A Comparative Statistical Analysis on the Incidence of Developmental, Inflammatory and Neoplastic Odontogenic Cysts—A Single Center Retrospective Analysis from Italy
Abstract
1. Introduction
2. Materials and Methods
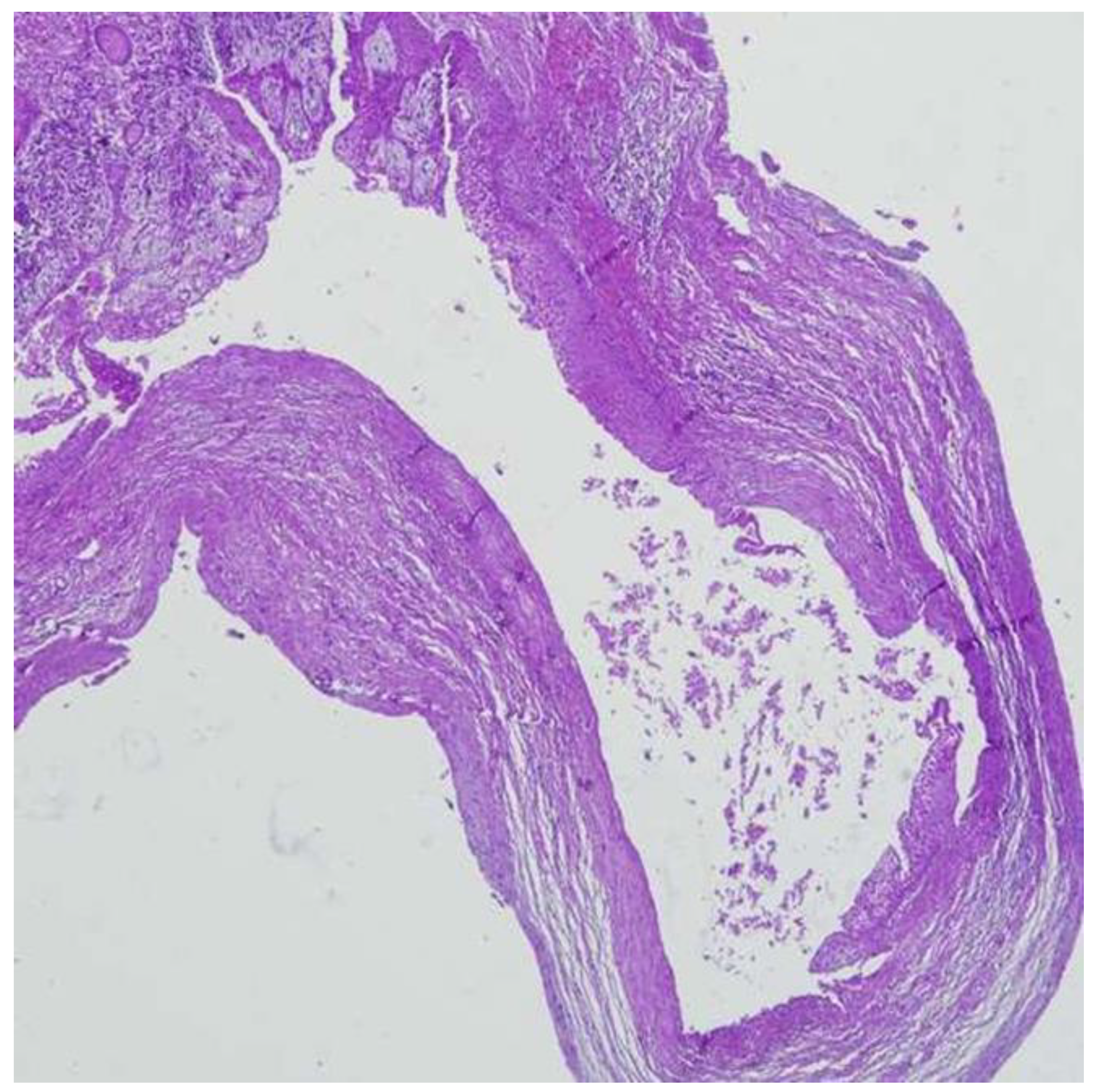
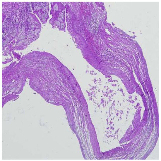
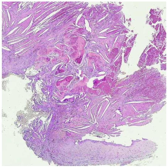
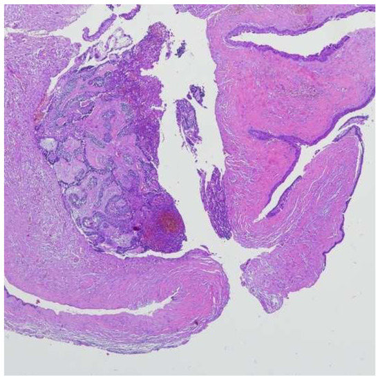
3. Results
4. Discussion
Author Contributions
Funding
Conflicts of Interest
References
- Wright, J.M.; Vered, M. Update from the 4th edition of the world health organization classification of head and neck tumours: Odontogenic and maxillofacial bone tumors. Head Neck Pathol. 2017, 11, 68–77. [Google Scholar] [CrossRef]
- Soluk-Tekkeşin, M.; Wright, J.M. The world health organization classification of odontogenic lesions: A summary of the changes of the 2017 (4th) Edition. Turk Patoloji Derg. 2018, 34. [Google Scholar] [CrossRef] [PubMed]
- Main DMG. Epithelial jaw cysts: A clinicopathological reappraisal. Br. J. Oral Surg. 1970, 8, 114–125. [Google Scholar] [CrossRef]
- Butt, F.M.; Ogeng’o, J.; Bahra, J.; Chindia, M.L. Pattern of odontogenic and non odontogenic cysts. J. Craniofac. Surg. 2011, 22, 2160–2162. [Google Scholar] [CrossRef] [PubMed]
- Bilodeau, E.A.; Collins, B.M. Odontogenic cysts and neoplasms. Surg. Pathol. Clin. 2017, 10, 177–222. [Google Scholar] [CrossRef]
- Soames, J.V.; Southam, J.C. Patologia Orale; EMSI Edizioni Mediche Scientifiche Internazionali: Roma, Italy, 2005. [Google Scholar]
- Sivapathasundharam, B.; Biswas, P.G.; Preethi, S. The World Health Organization classification of odontogenic and maxillofacial bone tumors: An appraisal. J. Oral Maxillofac. Pathol. 2019, 23, 178–186. [Google Scholar]
- Sagit, M.; Guler, S.; Tasdemir, A.; Somdas, M.A. Large radicular cyst in the maxillary sinus. J. Craniofac. Surg. 2011, 22, e64–e65. [Google Scholar] [CrossRef]
- Bonardi, J.P.; Gomes-Ferreira, P.H.; de Freitas Silva, L.; Momesso, G.A.C.; de Oliveira, D.; Ferreira, S.; dos Santos Pereira, R.; Souza, F.Á. Large dentigerous cyst associated to maxillary canine. J. Craniofac. Surg. 2017, 28, e96–e97. [Google Scholar] [CrossRef]
- Chuong, R.; Donoff, R.B.; Guralnick, W. The odontogenic keratocyst. J. Oral Maxillofac. Surg. 1982, 40, 797–802. [Google Scholar] [CrossRef]
- Ramachandra, P.; Maligi, P.; Raghuveer, H. A cumulative analysis of odontogenic cysts from major dental institutions of Bangalore city: A study of 252 cases. J. Oral Maxillofac. Pathol. JOMFP 2011, 15, 1–5. [Google Scholar] [CrossRef]
