Nine-Year Follow-Up of Gamma Knife Surgery for Hemangioblastomas in von Hippel–Lindau Disease: Illustrating the Challenge of Distinguishing Radiosurgical Effect from Natural Tumor Quiescence
Simple Summary
Abstract
1. Introduction
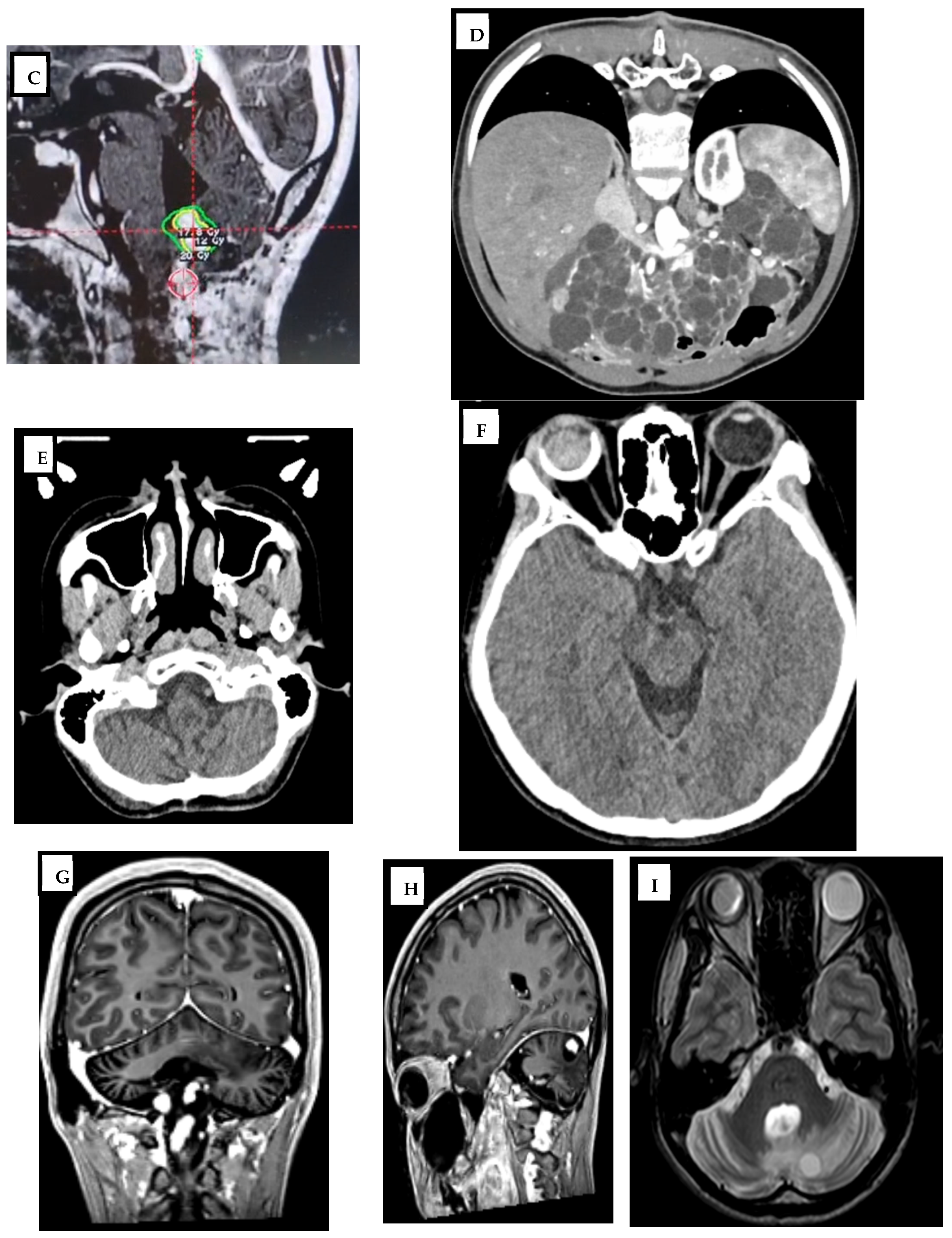
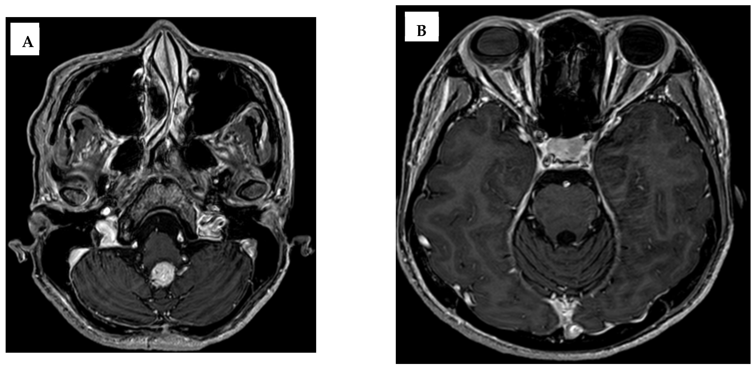
2. Case Report
3. Discussion
3.1. Diagnosis of von Hippel–Lindau Disease
3.2. Access to Genetic Testing and Healthcare Context
3.3. Role of Stereotactic Radiosurgery in Hemangioblastomas
3.4. Evidence from Radiosurgery Cohorts and Meta-Analyses
3.5. Natural History and Saltatory Growth Patterns
3.6. Limitations of the Present Case
4. Conclusions
Author Contributions
Funding
Institutional Review Board Statement
Informed Consent Statement
Data Availability Statement
Conflicts of Interest
Abbreviations
| CNS | Central nervous system |
| CT | Computed tomography |
| GKS | Gamma Knife Surgery |
| MRI | Magnetic resonance imaging |
| SRS | Stereotactic radiosurgery |
| VHL | von Hippel–Lindau |
| WHO | World Health Organization |
References
- Rocha, L.; Noronha, C.; Taipa, R.; Reis, J.; Gomes, M.; Carvalho, E. Supratentorial hemangioblastomas in von Hippel-Lindau wild-type patients—Case series and literature review. Int. J. Neurosci. 2018, 128, 295–303. [Google Scholar] [CrossRef]
- Chen, L.; Xiong, Z.; Zhou, Y.; Li, Y.; Xie, Y.; Xiong, Y.; Wanggou, S.; Li, X. Clinical characteristics, surgical management, and prognostic factors for supratentorial hemangioblastoma: A retrospective study. Front. Surg. 2022, 9, 1092140. [Google Scholar] [CrossRef]
- Decker, J.; Neuhaus, C.; Macdonald, F.; Brauch, H.; Maher, E.R. Clinical utility gene card for: Von Hippel-Lindau (VHL). Eur. J. Hum. Genet. 2014, 22, 572. [Google Scholar] [CrossRef]
- Karabagli, H.; Genc, A.; Karabagli, P.; Abacioglu, U.; Seker, A.; Kilic, T. Outcomes of gamma knife treatment for solid intracranial hemangioblastomas. J. Clin. Neurosci. 2010, 17, 706–710. [Google Scholar] [CrossRef]
- Rajaraman, C.; Rowe, J.G.; Walton, L.; Malik, I.; Radatz, M.; Kemeny, A.A. Treatment options for von Hippel-Lindau’s haemangioblastomatosis: The role of gamma knife stereotactic radiosurgery. Br. J. Neurosurg. 2004, 18, 338–342. [Google Scholar] [CrossRef]
