Friend or Foe? Eosinophilic Granulomatosis with Polyangiitis (EGPA) Onset After Dupilumab: Report of Two Cases and a Narrative Review of the Literature
Abstract
1. Introduction
2. Materials and Methods
3. Results
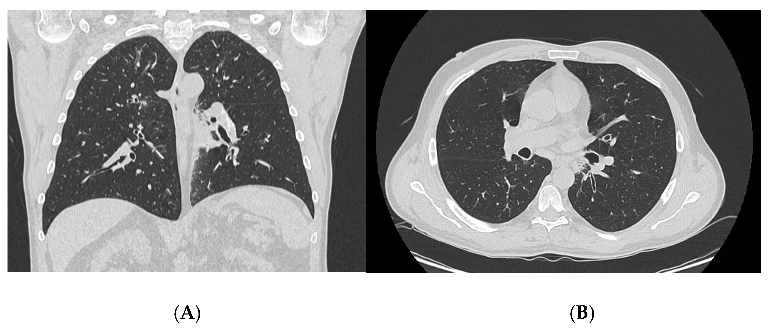
3.1. Case N. #1
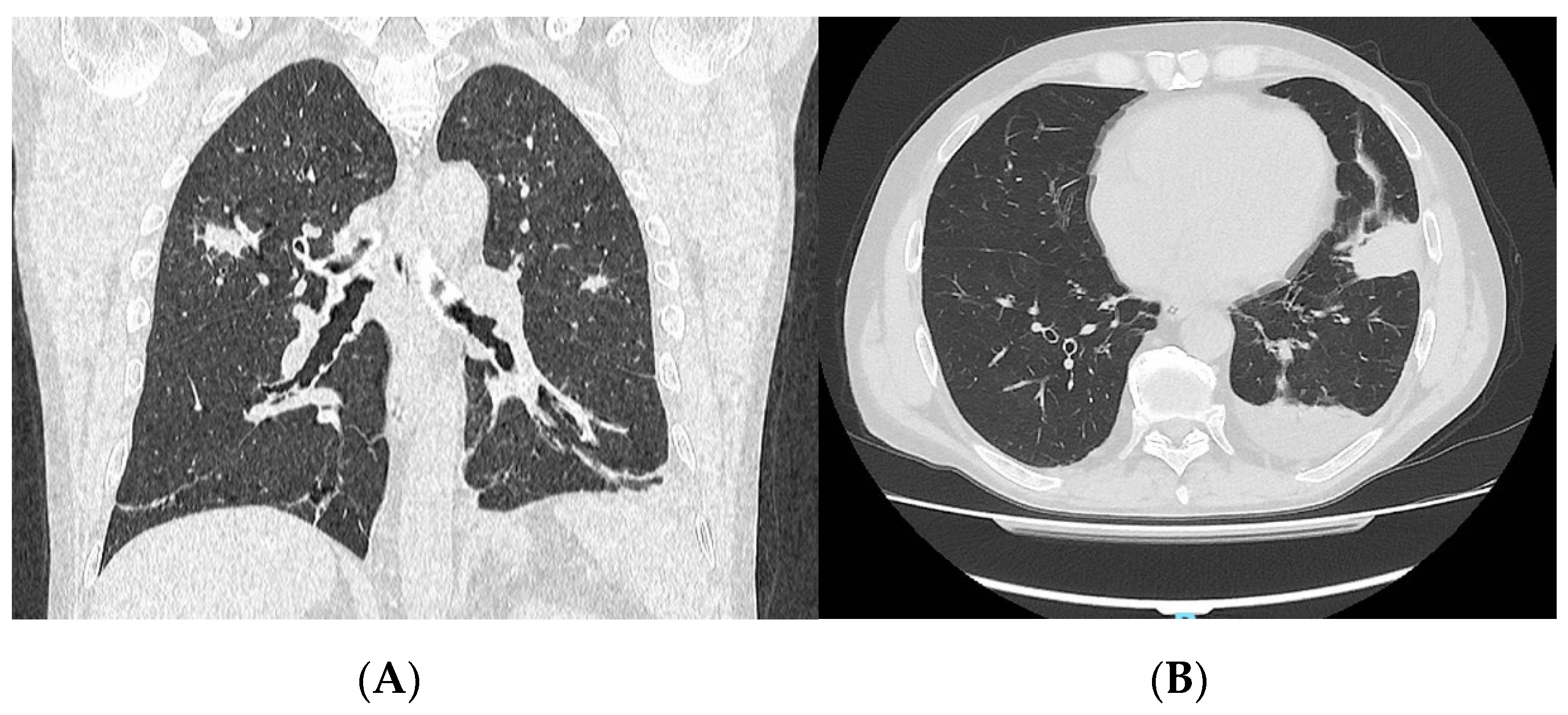
3.2. Case N. #2
3.3. Review of the Literature
4. Discussion
4.1. Proposed Mechanisms
4.2. Timing of EGPA Onset After Dupilumab Introduction and Possible Risk Factors
- History of multiple eosinophilic disorders
- 2.
- AEC kinetics
- 3.
- Previous therapy with anti-IL5/R agents
- 4.
