A Novel CCM3 Mutation Associated with a Severe Clinical Course in a Child with Multiple Cerebral Cavernous Malformations
Abstract
1. Introduction
2. Case Report History
2.1. Family History
2.2. Genetic Analysis
3. Discussion
4. Conclusions
Supplementary Materials
Author Contributions
Funding
Institutional Review Board Statement
Informed Consent Statement
Data Availability Statement
Conflicts of Interest
References
- Snellings, D.A.; Hong, C.C.; Ren, A.A.; Lopez-Ramirez, M.A.; Girard, R.; Srinath, A.; Marchuk, D.A.; Ginsberg, M.H.; Awad, I.A.; Kahn, M.L. Cerebral Cavernous Malformation: From Mechanism to Therapy. Circ Res. 2021, 129, 195–215. [Google Scholar] [CrossRef] [PubMed]
- Shenkar, R.; Shi, C.; Rebeiz, T.; Stockton, R.A.; McDonald, D.A.; Mikati, A.G.; Zhang, L.; Austin, C.; Akers, A.L.; Gallione, C.J.; et al. Exceptional aggressiveness of cerebral cavernous malformation disease associated with PDCD10 mutations. Genet. Med. 2015, 17, 188–196. [Google Scholar] [CrossRef] [PubMed]
- Orphanet: Familial Cerebral Cavernous Malformation. Available online: https://www.orpha.net/en/disease/detail/221061 (accessed on 30 November 2022).
- Bergametti, F.; Denier, C.; Labauge, P.; Arnoult, M.; Boetto, S.; Clanet, M.; Coubes, P.; Echenne, B.; Ibrahim, R.; Irthum, B.; et al. Mutations within the Programmed Cell Death 10 Gene Cause Cerebral Cavernous Malformations. Am. J. Hum. Genet. 2005, 76, 42–51. [Google Scholar] [CrossRef] [PubMed]
- D’Angelo, R.; Marini, V.; Rinaldi, C.; Origone, P.; Dorcaratto, A.; Avolio, M.; Goitre, L.; Forni, M.; Capra, V.; Alafaci, C.; et al. Mutation analysis of CCM1, CCM2 and CCM3 genes in a cohort of Italian patients with cerebral cavernous malformation. Brain Pathol. 2011, 21, 215–224. [Google Scholar] [CrossRef]
- Dubovsky, J.; Zabramski, J.M.; Kurth, J.; Spetzier, R.F.; Rich, S.S.; Orr, H.T.; Weber, J.L. A Gene Responsible for Cavernous Malformations of the Brain Maps to Chromosome 7q. Hum. Mol. Genet. 1995, 4, 453–458. [Google Scholar] [CrossRef]
- Craig, H.D.; Gunel, M.; Cepeda, O.; Johnson, E.W.; Ptacek, L.; Steinberg, G.K.; Ogilvy, C.S.; Berg, M.J.; Crawford, S.C.; Scott, R.M.; et al. Multilocus Linkage Identifies Two New Loci for a Mendelian Form of Stroke, Cerebral Cavernous Malformation, at 7p15-13 and 3q25.2-27. Hum. Mol. Genet. 1998, 7, 1851–1858. [Google Scholar] [CrossRef]
