Next Article in Journal
Evaluating Post-Insertion Complications and Patient Satisfaction of Conventional Complete Dentures: A Retrospective Study
Previous Article in Journal
Primary Care Clinical Practice Guidelines and Referral Pathways for Oral and Dental Diseases in Pakistan
 
 
Font Type:
Arial Georgia Verdana
Font Size:
Aa Aa Aa
Line Spacing:
Column Width:
Background:
Case Report

Residual Cyst Mimicking an Aggressive Neoplasm—A Life-Threatening Condition

1
Students’ Scientific Group of Maxillofacial Surgery, Faculty of Medicine, Jagiellonian University Medical College, 31-008 Kraków, Poland
2
Department of Cranio-Maxillofacial Surgery, Jagiellonian University Medical College, 30-688 Cracow, Poland
*
Author to whom correspondence should be addressed.
Oral 2024, 4(3), 354-361; https://doi.org/10.3390/oral4030029
Submission received: 18 June 2024 / Revised: 23 August 2024 / Accepted: 23 August 2024 / Published: 26 August 2024

Abstract

Odontogenic cysts are frequently encountered in clinical practice. However, residual cysts, a specific type of inflammatory odontogenic cyst, are relatively rare. These cysts may slowly expand over time, damaging surrounding soft tissues and bone, typically without posing a threat to life. We report the case of a 67-year-old man with liver failure and a cystic tumor in his right maxilla that had invaded his oral cavity and cheek, causing nasal obstruction and severe bleeding following an incisional biopsy. A computed tomography (CT) scan of the mass was nonspecific, and an initial histopathological analysis of the tissues was inconclusive due to chronic inflammation and hemorrhagic alterations, complicating the diagnostic pathway. The suspicion of a potentially aggressive malignant neoplasm and the need for immediate intervention due to bleeding necessitated a tracheotomy, tumor removal, percutaneous endoscopic gastrostomy, and transfusions of red blood cells. A subsequent histopathological examination revealed features indicative of a residual cyst. The entire lesion was excised through functional endoscopic sinus surgery. The surgical treatment was performed safely and effectively. Follow-up CT confirmed complete removal of the lesion. This case highlights a rare yet possible complication of odontogenic cysts and underscores the necessity of early diagnosis and comprehensive prophylaxis to prevent severe complications.

1. Introduction

Odontogenic cysts (OCs) are common lesions in the maxillofacial region. They can develop from remnants of the odontogenic epithelium within the jaws. OCs can be categorized as developmental or inflammatory cysts based on their pathogenesis. Radicular cysts are the most prevalent among odontogenic inflammatory cysts, whereas residual cysts rarely occur [1]. Residual cysts can develop from incomplete odontogenic cyst enucleation or incomplete tooth extractions, where remnants of a dental follicle or tooth root fragments are left behind. This type of cyst is frequently localized in the anterior maxilla [1]. Residual cysts in the jaws are typically asymptomatic and are often discovered incidentally in an edentulous area. In cases of infection and growth of a cyst, pain, swelling, and tooth displacement occur. The nature and intensity of clinical manifestations vary according to the specific anatomical site of cyst formation [2,3]. Histopathological assessment, supplemented by imaging examinations, remains pivotal in diagnosing these lesions. Nevertheless, odontogenic cysts with extensive inflammation pose significant diagnostic difficulties, as inflammatory changes can mask typical cyst features. Depending on the duration of a cyst’s presence and the intensity of inflammatory processes, histopathological images can vary significantly and may include different elements. The thin epithelial lining of residual cysts complicates identification by histological examination. Residual cysts display clinical and pathological features similar to those of other lesions within the jaws, including other cysts, benign tumors, and even malignancies [4,5]. Moreover, they have the potential to remain unnoticed for extended periods and progressively damage surrounding bone and soft tissues, including the orbit, nasal cavity, and skull base. The proximity to the skull base is also a concerning factor. These cysts can grow covertly, reaching significant sizes. Nevertheless, radicular cysts, including residual ones, seldom lead to severe conditions beyond the deformation of surrounding bones and tissues. Life-threatening situations resulting from them have not been extensively described in the literature. Nonetheless, due to their locations, they are routinely removed.
Managing odontogenic inflammatory cysts involves surgical treatment, including removal through enucleation, marsupialization, curettage, and occasionally decompression to alleviate the cyst contents [6,7,8]. Odontogenic cysts that extend into the maxillary sinus can be removed through functional endoscopic sinus surgery (FESS) [9].

