Exposure to Treponema pallidum Alters Villous Histomorphology of Human Placentae
Abstract
1. Introduction
2. Materials and Methods
2.1. Study Design and Study Site
2.2. Placenta Sampling and Grouping
2.3. Immunoassay for Detection of Treponema pallidum IgG and IgM
2.4. Tissue Slicing and Processing
2.5. Sectioning of Placenta Tissue Samples
2.6. Stereological Studies
2.6.1. Sampling of Photomicrographs of Placenta Sections
2.6.2. Stereological Study of Placental Photomicrographs
2.7. Statistical Analysis
2.8. Ethical Consideration
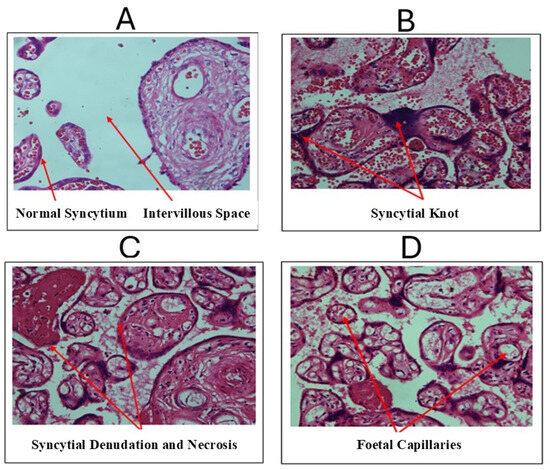
3. Results
4. Discussion
5. Limitation
6. Conclusions
Author Contributions
Funding
Institutional Review Board Statement
Informed Consent Statement
Data Availability Statement
Acknowledgments
Conflicts of Interest
References
- World Health Organization. Annex 1: Key Data at a Glance. In Progress Report on HIV, Viral Hepatitis and Sexually Transmitted Infections, 2019; World Health Organization: Geneva, Switzerland, 2019; Available online: https://pesquisa.bvsalud.org/portal/resource/pt/who-326037 (accessed on 19 June 2025).
- Hussen, S.; Tadesse, B.T. Prevalence of Syphilis among Pregnant Women in Sub-Saharan Africa: A Systematic Review and Meta-Analysis. BioMed Res. Int. 2019, 1, 1–10. [Google Scholar] [CrossRef]
- Smolak, A.; Rowley, J.; Nagelkerke, N.; Kassebaum, N.J.; Chico, R.M.; Korenromp, E.L.; Abu-Raddad, L.J. Trends and predictors of syphilis prevalence in the general population: Global pooled analyses of 1103 prevalence measures including 136 million syphilis tests. Clin. Infect. Dis. 2018, 66, 1184–1191. [Google Scholar] [CrossRef] [PubMed]
- Gulersen, M.; Lenchner, E.; Eliner, Y.; Grunebaum, A.; Johnson, L.; Chervenak, F.A.; Bornstein, E. Risk factors and adverse outcomes associated with syphilis infection during pregnancy. Am. J. Obstet. Gynecol. MFM 2023, 5, 100957. [Google Scholar] [CrossRef] [PubMed]
- Stafford, I.A.; Workowski, K.A.; Bachmann, L.H. Syphilis Complicating Pregnancy and Congenital Syphilis. N. Engl. J. Med. 2024, 390, 242–253. [Google Scholar] [CrossRef] [PubMed]
- Sadeep, M.S.; Sobhanakumari, K. Syphilis in pregnancy. J. Ski. Sex. Transm. Dis. 2023, 5, 6–13. [Google Scholar] [CrossRef]
- Jaiman, S. Gross Examination of the Placenta and Its Importance in Evaluating an Unexplained Intrauterine Fetal Demise. J. Fetal Med. 2015, 2, 113–120. [Google Scholar] [CrossRef][Green Version]
- Mumuni, M.; Adutwum-Ofosu, K.K.; Arko-Boham, B.; Hottor, B.A.; Koney, N.K.K.; Adu-Bonsaffoh, K.; Oppong, S.A.; Appiah, P.O.; Ahenkorah, J. Histomorphology of placentae of women with sickle cell disease during pregnancy—A case control study. PLoS ONE 2025, 20, e0319011. [Google Scholar] [CrossRef]
- Cohee, L.M.; Kalilani-Phiri, L.; Mawindo, P.; Joshi, S.; Adams, M.; Kenefic, L.; Jacob, C.G.; Taylor, T.E.; Laufer, M.K. Parasite dynamics in the peripheral blood and the placenta during pregnancy-associated malaria infection. Malar. J. 2016, 15, 483. [Google Scholar] [CrossRef]
- Shukla, G.; Verma, I.; Sharma, L. Effect of Salmonella enteric serovar Typhimurium in pregnant mice: A biochemical and histopathological study. Gastroenterol. Res. 2012, 5, 103. [Google Scholar] [CrossRef][Green Version]
- Umbers, A.J.; Aitken, E.H.; Rogerson, S.J. Malaria in pregnancy: Small babies, big problem. Trends Parasitol. 2011, 27, 168–175. [Google Scholar] [CrossRef]
- Rac, M.W.; Revell, P.A.; Eppes, C.S. Syphilis during pregnancy: A preventable threat to maternal-fetal health. Am. J. Obstet. Gynecol. 2017, 216, 352–363. [Google Scholar] [CrossRef] [PubMed]
