Role of Supercoiling and Topoisomerases in DNA Knotting
Abstract
1. Introduction
2. Materials and Methods
2.1. Bacterial Strains, Plasmids, and Culture Medium
2.2. DNA Treatments
2.3. 2D Agarose Gel Electrophoresis and Southern Transfer
2.4. Non-Radioactive Hybridization
2.5. Analysis of the Topology of CCCs
3. Results
3.1. Experimental Approach
3.2. Identification of Supercoiling Density (σ) by Chloroquine 2D Agarose Gel Electrophoresis
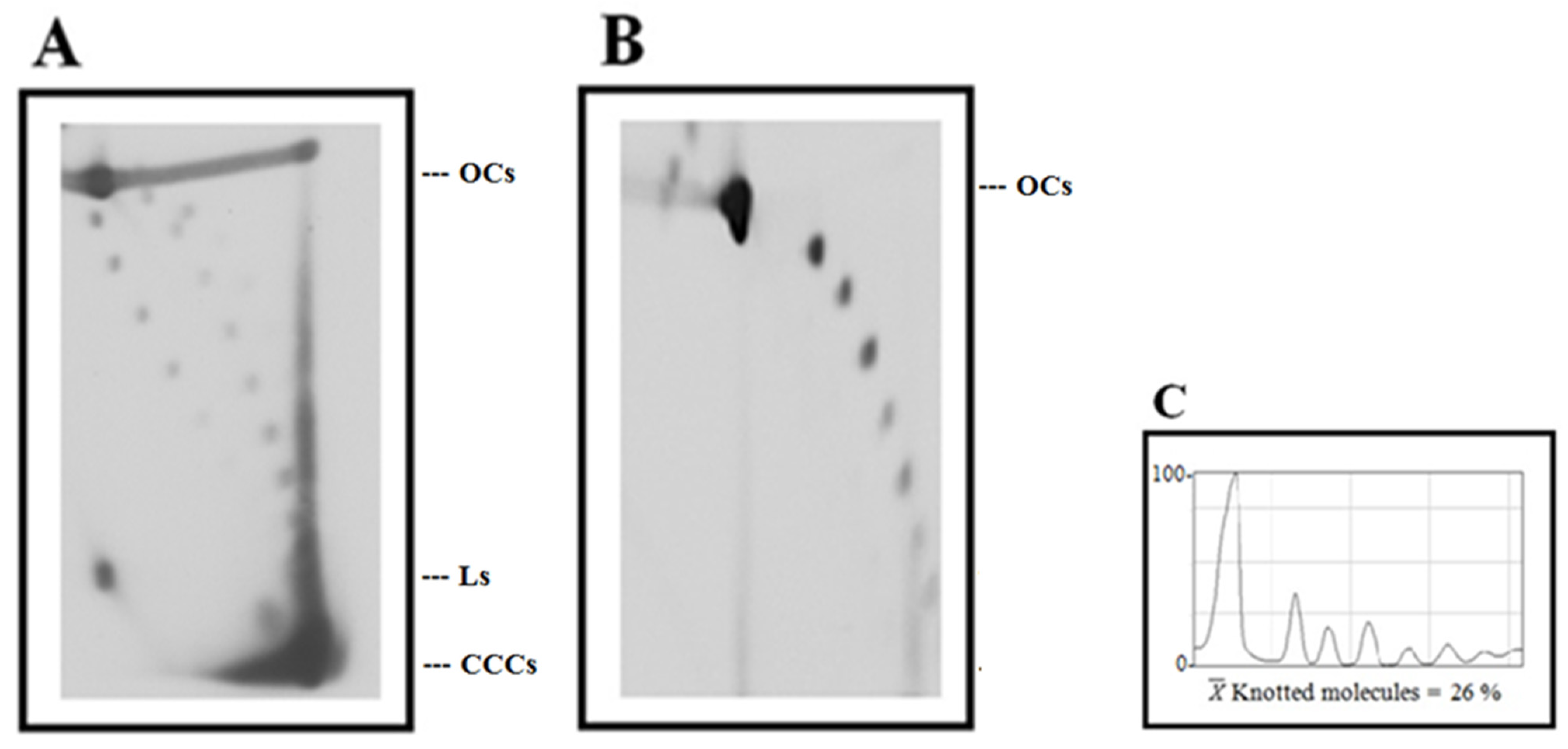
3.3. Analysis of Knotted Molecules by 2D Agarose Gel Electrophoresis
4. Discussion
5. Limitations
Author Contributions
Funding
Institutional Review Board Statement
Informed Consent Statement
Data Availability Statement
Acknowledgments
Conflicts of Interest
References
- Vinograd, J.; Lebowitz, J.; Radloff, R.; Watson, R.; Laipis, P. The twisted circular form of polyoma viral DNA. Proc. Natl. Acad. Sci. USA 1965, 53, 1104–1111. [Google Scholar] [CrossRef] [PubMed]
- Bauer, W.R.; Crick, F.H.; White, J.H. Supercoiled DNA. Sci. Am. 1980, 243, 100–113. [Google Scholar] [PubMed]
- Depew, R.E.; Liu, L.F.; Wang, J.C. Interaction between DNA and Escherichia coli protein omega. Formation of a complex between single-stranded DNA and omega protein. J. Biol. Chem. 1978, 253, 511–518. [Google Scholar] [CrossRef] [PubMed]
- Wang, J.C. Cellular roles of DNA topoisomerases: A molecular perspective. Nat. Rev. Mol. Cell Biol. 2002, 3, 430–440. [Google Scholar] [CrossRef] [PubMed]
- Bates, A.D.; Maxwell, A. DNA Topology; Oxford Academic: Oxford, UK, 2005. [Google Scholar]
- Hanke, A.; Ziraldo, R.; Levene, S.D. DNA-Topology Simplification by Topoisomerases. Molecules 2021, 26, 3375. [Google Scholar] [CrossRef] [PubMed]
- Bliska, J.B.; Cozzarelli, N.R. Use of site-specific recombination as a probe of DNA structure and metabolism in vivo. J. Mol. Biol. 1987, 194, 205–218. [Google Scholar] [CrossRef] [PubMed]
- Bednar, J.; Furrer, P.; Stasiak, A.; Dubochet, J.; Egelman, E.H.; Bates, A.D. The twist, writhe and overall shape of supercoiled DNA change during counterion-induced transition from a loosely to a tightly interwound superhelix. Possible implications for DNA structure in vivo. J. Mol. Biol. 1994, 235, 825–847. [Google Scholar] [CrossRef]
- Corbett, K.D.; Berger, J.M. Structure, molecular mechanisms, and evolutionary relationships in DNA topoisomerases. Annu. Rev. Biophys. Biomol. Struct. 2004, 33, 95–118. [Google Scholar] [CrossRef]
- Wang, J.C. DNA topoisomerases. Annu. Rev. Biochem. 1996, 65, 635–692. [Google Scholar] [CrossRef]
- Zechiedrich, E.L.; Khodursky, A.B.; Bachellier, S.; Schneider, R.; Chen, D.; Lilley, D.M.; Cozzarelli, N.R. Roles of topoisomerases in maintaining steady-state DNA supercoiling in Escherichia coli. J. Biol. Chem. 2000, 275, 8103–8113. [Google Scholar] [CrossRef]