2. Case Report

A 67-year-old man was urgently admitted to the hospital due to severe bleeding from a tumor of the right maxilla. The tumor had been observed in his oral cavity by the patient for two months and had been noted for its progressive growth, accompanied by occasional minor bleeding. The patient reported no pain. The suspicious mass was subjected to biopsy by the oral surgery department without complications five days earlier.
The patient had a history of arterial hypertension, type II diabetes, hyperuricemia, gastritis, and alcoholic liver disease with esophageal varices. His dental history is unknown, as the patient did not have regular dental appointments. His daily medication regimen consisted of bisoprolol, ramipril, iron sulfate with vitamin C, folic acid, levomepromazine, omeprazole, and a combination of isophane and lispro insulin. The patient reported abstaining from alcohol for four years, had undergone a polypectomy for colonic polyps, and had cataract surgery two years prior.
The mass was located near the alveolar process, in the region of missing teeth 14–18, and was expanding into the soft tissues of the cheek and maxillary sinus (Figure 1). Upon physical examination, protrusion of the eyeball, narrowing of the right nasal passage, and asymmetry of the face were observed. Apart from changes within the maxillofacial area, ascites and ulceration on the left shin were noticed.
Due to suspicion of a neoplastic process, computed tomography (CT) of the head, neck, chest, abdominal cavity, and pelvis was performed. CT of the maxillofacial region revealed a pathological tissue mass (51 × 43 × 56 mm) with heterogeneous shadowing and hemorrhagic areas. It showed heterogeneous solid contrast enhancement, occupied the right maxillary sinus with an expansive growth pattern, and widened the sinus contours in every direction (Figure 2). On the right side of the neck, enlarged lymph nodes of groups Ib (up to 12 mm on the short axis), IIa (up to 11 mm), and V (up to 10 mm) were observed. On the left side, lymph nodes were not present. Additionally, inflammatory mucosal changes within the ethmoid sinus and the ostium of the right frontal sinus were visualized. The increased density of the right parotid gland was noted, with possible inflammatory changes. In the differential diagnosis, invasive fungal infection; odontogenic cysts; and neoplastic processes, including malignant mesenchymal tumors, were considered [10].
In the abdominal CT scan, the liver structure showed signs of cirrhotic remodeling with increased intensity compared to previous examinations. Features of portal hypertension were present, with dilation of the portal vein, inferior mesenteric vein, and splenic vein, along with significant splenomegaly and collateral circulation vessels around the spleen. Esophageal varices and a small amount of fluid in the peritoneal cavity were also present.
The initial histological examination conducted by the oral surgery department was inconclusive. The biopsied specimens ruled out malignant tumors and fungal infections, indicating that the mass primarily comprised granulation tissue and blood clots.
However, the patient’s overall condition deteriorated due to liver failure, resulting in severe bleeding from the lesion a few days after the incisional biopsy. Blood tests showed a drop in hemoglobin to 8.0 g/dL, a decrease in hematocrit to 24%, a reduction in erythrocyte count to 2.68 × 106 cells/µL, a decrease in platelet count to 95 × 103/µL, and an RDW-CV of 14.8%. To manage his escalating breathing difficulties and the risk of upper airway obstruction, as well as to prevent complications from bleeding, several procedures were performed. These included ligations of the ipsilateral external carotid artery, tracheotomy, percutaneous endoscopic gastrostomy (PEG), and red blood cell transfusions. Intraoperatively, bleeding from the entire surface of the tumor with necrotic–hemorrhagic changes was identified. The tumor was easily removed through curettage due to the fragility of its structure, leaving pseudo-capsule remnants (Figure 3). The residual masses were removed via functional endoscopic sinus surgery (FESS), with preservation of the floor of the right orbit. Within the cavity, individual spots with active bleeding were identified and coagulated. The medial wall of the maxilla was removed, creating a broad connection with the nasal cavity. The oroantral fistula was closed in two layers using Bichat’s fat pad and a trapezoidal mucoperiosteal flap. The material was sent for mycological, bacteriological, and histological examination.
The histological examination revealed fragments of connective tissue stroma, partially stroma covered by non-keratinizing stratified squamous epithelium and, in other regions, glandular epithelium characteristic of the upper respiratory tract. These fragments were associated with extensive hemorrhages and aggregations of nonspecific granulation tissue as well as numerous clusters of blood vessels, some with dilated lumens. Additionally, adjacent bone fragments were present with areas of thickened trabeculae intersected by bands of fibrous connective tissue, among which numerous blood vessels were also visible. Surrounding these vessels were rejuvenated, regenerating trabeculae and fragments of new bone. Chronic inflammation obscured the visualization of typical cystic features during the final histological examination, and hemangioma was suggested for the differential diagnosis. A follow-up computed tomography scan revealed complete removal of the tumor (Figure 4). During further hospitalization, the patient developed secondary anemia, necessitating transfusion of another unit of red blood cell concentrate. Additionally, Clostridium perfringens was isolated from an ulceration on the patient’s left lower leg, requiring antibiotic treatment. This wound healed before the patient was discharged from the unit.
The healing process was uneventful. The patient regained respiratory efficiency, allowing for removal of the tracheostomy tube on the fourth day after the operation. However, it was decided to leave the PEG tube in place for patient nutrition. Before his discharge from the maxillofacial department, his blood morphology showed a hemoglobin level of 9.9 g/dL, hematocrit at 29.1%, MCH at 28.5 pg, MCV at 83.9 fL, MCHC at 34.0 g/dL, RDW-CV at 16.1%, and erythrocytes at 3.47 × 106/µL. His INR time was 1.21 s, his APTT was 35.3 s, and his prothrombin time was 13.6 s. His AST/ALT was within the normal range. His serum albumin level was 33.70 g/L, and his total protein was 64.3 g/L. After the surgical treatment, the patient was transferred directly to the Department of Internal Medicine and the Toxicology Department for further treatment. The patient died six months later due to liver failure.