- Wang, E.M.; Pan, L.; Wang, B.J.; Zhang, N.; Zhou, L.F.; Dong, Y.F.; Dai, J.Z.; Cai, P.W.; Chen, H. The long-term results of gamma knife radiosurgery for hemangioblastomas of the brain. J. Neurosurg. 2005, 102, 225–229. [Google Scholar] [CrossRef] [PubMed]
- Huntoon, K.; Shepard, M.J.; Lukas, R.V.; McCutcheon, I.E.; Daniels, A.B.; Asthagiri, A.R. Hemangioblastoma diagnosis and surveillance in von Hippel-Lindau disease: A consensus statement. J. Neurosurg. 2022, 136, 1511–1516. [Google Scholar] [CrossRef] [PubMed]
- Matsunaga, S.; Shuto, T.; Inomori, S.; Fujino, H.; Yamamoto, I. Gamma knife radiosurgery for intracranial haemangioblastomas. Acta Neurochir. 2007, 149, 1007–1013; discussion 1013. [Google Scholar] [CrossRef]
- Silva, D.; Grabowski, M.M.; Juthani, R.; Sharma, M.; Angelov, L.; Vogelbaum, M.A.; Chao, S.; Suh, J.; Mohammadi, A.; Barnett, G.H. Gamma Knife radiosurgery for intracranial hemangioblastoma. J. Clin. Neurosci. 2016, 31, 147–151. [Google Scholar] [CrossRef] [PubMed]
- Pan, J.; Jabarkheel, R.; Huang, Y.; Ho, A.; Chang, S.D. Stereotactic radiosurgery for central nervous system hemangioblastoma: Systematic review and meta-analysis. J. Neurooncol. 2018, 137, 11–22. [Google Scholar] [CrossRef]
- Niemelä, M.; Lim, Y.J.; Söderman, M.; Jääskeläinen, J.; Lindquist, C. Gamma knife radiosurgery in 11 hemangioblastomas. J. Neurosurg. 1996, 85, 591–596. [Google Scholar] [CrossRef]
- Jeo, W.S.; Razi, K.; Setiawan, A.; Natasya; Welly Hartono, R. Total pancreatoduodenectomy for multiple pancreatic cysts in von Hippel-Lindau disease presenting as obstructive jaundice: A case report. Int. J. Surg. Case Rep. 2023, 109, 108481. [Google Scholar] [CrossRef]
- Setyawan, N.H.; Hartanto, R.A.; Malueka, R.G.; Dwianingsih, E.K.; Dharma, D.P. Dual manifestations: Spinal and cerebellar hemangioblastomas indicative of von Hippel-Lindau syndrome. Radiol. Case Rep. 2024, 19, 5000–5006. [Google Scholar] [CrossRef]
- Cybulski, C.; Krzystolik, K.; Murgia, A.; Górski, B.; Dębniak, T.; Jakubowska, A.; Martella, M.; Kurzawski, G.; Prost, M.; Kojder, I.; et al. Germline mutations in the von Hippel-Lindau (VHL) gene in patients from Poland: Disease presentation in patients with deletions of the entire VHL gene. J. Med. Genet. 2002, 39, E38. [Google Scholar] [CrossRef]