- Whoriskey, S.K.; Schofield, M.A.; Miller, J.H. Isolation and characterization of Escherichia coli mutants with altered rates of deletion formation. Genetics 1991, 127, 21–30. [Google Scholar] [CrossRef] [PubMed]
- Levine, C.; Hiasa, H.; Marians, K.J. DNA gyrase and topoisomerase IV: Biochemical activities, physiological roles during chromosome replication, and drug sensitivities. Biochim. Biophys. Acta 1998, 1400, 29–43. [Google Scholar] [CrossRef] [PubMed]
- Baker, T.A.; Sekimizu, K.; Funnell, B.E.; Kornberg, A. Extensive unwinding of the plasmid template during staged enzymatic initiation of DNA replication from the origin of the Escherichia coli chromosome. Cell 1986, 45, 53–64. [Google Scholar] [CrossRef] [PubMed]
- Peter, B.J.; Ullsperger, C.; Hiasa, H.; Marians, K.J.; Cozzarelli, N.R. The structure of supercoiled intermediates in DNA replication. Cell 1998, 94, 819–827. [Google Scholar] [CrossRef] [PubMed]
- Postow, L.; Peter, B.J.; Cozzarelli, N.B. Knot what we thought before: The twisted story of replication. BioEssays 1999, 21, 805–880. [Google Scholar] [CrossRef]
- Postow, L.; Crisona, N.J.; Peter, B.J.; Hardy, C.D.; Cozzarelli, N.R. Topological challenges to DNA replication: Conformations at the fork. Proc. Natl. Acad. Sci. USA 2001, 98, 8219–8822. [Google Scholar] [CrossRef] [PubMed]
- Zechiedrich, E.L.; Cozzarelli, N.R. Roles of topoisomerase IV and DNA gyrase in DNA unlinking during replication in Escherichia coli. Genes Dev. 1995, 9, 2859–2869. [Google Scholar] [CrossRef] [PubMed]
- Liu, L.F.; Depew, R.E.; Wang, J.C. Knotted single-stranded DNA rings: A novel topological isomer of circular single-stranded DNA formed by treatment with Escherichia coli omega protein. J. Mol. Biol. 1976, 106, 439–452. [Google Scholar] [CrossRef] [PubMed]
- Ashley, C.; Lee, J.S. A triplex-mediated knot between separated polypurine-polypyrimidine tracts in circular DNA blocks transcription by Escherichia coli RNA polymerase. DNA Cell Biol. 2000, 19, 235–241. [Google Scholar] [CrossRef]
- Shishido, K.; Komiyama, N.; Ikawa, S. Increased production of a knotted form of plasmid pBR322 DNA in Escherichia coli DNA topoisomerase mutants. J. Mol. Biol. 1987, 195, 215–218. [Google Scholar] [CrossRef]
- Ishii, S.; Murakami, T.; Shishido, K. Gyrase inhibitors increase the content of knotted DNA species of plasmid pBR322 in Escherichia coli. J. Bacteriol. 1991, 173, 5551–5553. [Google Scholar] [CrossRef] [PubMed]
- Olavarrieta, L.; Hernandez, P.; Krimer, D.B.; Schvartzman, J.B. DNA knotting caused by head-on collision of transcription and replication. J. Mol. Biol. 2002, 322, 1–6. [Google Scholar] [CrossRef] [PubMed]
