Next Article in Journal
Analysis of the Psychophysiological Effect of a Bull Horn Wound in a Professional Bullfighter: A Case Report
Previous Article in Journal
Clinical Characteristics of Patients Undergoing Upper Extremity Fasciotomies for Compartment Syndrome at a Level I Trauma Center
 
 
Font Type:
Arial Georgia Verdana
Font Size:
Aa Aa Aa
Line Spacing:
Column Width:
Background:
Article

Evaluating Three Techniques for Coronoid Process and Anterior Capsule Fixation: A Biomechanical Study

1
Department of Orthopaedic Surgery, Brooke Army Medical Center, San Antonio, TX 78234, USA
2
Department of Research, School of Osteopathic Medicine, Campbell University, Lillington, NC 27546, USA
3
Department of Graduate Medical Education, Brooke Army Medical Center, San Antonio, TX 78234, USA
*
Author to whom correspondence should be addressed.
Trauma Care 2026, 6(1), 1; https://doi.org/10.3390/traumacare6010001
Submission received: 26 November 2025 / Revised: 12 January 2026 / Accepted: 22 January 2026 / Published: 24 January 2026

Abstract

Background: To compare the biomechanical strength of three fixation techniques for the elbow anterior capsule and coronoid process using a synthetic ulna model. We hypothesize that a cortical suture button would be equivalent to the bone tunnel model but inferior to a screw-post construct. Methods: A biomechanical study was conducted using a composite ulna bone model to simulate coronoid process fixation with three techniques: traditional trans-osseous bone tunnel repair, suspensory fixation using a cortical button, and a screw-post construct using a 3.5 mm cortical screw. All constructs were assembled using high-strength suture. Each specimen underwent axial loading on an Instron machine until failure, defined as loss of fixation through the dorsal cortex. Peak ultimate strength was recorded. Statistical analysis was performed using one-way ANOVA and Tukey’s HSD test. Results: The suture button construct demonstrated the highest mean ultimate strength at 490.3 ± 125.2 N, significantly greater than both the bone tunnel (328.8 ± 86.4 N, p < 0.01) and screw-post constructs (273.4 ± 54.5 N, p < 0.001). While the bone tunnel construct exhibited a 20.3% higher strength than the screw-post construct, this difference was not statistically significant (p = 0.13). The screw-post construct showed the least variability in strength to failure but the lowest overall strength. The suture button demonstrated the greatest mechanical strength but also the most variability. Conclusions: Suspensory fixation using a titanium cortical suture button provides significantly greater mechanical strength compared to traditional bone tunnel and screw-post techniques in a synthetic ulna model. While variability was greatest with the suture button construct, its superior load-bearing capacity suggests potential advantages in stabilizing the elbow through anterior capsule and coronoid fracture repair. These findings support further clinical investigation of suture button fixation as a viable technique in complex elbow injuries.