- Previous ANCA positivity
4.3. Dupilumab-Associated EGPA Treatment
5. Conclusions
Author Contributions
Funding
Institutional Review Board Statement
Informed Consent Statement
Data Availability Statement
Acknowledgments
Conflicts of Interest
Abbreviations
| AEC | Absolute eosinophil count |
| ANCA | Antineutrophil cytoplasmic antibodies |
| CRP | C-reactive protein |
| CRSwNP | Chronic rhinosinusitis with nasal polyps |
| CS | Corticosteroids |
| CYC | Cyclophosphamide |
| CT | Computed tomography |
| EGPA | Eosinophilic granulomatosis with polyangiitis |
| GI | Gastrointestinal |
| GGO | Ground-glass opacities |
| IgE | Immunoglobulin E |
| IgG4 | Immunoglobulin G subclass 4 |
| IVIG | Intravenous immunoglobulin |
| LABA | Long-acting β2-agonists |
| LAMA | Long-acting muscarinic antagonists |
| MPO-ANCA | Myeloperoxidase-specific antineutrophil cytoplasmic antibodies |
| NA | Not available/not assessed |
| MRI | Magnetic resonance imaging |
| OCS | Oral corticosteroids |
| p-ANCA | Perinuclear antineutrophil cytoplasmic antibodies |
| PR3-ANCA | Proteinase-3–specific antineutrophil cytoplasmic antibodies |
| WBC | White blood cell count |
| CRAO | Central retinal artery occlusion |
References
- Kushima, Y.; Shimizu, Y.; Hoshi, H.; Arai, R.; Ikeda, N.; Nakamura, Y.; Masawa, M.; Okutomi, H.; Yazawa, N.; Chibana, K.; et al. Changes in Peripheral Blood Eosinophil Counts and Risk of Eosinophilic Granulomatosis with Polyangiitis Onset after Initiation of Dupilumab Administration in Adult Patients with Asthma. J. Clin. Med. 2023, 12, 5721. [Google Scholar] [CrossRef]
- Matsunaga, K.; Katoh, N.; Fujieda, S.; Izuhara, K.; Oishi, K. Dupilumab: Basic aspects and applications to allergic diseases. Allergol. Int. Off. J. Jpn. Soc. Allergol. 2020, 69, 187–196. [Google Scholar] [CrossRef]
- Blauvelt, A.; de Bruin-Weller, M.; Gooderham, M.; Cather, J.C.; Weisman, J.; Pariser, D.; Simpson, E.L.; A Papp, K.; Hong, H.C.-H.; Rubel, D.; et al. Long-term management of moderate-to-severe atopic dermatitis with dupilumab and concomitant topical corticosteroids (LIBERTY AD CHRONOS): A 1-year, randomised, double-blinded, placebo-controlled, phase 3 trial. Lancet 2017, 389, 2287–2303. [Google Scholar] [CrossRef]
- Wenzel, S.; Castro, M.; Corren, J.; Maspero, J.; Wang, L.; Zhang, B.; Pirozzi, G.; Sutherland, E.R.; Evans, R.R.; Joish, V.N.; et al. Dupilumab efficacy and safety in adults with uncontrolled persistent asthma despite use of medium-to-high-dose inhaled corticosteroids plus a long-acting β2 agonist: A randomised double-blind placebo-controlled pivotal phase 2b dose-ranging trial. Lancet 2016, 388, 31–44. [Google Scholar] [CrossRef]
- Bachert, C.; Han, J.K.; Desrosiers, M.; Hellings, P.W.; Amin, N.; E Lee, S.; Mullol, J.; Greos, L.S.; Bosso, J.V.; Laidlaw, T.M.; et al. Efficacy and safety of dupilumab in patients with severe chronic rhinosinusitis with nasal polyps (LIBERTY NP SINUS-24 and LIBERTY NP SINUS-52): Results from two multicentre, randomised, double-blind, placebo-controlled, parallel-group phase 3 trials. Lancet 2019, 394, 1638–1650. [Google Scholar] [CrossRef]
- Rabe, K.F.; Nair, P.; Brusselle, G.; Maspero, J.F.; Castro, M.; Sher, L.; Zhu, H.; Hamilton, J.D.; Swanson, B.N.; Khan, A.; et al. Efficacy and Safety of Dupilumab in Glucocorticoid-Dependent Severe Asthma. N. Engl. J. Med. 2018, 378, 2475–2485. [Google Scholar] [CrossRef]
- Bhatt, S.P.; Rabe, K.F.; Hanania, N.A.; Vogelmeier, C.F.; Cole, J.; Bafadhel, M.; Christenson, S.A.; Papi, A.; Singh, D.; Laws, E.; et al. Dupilumab for COPD with Type 2 Inflammation Indicated by Eosinophil Counts. N. Engl. J. Med. 2023, 389, 205–214. [Google Scholar] [CrossRef] [PubMed]
- Bhatt, S.P.; Rabe, K.F.; Hanania, N.A.; Vogelmeier, C.F.; Bafadhel, M.; Christenson, S.A.; Papi, A.; Singh, D.; Laws, E.; Patel, N.; et al. Dupilumab for COPD with Blood Eosinophil Evidence of Type 2 Inflammation. N. Engl. J. Med. 2024, 390, 2274–2283. [Google Scholar] [CrossRef] [PubMed]
- Cutroneo, P.M.; Arzenton, E.; Furci, F.; Scapini, F.; Bulzomì, M.; Luxi, N.; Caminati, M.; Senna, G.; Moretti, U.; Trifirò, G. Safety of Biological Therapies for Severe Asthma: An Analysis of Suspected Adverse Reactions Reported in the WHO Pharmacovigilance Database. BioDrugs Clin. Immunother. Biopharm. Gene Ther. 2024, 38, 425–448. [Google Scholar] [CrossRef]
- Albader, S.S.; Alharbi, A.A.; Alenezi, R.F.; Alsaif, F.M. Dupilumab side effect in a patient with atopic dermatitis: A case report study. Biol. Targets Ther. 2019, 13, 79–82. [Google Scholar] [CrossRef] [PubMed]
