How We Treat Drug-Susceptible Pulmonary Tuberculosis: A Practical Guide for Clinicians
Abstract
1. Introduction
2. Materials and Methods
3. Case Vignette: Introduction
3.1. Recommendation in Reference to the Clinical Case
Epidemiology and Typical Clinical Manifestation
3.2. Case Vignette: Diagnostic and Management
3.2.1. Recommendation in Reference to the Clinical Case
3.2.2. Microbiological Findings
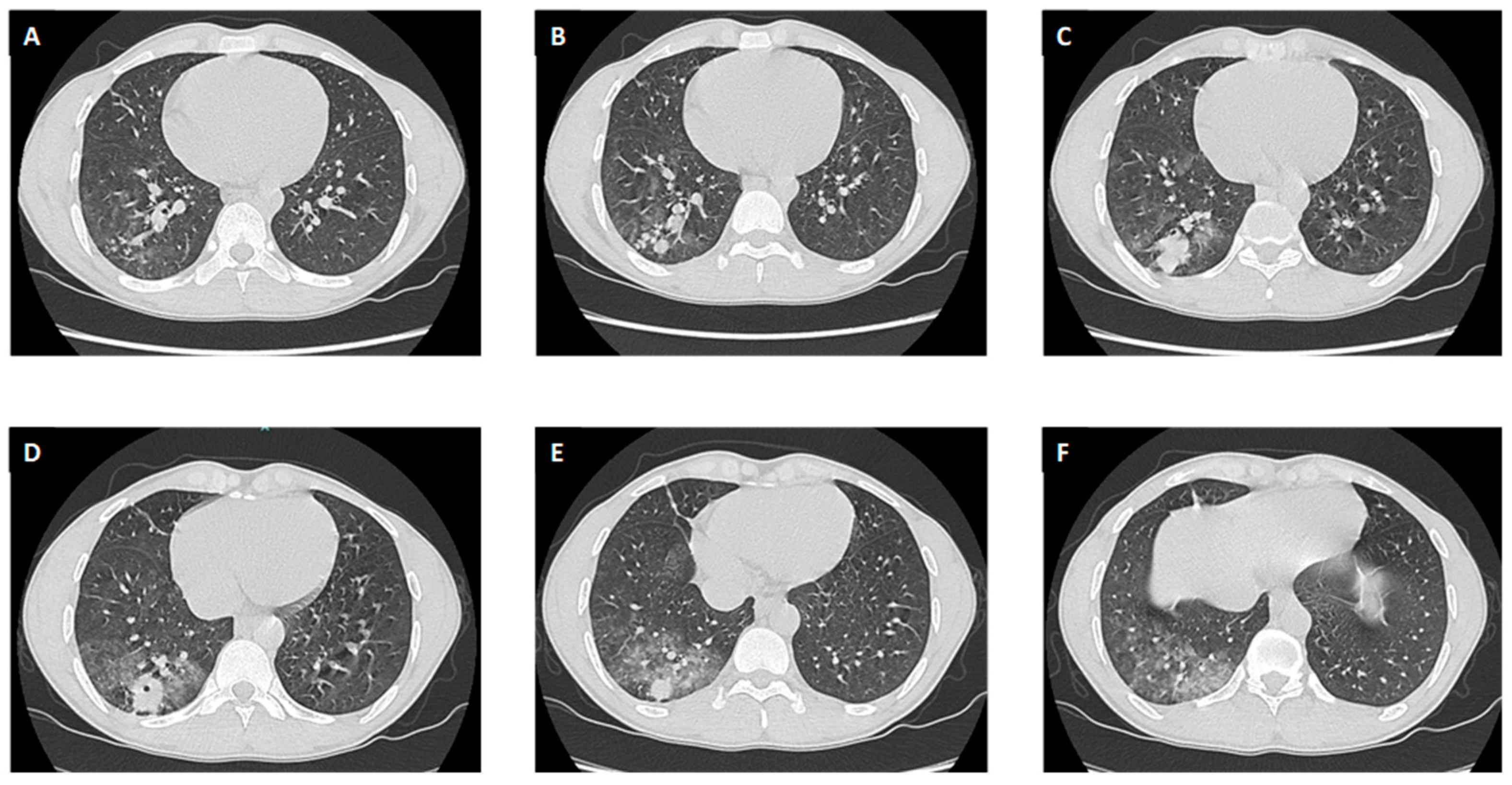
3.2.3. Radiological Findings
3.2.4. Screening for Co-Infections and Underlying Medical Conditions
3.2.5. Outpatient Management
3.3. Case Vignette: Treatment
3.3.1. Recommendation in Reference to the Clinical Case
3.3.2. Treatment Indications
3.4. Case Vignette: Treatment Monitoring and Integrated Follow-Up
3.4.1. Recommendation in Reference to the Clinical Case
3.4.2. Treatment Monitoring and Integrated Follow-Up
3.4.3. Monitoring of Anti-TB Treatment Side Effects
3.4.4. TB-IRIS and Paradoxical IRIS
4. Discussion
5. Conclusions
Author Contributions
Funding
Institutional Review Board Statement
Informed Consent Statement
Data Availability Statement
Acknowledgments
Conflicts of Interest
References
- WHO. WHO Consolidated Guidelines on Tuberculosis. Module 2: Screening—Systematic Screening for Tuberculosis Disease; Licence: CC BY-NC-SA 3.0 IGO; WHO: Geneva, Switzerland, 2021. [Google Scholar]
- WHO. Global Tuberculosis Report 2023; Licence: CC BY-NC-SA 3.0 IGO; World Health Organization: Geneva, Switzerland, 2023. [Google Scholar]
- Riccardi, N.; Canetti, D.; Martini, M.; Diaw, M.M.; DIBiagio, A.; Codecasa, L.; Barberis, I.; Bragazzi, N.L.; Besozzi, G. The evolution of a neglected disease: Tuberculosis discoveries in the centuries. J. Prev. Med. Hyg. 2020, 30, E9–E12. [Google Scholar] [CrossRef]
- Rasanathan, K.; Kurup, A.S.; Jaramillo, E.; Lönnroth, K. The social determinants of health: Key to global tuberculosis control. Int. J. Tuberc. Lung Dis. 2011, 15 (Suppl. S2), 30–36. [Google Scholar] [CrossRef]
- Holmes, K.K.; Bertozzi, S.; Bloom, B.R.; Jha, P. Tuberculosis. Major Infectious Diseases, 3rd ed.; The International Bank for Reconstruction and Development/The World Bank: Washington, DC, USA, 2017; p. 201. [Google Scholar]
- A Menzies, N.; Wolf, E.; Connors, D.; Bellerose, M.; Sbarra, A.N.; Cohen, T.; Hill, A.N.; Yaesoubi, R.; Galer, K.; White, P.J.; et al. Progression from latent infection to active disease in dynamic tuberculosis transmission models: A systematic review of the validity of modelling assumptions. Lancet Infect. Dis. 2018, 18, e228–e238. [Google Scholar] [CrossRef] [PubMed]
- Frascella, B.; Richards, A.S.; Sossen, B.; Emery, J.C.; Odone, A.; Law, I.; Onozaki, I.; Esmail, H.; Houben, R.M.G.J. Subclinical Tuberculosis Disease—A Review and Analysis of Prevalence Surveys to Inform Definitions, Burden, Associations, and Screening Methodology. Clin. Infect. Dis. 2021, 73, e830–e841. [Google Scholar] [CrossRef]
- Hayashi, S.; Chandramohan, D. Risk of active tuberculosis among people with diabetes mellitus: Systematic review and meta-analysis. Trop. Med. Int. Health 2018, 23, 1058–1070. [Google Scholar] [CrossRef] [PubMed]