1. Introduction

Fractures of the coronoid process of the ulna typically occur as part of high-energy elbow injuries and are commonly associated with elbow dislocations and radial head fractures—the “terrible triad” injury pattern [1,2]. Such fracture-dislocations are difficult to manage, as the loss of the coronoid buttress contributes to recurrent instability and post-traumatic arthrosis [1]. Biomechanical and clinical studies have emphasized that repairing the coronoid, along with the anterior capsule, is critical for restoring elbow stability after dislocation [1]. Even small coronoid fragments can significantly destabilize the joint when combined with collateral ligament disruption, so secure fixation of the coronoid or capsule may be considered to prevent subluxation and allow early motion [1].
A variety of surgical fixation techniques have been described, but the optimal method remains debated. The choice of fixation often depends on fragment size and injury pattern. Large coronoid base fractures (or anteromedial facet fractures) may be amenable to screw or plate fixation, whereas small coronoid tip fragments (Regan-Morrey type I) associated with terrible triad injuries are frequently too small for screws and instead can be repaired with suture-based techniques [3]. Trans-osseous bone tunnel fixation is a technique described using nonabsorbable suture to capture the fragment(s) or attached capsular tissue and tied over the posterior ulna using drill holes [2,4]. This construct, called a “suture lasso repair,” is used to help restore stability in an otherwise unstable elbow [5].
In an effort to improve the strength of suture fixation, other methods have been developed that incorporate small anchoring devices. Cortical button fixation is one strategy that has been effectively utilized in other areas of orthopaedic surgery. A similar technique, the “screw post” construct, secures the suture limbs to a cortical screw placed in the proximal ulna. For this construct, the cortical screw can be placed independently, acting solely as a post, or serve as a secondary method of fixation for a large coronoid fragment. This technique has been effective in the management of ligamentous reconstructions, such as those of the anterior cruciate ligament (ACL) [6,7]. The purpose of this study was to compare the biomechanical strengths of three different techniques for anterior capsule and coronoid fixation: bone tunnel, screw-post construct (Figure 1), and cortical suture button (Figure 2).
We hypothesize that a cortical suture button would be equivalent to the bone tunnel model but inferior to a screw-post construct. The bicortical purchase of the screw to support the trans-osseous suture would theoretically suggest greater stability than a unicortical button. The suture button construct would provide a fixation model that distributes the load over a greater surface area with reduced risk of stress riser creation.

2. Materials and Methods

This biomechanical study utilized Sawbones composite bone models (Pacific Research Laboratories, Vashon, Washington, DC, USA) to assess three different fixation techniques: bone tunnel, screw-post, and cortical suture button. The primary outcome measurement was to examine ultimate strength, defined as the first drop in force greater than 10 Newtons, indicating cortical failure. We made all bone tunnels using a standardized technique with an ACL guide, 0.9 mm smooth Kirschner-wire (K-wire), and a 2.0 mm cannulated drill bit. All bone tunnels were made by passing a 0.9 mm K-wire using the ACL guide, confirming placement, and over-drilling with a 2.0 mm cannulated drill bit. High-strength braided suture (Arthrex #5 FiberWire, Arthrex, Naples, FL, USA) was passed through the bone tunnel using a Hewson suture retriever (Smith & Nephew, Memphis, TN, USA) prior to final fixation. An Instron ElectroPuls e3000 machine (Illinois Tool Works Inc., Glenview, IL, USA) was used to apply an axial loading vector to the coronoid fragment until failure of the fixation (Figure 3). The peak load sustained by each construct was recorded when failure occurred through the dorsal cortex. This approach provided a quantitative measure of fixation robustness for each technique under identical conditions. Quantitative data was graphed using a time versus force graph, and the initial drop in force corresponding to failure through the dorsal cortex was measured. Statistical analysis was performed using a one-way Analysis of Variance (ANOVA) and a Tukey’s Honestly Significant Difference (HSD) test from the data points obtained during loading. Five specimens (n = 5) were tested for each of the three fixation constructs (cortical suture button, bone tunnel, and screw-post), for a total of 15 specimens. This sample size was selected based on practical considerations of the sawbone model testing and is consistent with similar biomechanical studies in the literature. A post hoc power analysis was conducted using the observed data. With a sample size of n = 5 per group, significance level (α) of 0.05, and effect size of 1.0 (Cohen’s d), the achieved power for our ANOVA analysis was 0.80 (80%). This indicates that our study had adequate statistical power to detect large effect sizes between groups and may not exclude the possibility of smaller but clinically relevant differences.

2.1. Bone Tunnel

The bone tunnel construct was created based on the technique described by Spencer et al. Two 2 mm bone tunnels were made at the tip of the coronoid. Two bone tunnels on the volar surface were separated by 1 cm in the medial-to-lateral direction (Figure 4). On the dorsal surface, the tunnels were placed approximately 3 cm distal to the tip of the olecranon and separated by 1 cm. Each of the suture ends was then passed to the dorsal surface. The suture was tied with a total of five throws. The model was then tested using the Instron machine.