- Castro, M.; Corren, J.; Pavord, I.D.; Maspero, J.; Wenzel, S.; Rabe, K.F.; Busse, W.W.; Ford, L.; Sher, L.; Fitzgerald, J.M.; et al. Dupilumab Efficacy and Safety in Moderate-to-Severe Uncontrolled Asthma. N. Engl. J. Med. 2018, 378, 2486–2496. [Google Scholar] [CrossRef]
- Olaguibel, J.M.; Sastre, J.; Rodríguez, J.M.; Del Pozo, V. Eosinophilia Induced by Blocking the IL-4/IL-13 Pathway: Potential Mechanisms and Clinical Outcomes. J. Investig. Allergol. Clin. Immunol. 2022, 32, 165–180. [Google Scholar] [CrossRef]
- E Wechsler, M.; Ford, L.B.; Maspero, J.F.; Pavord, I.D.; Papi, A.; Bourdin, A.; Watz, H.; Castro, M.; Nenasheva, N.M.; Tohda, Y.; et al. Long-term safety and efficacy of dupilumab in patients with moderate-to-severe asthma (TRAVERSE): An open-label extension study. Lancet Respir. Med. 2022, 10, 11–25. [Google Scholar] [CrossRef]
- Wechsler, M.E.; Klion, A.D.; Paggiaro, P.; Nair, P.; Staumont-Salle, D.; Radwan, A.; Johnson, R.R.; Kapoor, U.; Khokhar, F.A.; Daizadeh, N.; et al. Effect of Dupilumab on Blood Eosinophil Counts in Patients with Asthma, Chronic Rhinosinusitis with Nasal Polyps, Atopic Dermatitis, or Eosinophilic Esophagitis. J. Allergy Clin. Immunol. Pract. 2022, 10, 2695–2709. [Google Scholar] [CrossRef]
- Barthel, S.R.; Johansson, M.W.; McNamee, D.M.; Mosher, D.F. Roles of integrin activation in eosinophil function and the eosinophilic inflammation of asthma. J. Leukoc. Biol. 2008, 83, 1–12. [Google Scholar] [CrossRef]
- Tozawa, H.; Kanki, Y.; Suehiro, J.-I.; Tsutsumi, S.; Kohro, T.; Wada, Y.; Aburatani, H.; Aird, W.C.; Kodama, T.; Minami, T. Genome-wide approaches reveal functional interleukin-4-inducible STAT6 binding to the vascular cell adhesion molecule 1 promoter. Mol. Cell Biol. 2011, 31, 2196–2209. [Google Scholar] [CrossRef]
- Radonjic-Hoesli, S.; Valent, P.; Klion, A.D.; Wechsler, M.E.; Simon, H.U. Novel targeted therapies for eosinophil-associated diseases and allergy. Annu. Rev. Pharmacol. Toxicol. 2015, 55, 633–656. [Google Scholar] [CrossRef] [PubMed]
- Wieczorek, S.; Hellmich, B.; Arning, L.; Moosig, F.; Lamprecht, P.; Gross, W.L.; Epplen, J.T. Functionally relevant variations of the interleukin-10 gene associated with antineutrophil cytoplasmic antibody-negative Churg-Strauss syndrome, but not with Wegener’s granulomatosis. Arthritis Rheum. 2008, 58, 1839–1848. [Google Scholar] [CrossRef]
- Mould, A.W.; Matthaei, K.I.; Young, I.G.; Foster, P.S. Relationship between interleukin-5 and eotaxin in regulating blood and tissue eosinophilia in mice. J. Clin. Investig. 1997, 99, 1064–1071. [Google Scholar] [CrossRef]
- Dupin, C.; Belhadi, D.; Guilleminault, L.; Gamez, A.; Berger, P.; De Blay, F.; Bonniaud, P.; Leroyer, C.; Mahay, G.; Girodet, P.; et al. Effectiveness and safety of dupilumab for the treatment of severe asthma in a real-life French multi-centre adult cohort. Clin. Exp. Allergy J. Br. Soc. Allergy Clin. Immunol. 2020, 50, 789–798. [Google Scholar] [CrossRef]
- Numata, T.; Araya, J.; Miyagawa, H.; Okuda, K.; Takekoshi, D.; Hashimoto, M.; Minagawa, S.; Ishikawa, T.; Hara, H.; Kuwano, K. Real-World Effectiveness of Dupilumab for Patients with Severe Asthma: A Retrospective Study. J. Asthma Allergy 2022, 15, 395–405. [Google Scholar] [CrossRef] [PubMed]
- Li, S.H.; Nehme, K.F.; Moshkovich, A.; Suh, L.; Pawlowski, A.; Ali, Y.; Patel, G.B.; Kuang, F.L.; Peters, A.T. Eosinophilia and Adverse Effects of Dupilumab for Respiratory Indications: A Real-World Setting. J. Allergy Clin. Immunol. Pract. 2025, 13, 121–131. [Google Scholar] [CrossRef]
- Caminati, M.; Micheletto, C.; Norelli, F.; Olivieri, B.; Ottaviano, G.; Padoan, R.; Piacentini, G.; Schiappoli, M.; Senna, G.; Menzella, F. Safety of dupilumab in T2 airways conditions: Focus on eosinophilia across trials and real-life evidence. Expert. Opin. Biol. Ther. 2024, 24, 15–23. [Google Scholar] [CrossRef]
- Menzella, F.; Montanari, G.; Patricelli, G.; Cavazza, A.; Galeone, C.; Ruggiero, P.; Bagnasco, D.; Facciolongo, N. A case of chronic eosinophilic pneumonia in a patient treated with dupilumab. Ther. Clin. Risk Manag. 2019, 15, 869–875. [Google Scholar] [CrossRef]
- Briegel, I.; Felicio-Briegel, A.; Mertsch, P.; Kneidinger, N.; Haubner, F.; Milger, K. Hypereosinophilia with systemic manifestations under dupilumab and possibility of dual benralizumab and dupilumab therapy in patients with asthma and CRSwNP. J. Allergy Clin. Immunol. Pract. 2021, 9, 4477–4479. [Google Scholar]
- Eger, K.; Pet, L.; Weersink, E.J.M.; Bel, E.H. Complications of switching from anti-IL-5 or anti-IL-5R to dupilumab in corticosteroid-dependent severe asthma. J. Allergy Clin. Immunol. Pract. 2021, 9, 2913–2915. [Google Scholar] [CrossRef]