- Churchyard, G.J.; Ehrlich, R.; teWaterNaude, J.M.; Pemba, L.; Dekker, K.; Vermeijs, M.; White, N.; Myers, J. Silicosis prevalence and exposure-response relations in South African goldminers. Occup. Environ. Med. 2004, 61, 811–816. [Google Scholar] [CrossRef] [PubMed]
- Inghammar, M.; Ekbom, A.; Engström, G.; Ljungberg, B.; Romanus, V.; Löfdahl, C.G.; Egesten, A. COPD and the risk of tuberculosis–a population-based cohort study. PLoS ONE 2010, 5, e10138. [Google Scholar] [CrossRef]
- Uplekar, M.; Weil, D.; Lonnroth, K.; Jaramillo, E.; Lienhardt, C.; Dias, H.M.; Falzon, D.; Floyd, K.; Gargioni, G.; Getahun, H.; et al. WHO’s new End TB Strategy. Lancet 2015, 385, 1799–1801. [Google Scholar] [CrossRef]
- Implementing the end TB strategy: The essentials, 2022 update. 16 December 2022; Licence: CC BY-NC-SA 3.0 IGO.
- Riccardi, N.; Canetti, D.; Rodari, P.; Besozzi, G.; Saderi, L.; Dettori, M.; Codecasa, L.R.; Sotgiu, G. Tuberculosis and pharmacological interactions: A narrative review. Curr. Res. Pharmacol. Drug Discov. 2020, 2, 100007. [Google Scholar] [CrossRef] [PubMed]
- Guidelines for Treatment of Drug-Susceptible Tuberculosis and Patient Care, 2017 Update (WHO/ HTM/TB/2017.05); World Health Organization: Geneva, Switzerland, 2017; Available online: https://apps.who.int/iris/bitstream/handle/10665/255052/9789241550000-eng.pdf?sequence=1 (accessed on 16 November 2023).
- WHO. WHO Consolidated Guidelines on Tuberculosis. Module 4: Treatment. Tuberculosis Care and Support; Licence: CC BY-NC-SA 3.0 IGO; World Health Organization: Geneva, Switzerland, 2022. [Google Scholar]
- Ghazy, R.M.; El Saeh, H.M.; Abdulaziz, S.; Hammouda, E.A.; Elzorkany, A.M.; Khidr, H.; Zarif, N.; Elrewany, E.; ElHafeez, S.A. A systematic review and meta-analysis of the catastrophic costs incurred by tuberculosis patients. Sci. Rep. 2022, 12, 558. [Google Scholar] [CrossRef]
- WHO. National Surveys of Costs Faced by TB Patients and Their Households, 2015–2021; In Press; World Health Organization: Geneva, Switzerland, 2023. [Google Scholar]
- Hoog, A.V.; Viney, K.; Biermann, O.; Yang, B.; Leeflang, M.M.; Langendam, M.W. Symptom- and chest-radiography screening for active pulmonary tuberculosis in HIV-negative adults and adults with unknown HIV status. Cochrane Database Syst. Rev. 2022, 3, CD010890. [Google Scholar] [CrossRef]
- Gonçalves, B.D.D.; Passos, S.R.L.; Dos Santos, M.A.B.; De Andrade, C.A.F.; Martins, M.D.F.M.; Mello, F.C.D.Q. Systematic review with meta-analyses and critical appraisal of clinical prediction rules for pulmonary tuberculosis in hospitals. Infect. Control. Hosp. Epidemiol. 2015, 36, 204–213. [Google Scholar] [CrossRef]
- Holt, E. Tuberculosis services disrupted by war in Ukraine. Lancet Infect. Dis. 2022, 22, E129. [Google Scholar] [CrossRef] [PubMed]
- Sotgiu, G.; Solovic, I.; Zenner, D.; Tiberi, S.; Manika, K.; Celan, C.; Chorostowska-Wynimko, J.; Zumla, A.; Migliori, G.B. The war in Ukraine and potential consequences for the TB epidemic in Europe. Int. J. Tuberc. Lung Dis. 2022, 26, 470–471. [Google Scholar] [CrossRef] [PubMed]
