The Composition of the L5-S1 Neural Foramen on MRI—A Retrospective Cohort Study Examining the Anatomy Relevant to Transforaminal Epidural Steroid Injections
Abstract
1. Introduction
2. Materials and Methods
2.1. Sample Selection
2.2. Data Collection and MRI Review Methods
2.3. Statistical Analysis
3. Results
3.1. Demographics and Foraminal Stenosis
3.2. Foraminal Fat Distribution
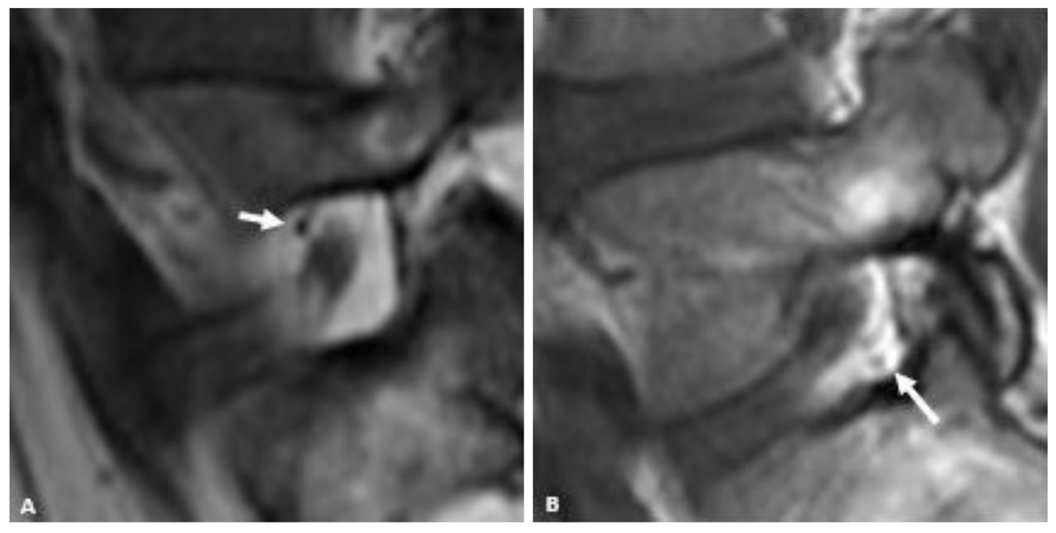
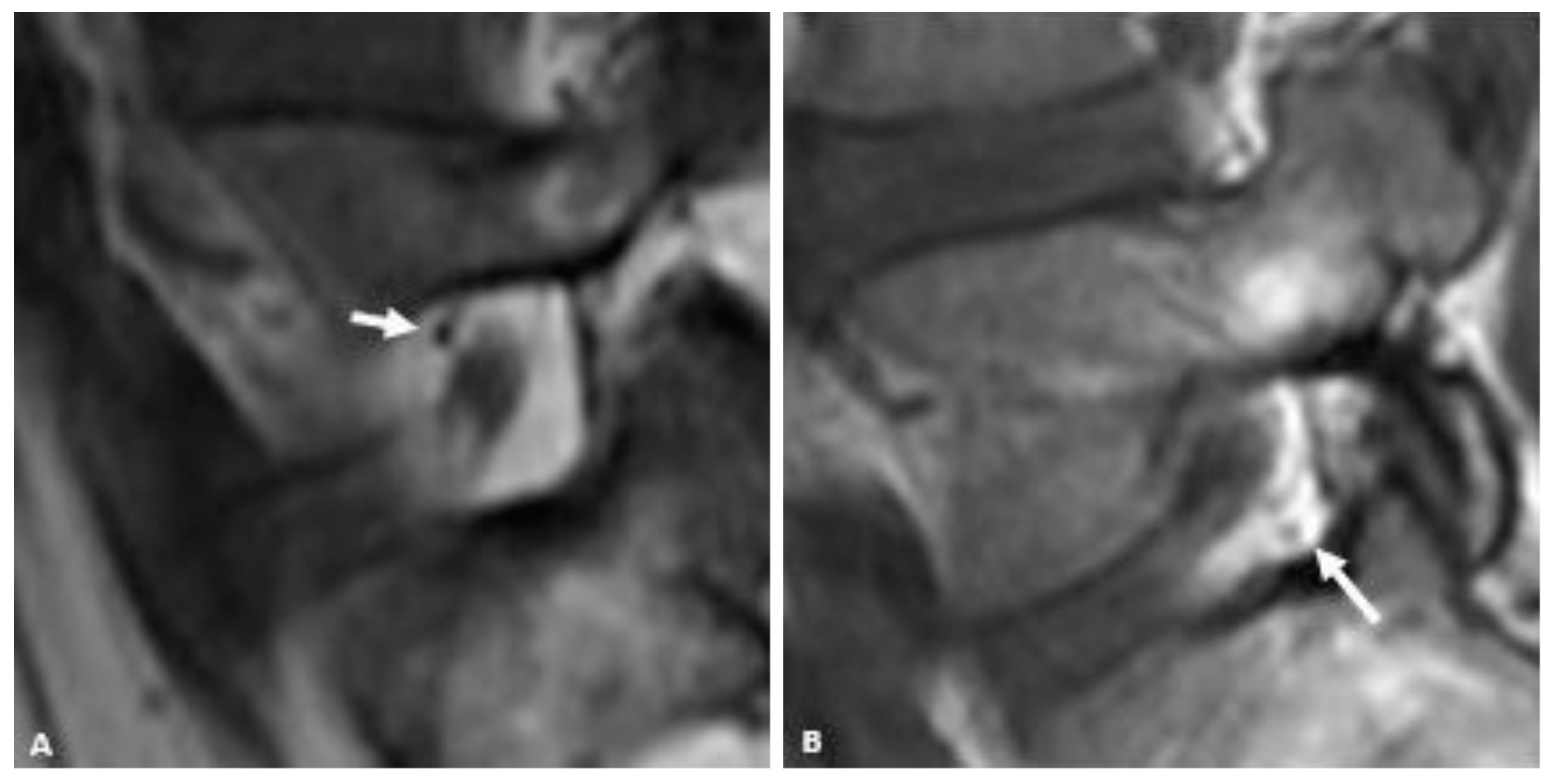
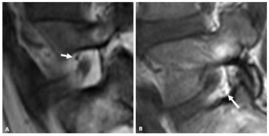
3.3. Foraminal Vessels
3.4. Inter-Rater Reliability
4. Discussion
5. Conclusions
Author Contributions
Funding
Institutional Review Board Statement
Informed Consent Statement
Data Availability Statement
Conflicts of Interest
References
- Helm, S.; Harmon, P.C.; Noe, C.; Calodney, A.K.; Abd-Elsayed, A.; Knezevic, N.N.; Racz, G.B. Meta-Analysis Transforaminal Epidural Steroid Injections: A Systematic Review and Meta-Analysis of Efficacy and Safety. Pain Physician 2021, 24, S209–S232. Available online: www.painphysicianjournal.com (accessed on 12 April 2024).
- Slipman, C.W.; Chow, D.W. Therapeutic spinal corticosteroid injections for the management of radiculopathies. Phys. Med. Rehabil. Clin. N. Am. 2002, 13, 697–711. [Google Scholar] [CrossRef]
- Botwin, K.P.; Gruber, R.D.; Bouchlas, C.G.; Torres-Ramos, F.M.; Sanelli, J.T.; Freeman, E.D.; Slaten, W.K.; Rao, S. Fluoroscopically guided lumbar transformational epidural steroid injections in degenerative lumbar stenosis: An outcome study. Am. J. Phys. Med. Rehabil. 2002, 81, 898–905. [Google Scholar] [CrossRef]
- Mandell, J.C.; Czuczman, G.J.; Gaviola, G.C.; Ghazikhanian, V.; Cho, C.H. The lumbar neural foramen and transforaminal epidural steroid injections: An anatomic review with key safety considerations in planning the percutaneous approach. Am. J. Roentgenol. 2017, 209, W26–W35. [Google Scholar] [CrossRef]
- McHugh, M.L. Interrater reliability: The kappa statistic. Biochem. Med. 2012, 22, 276–282. [Google Scholar] [CrossRef]
- Cohen, J. A power primer. Psychol. Bull. 1992, 112, 155–159. [Google Scholar] [CrossRef]
- Arslan, M.; Cömert, A.; Açar, H.I.; Özdemir, M.; Elhan, A.; Tekdemir, I.; Tubbs, S.R.; Attar, A.; Uğur, H. Lumbosacral intrathecal nerve roots: An anatomical study. Acta Neurochir. 2011, 153, 1435–1442. [Google Scholar] [CrossRef]
