Immediate Implant Placement at an Inflammatory Periapical Cyst Site in the Aesthetic Area
Abstract
1. Introduction
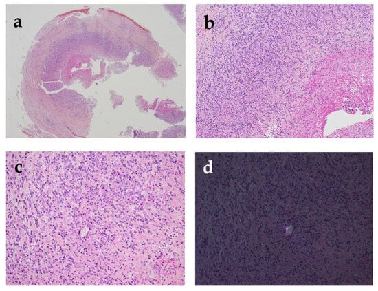
2. Case Presentation
3. Discussion
4. Conclusions
Author Contributions
Funding
Institutional Review Board Statement
Informed Consent Statement
Data Availability Statement
Conflicts of Interest
References
- Adell, R.; Lekholm, U.; Rockler, B.; Brånemark, P.I. A 15-year study of osseointegrated implants in the treatment of the edentulous jaw. Int. J. Oral Surg. 1981, 10, 387–416. [Google Scholar] [CrossRef]
- Soegiantho, P.; Suryawinata, P.G.; Tran, W.; Kujan, O.; Koyi, B.; Khzam, N.; Algarves Miranda, L. Survival of Single Immediate Implants and Reasons for Loss: A Systematic Review. Prosthesis 2023, 5, 378–424. [Google Scholar] [CrossRef]
- Perez, A.; Hamzah, S.; Lombardi, T. Immediate versus Delayed Implant Placement in Patients with Tooth Agenesis: An In-Line Retrospective Pilot Study Comparing Clinical and Patient-Related Outcomes. Appl. Sci. 2023, 13, 9368. [Google Scholar] [CrossRef]
- Buser, D.; Chappuis, V.; Belser, U.C.; Chen, S. Implant placement post extraction in esthetic single tooth sites: When immediate, when early, when late? Periodontol. 2000 2017, 73, 84–102. [Google Scholar] [CrossRef]
- Chen, S.T.; Buser, D. Clinical and esthetic outcomes of implants placed in postextraction sites. Int. J. Oral Maxillofac. Implants 2009, 24, 186–217. [Google Scholar] [PubMed]
- Perez, A.; Caiazzo, A.; Valente, N.A.; Toti, P.; Alfonsi, F.; Barone, A. Standard vs customized healing abutments with simultaneous bone grafting for tissue changes around immediate implants. 1-year outcomes from a randomized clinical trial. Clin. Implant Dent. Relat. Res. 2020, 22, 42–53. [Google Scholar] [CrossRef] [PubMed]
- Javed, F.; Romanos, G.E. The role of primary stability for successful immediate loading of dental implants. A literature review. J. Dent. 2010, 38, 612–620. [Google Scholar] [CrossRef]
- Trisi, P.; Perfetti, G.; Baldoni, E.; Berardi, D.; Colagiovanni, M.; Scogna, G. Implant micromotion is related to peak insertion torque and bone density. Clin. Oral Implants Res. 2009, 20, 467–471. [Google Scholar] [CrossRef]
- Lindeboom, J.A.H.; Tjiook, Y.; Kroon, F.H.M. Immediate placement of implants in periapical infected sites: A prospective randomized study in 50 patients. Oral Surg. Oral Med. Oral Pathol. Oral Radiol. Endod. 2006, 101, 705–710. [Google Scholar] [CrossRef]
- Manor, Y.; Alkasem, A.; Mardinger, O.; Chaushu, G.; Greenstein, R.B.N. Levels of bacterial contamination in fresh extraction sites after a saline rinse. Int. J. Oral Maxillofac. Implants 2015, 30, 1362–1368. [Google Scholar] [CrossRef]
- Fugazzotto, P.A. A retrospective analysis of implants immediately placed in sites with and without periapical pathology in sixty-four patients. J. Periodontol. 2012, 83, 182–186. [Google Scholar] [CrossRef] [PubMed]
- Jung, R.E.; Zaugg, B.; Philipp, A.O.H.; Truninger, T.C.; Siegenthaler, D.W.; Hämmerle, C.H.F. A prospective, controlled clinical trial evaluating the clinical radiological and aesthetic outcome after 5 years of immediately placed implants in sockets exhibiting periapical pathology. Clin. Oral Implants Res. 2013, 24, 839–846. [Google Scholar] [CrossRef] [PubMed]
