Oxidative Stress in Antibiotic Toxic Optic Neuropathy Mimicking Acute LHON in a Patient with Exacerbation of Cystic Fibrosis
Abstract
1. Introduction
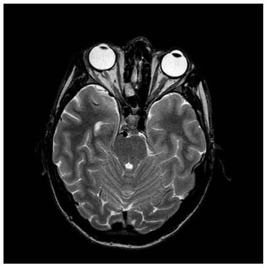
2. Case Description
3. Discussion
4. Conclusions
Author Contributions
Funding
Informed Consent Statement
Data Availability Statement
Acknowledgments
Conflicts of Interest
References
- Pilz, Y.L.; Bass, S.J.; Sherman, J. A Review of Mitochondrial Optic Neuropathies: From Inherited to Acquired Forms. J. Optom. 2016, 10, 205–214. [Google Scholar] [CrossRef] [PubMed]
- Stenton, S.L.; Sheremet, N.L.; Catarino, C.B.; Andreeva, N.A.; Assouline, Z.; Barboni, P.; Barel, O.; Berutti, R.; Bychkov, I.; Caporali, L.; et al. Impaired complex I repair causes recessive Leber’s hereditary optic neuropathy. J. Clin. Investig. 2021, 131, 6. [Google Scholar] [CrossRef] [PubMed]
- Yu-Wai-Man, P.; Chinnery, P.F. Leber Hereditary Optic Neuropathy. In GeneReviews®; Adam, M.P., Everman, D.B., Mirzaa, G.M., Pagon, R.A., Wallace, S.E., Bean, L.J., Gripp, K.W., Amemiya, A., Eds.; University of Washington: Seattle, WA, USA, 1993. Available online: http://www.ncbi.nlm.nih.gov/books/NBK1174/ (accessed on 8 December 2022).
- Fraser, J.A.; Biousse, V.; Newman, N.J. The neuro-ophthalmology of mitochondrial disease. Surv. Ophthalmol. 2010, 55, 299–334. [Google Scholar] [CrossRef] [PubMed]
- Burté, F.; Carelli, V.; Chinnery, P.F.; Yu-Wai-Man, P. Disturbed mitochondrial dynamics and neurodegenerative disorders. Nat. Rev. Neurol. 2014, 11, 11–24. [Google Scholar] [CrossRef] [PubMed]
- Anikster, Y.; Kleta, R.; Shaag, A.; Gahl, W.A.; Elpeleg, O. Type III 3-Methylglutaconic Aciduria (Optic Atrophy Plus Syndrome, or Costeff Optic Atrophy Syndrome): Identification of the OPA3 Gene and Its Founder Mutation in Iraqi Jews. Am. J. Hum. Genet. 2001, 69, 1218–1224. [Google Scholar] [CrossRef]
- Costeff, H.; Gadoth, N.; Apter, N.; Prialnic, M.; Savir, H. A familial syndrome of infantile optic atrophy, movement disorder, and spastic paraplegia. Neurology 1989, 39, 595–597. [Google Scholar] [CrossRef]
- Costeff, H.; Elpeleg, O.; Apter, N.; Divry, P.; Gadoth, N. 3-Methylglutaconic aciduria in optic atrophy plus? Ann. Neurol. 1993, 33, 103–104. [Google Scholar] [CrossRef]
- Gaier, E.D.; Sahai, I.; Wiggs, J.L.; McGeeney, B.; Hoffman, J.; Peeler, C.E. Novel homozygous OPA3 mutation in an Afghani family with 3-methylglutaconic aciduria type III and optic atrophy. Ophthalmic Genet. 2019, 40, 570–573. [Google Scholar] [CrossRef]
- Ayrignac, X.; Liauzun, C.; Lenaers, G.; Renard, D.; Amati-Bonneau, P.; de Sèze, J.; Dollfus, H.; Hamel, C.; Bonneau, D.; Labauge, P. OPA3-Related Autosomal Dominant Optic Atrophy and Cataract with Ataxia and Areflexia. Eur. Neurol. 2012, 68, 108–110. [Google Scholar] [CrossRef]