- Valentino, M.; Dejana, E.; Malinverno, M. The multifaceted PDCD10/CCM3 gene. Genes Dis. 2020, 8, 798–813. [Google Scholar] [CrossRef]
- Riolo, G.; Ricci, C.; Battistini, S. Molecular Genetic Features of Cerebral Cavernous Malformations (CCM) Patients: An Overall View from Genes to Endothelial Cells. Cells 2021, 10, 704. [Google Scholar] [CrossRef]
- Liu, J.; Zhao, K.; Wu, S.; Li, C.; You, C.; Wang, J.; Shu, K.; Lei, T. The Dual Role of PDCD10 in Cancers: A Promising Therapeutic Target. Cancers 2022, 14, 5986. [Google Scholar] [CrossRef]
- Cigoli, M.S.; Avemaria, F.; De Benedetti, S.; Gesu, G.P.; Accorsi, L.G.; Parmigiani, S.; Corona, M.F.; Capra, V.; Mosca, A.; Giovannini, S.; et al. PDCD10 Gene Mutations in Multiple Cerebral Cavernous Malformations. PLoS ONE 2014, 9, e110438. [Google Scholar] [CrossRef]
- Denier, C.; Labauge, P.; Bergametti, F.; Marchelli, F.; Riant, F.; Arnoult, M.; Maciazek, J.; Vicaut, E.; Brunereau, L.; Tournier-Lasserve, E. Genotype–Phenotype Correlations in Cerebral Cavernous Malformations Patients. Ann. Neurol. 2006, 60, 550–556. [Google Scholar] [CrossRef] [PubMed]
- Belousova, O.B.; Bulygina, E.S.; Okishev, D.N.; Prohorchuk, E.B.; Tsygankova, S.V.; Pronin, I.N.; Shishkina, L.V.; Ryzhova, M.V.; Skryabin, K.G.; Konovalov, A.N. Gene Mutations in Patients with Hereditary Cavernous Malformations. Zhurnal Nevrol. i psikhiatrii im. S.S. Korsakova 2017, 117, 66. [Google Scholar] [CrossRef] [PubMed]
- Tsutsumi, S.; Ogino, I.; Miyajima, M.; Ikeda, T.; Shindo, N.; Yasumoto, Y.; Ito, M.; Arai, H. Genomic Causes of Multiple Cerebral Cavernous Malformations in a Japanese Population. J. Clin. Neurosci. 2013, 20, 667–669. [Google Scholar] [CrossRef] [PubMed]
- Mondéjar, R.; Solano, F.; Rubio, R.; Delgado, M.; Pérez-Sempere, Á.; González-Meneses, A.; Vendrell, T.; Izquierdo, G.; Martinez-Mir, A.; Lucas, M. Mutation Prevalence of Cerebral Cavernous Malformation Genes in Spanish Patients. PLoS ONE 2014, 9, e86286. [Google Scholar] [CrossRef]