- Hes, F.; van der Luijt, R.; Janssen, A.; Zewald, R.; de Jong, G.; Lenders, J.; Links, T.; Luyten, G.; Sijmons, R.; Eussen, H.; et al. Frequency of Von Hippel-Lindau germline mutations in classic and non-classic Von Hippel-Lindau disease identified by DNA sequencing, Southern blot analysis, and multiplex ligation-dependent probe amplification. Clin. Genet. 2007, 72, 122–129. [Google Scholar] [CrossRef]
- Binderup, M.L.M.; Smerdel, M.; Borgwadt, L.; Nielsen, S.S.B.; Madsen, M.G.; Møller, H.U.; Kiilgaard, J.F.; Friis-Hansen, L.; Harbud, V.; Cortnum, S.; et al. von Hippel-Lindau disease: Updated guideline for diagnosis and surveillance. Eur. J. Med. Genet. 2022, 65, 104538. [Google Scholar] [CrossRef] [PubMed]
- Octavius, G.S.; Daleni, V.A.; Sagala, Y.D.S. An Insight into Indonesia’s Challenges in Implementing Newborn Screening Programs and Their Future Implications. Children 2023, 10, 1216. [Google Scholar] [CrossRef]
- Kartikasari, A.; Mardia, A.I.; Safriadi, F.; Suryanti, S.; Usman, H.A.; Oehadian, A. Sporadic renal cell carcinoma with widespread metastasis in young patient: A rare case report. Urol. Case Rep. 2023, 49, 102457. [Google Scholar] [CrossRef] [PubMed]
- Goyal, N.; Agrawal, D.; Singla, R.; Kale, S.S.; Singh, M.; Sharma, B.S. Stereotactic radiosurgery in hemangioblastoma: Experience over 14 years. J. Neurosci. Rural Pract. 2016, 7, 23–27. [Google Scholar] [CrossRef] [PubMed]
- Asthagiri, A.R.; Mehta, G.U.; Zach, L.; Li, X.; Butman, J.A.; Camphausen, K.A.; Lonser, R.R. Prospective evaluation of radiosurgery for hemangioblastomas in von Hippel-Lindau disease. Neuro Oncol. 2010, 12, 80–86. [Google Scholar] [CrossRef] [PubMed]
- Zare, A.; Zare, A.; Khaboushan, A.S.; Hajikarimloo, B.; Sheehan, J.P. Stereotactic radiosurgery in the management of central nervous system hemangioblastomas: A systematic review and meta-analysis. Neurosurg. Rev. 2025, 48, 303. [Google Scholar] [CrossRef] [PubMed]
- Tago, M.; Terahara, A.; Shin, M.; Maruyama, K.; Kurita, H.; Nakagawa, K.; Ohtomo, K. Gamma knife surgery for hemangioblastomas. J. Neurosurg. 2005, 102, 171–174. [Google Scholar] [CrossRef] [PubMed]
- Hasselblatt, M.; Jeibmann, A.; Gerß, J.; Behrens, C.; Rama, B.; Wassmann, H.; Paulus, W. Cellular and reticular variants of haemangio-blastoma revisited: A clinicopathologic study of 88 cases. Neuropathol. Appl. Neurobiol. 2005, 31, 618–622. [Google Scholar] [CrossRef] [PubMed]
- Park, Y.S.; Chang, J.H.; Chang, J.W.; Chung, S.S.; Park, Y.G. Gamma knife surgery for multiple hemangioblastomas. J. Neurosurg. 2005, 102, 97–101. [Google Scholar] [CrossRef] [PubMed]