- Reynier, P.; Amati-Bonneau, P.; Verny, C.; Olichon, A.; Simard, G.; Guichet, A.; Bonnemains, C.; Malecaze, F.; Malinge, M.C.; Pelletier, J.B.; et al. OPA3 gene mutations responsible for autosomal dominant optic atrophy and cataract. J. Med Genet. 2004, 41, e110. [Google Scholar] [CrossRef]
- Grau, T.; Burbulla, L.F.; Engl, G.; Delettre, C.; Delprat, B.; Oexle, K.; Leo-Kottler, B.; Roscioli, T.; Krüger, R.; Rapaport, D.; et al. A novel heterozygous OPA3 mutation located in the mitochondrial target sequence results in altered steady-state levels and fragmented mitochondrial network. J. Med. Genet. 2013, 50, 848–858. [Google Scholar] [CrossRef] [PubMed]
- Chen, J.; Xu, K.; Zhang, X.; Jiang, F.; Liu, L.; Dong, B.; Ren, Y.; Li, Y. Mutation Screening of Mitochondrial DNA as Well as OPA1 and OPA3 in a Chinese Cohort with Suspected Hereditary Optic Atrophy. Investig. Opthalmology Vis. Sci. 2014, 55, 6987–6995. [Google Scholar] [CrossRef] [PubMed]
- Kleta, R.; Skovby, F.; Christensen, E.; Rosenberg, T.; Gahl, W.A.; Anikster, Y. 3-Methylglutaconic aciduria type III in a non-Iraqi-Jewish kindred: Clinical and molecular findings. Mol. Genet. Metab. 2002, 76, 201–206. [Google Scholar] [CrossRef]
- Li, J.K.; Li, W.; Gao, F.J.; Qu, S.F.; Hu, F.Y.; Zhang, S.H.; Li, L.L.; Wang, Z.W.; Qiu, Y.; Wang, L.S.; et al. Mutation Screening of mtDNA Combined Targeted Exon Se-quencing in a Cohort with Suspected Hereditary Optic Neuropathy. Transl. Vis. Sci. Technol. 2020, 9, 11. [Google Scholar] [CrossRef] [PubMed]
- Yu-Wai-Man, P.; Griffiths, P.G.; Burke, A.; Sellar, P.W.; Clarke, M.P.; Gnanaraj, L.; Ah-Kine, D.; Hudson, G.; Czermin, B.; Taylor, R.W.; et al. The Prevalence and Natural History of Dominant Optic Atrophy Due to OPA1 Mutations. Ophthalmology 2010, 117, 1538–1546.e1. [Google Scholar] [CrossRef]
- Yu-Wai-Man, P.; Shankar, S.P.; Biousse, V.; Miller, N.R.; Bean, L.J.; Coffee, B.; Hegde, M.; Newman, N.J. Genetic Screening for OPA1 and OPA3 Mutations in Patients with Suspected Inherited Optic Neuropathies. Ophthalmology 2011, 118, 558–563. [Google Scholar] [CrossRef]
- Howell, N. LHON and Other Optic Nerve Atrophies: The Mitochondrial Connection. Dev. Ophthalmol. 2003, 37, 94–108. [Google Scholar] [CrossRef]
- Valdivieso, Á.G. Mitochondrial alterations and oxidative stress in cystic fibrosis. In Oxidative Stress in Lung Diseases; Chakraborti, S., Chakraborti, T., Das, S., Chattopadhyay, D., Eds.; Springer: Singapore, 2019; Available online: https://repositorio.uca.edu.ar/handle/123456789/14243 (accessed on 5 December 2022).