3. Discussion

Inflammatory cysts are commonly encountered in the maxillofacial region. The estimated global prevalence of OCs is 11.62%, of which radicular cysts constitute as much as 54.26% [11]. According to the fifth edition of the World Health Organization (WHO) Classification of Head and Neck Tumors published in 2022, residual cysts are categorized among radicular cysts [12]. The term “residual cyst” primarily refers to a radicular cyst that persists after the associated tooth has been extracted. This implies that the frequency of residual cysts among all odontogenic cysts is relatively low [3].
The clinical case presented here aligns with the essential diagnostic criteria outlined by the WHO classification, including an edentulous area for a residual cyst and the presence of non-keratinized stratified squamous lining epithelium. Additionally, the classification suggests that this type of cyst occurs more frequently in men, typically in the 4th to 5th decade of life, and is localized in the anterior maxillary sinus. These characteristics align with this clinical case, except for the patient’s age, as the described man was older. These cysts are generally asymptomatic and are detected incidentally during radiographic examinations. Still, long-standing cases may show acute exacerbation of the cystic lesion and develop signs and symptoms such as swelling, pain, tooth mobility, and displacement [3].
In this case report, facial asymmetry was observed, yet the individual did not experience pain. Inflammatory cysts can destroy surrounding bone and soft tissues, leading to facial deformities, especially when they grow covertly for an extended period. The giant cyst caused extensive bone atrophy and soft tissue destruction in this clinical case. A residual cyst is distinguished from chronic inflammatory processes by its diverse characteristic features. Apart from specific lining epithelium, the literature has also described scattered mucous cells, calcifications, hyaline bodies, cholesterol clefts, dense fibrous connective tissue, and spicules of remodeling bone [2,13,14]. The composition of the epithelial lining can vary depending on the age or developmental stage of the cyst, as well as the intensity of inflammation, which can complicate the diagnostic pathway [2].
In this case, microscopic examination revealed a poorly expressed epithelial lining due to secondary inflammatory and hemorrhagic changes, with areas of fibrous connective tissue and spicules of remodeling bone. An atypical feature was the presence of numerous clusters of blood vessels, some with dilated lumens, with thrombi organizing within some of them, which are not characteristic of a cyst.
This case was also distinguished by the considerable cyst size and the development of a life-threatening hemorrhage from the lesion, necessitating other interventions. Occurrences of bleeding associated with a residual cyst are not documented in the literature. The likely key factors that triggered such intense bleeding from the cyst were progressive liver failure and the densification of the dilated small vessels within the cyst mass. Due to the rapid deterioration of the patient’s condition, aggressive and swift interventions were necessary, such as red blood cell transfusion due to blood loss, ligating the external carotid artery to reduce bleeding intensity, tracheotomy to secure the airways from complete obstruction, and percutaneous endoscopic gastrostomy when the patient was unable to ingest food orally. These measures, which were critical in managing immediate life-threatening situations, also emphasize the need for early detection and appropriate management of inflammatory cysts to prevent such acute exacerbations. Collaboration within the medical team and prompt, decisive actions in life-threatening situations were also essential.
Residual cysts are typically removed surgically. In the case of large cysts, gradual decompression followed by cystectomy may be considered [15,16]. However, in this patient’s case, due to the dynamic changes in the patient’s health status, timely curettage, combined with FESS surgery, resulted in the complete and safe removal of the residual cyst.
This paper underscores the critical importance of dental and medical preventive care, emphasizing that neglecting dental treatment, particularly in the context of deteriorating overall health, can result in fatal outcomes. The presented case demonstrates that a potentially benign and easily treatable condition, such as a residual cyst, can mimic an aggressive neoplasm and lead to an unfavorable outcome despite successful surgical intervention. If the patient had taken proper care of their health and attended regular dental check-ups, the lesion could have been detected and treated earlier.