- Matucci, T.; Riccardi, N.; Occhineri, S.; Pontarelli, A.; Tiseo, G.; Falcone, M.; Puci, M.; Saderi, L.; Sotgiu, G. Treatment of latent tuberculosis infection in incarcerated people: A systematic review. Clin. Microbiol. Infect. 2023, 29, 714–721. [Google Scholar] [CrossRef] [PubMed]
- Marks, S.M.; Self, J.L.; Venkatappa, T.; Wolff, M.B.; Hopkins, P.B.; Augustine, R.J.; Khan, A.; Schwartz, N.G.; Schmit, K.M.; Morris, S.B. Diagnosis, Treatment, and Prevention of Tuberculosis Among People Experiencing Homelessness in the United States: Current Recommendations. Public Health Rep. 2023, 138, 896–907. [Google Scholar] [CrossRef]
- Riccardi, N.; Antonello, R.M.; Ferrarese, M.; Saderi, L.; Besozzi, G.; Sotgiu, G.; Codecasa, L. Tuberculosis in migrants: Epidemiology, resistance and outcome in Milan, Italy. Infect. Dis. 2023, 55, 543–550. [Google Scholar] [CrossRef]
- Dale, K.D.; Trauer, J.M.; Dodd, P.J.; Houben, R.M.G.J.; Denholm, J.T. Estimating Long-term Tuberculosis Reactivation Rates in Australian Migrants. Clin. Infect. Dis. 2020, 70, 2111–2118. [Google Scholar] [CrossRef]
- Erkens, C.; Tekeli, B.; van Soolingen, D.; Schimmel, H.; Verver, S. Recurrent tuberculosis in the Netherlands—A 24-year follow-up study, 1993 to 2016. Wkly. Releases 2022, 27, 2100183. [Google Scholar] [CrossRef]
- Ali, M.; Dosani, D.; Corbett, R.; Johansson, L.; Charif, R.; Kon, O.M.; Duncan, N.; Ashby, D. Diagnosis of tuberculosis in dialysis and kidney transplant patients. Hemodial. Int. 2022, 26, 361–368. [Google Scholar] [CrossRef]
- Harries, A.D.; Kumar, A.M.; Satyanarayana, S.; Lin, Y.; Zachariah, R.; Lönnroth, K.; Kapur, A. Addressing diabetes mellitus as part of the strategy for ending TB. Trans. R. Soc. Trop. Med. Hyg. 2016, 110, 173–179. [Google Scholar] [CrossRef]
- Simou, E.; Britton, J.; Leonardi-Bee, J. Alcohol consumption and risk of tuberculosis: A systematic review and meta-analysis. Int. J. Tuberc. Lung Dis. 2018, 22, 1277–1285. [Google Scholar] [CrossRef]
- Deiss, R.G.; Rodwell, T.C.; Garfein, R.S. Tuberculosis and illicit drug use: Review and update. Clin. Infect. Dis. 2009, 48, 72–82. [Google Scholar] [CrossRef]
- Moran, E.; Baharani, J.; Dedicoat, M.; Robinson, E.; Smith, G.; Bhomra, P.; Thien, O.; Ryan, R. Risk factors associated with the development of active tuberculosis among patients with advanced chronic kidney disease. J. Infect. 2018, 77, 291–295. [Google Scholar] [CrossRef]
- Uden, L.; Barber, E.; Ford, N.; Cooke, G.S. Risk of tuberculosis infection and disease for health care workers: An updated meta-analysis. Open Forum Infect. Dis. 2017, 4, ofx137. [Google Scholar] [CrossRef]
- WHO. WHO Consolidated Guidelines on Tuberculosis. Module 3: Diagnosis—Rapid Diagnostics for Tuberculosis Detection, 2021 up-date; Licence: CC BY-NC-SA 3.0 IGO; World Health Organization: Geneva, Switzerland, 2021. [Google Scholar]
- WHO Meeting Report of a Technical Expert Consultation: Non-Inferiority Analysis of Xpert MTB/RIF Ultra Compared to Xpert MTB/RIF (WHO/HTM/TB/2017.04); World Health Organization: Geneva, Switzerland, 2017; Available online: https://iris.who.int/bitstream/handle/10665/254792/WHO-HTM-TB-20;jsessionid=5%202D5C956DADE369AE677BE443C4DF574?sequence=1 (accessed on 15 December 2019).
