Abstract
The COVID-19 pandemic has led to an unprecedented surge in respiratory illness cases worldwide. Although uncommon, pulmonary cavitation has been reported as a potential complication of COVID-19. This case series report describes four cases of COVID-19 patients with lung cavities, highlighting the various causes and clinical manifestations of this complication, and a review of the literature on the presence of lung cavities in COVID-19 patients. In two cases, the cavities were most likely due to secondary bacterial superinfections, with one case being complicated by multi-drug-resistant bacteria. Another case developed cavities secondary to a fungal infection, while the third case was directly caused by SARS-CoV-2 invasion in the lungs. The presence of cavities with or without air-fluid level or pneumothorax in COVID-19 patients should be considered as a potential complication of this infection, especially in those with respiratory symptoms. Physicians should remain vigilant for the development of pulmonary cavitation in COVID-19 patients, particularly those receiving high doses of steroids. Additionally, spontaneous pneumothorax should be considered an alarming sign in COVID-19 patients.
1. Introduction
COVID-19 is a highly infectious respiratory disease caused by the SARS-CoV-2 virus [1]. It was first reported in December 2019 in Wuhan, China, and has since spread globally, causing millions of deaths and hospitalizations [2]. The disease mainly affects the respiratory system, leading to symptoms such as cough, fever, and shortness of breath, and can also result in severe complications such as pneumonia, acute respiratory distress syndrome (ARDS), and even death [3]. COVID-19 has been associated with several unusual and atypical clinical manifestations, including the risk of lung cavity, which is a rare complication in respiratory infections [4].
A lung cavity is defined as a gas-filled space within the lung parenchyma, and it can be caused by a variety of factors such as infections, malignancies, and autoimmune diseases [5]. In COVID-19 patients, lung cavitation has been reported in several case reports and series, although it remains an uncommon finding [6,7,8]. The exact mechanism of lung cavity formation in COVID-19 is still unclear, but it is thought to be related to the severe lung inflammation caused by the virus, which can lead to necrosis and cavitation [9].
In addition to direct cavity formation, COVID-19 patients are also at an increased risk of developing cavities secondary to bacterial and fungal superinfections, which can lead to further complications and worsen the prognosis [10]. The co-infection of SARS-CoV-2 with other pathogens is common in patients with advanced age, comorbidities, and immunocompromised states. Bacterial pathogens that are commonly isolated include M. pneumoniae, P. aeruginosa, H. influenzae, K. pneumoniae, and S. pneumoniae. Patients with bacterial co-infections have a higher risk of mortality, and antibiotic resistance is common. The formation of biofilms can lead to chronic infections and high morbidity and mortality. Lung cavities in COVID-19 patients are increasing, and they appear during the absorption phase of the disease. Diffuse alveolar damage is the main histopathological manifestation of lung cavities and can result in persistent SARS-CoV-2 RNA in the lungs. Regular screening for bacterial and fungal co-infections is recommended for COVID-19 patients [11]. Therefore, it is essential for physicians to be aware of the possibility of lung cavity formation in COVID-19 patients with respiratory symptoms, as it can indicate a more severe disease course and require appropriate management.
Several studies have reported on the clinical characteristics and outcomes of COVID-19 patients with lung cavities, but the evidence remains limited and inconclusive [12,13]. Therefore, this case series aims to contribute to the existing literature by describing the clinical manifestations and management of four cases of COVID-19 infection with lung cavities. The cases presented in this series highlight the need for increased vigilance and careful management of COVID-19 patients with lung cavities.
1.1. Case No. 1
A previously healthy 52-year-old woman was admitted to a general hospital with symptoms of fever, cough, and shortness of breath that had developed five days prior. On admission, her SpO2 was 80%, her BP was 130/80 mmHg, her PR was 84/min, her RR was 21/min, and her T was 37.8 °C. Bilateral diffuse crackling in her respiratory sounds was observed, and a nasopharyngeal swab sample was taken for a RT-PCR test for SARS-CoV-2, which came back positive for SARS-CoV-2 infection. A CT scan of the lungs revealed bilateral diffuse ground-glass opacification, and the patient was admitted to the COVID section of the hospital for treatment.
The patient was started on oxygen therapy, Remdesivir, and dexamethasone injection. However, after three days, she was transferred to the COVID ICU unit of the hospital due to progressive hypoxia and a lack of response to supplemental oxygen. There, she received non-invasive ventilation (NIV), as well as methylprednisolone pulse for three consecutive days and Tocilizumab for two consecutive days, as per the Iranian guidelines for COVID-19 infection. After 15 days of hospitalization and an improvement in her Spo2, she was transferred to the general ward, where she was discharged after an additional 10 days. At the time of discharge, her SpO2 was between 88 and 90%.
However, three weeks later, the patient developed shortness of breath symptoms with a dry cough and bilateral chest pain and was referred to the respiratory unit of the Valiasr Hospital in Zanjan, Iran. On admission, her SpO2 was 76%, her BP was 100/70 mmHg, her PR was 84/min, her RR was 21/min, and her T was 37.8 °C. Although her throat and nasal samples were negative for COVID-19, a non-contrast lung CT revealed typical COVID lung involvement with the presence of large septoid cavities in both the right and left lungs. In particular, a large cavity with an air-fluid level was observed in the left lower lobe, while a similar cavity was seen in the right upper lobe which extended to the middle and lower lobes (Figure 1 and Figure 2).
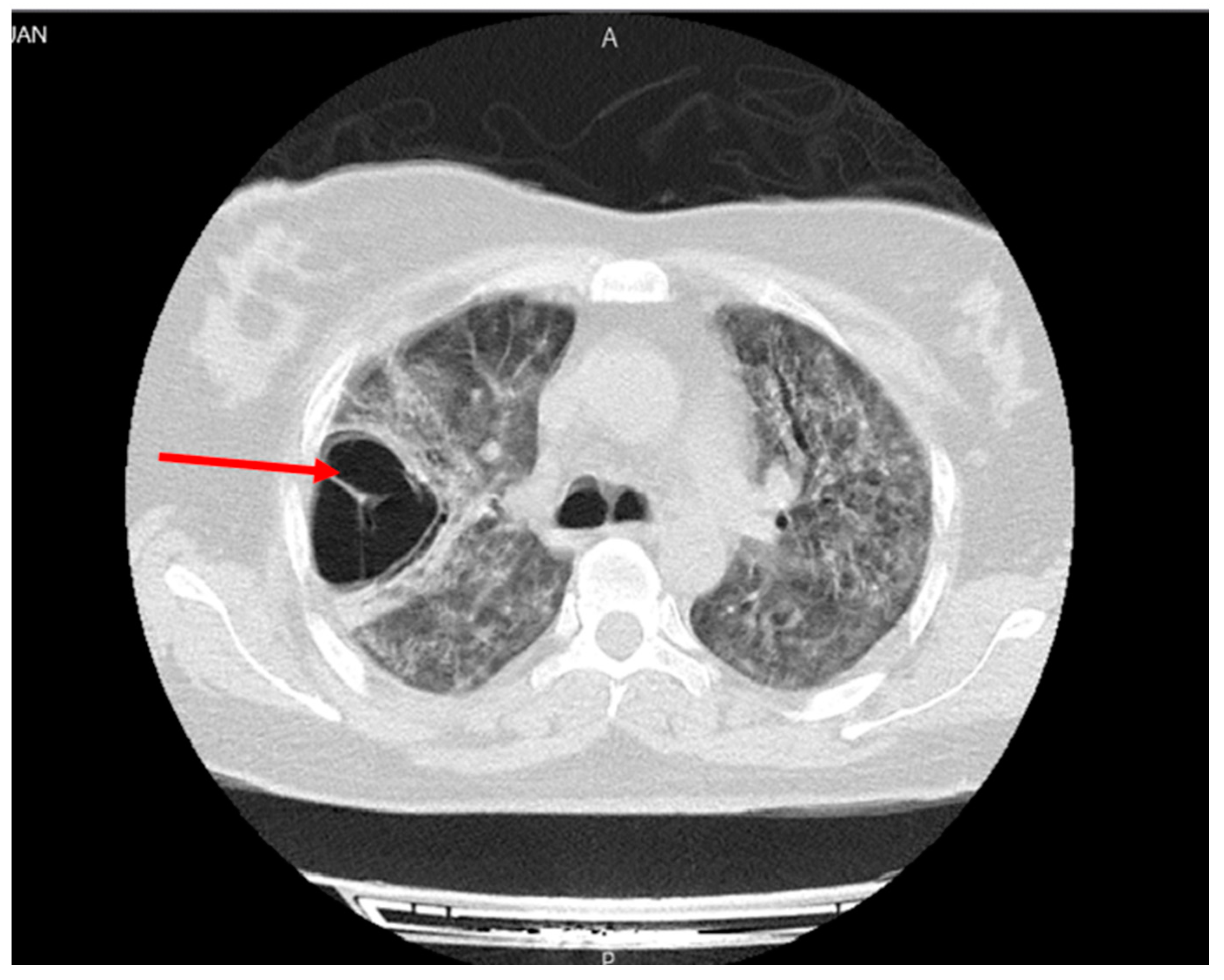
Figure 1.
