Fence Technique: Reconstruction on the Aesthetic Zone after Cyst Enucleation—Case Report
Abstract
1. Introduction
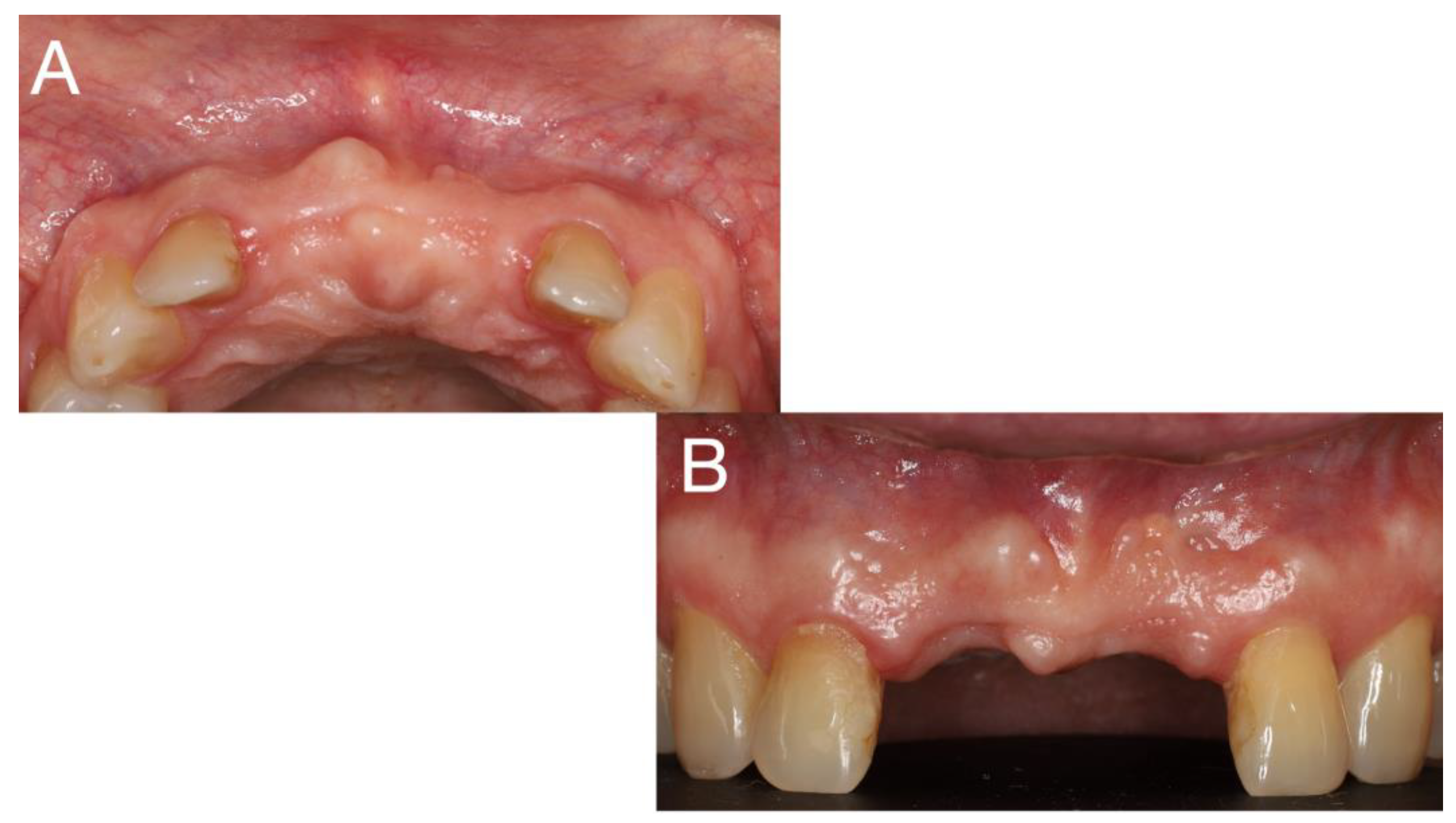
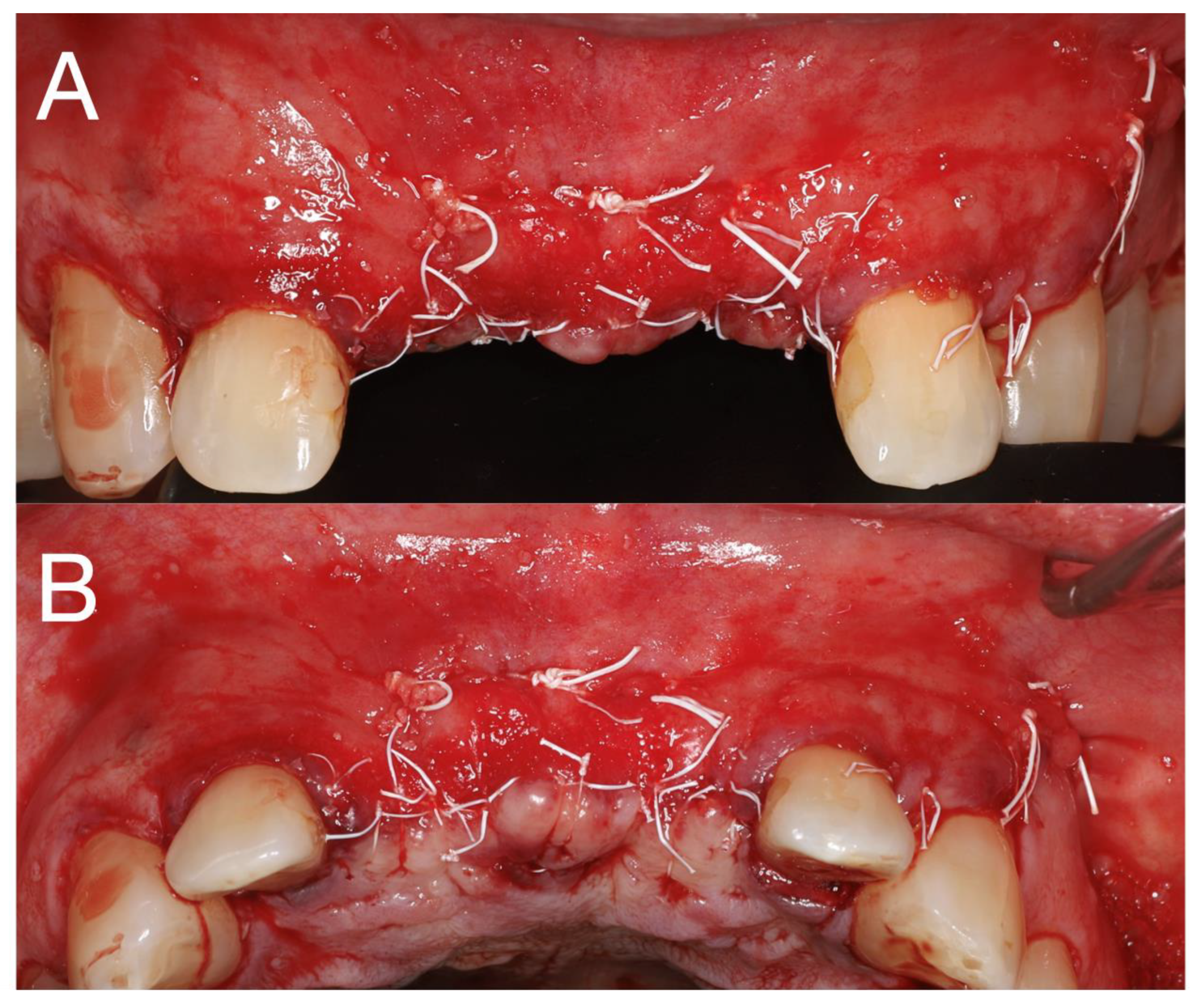
2. Case Report
3. Discussion
4. Conclusions
Author Contributions
Funding
Institutional Review Board Statement
Informed Consent Statement
Data Availability Statement
Conflicts of Interest
Correction Statement
References
- Johnson, N.R.; Gannon, O.M.; Savage, N.W.; Batstone, M.D. Frequency of odontogenic cysts and tumors: A systematic review. J. Investig. Clin. Dent. 2014, 5, 9–14. [Google Scholar] [CrossRef] [PubMed]
- Rajendra Santosh, A.B. Odontogenic Cysts. Dent. Clin. N. Am. 2020, 64, 105–119. [Google Scholar] [CrossRef]
- Rioux-Forker, D.; Deziel, A.C.; Williams, L.S.; Muzaffar, A.R. Odontogenic Cysts and Tumors. Ann. Plast. Surg. 2019, 82, 469–477. [Google Scholar] [CrossRef] [PubMed]
- Lin, L.M.; Ricucci, D.; Kahler, B. Radicular cysts review. JSM Dent. Surg. 2017, 2, 1017.1–1017.3. [Google Scholar]
- Borg, G.; Persson, G.; Thilander, H. A study of odontogenic cysts with special reference to comparisons between keratinizing and non-keratinizing cysts. Sven. Tandlak. Tidskr. 1974, 67, 311–325. [Google Scholar]
- Robinson, R.A. Diagnosing the most common odontogenic cystic and osseous lesions of the jaws for the practicing pathologist. Mod. Pathol. 2017, 30, S96–S103. [Google Scholar] [CrossRef]
- Browne, R.M. Some observations on the fluids of odontogenic cysts. J. Oral Pathol. 1976, 5, 74–87. [Google Scholar] [CrossRef]
- Marmary, Y.; Kutiner, G. A radiographic survey of periapical jawbone lesions. Oral Surg. Oral Med. Oral Pathol. 1986, 61, 405–408. [Google Scholar] [CrossRef]
- Rosenberg, P.A.; Frisbie, J.; Lee, J.; Lee, K.; Frommer, H.; Kottal, S.; Phelan, J.; Lin, L.; Fisch, G. Evaluation of pathologists (histopathology) and radiologists (cone beam computed tomography) differentiating radicular cysts from granulomas. J. Endod. 2010, 36, 423–428. [Google Scholar] [CrossRef]