- Valdivieso, A.G.; Clauzure, M.; Marín, M.C.; Taminelli, G.L.; Massip Copiz, M.M.; Sánchez, F.; Schulman, G.; Teiber, M.L.; Santa-Coloma, T.A. The Mitochondrial Complex I Activity Is Reduced in Cells with Impaired Cystic Fibrosis Transmembrane Conductance Regulator (CFTR) Function. PLoS ONE 2012, 7, e48059. [Google Scholar] [CrossRef]
- Bruce, G.M.; Denning, C.R.; Spalter, H.F. Ocular findings in cystic fibrosis of the pancreas: A preliminary report. Arch. Ophthalmol. 1960, 63, 391–401. [Google Scholar] [CrossRef]
- Howell, N. Leber hereditary optic neuropathy: Respiratory chain dysfunction and degeneration of the optic nerve. Vis. Res. 1998, 38, 1495–1504. [Google Scholar] [CrossRef]
- Yu, J.J.; Lee, D.H.; Gallagher, S.P.; Kenney, M.C.; Boisvert, C.J. Mitochondrial Impairment in Antibiotic Induced Toxic Optic Neurop-athies. Curr. Eye Res. 2018, 43, 1199–1204. [Google Scholar] [CrossRef] [PubMed]
- Samarakoon, N.; Harrisberg, B.; Ell, J. Ciprofloxacin-induced toxic optic neuropathy. Clin. Exp. Ophthalmol. 2007, 35, 102–104. [Google Scholar] [CrossRef] [PubMed]
- Ye, X.; Huang, A.; Wang, X.; Wen, C.; Hu, L.; Lin, G. Linezolid Inhibited Synthesis of ATP in Mitochondria: Based on GC-MS Metabolomics and HPLC Method. BioMed Res. Int. 2018, 2018, 1–8. [Google Scholar] [CrossRef] [PubMed]
- De Vriese, A.S.; van Coster, R.; Smet, J.; Seneca, S.; Lovering, A.; van Haute, L.L.; Vanopdenbosch, L.J.; Martin, J.J.; Ceuterick-de Groote, C.; Vandecasteele, S.; et al. Linezolid-induced inhibition of mitochondrial protein synthesis. Clin. Infect. Dis. 2006, 42, 1111–1117. [Google Scholar] [CrossRef] [PubMed]
- Javaheri, M.; Khurana, R.N.; O’hearn, T.M.; Lai, M.M.; Sadun, A.A. Linezolid-induced optic neuropathy: A mitochondrial disorder? Br. J. Ophthalmol. 2007, 91, 111–115. [Google Scholar] [CrossRef]
- Aljebreen, M.A.; Alotaibi, A.K.; Alrobaian, M. Linezolid-Induced Toxic Optic Neuropathy. Middle East Afr. J. Ophthalmol. 2020, 27, 235–237. [Google Scholar] [CrossRef]
- Karuppannasamy, D.; Raghuram, A.; Sundar, D. Linezolid-induced optic neuropathy. Indian J. Ophthalmol. 2014, 62, 497–500. [Google Scholar] [CrossRef]
- Mehta, S.; Das, M.; Laxmeshwar, C.; Jonckheere, S.; Thi, S.S.; Isaakidis, P. Linezolid-Associated Optic Neuropathy in Drug-Resistant Tuberculosis Patients in Mumbai, India. PLoS ONE 2016, 11, e0162138. [Google Scholar] [CrossRef]
- Bano, S.; Nawaz, A.; Numan, A.; Hassan, M.A.; Shafique, M.B.A. A Case Report and Literature Review of the Outcome of Linezol-id-Induced Optic and Peripheral Neuropathy in Patients with Multidrug-Resistant Pulmonary TB. Front. Neurol. 2022, 13, 908584. [Google Scholar] [CrossRef]
- Zhang, P.; Li, W.; Liu, M.; Zhan, S.; Zhang, H.; Deng, G.; Chen, X. Linezolid-Associated Neuropathy in Patients with MDR/XDR Tu-berculosis in Shenzhen, China. Infect. Drug Resist. 2022, 15, 2617. [Google Scholar] [CrossRef]
- Agashe, P.; Doshi, A. Linezolid induced optic neuropathy in a child treated for extensively drug resistant tuberculosis: A case report and review of literature. Saudi J. Ophthalmol. 2019, 33, 188–191. [Google Scholar] [CrossRef]
- Kulkarni, K.; Priore, L.V.D. Linezolid induced toxic optic neuropathy. Br. J. Ophthalmol. 2005, 89, 1664–1665. [Google Scholar] [CrossRef]
- Lee, S.; Kang, B.H.; Ryu, W.Y.; Um, S.J.; Roh, M.S.; Son, C. Is Severe and Long-lasting Linezolid-induced Optic Neuropathy Reversible? Intern. Med. 2018, 57, 3611–3613. [Google Scholar] [CrossRef] [PubMed]
- Chaitali, P.; Suresh, R. Comment on Linezolid induced optic neuropathy. Indian J. Ophthalmol. 2015, 63, 75–76. [Google Scholar] [CrossRef] [PubMed]