Large septoid cavity in right upper lobe with the spread to the middle and lower lobes of the lung (red arrow).
Figure 2.
Large cavity with the air-fluid level in the left lower lobe (red arrow).
The CT scan images did not show any evidence of pleural effusion or lymphadenopathy. The patient was admitted to the isolated respiratory ward of the hospital with an initial diagnosis of post-COVID complications and pulmonary abscess. Diagnostic and therapeutic measures were taken to evaluate the patient for a possible fungal infection, and the patient was treated with cotrimoxazole 800 mg IV BID, clindamycin 600 mg IV TDS, and caspofungin 70 mg IV on the first day and 50 mg daily on the following days. A flexible bronchoscopy was performed, and a bronchoalveolar lavage (BAL) sample was taken for necessary tests such as galactomannan (Aspergillus antigen). The BAL samples were negative for tuberculosis, but fungi matching Candidiasis Sp. were reported with high levels of galactomannan. Caspofungin was continued based on the infectious disease specialist’s advice. To rule out pulmonary thromboembolism (PTE), a D-dimer test was requested, which came out negative (<500 ngr/mL fibrinogen-equivalent units). The patient was discharged with an oral itraconazole 100 mg BID prescription and was advised to visit an infectious disease clinic two weeks later after an improvement in the symptoms and SpO2 levels. Table 1 shows the laboratory data of the patient at the time of admission and discharge from the hospital.
Table 1.
Laboratory data of case 1 at the time of admission and at the time of discharge from the hospital.
During her first admission, she received ceftriaxone at a dosage of 1 g every 12 h for two weeks. During the second admission at our hospital, she was treated with cotrimoxazole (800/160 mg) every 12 h, clindamycin (600 mg) every 8 h, and caspofungin with a loading dose of 70 mg followed by 50 mg daily for 10 days. Following discharge, she was prescribed oral itraconazole at a dosage of 800 mg every 12 h for two weeks. It is noted that she did not receive any COVID-19 vaccinations prior to hospitalization.
1.2. Case No. 2
A 60-year-old man with no known medical history of hypertension, diabetes, hyperlipidemia, cardiovascular disease, stroke, immunosuppressive disease, HIV, or cancer presented to a general hospital in Iran with fever, shortness of breath, myalgia, and a productive cough, which started a week prior to admission. Upon admission, his SpO2 was 78%, the BP was 110/65 mmHg, the PR was 103/min, the RR was 24/min, and the T was 37.9 C degrees. A CT scan of the lungs revealed bilaterally diffused ground-glass opacity (GGO) lesions, consistent with severe COVID-19. The patient was admitted to the COVID-19 section of the hospital and treated with dexamethasone at a dose of 8 mg/IV/daily, five doses of remdesivir with a standard dose (200 mg on the first day, then 100 mg/daily for five days), and heparin with a prophylactic dose (5000 U/SC/BID).
Due to the progressive decrease in oxygen saturation and insufficient response to supplemental oxygen, he was transferred to the COVID ICU to receive NIV. In the ICU, he received three doses of 500 mg/IV methylprednisolone pulse on three consecutive days and two doses of tocilizumab injection IV at a dose of 400 mg daily. After 10 days in the ICU, he was transferred to the general ward due to improved Spo2. After a total of 7 days of hospitalization in the general ward, he was discharged with stable vital signs and an SpO2 of 80%, advised to use oxygen support at home. Upon discharge, a nasopharyngeal swab was obtained for an RT-PCR test of SARS-CoV-2, which was reported to be positive.
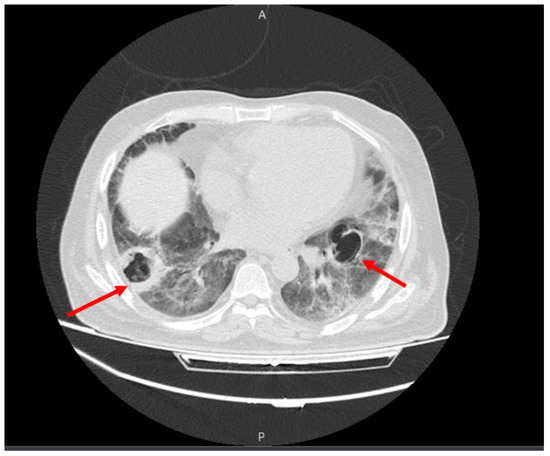
Seven days after discharge, the patient developed progressive dyspnea and frequent coughs with excessive sputum, prompting referral to the Valiasr Hospital in Zanjan, Iran. Upon admission, his SpO2 was 75%, the BP was 90/60 mmHg, the PR was 120/min, the RR was 24/min, and the T was 36.8 C degrees. A pulmonary examination revealed bi-basal fine crackles, and a lung CT was ordered, revealing cystic changes at the apex of the left lung with typical GGO changes in all lobes, consistent with COVID-19 infection. Multiple cavities with thick, septoid walls were observed in the lower lobes on both sides, with a suspected fungus ball inside one of the cavities on the left side. No plural effusion or lymphadenopathy were seen upon imaging (Figure 3).