4. Conclusions

In some cases, diagnosing odontogenic cysts can be challenging due to inflammatory and hemorrhagic changes that obscure typical cystic features. Clinical assessment and early diagnosis are crucial, particularly for patients at risk of bleeding. Additionally, residual cysts that are presumed to be benign can lead to severe complications if the patient’s overall condition deteriorates. This underscores the importance of effectively implementing preventive measures, such as comprehensive dental prophylaxis.

Author Contributions

Conceptualization, J.B., E.L. and G.W.-P.; methodology, E.L. and J.B.; software, T.M.; validation, J.B. and G.W.-P.; formal analysis, M.G. and T.M.; investigation, J.B., E.L.; resources, J.B.; data curation, J.B. and T.M.; writing—original draft preparation, E.L.; writing—review and editing, J.B.; visualization, J.B.; supervision, J.B.; project administration, J.B. All authors have read and agreed to the published version of the manuscript.

Funding

This research received no external funding.

Institutional Review Board Statement

The study was conducted in accordance with the Declaration of Helsinki, and approved by the Ethics Committee of Jagiellonian University (1072.6120.230.2021 from 29 September 2021).

Informed Consent Statement

Patient consent was waived, as all personal information remained confidential.

Data Availability Statement

The original contributions presented in the study are included in the article.

Acknowledgments

The authors are deeply indebted to the subject, who agreed to participate in the present study.

Conflicts of Interest

The authors declare no conflicts of interest.