- Yu Wai Man, C.Y.; Chinnery, P.F.; Griffiths, P.G. Optic neuropathies—Importance of spatial distribution of mitochondria as well as function. Med. Hypotheses 2005, 65, 1038–1042. [Google Scholar] [CrossRef] [PubMed]
- Savini, G.; Zanini, M.; Carelli, V.; Sadun, A.A.; Ross-Cisneros, F.N.; Barboni, P. Correlation between retinal nerve fibre layer thickness and optic nerve head size: An optical coherence tomography study. Br. J. Ophthalmol. 2005, 89, 489–492. [Google Scholar] [CrossRef] [PubMed]
- Carelli, V.; Ross-Cisneros, F.N.; Sadun, A.A. Mitochondrial dysfunction as a cause of optic neuropathies. Prog. Retin. Eye Res. 2004, 23, 53–89. [Google Scholar] [CrossRef]
- Sadun, A.A.; Carelli, V. Mitochondrial function and dysfunction within the optic nerve. Arch. Ophthalmol. 2003, 121, 1342–1343. [Google Scholar] [CrossRef]
- Sadun, A.A.; Carelli, V.; Salomao, S.R.; Berezovsky, A.; Quiros, P.A.; Sadun, F.; de Negri, A.M.; Andrade, R.; Moraes, M.; Passos, A.; et al. Extensive investigation of a large Brazilian pedigree of 11778/haplogroup J Leber hereditary optic neuropathy. Am. J. Ophthalmol. 2003, 136, 231–238. [Google Scholar] [CrossRef]
- Sadun, A.A. Metabolic optic neuropathies. Semin. Ophthalmol. 2002, 17, 29–32. [Google Scholar] [CrossRef]
- Wang, L.; Dong, J.; Cull, G.; Fortune, B.; Cioffi, G.A. Varicosities of intraretinal ganglion cell axons in human and nonhuman primates. Investig. Opthalmology Vis. Sci. 2003, 44, 2–9. [Google Scholar] [CrossRef] [PubMed]
- Lee, E.; Burger, S.; Melton, C.; Mullen, M.; Warren, F.; Press, R. Linezolid-Associated Toxic Optic Neuropathy: A Report of 2 Cases. Clin. Infect. Dis. 2003, 37, 1389–1391. [Google Scholar] [CrossRef]
- Kreps, E.O.; Brown, L.; Rennie, I.G. Clinical recovery in linezolid-induced optic nerve toxicity. Acta Ophthalmol. 2016, 95, e341–e342. [Google Scholar] [CrossRef] [PubMed]
- Dempsey, S.P.; Sickman, A.; Slagle, W.S. Case Report: Linezolid Optic Neuropathy and Proposed Evidenced-based Screening Recommendation. Optom. Vis. Sci. 2018, 95, 468–474. [Google Scholar] [CrossRef] [PubMed]
- Riordan-Eva, P.; Sanders, M.D.; Govan, G.G.; Sweeney, M.G.; da Costa, J.; Harding, A.E. The clinical features of Leber’s hereditary optic neuropathy defined by the presence of a pathogenic mitochondrial DNA mutation. Brain 1995, 118, 319–337. [Google Scholar] [CrossRef] [PubMed]
- Yu-Wai-Man, P.; Griffiths, P.G.; Chinnery, P.F. Mitochondrial optic neuropathies—Disease mechanisms and therapeutic strategies. Prog. Retin. Eye Res. 2011, 30, 81–114. [Google Scholar] [CrossRef] [PubMed]
- Harding, A.E.; Riordan-Eva, P.; Govan, G.G. Mitochondrial DNA diseases: Genotype and phenotype in leber’s hereditary optic neuropathy. Muscle Nerve 1995, 18, S82–S84. [Google Scholar] [CrossRef]
- Qi, X.; Sun, L.; Lewin, A.; Hauswirth, W.W.; Guy, J. The Mutant Human ND4 Subunit of Complex I Induces Optic Neuropathy in the Mouse. Investig. Opthalmology Vis. Sci. 2007, 48, 1–10. [Google Scholar] [CrossRef]
- Koilkonda, R.D.; Yu, H.; Talla, V.; Porciatti, V.; Feuer, W.J.; Hauswirth, W.; Chiodo, V.A.; Erger, K.E.; Boye, S.L.; Lewin, A.; et al. LHON Gene Therapy Vector Prevents Visual Loss and Optic Neuropathy Induced by G11778A Mutant Mitochondrial DNA: Biodistribution and Toxicology Profile. Investig. Opthalmology Vis. Sci. 2014, 55, 7739–7753. [Google Scholar] [CrossRef]
- Cwerman-Thibault, H.; Augustin, S.; Lechauve, C.; Ayache, J.; Ellouze, S.; Sahel, J.-A.; Corral-Debrinski, M. Nuclear expression of mitochondrial ND4 leads to the protein assembling in complex I and prevents optic atrophy and visual loss. Mol. Ther. Methods Clin. Dev. 2015, 2, 15003. [Google Scholar] [CrossRef]