- Heidari, Z.; Sakhavar, N.; Mahmoudzadeh-Sagheb, H.; Ezazi-Bojnourdi, T. Stereological analysis of human placenta in cases of placenta previa in comparison with normally implanted controls. J. Reprod. Infertil. 2015, 16, 90. [Google Scholar] [PubMed]
- Mayhew, T.M. Turnover of human villous trophoblast in normal pregnancy: What do we know and what do we need to know? Placenta 2014, 35, 229–240. [Google Scholar] [CrossRef] [PubMed]
- Loukeris, K.; Sela, R.; Baergen, R.N. Syncytial Knots as a Reflection of Placental Maturity: Reference Values for 20 to 40 Weeks’ Gestational Age. Pediatr. Dev. Pathol. 2010, 13, 305–309. [Google Scholar] [CrossRef]
- Fogarty, N.M.; Ferguson-Smith, A.C.; Burton, G.J. Syncytial knots (Tenney-Parker changes) in the human placenta: Evidence of loss of transcriptional activity and oxidative damage. Am. J. Pathol. 2013, 183, 144–152. [Google Scholar] [CrossRef]
- Heazell, A.E.P.; Moll, S.J.; Jones, C.J.P.; Baker, P.N.; Crocker, I.P. Formation of syncytial knots is increased by hyperoxia, hypoxia and reactive oxygen species. Placenta 2007, 28, S33–S40. [Google Scholar] [CrossRef]
- Salmani, D.; Purushothaman, S.; Somashekara, S.C.; Gnanagurudasan, E.; Sumangaladevi, K.; Harikishan, R.; Venkateshwarareddy, M. Study of structural changes in placenta in pregnancy-induced hypertension. J. Nat. Sci. Biol. Med. 2014, 5, 352. [Google Scholar] [CrossRef]
- Calvert, S.J.; Jones, C.J.P.; Sibley, C.P.; Aplin, J.D.; Heazell, A.E.P. Analysis of syncytial nuclear aggregates in preeclampsia shows increased sectioning artefacts and decreased inter-villous bridges compared to healthy placentas. Placenta 2013, 34, 1251–1254. [Google Scholar] [CrossRef]
- Palmeira, P.; Quinello, C.; Silveira-Lessa, A.L.; Zago, C.A.; Carneiro-Sampaio, M. IgG Placental Transfer in Healthy and Pathological Pregnancies. Clin. Dev. Immunol. 2012, 2012, 1–13. [Google Scholar] [CrossRef]
- Xi, G.; Leke, R.G.; Thuita, L.W.; Zhou, A.; Leke, R.J.; Mbu, R.; Taylor, D.W. Congenital Exposure to Plasmodium falciparum Antigens: Prevalence and Antigenic Specificity of In Utero-Produced Antimalarial Immunoglobulin M Antibodies. Infect. Immun. 2003, 71, 1242–1246. [Google Scholar] [CrossRef]
- Callaway, P.C.; Farrington, L.A.; Feeney, M.E. Malaria and early life immunity: Competence in context. Front. Immunol. 2021, 12, 634749. [Google Scholar] [CrossRef]
- Burton, G.J.; Jauniaux, E. Pathophysiology of placental-derived fetal growth restriction. Am. J. Obstet. Gynecol. 2018, 218, S745–S761. [Google Scholar] [CrossRef] [PubMed]
- Abdelhalim, N.Y.; Shehata, M.H.; Gadallah, H.N.; Sayed, W.M.; Othman, A.A. Morphological and ultrastructural changes in the placenta of the diabetic pregnant Egyptian women. Acta Histochem. 2018, 120, 490–503. [Google Scholar] [CrossRef] [PubMed]
- Sankar, K.D.; Bhanu, P.S.; Ramalingam, K.; Kiran, S.; Ramakrishna, B.A. Histomorphological and morphometrical changes of placental terminal villi of normotensive and preeclamptic mothers. Anat. Cell Biol. 2013, 46, 285–290. [Google Scholar] [CrossRef] [PubMed]
- Schneider, H.; Miller, R.K. Receptor-mediated uptake and transport of macromolecules in the human placenta. Int. J. Dev. Biol. 2010, 54, 367–375. [Google Scholar] [CrossRef]
- Akbarzadeh-Jahromi, M.; Soleimani, N.; Mohammadzadeh, S. Multiple Chorangioma Following Long-Term Secondary Infertility: A Rare Case Report and Review of Pathologic Differential Diagnosis. Int. Med. Case Rep. J. 2019, 12, 383–387. [Google Scholar] [CrossRef]
- Suzuki, K.; Itoh, H.; Kimura, S.; Sugihara, K.; Yaguchi, C.; Kobayashi, Y.; Hirai, K.; Takeuchi, K.; Sugimura, M.; Kanayama, N. Chorangiosis and placental oxygenation. Congenit. Anom. 2009, 49, 71–76. [Google Scholar] [CrossRef]