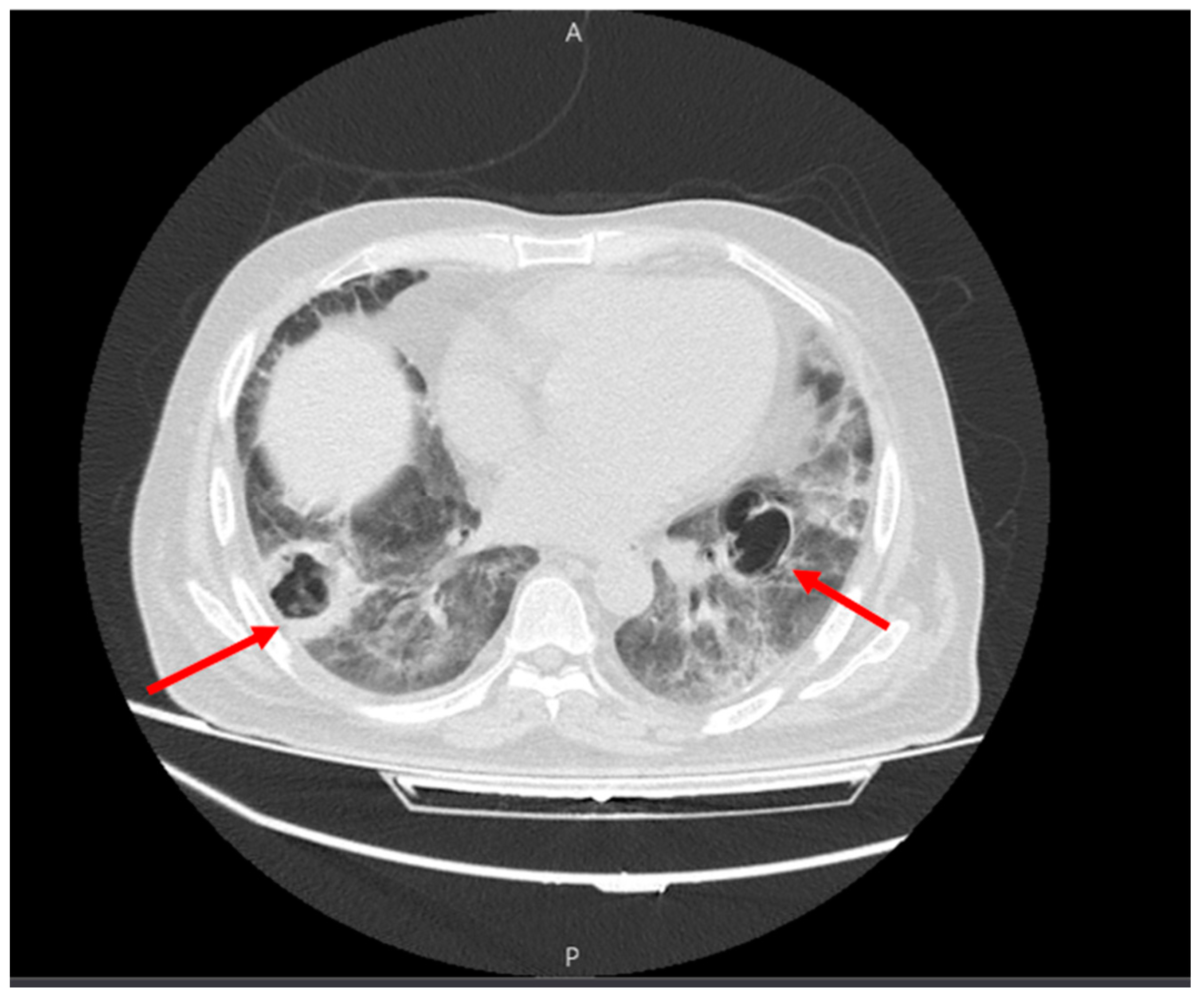
Figure 3.
Multiple cavities with thick, septoid walls in the lower lobes on both sides (red arrows).
The patient was admitted to an airborne infection isolation room and received oxygen therapy and empiric antibiotic therapy, including cefepime (2 g IV/BID), vancomycin (1 g IV/BID), levofloxacin (750 mg IV daily), and caspofungin (70 mg IV on the first day and 50 mg IV on the following days) due to a suspected fungal infection, particularly Aspergillus. The patient’s throat and nasal swabs were negative for SARS-CoV-2 Rt-PCR at this stage, and a D-Dimer test revealed 1100 ngr/mL. Pulmonary CT-angiography was performed, which showed normal results, ruling out pulmonary thromboembolism.
The patient underwent bronchoscopy, which did not reveal any endobronchial lesions but showed concentrated mucopurulent secretions in the bronchi of both lower lobes. BAL samples were taken for Gram smears, fungal cultures, BK, and cytology. The BAL sample was negative for fungi and BK, and no malignant cells were observed. However, Staphylococcus epidermidis was reported, with more than 50,000 colony counts in the BAL smear, and it was found to be sensitive to gentamicin and ciprofloxacin but resistant to ampicillin. As a result, treatment with ciprofloxacin was initiated, and other medications were discontinued.
After 12 days, the patient’s oxygen levels improved, and he was discharged in good general conditions, with oral ciprofloxacin (500D IV/BID) prescribed for 10 days. The patient’s SPO2 level was around 88–90% at the time of discharge. The laboratory data of case 2 at admission and discharge from the hospital are shown in Table 2.
Table 2.
Laboratory data of case 2 at the time of admission and at the time of discharge from the hospital.
During his first admission, he initially received ceftriaxone at a dosage of 1 g every 12 h for one week, which was later switched to piperacillin-tazobactam at a dosage of 4.5 g every 6 h as per his doctor’s recommendation. During the second admission to our hospital, he was treated with cefepime at a dosage of 2 g every 12 h, vancomycin at a dosage of 1 g every 12 h, levofloxacin (IV) at a dosage of 750 mg daily, and caspofungin with a loading dose of 70 mg followed by 50 mg daily for 7 days. After receiving a negative result in the BAL sample culture, all these antibiotics were discontinued, and he was started on ciprofloxacin (IV) at a dosage of 400 mg every 12 h for 5 days. Following discharge, he was prescribed oral ciprofloxacin (500 mg every 12 h) for 10 days. It is important to note that this patient also did not receive any COVID-19 vaccinations prior to hospitalization.
1.3. Case No. 3
A 72-year-old woman with a history of hypothyroidism treated with levothyroxine at a dose of 100 micrograms daily was admitted to a general hospital in her county with dyspnea, dry cough, myalgia, and a headache. Upon arrival, her vital signs were stable, but her oxygen saturation (SPO2) was 80%. The SARS-CoV-2 RT-PCR test from the throat and nose swab samples was positive, and a lung CT showed bilateral diffuse ground-glass opacities (GGO). The patient was admitted to the COVID section of the infectious disease ward.
Due to the severe pulmonary involvement and a progressive drop in the SPO2, she was treated with pulse methylprednisolone 500 mg/IV/daily for three consecutive days, followed by dexamethasone IV 8 mg daily during hospitalization, five doses of remdesivir at a standard dose (200 mg on the first day and then 100 mg/daily for the next five days), and two doses of tocilizumab 400 mg daily for two consecutive days. Heparin was also given at a prophylactic dose (5000 U/SC/BID).
After 15 days, with an improvement in her general condition and oxygenation level, she was discharged and advised to use supplemental oxygen at home. At the time of discharge, her vital signs were stable, and she had an SPO2 of 83% without the use of supplementary oxygen.
Twenty days later, she was referred to a center with rectorrhagia (clear blood from the rectum) and a recurrent dry cough that had intensified over the previous week. Upon admission, her SpO2 was 80% in room air, the blood pressure was 100/60 mmHg (without orthostatic hypotension), the pulse rate was 94/min, the respiratory rate was 18/min, and her temperature was 37 °C.