- Nishiyama, Y.; Koya, T.; Nagano, K.; Abe, S.; Kimura, Y.; Shima, K.; Toyama-Kosaka, M.; Hasegawa, T.; Sasaki, T.; Shinbori, K.; et al. Two cases of dupilumab-associated eosinophilic pneumonia in asthma with eosinophilic chronic rhinosinusitis: IL-5-driven pathology? Allergol. Int. Off. J. Jpn. Soc. Allergol. 2022, 71, 548–551. [Google Scholar] [CrossRef]
- Gharaibeh, K.; Alsaid, H.; Robinett, K.S.; Cowan, M.J.; Sachdeva, A. Dupilumab-induced severe hypereosinophilia complicated with Eosinophilic pneumonia. Chest 2022, 162, A1276–A1277. [Google Scholar] [CrossRef]
- Kanata, K.; Shirai, T.; Ichijo, K.; Uehara, M. Eosinophilic pneumonia developed after dupilumab administration in a patient with atopic dermatitis. Respirol. Case Rep. 2023, 11, e01192. [Google Scholar] [CrossRef]
- Lommatzsch, M.; Stoll, P.; Winkler, J.; Zeise-Wehry, D.; Tronnier, M.; Weber, M.; Virchow, J.C. Eosinophilic pleural effusion and stroke with cutaneous vasculitis: Two cases of dupilumab-induced hypereosinophilia. Allergy 2021, 76, 2920–2923. [Google Scholar]
- Iwamuro, M.; Murakami, T.; Tanaka, T.; Oka, S.; Kawano, S.; Kawahara, Y.; Okada, H. Eosinophilic Gastritis in a Patient Previously Treated with Dupilumab. Case Rep. Gastrointest. Med. 2020, 2020, 6381670. [Google Scholar] [CrossRef]
- Lazzeroni, M.; Kemp, P.; Fokkens, W.J.; Reitsma, S. Eosinophilic complications during dupilumab therapy for type 2 diseases: A systematic review. Rhinology 2025, 63, 386–396. [Google Scholar] [CrossRef]
- Tohda, Y.; Nakamura, Y.; Fujisawa, T.; Ebisawa, M.; Msihid, J.; Djandji, M.; Ortiz, B.; Jacob-Nara, J.A.; Deniz, Y.; Rowe, P.J.; et al. Efficacy of dupilumab in patients with uncontrolled, moderate-to-severe asthma recruited from Japanese centers in the phase 3 LIBERTY ASTHMA TRAVERSE study. Allergol. Int. Off. J. Jpn. Soc. Allergol. 2023, 72, 89–99. [Google Scholar] [CrossRef]
- Furuta, S.; Iwamoto, T.; Nakajima, H. Update on eosinophilic granulomatosis with polyangiitis. Allergol. Int. Off. J. Jpn. Soc. Allergol. 2019, 68, 430–436. [Google Scholar] [CrossRef]
- Cottin, V.; Bel, E.; Bottero, P.; Dalhoff, K.; Humbert, M.; Lazor, R.; Sinico, R.A.; Sivasothy, P.; Wechsler, M.E.; Groh, M.; et al. Respiratory manifestations of eosinophilic granulomatosis with polyangiitis (Churg-Strauss). Eur. Respir. J. 2016, 48, 1429–1441. [Google Scholar] [CrossRef]
- Adachi, S.; Oshikata, C.; Kaneko, T.; Tsurikisawa, N. Rituximab and dupilumab improve eosinophilic granulomatosis with polyangiitis with multiple pulmonary thrombi. Allergy Asthma Clin. Immunol. Off. J. Can. Soc. Allergy Clin. Immunol. 2022, 18, 18. [Google Scholar] [CrossRef]
- Galant-Swafford, J.; Geng, B.; Leibel, S.; Akuthota, P.; Tucker, S.; Cernelc-Kohan, M.; Sheets, R.; Nation, J.; Jefferson, A.A. Two pediatric cases of ANCA-negative eosinophilic granulomatosis with polyangiitis successfully treated with dupilumab. J. Allergy Clin. Immunol. Pract. 2020, 8, 3643–3646.e1. [Google Scholar] [CrossRef]
- Matucci, A.; Bormioli, S.; Bercich, L.; Comin, C.E.; Bezzi, M.; Vivarelli, E.; Vultaggio, A. Effect of dupilumab treatment in a severe asthma patient with EGPA. J. Allergy Clin. Immunol. Pract. 2021, 9, 3824–3825. [Google Scholar] [CrossRef]
- Grayson, P.C.; Ponte, C.; Suppiah, R.; Robson, J.C.; Craven, A.; Judge, A.; Khalid, S.; Hutchings, A.; A Luqmani, R.; A Watts, R.; et al. 2022 American College of Rheumatology/European Alliance of Associations for Rheumatology Classification Criteria for Eosinophilic Granulomatosis with Polyangiitis. Ann. Rheum. Dis. 2022, 81, 309–314. [Google Scholar] [CrossRef]
- Anai, M.; Yoshida, C.; Ozono, K.; Furukawa, H.; Ishimaru, Y.; Sakata, S.; Saruwatari, K.; Muramoto, K.; Tomita, Y.; Saeki, S.; et al. Successful concomitant therapy with mepolizumab and dupilumab for atypical eosinophilic granulomatosis with polyangiitis. Allergol. Int. Off. J. Jpn. Soc. Allergol. 2022, 71, 259–261. [Google Scholar] [CrossRef]
- Aya, H.; Araki-Sasaki, K.; Kobayashi, Y.; Fukuda, K.; Imai, H. A Case of Orbital Inflammation as the Initial Manifestation of Eosinophilic Granulomatosis with Polyangiitis Following Dupilumab Administration, Successfully Treated with Mepolizumab. Ocul. Immunol. Inflamm. 2025, 33, 1894–1896. [Google Scholar] [CrossRef] [PubMed]
- Barratt, J.; Cronin, K.; Adame, M.; Goodwin, B.; Tripple, J. Atypical case of dupilumab associated eosinophilic granulomatosis with polyangiitis with ocular involvement. Ann. Allergy Asthma Immunol. 2023, 131, S134–S135. [Google Scholar] [CrossRef]
