Exploring New Territories: New Records and Occurrence Confirmation of Two Caridean Shrimps in Brazil †
Abstract
1. Introduction
2. Materials and Methods
3. Results
3.1. Systematics
- Family Hippolytidae Spence Bate, 1888
- Genus Latreutes Stimpson, 1860
- Material examined. Brazil, São Paulo, Ubatuba: 5 ♀ (ovigerous) (CL: 2.38–2.77 mm, all specimens dissected), 23°30′01.7″ S; 45°07ʹ07.2″ W, 14 December 2023, depth 0.70 m, nocturnal hand net sample, tide pool with banks of brown algae Sargassum spp. (CCDB 8189).
- Diagnosis. Rostrum laterally compressed, with the upper margin possessing a middorsal row of 5–8 teeth (Figure 2A,C). Eyes well-developed, with eyestalks featuring a truncated process at the upper inner margin, overlapping the line separating the cornea from the stalk (Figure 2B,D). Scaphocerite 2.32–2.62 (usually <2.5) times as long as broad (Figure 2E and Table 1).
- Ecology. This species inhabits a wide variety of habitats in littoral waters, both associated with sponges and among shells, dead coral, hydroids, and seagrass flats, ranging from shallow waters to depths of up to 44 m [6]. It likely utilizes fronds of brown algae, Sargassum filipendula C. Agardh, 1824, S. vulgare C. Agardh, 1820, and S. cymosum C. Agardh, 1820, as shelter and nursery areas in tide pools (this study).
- Remarks. The occurrence of L. parvulus was mistakenly attributed to the Brazilian coast. Terossi et al. [20], through a combination of morphological and molecular data, revealed that specimens previously identified as L. parvulus in Brazil were actually Latreutes baueri Terossi, Almeida and Mantelatto, 2019. The latter species differs from L. parvulus by having a smooth eyestalk and a scaphocerite ratio usually greater than 3 (range: 2.5 to 3.3), whereas in L. parvulus, the eyestalk bears a small, truncated process separating the cornea from the stalk, and the scaphocerite ratio is usually less than 2.5 (range: 1.5 to 2.5). To date, only one specimen from the Ubatuba coast has shown slight variability in the scaphocerite ratio (2.62), differing from the original description.
- Material examined. Brazil, São Paulo, Ubatuba: 5 ♀ (ovigerous) (CL: 4.19–5.00 mm, all specimens dissected), 23°30′01.7″ S; 45°07′07.2″ W, 14 December 2023, depth 0.70 m, nocturnal net sample, tide pool with banks of brown algae Sargassum spp. (CCDB 6808); 3 ♀ (CL: 4.5–4.9 mm, all specimens dissected), 1 ♂ (CL: 3.43 mm, specimen dissected), 4 September 2024, depth 0.50 m, nocturnal net sample, tide pool with sand bottom sediment; 2 ♀ (ovigerous) (CL: 3.90–4.90 mm, all specimens dissected), 4 ♂ (CL: 2.57–3.57 mm, all specimens dissected), 3 September 2024, depth 0.30 m, nocturnal net sample, tide pool with sand bottom sediment.
- Diagnosis. Rostrum is short, unarmed, not extending beyond the anterior margin of the eye, with a bifid apex (Figure 3B,C). Antennular peduncle with stylocerite bearing a small spinule at the lateral margin (Figure 3D,F). Second pleopod of the male with appendix masculina armed with four apical simple setae; additional setae similar to the apical ones are located posteriorly, with a small simple seta positioned at approximately three-fourths of the length of the appendix masculina (Figure 3E). Second pair of pereiopods symmetrical, both chelate, carpus subdivided into 9 to 11 articles (Figure 3G). Telson with two pairs of dorsal spines; a transverse row of setae between the anterior pair of spines; three longitudinal rows of setae: one central row and two lateral rows along with the pair of dorsal spines (Figure 3H).