- Kakar, A.; Kakar, K.; Leventis, M.D.; Jain, G. Immediate Implant Placement in Infected Sockets: A consecutive cohort study. J. Lasers Med. Sci. 2020, 11, 167–173. [Google Scholar] [CrossRef] [PubMed]
- Johnson, N.R.; Gannon, O.M.; Savage, N.W.; Batstone, M.D. Frequency of odontogenic cysts and tumours: A systematic review. J. Investig. Clin. Dent. 2014, 5, 9–14. [Google Scholar] [CrossRef] [PubMed]
- Shivhare, P.; Singh, A.; Haidry, N.; Yadav, M.; Shankarnarayan, L. Multilocular radicular cyst—A common pathology with uncommon radiological appearance. J. Clin. Diagn. Res. 2016, 10, 13–15. [Google Scholar] [CrossRef] [PubMed]
- Noda, A.; Abe, M.; Shinozaki-Ushiku, A.; Ohata, Y.; Zong, L.; Abe, T.; Hoshi, K. A bilocular radicular cyst in the mandible with tooth structure components inside. Case Rep. Dent. 2019, 2019, 6245808. [Google Scholar] [CrossRef] [PubMed]
- Quadri, A.; Keerthi, R.; Khan, T.A. Unusual aggressive large radicular cyst invading maxillary sinus: A case report. Int. J. Sci. Stud. 2016, 4, 180–183. [Google Scholar]
- Avril, L.; Lombardi, T.; Ailianou, A.; Burkhardt, K.; Varoquaux, A.; Scolozzi, P.; Becker, M. Radiolucent lesions of the mandible: A pattern-based approach to diagnosis. Insights Imaging 2014, 5, 85–101. [Google Scholar] [CrossRef]
- Kolari, V.; Rao, H.T.A.; Thomas, T. Maxillary and mandibular unusually large radicular cyst: A rare case report. Natl. J. Maxillofac. Surg. 2019, 10, 270–273. [Google Scholar] [CrossRef]
- Misch, C.E.; Perel, M.L.; Wang, H.L.; Sammartino, G.; Galindo-Moreno, P.; Trisi, P.; Steigmann, M.; Rebaudi, A.; Palti, A.; Pikos, M.A.; et al. Implant success, survival, and failure: The International Congress of Oral Implantologists (ICOI) Pisa Consensus Conference. Implant Dent. 2008, 17, 5–15. [Google Scholar] [CrossRef] [PubMed]
- Chen, S.T.; Darby, I.B.; Adams, G.G.; Reynolds, E.C. A prospective clinical study of bone augmentation techniques at immediate implants. Clin. Oral Implants Res. 2005, 16, 176–184. [Google Scholar] [CrossRef]
- Evans, C.D.; Chen, S.T. Esthetic outcomes of immediate implant placements. Clin. Oral Implants Res. 2008, 19, 73–80. [Google Scholar] [CrossRef] [PubMed]
- Grunder, U.; Gracis, S.; Capelli, M. Influence of the 3-d bone-to-implant relationship on esthetics. Int. J. Periodontics Restor. Dent. 2005, 25, 113–119. [Google Scholar]
- Barzilay, I. Immediate implants: Their current status. Int. J. Prosthodont. 1993, 6, 169–175. [Google Scholar]
- Tolman, D.E.; Keller, E.E. Endosseous implant placement immediately following dental extraction and alveoloplasty: Preliminary report with 6-year follow-up. Int. J. Oral Maxillofac. Implants 1991, 6, 24–28. [Google Scholar] [CrossRef] [PubMed]
- Quirynen, M.; Vogels, R.; Alsaadi, G.; Naert, I.; Jacobs, R.; van Steenberghe, D. Predisposing conditions for retrograde peri-implantitis, and treatment suggestions. Clin. Oral Implants Res. 2005, 16, 599–608. [Google Scholar] [CrossRef]