- Fargeas, M.; Devouassoux, G.; Gerfaud-Valentin, M. Onset of eosinophilic granulomatosis with polyangiitis (EGPA) after anti-Th2 biotherapy initiation in severe asthma patients: Report of 3 cases. Respir. Med. Res. 2024, 85, 101070. [Google Scholar] [CrossRef]
- Hu, J.K.; Yaghi, M.; Milikowski, C.; Elman, S.A. Eosinophilic granulomatosis and polyangiitis unmasked by dupilumab. Int. J. Dermatol. 2023, 62, 839–840. [Google Scholar] [CrossRef]
- Ikeda, M.; Ohshima, N.; Kawashima, M.; Shiina, M.; Kitani, M.; Suzukawa, M. Severe Asthma Where Eosinophilic Granulomatosis with Polyangiitis Became Apparent after the Discontinuation of Dupilumab. Intern. Med. 2022, 61, 755–759. [Google Scholar] [CrossRef]
- Jin, A.L.; Pak, S.E.; Hilliard, G.C.; Fong, J.W.; Lao, P.A.O. Dupilumab-induced eosinophilic granulomatosis with polyangiitis mimicking giant cell arteritis. Can. J. Ophthalmol. 2025, 61, 178–180. [Google Scholar] [CrossRef]
- Kaburaki, S.; Tanaka, T.; Kamio, K.; Tanaka, Y.; Kasahara, K.; Seike, M. Early Intervention with Mepolizumab, Corticosteroids, and Intravenous Immunoglobulin for Dupilumab-Triggered Eosinophilic Granulomatosis with Polyangiitis: A Case Report. J. Asthma Allergy 2025, 18, 559–565. [Google Scholar] [CrossRef]
- Kai, M.; Vion, P.A.; Boussouar, S.; Cacoub, P.; Saadoun, D.; Le Joncour, A. Eosinophilic granulomatosis polyangiitis (EGPA) complicated with periaortitis, precipitating role of dupilumab? A case report a review of the literature. RMD Open 2023, 9, e003300. [Google Scholar] [CrossRef] [PubMed]
- Matsumoto, T.; Shima, C.; Suga, H.; Kajiwara, Y.; Matoba, T.; Kaneko, A.; Fujiki, T.; Kusakabe, Y.; Nakayama, E.; Yamamoto, N.; et al. Central Retinal Artery Occlusion Induced by Dupilumab: A Unique Manifestation of Eosinophilic Granulomatosis with Polyangiitis. Intern. Med. 2025, 5919-25. [Google Scholar] [CrossRef]
- McDermott, J.; Thompson, S.; Landa, R. A multidisciplinary approach to eosinophilic myocarditis. J. Am. Coll. Cardiol. 2021, 77, 1866. [Google Scholar] [CrossRef]
- Milne, M.E.; Kimball, J.; Tarrant, T.K.; Al-Rohil, R.N.; Leverenz, D.L. The Role of T Helper Type 2 (Th2) Cytokines in the Pathogenesis of Eosinophilic Granulomatosis with Polyangiitis (eGPA): An Illustrative Case and Discussion. Curr. Allergy Asthma Rep. 2022, 22, 141–150. [Google Scholar] [CrossRef]
- Murag, S.; Melehani, J.; Filsoof, D.; Nadeau, K.; Chinthrajah, R.S. Dupilumab unmasks eosinophilic granulomatosis with polyangiitis. Chest 2021, 160, A8–A9. [Google Scholar] [CrossRef]
- Persaud, P.; Karmali, R.; Sankar, P.; Majid, M. Dupilumab-Associated Eosinophilic Granulomatosis with Polyangiitis. Cureus 2022, 14, e27670. [Google Scholar] [CrossRef]
- Suzaki, I.; Tanaka, A.; Yanai, R.; Maruyama, Y.; Kamimura, S.; Hirano, K.; Kobayashi, H. Eosinophilic granulomatosis with polyangiitis developed after dupilumab administration in patients with eosinophilic chronic rhinosinusitis and asthma: A case report. BMC Pulm. Med. 2023, 23, 130. [Google Scholar] [CrossRef] [PubMed]
- Tanaka, S.; Tsuji, T.; Shiotsu, S.; Yuba, T.; Hiraoka, N. Exacerbation of Eosinophilic Granulomatosis with Polyangiitis After Administering Dupilumab for Severe Asthma and Eosinophilic Rhinosinusitis With Nasal Polyposis. Cureus 2022, 14, e25218. [Google Scholar] [CrossRef]
- von Deimling, M.; Koehler, T.C.; Frye, B.C.; Maerker-Hermann, E.; Venhoff, N. Two cases with new onset of ANCA-positive eosinophilic granulomatosis with polyangiitis under treatment with dupilumab: Coincidence or causality? Ann. Rheum. Dis. 2023, 82, 580–582. [Google Scholar] [CrossRef]
- Wu, J.; Li, L.; Ten, W.; Wang, Y.; Liu, R.; Hu, B.; Tan, J.; Dong, F.; Shi, K.; Zhang, H.; et al. Dupilumab-induced Eosinophilic Granulomatosis with Polyangiitis Complicated by Peripheral Neuropathic Pain: A Case Report and Literature Review. J. Clin. Immunol. 2025, 45, 114. [Google Scholar] [CrossRef]
- Yamazaki, K.; Nomizo, T.; Hatanaka, K.; Hayama, N.; Oguma, T.; Asano, K. Eosinophilic granulomatosis with polyangiitis after treatment with dupilumab. J. Allergy Clin. Immunol. Glob. 2022, 1, 180–182. [Google Scholar] [CrossRef]
- Maspero, J.F.; Peters, A.T.; Chapman, K.R.; Domingo, C.; Stewart, J.; Hardin, M.; Maroni, J.; Tawo, K.; Khokar, A.F.; Mortensen, E.; et al. Long-Term Safety of Dupilumab in Patients with Moderate-to-Severe Asthma: TRAVERSE Continuation Study. J. Allergy Clin. Immunol. Pract. 2024, 12, 991–997.e6. [Google Scholar] [CrossRef]
- Wechsler, M.E.; Garpestad, E.; Flier, S.R.; Kocher, O.; Weiland, D.A.; Polito, A.J.; Klinek, M.M.; Bigby, T.D.; Wong, G.A.; Helmers, R.A.; et al. Pulmonary infiltrates, eosinophilia, and cardiomyopathy following corticosteroid withdrawal in patients with asthma receiving zafirlukast. JAMA 1998, 279, 455–457. [Google Scholar] [CrossRef]