- Garaci, F.; Marsili, L.; Riant, F.; Marziali, S.; Cécillon, M.; Pasquarelli, R.; Sangiuolo, F.; Floris, R.; Novelli, G.; Tournier-Lasserve, E.; et al. Cerebral Cavernous Malformations Associated to Meningioma: High Penetrance in a Novel Family Mutated in the PDCD10 Gene. Neuroradiol. J. 2015, 28, 289–293. [Google Scholar] [CrossRef]
- Nardella, G.; Visci, G.; Guarnieri, V.; Castellana, S.; Biagini, T.; Bisceglia, L.; Palumbo, O.; Trivisano, M.; Vaira, C.; Scerrati, M.; et al. A Single-Center Study on 140 Patients with Cerebral Cavernous Malformations: 28 New Pathogenic Variants and Functional Characterization of a PDCD10 Large Deletion. Hum. Mutat. 2018, 39, 1885–1900. [Google Scholar] [CrossRef]
- Hadjieconomou, S.; Hughes, J. Cutaneous Venous Malformations Presenting in an Adolescent Boy: Cerebral Cavernous Malformation Syndrome. Pediatr. Dermatol. 2020, 37, 983–984. [Google Scholar] [CrossRef]
- Jiang, X.; Zhang, Y.; Yin, X.; Nan, D.; Wang, X.; Feng, J.; Miao, J. A Novel CCM3 Mutation Associated with Cerebral Cavernous Malformation in a Chinese Family. Ther. Adv. Neurol. Disord. 2020, 13, 1756286420902664. [Google Scholar] [CrossRef]
- Iruzubieta, P.; Campo-Caballero, D.; Equiza, J.; Albajar, I.; Sulibarría, N.; Sáez, R.; Andrés, N.; Mondragón, E.; Zulaica, M.; de Arce, A.; et al. Description of Two Families with New Mutations in Familial Cerebral Cavernous Malformations Genes. J. Stroke Cerebrovasc. Dis. 2021, 30, 106130. [Google Scholar] [CrossRef]
- Lanfranconi, S.; Piergallini, L.; Ronchi, D.; Valcamonica, G.; Conte, G.; Marazzi, E.; Manenti, G.; Bertani, G.A.; Locatelli, M.; Triulzi, F.; et al. Clinical, Neuroradiological and Genetic Findings in a Cohort of Patients with Multiple Cerebral Cavernous Malformations. Metab. Brain Dis. 2021, 36, 1871–1878. [Google Scholar] [CrossRef]
- Spiegler, S.; Najm, J.; Liu, J.; Gkalympoudis, S.; Schröder, W.; Borck, G.; Brockmann, K.; Elbracht, M.; Fauth, C.; Ferbert, A.; et al. High Mutation Detection Rates in Cerebral Cavernous Malformation upon Stringent Inclusion Criteria: One-third of Probands Are Minors. Mol. Genet. Genomic Med. 2014, 2, 176–185. [Google Scholar] [CrossRef] [PubMed]