- Novaes, A.B., Jr.; Vidigal, G.M., Jr.; Novaes, A.B.; Grisi, M.F.; Polloni, S.; Rosa, A. Immediate implants placed into infected sites: A histomorphometric study in dogs. Int. J. Oral Maxillofac. Implants 1998, 13, 422–427. [Google Scholar]
- Marcaccini, A.M.; Novaes, A.B., Jr.; Souza, S.L.; Taba, M., Jr.; Grisi, M.F. Immediate placement of implants into periodontally infected sites in dogs. Part 2: A fluorescence microscopy study. Int. J. Oral Maxillofac. Implants 2003, 18, 812–819. [Google Scholar]
- Papalexiou, V.; Novaes, A.B., Jr.; Grisi, M.F.; Souza, S.S.; Taba, M., Jr.; Kajiwara, J.K. Influence of implant microstructure on the dynamics of bone healing around immediate implants placed into periodontally infected sites. A confocal laser scanning microscopic study. Clin. Oral Implants Res. 2004, 15, 44–53. [Google Scholar] [CrossRef]
- Crespi, R.; Capparè, P.; Gherlone, E. Immediate loading of dental implants placed in periodontally infected and non-infected sites: A 4-year follow-up clinical study. J. Periodontol. 2010, 81, 1140–1146. [Google Scholar] [CrossRef]
- Truninger, T.C.; Philipp, A.O.H.; Siegenthaler, D.W.; Roos, M.; Hämmerle, C.H.F.; Jung, R.E. A prospective, controlled clinical trial evaluating the clinical and radiological outcome after 3 years of immediately placed implants in sockets exhibiting periapical pathology. Clin. Oral Implants Res. 2011, 22, 20–27. [Google Scholar] [CrossRef]
- Siegenthaler, D.W.; Jung, R.E.; Holderegger, C.; Roos, M.; Hammerle, C.H. Replacement of teeth exhibiting periapical pathology by immediate implants: A prospective, controlled clinical trial. Clin. Oral Implants Res. 2007, 18, 727–737. [Google Scholar] [CrossRef] [PubMed]
- El-Naggar, A.K.; Chan, J.K.C.; Grandis, J.R.; Takata, T.; Slootweg, P.J. WHO classification of head and neck tumours. (4th edition). IARC 2017, 9, 204–207. [Google Scholar]
- Ebenezer, V.; Balakrishnan, K.; Asir, R.V.D.; Sragunar, B. Immediate placement of endosseous implants into the extraction sockets. J. Pharm. Bioallied Sci. 2015, 7, 234–237. [Google Scholar] [CrossRef] [PubMed]
- Roe, P.; Kan, J.Y.K.; Rungcharassaeng, K.; Caruso, J.M.; Zimmerman, G.; Mesquida, J. Horizontal and vertical dimensional changes of peri-implant facial bone following immediate placement and provisionalization of maxillary anterior single implants: A 1-year cone beam computed tomography study. Int. J. Oral Maxillofac. Implants 2012, 27, 393–400. [Google Scholar] [PubMed]
- Cosyn, J.; Sabzevar, M.M.; De Bruyn, H. Predictors of inter-proximal and midfacial recession following single implant treatment in the anterior maxilla: A multivariate analysis. J. Clin. Periodontol. 2012, 39, 895–903. [Google Scholar] [CrossRef] [PubMed]
- Hämmerle, C.H.F.; Chen, S.T.; Wilson, T.G. Consensus statements and recommended clinical procedures regarding the placement of implants in extraction sockets. Int. J. Oral Maxillofac. Implants 2004, 9, 26–28. [Google Scholar]
- Fickl, S.; Zuhr, O.; Wachtel, H.; Bolz, W.; Huerzeler, M. Tissue alterations after tooth extraction with and without surgical trauma: A volumetric study in the beagle dog. J. Clin. Periodontol. 2008, 35, 356–363. [Google Scholar] [CrossRef]
