cEpiderm, a Canine Skin Analog Suitable for In Vivo Testing Replacement
Abstract
1. Introduction
2. Materials and Methods
3. Results and Discussion
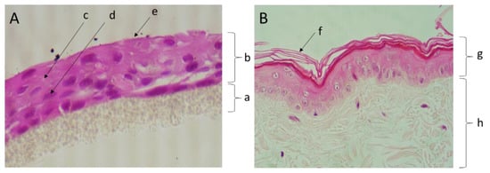
3.1. Morphological and Histological Characterization of the cEpiderm
3.2. Functional Characterization of the cEpiderm
4. Conclusions
Author Contributions
Funding
Conflicts of Interest
References
- Netzlaff, F.; Kaca, M.; Bock, U.; Haltner-Ukomadu, E.; Meiers, P.; Lehr, C.-M.; Schaefer, U.F. Permeability of the reconstructed human epidermis model Episkin in comparison to various human skin preparations. Eur. J. Pharm. Biopharm. 2007, 66, 127–134. [Google Scholar] [CrossRef] [PubMed]
- MacNeil, S. Progress and opportunities for tissue-engineered skin. Nature 2007, 445, 874–880. [Google Scholar] [CrossRef] [PubMed]
- Supp, D.M.; Boyce, S.T. Engineered skin substitutes: Practices and potentials. Clin. Dermatol. 2005, 23, 403–412. [Google Scholar] [CrossRef] [PubMed]
- Souci, L.; Denesvre, C. 3D skin models in domestic animals. Vet. Res. 2021, 52, 21. [Google Scholar] [CrossRef] [PubMed]
- Rittié, L. Cellular mechanisms of skin repair in humans and other mammals. J. Cell Commun. Signal. 2016, 10, 103–120. [Google Scholar] [CrossRef]
- Suhail, S.; Sardashti, N.; Jaiswal, D.; Rudraiah, S.; Misra, M.; Kumbar, S.G. Engineered Skin Tissue Equivalents for Product Evaluation and Therapeutic Applications. Biotechnol. J. 2019, 14, e1900022. [Google Scholar] [CrossRef]
- Martínez-Santamaría, L.; Guerrero-Aspizua, S.; Del Río, M. Skin bioengineering: Preclinical and clinical applications. Actas Dermosifiliogr. 2012, 103, 5–11. [Google Scholar] [CrossRef] [PubMed]
- Skin Irritation Protocol SkinEthic RHE, (Validated) [Internet]. Lyon, FRANCE: Episkin. Available online: https://www.episkin.com/skin-irritation (accessed on 2 May 2022).
- Skin Corrosion Protocol Episkin (Validated) [Internet]. Lyon, FRANCE: Episkin. Available online: https://www.episkin.com/skin-corrosion (accessed on 2 May 2022).
- Netzlaff, F.; Lehr, C.M.; Wertz, P.W.; Schaefer, U.F. The human epidermis models EpiSkin®, SkinEthic® and EpiDerm®: An evaluation of morphology and their suitability for testing phototoxicity, irritancy, corrosivity, and substance transport. Eur. J. Pharm. Biopharm. 2005, 60, 167–178. [Google Scholar] [CrossRef] [PubMed]
- Abramo, F.; Pirone, A.; Lenzi, C.; Vannozzi, I.; Della Valle, M.F.; Miragliotta, V. Establishment of a 2-week canine skin organ culture model and its pharmacological modulation by epidermal growth factor and dexamethasone. Ann. Anat. 2016, 207, 109–117. [Google Scholar] [CrossRef][Green Version]
- Bauhammer, I.; Sacha, M.; Haltner, E. Establishment of an in vitro model of cultured viable human, porcine and canine skin and comparison of different media supplements. PeerJ 2019, 7, e7811. [Google Scholar] [CrossRef]
- Serra, M.; Brazís, P.; Puigdemont, A.; Fondevila, D.; Romano, V.; Torre, C.; Ferrer, L. Development and characterization of a canine skin equivalent. Exp. Dermatol. 2007, 16, 135–142. [Google Scholar] [CrossRef] [PubMed]
- Cerrato, S.; Ramió-Lluch, L.; Fondevila, D.; Rodes, D.; Brazis, P.; Puigdemont, A. Effects of Essential Oils and Polyunsaturated Fatty Acids on Canine Skin Equivalents: Skin Lipid Assessment and Morphological Evaluation. J. Vet. Med. 2013, 2013, 231526. [Google Scholar] [CrossRef] [PubMed]
- 3D Keratinocyte Starter Kit (without Primary Cells) [Internet]. BERN, SWITZERLAND: CELLnTEC. Available online: https://cellntec.com/wp-content/uploads/pdf/3D_Starter_Kit_K.pdf (accessed on 2 May 2022).