- Distribution. Western Atlantic: Coche and Margarita Islands, Venezuela [18]; Prainha da USP, Ubatuba, São Paulo (this study).
- Ecology. This species inhabits shallow areas with a depth less than 1 m, associated with beds of the seagrass Thalassia testudinum [18] or in tide pools with sandy bottom sediment (this study).
- Remarks. Ambidexter cochensis can be easily distinguished from A. symmetricus Manning and Chace, 1971 (the most common species of the genus Ambidexter in Brazil) by the presence of a stylocerite armed with a lateral spinule, whereas in A. symmetricus, the stylocerite is rounded and unarmed [17]. In addition, only A. cochensis exhibits three longitudinal rows of setae (one central row and two lateral rows along with the pair of dorsal spines) on its telson [18]. Another distinguishing feature is the number and arrangement of setae on the appendix masculina of the second pleopod in males. Ambidexter symmetricus and A. swifti Abele, 1972 have four strong simple apical setae, while A. panamensis Abele, 1972 exhibits four weaker lateral setae in addition to the four apical setae. In contrast, the appendix masculina in A. cochensis displays four strong simple apical setae and two weaker simple setae positioned below them [16,17,18].
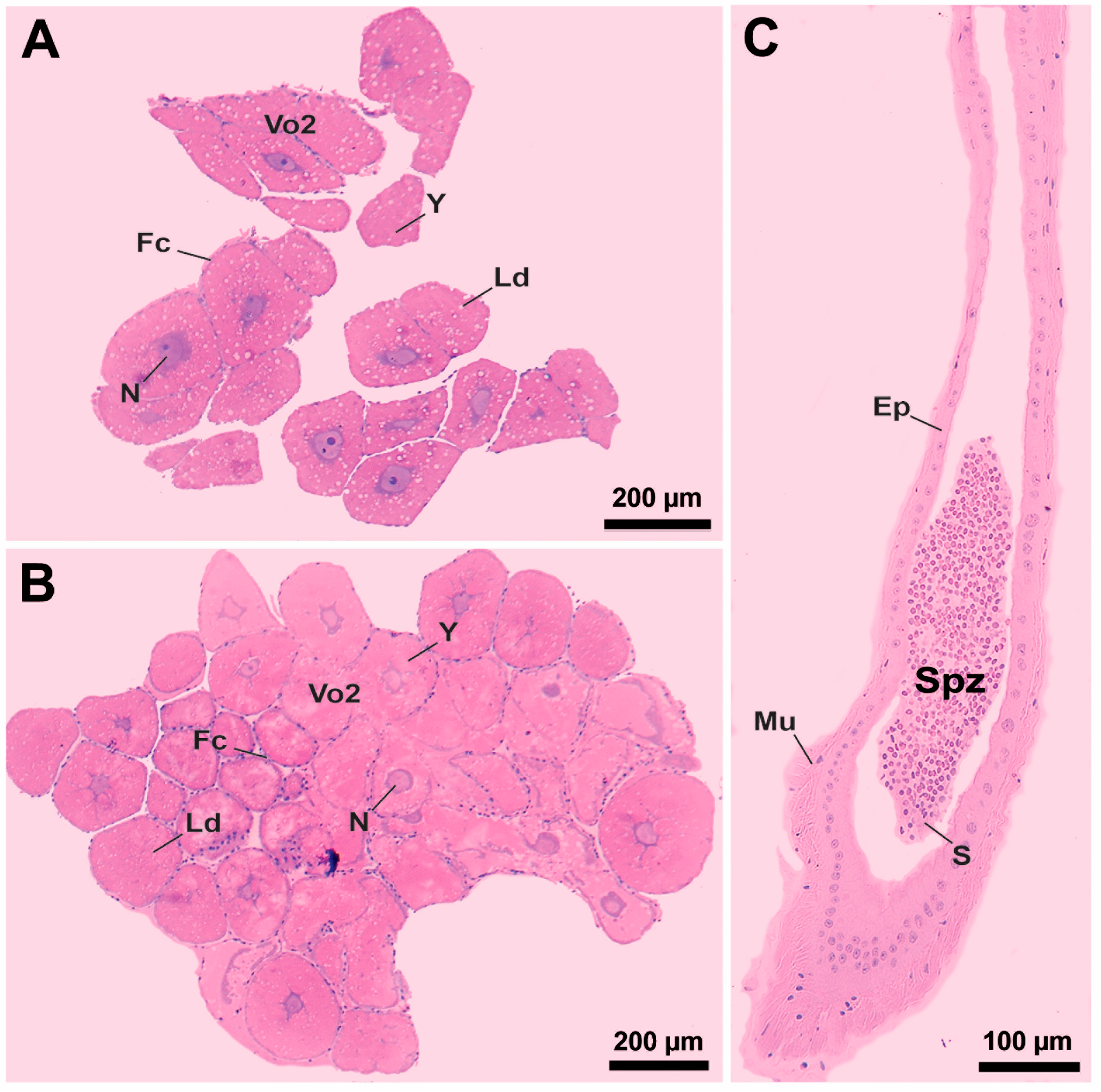
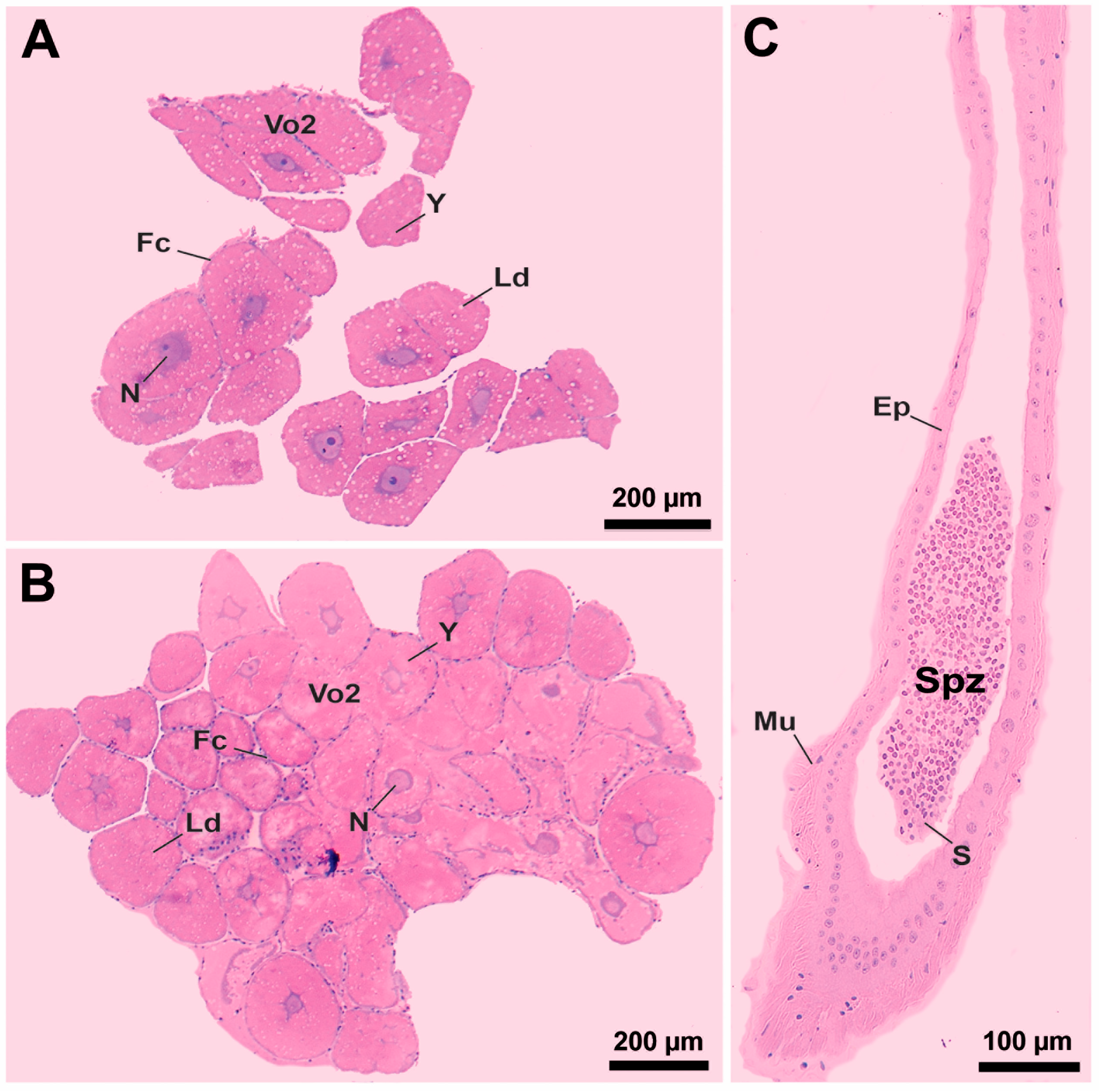
3.2. Reproductive Aspects
| Individual | CL (mm) | Body Weight (mg) | Hepatopancreas Weight (mg) | Ovary Weight (mg) | Embryo Mass (mg) | HIS | GSI | RO | Fecundity | SH (mm) | SW (mm) | SH/SW Ratio |
|---|---|---|---|---|---|---|---|---|---|---|---|---|
| 1 | 2.77 | 0.0272 | 0.0002 | 0.0007 | 0.0037 | 0.74 | 2.57 | 13.60 | 107 | 1.267 | 0.55 | 2.30 |
| 2 | 2.63 | 0.0135 | 0.0002 | 0.0003 | 0.0010 | 1.48 | 2.22 | 7.41 | 76 | 1.219 | 0.514 | 2.37 |
| 3 | 2.78 | 0.0188 | 0.0005 | 0.0006 | 0.0020 | 2.66 | 3.19 | 10.64 | 76 | 1.220 | 0.465 | 2.62 |
| 4 | 2.58 | 0.0155 | 0.0006 | 0.0004 | 0.0025 | 3.87 | 2.58 | 16.13 | 75 | 1.115 | 0.467 | 2.39 |