- Esposito, M.; Grusovin, M.G.; Felice, P.; Karatzopoulos, G.; Worthington, H.V.; Coulthard, P. Interventions for replacing missing teeth: Horizontal and vertical bone augmentation techniques for dental implant treatment. Cochrane Database Syst. Rev. 2009, 2009, Cd003607. [Google Scholar] [CrossRef]
- Merli, M.; Mariotti, G.; Moscatelli, M.; Motroni, A.; Mazzoni, A.; Mazzoni, S.; Nieri, M. Fence technique for localized three-dimensional bone augmentation: A technical description and case reports. Int. J. Periodontics Restor. Dent. 2015, 35, 57–64. [Google Scholar] [CrossRef] [PubMed]
- Merli, M.; Moscatelli, M.; Mazzoni, A.; Mazzoni, S.; Pagliaro, U.; Breschi, L.; Motroni, A.; Nieri, M. Fence technique: Guided bone regeneration for extensive three-dimensional augmentation. Int. J. Periodontics Restor. Dent. 2013, 33, 129–136. [Google Scholar] [CrossRef]
- Nair, P.N. On the causes of persistent apical periodontitis: A review. Int. Endod. J. 2006, 39, 249–281. [Google Scholar] [CrossRef] [PubMed]
- Torabinejad, M.; White, S.N. Endodontic treatment options after unsuccessful initial root canal treatment: Alternatives to single-tooth implants. J. Am. Dent. Assoc. 2016, 147, 214–220. [Google Scholar] [CrossRef] [PubMed]
- Deshmukh, J.; Shrivastava, R.; Bharath, K.P.; Mallikarjuna, R. Giant radicular cyst of the maxilla. BMJ Case Rep. 2014, 2014, bcr2014203678. [Google Scholar] [CrossRef] [PubMed]
- Dedhia, P.; Dedhia, S.; Dhokar, A.; Desai, A. Nasopalatine duct cyst. Case Rep. Dent. 2013, 2013, 869516. [Google Scholar] [CrossRef]
- Shear, M.; Speight, P.M. Cysts of the Oral and Maxillofacial Regions; John Wiley & Sons: Hoboken, NJ, USA, 2008. [Google Scholar]
- Shear, M.; Speight, P.M. Radicular Cyst and Residual Cyst. In Cysts of the Oral and Maxillofacial Regions; Wiley-Blackwell: Hoboken, NJ, USA, 2007; pp. 123–142. [Google Scholar] [CrossRef]
- Chhabra, N.; Chhabra, S.; Kumar, A. Cyst Enucleation Revisited: A New Technical Modification to Ensure Complete Removal of Cystic Lining. J. Maxillofac. Oral Surg. 2020, 19, 173–177. [Google Scholar] [CrossRef]