2.2. Cortical Button

The Suspensory fixation technique used a cortical suture button (ANIKA 3.0 mm × 10 mm, Bedford, MA, USA) fixation through one bone tunnel from the tip of the coronoid to approximately 3 cm distal to the tip of the olecranon dorsally (Figure 5). The suture tails were passed through the single bone tunnel and tied over the suture button, which was resting on the dorsal cortex. The five throw knot stack was placed on the button, simulating in vivo button placement.

2.3. Screw-Post

This technique involved one 2 mm bone tunnel and one bicortical screw hole. A screw hole was marked at the tip of the coronoid, and the bone tunnel was marked 1 cm distal on the volar aspect. On the dorsal aspect, the screw hole was marked 3 cm distal from the tip of the olecranon, and the bone tunnel was 1 cm distal from that (Figure 6). A depth gauge was used to measure the approximate screw length. A 3.5 mm solid titanium cortical screw (Skeletal Dynamics, Miami, FL, USA) was placed from dorsal to volar. The mean screw used in these models was 40 mm (38–42 mm). The suture was passed through the tunnel and secured around the screw post with five throws, and final tightening of the screw was performed until the screw was flush to the dorsal cortex.

3. Results

Ultimate strength to failure was measured for three fixation techniques: bone tunnel, suture button, and screw-post. The three constructs were graphed to demonstrate comparative outcomes, as well as exemplify the failure point through the dorsal cortex, as marked by “X” (Figure 7). The suture button construct demonstrated the highest mean ultimate strength at 490.3 ± 125.2 N, which was significantly greater than both the bone tunnel (328.8 ± 86.4 N, p < 0.01) and the screw-post constructs (273.4 ± 54.5 N, p < 0.001) (Table 1). All fifteen models demonstrated initial failure through the dorsal cortex.
The bone tunnel construct exhibited a 20.3% higher mean ultimate strength than the screw-post; however, this difference was not statistically significant (p = 0.13). While the bone tunnel construct offered higher strength on average, it also showed increased variability, with a standard deviation of 86.4 N compared to 54.5 N in the screw-post models.