- Hauser, T.; Mahr, A.; Metzler, C.; Coste, J.; Sommerstein, R.; Gross, W.L.; Guillevin, L.; Hellmich, B. The leucotriene receptor antagonist montelukast and the risk of Churg-Strauss syndrome: A case-crossover study. Thorax 2008, 63, 677–682. [Google Scholar] [CrossRef]
- Wechsler, M.E.; Wong, D.A.; Miller, M.K.; Lawrence-Miyasaki, L. Churg-strauss syndrome in patients treated with omalizumab. Chest 2009, 136, 507–518. [Google Scholar] [CrossRef]
- Noth, I.; Strek, M.E.; Leff, A.R. Churg-Strauss syndrome. Lancet 2003, 361, 587–594. [Google Scholar] [CrossRef] [PubMed]
- Gershnabel Milk, D.; Lam, K.K.; Han, J.K. Postmarketing Analysis of Eosinophilic Adverse Reactions in the use of Biologic Therapies for Type 2 Inflammatory Conditions. Am. J. Rhinol. Allergy 2025, 39, 38–48. [Google Scholar] [CrossRef]
- Portacci, A.; Poto, R.; Varricchi, G.; Carpagnano, G.E. Dupilumab and Blood Eosinophilia: A Disease-Specific Phenomenon? Allergy 2025, 80, 1811–1814. [Google Scholar] [CrossRef] [PubMed]
- Fagni, F.; Bello, F.; Emmi, G. Eosinophilic Granulomatosis with Polyangiitis: Dissecting the Pathophysiology. Front. Med. 2021, 8, 627776. [Google Scholar] [CrossRef]
- Emmi, G.; Bettiol, A.; Gelain, E.; Bajema, I.M.; Berti, A.; Burns, S.; Cid, M.C.; Tervaert, J.W.C.; Cottin, V.; Durante, E.; et al. Evidence-Based Guideline for the diagnosis and management of eosinophilic granulomatosis with polyangiitis. Nat. Rev. Rheumatol. 2023, 19, 378–393. [Google Scholar] [CrossRef]
- Martins-Martinho, J.; Pereira da Costa, R.; Abreu, T.; Ponte, C. Successful combination therapy of mepolizumab and dupilumab in a patient with EGPA: A future therapeutic option? Rheumatol. Adv. Pract. 2024, 8, rkae093. [Google Scholar] [CrossRef]
- Nakamura, Y.; Kikumoto, N.; Takeuchi, H.; Kimura, T.; Nakamori, M.; Fujiwara, K. Combination Biologic Therapy with Mepolizumab and Dupilumab for Severe Eosinophilic Granulomatosis with Polyangiitis and Chronic Rhinosinusitis with Nasal Polyp. Yonago Acta Med. 2024, 67, 157–162. [Google Scholar] [CrossRef]
- Pitlick, M.M.; Pongdee, T. Combining Biologics Targeting Eosinophils (IL-5/IL-5R), IgE, and IL-4/IL-13 in Allergic and Inflammatory Diseases. World Allergy Organ. J. 2022, 15, 100707. [Google Scholar] [CrossRef] [PubMed]
- Hellmich, B.; Sanchez-Alamo, B.; Schirmer, J.H.; Berti, A.; Blockmans, D.; Cid, M.C.; Holle, J.U.; Hollinger, N.; Karadag, O.; Kronbichler, A.; et al. EULAR recommendations for the management of ANCA-associated vasculitis: 2022 update. Ann. Rheum. Dis. 2024, 83, 30–47. [Google Scholar] [CrossRef] [PubMed]
- Wechsler, M.E.; Akuthota, P.; Jayne, D.; Khoury, P.; Klion, A.; Langford, C.A.; Merkel, P.A.; Moosig, F.; Specks, U.; Cid, M.C.; et al. Mepolizumab or Placebo for Eosinophilic Granulomatosis with Polyangiitis. N. Engl. J. Med. 2017, 376, 1921–1932. [Google Scholar] [CrossRef]
- Molina, B.; Padoan, R.; Urban, M.L.; Novikov, P.; Caminati, M.; Taillé, C.; Néel, A.; Bouillet, L.; Fraticelli, P.; Schleinitz, N.; et al. Dupilumab for relapsing or refractory sinonasal and/or asthma manifestations in eosinophilic granulomatosis with polyangiitis: A European retrospective study. Ann. Rheum. Dis. 2023, 82, 1587–1593. [Google Scholar] [CrossRef]
- Iwadate, Y.; Arinuma, Y.; Matsueda, Y.; Tanaka, T.; Wada, T.; Tanaka, S.; Oku, K.; Yamaoka, K. A case of dupilumab combination therapy for exacerbation of atopic dermatitis in a patient with eosinophilic granulomatosis with polyangiitis treated with mepolizumab. Mod. Rheumatol. Case Rep. 2023, 8, 159–162. [Google Scholar] [CrossRef] [PubMed]
- Guerini, M.; Novikov, P.; Padoan, R.; Frigolé Espigol, G.; Cohen Tervaert, J.W.; Grobost, V.; Guilleminault, L.; Schroeder, J.W.; Hellmich, B.; Martins Martinho, J.; et al. Combined Anti-IL-5/IL-5R and Dupilumab Therapy in Eosinophilic Granulomatosis with Polyangiitis: A European Retrospective Study [Abstract]. In Arthritis Rheumatol. 2025. Available online: https://acrabstracts.org/abstract/combined-anti-il-5-il-5r-and-dupilumab-therapy-in-eosinophilic-granulomatosis-with-polyangiitis-a-european-retrospective-study/ (accessed on 6 January 2026).
- Wang, E.; Wechsler, M.E. A rational approach to compare and select biologic therapeutics in asthma. Ann. Allergy Asthma Immunol. 2022, 128, 379–389. [Google Scholar] [CrossRef] [PubMed]
- Global Initiative for Asthma (GINA). Global Strategy for Asthma Management and Prevention [Internet]. 2025. Available online: https://ginasthma.org/2025-gina-strategy-report/ (accessed on 6 February 2026).