- Johnson, N.R.; Savage, N.W.; Kazoullis, S.; Batstone, M.D. A prospective epidemiological study for odontogenic and non-odontogenic lesions of the maxilla and mandible in Queensland. Oral Surg. Oral Med. Oral Pathol. Oral Radiol. 2013, 115, 515–522. [Google Scholar] [CrossRef] [PubMed]
- Ali, M.A. Biopsied jaw lesions in Kuwait: A six-year retrospective analysis. Med. Princ. Pract. 2011, 20, 550–555. [Google Scholar] [CrossRef] [PubMed]
- Khosravi, N.; Razavi, S.M.; Kowkabi, M.; Navabi, A.A. Demographic distribution of odontogenic cysts in Isfahan (Iran) over a 23-year period (1988–2010). Dent. Res. J. 2013, 10, 162–167. [Google Scholar] [CrossRef] [PubMed]
- Avelar, R.L.; Antunes, A.A.; Carvalho, R.W.; Bezerra, P.G.; Neto, P.J.O.; Andrade, E.S. Odontogenic cysts: A clinicopathological study of 507 cases. J. Oral Sci. 2009, 51, 581–586. [Google Scholar] [CrossRef] [PubMed]
- Tekkesin, M.S.; Olgac, V.; Aksakalli, N.; Alatli, C. Odontogenic and nonodontogenic cysts in Istanbul: Analysis of 5088 cases. Head Neck 2012, 34, 852–855. [Google Scholar] [CrossRef]
- Kilinc, A.; Gundogdu, B.; Saruhan, N.; Yalcin, E.; Ertas, U.; Urvasizoglu, G. Odontogenic and nonodontogenic cysts: An analysis of 526 cases in Turkey. Niger. J. Clin. Pract. 2017, 20, 879–883. [Google Scholar] [CrossRef]
- Sharifian, M.J.; Khalili, M. Odontogenic cysts: A retrospective study of 1227 cases in an Iranian population from 1987 to 2007. J. Oral Sci. 2011, 53, 361–367. [Google Scholar] [CrossRef]
- Açikgöz, A.; Uzun-Bulut, E.; Özden, B.; Gündüz, K. Prevalence and distribution of odontogenic and nonodontogenic cysts in a Turkish population. Med. Oral Patol. Oral Cir. Bucal. 2012, 17, e108–e115. [Google Scholar] [CrossRef]
- Kambalimath, D.H.; Kambalimath, H.V.; Agrawal, S.M.; Singh, M.; Jain, N.; Anurag, B.; Michael, P. Prevalence and distribution of odontogenic cyst in Indian population: A 10-year retrospective study. J. Maxillofac. Oral Surg. 2014, 13, 10–15. [Google Scholar] [CrossRef]
- Villasis-Sarmiento, L.; Portilla-Robertson, J.; Melendez-Ocampo, A.; Gaitan-Cepeda, L.A.; Leyva-Huerta, E.R. Prevalence and distribution of odontogenic cysts in a Mexican sample. A 753 cases study. J. Clin. Exp. Dent. 2017, 9, 531–538. [Google Scholar] [CrossRef][Green Version]
- Tortorici, S.; Amodio, E.; Massenti, M.F.; Buzzanca, M.L.; Burruano, F.; Vitale, F. Prevalence and distribution of odontogenic cysts in Sicily: 1986–2005. J. Oral Sci. 2008, 50, 15–18. [Google Scholar] [CrossRef] [PubMed]
- Selvamani, M.; Donoghue, M.; Basandi, P.S. Analysis of 153 cases of odontogenic cysts in a South Indian sample population: A retrospective study over a decade. Braz. Oral Res. 2012, 26, 330–334. [Google Scholar] [CrossRef] [PubMed][Green Version]