- Nikoubashman, O.; Wiesmann, M.; Tournier-Lasserve, E.; Mankad, K.; Bourgeois, M.; Brunelle, F.; Sainte-Rose, C.; Wiesmann, M.; Zerah, M.; Di Rocco, F. Natural History of Cerebral Dot-like Cavernomas. Clin. Radiol. 2013, 68, e453–e459. [Google Scholar] [CrossRef] [PubMed]
- Riant, F.; Bergametti, F.; Fournier, H.-D.; Chapon, F.; Michalak-Provost, S.; Cecillon, M.; Lejeune, P.; Hosseini, H.; Choe, C.; Orth, M.; et al. Mutations Are Associated with Early-Onset Cerebral Hemorrhage and Multiple Meningiomas. Mol. Syndromol. 2013, 4, 165–172. [Google Scholar] [CrossRef] [PubMed]
- Rauscher, S.; Santos, A.N.; Gull, H.H.; Rauschenbach, L.; Chen, B.; Schmidt, B.; Deuschl, C.; Benet, A.; Jabbarli, R.; Wrede, K.H.; et al. Modifiable vascular risk factors in patients with cerebral and spinal cavernous malformations: A complete 10-year follow-up study. Eur. J. Neurol. 2023, 30, 1346–1351. [Google Scholar] [CrossRef] [PubMed]
- Ren, J.; Huang, Y.; Ren, Y.; Tu, T.; Qiu, B.; Ai, D.; Bi, Z.; Bai, X.; Li, F.; Li, J.L.; et al. Somatic variants of MAP3K3 are sufficient to cause cerebral and spinal cord cavernous malformations. Brain 2023, 146, 3634–3647. [Google Scholar] [CrossRef] [PubMed] [PubMed Central]





| Admission | Date | Imaging Modality | Key Findings |
|---|---|---|---|
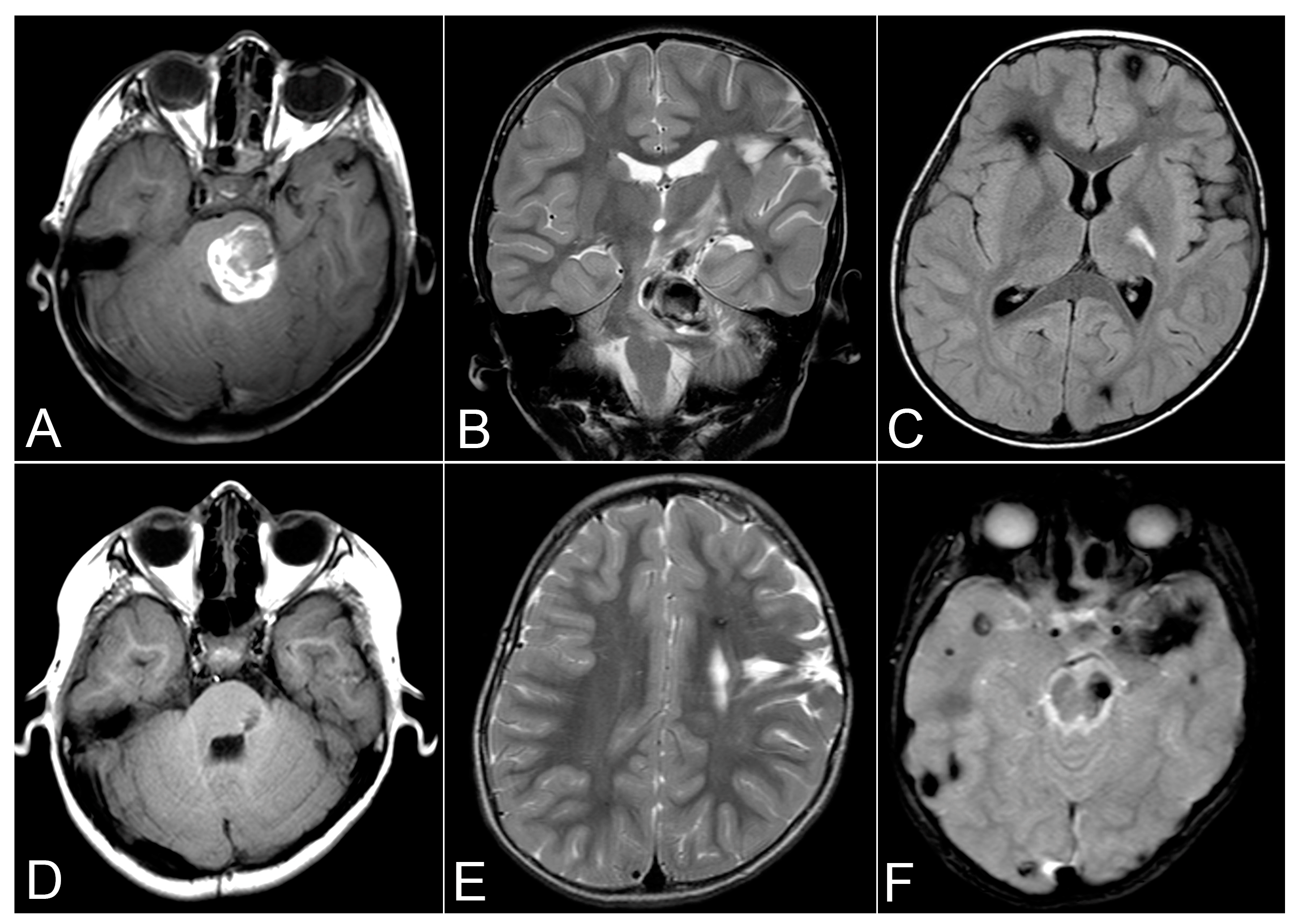
| 1st admission | 2 November 2010 | MRI (Axial T1, SWAN) | Multiple CCMs, large hematoma in the left frontal lobe, small CCM in the left frontal lobe |
| 1st admission | 2 November 2010 | MRI (Axial T2) | CCM in the left temporal lobe |
| 1st admission | 2 November 2010 | MRI (Axial SWAN) | CCM in the right occipital lobe |
| 2nd admission | 18 August 2015 | MRI (Axial T1, Coronal T2) | Large hematoma in the left pons, multiple small lesions in both hemispheres, gliosis in the left frontal lobe |
| 2nd admission | 25 August 2015 | MRI (Axial FLAIR, Axial SWAN) | Post-surgical removal of pontine hematoma |
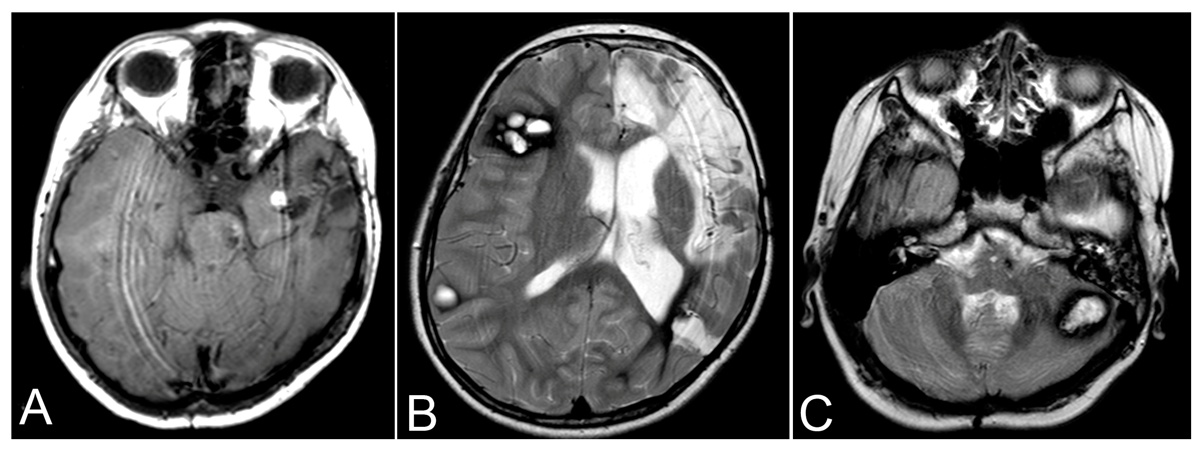
| 3rd admission | 1 August 2017 | MRI (Axial T2) | Hemorrhage from CCM in the left posterior temporal lobe, enlargement of the left anterior temporal CCM |
| 3rd admission | 24 August 2017 | CT Scan | Post-surgical removal of temporal CCM and hematoma |