4. Discussion

Coronoid and capsular repair have traditionally focused on bone tunnels and the suture lasso technique; however, this study aimed to examine the biomechanical strength of this technique with two alternative techniques that each used metal implants. Biomechanically, suspensory cortical button devices are known to provide robust fixation in tendon and ligament repairs [8]. Pilot studies have demonstrated that suture-buttons, unlike screws, do not cause additional fragmentation of the coronoid fragment [9]. This study found that cortical suture buttons provided the strongest fixation method when assessing uniplanar ultimate strength when compared to the other two fixation models. Additionally, there were no significant differences between the screw-post construct and the bone tunnel models. The primary advantage of the suture button model compared to the suture lasso is the use of a single bone tunnel compared to two, which minimizes the creation of stress risers and is technically easier. Overall, the suture button construct minimizes disruption to the normal bony architecture while still providing a broad-based surface area for fixation.
This study incorporated Sawbone composite bone models (Pacific Research Laboratories, Vashon, Washington, DC, USA), which allowed for a controlled head-to-head biomechanical comparison of fixation constructs [10,11,12]. Contrary to the hypothesis, the cortical suture button constructs outperformed both the bone tunnel and screw-post constructs. Furthermore, this study also observed that all models failed through a similar mechanism, failure through the dorsal cortex. The bone tunnel model demonstrated cut through the two corresponding tunnels, while both the screw-post model and suture button demonstrated incomplete disruption of the dorsal cortex prior to complete fragmentation at the level of the bone tunnel. The screw-post construct remained stable, likely due to its bicortical fixation.
Operative management for coronoid fractures may vary, and consideration of using a screw-post construct may include involvement of a large coronoid fragment [8,13]. This may be considered as the screw can capture the coronoid while simultaneously serving as a post for a suture securing the anterior capsule and small coronoid fragments. Despite inferiority in biomechanical strength in this study, further examination with in vivo or cadaveric models will need to be conducted for this construct. While the screw-post construct offers an advantage for ease of use if serving as a post in isolation, this fixation method is technically more demanding if used to secure a coronoid fragment while avoiding intra-articular penetration. Lastly, the risk of comminution of the coronoid fragment should always be considered prior to screw placement.
Though technically demanding, the screw-post construct combines a dual-method design, which utilizes rigid hardware fixation with a high-strength suture passed through a single bone tunnel [6,7,14]. Prior to this study, screw-post fixation techniques have been successfully employed in ligament reconstructions and other applications, but their biomechanical efficacy for coronoid fracture fixation has been unexplored [15]. Iannuzzi et al. demonstrated in a cadaveric study of a midsized coronoid fracture that a single screw demonstrated significantly higher resistance to displacement (mean ultimate strength ~405 N) than a trans-osseous suture lasso (~207 N) [13]. However, Lappen et al. [9,16] recently reported that a suture-button construct achieved an ultimate strength (~323 N) equivalent to that of a screw fixation (~314 N) in a coronoid fracture cadaveric model, which was a comparably similar force in this study.
This study has several limitations. First, the screw-post construct cortical purchase may be inherently less when compared to in vivo human bone. There have been no biomechanical studies in the literature for determining the break point of sawbone models; thus, we referenced the graphs from the Instron software with observed cortical deformity to use 10 Newtons as a reference point for failure. Second, an ACL guide was used to pass the K-wire for the drilling tunnel, but there were inevitable variations in placement. In order to reduce the risk of multiple passes and weakening the bone model, bone tunnel placement within 1 cm of each model was accepted. Potential factors that may impact the strength of fixation include the orientation of bone tunnels, suture button orientation, as well as consideration of inexpensive implants to act as an adjunct for suture buttons. Third, the technique models do not simulate capsular strength, which would be an additional potential failure point and may ultimately dictate failure of any technique. Additionally, there was a relatively small sample size. Finally, the models were tested under a single-axis load, while real-world elbow mechanics involve complex multidirectional forces, including torsion and shear.
The high variability observed in the suture button construct suggests that while suture button fixation may offer superior mechanical performance overall, the technique may be less predictable and more influenced by factors such as button orientation, suture tensioning, or tunnel placement. We suspect that the increased load distribution, use of a single bone tunnel, and reduced risk of a stress riser in the suture button construct play a major role in the observed differences. In contrast, the screw-post construct demonstrated the lowest mean strength but the narrowest distribution of failure values, indicating a relatively consistent but weaker mechanical profile. The non-significant differences observed between the bone tunnel and screw-post constructs may be interpreted with caution. While our power analysis suggests adequate power for detecting large effects, we acknowledge the possibility of type II error (false negative) for smaller but potentially clinically meaningful differences between these two constructs. The observed effect size between these two groups was smaller than anticipated, which may reflect true biomechanical similarity or insufficient power to detect subtle differences. Future studies may be considered to evaluate the impact of button orientation or differences in strength when using cadaveric bone models. Also, future studies with larger sample sizes would be valuable to detect more subtle biomechanical differences, particularly between the bone tunnel and screw-post constructs.

5. Conclusions

This study indicates that the suture button technique provides significantly greater mechanical strength, although with increased variability compared to other techniques. Bone tunnel fixation offers an intermediate solution with modest strength and variability, whereas the screw-post technique, though mechanically weaker, may offer the most consistent ultimate strength. These findings support further investigation into the clinical utility of cortical suture button constructs, especially in cases involving small or comminuted coronoid fragments where screw fixation may not be viable.