- Olavarrieta, L.; Martinez-Robles, M.L.; Hernandez, P.; Krimer, D.B.; Schvartzman, J.B. Knotting dynamics during DNA replication. Mol. Microbiol. 2002, 46, 699–707. [Google Scholar] [CrossRef] [PubMed]
- Olavarrieta, L.; Martinez-Robles, M.L.; Sogo, J.M.; Stasiak, A.; Hernandez, P.; Krimer, D.B.; Schvartzman, J.B. Supercoiling, knotting and replication fork reversal in partially replicated plasmids. Nucleic Acids Res. 2002, 30, 656–666. [Google Scholar] [CrossRef] [PubMed]
- O’Donnol, D.; Stasiak, A.; Buck, D. Two convergent pathways of DNA knotting in replicating DNA molecules as revealed by θ-curve analysis. Nucleic Acids Res. 2018, 46, 9181–9188. [Google Scholar] [CrossRef] [PubMed]
- Dean, F.B.; Stasiak, A.; Koller, T.; Cozzarelli, N.R. Duplex DNA knots produced by Escherichia coli topoisomerase I. Structure and requirements for formation. J. Biol. Chem. 1985, 260, 4975–4983. [Google Scholar] [CrossRef] [PubMed]
- Zechiedrich, E.L.; Khodursky, A.B.; Cozzarelli, N.R. Topoisomerase IV, not gyrase, decatenates products of site-specific recombination in Escherichia coli. Genes Dev. 1997, 11, 2580–2592. [Google Scholar] [CrossRef]
- Lopez, V.; Martinez-Robles, M.L.; Hernandez, P.; Krimer, D.B.; Schvartzman, J.B. Topo IV is the topoisomerase that knots and unknots sister duplexes during DNA replication. Nucleic Acids Res. 2012, 40, 3563–3573. [Google Scholar] [CrossRef]
- Burnier, Y.; Dorier, J.; Stasiak, A. DNA supercoiling inhibits DNA knotting. Nucleic Acids Res. 2008, 36, 4956–4963. [Google Scholar] [CrossRef]
- Brewer, B.J.; Fangman, W.L. The localization of replication origins on ARS plasmids in S. cerevisiae. Cell 1987, 51, 463–471. [Google Scholar] [CrossRef]
- Trigueros, S.; Arsuaga, J.; Vazquez, M.E.; Sumners, D.W.; Roca, J. Novel display of knotted DNA molecules by two-dimensional gel electrophoresis. Nucleic Acids Res. 2001, 29, E67. [Google Scholar] [CrossRef]
- Cebrian, J.; Kadomatsu-Hermosa, M.J.; Castan, A.; Martinez, V.; Parra, C.; Fernandez-Nestosa, M.J.; Schaerer, C.; Martinez-Robles, M.L.; Hernandez, P.; Krimer, D.B.; et al. Electrophoretic mobility of supercoiled, catenated and knotted DNA molecules. Nucleic Acids Res. 2015, 43, e24. [Google Scholar] [CrossRef]
- Bolivar, F.; Rodriguez, R.L.; Greene, P.J.; Betlach, M.C.; Heyneker, H.L.; Boyer, H.W.; Crosa, J.H.; Falkow, S. Construction and characterization of new cloning vehicles. II. A multipurpose cloning system. Gene 1977, 2, 95–113. [Google Scholar] [CrossRef]
- Cebrian, J.; Martinez, V.; Hernandez, P.; Krimer, D.B.; Fernandez-Nestosa, M.J.; Schvartzman, J.B. Two-Dimensional Gel Electrophoresis to Study the Activity of Type IIA Topoisomerases on Plasmid Replication Intermediates. Biology 2021, 10, 1195. [Google Scholar] [CrossRef]