- Lombardi, G.; Di Gregori, V.; Girometti, N.; Tadolini, M.; Bisognin, F.; Monte, P.D. Diagnosis of smear-negative tuberculosis is greatly improved by Xpert MTB/RIF. PLoS ONE 2017, 12, e0176186. [Google Scholar] [CrossRef]
- Garcia, S.B.; Perin, C.; da Silveira, M.M.; Vergani, G.; Menna-Barreto, S.S.; Dalcin, P.d.T.R. Bacteriological analysis of induced sputum for the diagnosis of pulmonary tuberculosis in the clinical practice of a general tertiary hospital. J. Bras. De Pneumol. 2009, 35, 1092–1099. [Google Scholar] [CrossRef]
- Zheng, H.; Zhong, F.; Yu, G.; Shen, Y. Comparison of the diagnostic efficacy of the CapitalBio Mycobacterium real-time polymerase chain reaction detection test and Xpert MTB/RIF in smear-negative pulmonary tuberculosis. Eur. J. Clin. Microbiol. Infect. Dis. 2021, 40, 969–977. [Google Scholar] [CrossRef]
- Luo, W.; Lin, Y.; Li, Z.; Wang, W.; Shi, Y. Comparison of sputum induction and bronchoscopy in diagnosis of sputum smear-negative pulmonary tuberculosis: A systemic review and meta-analysis. BMC Pulm. Med. 2020, 20, 146. [Google Scholar] [CrossRef]
- Esmail, H.; Macpherson, L.; Coussens, A.K.; Houben, R.M. Mind the gap—Managing tuberculosis across the disease spectrum. EBioMedicine 2022, 78, 103928. [Google Scholar] [CrossRef]
- Andreu, J.; Cáceres, J.; Pallisa, E.; Martinez-Rodriguez, M. Radiological manifestations of pulmonary tuberculosis. Eur. J. Radiol. 2004, 51, 139–149. [Google Scholar] [CrossRef]
- Unnewehr, M.; Meyer-Oschatz, F.; Friederichs, H.; Windisch, W.; Schaaf, B. Clinical and imaging factors that can predict contagiousness of pulmonary tuberculosis. BMC Pulm. Med. 2023, 23, 328. [Google Scholar] [CrossRef]
- Hailemariam, T.; Yimer, G.; Mohammed, H.; Bisrat, H.; Ajeme, T.; Belina, M.; Oljira, L.; Roba, K.T.; Belay, F.; Andrias, T.; et al. Chest X-ray predicts cases of pulmonary tuberculosis among women of reproductive age with acute respiratory symptoms: A multi-center cross-sectional study. J. Clin. Tuberc. Other Mycobact. Dis. 2023, 32, 100383. [Google Scholar] [CrossRef]
- Yadav, S.; Rawal, G.; Jeyaraman, M. Tuberculous Osteomyelitis of the Left Fifth Metatarsal and Phalanx Without Pulmonary Involvement: A First-of-Its-Type Report. Cureus 2023, 15, e40737. [Google Scholar] [CrossRef]
- Cherraqi, A.; El Haddad, S.; Abide, Z.; Messaoud, O.; Lrhorfi, N.; Allali, N.; Chat, L. Cerebral tuberculoma and convulsion in infants: A case report. Radiol. Case Rep. 2023, 18, 974–978. [Google Scholar] [CrossRef]
- Swamy, S.B.G.; Jaikumar, V.; Nagaraj, N.M.; Khandelwal, S. Intracranial giant tuberculoma: A 7-year institutional experience and literature review. Clin. Neurol. Neurosurg. 2023, 225, 107593. [Google Scholar] [CrossRef]
- Fang, W.; Fu, W.; Zhou, W.; He, L.; Cheng, X.; Mao, Z.; Liu, Q.; Lin, H. Discrimination between benign and malignant lung lesions using volumetric quantitative dynamic contrast-enhanced MRI. Curr. Med. Imaging 2023, 20, e270723219206. [Google Scholar] [CrossRef]
- Tonne, E.O.; Fosbøl, M.; Poulsen, A.; Nygaard, U.; Højgaard, L.; Borgwardt, L. Imaging modalities for pulmonary tuberculosis in children: A systematic review. Eur. J. Radiol. Open 2022, 10, 100472. [Google Scholar] [CrossRef]
- D’sa, L.; Pezzuto, F.; Lunardi, F.; Scalvenzi, F.; Tinè, M.; Comacchio, G.; Giraudo, C.; Calabrese, F. A Complex Case of Pulmonary Silico-Tuberculosis and Review of Literature. Diagnostics 2023, 13, 2728. [Google Scholar] [CrossRef]
- Grunewald, J.; Grutters, J.C.; Arkema, E.V.; Saketkoo, L.A.; Moller, D.R.; Müller-Quernheim, J. Sarcoidosis. Nat. Rev. Dis. Prim. 2019, 5, 45. [Google Scholar] [CrossRef]
- Naseer Khan, R.M.; Ahn, Y.M.; Marriner, G.A.; Via, L.E.; D’Hooge, F.; Lee, S.S.; Yang, N.; Basuli, F.; White, A.G.; Tomko, J.A.; et al. Distributable, Metabolic PET Reporting of Tuberculosis. bioRxiv 2023, bioRxiv:3:2023.04.03.535218. [Google Scholar] [CrossRef]
- Jain, S.K.; Andronikou, S.; Goussard, P.; Antani, S.; Gomez-Pastrana, D.; Delacourt, C.; Starke, J.R.; A Ordonez, A.; Jean-Philippe, P.; Browning, R.S.; et al. Advanced imaging tools for childhood tuberculosis: Potential applications and research needs. Lancet Infect. Dis. 2020, 20, e289–e297. [Google Scholar] [CrossRef]
- Richier, Q.; Guitard, J. Pulmonary Aspergilloma. N. Engl. J. Med. 2023, 389, 1132. [Google Scholar] [CrossRef]
- Tornu, E.; Jordan, P.; McCaul, M. Best practice guidelines for professional nurses to provide self-management support to adults with tuberculosis-human immunodeficiency virus coinfection: A scoping review. PLoS ONE 2023, 18, e0291529. [Google Scholar] [CrossRef]
- Bonsu, E.O.; Bonsu, E.O.; Addo, I.Y.; Addo, I.Y.; Adjei, B.N.; Adjei, B.N.; Alhassan, M.M.; Alhassan, M.M.; Nakua, E.K.; Nakua, E.K. Prevalence, treatment outcomes and determinants of TB–HIV coinfection: A 10-year retrospective review of TB registry in Kwabre East Municipality of Ghana. BMJ Open 2023, 13, e067613. [Google Scholar] [CrossRef]