- Pindborg, J.J.; Hansen, J. Studies on odontogenic cyst epithelium. 2. clinical and roentgenologic aspects of odontogenic keratocysts. Acta Pathol. Microbiol. Scand. 1963, 58, 283–294. [Google Scholar] [CrossRef]
- Toller, P.A. Newer concepts of odontogenic cysts. Int. J. Oral Surg. 1972, 1, 3–16. [Google Scholar] [CrossRef]
- Ren, Y.; Fan, L.; Alkildani, S.; Liu, L.; Emmert, S.; Najman, S.; Rimashevskiy, D.; Schnettler, R.; Jung, O.; Xiong, X.; et al. Barrier Membranes for Guided Bone Regeneration (GBR): A Focus on Recent Advances in Collagen Membranes. Int. J. Mol. Sci. 2022, 23, 14987. [Google Scholar] [CrossRef]
- Urban, I.A.; Jovanovic, S.A.; Lozada, J.L. Vertical Ridge Augmentation Using Guided Bone Regeneration (GBR) in Three Clinical Scenarios Prior to Implant Placement: A Retrospective Study of 35 Patients 12 to 72 Months after Loading. Int. J. Oral Maxillofac. Implant. 2009, 24, 502–510. [Google Scholar]
- McAllister, B.S.; Haghighat, K. Bone augmentation techniques. J. Periodontol. 2007, 78, 377–396. [Google Scholar] [CrossRef] [PubMed]
- Rakhmatia, Y.D.; Ayukawa, Y.; Furuhashi, A.; Koyano, K. Current barrier membranes: Titanium mesh and other membranes for guided bone regeneration in dental applications. J. Prosthodont. Res. 2013, 57, 3–14. [Google Scholar] [CrossRef] [PubMed]
- Khoury, F.; Antoun, H.; Missika, P.; Bessade, J. Bone Augmentation in Oral Implantology; Quintessence: Tokyo, Japan, 2007. [Google Scholar]
- Carlsen, A.; Gorst-Rasmussen, A.; Jensen, T. Donor site morbidity associated with autogenous bone harvesting from the ascending mandibular ramus. Implant. Dent. 2013, 22, 503–506. [Google Scholar] [CrossRef] [PubMed]
- Maftei, G.; Mârțu, C.; Popa, C.; Geletu, G.; Danila, V.; Jelihovschi, I.; Foia, L. The Biomechanical Properties of Suture Materials and Their Relationship to Bacterial Adherence. Mater. Plast. 2019, 56, 980–985. [Google Scholar] [CrossRef]
- Parrini, S.; Bovicelli, A.; Chisci, G. Microbiological Retention on PTFE versus Silk Suture: A Quantitative Pilot Study in Third Molar Surgery. Antibiotics 2023, 12, 562. [Google Scholar] [CrossRef]