- Rocci, A.; Martignoni, M.; Gottlow, J. Immediate Loading in the Maxilla Using Flapless Surgery, Implants Placed in Predetermined Positions, and Prefabricated Provisional Restorations: A Retrospective 3-Year Clinical Study. Clin. Implant Dent. Relat. Res. 2003, 5, 29–36. [Google Scholar] [CrossRef]
- Merli, M.; Bernardelli, F.; Esposito, M. Immediate versus early nonocclusal loading of dental implants placed with a flapless procedure in partially edentulous patients: Preliminary results from a randomized controlled clinical trial. Int. J. Periodontics Restor. Dent. 2008, 28, 453–459. [Google Scholar]
- Degidi, M.; Piattelli, A. A 7-year Follow-up of 93 Immediately Loaded Titanium Dental Implants. J. Oral Implantol. 2005, 31, 25–31. [Google Scholar] [CrossRef] [PubMed]
- Ottoni, J.M.P.; Oliveira, Z.F.L.; Mansini, R.; Cabral, A.M. Correlation between placement torque and survival of single-tooth implants. Int. J. Oral Maxillofac. Implants 2005, 20, 769–776. [Google Scholar] [PubMed]
- Greenstein, G.; Cavallaro, J. Implant Insertion Torque: Its Role in Achieving Primary Stability of Restorable Dental Implants. Compend. Contin. Educ. Dent. 2017, 38, 88–95. [Google Scholar] [PubMed]
- Balaji, P.; Balaji, S.M.; Ugandhar, P. Immediate implant in single rooted teeth—Study on primary stability and bone formation. Indian J. Dent. Res. 2015, 26, 421. [Google Scholar] [CrossRef]







| Marginal Bone Level Site 11 (2D) [mm] | ||||
|---|---|---|---|---|
| Site 11 | Site 21 | |||
| Mesial | Distal | Mesial | Distal | |
| Post-OP | +2 | +2 | +1 | 0 |
| 1 year | +2 | +2 | +1 | 0 |
| 2 years | +1.5 | +1.5 | +1 | 0 |
| 3 years | +1.5 | +1.5 | +1 | 0 |
Disclaimer/Publisher’s Note: The statements, opinions and data contained in all publications are solely those of the individual author(s) and contributor(s) and not of MDPI and/or the editor(s). MDPI and/or the editor(s) disclaim responsibility for any injury to people or property resulting from any ideas, methods, instructions or products referred to in the content. |
© 2024 by the authors. Licensee MDPI, Basel, Switzerland. This article is an open access article distributed under the terms and conditions of the Creative Commons Attribution (CC BY) license (https://creativecommons.org/licenses/by/4.0/).
Share and Cite
Perez, A.; Layac, M.; Lombardi, T. Immediate Implant Placement at an Inflammatory Periapical Cyst Site in the Aesthetic Area. Oral 2024, 4, 263-273. https://doi.org/10.3390/oral4020021
Perez A, Layac M, Lombardi T. Immediate Implant Placement at an Inflammatory Periapical Cyst Site in the Aesthetic Area. Oral. 2024; 4(2):263-273. https://doi.org/10.3390/oral4020021
Chicago/Turabian StylePerez, Alexandre, Mathilde Layac, and Tommaso Lombardi. 2024. "Immediate Implant Placement at an Inflammatory Periapical Cyst Site in the Aesthetic Area" Oral 4, no. 2: 263-273. https://doi.org/10.3390/oral4020021
APA StylePerez, A., Layac, M., & Lombardi, T. (2024). Immediate Implant Placement at an Inflammatory Periapical Cyst Site in the Aesthetic Area. Oral, 4(2), 263-273. https://doi.org/10.3390/oral4020021