Author Contributions

Conceptualization, A.N.P., B.M.P.-H., T.N.K., A.S. and T.J.B.; methodology, A.N.P., B.M.P.-H. and T.J.B.; software, A.S. and J.K.A.; validation, A.N.P., B.M.P.-H., T.N.K., A.S., N.A.P. and T.J.B.; formal analysis, A.N.P.; investigation, A.N.P., B.M.P.-H. and T.N.K.; resources, T.J.B.; data curation, A.S. and J.K.A.; writing—original draft preparation, A.N.P., B.M.P.-H., T.N.K. and A.S.; writing—review and editing, A.N.P., B.M.P.-H., T.N.K., A.S., N.A.P., J.K.A. and T.J.B.; visualization, A.N.P., B.M.P.-H., T.N.K., A.S., N.A.P., J.K.A. and T.J.B.; supervision, T.J.B.; project administration, T.J.B. All authors have read and agreed to the published version of the manuscript.

Funding

This research received no external funding. Cortical buttons were provided by Parcus Medical, LLC (Sarasota, FL, USA). Cortical screws and synthetic bone models were provided by Skeletal Dynamics, Inc. (Miami, FL, USA).

Institutional Review Board Statement

Not applicable.

Informed Consent Statement

Not applicable.

Data Availability Statement

Data is contained within the article. Further inquiries can be directed to the corresponding author.

Acknowledgments

We would like to thank the Military Performance Laboratory at the Center for the Intrepid, Fort Sam Houston, Texas for their help in completing this biomechanical study.

Conflicts of Interest

The authors declare no conflicts of interest.

Abbreviations

The following abbreviations are used in this manuscript:
ACLAnterior Cruciate Ligament
K-wireKirschner wire
ANOVAAnalysis of Variance
HSDHonestly Significant Difference