- Arslan, M.; Cömert, A.; Açar, H.I.; Özdemir, M.; Elhan, A.; Tekdemir, I.; Tubbs, R.S.; Uğur, H. Nerve root to lumbar disc relationships at the intervertebral foramen from a surgical viewpoint: An anatomical study. Clin. Anat. 2012, 25, 218–223. [Google Scholar] [CrossRef]
- Uchikado, H.; Nishimura, Y.; Hattori, G.; Ohara, Y. Micro-anatomical structures of the lumbar intervertebral foramen for full-endoscopic spine surgery: Review of the literatures. J. Spine Surg. 2020, 6, 405–414. [Google Scholar] [CrossRef]
- Rathmell, J.P.; Benzon, H.T.; Dreyfuss, P.; Huntoon, M.; Wallace, M.; Baker, R.; Riew, K.D.; Rosenquist, R.W.; Aprill, C.; Rost, N.S.; et al. Safeguards to Prevent Neurologic Complications after Epidural Steroid Injections. Anesthesiology 2015, 122, 974–984. [Google Scholar] [CrossRef]
- Gregg, L.; Sorte, D.E.; Gailloud, P. Intraforaminal location of thoracolumbar radicular arteries providing an anterior radiculomedullary artery using flat panel catheter angiotomography. Am. J. Neuroradiol. 2017, 38, 1054–1060. [Google Scholar] [CrossRef]
- Taterra, D.; Skinningsrud, B.; Pękala, P.A.; Hsieh, W.C.; Cirocchi, R.; Walocha, J.A.; Tubbs, R.S.; Tomaszewski, K.A.; Henry, B.M. Artery of Adamkiewicz: A meta-analysis of anatomical characteristics. Neuroradiology 2019, 61, 869–880. [Google Scholar] [CrossRef]
- Yamada, N.; Okita, Y.; Minatoya, K.; Tagusari, O.; Ando, M.; Takamiya, M.; Kitamura, S. Preoperative demonstration of the Adamkiewicz artery by magnetic resonance angiography in patients with descending or thoracoabdominal aortic aneurysms. Eur. J. Cardiothorac. Surg. 2000, 18, 104–111. [Google Scholar] [CrossRef]
- Koshino, T.; Murakami, G.; Morishita, K.; Mawatari, T.; Abe, T. Does the Adamkiewicz artery originate from the larger segmental arteries? J. Thorac. Cardiovasc. Surg. 1999, 117, 898–905. [Google Scholar] [CrossRef]
- Biglioli, P.; Roberto, M.; Cannata, A.; Parolari, A.; Fumero, A.; Grillo, F.; Maggioni, M.; Coggi, G.; Spirito, R. Upper and lower spinal cord blood supply: The continuity of the anterior spinal artery and the relevance of the lumbar arteries. J. Thorac. Cardiovasc. Surg. 2004, 127, 1188–1192. [Google Scholar] [CrossRef]