- Ellis, J.; Bangdiwala, A.S.; Skipper, C.P.; Tugume, L.; Nsangi, L.; Matovu, J.; A Pastick, K.; Ssebambulidde, K.; Morawski, B.M.; Musubire, A.K.; et al. Baseline Cytomegalovirus Viremia at Cryptococcal Meningitis Diagnosis Is Associated With Long-term Increased Incident TB Disease and Mortality in a Prospective Cohort of Ugandan Adults With HIV. Open Forum Infect. Dis. 2023, 10, ofad449. [Google Scholar] [CrossRef]
- Carter, J.; Knights, F.; Deal, A.; Crawshaw, A.F.; E Hayward, S.; Hall, R.; Matthews, P.; Seedat, F.; Ciftci, Y.; Zenner, D.; et al. Multi-infection screening for migrant patients in UK primary care: Challenges and opportunities. J. Migr. Health 2023, 9, 100203. [Google Scholar] [CrossRef]
- Rubel, A.R.; Mani, B.I.; Kishore, P.V.; Chong, V.H. Pulmonary tuberculosis and melioidosis coinfection in Brunei Darussalam: The importance of awareness and screening. West. Pac. Surveill. Response 2022, 13, 43–48. [Google Scholar] [CrossRef]
- INMP; ISS e SIMM. I Controlli Alla Frontiera, La Frontiera Dei Controlli; linee guida salute migranti; Istituto Superiore di Sanità: Rome, Italy, 2023. [Google Scholar]
- Kibirige, D.; Andia-Biraro, I.; Olum, R.; Adakun, S.; Zawedde-Muyanja, S.; Sekaggya-Wiltshire, C.; Kimuli, I. Metabolic characterisation of adult Ugandan patients with TB and diabetes mellitus comorbidity. Int. J. Tuberc. Lung Dis. 2023, 27, 944–945. [Google Scholar] [CrossRef]
- Chopra, K.K.; Malik, A.; Indora, A.; Pandey, P.; Pandey, S. To study the occurrence of risk factors for pulmonary tuberculosis in the homeless population in areas of Delhi, India. Indian J. Tuberc. 2023, 70, 356–360. [Google Scholar] [CrossRef]
- Kerama, C.; Horne, D.; Ong’ang’o, J.; Anzala, O. Rethinking the syndemic of tuberculosis and dysglycaemia: A Kenyan perspective on dysglycaemia as a neglected risk factor for tuberculosis. Bull. Natl. Res. Cent. 2023, 47, 53. [Google Scholar] [CrossRef]
- Shahanikelaki, M.; Mohammadi, M.; Mohammadi, A.; Moradians, V. Coinfection of pulmonary tuberculosis and mucormycosis in a patient with poor controlled diabetes mellitus: A case report. Radiol. Case Rep. 2023, 18, 4202–4205. [Google Scholar] [CrossRef] [PubMed]
- Ouedraogo, D.; Cissoko, Y.; Soumare, M.; Akakpo, A.E.A.; Loua, O.-O.; Konate, I.; Doumbo, S.N.; Dao, S. Neuromeningeal Cryptococcosis and Tuberculosis Coinfection in Bamako: A One-Year Case Series. Open Forum Infect. Dis. 2023, 10, ofad438. [Google Scholar] [CrossRef] [PubMed]
- Muni, S.; Rajpal, K.; Kumar, R.; Kumari, R.; Sinha, R.; Kumar, S.; Kumari, N. Identification of Fungal Isolates in Patients With Pulmonary Tuberculosis Treated at a Tertiary Care Hospital. Cureus 2023, 15, e37664. [Google Scholar] [CrossRef] [PubMed]
- Zhang, H.; Liu, G.; He, L.; Zhu, Y.; Tu, H.; Zhuang, S. Life-threatening pulmonary coinfection with Mycobacterium tuberculosis and Aspergillus lentulus in a diabetic patient diagnosed by metagenome next-generation sequencing. BMC Infect. Dis. 2023, 23, 53. [Google Scholar] [CrossRef] [PubMed]
- Dias, S.C.P.; Seabra, B.; Ferreira, J.; Alves, V.; Cabrita, B.; Fernandes, A.L.; Amado, J. Inpatient versus outpatient approach in tuberculosis. Eur. Respir. J. 2020, 56, 485. [Google Scholar] [CrossRef]
- WHO. WHO Consolidated Guidelines on Tuberculosis. Module 4: Treatment—Drug-Susceptible Tuberculosis Treatment; Licence: CC BY-NC-SA 3.0 IGO; World Health Organization: Geneva, Switzerland, 2022. [Google Scholar]
- Fox, W.; A Ellard, G.; A Mitchison, D. Studies on the treatment of tuberculosis undertaken by the British Medical Research Council tuberculosis units, 1946-1986, with relevant subsequent publications. Int. J. Tuberc. Lung Dis. 1999, 3 (Suppl. S2), S231–S279. [Google Scholar] [PubMed]
- Johnson, J.L.; Hadad, D.J.; Dietze, R.; Maciel, E.L.N.; Sewali, B.; Gitta, P.; Okwera, A.; Mugerwa, R.D.; Alcaneses, M.R.; Quelapio, M.I.; et al. Shortening Treatment in Adults with Noncavitary Tuberculosis and 2-Month Culture Conversion. Am. J. Respir. Crit. Care Med. 2009, 180, 558–563. [Google Scholar] [CrossRef]
- Swaminathan, S.; Narendran, G.; Venkatesan, P.; Iliayas, S.; Santhanakrishnan, R.; Menon, P.A.; Padmapriyadarsini, C.; Ramachandran, R.; Chinnaiyan, P.; Suhadev, M.; et al. Efficacy of a 6-month versus 9-month intermittent treatment regimen in HIV-infected patients with tuberculosis: A randomized clinical trial. Am. J. Respir. Crit. Care Med. 2010, 181, 743–751. [Google Scholar] [CrossRef]
- Gillespie, S.H.; Crook, A.M.; McHugh, T.D.; Mendel, C.M.; Meredith, S.K.; Murray, S.R.; Pappas, F.; Phillips, P.P.J.; Nunn, A.J. Four-month moxifloxacin-based regimens for drug-sensitive tuberculosis. N. Engl. J. Med. 2014, 371, 1577–1587. [Google Scholar] [CrossRef]