References

  1. Clarke, S.E.; Lee, S.Y.; Raphael, J.R. Coronoid fixation using suture anchors. Hand 2009, 4, 156–160. [Google Scholar] [CrossRef] [PubMed]
  2. de Klerk, H.H.; Ring, D.; Boerboom, L.; van den Bekerom, M.P.J.; Doornberg, J.N. Coronoid fractures and traumatic elbow instability. JSES Int. 2023, 7, 2587–2593. [Google Scholar] [CrossRef] [PubMed]
  3. Regan, W.; Morrey, B. Fractures of the coronoid process of the ulna. J. Bone Jt. Surg. Am. 1989, 71, 1348–1354. [Google Scholar] [CrossRef]
  4. Spencer, E.E., Jr.; King, J.C. A simple technique for coronoid fixation. Tech. Shoulder Elb. Surg. 2003, 4, 1–3. [Google Scholar] [CrossRef]
  5. Choi, C.H.; Seok, H.G.; Park, S.G. Arthroscopic reduction and fixation of coronoid fractures with bending K-wire: A new technique. J. Clin. Med. 2022, 11, 4964. [Google Scholar] [CrossRef] [PubMed]
  6. Joshi, A.; Gupta, A.; Gupta, A.; Patel, R.; Mittal, A. Implantless supplementary fixation of anterior cruciate ligament in tibia with “make and use” anchor. Arthrosc. Tech. 2024, 13, 102825. [Google Scholar] [CrossRef] [PubMed]
  7. Hurwit, D.J.; Westermann, R.W.; Pollard, K.G.; Amendola, A.; Wolf, B.R.; Hettrich, C.M. Biomechanical comparison of tibial-sided supplemental fixation techniques in bone–patellar tendon–bone anterior cruciate ligament reconstruction. Knee 2023, 41, 66–71. [Google Scholar] [CrossRef] [PubMed]
  8. Sethi, P.M.; Obopilwe, E.; Rincon, L.; Miller, S.; Mazzocca, A.D. Biomechanical evaluation of distal biceps reconstruction with cortical button and interference screw fixation. J. Shoulder Elb. Surg. 2010, 19, 53–57. [Google Scholar] [CrossRef] [PubMed]
  9. Lappen, S.; Kadantsev, P.; Bohnet, D.; Geyer, S.; Hinz, M.; Marx, C.; Braun, S.; Siebenlist, S. Suture button systems for coronoid fracture fixation: A biomechanical time-zero pilot study. BMC Musculoskelet. Disord. 2025, 26, 32. [Google Scholar] [CrossRef] [PubMed]
  10. Zdero, R.; Brzozowski, P.; Schemitsch, E.H. Biomechanical properties of artificial bones made by Sawbones: A review. Med. Eng. Phys. 2023, 118, 104017. [Google Scholar] [CrossRef] [PubMed]
  11. Hausmann, J.T. Sawbones in biomechanical settings: A review. Osteosynth. Trauma Care 2006, 14, 259–264. [Google Scholar] [CrossRef]
  12. Reed, J.D.; Stanbury, S.J.; Menorca, R.M.; Elfar, J.C. The emerging utility of composite bone models in biomechanical studies of the hand and upper extremity. J. Hand Surg. Am. 2013, 38, 583–587. [Google Scholar] [CrossRef] [PubMed]
  13. Iannuzzi, N.P.; Paez, A.G.; Parks, B.G.; Murphy, M.S. Fixation of Regan-Morrey type II coronoid fractures: A comparison of screws and suture lasso technique for resistance to displacement. J. Hand Surg. Am. 2017, 42, e11–e14. [Google Scholar] [CrossRef] [PubMed]
  14. Mitchell, J.J.; Chahla, J.; Dean, C.S.; Menge, T.J.; Vap, A.R.; Cram, T.R.; LaPrade, R.F. Posterior wall blowout during anterior cruciate ligament reconstruction: Suspensory cortical fixation with a screw and washer post. Arthrosc. Tech. 2016, 5, e551–e555. [Google Scholar] [CrossRef] [PubMed]
  15. Kaarre, J.; Benvegnu, N.A.; Engler, I.D.; Nazzal, E.M.; Zsidai, B.; Senorski, E.H.; Musahl, V.; Samuelsson, K. Metal interference screw fixation combinations show high revision rates in primary hamstring tendon ACL reconstruction. BMC Musculoskelet. Disord. 2024, 25, 2. [Google Scholar] [CrossRef] [PubMed]
  16. Rausch, V.; Jettkant, B.; Lotzien, S.; Rosteius, T.; Mempel, E.; Schildhauer, T.A.; Seybold, D.; Geßmann, J.; Königshausen, M. Biomechanical comparison of screw osteosyntheses and anatomical plating for coronoid shear fractures of the ulna. Arch. Orthop. Trauma Surg. 2021, 141, 1509–1515. [Google Scholar] [CrossRef] [PubMed]