- Zuber, T.J. The mattress sutures: Vertical, horizontal, and corner stitch. Am. Fam. Physician 2002, 66, 2231–2236. [Google Scholar]
- Salgado-Peralvo, A.O.; Garcia-Sanchez, A.; Kewalramani, N.; Barone, A.; Martínez-González, J.M.; Velasco-Ortega, E.; López-López, J.; Kaiser-Cifuentes, R.; Guerra, F.; Matos-Garrido, N.; et al. Consensus Report on Preventive Antibiotic Therapy in Dental Implant Procedures: Summary of Recommendations from the Spanish Society of Implants. Antibiotics 2022, 11, 655. [Google Scholar] [CrossRef]
- Merli, M.; Mariotti, G.; Pagliaro, U.; Mazzoni, A.; Moscatelli, M.; Nieri, M. The Fence Technique: 100% Autogenous Bone Graft vs 50% Deproteinized Bovine Bone Matrix and 50% Autogenous Bone Graft. A Histologic Randomized Controlled Trial. Int. J. Periodontics Restor. Dent. 2020, 40, 181–190. [Google Scholar] [CrossRef]
- Mello, B.F.; de Carvalho Formiga, M.; de Souza da Silva, L.F.; Dos Santos Coura, G.; Shibli, J.A. Horizontal Ridge Augmentation Using a Xenograft Bone Substitute for Implant-Supported Fixed Rehabilitation: A Case Report with Four Years of Follow-Up. Case Rep. Dent. 2020, 2020, 6723936. [Google Scholar] [CrossRef]
- Al-Nawas, B.; Schiegnitz, E. Augmentation procedures using bone substitute materials or autogenous bone—A systematic review and meta-analysis. Eur. J. Oral Implantol. 2014, 7 (Suppl. S2), S219–S234. [Google Scholar] [PubMed]
- Urban, I.A.; Nagursky, H.; Lozada, J.L.; Nagy, K. Horizontal ridge augmentation with a collagen membrane and a combination of particulated autogenous bone and anorganic bovine bone-derived mineral: A prospective case series in 25 patients. Int. J. Periodontics Restor. Dent. 2013, 33, 299–307. [Google Scholar] [CrossRef] [PubMed]
- Pellegrini, G.; Pagni, G.; Rasperini, G. Surgical Approaches Based on Biological Objectives: GTR versus GBR Techniques. Int. J. Dent. 2013, 2013, 521547. [Google Scholar] [CrossRef] [PubMed]