The patient underwent serum therapy and a standard treatment for gastrointestinal bleeding (GIB), including sufficient hydration, IV proton pump inhibitor (PPI) (pantoprazole 40 mg/IV/BID), upper GI endoscopy, and colonoscopy. The endoscopy results were normal, but a grade 4 hemorrhoid was reported. No bleeding hemorrhagic gross lesion was observed. A new lung CT was performed for the patient, which showed a cavity with a thick and irregular wall with an air-fluid level suggesting a pulmonary abscess in the left upper lobe (LUL). Bilateral diffuse GGO lesions with septal thickening, as well as mild bilateral effusion, were also observed (Figure 4). A pulmonary CT angiography was performed to rule out pulmonary thromboembolism (PTE), which showed no evidence of PTE.
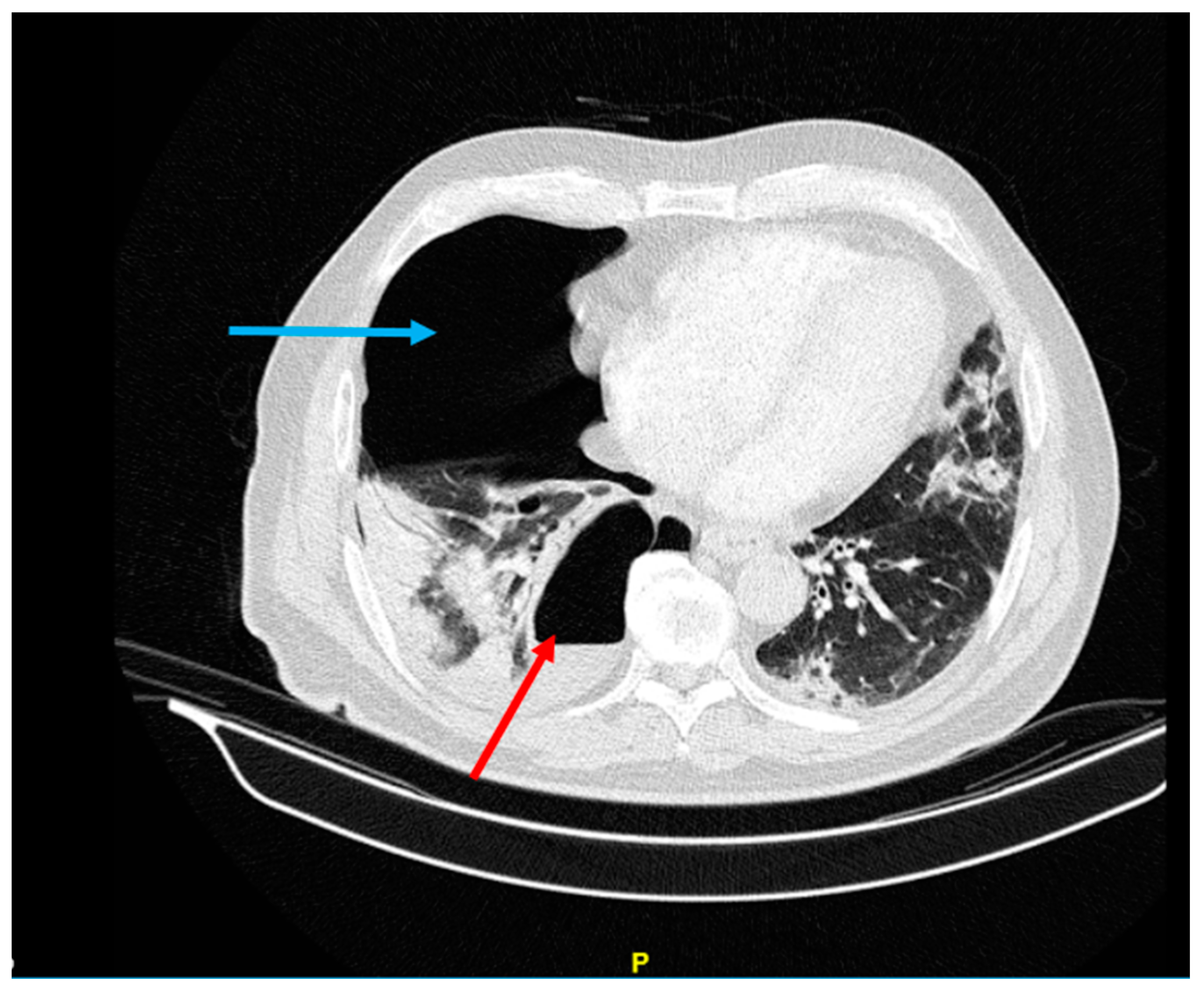
Figure 4.
A cavity with a thick and irregular wall with an air-fluid level suggesting pulmonary abscess in the left upper lobe (red arrow). Bilateral diffuse GGO lesions with septal thickening as well as a mild bilateral effusion were also observed (blue arrows).
The patient underwent empiric antibiotic treatment for pulmonary abscess, including ampicillin sulbactam 3 g/IV every 6 h. A bronchoscopy was also performed, which showed edema and erythema in all the mucosa of the left bronchi, especially in the LUL bronchi, but other parts were normal and without endobronchial lesions. The BAL samples were sent for a Gram smear, BK, and fungi, which were negative.
Twelve days after admission to the hospital, the patient was discharged with oral co-amoxiclav 625 mg/TDS and a recommendation for a pulmonary clinic outpatient visit after two weeks. The laboratory data of case 3 at the time of admission and discharge from the hospital can be seen in Table 3.
Table 3.
Laboratory data of case 3 at the time of admission and at the time of discharge from the hospital.
1.4. Case No. 4
A 73-year-old man with a history of hypertension, treated with amlodipine 5 mg every 12 h, was referred to our center in Zanjan city, Iran, from another hospital where he had been admitted two weeks prior with symptoms of dry cough, myalgia, anorexia, and low-grade fever. At the time of admission to our hospital, the patient’s SpO2 was 85% in room air, the blood pressure was 140/85 mmHg, the heart rate was 86/min, the respiratory rate was 22/min, and the body temperature was 38 °C. A swab test for SARS-CoV-2 RT-PCR was positive, and a CT scan showed diffuse ground-glass opacities (GGO) with a peripheral pattern, indicating COVID-19 pneumonia. Consequently, the patient was admitted to the COVID-19 section of the infectious ward and received treatment with three pulses of 500 mg IV methylprednisolone for three consecutive days, followed by dexamethasone 8 mg IV daily, tocilizumab 400 mg IV for two consecutive days, five doses of remdesivir (200 mg on the first day, followed by 100 mg daily for the next five days), and a prophylactic dose of heparin 5000 u subcutaneously twice daily throughout the hospitalization period.
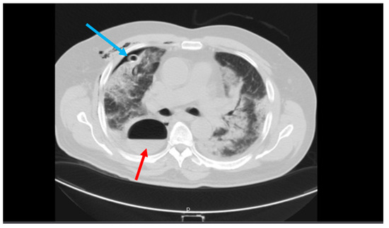
After eight days of hospitalization, the patient showed a relative improvement in his general condition and oxygenation and was discharged with the recommendation to take supplemental oxygen at home. The patient reported an SpO2 of 84–85% without supplemental oxygen and of 93% with oxygen at home. However, one week later, he developed pain in the right side of his chest, cough, and hemoptysis and was admitted to the Valiasr Hospital in Zanjan, Iran. Upon admission, the patient was conscious and oriented, with SpO2 85%, blood pressure 120/80 mmHg, heart rate 90/min, respiratory rate 18/min, and body temperature 38 °C. During the physical examination, a decrease in respiratory sounds on the right lung and fine crackles in the left lung were observed. A CT scan revealed a right pneumothorax with multiple calcified nodules in the parenchyma of both lungs, several cavities in the lower lobe of the right lung with air-fluid level and more cavities adjacent to the spine, ground-glass opacities (GGO), and multiple bilateral consolidations in favor of COVID-19 (Figure 5).