| 5 | 2.38 | 0.0168 | 0.0001 | 0.0003 | 0.0023 | 0.60 | 1.79 | 13.69 | 103 | 1.142 | 0.493 | 2.32 |
| Mean (±s.d.) | 2.63 (±0.12) | 0.0183 (±0.0037) | 0.0003 (±0.0001) | 0.0005 (±0.0001) | 0.0023 (±0.0006) | 1.87 (±1.12) | 2.47 (±0.37) | 12.29 (±2.61) | 87 (±14) | 1.192 (±0.05) | 0.498 (±0.02) | 2.40 (±0.08) |
4. Discussion
Author Contributions
Funding
Data Availability Statement
Acknowledgments
Conflicts of Interest
References
- Bauer, R.T. Shrimps: Their Diversity, Intriguing Adaptations and Varied Lifestyles; Springer Nature: Berlin, German, 2023; pp. 1–720. [Google Scholar]
- De Grave, S.; Fransen, C.H.J.M. Carideorum catalogus: The recent species of the dendrobranchiate, stenopodidean, procarididean and caridean shrimps (Crustacea: Decapoda). Zool. Med. Leiden 2011, 85, 195–588. [Google Scholar]
- Poore, G.C.; Ahyong, S.T. Marine Decapod Crustacea: A Guide to Families and Genera of the World; CSIRO Publishing: Melbourne, Australia, 2023; pp. 1–916. [Google Scholar]
- Coutinho, R.; Yaginuma, L.E.; Siviero, F.; Santos, J.C.Q.D.; López, M.S.; Christofoletti, R.A.; Berchez, F.; Ghilardi-Lopes, N.P.; Ferreira, C.E.L.; Gonçalves, J.E.A.; et al. Studies on benthic communities of rocky shores on the Brazilian coast and climate change monitoring: Status of knowledge and challenges. Braz. J. Oceanogr. 2016, 64, 27–36. [Google Scholar]
- Almeida, A.O.; Guerrazzi, M.C. Stomatopod and decapod crustaceans from Camamu Bay, state of Bahia, Brazil. Zootaxa 2007, 1553, 1–45. [Google Scholar]
- Williams, A.B. Shrimps, Lobsters, and Crabs of the Atlantic Coast of the Eastern United States, Maine to Florida; Smithsonian Institution Press: Washington, DC, USA, 1984; pp. 1–550. [Google Scholar]
- Moraes, I.R.R.; Almeida, A.O.; Cobo, V.J.; Alves, D.F.R.; Davanso, T.M.; Castilho, A.L. Biodiversity of caridean shrimps on rocky bottoms of two preserved islands on the southeastern Brazilian coast. Mar. Biol. Res. 2020, 16, 616–631. [Google Scholar]