- Grossmann, S.M.; Machado, V.C.; Xavier, G.M.; Moura, M.D.; Gomez, S.R.; Aguiar, M.C.F.; Mesquita, R.A. Demographic profile of odontogenic and selected nonodontogenic cysts in a Brazilian population. Oral Surg. Oral Med. Oral Pathol. Oral Radiol. Endod. 2007, 104, 35–41. [Google Scholar] [CrossRef] [PubMed]
- Ochsenius, G.; Escobar, E.; Godoy, L.; Peñafiel, C. Odontogenic cysts: Analysis of 2944 cases in Chile. Med. Oral Patol. Oral Cir. Bucal. 2007, 12, 85–91. [Google Scholar]
- Prockt, A.P.; Schebela, C.R.; Maito, F.D.; Sant’Ana-Filho, M.; Rados, P.V. Odontogenic cysts: Analysis of 680 cases in Brazil. Head Neck Pathol. 2008, 2, 150–156. [Google Scholar] [CrossRef]
- Soluk Tekkesin, M.; Tuna, E.B.; Olgac, V.; Aksakallı, N.; Alatlı, C. Odontogenic lesions in a pediatric population: Review of the literature and presentation of 745 cases. Int. J. Pediatr. Otorhinolaryngol. 2016, 86, 196–199. [Google Scholar] [CrossRef]
- Mosqueda-Taylor, A.; Irigoyen-Camacho, M.E.; Diaz-Franco, M.A.; Torres-Tejero, M.A. Odontogenic cysts. Analysis of 856 cases. Med. Oral. 2002, 7, 89–96. [Google Scholar]
- Zhang, L.L.; Yang, R.; Zhang, L.; Li, W.; MacDonald-Jankowski, D.; Poh, C.F. Dentigerous cyst: A retrospective clinicopathological analysis of 2082 dentigerous cysts in British Columbia, Canada. Int. J. Oral Maxillofac. Surg. 2010, 39, 878–882. [Google Scholar] [CrossRef]
- Yeo, J.F.; Rosnah, B.Z.; Ti, L.S.; Zhao, Y.Y.; Ngeow, W.C. Clinicopathological study of dentigerous cysts in Singapore and Malaysia. Malays. J. Pathol. 2007, 29, 41–47. [Google Scholar]
- Lin, H.P.; Wang, Y.P.; Chen, H.M.; Cheng, S.J.; Sun, A.; Chiang, C.P. A clinicopathological study of 338 dentigerous cysts. J. Oral Pathol. Med. 2013, 42, 462–467. [Google Scholar] [CrossRef]
- Li, N.; Gao, X.; Xu, Z.; Chen, Z.; Zhu, L.; Wang, J.; Liu, W. Prevalence of developmental odontogenic cysts in children and adolescents with emphasis on dentigerous cyst and odontogenic keratocyst (keratocystic odontogenic tumor). Acta Odontol. Scand. 2014, 72, 795–800. [Google Scholar] [CrossRef] [PubMed]
- De Avila, E.D.; de Molon, S.R.; Massucato, E.M.; Hochuli-Vieira, E. Relationship between the prevalence of the dentigerous cyst and the odontogenic keratocyst tumor and the current etiologic hypothesis. J. Craniofac. Surg. 2009, 20, 2036–2040. [Google Scholar] [CrossRef]
- Luo, H.Y.; Li, T.J. Odontogenic tumors: A study of 1309 cases in a Chinese population. Oral Oncol. 2009, 45, 706–711. [Google Scholar] [CrossRef] [PubMed]