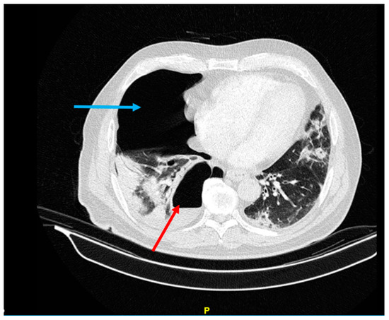
Figure 5.
Right lung pneumothorax (blue arrow) and right lung abscess containing air-fluid level in the RLL (red arrow).
To address the pneumothorax, an emergency chest tube was placed on the right side, and the patient was admitted to the isolation room in the infectious disease ward and treated with broad-spectrum antibiotics (clindamycin 600 mg TDS and levofloxacin 750 mg daily). Subsequently, the patient underwent a bronchoscopy, and the trachea and left bronchi were normal, but one bleeding site was observed in the lower lobe bronchi of the right lung, in segments 8 and 9 (RB8 and RB9), which was managed with a local injection of epinephrine and transamine. A bronchoalveolar lavage (BAL) sample was sent for smear, Gram culture, fungus, and BK, and a pulmonary CT angiography was performed. Although the D-dimer level was >15,000 ng/mL, there was no evidence of pulmonary thromboembolism (PTE).
In the BAL sample, Klebsiella pneumoniae grew with a colony count of >105, which was classified as multi-drug-resistant (MDR). The patient was prescribed colistin 3Mu IV TDS and clindamycin 600 mg/TDS as recommended by the infectious disease specialist. The BAL sample was negative for fungus and BK. After 5 days, the chest tube was removed due to the expanding lung and improved pneumothorax, but the antibiotic therapy continued (Figure 6).
Figure 6.
CT scan of patient 5 days after pneumothorax and removal the chest tube. The lack of abscess shrinkage is noticeable (red arrow).
Despite being hospitalized for two weeks, the patient’s pulmonary abscess showed a poor response to medical treatment, prompting a CT-guided drainage procedure. Unfortunately, the drainage attempt was unsuccessful, and the patient developed a pneumothorax, leading to the re-implantation of the chest tube in the right side of the lung (Figure 7).
Figure 7.
An unsuccessful drainage of a lung abscess (red arrow) using a CT scan guide, resulting in a pneumothorax in the right lung and a chest tube insertion after that (blue arrow).
Due to the patient’s poor condition and ongoing hemoptysis, the need for thoracic surgery or catheter placement guided by a CT was deemed necessary, and the patient was transferred to a better-equipped medical center in Tehran, the capital of Iran.
At the time of discharge, the patient’s SpO2 was 90% without supplementary oxygen, and the vital signs were stable. The patient also tested negative for COVID-19 via an RT-PCR test performed at the hospital. The laboratory data for case 4 at the time of admission and discharge can be found in Table 4.
Table 4.
Laboratory data of case 4 at the time of admission and at the time of discharge from the hospital.
During the patient’s initial admission at another hospital, ceftriaxone was administered at a dosage of 1 g every 12 h for 8 days. Upon the patient’s subsequent admission to our hospital, the patient received intravenous clindamycin at a dosage of 600 mg every 8 h and levofloxacin at a dosage of 750 mg daily for 6 days. Following the identification of Klebsiella pneumoniae through a BAL sample culture, the antibiotic regimen was modified to include colistin at a dosage of 3 million units every 8 h and intravenous clindamycin at a dosage of 600 mg every 8 h for 2 weeks until the patient was referred to another center in Tehran, the capital of Iran. Notably, the patient did not receive any COVID-19 vaccinations prior to hospitalization.
2. Discussion and a Brief Review of the Literature
This report highlighted four cases of COVID-19 patients with lung cavities caused by bacterial superinfections, fungal infections, or direct invasion by COVID-19, emphasizing the need to consider this potential complication in patients with respiratory symptoms.
The microorganisms that can cause co-infections or secondary infections in COVID-19 patients include bacteria, viruses, fungi, and sometimes parasites. A meta-analysis of 30 studies conducted in August 2020 examined co-infections in COVID-19 patients and found that 7% of hospitalized patients had bacterial co-infections, 3% had viral co-infections, and 3 studies reported fungal co-infections [14]. In healthcare-associated infections, Gram-negative bacteria (GNB) and fungi were the most common types of secondary infections. Another study of 3028 patients showed that the overall rate of infection was 17%, with GNB causing 57% of infections and fungi causing 19% of them [15]. Naranje et al. [12] have provided a comprehensive list of common respiratory co-pathogens associated with COVID-19. This includes community-acquired pneumonia or infections occurring within 48 h caused by bacterial species such as Mycoplasma pneumoniae, Pseudomonas aeruginosa, Streptococcus pyogenes, Haemophilus influenzae, Staphylococcus aureus, Streptococcus pneumoniae, Proteus mirabilis, and Chlamydia spp. On the other hand, hospital-acquired pneumonia or infections occurring after 48 h are mainly caused by Gram-negative bacteria like Klebsiella spp., Escherichia coli, Enterobacter sp., Acinetobacter baumannii, Serratia marcescens, Staphylococcus aureus, and Pseudomonas aeruginosa.
Traditionally, lower respiratory tract samples such as tracheal aspirate or bronchoscopy-guided samples from infected lobes are taken for staining and culture/sensitivity in intubated non-COVID patients. However, in COVID-19 pneumonia patients, this practice has had to be altered to avoid the increased risk of viral transmission during aerosol-generating procedures. Moreover, induced sputum is not commonly used in non-intubated patients. As a result, imaging, particularly chest CT scans, is relied upon more frequently to predict the organism responsible for secondary infections in COVID-19 pneumonia patients [12].
Bacterial superinfections can cause a cavity in the lungs in COVID-19 patients, with Gram-positive cocci like Staphylococcus aureus and Streptococcus pneumoniae and Gram-negative bacteria such as Haemophilus influenzae being common pathogens causing early superinfection, while late superinfections are commonly caused by Pseudomonas, Klebsiella pneumoniae, Escherichia coli, Enterobacter spp., and, rarely, Acinetobacter species [12,13,16,17].
In COVID-19 patients, common respiratory fungal co-pathogens have been reported in both community-acquired and hospital-acquired pneumonia. Community-acquired infections occurring within 48 h may include fungi such as Pneumocystis jirovecii, Histoplasma capsulatum, and Cryptococcus neoformans. Hospital-acquired infections occurring after 48 h may include Aspergillus flavus, Aspergillus fumigatus, Candida albicans, Candida glabrata, Rhizopus, Mucor, respiratory syncytial virus, Influenza A and B, Rhinovirus/enterovirus, Parainfluenza, other coronaviridae, Adenovirus, Human Metapneumovirus, Epstein–Barr Virus, Coxsackievirus, and Cytomegalovirus [12].