- Gailloud, P. The artery of von Haller: A constant anterior radiculomedullary artery at the upper thoracic level. Neurosurgery 2013, 73, 1034–1043. [Google Scholar] [CrossRef]
- Reis, C.; Rocha, J.A.; Chamadoira, C.; Pereira, P.; Fonseca, J. Foraminal L5-S1 disc herniation and conus medullaris syndrome: A vascular etiology? Acta Neurochir. 2007, 149, 533–535. [Google Scholar] [CrossRef]
- Chou, D.; Narsinh, K. Editorial. The relevance of the artery of Adamkiewicz in the 21st century. J. Neurosurg. Spine 2023, 38, 230–231. [Google Scholar] [CrossRef]
- Masson, C.; Bardin, T. Desproges-Gotteron artery, spinal cord infarction, and transforaminal glucocorticoid injections. Jt. Bone Spine 2009, 76, 120–121. [Google Scholar] [CrossRef]
- Levi, D.; Horn, S.; Corcoran, S. The Incidence of Intradiscal, Intrathecal, and Intravascular Flow during the Performance of Retrodiscal (Infraneural) Approach for Lumbar Transforaminal Epidural Steroid Injections. Pain Med. 2016, 17, 1416–1422. [Google Scholar] [CrossRef]
- Galley, H.F.; Adam, R.; Columb, M.O.; Onyeakazi, U.M.; Kanakarajan, S. Supraneural versus Infraneural Approach to transforaMinal Epidural StEroid injection for unilateral lumbosacral radicular pain (SIAMESE): A study protocol for a randomised non-inferiority trial. BJA Open 2023, 5, 100126. [Google Scholar] [CrossRef]



| Antero-Superior Foraminal Fat | N (%) | |
|---|---|---|
| None | 8 (27.6) | |
| Minimal | 15 (51.7%) | |
| Substantial | 6 (20.7%) | |
| Postero-Inferior Foraminal Fat | N (%) | |
| None | 2 (6.9%) | |
| Minimal | 4 (13.8%) | |
| Substantial | 23 (79.3%) |
| “None-Mild” Stenosis N (%) | “Moderate-Severe” Stenosis N (%) | p-Value | |
|---|---|---|---|
| Antero-superior Fat | |||
| None | 2 (10.5%) | 6 (60%) | 0.009 |
| Minimal | 11 (57.9%) | 4 (40%) | |
| Substantial | 6 (31.6%) | 0 (0%) | |
| Postero-inferior Fat | |||
| None | 0 (0%) | 2 (20%) | <0.001 |
| Minimal | 0 (0%) | 4 (40%) | |
| Substantial | 19 (100%) | 4 (40%) |
| Location of Vessel(s) | “None-Mild” Stenosis N (%) | “Moderate-Severe” Stenosis N (%) | p-Value |
|---|---|---|---|
| Antero-superior only | 1 (5.3%) | 0 (0%) | 0.005 |
| Postero-inferior only | 5 (26.3%) | 2 (20%) | |
| Antero-superior + Postero-inferior | 9 (47.4%) | 0 (0%) | |