Figure 1. Lateral elbow radiograph demonstrating coronoid fixation with a 3.5 mm screw (dashed arrow) and the 2 mm drill tunnel used to pass the non-absorbable suture securing the anterior capsule (solid arrow, (A)). The screw was used as post to secure the suture and capsule (B).
Figure 1. Lateral elbow radiograph demonstrating coronoid fixation with a 3.5 mm screw (dashed arrow) and the 2 mm drill tunnel used to pass the non-absorbable suture securing the anterior capsule (solid arrow, (A)). The screw was used as post to secure the suture and capsule (B).
Traumacare 06 00001 g001
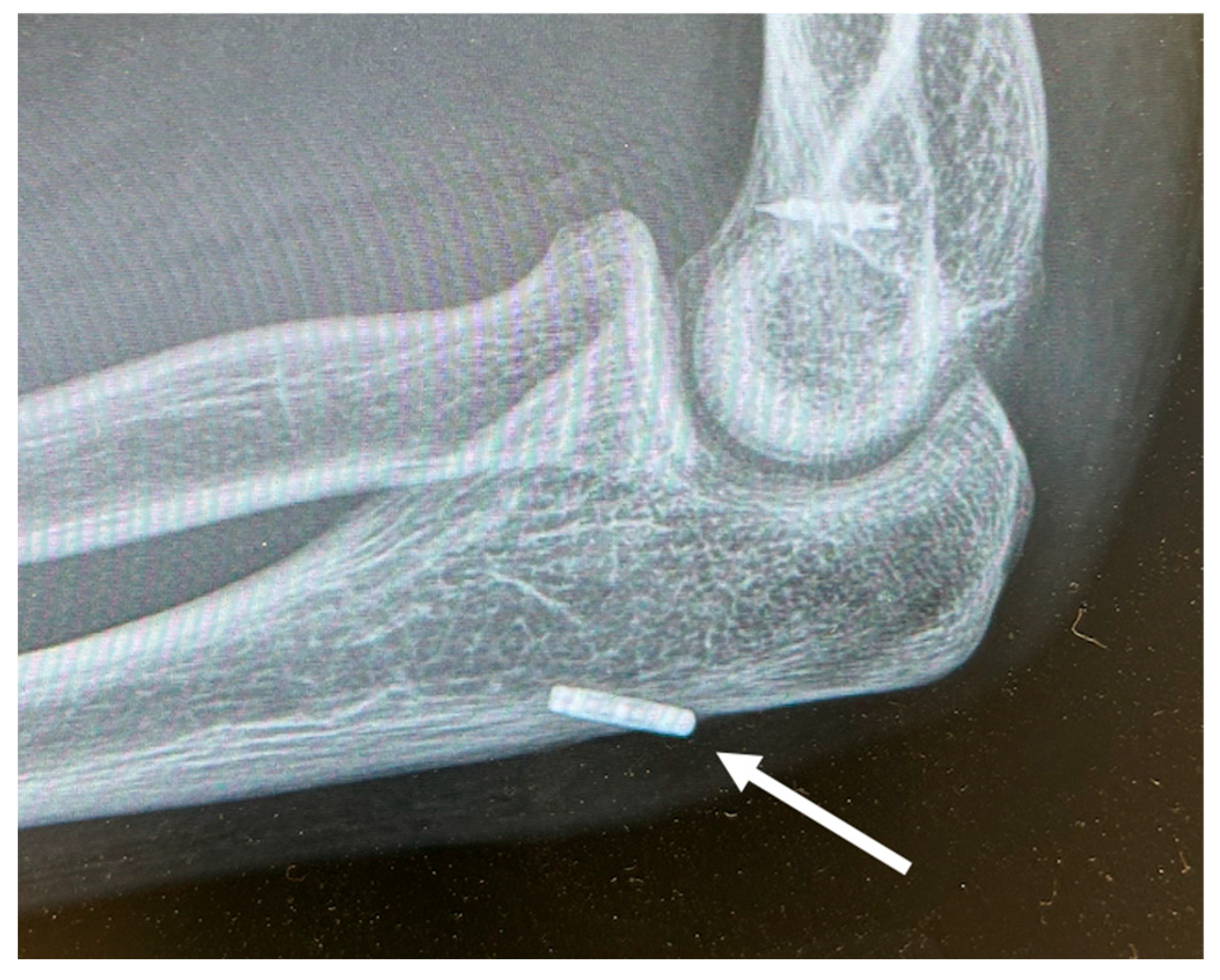
Figure 2. Lateral elbow radiograph demonstrating capsular repair using the suture suspension technique with a cortical button, which is represented by the arrow.
Figure 2. Lateral elbow radiograph demonstrating capsular repair using the suture suspension technique with a cortical button, which is represented by the arrow.
Traumacare 06 00001 g002
Figure 3. Ulna construct set-up on Instron.
Figure 3. Ulna construct set-up on Instron.
Traumacare 06 00001 g003
Figure 4. Bone Tunnel model. We have marked and measured the 2 tunnel locations (A,B) and passed two k-wires from dorsal to volar (C) using an ACL guide (D) prior to over-drilling with a cannulated drill bit.
Figure 4. Bone Tunnel model. We have marked and measured the 2 tunnel locations (A,B) and passed two k-wires from dorsal to volar (C) using an ACL guide (D) prior to over-drilling with a cannulated drill bit.
Traumacare 06 00001 g004
Figure 5. Cortical Suture Button. This figure demonstrates the placement of the k-wire (A,B) using the fixed ACL angle guide once the surface was measured and marked (C,D). Over-drilling was completed once K-wire placement was confirmed.
Figure 5. Cortical Suture Button. This figure demonstrates the placement of the k-wire (A,B) using the fixed ACL angle guide once the surface was measured and marked (C,D). Over-drilling was completed once K-wire placement was confirmed.
Traumacare 06 00001 g005
Figure 6. Screw-post construct. The first two images (A,B) demonstrate K-wire placement prior to over-drilling with a cannulated drill. The final three images (CE) demonstrate the final construct with a suture looped and tightened with the 3.5 mm screw.
Figure 6. Screw-post construct. The first two images (A,B) demonstrate K-wire placement prior to over-drilling with a cannulated drill. The final three images (CE) demonstrate the final construct with a suture looped and tightened with the 3.5 mm screw.
Traumacare 06 00001 g006
Figure 7. Ultimate Strength to Failure among three different constructs (sample n = 5 per group). This graph represents the force required to fail initially through the dorsal cortex followed by the volar cortex. The “X” marked within the graph represents the point of failure through the dorsal cortex, which was used for the ultimate strength to failure.
Figure 7. Ultimate Strength to Failure among three different constructs (sample n = 5 per group). This graph represents the force required to fail initially through the dorsal cortex followed by the volar cortex. The “X” marked within the graph represents the point of failure through the dorsal cortex, which was used for the ultimate strength to failure.
Traumacare 06 00001 g007
Table 1. Mean Ultimate Strength to Failure of 3 constructs with standard deviation.
Table 1. Mean Ultimate Strength to Failure of 3 constructs with standard deviation.
Ultimate Strength to Failure
TechniqueMean (N)
Bone Tunnel328.8 +/− 86.4
Suture Button490.3 +/− 125.2
Screw-post273.4 +/− 54.5
Disclaimer/Publisher’s Note: The statements, opinions and data contained in all publications are solely those of the individual author(s) and contributor(s) and not of MDPI and/or the editor(s). MDPI and/or the editor(s) disclaim responsibility for any injury to people or property resulting from any ideas, methods, instructions or products referred to in the content.