Aspergilloma is a fungal mass that develops within pre-existing cavities with thick walls in the lungs. It is typically asymptomatic and discovered by chance during chest radiography. Kedia et al. [18] reported a patient who developed ARDS due to SARS-CoV-2 and received a standard COVID-19 treatment, including non-invasive ventilation. The patient was later discharged with home oxygen but developed bilateral fibrosis. A follow-up HRCT after 45 days showed bilateral cavities with a fungus ball.
Patti et al. [19] reported a rare case of a 73-year-old male who presented with severe respiratory symptoms caused by COVID-19 and was subsequently diagnosed with Aspergillus sp. lung cavitations. This case is unique in that the patient developed subacute invasive pulmonary aspergillosis with aspergillomas as a superimposed infection.
Lai et al. [20], in a literature review, examined the co-infection of Aspergillus spp. in patients with COVID-19. The incidence of invasive pulmonary aspergillosis (IPA) in COVID-19 patients ranged from 19.6% to 33.3% and was more common in severe/critical cases. Acute respiratory distress syndrome requiring mechanical ventilation was a common complication, and the overall mortality was high, up to 64.7%. Conventional risk factors for IPA were not common among these patients. Fungus culture and galactomannan testing, especially from respiratory specimens, can aid in early diagnosis. Voriconazole is the recommended anti-Aspergillus agent, but clinicians should be aware of potential drug interactions and cardiovascular toxicity when treating patients with COVID-19. Clinicians should remain vigilant for the possible occurrence of pulmonary aspergillosis in severe/critical COVID-19 patients and perform aggressive microbiologic studies.
Cavity formation is not common in the co-infection of Aspergillus spp. in patients with COVID-19. Koehler et al. [21] reported a positive case of SARS-CoV-2 by PCR that had bilateral ground-glass opacities, nodular infiltrates with cavities and an air crescent sign on CT imaging studies. The patient was treated with antifungal medications (caspofungin and voriconazole) and antiviral medications (hydroxychloroquine, darunavir, and cobicistat) but was eventually changed to supportive therapy only. Banke et al. [22] presented a case of a 67-year-old woman who suffered from severe COVID-19 with no suspicion of infection with Aspergillus in the acute phase. Ten months after discharge from her COVID-related admission, she developed bilateral aspergillomas diagnosed by image diagnostics, bronchoscopy, and blood samples, and she received antifungal therapy.
Lim et al. [23] reported two cases that were diagnosed with COVID-19-associated pulmonary aspergillosis based on clinical, microbiological, and radiological evidence. These two cases showed radiological findings consistent with aspergillosis, including new cavities with soft tissues forming a typical crescent sign. Both patients had strongly positive serum galactomannan, which is a highly specific test in non-neutropenic patients. COVID-19-associated pulmonary aspergillosis is linked to increased mortality rates in critically ill COVID-19 patients. It can lead to complications such as acute respiratory distress syndrome, acute kidney injury, and liver damage. A voriconazole loading dose followed by daily isavuconazole is the recommended treatment for COVID-19-associated pulmonary aspergillosis. Although echinocandin is not recommended as a single treatment, combining it with azole-group anti-fungal treatments can be advantageous in cases where azole resistance is observed. Amphotericin B and posaconazole are other treatment options for COVID-19-associated pulmonary aspergillosis.
A study conducted by Wang et al. [24] investigated the clinical features and risk factors associated with invasive pulmonary aspergillosis (IPA) in COVID-19 patients. The study involved 104 COVID-19 patients, out of which 7.7% were diagnosed with IPA. The study found that advanced age, the use of β-lactamase inhibitor combination antibiotics, mechanical ventilation, and chronic obstructive pulmonary disease (COPD) were associated with a higher risk of developing IPA in COVID-19 patients. IPA patients were also more likely to have comorbidities like hypertension, COPD, and chronic kidney disease and required more mechanical ventilation support. Their study highlights the importance of the early diagnosis of IPA through bronchoscopy and obtaining fungal microbiology evidence, particularly in severe/critical COVID-19 patients. In case 1 of our study, the patient was treated for post-COVID complications and pulmonary abscess with antifungal medications, underscoring the threat of IPA in severe/critical COVID-19 patients.
Chaurasia et al. [25] reported a rare occurrence of chronic cavitary pulmonary aspergillosis in a COVID-19 patient, a 57-year-old man. Chronic cavitary is usually linked to slightly weakened immune systems or damage to the lungs, and it is not often found in COVID-19 patients. Although the patient initially responded well to COVID-19 treatment, he eventually deteriorated as his previous quiescent aspergilloma reactivated into a more aggressive form of CCPA. The patient was successfully treated with voriconazole. This case illustrates the possibility of latent infections being reactivated in COVID-19 patients, leading to a decline in their health.
Rai et al. [26] reported nine patients who developed lung cavities during a follow-up period from 1 May to 30 June 2021. The patients underwent routine blood and sputum tests as well as a bronchoscopy to identify the causes of the lung cavities. The study found that the duration from the COVID-19 symptoms to the detection of lung cavities varied from 18 to 82 days. Out of the seven patients who had recovered from COVID-19, four had a severe disease, two had a moderate disease, and one had a mild disease. The diagnostic workup revealed that five patients had COVID-19-associated pulmonary aspergillosis, one had mucormycosis, and one had a mycobacterium infection. Additionally, two patients with aspergillosis also had bacterial infections identified through sputum cultures that grew Klebsiella pneumonia. So, co-infections were reported as the underlying condition in all the cases they reported.
In two cases in our study, Staphylococcus epidermidis and Klebsiella pneumoniae were reported as co-infections. Staphylococcus epidermidis is a common bacterium found in human skin and mucosa. It is the most abundant species in the human nasal cavity, but its abundance changes throughout a person’s life. Studies have shown that S. epidermidis can regulate and train the immune system, protecting against colonization by harmful bacteria and respiratory viruses. Although not much research has been carried out on using S. epidermidis as a probiotic in the respiratory tract, this article emphasizes the importance of S. epidermidis in controlling and inhibiting respiratory pathogens, including the SARS-CoV-2 virus which causes COVID-19. The bacteria are more abundant in adolescents than in children and adults and prevent the colonization and infection of respiratory pathogens through the secretion of antimicrobial molecules and inhibitors of biofilm formation. The low number of S. epidermidis in the nasal cavity is linked to an increased risk of serious respiratory infections. The abovementioned article proposes using S. epidermidis as a probiotic to prevent COVID-19, as it induces the production of interferon type I and III and decreases the expression of the entry receptors of SARS-CoV-2 (ACE2 and TMPRSS2) in nasal epithelial cells [27]. Our case report is the first case of superinfection with Staphylococcus epidermidis causing lung cavities.