| N | Age at EGPA Onset | Sex | Previous Clinical Manifestations | Previous Laboratory Findings | Prior Therapy | Clinical Manifestations at EGPA Onset | Laboratory at EGPA Onset | Time of Onset After Dupilumab Introduction (Weeks) | Dupilumab Discontinuation? | Corrective Treatment |
|---|---|---|---|---|---|---|---|---|---|---|
| 1. Anai (2022) [40] | 42 | M | Asthma | PR3-ANCA: + † | Inhaled LABA/LAMA OCS Omalizumab Mepolizumab Benralizumab | Fever, sinusitis, lung consolidations (transbronchial lung biopsy: eosinophilic pneumonia, possible features of healed arteritis) | AEC: normal CRP: increased MPO-ANCA: - PR3-ANCA: - IgE: normal | 3 | Yes | High-dose IV methylprednisolone (1000 mg/d for 3 days) followed by OCS Iv CYC (1000 mg monthly) Mepolizumab (300 mg/4w) Dupilumab reintroduced later |
| 2. Aya (2025) [41] | 53 | F | Asthma, CRSwNP | Hypereosinophilia (up to 1969/μL) | NA | Orbital cellulitis and scleritis followed by GI involvement (abdominal pain, vomiting, diarrhoea) and skin rashes (skin and upper GI biopsies: perivascular eosinophilic infiltrate) | AEC: 869/μL CRP: normal MPO-ANCA: - | 24 | Yes | OCS Mepolizumab (300 mg/4w) |
| 3. Barratt (2023) [42] | 60 | F | Asthma, CRSwNP | Hypereosinophilia (up to 1620/μL) | Benralizumab | Arthralgias, livedo racemosa-like skin rash (biopsy: eosinophilic vasculitis); left CRAO (vision loss, papilledema) | AEC: 3260/μL MPO-ANCA-: + (34 IU/mL) | 3 | NA | High-dose prednisone Rituximab Mepolizumab |
| 4. Eger (2021) [26] | 63 | F | Asthma | NA | OCS Benralizumab | Dysarthria and left-sided neurologic deficit, bilateral lung consolidations | AEC: 3940/μL ANCA: - | 14 | Yes | OCS Mepolizumab (300 mg/4w) |
| 5. Fargeas (1) (2023) [43] | 36 | F | Asthma, CRSwNP | Eosinophilia (up to 1000/μL) MPO-ANCA: + ‡ | OCS Mepolizumab Benralizumab | Mononeuritis multiplex | AEC: 1000/μL MPO-ANCA: + | 33 | NA | Prednisone CYC |
| 6. Fargeas (2) (2023) [43] | 63 | F | Asthma, CRSwNP | AEC: 400/μL ANCA: - | OCS Omalizumab Tralokinumab Mepolizumab | Mononeuritis multiplex, diplopia (brain MRI: ischemic-like lesions in the capsulo-lenticular area and the right caudate nucleus), erosive tracheitis (biopsy: focally dense inflammatory infiltrate of eosinophils) | AEC: 14,000/μL MPO-ANCA: + | 16 ∆ | Yes | Prednisone Rituximab |
| 7. Hu (2023) [44] | 64 | F | Asthma, CRSwNP | Eosinophilia (up to 700/μL) | NA | Arthralgias, abdominal pain with diarrhoea, purpuric rash and tense purple bullae on upper limbs (biopsy: eosinophilic vasculitis) | AEC: 6280/μL p-ANCA: + (80.1 IU/mL) | 8 | Yes | Methylprednisolone (1 mg/kg) CYC (750 mg/m2) |
| 8. Ikeda (2022) [45] | 71 | M | Allergic rhinitis, asthma | AEC: 280/μL IgE: 779 IU/mL | Inhaled CS/LABA Pranlukast | General symptoms (malaise, low-grade fever), rash in lower limb, sinusitis, nasal polyps, bilateral lower leg and plantar hypoesthesia | AEC: 8379/μL MPO-ANCA-: - IgE: 541 IU/mL | 96 * | NA | OCS (1 mg/kg/d) |
| 9. Jin (2025) [46] | 62 | F | Allergic rhinitis, asthma, CRSwNP, psoriasis | Hypereosinophilia (up to 3000/μL) ANCA: - | NA | General symptoms (fever, weight loss, arthralgias, headache), hearing loss, vision loss (orbit MRI: bilateral perineural sheath enhancement) | AEC: NA CRP: 133 mg/L | 2–4 | Yes | High dose iv methylprednisolone for 3 days followed by OCS Rituximab |
| 10. Kaburaki (2025) [47] | 48 | F | Asthma, CRSwNP | Hypereosinophilia (up to 2098/μL) MPO-ANCA: + (46.1 IU/mL) | Inhaled CS/LABA | General symptoms (fever, fatigue, arthralgias), peripheral neuropathy | AEC: 11,889/μL CRP: 61.3 mg/L MPO-ANCA: + (125 IU/mL) IgE: 120 IU/mL | 0 | Yes | High-dose iv methylprednisolone followed by OCS IVIG 2 g/kg Mepolizumab (300 mg/4w) |
| 11. Kai (2023) [48] | 67 | F | Asthma, CRSwNP, polyarthritis, haemoptysis with GGO on chest CT scan | Hypereosinophilia (up to 12,800/μL) ANCA: - | Inhaled CS/LABA/LAMA OCS | General symptoms (arthralgias, fatigue), periaortitis (abdominal and back pain) | AEC: 1090/μL CRP: 22.5 mg/L ANCA: - IgG4: 1.9 g/L | 44 | Yes | OCS (0.5 mg/kg/d) Mepolizumab (100 mg/4w) |
| 12. Matsumoto (2025) [49] | 64 | M | Asthma, CRSwNP | Eosinophilia (up to 948/μL) ANCA: - IgE: 1641 IU/mL | Inhaled CS/LABA/LAMA Leukotriene receptor antagonist Mepolizumab | Peripheral neuropathy, CRAO (sudden left visual field deficit) | AEC: 2608/μL ANCA: - | 6 | Yes | OCS (30 mg/d) Mepolizumab (100 mg/4w) |
| 13. McDermott (2021) [50] | 63 | M | Asthma | NA | Mepolizumab | General symptoms (myalgias, fever, fatigue), skin plaques on extremities (biopsy: eosinophilic infiltration), eosinophilic myocarditis | AEC: increasing (54% of WBC) CRP: increased ANCA: - | 24 | NA | High-dose IV methylprednisolone followed by OCS CYC for remission induction followed by azathioprine as maintenance therapy |
| 14. Milne (2022) [51] | 63 | M | Asthma, CRSwNP | AEC: normal | Inhaled CS/LABA OCS Mepolizumab | General symptoms (myalgias, arthralgias, fatigue), skin purpuric rash (biopsy: small-vessel vasculitis with eosinophilic infiltrate), pulmonary nodules, pleural effusion, eosinophilic myocarditis | AEC: 1100/μL ANCA: - IgE: normal | 28 | Yes | High-dose IV methylprednisolone (1000 mg/d for 3 days) followed by OCS CYC (750 mg) for remission induction followed by Azathioprine (2 mg/kg) plus mepolizumab (300 mg/4w) |
| 15. Murag (2021) [52] | 41 | M | Allergic rhinitis, asthma, atopic dermatitis, CRSwNP | AEC: 10/μL | OCS | Bilateral lung consolidations (chest pain, dyspnoea), polyneuropathy (numbness in hands and feet) | AEC: 1250/μL ANCA: - | 12 | Yes | Steroids Mepolizumab |
