antibiotics. In Antioxidants; IntechOpen: London, UK, 2019. [Google Scholar] [CrossRef]
- Lu, X.; Wang, C.; Liu, B. The role of Cu/Zn-SOD and Mn-SOD in the immune response to oxidative stress and pathogen challenge in the clam Meretrix meretrix. Fish Shellfish Immunol. 2015, 42, 58–65. [Google Scholar] [CrossRef]
- Kim, K.M.; Ki, S.H. Nrf2: A key regulator of redox signaling in liver diseases. In Liver Pathophysiology; Academic Press: Cambridge, MA, USA, 2017; pp. 355–374. [Google Scholar]
- Das, A.; Sahoo, P.K.; Mohanty, B.R.; Jena, J.K. Pathophysiology of experimental Aeromonas hydrophila infection in Puntius sarana: Early changes in blood and aspects of the innate immune-related gene expression in survivors. Vet. Immunol. Immunopathol. 2011, 142, 207–218. [Google Scholar] [CrossRef] [PubMed]
- Forsyth, R.B.; Candido, E.P.M.; Babich, S.L.; Iwama, G.K. Stress protein expression in coho salmon with bacterial kidney disease. J. Aquat. Anim. Health 1997, 9, 18–25. [Google Scholar] [CrossRef]
- Ackerman, P.A.; Iwama, G.K. Physiological and cellular stress responses of juvenile rainbow trout to vibriosis. J. Aquat. Anim. Health 2001, 13, 173–180. [Google Scholar] [CrossRef]
- Deane, E.E.; Li, J.; Woo, N.Y. Modulated heat shock protein expression during pathogenic Vibrio alginolyticus stress of sea bream. Dis. Aquat. Organ. 2004, 62, 205–215. [Google Scholar] [CrossRef] [PubMed]











| Target Gene | Primer Sequence 5′-3′ | Size of PCR Amplicon (bp) | Optimum Annealing Tempera-Ture (°C) | Reference or Accession No. of Target Gene |
|---|---|---|---|---|
| RoCATCDs | F-CATGGCAGACAGAGATAAG R-TCACATCTTAGAAGCTGCA | 1.2 kb | 52 | MN190714 |
| RoCuZnSODCDs | F-CATGGTGAAGAAGGCTGTT R-TCATCAGTGGGCTAAGTGC | 536 | 56 | MN190715 |
| RoGPX-1CDs | F-TTCGGAGTGCGTAGTAAAC R-GCTTATTTCACCCTCTTCAG | 610 | 56 | MN190717 |
| RoGSTmu CDs | F-ATGAAATTGGCTTACTGGGA R-GTTTCACTCCTTCTTGTTTCC | 657 | 56 | MN190716 |
| RoCATRT | F-ACCTCTACAACGCCATCT R-ATTCCACTTCCAGTTCTCAG | 190 | 56 | MN190714 |
| RoCuZNSODRT | F-ACGGTGGACCAACTGATA R-CAAGTCATCCTCCTTCTCAT | 167 | 56 | MN190715 |
| RoGPX-1RT | F-AGGAGAACAGCAAGAATGAA R-CAATGTCGATGGTGAGGAA | 313 | 56 | MN190717 |
| RoGSTmuRT | F-GAAGAAGAGCAGACGAGAG R-TGTCACCAAGGAAGTTAGAG | 160 | 52 | MN190716 |
| β-actin | F-TTGGCAATGAGAAGGTTCAGGT R-TTGGCATACAGGTCCTTACGG | 139 | 56 | [70] |
| GAPDH | F-AACTCACCAAGTTTTGCGACAG R-AGGTGGGAACAGGAATGCTAAG | 145 | 56 | [71] |
| Nrf2 | F-CTGTCAGGTTCTCAGGATTG R-CACGATATGATCCAGCTTTC | 410 | 54 | Self designed |
| HSP70 | F-CTACTCGGACAATCAGCC R-GGAATGCCAATCAACTCA | 105 | 54 | [60] |
| APOA1 | F-TGGAGGCTGTGCGTGTA R-GCTCGCCCAGTTCATTC | 164 | 59 | [72] |
| LysoG | F-AAAGCAAATTCCCTCGTCGTG R-GGTTCTGGCATCGATATTCT | 230 | 54 | [61] |
| Antioxidant Genes | NCBI Accession Number | Complete ORF (in Base Pair) | Encoded Protein (in Amino Acids) | Molecular Weight of the Protein (in KDa) | Isoelectric Point (pI) | SignalP (Signal Peptide) |
|---|---|---|---|---|---|---|
| LrGPX-1 | MN190717 | 429 | 142 | 16.46 | 5.66 | No |
| LrGST-mu | MN190716 | 654 | 217 | 25.75 | 5.87 | No |
| LrCuZnSOD | MN190715 | 465 | 154 | 15.92 | 5.79 | No |
| LrCAT | MN190714 | 525 | 525 | 59.57 | 6.53 | No |
Disclaimer/Publisher’s Note: The statements, opinions and data contained in all publications are solely those of the individual author(s) and contributor(s) and not of MDPI and/or the editor(s). MDPI and/or the editor(s) disclaim responsibility for any injury to people or property resulting from any ideas, methods, instructions or products referred to in the content. |
© 2023 by the authors. Licensee MDPI, Basel, Switzerland. This article is an open access article distributed under the terms and conditions of the Creative Commons Attribution (CC BY) license (https://creativecommons.org/licenses/by/4.0/).
Share and Cite
Parida, S.; Sahoo, P.K. Antioxidant Defence in Labeo rohita to Biotic and Abiotic Stress: Insight from mRNA Expression, Molecular Characterization and Recombinant Protein-Based ELISA of Catalase, Glutathione Peroxidase, CuZn Superoxide Dismutase, and Glutathione S-Transferase. Antioxidants 2024, 13, 18. https://doi.org/10.3390/antiox13010018
Parida S, Sahoo PK. Antioxidant Defence in Labeo rohita to Biotic and Abiotic Stress: Insight from mRNA Expression, Molecular Characterization and Recombinant Protein-Based ELISA of Catalase, Glutathione Peroxidase, CuZn Superoxide Dismutase, and Glutathione S-Transferase. Antioxidants. 2024; 13(1):18. https://doi.org/10.3390/antiox13010018
Chicago/Turabian StyleParida, Sonali, and Pramoda Kumar Sahoo. 2024. "Antioxidant Defence in Labeo rohita to Biotic and Abiotic Stress: Insight from mRNA Expression, Molecular Characterization and Recombinant Protein-Based ELISA of Catalase, Glutathione Peroxidase, CuZn Superoxide Dismutase, and Glutathione S-Transferase" Antioxidants 13, no. 1: 18. https://doi.org/10.3390/antiox13010018
APA StyleParida, S., & Sahoo, P. K. (2024). Antioxidant Defence in Labeo rohita to Biotic and Abiotic Stress: Insight from mRNA Expression, Molecular Characterization and Recombinant Protein-Based ELISA of Catalase, Glutathione Peroxidase, CuZn Superoxide Dismutase, and Glutathione S-Transferase. Antioxidants, 13(1), 18. https://doi.org/10.3390/antiox13010018