Xu et al. [28] reported that a 62-year-old male with respiratory symptoms was found to have a cavity with aspergilloma in the right upper lung lobe, a mass of consolidation in the right lower lung lobe, and hyperdense shadow bronchiectasis in the left lower lobe. The patient went into cardiac arrest during tracheal intubation but was successfully resuscitated. A laboratory examination showed acute kidney failure and severe myelosuppression with leukopenia and thrombocytopenia. A bronchoscopy revealed sputum occluding the right airway bronchus. Elevated levels of C-reactive protein, procalcitonin, (1,3)-β-D-glucan, and aspergillus immunoglobulin G were observed. Metagenomic next-generation sequencing and sputum cultures revealed Klebsiella pneumoniae and Aspergillus flavus infection. Kulkarni et al. [29] found that a COVID-19 patient with lung cavitation had sputum samples that had been analyzed for bacterial and fungal cultures. The bacterial culture showed the presence of Klebsiella pneumoniae, which was resistant to all antibiotics except for fosfomycin, while the fungal culture did not yield any results. A retrospective study by Amalnath et al. [30] showed that 22 patients developed large cavities 2 to 4 weeks after experiencing symptoms. None of these patients were on mechanical ventilation, but 18 of them died within a few days of discovering the cavities. Four patients had Acinetobacter baumannii in their blood, one patient had Klebsiella pneumoniae in their BAL fluid, two patients had Aspergillus flavus in their sputum, and one patient had Candida auris in their blood culture. Additionally, six patients had negative results for Xpert TB and acid fast stain.
Our results resonate with the findings of previous studies. Ciner et al. [31] conducted a retrospective study focusing on 15 COVID-19 patients who developed lung cavitation during recovery. They highlighted the rarity of this phenomenon and advocated for further investigation into its occurrence. Munir et al.’s case report [32] described a 68-year-old male patient who developed pulmonary cavitation as an atypical complication of COVID-19 pneumonia following prolonged hospitalization and extensive corticosteroid therapy. The subsequent development of invasive pulmonary aspergillosis underscores the importance of vigilance in observing severe COVID-19 pneumonia patients for potential opportunistic infections, particularly with prolonged corticosteroid therapy. Similarly, Rajpal et al.’s study [33] reported a rare sequela of pulmonary cavitation following COVID-19 recovery in an adult patient, with cavitary lung lesions attributed to Aspergillus flavus and Enterobacter cloacae. This highlights the possibility of fungal and bacterial coinfections in post-COVID-19 recovery, emphasizing the need for prompt recognition and appropriate treatment to prevent further morbidity and mortality.
Our study on pulmonary cavitation in COVID-19 patients is valuable but limited by a small sample size, retrospective design, and lack of a control group. Variability in imaging interpretation and the absence of standardized definitions further constrain the reliability of our findings. Future research with larger, prospective studies is needed for robust evidence.
3. Conclusions
In conclusion, our case series highlights the various causes of pulmonary cavitation observed in COVID-19 patients, including direct SARS-CoV-2 invasion, secondary bacterial and fungal infections, and medication side effects. It is crucial for physicians to consider these potential causes when treating COVID-19 patients with respiratory symptoms, especially those on high doses of steroids such as tocilizumab, which can increase susceptibility to superinfections and fungal infections. The presence of cavitation on radiological imaging, with or without air-fluid level or pneumothorax, should be considered as a possibility in suspected COVID-19 cases. Prompt recognition of these findings can aid in the diagnosis and management of COVID-19 patients and potentially reduce the risk of complications and mortality. Physicians should also be mindful of spontaneous pneumothorax as an alarming sign in COVID-19 patients.
Author Contributions
Conceptualization, M.A. and S.G.; methodology, J.A.; data curation, M.E.S.; writing—original draft preparation, M.S.S.; writing—review and editing, J.A. and M.E.S. and M.S.S.; supervision, M.A.; project administration, S.G. All authors have read and agreed to the published version of the manuscript.
Funding
This research received no external funding.
Institutional Review Board Statement
According to current Iranian regulations, case series studies do not need to be formally approved by the Ethics Committee.
Informed Consent Statement
All the subjects gave their informed consent for inclusion before they participated in this study.
Conflicts of Interest
The authors declare no conflicts of interest.
References
- World Health Organization. WHO Coronavirus (COVID-19) Dashboard. Available online: https://data.who.int/dashboards/covid19 (accessed on 1 July 2023).
- Wiersinga, W.J.; Rhodes, A.; Cheng, A.C.; Peacock, S.J.; Prescott, H.C. Pathophysiology, Transmission, Diagnosis, and Treatment of Coronavirus Disease 2019 (COVID-19): A Review. JAMA 2020, 324, 782–793. [Google Scholar] [CrossRef] [PubMed]
- Mayo Clinic. COVID-19 (Coronavirus). Available online: https://www.mayoclinic.org/diseases-conditions/coronavirus/symptoms-causes/syc-20479963 (accessed on 1 July 2023).
- Egoryan, G.; Hyser, E.; Mushtaq, A.H.; Yanez-Bello, M.A.; Trelles-Garcia, D.P.; Friedman, H.J.; Rodriguez-Nava, G. Development of cavitary lung disease as a long-term complication of coronavirus disease 2019 in a young previously healthy patient: A case report. J. Med. Case Rep. 2021, 15, 619. [Google Scholar] [CrossRef] [PubMed]
- Gadkowski, L.B.; Stout, J.E. Cavitary pulmonary disease. Clin. Microbiol. Rev. 2008, 21, 305–333. [Google Scholar] [CrossRef] [PubMed]
- Norris, T.W.; Snyder, B.M.; Purta, P.; Spilman, R.P.; Craig, V.J. COVID-19 and Lung Cavitation: A Clue to Pathogenesis? HCA Healthc. J. Med. 2022, 3, 166–169. [Google Scholar] [CrossRef] [PubMed]
- Bhoomi, A.; Ketan, P. Lung cavitation-a rare complication in COVID-19 patients: A case report. Arch. Pulmonol. Respir. Care 2020, 6, 078–080. [Google Scholar] [CrossRef]
- Selvaraj, V.; Dapaah-Afriyie, K. Lung cavitation due to COVID-19 pneumonia. BMJ Case Rep. CP 2020, 13, e237245. [Google Scholar] [CrossRef] [PubMed]
- Kruse, J.M.; Zickler, D.; Lüdemann, W.M.; Piper, S.K.; Gotthardt, I.; Ihlow, J.; Greuel, S.; Horst, D.; Kahl, A.; Eckardt, K.U.; et al. Evidence for a thromboembolic pathogenesis of lung cavitations in severely ill COVID-19 patients. Sci. Rep. 2021, 11, 14881. [Google Scholar] [CrossRef] [PubMed]