| 16. Persaud (2022)[53] | 58 | M | CRSwNP | AEC: normal | Antihistamines Inhaled CS Short-term OCS | General symptoms (arthralgias, fatigue), left pedal oedema, bilateral lung consolidations, skin rash (biopsy: eosinophilic vasculitis), pauci-immune glomerulonephritis | AEC: 22,000/μL CRP: 54 mg/L MPO-ANCA: + | 1–2 | Yes | High-dose IV methylprednisolone for 3 days followed by OCS Rituximab |
| 17. Suzaki (2023) [54] | 63 | F | Allergic rhinitis, asthma, CRSwNP, eosinophilic otitis media, eosinophilic pneumonia | Eosinophilia (up to 770/μL) MPO-ANCA: + (10.3 IU/mL) ** IgE: 893 IU/mL | Antihistamines Intranasal CS Inhaled CS/LABA Short-term OCS Montelukast | Right-hand numbness, rhinosinusitis, otitis, anosmia, cough, bilateral lung consolidations, facial oedema | AEC: 900/μL CRP: increased MPO-ANCA: + (15 IU/mL) IgE: 936 IU/mL | 4 | Yes | OCS CYC (750 mg for 6 courses) for remission induction, followed by Azathioprine plus Mepolizumab (300 mg/4w) |
| 18. Tanaka (2022) [55] | 50 | M | Asthma, CRSwNP | NA | Inhaled CS/LABA | High-grade fever, dyspnoea and wheezing, right lung consolidation (transbronchial biopsy: interstitial eosinophilic pneumonia) | AEC: 17,400/μL CRP: 163 mg/L ANCA: - | 20 | NA | High-dose IV methylprednisolone (1000 mg/d for 3 days) followed by OCS (1 mg/kg/d) |
| 19. Von Deimling (1) (2022) [56] | 25 | F | Asthma, CRSwNP | NA | OCS | General symptoms (myalgias, arthralgias), exacerbated asthma, conduction disturbances, pericardial effusion, bilateral lung consolidations, non-specific neurological symptoms | AEC: 7550/μL CRP: 147 mg/L ANCA-MPO: + | 2 | Yes | High dose IV prednisolone (250 mg/d) followed by OCS Methotrexate (12.5 mg/w) Mepolizumab (300 mg, single dose) |
| 20. Von Deimling (2) (2022) [56] | 57 | F | Asthma, CRSwNP | NA | Mepolizumab | General symptoms (myalgias, arthralgias), bilateral lung consolidations, mononeuritis multiplex, skin purpuric rash, renal insufficiency with proteinuria and haematuria | AEC: 3200/μL CRP: 94 mg/L MPO-ANCA: + | 8 | Yes | IV prednisolone (100 mg/d) followed by OCS Mepolizumab (100 mg/4w) Rituximab |
| 21. Wu (2025) [57] | 53 | F | Asthma | Hypereosinophilia (up to 4420/μL) ANCA: - | Inhaled CS Leukotriene receptor antagonist | Sinusitis, lung infiltrates, peripheral neuropathic pain | AEC: NA CRP: 32.4 mg/L | 2 | Yes | OCS Mepolizumab (300 mg/4w) |
| 22. Yamazaki (2022) [58] | 77 | F | Asthma, CRSwNP, eosinophilic pneumonia | Hypereosinophilia (up to 5967/μL) IgE: 918 IU/mL | Antihistamines Inhaled CS/LABA Leukotriene receptor antagonist | General symptoms (fever 38 °C, night sweating), ethmoid sinusitis, polyarthritis, fasciitis, skin rash (biopsy: vasculitis with eosinophilic infiltration) | AEC: 835/μL CRP: 279 mg/L MPO-ANCA: - PR3-ANCA: - | 24 | Yes | OCS (1 mg/kg/d) |
| 23. Our patient #1 | 67 | M | Asthma, CRwNP, recurrent otitis media | NA | Inhaled CS/LABA OCS | General symptoms, gastroenteritis, otitis complicated by bilateral otomastoiditis, bilateral lung consolidations and pleural effusion | AEC: 5630/μL CRP: 117 mg/L MPO-ANCA: - | 2 | Yes | IV steroid therapy followed by OCS (50 mg/d) Mepolizumab (300 mg/4w) |
| 24. Our patient #2 | 68 | M | Asthma, CRSwNP with nasal septal perforation | Eosinophilia (up to 1160/μL) MPO-ANCA: + PR3-ANCA: - | Inhaled CS/LABA/LAMA OCS Montelukast Benralizumab | General symptoms (fever, weakness, weight loss, arthralgias), bilateral conjunctival hyperaemia and crusty rhinitis | AEC: 11,540/µL CRP: 137 mg/L MPO-ANCA: + (67 IU/mL) IgE: 81.6 IU/mL | 6 | Yes | OCS (25 mg/d) Mepolizumab (100 mg/4w) |
Disclaimer/Publisher’s Note: The statements, opinions and data contained in all publications are solely those of the individual author(s) and contributor(s) and not of MDPI and/or the editor(s). MDPI and/or the editor(s) disclaim responsibility for any injury to people or property resulting from any ideas, methods, instructions or products referred to in the content. |
© 2026 by the authors. Licensee MDPI, Basel, Switzerland. This article is an open access article distributed under the terms and conditions of the Creative Commons Attribution (CC BY) license.
Share and Cite
Gatti, A.; Fontana, G.; Mora, J.; Franceschini, F.; Cavazzana, I.; Toniati, P.; Regola, F. Friend or Foe? Eosinophilic Granulomatosis with Polyangiitis (EGPA) Onset After Dupilumab: Report of Two Cases and a Narrative Review of the Literature. Rheumato 2026, 6, 10. https://doi.org/10.3390/rheumato6020010
Gatti A, Fontana G, Mora J, Franceschini F, Cavazzana I, Toniati P, Regola F. Friend or Foe? Eosinophilic Granulomatosis with Polyangiitis (EGPA) Onset After Dupilumab: Report of Two Cases and a Narrative Review of the Literature. Rheumato. 2026; 6(2):10. https://doi.org/10.3390/rheumato6020010
Chicago/Turabian StyleGatti, Alessia, Giulia Fontana, Jacopo Mora, Franco Franceschini, Ilaria Cavazzana, Paola Toniati, and Francesca Regola. 2026. "Friend or Foe? Eosinophilic Granulomatosis with Polyangiitis (EGPA) Onset After Dupilumab: Report of Two Cases and a Narrative Review of the Literature" Rheumato 6, no. 2: 10. https://doi.org/10.3390/rheumato6020010
APA StyleGatti, A., Fontana, G., Mora, J., Franceschini, F., Cavazzana, I., Toniati, P., & Regola, F. (2026). Friend or Foe? Eosinophilic Granulomatosis with Polyangiitis (EGPA) Onset After Dupilumab: Report of Two Cases and a Narrative Review of the Literature. Rheumato, 6(2), 10. https://doi.org/10.3390/rheumato6020010