- Kammer, P.V.; Mello, F.W.; Rivero, E.R.C. Comparative analysis between developmental and inflammatory odontogenic cysts: Retrospective study and literature review. Oral Maxillofac. Surg. 2020, 24, 73–84. [Google Scholar] [CrossRef] [PubMed]



| Frequency | Proportion % | |
|---|---|---|
| IOC | 283 | 79.5 |
| DOC | 43 | 12.1 |
| NOC | 30 | 8.4 |
| Total | 356 | 100 |
| IOC | DOC | NOC | p Value | |
|---|---|---|---|---|
| Age, year (mean ± SD) | 47.72 ± 17.05 | 44.65 ± 17.78 | 41.8 ± 15.21 | 0.102 |
| Gender, n | 0.024 | |||
| Male | 208 (73.5%) | 23 (53.5%) | 20 (66.7%) | |
| Female | 75 (26.5%) | 20 (46.5%) | 10 (33.3%) |
| Region Value | IOC | DOC | NOC | p Value |
|---|---|---|---|---|
| Mandibular Maxillary | 166 (58.7%) 117 (41.3%) | 26 (60.5%) 17 (39.5%) | 20 (66.7%) 10 (33.3%) | 0.691 |
Publisher’s Note: MDPI stays neutral with regard to jurisdictional claims in published maps and institutional affiliations. |
© 2021 by the authors. Licensee MDPI, Basel, Switzerland. This article is an open access article distributed under the terms and conditions of the Creative Commons Attribution (CC BY) license (http://creativecommons.org/licenses/by/4.0/).
Share and Cite
Barresi, A.; Oteri, G.; Alibrandi, A.; Peditto, M.; Rapisarda, S.; Cardia, R.; Marcianò, A.; Lentini, M. A Comparative Statistical Analysis on the Incidence of Developmental, Inflammatory and Neoplastic Odontogenic Cysts—A Single Center Retrospective Analysis from Italy. Oral 2021, 1, 15-22. https://doi.org/10.3390/oral1010003
Barresi A, Oteri G, Alibrandi A, Peditto M, Rapisarda S, Cardia R, Marcianò A, Lentini M. A Comparative Statistical Analysis on the Incidence of Developmental, Inflammatory and Neoplastic Odontogenic Cysts—A Single Center Retrospective Analysis from Italy. Oral. 2021; 1(1):15-22. https://doi.org/10.3390/oral1010003
Chicago/Turabian StyleBarresi, Antonio, Giacomo Oteri, Angela Alibrandi, Matteo Peditto, Silvia Rapisarda, Roberta Cardia, Antonia Marcianò, and Maria Lentini. 2021. "A Comparative Statistical Analysis on the Incidence of Developmental, Inflammatory and Neoplastic Odontogenic Cysts—A Single Center Retrospective Analysis from Italy" Oral 1, no. 1: 15-22. https://doi.org/10.3390/oral1010003
APA StyleBarresi, A., Oteri, G., Alibrandi, A., Peditto, M., Rapisarda, S., Cardia, R., Marcianò, A., & Lentini, M. (2021). A Comparative Statistical Analysis on the Incidence of Developmental, Inflammatory and Neoplastic Odontogenic Cysts—A Single Center Retrospective Analysis from Italy. Oral, 1(1), 15-22. https://doi.org/10.3390/oral1010003