- Moraes, I.R.R.; Trevisan, M.R.R.; Rodrigues, G.F.B.; Silva, A.R.D.; Castilho, A.L. Notes on the fecundity of the caridean shrimp Cuapetes americanus (Kingsley, 1878) in two preserved areas in São Paulo State: Laje de Santos and Vitória Island. Nauplius 2022, 30, e2022036. [Google Scholar] [CrossRef]
- Salmazo, J.R.; Semprebom, T.R.; Dall’Aqua, R.; Peiró, D.F. Costões rochosos: Muito mais que um amontoado de rochas. R. Biol. Mar. Divulg. Cient. 2018, 1, 30–34. [Google Scholar]
- Mantelatto, F.L.; Tamburus, A.F.; Carvalho-Batista, A.; Rossi, N.; Buranelli, R.C.; Pantaleão, J.A.; Teles, J.N.; Zara, F.J.; Carvalho, F.L.; Bochini, G.L.; et al. Checklist of decapod crustaceans from the coast of the São Paulo state (Brazil) supported by integrative molecular and morphological data: V. Dendrobranchiata and Pleocyemata [Achelata, Astacidea, Axiidea, Caridea (Alpheoidea and Processoidea excluded), Gebiidea, Stenopodidea]. Zootaxa 2022, 5121, 1–74. [Google Scholar] [PubMed]
- Moraes, A.B.; Moraes, D.C.S.; França, N.F.C.; Malheiros, J.M.; Freire, F.A.M. Ambidexter symmetricus Manning & Chace, 1971 (Decapoda, Processidae): First record for Rio Grande do Norte and overview of the species distribution on the Brazilian coast. Check List 2018, 14, 539–544. [Google Scholar]
- Sousa, G.S.; Carvalho, M.A.O.; Guimarães, C.R.P. First record of Trachycaris restricta (A. Milne-Edwards, 1878) (Crustacea, Hippolytidae) from the state of Sergipe, northeast Brazil: Filling distribution gaps. Check List 2014, 10, 1204–1206. [Google Scholar]
- Almeida, A.O.; Bohs, G.; Silva, C.D.L.A.; Bezerra, L.E.A. Shallow-water caridean shrimps from southern Bahia, Brazil, including the first record of Synalpheus ul (Rios and Duffy, 2007) in the southwestern Atlantic Ocean. Zootaxa 2012, 3347, 1–35. [Google Scholar] [CrossRef]