| None seen (N/A) | 4 (21.1%) | 8 (80%) |
| Kappa (K) | Level of Agreement | |
|---|---|---|
| Antero-superior Fat | 0.52 | Weak |
| Postero-inferior Fat | 0.74 | Moderate |
| Vessels | 0.50 | Weak |
| Foraminal Stenosis | 0.66 | Moderate |
| L4-L5 Lateral Recess Stenosis | 0.77 | Moderate |
| L5-S1 Listhesis | 0.77 | Moderate |
Disclaimer/Publisher’s Note: The statements, opinions and data contained in all publications are solely those of the individual author(s) and contributor(s) and not of MDPI and/or the editor(s). MDPI and/or the editor(s) disclaim responsibility for any injury to people or property resulting from any ideas, methods, instructions or products referred to in the content. |
© 2024 by the authors. Licensee MDPI, Basel, Switzerland. This article is an open access article distributed under the terms and conditions of the Creative Commons Attribution (CC BY) license (https://creativecommons.org/licenses/by/4.0/).
Share and Cite
Stewart, Z.E.; Mercer, R.W.; Staffa, S.; Simeone, F.J.; Huang, A.J. The Composition of the L5-S1 Neural Foramen on MRI—A Retrospective Cohort Study Examining the Anatomy Relevant to Transforaminal Epidural Steroid Injections. Anesth. Res. 2024, 1, 44-53. https://doi.org/10.3390/anesthres1020006
Stewart ZE, Mercer RW, Staffa S, Simeone FJ, Huang AJ. The Composition of the L5-S1 Neural Foramen on MRI—A Retrospective Cohort Study Examining the Anatomy Relevant to Transforaminal Epidural Steroid Injections. Anesthesia Research. 2024; 1(2):44-53. https://doi.org/10.3390/anesthres1020006
Chicago/Turabian StyleStewart, Zachary E., Ronald W. Mercer, Steven Staffa, F. Joseph Simeone, and Ambrose J. Huang. 2024. "The Composition of the L5-S1 Neural Foramen on MRI—A Retrospective Cohort Study Examining the Anatomy Relevant to Transforaminal Epidural Steroid Injections" Anesthesia Research 1, no. 2: 44-53. https://doi.org/10.3390/anesthres1020006
APA StyleStewart, Z. E., Mercer, R. W., Staffa, S., Simeone, F. J., & Huang, A. J. (2024). The Composition of the L5-S1 Neural Foramen on MRI—A Retrospective Cohort Study Examining the Anatomy Relevant to Transforaminal Epidural Steroid Injections. Anesthesia Research, 1(2), 44-53. https://doi.org/10.3390/anesthres1020006