- Sanz-Sanchez, I.; Ortiz-Vigon, A.; Sanz-Martin, I.; Figuero, E.; Sanz, M. Effectiveness of Lateral Bone Augmentation on the Alveolar Crest Dimension: A Systematic Review and Meta-analysis. J. Dent. Res. 2015, 94, 128S–142S. [Google Scholar] [CrossRef]
- Galindo-Moreno, P.; Hernandez-Cortes, P.; Mesa, F.; Carranza, N.; Juodzbalys, G.; Aguilar, M.; O’Valle, F. Slow resorption of anorganic bovine bone by osteoclasts in maxillary sinus augmentation. Clin. Implant. Dent. Relat. Res. 2013, 15, 858–866. [Google Scholar] [CrossRef]











Disclaimer/Publisher’s Note: The statements, opinions and data contained in all publications are solely those of the individual author(s) and contributor(s) and not of MDPI and/or the editor(s). MDPI and/or the editor(s) disclaim responsibility for any injury to people or property resulting from any ideas, methods, instructions or products referred to in the content. |
© 2023 by the authors. Licensee MDPI, Basel, Switzerland. This article is an open access article distributed under the terms and conditions of the Creative Commons Attribution (CC BY) license (https://creativecommons.org/licenses/by/4.0/).
Share and Cite
Correia, F.; Brum-Marques, A.; Rodrigues, C.; Faria-Almeida, R. Fence Technique: Reconstruction on the Aesthetic Zone after Cyst Enucleation—Case Report. Oral 2023, 3, 450-461. https://doi.org/10.3390/oral3040036
Correia F, Brum-Marques A, Rodrigues C, Faria-Almeida R. Fence Technique: Reconstruction on the Aesthetic Zone after Cyst Enucleation—Case Report. Oral. 2023; 3(4):450-461. https://doi.org/10.3390/oral3040036
Chicago/Turabian StyleCorreia, Francisco, André Brum-Marques, Célia Rodrigues, and Ricardo Faria-Almeida. 2023. "Fence Technique: Reconstruction on the Aesthetic Zone after Cyst Enucleation—Case Report" Oral 3, no. 4: 450-461. https://doi.org/10.3390/oral3040036
APA StyleCorreia, F., Brum-Marques, A., Rodrigues, C., & Faria-Almeida, R. (2023). Fence Technique: Reconstruction on the Aesthetic Zone after Cyst Enucleation—Case Report. Oral, 3(4), 450-461. https://doi.org/10.3390/oral3040036