- Histological Processing and Staining [Internet]. BERN, SWITZERLAND. Available online: https://cellntec.com/wp-content/uploads/pdf/RoutineHistology_Staining.pdf (accessed on 2 May 2022).
- Cell Counting Kit-8 [Internet]. Darmstadt, Germany: Sigma-Aldrich. Available online: https://www.sigmaaldrich.com/deepweb/assets/sigmaaldrich/product/documents/381/017/96992dat.pdf (accessed on 2 May 2022).
- Yagihara, H.; Okumura, T.; Shiomi, E.; Shinozaki, N.; Kuroki, S.; Sasaki, Y.; Ito, K.; Ono, K.; Washizu, T.; Bonkobara, M. Reconstruction of stratum corneum in organotypically cultured canine keratinocyte-derived CPEK cells. Vet. Res. Commun. 2011, 35, 433–437. [Google Scholar] [CrossRef] [PubMed]
- OECD. Test No. 431: In vitro skin corrosion: Reconstructed human epidermis (RHE) test method. In OECD Guidelines for the Testing of Chemicals, Section 4; OECD: Paris, France, 2019. [Google Scholar]




Publisher’s Note: MDPI stays neutral with regard to jurisdictional claims in published maps and institutional affiliations. |
© 2022 by the authors. Licensee MDPI, Basel, Switzerland. This article is an open access article distributed under the terms and conditions of the Creative Commons Attribution (CC BY) license (https://creativecommons.org/licenses/by/4.0/).
Share and Cite
Marques, M.; Nunes, J.; Ustymenko, B.; Fialho, L.; Martins, L.; Burke, A.J.; Filho, C.; Craveiro, A.C.; Costa, A.R.; Branco, S.; et al. cEpiderm, a Canine Skin Analog Suitable for In Vivo Testing Replacement. BioChem 2022, 2, 215-220. https://doi.org/10.3390/biochem2040015
Marques M, Nunes J, Ustymenko B, Fialho L, Martins L, Burke AJ, Filho C, Craveiro AC, Costa AR, Branco S, et al. cEpiderm, a Canine Skin Analog Suitable for In Vivo Testing Replacement. BioChem. 2022; 2(4):215-220. https://doi.org/10.3390/biochem2040015
Chicago/Turabian StyleMarques, Mariana, João Nunes, Bárbara Ustymenko, Luísa Fialho, Luís Martins, Anthony J. Burke, Cesar Filho, Alexandre C. Craveiro, Ana R. Costa, Sandra Branco, and et al. 2022. "cEpiderm, a Canine Skin Analog Suitable for In Vivo Testing Replacement" BioChem 2, no. 4: 215-220. https://doi.org/10.3390/biochem2040015
APA StyleMarques, M., Nunes, J., Ustymenko, B., Fialho, L., Martins, L., Burke, A. J., Filho, C., Craveiro, A. C., Costa, A. R., Branco, S., & Antunes, C. M. (2022). cEpiderm, a Canine Skin Analog Suitable for In Vivo Testing Replacement. BioChem, 2(4), 215-220. https://doi.org/10.3390/biochem2040015