- Terossi, M.; Cardoso, I. How many species of shrimps (Decapoda: Caridea, Dendrobranchiata, Stenopodidea) in Brazil? Diversity, geographic distribution, and history of taxonomic studies based on the Catálogo Taxonômico da Fauna do Brasil (Taxonomic Catalog of the Brazilian Fauna). J. Crustac. Biol. 2024, 44, ruae070. [Google Scholar] [CrossRef]
- Terossi, M.; Almeida, A.O.; Buranelli, R.C.; Castilho, A.L.; Costa, R.C.; Zara, F.J.; Mantelatto, F.L. Checklist of decapods (Crustacea) from the coast of the São Paulo state (Brazil) supported by integrative molecular and morphological data: I. Infraorder Caridea: Families Hippolytidae, Lysmatidae, Ogyrididae, Processidae and Thoridae. Zootaxa 2018, 4370, 76–94. [Google Scholar] [CrossRef]
- Abele, L. A Review of the Genus Ambidexter (Crustacea: Decapoda: Processidae) in Panama. Bull. Mar. Sci. 1972, 22, 365–380. [Google Scholar]
- Manning, R.B.; Chace, F.A., Jr. Shrimps of the family Processidae from the northwestern Atlantic Ocean (Crustacea: Decapoda: Caridea). Smithson. Contrib. Zool. 1971, 89, 1–41. [Google Scholar] [CrossRef]
- Rodriguez, P.; Lira, C. A new species of shrimp, genus Ambidexter Manning & Chace, 1971 (Decapoda: Processidae), from southeastern Caribbean Sea, Venezuela, with key to genus. Zootaxa 2022, 5219, 287–294. [Google Scholar]
- Almeida, A.O.; Bezerra, L.E.A. Nikoides schmitti Manning & Chace, 1971 (Caridea: Processidae) in the South Atlantic Ocean, with an updated list and key for processid shrimps of Brazil. Zootaxa 2011, 2864, 34–42. [Google Scholar]
- Terossi, M.; Almeida, A.O.; Mantelatto, F.L. Morphology and DNA data reveal a new shrimp species of genus Latreutes Stimpson, 1860 (Decapoda: Hippolytidae) from the western Atlantic. Zool.Sci. 2019, 36, 440–447. [Google Scholar] [CrossRef]
- Grant, A.; Tyler, P.A. The analysis of data in studies of invertebrate reproduction. I. Introduction and statistical analysis of gonad indices and maturity indices. Int. J. Invertebr. Reprod. 1983, 6, 259–269. [Google Scholar] [CrossRef]