| 4th admission | 30 April 2019 | MRI | New pontine hematoma, enlargement of the left anterior temporal CCM |
| Follow-up | 5 May 2021 | MRI (Axial T1, Axial T2) | Enlargement of the right frontal CCM, new CCM in the cerebellum with signs of hemorrhage |
| 5th admission | 9 November 2021 | MRI (Axial T2) | Large hematoma in the left temporal lobe, hydrocephalus |
| 5th admission | 2 December 2021 | CT Scan | Progressive enlargement of the ventricular system |
Disclaimer/Publisher’s Note: The statements, opinions and data contained in all publications are solely those of the individual author(s) and contributor(s) and not of MDPI and/or the editor(s). MDPI and/or the editor(s) disclaim responsibility for any injury to people or property resulting from any ideas, methods, instructions or products referred to in the content. |
© 2025 by the authors. Licensee MDPI, Basel, Switzerland. This article is an open access article distributed under the terms and conditions of the Creative Commons Attribution (CC BY) license (https://creativecommons.org/licenses/by/4.0/).
Share and Cite
Belousova, O.; Semenov, D.; Boulygina, E.; Tsygankova, S.; Konovalov, A. A Novel CCM3 Mutation Associated with a Severe Clinical Course in a Child with Multiple Cerebral Cavernous Malformations. J. Vasc. Dis. 2025, 4, 8. https://doi.org/10.3390/jvd4010008
Belousova O, Semenov D, Boulygina E, Tsygankova S, Konovalov A. A Novel CCM3 Mutation Associated with a Severe Clinical Course in a Child with Multiple Cerebral Cavernous Malformations. Journal of Vascular Diseases. 2025; 4(1):8. https://doi.org/10.3390/jvd4010008
Chicago/Turabian StyleBelousova, Olga, Denis Semenov, Eugenia Boulygina, Svetlana Tsygankova, and Alexander Konovalov. 2025. "A Novel CCM3 Mutation Associated with a Severe Clinical Course in a Child with Multiple Cerebral Cavernous Malformations" Journal of Vascular Diseases 4, no. 1: 8. https://doi.org/10.3390/jvd4010008
APA StyleBelousova, O., Semenov, D., Boulygina, E., Tsygankova, S., & Konovalov, A. (2025). A Novel CCM3 Mutation Associated with a Severe Clinical Course in a Child with Multiple Cerebral Cavernous Malformations. Journal of Vascular Diseases, 4(1), 8. https://doi.org/10.3390/jvd4010008