- MacIntyre, C.R.; Goebel, K.; Brown, G.V.; Skull, S.; Starr, M.; O Fullinfaw, R. A randomised controlled clinical trial of the efficacy of family-based direct observation of anti-tuberculosis treatment in an urban, developed-country setting. Int. J. Tuberc. Lung Dis. 2003, 7, 848–854. [Google Scholar]
- Wagnew, F.; Gray, D.; Tsheten, T.; Kelly, M.; A Clements, A.C.; Alene, K.A. Effectiveness of nutritional support to improve treatment adherence in patients with tuberculosis: A systematic review. Nutr. Rev. 2023, 27, nuad120. [Google Scholar] [CrossRef]
- Bhargava, A.; Bhargava, M.; Meher, A.; Teja, G.S.; Velayutham, B.; Watson, B.; Benedetti, A.; Barik, G.; Singh, V.P.; Singh, D.; et al. Nutritional support for adult patients with microbiologically confirmed pulmonary tuberculosis: Outcomes in a programmatic cohort nested within the RATIONS trial in Jharkhand, India. Lancet Glob. Health 2023, 11, e1402–e1411. [Google Scholar] [CrossRef]
- Li, A.; Yuan, S.-Y.; Li, Q.-G.; Li, J.-X.; Yin, X.-Y.; Liu, N.-N. Prevalence and risk factors of malnutrition in patients with pulmonary tuberculosis: A systematic review and meta-analysis. Front. Med. 2023, 10, 1173619. [Google Scholar] [CrossRef]
- Yee, D.; Valiquette, C.; Pelletier, M.; Parisien, I.; Rocher, I.; Menzies, D. Incidence of Serious Side Effects from First-Line Antituberculosis Drugs among Patients Treated for Active Tuberculosis. Am. J. Respir. Crit. Care Med. 2003, 167, 1472–1477. [Google Scholar] [CrossRef]
- Snider, D.E.; Caras, G.J. Isoniazid-associated Hepatitis Deaths: A Review of Available Information. Am. Rev. Respir. Dis. 1992, 145, 494–497. [Google Scholar] [CrossRef]
- Burman, W.J.; Reves, R.R. Hepatotoxicity from rifampin plus pyrazinamide: Lessons for policymakers and messages for care providers. Am. J. Respir. Crit. Care Med. 2001, 164, 1112–1113. [Google Scholar] [CrossRef]
- Schaberg, T.; Rebhan, K.; Lode, H. Risk factors for side-effects of isoniazid, rifampin and pyrazinamide in patients hospitalized for pulmonary tuberculosis. Eur. Respir. J. 1996, 9, 2026–2030. [Google Scholar] [CrossRef]
- Kwon, B.S.; Kim, Y.; Lee, S.H.; Lim, S.Y.; Lee, Y.J.; Park, J.S.; Cho, Y.-J.; Yoon, H.I.; Lee, C.-T.; Lee, J.H. The high incidence of severe adverse events due to pyrazinamide in elderly patients with tuberculosis. PLoS ONE 2020, 15, e0236109. [Google Scholar] [CrossRef] [PubMed]
- Treatment of Tuberculosis in Renal Disease in Adults Guideline; Version 5.0; Queensland Health: Brisbane, QLD, Australia, 2023.
- Sarkar, T.; Riccardi, N.; Wagh, H.; Udwadia, Z.F. Safety of Rifabutin in patients with rifampicin-induced thrombocytopenia. Lung India 2020, 37, 455–456. [Google Scholar] [CrossRef] [PubMed]
- Alemu, A.; Bitew, Z.W.; Diriba, G.; Seid, G.; Moga, S.; Abdella, S.; Gashu, E.; Eshetu, K.; Tollera, G.; Dangisso, M.H.; et al. Poor treatment outcome and associated risk factors among patients with isoniazid mono-resistant tuberculosis: A systematic review and meta-analysis. PLoS ONE 2023, 18, e0286194. [Google Scholar] [CrossRef] [PubMed]
- Girling, D.J.; Hitze, K.L. Adverse reactions to rifampicin. Bull. World Health Organ. 1979, 57, 45–49. [Google Scholar] [PubMed]
- Blajchman, M.A.; Lowry, R.C.; Pettit, J.E.; Stradling, P. Rifampicin-induced Immune Thrombocytopenia. BMJ 1970, 3, 24–26. [Google Scholar] [CrossRef]
- Beytout, Q.; Godefroy, N.; Monsel, G.; Jaureguiberry, S.; Caumes, E. Clinical management of anti-tuberculosis related cutaneous adverse drug reactions based on reintroduction. J. Travel Med. 2023, taad134. [Google Scholar] [CrossRef]
- Martínez, E.; Collazos, J.; Mayo, J. Hypersensitivity reactions to rifampin: Pathogenetic mechanisms, clinical manifestations, management strategies, and review of the anaphylactic-like reactions. Medicine 1999, 78, 361–369. [Google Scholar] [CrossRef]
- Aquinas, S.M.; Allan, W.G.L.; Horsfall, P.A.L.; Jenkins, P.K.; Hung-Yan, W.; Girling, D.; Tall, R.; Fox, W. Adverse reactions to daily and intermittent rifampicin regimens for pulmonary tuberculosis in Hong Kong. BMJ 1972, 1, 765–771. [Google Scholar] [CrossRef][Green Version]
- E Herchline, T. Ocular ethambutol toxicity. Mayo Clin. Proc. 2004, 79, 701. [Google Scholar] [CrossRef]
- Moulding, T. Isoniazid-associated hepatitis deaths: A review of available information. Am. Rev. Respir. Dis. 1992, 146, 1643–1644. [Google Scholar] [CrossRef]
- Bhargava, M.; Bhargava, A. Pyridoxine for patients suffering from drug-susceptible tuberculosis in India. Public Health Action 2018, 8, 97. [Google Scholar] [CrossRef]
- Badrinath, M.; John, S. Isoniazid Toxicity. 2022 Jun 27. In StatPearls [Internet]; StatPearls Publishing: Treasure Island, FL, USA, 2023. [Google Scholar]