- Cebrián, J.; Martínez, V.; Hernández, P.; Krimer, D.B.; Martínez-Robles, M.L.; Schvartzman, J.B.; Fernández-Nestosa, M.J. Electrophoretic Mobility Assay to Separate Supercoiled, Catenated, and Knotted DNA Molecules. Bio-Protocol 2024, 14, e4983. [Google Scholar] [CrossRef]
- Peter, B.J.; Arsuaga, J.; Breier, A.M.; Khodursky, A.B.; Brown, P.O.; Cozzarelli, N.R. Genomic transcriptional response to loss of chromosomal supercoiling in Escherichia coli. Genome Biol. 2004, 5, R87. [Google Scholar] [CrossRef]
- DiNardo, S.; Voelkel, K.A.; Sternglanz, R.; Reynolds, A.E.; Wright, A. Escherichia coli DNA topoisomerase I mutants have compensatory mutations in DNA gyrase genes. Cell 1982, 31, 43–51. [Google Scholar] [CrossRef]
- Lee, C.H.; Mizusawa, H.; Kakefuda, T. Unwinding of double-stranded DNA helix by dehydration. Proc. Natl. Acad. Sci. USA 1981, 78, 2838–2842. [Google Scholar] [CrossRef]
- Peck, L.J.; Wang, J.C. Energetics of B-to-Z transition in DNA. Proc. Natl. Acad. Sci. USA 1983, 80, 6206–6210. [Google Scholar] [CrossRef]
- García-López, M.; Megias, D.; Ferrándiz, M.J.; de la Campa, A.G. The balance between gyrase and topoisomerase I activities determines levels of supercoiling, nucleoid compaction, and viability in bacteria. Front. Microbiol. 2023, 13, 1094692. [Google Scholar] [CrossRef]
- Liu, L.F.; Liu, C.C.; Alberts, B.M. Type II DNA topoisomerases: Enzymes that can unknot a topologically knotted DNA molecule via a reversible double-strand break. Cell 1980, 19, 697–707. [Google Scholar] [CrossRef]
- Droge, P.; Cozzarelli, N.R. Topological structure of DNA knots and catenanes. Methods Enzymol. 1992, 212, 120–130. [Google Scholar]
- Deibler, R.W.; Rahmati, S.; Zechiedrich, E.L. Topoisomerase IV, alone, unknots DNA in E. coli. Genes Dev. 2001, 15, 748–761. [Google Scholar] [CrossRef]
- Kato, J.; Nishimura, Y.; Imamura, R.; Niki, H.; Hiraga, S.; Suzuki, H. New topoisomerase essential for chromosome segregation in E. coli. Cell 1990, 63, 393–404. [Google Scholar] [CrossRef]
- Podtelezhnikov, A.A.; Cozzarelli, N.R.; Vologodskii, A.V. Equilibrium distributions of topological states in circular DNA: Interplay of supercoiling and knotting. Proc Natl Acad Sci USA. 1999, 96, 12974–12979. [Google Scholar] [CrossRef]
- Witz, G.; Stasiak, A. DNA supercoiling and its role in DNA decatenation and unknotting. Nucleic Acids Res. 2010, 38, 2119–2133. [Google Scholar] [CrossRef]
- Witz, G.; Dietler, G.; Stasiak, A. Tightening of DNA knots by supercoiling facilitates their unknotting by type II DNA topoisomerases. Proc. Natl. Acad. Sci. USA 2011, 108, 3608–3611. [Google Scholar] [CrossRef]