References

  1. Tamiolakis, P.; Thermos, G.; Tosios, K.I.; Sklavounou-Andrikopoulou, A. Demographic and Clinical Characteristics of 5294 Jaw Cysts: A Retrospective Study of 38 Years. Head Neck Pathol. 2019, 13, 587–596. [Google Scholar] [CrossRef] [PubMed]
  2. Tsvetanov, T. Residual Cysts: A Brief Literature Review. Int. J. Med. Dent. Sci. 2016, 5, 1341. [Google Scholar] [CrossRef]
  3. Titinchi, F.; Morkel, J. Residual cyst of the jaws: A clinico-pathologic study of this seemingly inconspicuous lesion. PLoS ONE 2020, 15, e0244250. [Google Scholar] [CrossRef] [PubMed]
  4. Barbirato, D.d.S.; Fogacci, M.F.; Rodrigues, M.O.; Vasconcelos, B.E.; de Barros, M.C.; Pires, F.R. Lateral periodontal cyst: A rare clinicopathological presentation mimicking a residual cyst. J. Clin. Exp. Dent. 2022, 14, e95. [Google Scholar] [CrossRef] [PubMed]
  5. Sachdev, S.; Dubey, A.; Banga, P.S.; Shetty, A. Unusual histological presentation of a residual cyst: A case report. IP Arch. Cytol. Histopathol. Res. 2021, 6, 117–119. [Google Scholar] [CrossRef]
  6. Velasco, I.; Vahdani, S.; Nuñez, N.; Ramos, H. Large Recurrent Radicular Cyst in Maxillary Sinus: A Case Report Gran Quiste Radicular Recurrente en Seno Maxilar: Reporte de Caso. Int. J. Odontostomatol. 2017, 11, 101–105. [Google Scholar] [CrossRef]
  7. Nilesh, K.; Dadhich, A. Unusually large radicular cyst presenting in the maxillary sinus. BMJ Case Rep. 2020, 13, e236582. [Google Scholar] [CrossRef] [PubMed]
  8. Kadam, N.S.; de Ataide, I.d.N.; Raghava, P.; Fernandes, M.; Hede, R. Management of Large Radicular Cyst by Conservative Surgical Approach: A Case Report. J. Clin. Diagn. Res. 2014, 8, 239. [Google Scholar] [CrossRef] [PubMed]
  9. Safadi, A.; Kleinman, S.; Gigi, D.; Wengier, A.; Oz, I.; Abergel, A.; Koren, I.; Ungar, O.J. Surgical management of odontogenic cysts involving the maxillary sinus—A retrospective study. J. Craniomaxillofac. Surg. 2020, 48, 800–807. [Google Scholar] [CrossRef] [PubMed]
  10. Gontarz, M.; Bargiel, J.; Gąsiorowski, K.; Marecik, T.; Szczurowski, P.; Zapała, J.; Wyszyńska-Pawelec, G. Epidemiology of Primary Epithelial Salivary Gland Tumors in Southern Poland-A 26-Year, Clinicopathologic, Retrospective Analysis. J. Clin. Med. 2021, 10, 1663. [Google Scholar] [CrossRef] [PubMed] [PubMed Central]
  11. Kammer, P.V.; Mello, F.W.; Rivero, E.R.C. Comparative analysis between developmental and inflammatory odontogenic cysts: Retrospective study and literature review. Oral. Maxillofac. Surg. 2020, 24, 73–84. [Google Scholar] [CrossRef] [PubMed]
  12. Soluk-Tekkesin, M.; Wright, J.M. The World Health Organization Classification of Odontogenic Lesions: A Summary of the Changes of the 2022 (5th) Edition. Turk. J. Pathol. 2022, 38, 168. [Google Scholar] [CrossRef]
  13. Sridevi, K.; Nandan, S.R.; Ratnakar, P.; Srikrishna, K.; Vamsi Pavani, B. Residual cyst associated with calcifications in an elderly patient. J. Clin. Diagn. Res. 2014, 8, 246–249. [Google Scholar] [CrossRef] [PubMed] [PubMed Central]
  14. Tsesis, I.; Rosen, E.; Dubinsky, L.; Buchner, A.; Vered, M. Metaplastic changes in the epithelium of radicular cysts: A series of 711 cases. J. Clin. Exp. Dent. 2016, 8, e529–e533. [Google Scholar] [CrossRef] [PubMed] [PubMed Central]
  15. Hahn, H.M.; Lee, Y.J.; Park, D.H. Huge Radicular Cyst of the Maxilla Treated with Complete Resection and Immediate Reconstruction by Rib Bone Graft. J. Maxillofac. Oral. Surg. 2019, 18, 378–381. [Google Scholar] [CrossRef] [PubMed] [PubMed Central]
  16. Alsulaiman, M.A. Treatment of massive infected residual cyst with marsupialization, decompression, surgical endodontic therapy, and enucleation: Case report. Med. Sci. 2022, 26, 1–11. [Google Scholar] [CrossRef]
Figure 1. Appearance of the tumor within the oral cavity at the level of teeth 14–18. Hemorrhagic changes in the tumor were visible after initial electrocautery.
Figure 1. Appearance of the tumor within the oral cavity at the level of teeth 14–18. Hemorrhagic changes in the tumor were visible after initial electrocautery.
Oral 04 00029 g001
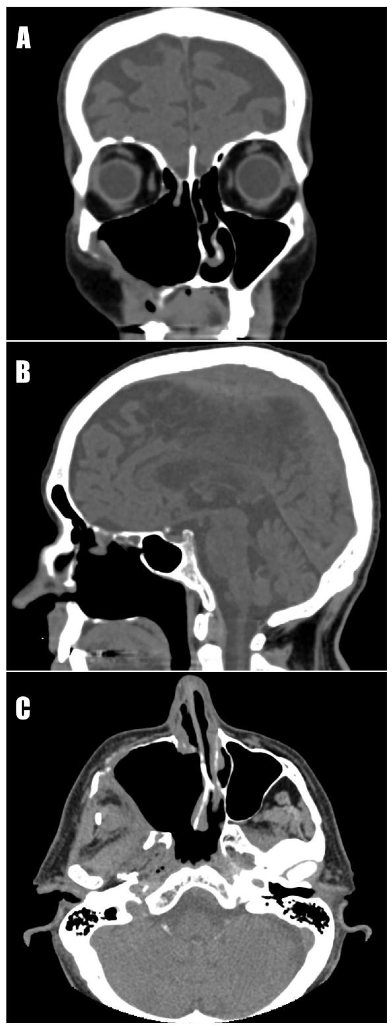
Figure 2. Computed tomography scans. (A) Frontal section. The pathological mass extended into the buccal soft tissues and the nasal cavity, destroying the nasal conchae. (B) Sagittal section. The tumor diminished the right orbit. Mass invasion into the oral cavity at the level of missing teeth 14–18 is visible. (C) Axial section. The lesion protruded into the soft tissues, causing asymmetry in the right cheek.
Figure 2. Computed tomography scans. (A) Frontal section. The pathological mass extended into the buccal soft tissues and the nasal cavity, destroying the nasal conchae. (B) Sagittal section. The tumor diminished the right orbit. Mass invasion into the oral cavity at the level of missing teeth 14–18 is visible. (C) Axial section. The lesion protruded into the soft tissues, causing asymmetry in the right cheek.
Oral 04 00029 g002
Figure 3. State after removal of bleeding masses. (A) Fistula from the right maxillary sinus to the oral cavity. (B) The removed mass of the tumor.
Figure 3. State after removal of bleeding masses. (A) Fistula from the right maxillary sinus to the oral cavity. (B) The removed mass of the tumor.
Oral 04 00029 g003aOral 04 00029 g003b
Figure 4. Computed tomography scan after removal of the cyst. (A) Frontal section. (B) Sagittal section. (C) Axial section. There are visible defects in the medial maxillary wall and nasal structures.
Figure 4. Computed tomography scan after removal of the cyst. (A) Frontal section. (B) Sagittal section. (C) Axial section. There are visible defects in the medial maxillary wall and nasal structures.
Oral 04 00029 g004
Disclaimer/Publisher’s Note: The statements, opinions and data contained in all publications are solely those of the individual author(s) and contributor(s) and not of MDPI and/or the editor(s). MDPI and/or the editor(s) disclaim responsibility for any injury to people or property resulting from any ideas, methods, instructions or products referred to in the content.