- Goldman, A.L.; Braman, S.S. Isoniazid: A review with emphasis on adverse effects. Chest 1972, 62, 71–77. [Google Scholar] [CrossRef] [PubMed]
- Samouco, A.I.C.B.; Alves, S.P. Isoniazid-induced mania and the history of antidepressant drugs: Case report and literature review. Bipolar Disord. 2023, 25, 84–87. [Google Scholar] [CrossRef] [PubMed]
- Ramappa, V.; Aithal, G.P. Hepatotoxicity Related to Anti-tuberculosis Drugs: Mechanisms and Management. J. Clin. Exp. Hepatol. 2013, 3, 37–49. [Google Scholar] [CrossRef] [PubMed]
- Quinn, C.M.; Poplin, V.; Kasibante, J.; Yuquimpo, K.; Gakuru, J.; Cresswell, F.V.; Bahr, N.C. Tuberculosis IRIS: Pathogenesis, Presentation, and Management across the Spectrum of Disease. Life 2020, 10, 262. [Google Scholar] [CrossRef]
- Lanzafame, M.; Vento, S. Tuberculosis-immune reconstitution inflammatory syndrome. J. Clin. Tuberc. Other Mycobact. Dis. 2016, 3, 6–9. [Google Scholar] [CrossRef]
- Hao, X.; Lou, H.; Bai, J.; Ding, Y.; Yang, J.; Pan, W. Cost-effectiveness analysis of Xpert in detecting Mycobacterium tuberculosis: A systematic review. Int. J. Infect. Dis. 2020, 95, 98–105. [Google Scholar] [CrossRef]
- Dartois, V.A.; Rubin, E.J. Anti-tuberculosis treatment strategies and drug development: Challenges and priorities. Nat. Rev. Microbiol. 2022, 20, 685–701. [Google Scholar] [CrossRef]
- Albanna, A.S.; Smith, B.M.; Cowan, D.; Menzies, D. Fixed-dose combination antituberculosis therapy: A systematic review and meta-analysis. Eur. Respir. J. 2013, 42, 721–732. [Google Scholar] [CrossRef]
- Gallardo, C.R.; Comas, D.R.; Rodríguez, A.V.; Figuls, M.R.; Parker, L.A.; Caylà, J.; Cosp, X.B. Fixed-dose combinations of drugs versus single-drug formulations for treating pulmonary tuberculosis. Cochrane Database Syst. Rev. 2016, 2016, CD009913. [Google Scholar] [CrossRef]
- Blomberg, B.; Spinaci, S.; Fourie, B.; Laing, R. The rationale for recommending fixed-dose combination tablets for treatment of tuberculosis. Bull World Health Organ. 2001, 79, 61–68. Available online: https://www.ncbi.nlm.nih.gov/pmc/articles/PMC2566330/ (accessed on 3 March 2022).
- Ghimire, S.; Bolhuis, M.S.; Sturkenboom, M.G.; Akkerman, O.W.; de Lange, W.C.; van der Werf, T.S.; Alffenaar, J.-W.C. Incorporating therapeutic drug monitoring into the World Health Organization hierarchy of tuberculosis diagnostics. Eur. Respir. J. 2016, 47, 1867–1869. [Google Scholar] [CrossRef] [PubMed]
- Margineanu, I.; Akkerman, O.; Cattaneo, D.; Goletti, D.; Marriott, D.J.; Migliori, G.B.; Mirzayev, F.; Peloquin, C.A.; Stienstra, Y.; Alffenaar, J.-W. Practices of therapeutic drug monitoring in tuberculosis: An international survey. Eur. Respir. J. 2022, 59, 2102787. [Google Scholar] [CrossRef]
- Günther, G.; Guglielmetti, L.; Leu, C.; Lange, C.; van Leth, F.; Hafizi, H.; Khachatryan, N.; Aroyan, H.; Kabasakalyan, E.; Knappik, M.; et al. Availability and costs of medicines for the treatment of tuberculosis in Europe. Clin. Microbiol. Infect. 2023, 29, 77–84. [Google Scholar] [CrossRef]
- Guideline: Nutritional Care and Support for Patients with Tuberculosis; World Health Organization: Geneva, Switzerland, 2013; Available online: https://apps.who.int/iris/bitstream/handle/10665/94836/9789241506410_eng.pdf (accessed on 19 February 2021).
- Canetti, D.; Riccardi, N.; Martini, M.; Villa, S.; Di Biagio, A.; Codecasa, L.; Castagna, A.; Barberis, I.; Gazzaniga, V.; Besozzi, G. HIV and tuberculosis: The paradox of dual illnesses and the challenges of their fighting in the history. Tuberculosis 2020, 122, 101921. [Google Scholar] [CrossRef]
- Sotgiu, G.; Centis, R.; Migliori, G.B. Post-tuberculosis sequelae and their socioeconomic consequences: Worth investigating. Lancet Glob. Health 2021, 9, e1628–e1629. [Google Scholar] [CrossRef]
- Hargreaves, J.R.; Boccia, D.; Evans, C.A.; Adato, M.; Petticrew, M.; Porter, J.D.H. The social determinants of tuberculosis: From evidence to action. Am. J. Public Health 2011, 101, 654–662. [Google Scholar] [CrossRef]
- Jaramillo, E. Tuberculosis and stigma: Predictors of prejudice against people with tuberculosis. J. Health Psychol. 1999, 4, 71–79. [Google Scholar] [CrossRef]
- Faccini, M.; Cantoni, S.; Ciconali, G.; Filipponi, M.T.; Mainardi, G.; Marino, A.F.; Senatore, S.; Codecasa, L.R.; Ferrarese, M.; Gesu, G.; et al. Tuberculosis-related stigma leading to an incomplete contact investigation in a low-incidence country. Epidemiol. Fection 2015, 143, 2841–2848. [Google Scholar] [CrossRef] [PubMed]
- Dobler, C.C.; Codecasa, L.R. Tuberculosis and migration. In Essential Tuberculosis; Springer: Berlin/Heidelberg, Germany, 2021; pp. 203–211. [Google Scholar]
- Horter, S.; Daftary, A.; Keam, T.; Bernays, S.; Bhanushali, K.; Chavan, D.; Denholm, J.; Furin, J.; Jaramillo, E.; Khan, A.; et al. Person-centred care in TB. Int. J. Tuberc. Lung Dis. 2021, 25, 784–787. [Google Scholar] [CrossRef]