Share and Cite

MDPI and ACS Style

Patel, A.N.; Pompa-Hogan, B.M.; Kinamon, T.N.; Sayyed, A.; Pluta, N.A.; Aden, J.K.; Bates, T.J. Evaluating Three Techniques for Coronoid Process and Anterior Capsule Fixation: A Biomechanical Study. Trauma Care 2026, 6, 1. https://doi.org/10.3390/traumacare6010001

AMA Style

Patel AN, Pompa-Hogan BM, Kinamon TN, Sayyed A, Pluta NA, Aden JK, Bates TJ. Evaluating Three Techniques for Coronoid Process and Anterior Capsule Fixation: A Biomechanical Study. Trauma Care. 2026; 6(1):1. https://doi.org/10.3390/traumacare6010001

Chicago/Turabian Style

Patel, Arsh N., Briana M. Pompa-Hogan, Tori N. Kinamon, Arsalaan Sayyed, Natalia A. Pluta, James K. Aden, and Taylor J. Bates. 2026. "Evaluating Three Techniques for Coronoid Process and Anterior Capsule Fixation: A Biomechanical Study" Trauma Care 6, no. 1: 1. https://doi.org/10.3390/traumacare6010001

APA Style

Patel, A. N., Pompa-Hogan, B. M., Kinamon, T. N., Sayyed, A., Pluta, N. A., Aden, J. K., & Bates, T. J. (2026). Evaluating Three Techniques for Coronoid Process and Anterior Capsule Fixation: A Biomechanical Study. Trauma Care, 6(1), 1. https://doi.org/10.3390/traumacare6010001

Article Metrics

Back to TopTop