Share and Cite

MDPI and ACS Style

Lis, E.; Gontarz, M.; Marecik, T.; Wyszyńska-Pawelec, G.; Bargiel, J. Residual Cyst Mimicking an Aggressive Neoplasm—A Life-Threatening Condition. Oral 2024, 4, 354-361. https://doi.org/10.3390/oral4030029

AMA Style

Lis E, Gontarz M, Marecik T, Wyszyńska-Pawelec G, Bargiel J. Residual Cyst Mimicking an Aggressive Neoplasm—A Life-Threatening Condition. Oral. 2024; 4(3):354-361. https://doi.org/10.3390/oral4030029

Chicago/Turabian Style

Lis, Emilia, Michał Gontarz, Tomasz Marecik, Grażyna Wyszyńska-Pawelec, and Jakub Bargiel. 2024. "Residual Cyst Mimicking an Aggressive Neoplasm—A Life-Threatening Condition" Oral 4, no. 3: 354-361. https://doi.org/10.3390/oral4030029

APA Style

Lis, E., Gontarz, M., Marecik, T., Wyszyńska-Pawelec, G., & Bargiel, J. (2024). Residual Cyst Mimicking an Aggressive Neoplasm—A Life-Threatening Condition. Oral, 4(3), 354-361. https://doi.org/10.3390/oral4030029

Article Metrics

Back to TopTop