- Anger, K.; Moreira, G.S. Morphometric and reproductive traits of tropical caridean shrimps. J. Crustac. Biol. 1998, 18, 823–838. [Google Scholar] [CrossRef]
- Zara, F.J.; Gaeta, H.H.; Costa, T.M.; Toyama, M.H.; Caetano, F.H. The ovarian cycle histochemistry and its relationship with hepatopancreas weight in the blue crab Callinectes danae (Crustacea: Portunidae). Acta Zool. 2013, 94, 134–146. [Google Scholar] [CrossRef]
- Zara, F.J.; Toyama, M.H.; Caetano, F.H.; López-Greco, L.S. Spermatogenesis, spermatophore and seminal fluid production in the adult blue crab Callinectes danae (Portunidae). J. Crustac. Biol. 2012, 32, 249–262. [Google Scholar]
- Stimpson, W. Notes on North American Crustacea, in the museum of the Smithsonian Institution. No. III. Ann. Lyceum Nat. Hist. N. Y. 1871, 10, 119–163. [Google Scholar]
- Terossi, M.; De Grave, S.; Mantelatto, F.L. Global biogeography, cryptic species and systematic issues in the shrimp genus Hippolyte Leach, 1814 (Decapoda: Caridea: Hippolytidae) by multimarker analyzes. Sci. Rep. 2017, 7, 6697. [Google Scholar] [CrossRef] [PubMed]
- Rodríguez, P.; Lira, C.; Muñoz, N.; Morales, D. Crustáceos decápodos de la playa El Amparo, isla de Coche, Venezuela. I. Suborden Dendrobranchiata e Infraordenes Stenopodidea y Caridea. Acta Biol. Venez. 2020, 40, 171–209. [Google Scholar]
- Vera-Caripe, J.; Lira, C. Camarones litorales (Crustacea: Penaeoidea y Caridea) de la Isla de Coche, Estado Nueva Esparta, Venezuela. Acta Biol. Venez. 2019, 39, 1–47. [Google Scholar]




| Individual | CL (mm) | Body Weight (mg) | Hepatopancreas Weight (mg) | Ovary Weight (mg) | Embryo Mass (mg) | HSI | GSI | RO | Fecundity |
|---|---|---|---|---|---|---|---|---|---|
| 1 | 4.19 | 0.0766 | 0.0019 | 0.0001 | 0.0057 | 2.68 | 0.14 | 8.04 | 268 |
| 2 | 4.48 | 0.0719 | 0.0024 | 0.0017 | 0.0101 | 3.88 | 2.75 | 16.34 | 303 |
| 3 | 4.41 | 0.0614 | 0.0018 | 0.0004 | 0.0043 | 3.15 | 0.70 | 7.53 | 245 |
| 4 | 4.86 | 0.0938 | 0.0019 | 0.0004 | 0.0080 | 2.21 | 0.47 | 9.32 | 309 |