- Brandi, N.; Ciccarese, F.; Balacchi, C.; Rimondi, M.R.; Modolon, C.; Sportoletti, C.; Capozzi, C.; Renzulli, M.; Paccapelo, A.; Castelli, A.; et al. Co-Infections and Superinfections in COVID-19 Critically Ill Patients Are Associated with CT Imaging Abnormalities and the Worst Outcomes. Diagnostics 2022, 12, 1167. [Google Scholar] [CrossRef] [PubMed]
- He, D.; Fu, C.; Ning, M.; Hu, X.; Li, S.; Chen, Y. Biofilms possibly harbor occult SARS-CoV-2 may explain lung cavity, re-positive and long-term positive results. Front. Cell. Infect. Microbiol. 2022, 12, 971933. [Google Scholar] [CrossRef]
- Naranje, P.; Bhalla, A.S.; Jana, M.; Garg, M.; Nair, A.D.; Singh, S.K.; Banday, I. Imaging of Pulmonary Superinfections and Co-Infections in COVID-19. Curr. Probl. Diagn. Radiol. 2022, 51, 768–778. [Google Scholar] [CrossRef]
- Chiang, C.-H.; Shih, J.-F.; Su, W.-J.; Perng, R.-P. Eight-Month Prospective Study of 14 Patients with Hospital-Acquired Severe Acute Respiratory Syndrome. Mayo Clin. Proc. 2004, 79, 1372–1379. Available online: https://www.mayoclinicproceedings.org/article/S0025-6196(11)63375-3/fulltext (accessed on 1 July 2023). [CrossRef] [PubMed]
- Lansbury, L.; Lim, B.; Baskaran, V.; Lim, W.S. Co-infections in people with COVID-19: A systematic review and meta-analysis. J. Infect. 2020, 81, 266–275. [Google Scholar] [CrossRef] [PubMed]
- Kubin, C.J.; McConville, T.H.; Dietz, D.; Zucker, J.; May, M.; Nelson, B.; Istorico, E.; Bartram, L.; Small-Saunders, J.; Sobieszczyk, M.E.; et al. Characterization of Bacterial and Fungal Infections in Hospitalized Patients with Coronavirus Disease 2019 and Factors Associated with Health Care-Associated Infections. Open Forum Infect. Dis. 2021, 8, ofab201. [Google Scholar] [CrossRef] [PubMed]
- Modi, A.R.; Kovacs, C.S. Hospital-acquired and ventilator-associated pneumonia: Diagnosis, management, and prevention. Clevel. Clin. J. Med. 2020, 87, 633–639. [Google Scholar] [CrossRef] [PubMed]
- Chowdhury, T.; Mainali, A.; Bellamkonda, A.; Gousy, N. Acinetobacter: A Rare Cause of Rapid Development of Cavitary Lung Lesion Following COVID-19 Infection. Cureus 2022, 14, e24366. [Google Scholar] [CrossRef] [PubMed]
- Kedia, Y.S.; Awad, N.T.; Nair, J.P.; Thorve, S.M. Bilateral Fungus Ball: An Uncommon Complication Post Severe COVID-19 Infection. J. Assoc. Physicians India 2021, 69, 11–12. [Google Scholar] [PubMed]
- Patti, R.K.; Dalsania, N.R.; Somal, N.; Sinha, A.; Mehta, S.; Ghitan, M.; Seneviratne, C.; Kupfer, Y. Subacute Aspergillosis ‘Fungal Balls’ Complicating COVID-19. J. Investig. Med. High. Impact Case Rep. 2020, 8, 2324709620966475. [Google Scholar] [CrossRef] [PubMed]
- Lai, C.C.; Yu, W.L. COVID-19 associated with pulmonary aspergillosis: A literature review. J. Microbiol. Immunol. Infect. 2021, 54, 46–53. [Google Scholar] [CrossRef] [PubMed]
- Koehler, P.; Bassetti, M.; Chakrabarti, A.; Chen, S.C.A.; Colombo, L.A.; Hoenigl, M.; Klimko, N.; Lass-Flörl, C.; Oladele, O.; Vinh, D.C.; et al. COVID-19 associated pulmonary aspergillosis. Mycoses 2020, 63, 528–534. [Google Scholar] [CrossRef]
- Banke, G.; Kjeldgaard, P.; Shaker, S.B.; Sivapalan, P.; Søholm, J.; Back Holmgaard, D.; Thyssen Astvad, K.M.; Bangsborg, J.; Brun Andersen, M.; Bonnesen, B. Aspergilloma complicating previous COVID-19 pneumonitis—A case report. APMIS 2022, 130, 397–403. [Google Scholar] [CrossRef]
- Lim, J.L.; Khor, I.S.; Moh, C.K.; Chan, Y.M.; Lam, Y.F.; Lachmanan, K.R. Two cases of COVID-19-associated pulmonary aspergillosis (CAPA). Respirol. Case Rep. 2022, 10, e0940. [Google Scholar] [CrossRef] [PubMed]
- Wang, J.; Yang, Q.; Zhang, P.; Sheng, J.; Zhou, J.; Qu, T. Clinical characteristics of invasive pulmonary aspergillosis in patients with COVID-19 in Zhejiang, China: A retrospective case series. Crit. Care 2020, 24, 299. [Google Scholar] [CrossRef] [PubMed]
- Chaurasia, S.; Thimmappa, M.; Chowdhury, S. Case Report: Chronic Cavitatory Pulmonary Aspergillosis after COVID-19. Am. J. Trop. Med. Hyg. 2022, 106, 105–107. [Google Scholar] [CrossRef] [PubMed]
- Rai, D.K.; Priyadarshi, R.K.; Karmaker, S. Study to assess aetiology, clinical and imaging characteristics of post COVID-19 pulmonary cavitation. J. Fam. Med. Prim. Care 2022, 11, 739. [Google Scholar] [CrossRef]
- Ortega-Peña, S.; Rodríguez-Martínez, S.; Cancino-Diaz, M.E.; Cancino-Diaz, J.C. Staphylococcus epidermidis Controls Opportunistic Pathogens in the Nose, Could It Help to Regulate SARS-CoV-2 (COVID-19) Infection? Life 2022, 12, 341. [Google Scholar] [CrossRef] [PubMed]
- Xu, Y.; Wang, Y.; Wu, J.; Zhao, X.; Huang, G.; Fang, J. Coinfection with Hypervirulent Klebsiella pneumoniae and Aspergillus flavus in a Critically Ill Patient with Aspergillus Overlap Syndrome: A Case Report. Infect. Drug Resist. 2022, 15, 7823–7830. [Google Scholar] [CrossRef] [PubMed]
- Kulkarni, K.D.; Pranavi, V.; Apoorva, R.; Lathadevi, H.T.; Biradar, S.M. Pulmonary Cavity: An Additional Entity to the Spectrum of COVID-19 Complications. J. Clin. Diagn. Res. 2022, 16, 1. [Google Scholar] [CrossRef]
- Amalnath, D.; Barathi, D.; Pari, H. Uncommon Manifestation of COVID-19—Delayed Onset Cavitating Lung Lesions, a Retrospective Study of 22 Patients from a Tertiary Care Centre in Southern India. J. Assoc. Physicians India 2022, 70, 11–12. [Google Scholar]
- Çınar, C.; Kocakaya, D.; Yıldızeli, S.O.; Karakurt, S. Lung Cavitation as a Long-Term Imaging Pattern of COVID-19. Cureus 2023, 15, e39825. [Google Scholar] [CrossRef] [PubMed] [PubMed Central]
- Munir, A.; Dahhan, H.; Huda, Z.; Lone, N.A. Concomitant Pulmonary Aspergillosis Following Severe COVID-19. Cureus 2023, 15, e41112. [Google Scholar] [CrossRef] [PubMed] [PubMed Central]
- Rajpal, K.; Kumar, S.; Saurabh, K.; Kumari, N.; Kumar, R.; Kumar, R.; Muni, S. Post-COVID-19 cavitary lung lesion due to Aspergillus flavus and Enterobacter cloacae in a patient suffering from COVID-19 pneumonia—A case report. Access Microbiol. 2023, 5, acmi000457. [Google Scholar] [CrossRef] [PubMed] [PubMed Central]
Disclaimer/Publisher’s Note: The statements, opinions and data contained in all publications are solely those of the individual author(s) and contributor(s) and not of MDPI and/or the editor(s). MDPI and/or the editor(s) disclaim responsibility for any injury to people or property resulting from any ideas, methods, instructions or products referred to in the content. |
© 2024 by the authors. Licensee MDPI, Basel, Switzerland. This article is an open access article distributed under the terms and conditions of the Creative Commons Attribution (CC BY) license (https://creativecommons.org/licenses/by/4.0/).