- Baracca, A.; Solaini, G.; Sgarbi, G.; Lenaz, G.; Baruzzi, A.; Schapira, A.; Martinuzzi, A.; Carelli, V. Severe Impairment of Complex I–Driven Adenosine Triphosphate Synthesis in Leber Hereditary Optic Neuropathy Cybrids. Arch. Neurol. 2005, 62, 730–736. [Google Scholar] [CrossRef] [PubMed]
- Bahr, T.; Welburn, K.; Donnelly, J.; Bai, Y. Emerging model systems and treatment approaches for Leber’s hereditary optic neu-ropathy: Challenges and opportunities. Biochim. Biophys. Acta Mol. Basis Dis. 2020, 1866, 165743. [Google Scholar] [CrossRef] [PubMed]





| Timeline | Clinical Progression |
|---|---|
| ≥1 year prior to the symptoms’ onset | Combination antibiotic therapy with linezolid, azithromycin, ciprofloxacin, and tobramycin |
| May/June 2020 | Hearing worsening; paresthesia in the hands, stomach and feet |
| July 2020 | Blurry vision in both eyes |
| 24 July–3 August 2020: hospitalization | At admission: BCVA RE, 0.5; LE, 0.5. At discharge: BCVA RE, 0.3; LE, 0.3 Ishihara color plate score: RE, 9/21; LE, 13/21; no relative afferent pupillary defect; central scotomas in both eyes Hyperemic and swollen optic discs, tortuous and distended vessels Diagnostic tests: full blood panel, serology, head and cervical spine MRI, genetic testing, ENT examination, neurological, electrophysiology Discontinued ciprofloxacin and linezolid, started on supplemental therapy with biotin; Vitamins B1, B6, and B12; and idebenone |
| September 2020 | Subjective improvement in visual acuity (as subsequently reported by the patient) |
| October 2020 | Lung transplant |
| 18 January 2021: first outpatient follow-up | BCVA RE, 0.9; LE, 0.8 Ishihara plates: full Kinetic Goldmann perimetry: no scotoma Fundi normal, no visible disc edema |
| 4 February 2021 | Repeat electrophysiology: a slightly reduced PERG N95 wave in the RE; normal in the LE; significantly improved VEP signals from both eyes Macular OCT: GCL thinning in both eyes |
| 22 March 2021: second outpatient follow-up | BCVA RE, 1.0; LE, 1.0 Ishihara plates: full Automated static perimetry (Octopus, G2 TOP strategy) within normal limits |
Disclaimer/Publisher’s Note: The statements, opinions and data contained in all publications are solely those of the individual author(s) and contributor(s) and not of MDPI and/or the editor(s). MDPI and/or the editor(s) disclaim responsibility for any injury to people or property resulting from any ideas, methods, instructions or products referred to in the content. |
© 2023 by the authors. Licensee MDPI, Basel, Switzerland. This article is an open access article distributed under the terms and conditions of the Creative Commons Attribution (CC BY) license (https://creativecommons.org/licenses/by/4.0/).
Share and Cite
Kovač, L.; Volk, M.; Šuštar Habjan, M.; Hawlina, M. Oxidative Stress in Antibiotic Toxic Optic Neuropathy Mimicking Acute LHON in a Patient with Exacerbation of Cystic Fibrosis. Stresses 2023, 3, 387-396. https://doi.org/10.3390/stresses3010028
Kovač L, Volk M, Šuštar Habjan M, Hawlina M. Oxidative Stress in Antibiotic Toxic Optic Neuropathy Mimicking Acute LHON in a Patient with Exacerbation of Cystic Fibrosis. Stresses. 2023; 3(1):387-396. https://doi.org/10.3390/stresses3010028
Chicago/Turabian StyleKovač, Lea, Marija Volk, Maja Šuštar Habjan, and Marko Hawlina. 2023. "Oxidative Stress in Antibiotic Toxic Optic Neuropathy Mimicking Acute LHON in a Patient with Exacerbation of Cystic Fibrosis" Stresses 3, no. 1: 387-396. https://doi.org/10.3390/stresses3010028
APA StyleKovač, L., Volk, M., Šuštar Habjan, M., & Hawlina, M. (2023). Oxidative Stress in Antibiotic Toxic Optic Neuropathy Mimicking Acute LHON in a Patient with Exacerbation of Cystic Fibrosis. Stresses, 3(1), 387-396. https://doi.org/10.3390/stresses3010028