| 5 | 5.00 | 0.0872 | 0.0008 | 0.0003 | 0.0028 | 0.95 | 0.36 | 3.32 | 203 |
| 6 | 4.90 | 0.1052 | 0.0015 | 0.0015 | 0.0101 | 1.58 | 1.58 | 10.62 | 273 |
| 7 | 3.90 | 0.0406 | 0.0001 | 0.0009 | 0.0029 | 2.39 | 0.27 | 7.69 | 100 |
| Mean (±s.d.) | 4.53 (±0.33) | 0.0766 (±0.1605) | 0.0014 (±0.0005) | 0.0007 (±0.0005) | 0.0062 (±0.0002) | 2.40 (±0.71) | 0.89 (±0.72) | 8.98 (±2.67) | 243 (±52) |
Disclaimer/Publisher’s Note: The statements, opinions and data contained in all publications are solely those of the individual author(s) and contributor(s) and not of MDPI and/or the editor(s). MDPI and/or the editor(s) disclaim responsibility for any injury to people or property resulting from any ideas, methods, instructions or products referred to in the content. |
© 2025 by the authors. Licensee MDPI, Basel, Switzerland. This article is an open access article distributed under the terms and conditions of the Creative Commons Attribution (CC BY) license (https://creativecommons.org/licenses/by/4.0/).
Share and Cite
Paschoal, L.R.P.; Nogueira, C.S.; Zara, F.J. Exploring New Territories: New Records and Occurrence Confirmation of Two Caridean Shrimps in Brazil. Arthropoda 2025, 3, 5. https://doi.org/10.3390/arthropoda3010005
Paschoal LRP, Nogueira CS, Zara FJ. Exploring New Territories: New Records and Occurrence Confirmation of Two Caridean Shrimps in Brazil. Arthropoda. 2025; 3(1):5. https://doi.org/10.3390/arthropoda3010005
Chicago/Turabian StylePaschoal, Lucas Rezende Penido, Caio Santos Nogueira, and Fernando José Zara. 2025. "Exploring New Territories: New Records and Occurrence Confirmation of Two Caridean Shrimps in Brazil" Arthropoda 3, no. 1: 5. https://doi.org/10.3390/arthropoda3010005
APA StylePaschoal, L. R. P., Nogueira, C. S., & Zara, F. J. (2025). Exploring New Territories: New Records and Occurrence Confirmation of Two Caridean Shrimps in Brazil. Arthropoda, 3(1), 5. https://doi.org/10.3390/arthropoda3010005