- Racko, D.; Benedetti, F.; Dorier, J.; Burnier, Y.; Stasiak, A. Generation of supercoils in nicked and gapped DNA drives DNA unknotting and postreplicative decatenation. Nucleic Acids Res. 2015, 43, 7229–7236. [Google Scholar] [CrossRef]
- Valdés, A.; Segura, J.; Dyson, S.; Martínez-García, B.; Roca, J. DNA knots occur in intracellular chromatin. Nucleic Acids Res. 2018, 46, 650–660. [Google Scholar] [CrossRef]
- Portugal, J.; Rodríguez-Campos, A. T7 RNA polymerase cannot transcribe through a highly knotted DNA template. Nucleic Acids Res. 1996, 24, 4890–4894. [Google Scholar] [CrossRef]
- Valdés, A.; Coronel, L.; Martínez-García, B.; Segura, J.; Dyson, S.; Díaz-Ingelmo, O.; Micheletti, C.; Roca, J. Transcriptional supercoiling boosts topoisomerase II-mediated knotting of intracellular DNA. Nucleic Acids Res. 2019, 47, 6946–6955. [Google Scholar] [CrossRef] [PubMed]
- Bauer, W.; Vinograd, J. The interaction of closed circular DNA with intercalative dyes. I. The superhelix density of SV40 DNA in the presence and absence of dye. J. Mol. Biol. 1968, 33, 141–171. [Google Scholar] [CrossRef] [PubMed]





Disclaimer/Publisher’s Note: The statements, opinions and data contained in all publications are solely those of the individual author(s) and contributor(s) and not of MDPI and/or the editor(s). MDPI and/or the editor(s) disclaim responsibility for any injury to people or property resulting from any ideas, methods, instructions or products referred to in the content. |
© 2024 by the authors. Licensee MDPI, Basel, Switzerland. This article is an open access article distributed under the terms and conditions of the Creative Commons Attribution (CC BY) license (https://creativecommons.org/licenses/by/4.0/).
Share and Cite
Cebrián, J.; Martínez-Robles, M.-L.; Martínez, V.; Hernández, P.; Krimer, D.B.; Schvartzman, J.B.; Fernández-Nestosa, M.-J. Role of Supercoiling and Topoisomerases in DNA Knotting. DNA 2024, 4, 170-179. https://doi.org/10.3390/dna4020010
Cebrián J, Martínez-Robles M-L, Martínez V, Hernández P, Krimer DB, Schvartzman JB, Fernández-Nestosa M-J. Role of Supercoiling and Topoisomerases in DNA Knotting. DNA. 2024; 4(2):170-179. https://doi.org/10.3390/dna4020010
Chicago/Turabian StyleCebrián, Jorge, María-Luisa Martínez-Robles, Victor Martínez, Pablo Hernández, Dora B. Krimer, Jorge B. Schvartzman, and María-José Fernández-Nestosa. 2024. "Role of Supercoiling and Topoisomerases in DNA Knotting" DNA 4, no. 2: 170-179. https://doi.org/10.3390/dna4020010
APA StyleCebrián, J., Martínez-Robles, M.-L., Martínez, V., Hernández, P., Krimer, D. B., Schvartzman, J. B., & Fernández-Nestosa, M.-J. (2024). Role of Supercoiling and Topoisomerases in DNA Knotting. DNA, 4(2), 170-179. https://doi.org/10.3390/dna4020010