- Canetti, D.; Antonello, R.M.; Saderi, L.; Giro, M.; Goletti, D.; Sarmati, L.; Rodari, P.; Bocchino, M.; Schirò, M.; Riccardi, N.; et al. Impact of SARS-CoV-2 infection on tuberculosis outcome and follow-up in Italy during the first COVID-19 pandemic wave: A nationwide online survey. Infez Med. 2022, 30, 418–426. [Google Scholar] [CrossRef] [PubMed]
- Migliori, G.B.; Thong, P.M.; Akkerman, O.; Alffenaar, J.-W.; Álvarez-Navascués, F.; Assao-Neino, M.M.; Bernard, P.V.; Biala, J.S.; Blanc, F.-X.; Bogorodskaya, E.M.; et al. Worldwide effects of Coronavirus disease pandemic on tuberculosis services, January–April 2020. Emerg. Infect. Dis. 2020, 26, 2709–2712. [Google Scholar] [CrossRef] [PubMed]
- Global Tuberculosis Network; TB/COVID-19 Global Study Group; Casco, N.; Jorge, A.L.; Palmero, D.J.; Alffenaar, J.-W.; Fox, G.J.; Ezz, W.; Cho, J.-G.; Denholm, J.; et al. Long-term outcomes of the global tuberculosis and COVID-19 co-infection cohort. Eur. Respir. J. 2023, 62, 2300925. [Google Scholar] [CrossRef]
- Dheda, K.; Perumal, T.; Moultrie, H.; Perumal, R.; Esmail, A.; Scott, A.J.; Udwadia, Z.; Chang, K.C.; Peter, J.; Pooran, A.; et al. The intersecting pandemics of tuberculosis and COVID-19: Population-level and patient-level impact, clinical presentation, and corrective interventions. Lancet Respir. Med. 2022, 10, 603–622. [Google Scholar] [CrossRef]
- Ho, J.; Byrne, A.L.; Linh, N.N.; Jaramillo, E.; Fox, G.J. Decentralized care for multidrug-resistant tuberculosis: A systematic review and meta-analysis. Bull. World Health Organ. 2017, 95, 584–593. [Google Scholar] [CrossRef]
- Sehgal, I.S.; Dhooria, S.; Muthu, V.; Salzer, H.J.; Agarwal, R. Burden, clinical features, and outcomes of post-tuberculosis chronic obstructive lung diseases. Curr. Opin. Pulm. Med. 2023, 12, e062260. [Google Scholar] [CrossRef] [PubMed]
- Martinez-Garcia, M.A.; Guan, W.-J.; De-La-Rosa, D.; Athanazio, R.; Oscullo, G.; Shi, M.-X.; Pujal-Montaña, P.; Endlich, B.N.; Tiberi, S.; Centis, R.; et al. Post-TB bronchiectasis: From pathogenesis to rehabilitation. Int. J. Tuberc. Lung Dis. 2023, 27, 175–181. [Google Scholar] [CrossRef]
- Migliori, G.B.; Marx, F.M.; Ambrosino, N.; Zampogna, E.; Schaaf, H.S.; van der Zalm, M.M.; Allwood, B.; Byrne, A.L.; Mortimer, K.; Wallis, R.S.; et al. Clinical standards for the assessment, management and rehabilitation of post-TB lung disease. Int. J. Tuberc. Lung Dis. 2021, 25, 797–813. [Google Scholar] [CrossRef] [PubMed]
- Villa, S.; Riccardi, N.; Canetti, D.; Alagna, R.; Castellotti, P.; Ferrarese, M.; Cirillo, D.; Barberis, I.; Bragazzi, N.L.; Gazzaniga, V.; et al. From the past, a long way to future challenges for a greater control of tuberculosis. Tuberculosis 2020, 123, 101948. [Google Scholar] [CrossRef]



Disclaimer/Publisher’s Note: The statements, opinions and data contained in all publications are solely those of the individual author(s) and contributor(s) and not of MDPI and/or the editor(s). MDPI and/or the editor(s) disclaim responsibility for any injury to people or property resulting from any ideas, methods, instructions or products referred to in the content. |
© 2023 by the authors. Licensee MDPI, Basel, Switzerland. This article is an open access article distributed under the terms and conditions of the Creative Commons Attribution (CC BY) license (https://creativecommons.org/licenses/by/4.0/).
Share and Cite
Riccardi, N.; Occhineri, S.; Vanino, E.; Antonello, R.M.; Pontarelli, A.; Saluzzo, F.; Masini, T.; Besozzi, G.; Tadolini, M.; Codecasa, L.; et al. How We Treat Drug-Susceptible Pulmonary Tuberculosis: A Practical Guide for Clinicians. Antibiotics 2023, 12, 1733. https://doi.org/10.3390/antibiotics12121733
Riccardi N, Occhineri S, Vanino E, Antonello RM, Pontarelli A, Saluzzo F, Masini T, Besozzi G, Tadolini M, Codecasa L, et al. How We Treat Drug-Susceptible Pulmonary Tuberculosis: A Practical Guide for Clinicians. Antibiotics. 2023; 12(12):1733. https://doi.org/10.3390/antibiotics12121733
Chicago/Turabian StyleRiccardi, Niccolò, Sara Occhineri, Elisa Vanino, Roberta Maria Antonello, Agostina Pontarelli, Francesca Saluzzo, Tiziana Masini, Giorgio Besozzi, Marina Tadolini, Luigi Codecasa, and et al. 2023. "How We Treat Drug-Susceptible Pulmonary Tuberculosis: A Practical Guide for Clinicians" Antibiotics 12, no. 12: 1733. https://doi.org/10.3390/antibiotics12121733
APA StyleRiccardi, N., Occhineri, S., Vanino, E., Antonello, R. M., Pontarelli, A., Saluzzo, F., Masini, T., Besozzi, G., Tadolini, M., Codecasa, L., & on behalf of StopTB Italia. (2023). How We Treat Drug-Susceptible Pulmonary Tuberculosis: A Practical Guide for Clinicians. Antibiotics, 12(12), 1733. https://doi.org/10.3390/antibiotics12121733