- Ernst, L.M. Maternal vascular malperfusion of the placental bed. APMIS 2018, 126, 551–560. [Google Scholar] [CrossRef]
- Ravishankar, S.; Redline, R.W. The placenta. Handb. Clin. Neurol. 2019, 162, 57–66. [Google Scholar]
- Rainey, A.; Mayhew, T.M. Volumes and numbers of intervillous pores and villous domains in placentas associated with intrauterine growth restriction and/or pre-eclampsia. Placenta 2010, 31, 602–606. [Google Scholar] [CrossRef]
- Schneider, H. Oxygenation of the placental–fetal unit in humans. Respir. Physiol. Neurobiol. 2011, 178, 51–58. [Google Scholar] [CrossRef]
- Perazzolo, S.; Lewis, R.M.; Sengers, B.G. Modelling the effect of intervillous flow on solute transfer based on 3D imaging of the human placental microstructure. Placenta 2017, 60, 21–27. [Google Scholar] [CrossRef]
- World Medical Association. World Medical Association Declaration of Helsinki: Ethical principles for medical research involving human subjects. JAMA 2013, 310, 2191–2194. [Google Scholar] [CrossRef]



| Volume Density (µm3) | ||||
|---|---|---|---|---|
| Placental Parameter | Cases | Control | t-Value | p-Value |
| Syncytial knot | 0.8766 ± 0.07 | 0.3873 ± 0.04 | 6.490 | <0.0001 |
| Syncytial denudation | 0.7381 ± 0.09 | 0.1917 ± 0.05 | 5.764 | <0.0001 |
| Intervillous spaces | 10.220 ± 0.38 | 12.330 ± 1.26 | 1.462 | 0.1592 |
| Foetal capillaries | 6.0780 ± 0.19 | 3.583 ± 0.40 | 5.620 | <0.0001 |
Disclaimer/Publisher’s Note: The statements, opinions and data contained in all publications are solely those of the individual author(s) and contributor(s) and not of MDPI and/or the editor(s). MDPI and/or the editor(s) disclaim responsibility for any injury to people or property resulting from any ideas, methods, instructions or products referred to in the content. |
© 2025 by the authors. Published by MDPI on behalf of the Hellenic Society for Microbiology. Licensee MDPI, Basel, Switzerland. This article is an open access article distributed under the terms and conditions of the Creative Commons Attribution (CC BY) license (https://creativecommons.org/licenses/by/4.0/).
Share and Cite
Tetteh-Quarcoo, P.B.; Twasam, J.; Ahenkorah, J.; Hottor, B.A.; Dayie, N.T.K.D.; Opoku-Nyarko, S.; Appiah, P.O.; Afutu, E.; Kotey, F.C.N.; Donkor, E.S.; et al. Exposure to Treponema pallidum Alters Villous Histomorphology of Human Placentae. Acta Microbiol. Hell. 2025, 70, 31. https://doi.org/10.3390/amh70030031
Tetteh-Quarcoo PB, Twasam J, Ahenkorah J, Hottor BA, Dayie NTKD, Opoku-Nyarko S, Appiah PO, Afutu E, Kotey FCN, Donkor ES, et al. Exposure to Treponema pallidum Alters Villous Histomorphology of Human Placentae. Acta Microbiologica Hellenica. 2025; 70(3):31. https://doi.org/10.3390/amh70030031
Chicago/Turabian StyleTetteh-Quarcoo, Patience B., Joana Twasam, John Ahenkorah, Bismarck Afedo Hottor, Nicholas T. K. D. Dayie, Stephen Opoku-Nyarko, Peter Ofori Appiah, Emmanuel Afutu, Fleischer C. N. Kotey, Eric S. Donkor, and et al. 2025. "Exposure to Treponema pallidum Alters Villous Histomorphology of Human Placentae" Acta Microbiologica Hellenica 70, no. 3: 31. https://doi.org/10.3390/amh70030031
APA StyleTetteh-Quarcoo, P. B., Twasam, J., Ahenkorah, J., Hottor, B. A., Dayie, N. T. K. D., Opoku-Nyarko, S., Appiah, P. O., Afutu, E., Kotey, F. C. N., Donkor, E. S., Udofia, E. A., Koney, N. K.-K., Arko-Boham, B., & Adutwum-Ofosu, K. K. (2025). Exposure to Treponema pallidum Alters Villous Histomorphology of Human Placentae. Acta Microbiologica Hellenica, 70(3), 31. https://doi.org/10.3390/amh70030031