- Yamamoto, M.; Ide, M.; Umebara, Y.; Hagiwara, S.; Jimbo, M.; Takakura, K. Gamma knife radiosurgery for brain tumors: Postir-radiation volume changes compared with preradiosurgical growth fractions. Neurol. Med. Chir. 1996, 36, 358–363. [Google Scholar] [CrossRef]





| Time Point | 4th Ventricular Lesion | Retrobulbar Lesion | Spinal Lesions | Notes |
|---|---|---|---|---|
| Initial (Year 0) | 19 mm | 11 mm | Not checked | Pre-GKS |
| After two GKS sessions (Year 1) | 12 mm | 11 mm | Not checked | Partial regression |
| Lost to follow-up (Year 3) | 12 mm | 11 mm | Detected nodules in C1-C2, C6 and T8 | Progression |
| Post-progression imaging | Stable | Stable | Multiple | Observation phase |
| Final follow-up (Year 9) | Stable | Stable | Stable | Conservative management |
Disclaimer/Publisher’s Note: The statements, opinions and data contained in all publications are solely those of the individual author(s) and contributor(s) and not of MDPI and/or the editor(s). MDPI and/or the editor(s) disclaim responsibility for any injury to people or property resulting from any ideas, methods, instructions or products referred to in the content. |
© 2026 by the authors. Licensee MDPI, Basel, Switzerland. This article is an open access article distributed under the terms and conditions of the Creative Commons Attribution (CC BY) license.
Share and Cite
Muljadi, R.; Hendriansyah, L.; Prasetiyo, P.D.; Octavius, G.S. Nine-Year Follow-Up of Gamma Knife Surgery for Hemangioblastomas in von Hippel–Lindau Disease: Illustrating the Challenge of Distinguishing Radiosurgical Effect from Natural Tumor Quiescence. Radiation 2026, 6, 11. https://doi.org/10.3390/radiation6010011
Muljadi R, Hendriansyah L, Prasetiyo PD, Octavius GS. Nine-Year Follow-Up of Gamma Knife Surgery for Hemangioblastomas in von Hippel–Lindau Disease: Illustrating the Challenge of Distinguishing Radiosurgical Effect from Natural Tumor Quiescence. Radiation. 2026; 6(1):11. https://doi.org/10.3390/radiation6010011
Chicago/Turabian StyleMuljadi, Rusli, Lutfi Hendriansyah, Patricia Diana Prasetiyo, and Gilbert Sterling Octavius. 2026. "Nine-Year Follow-Up of Gamma Knife Surgery for Hemangioblastomas in von Hippel–Lindau Disease: Illustrating the Challenge of Distinguishing Radiosurgical Effect from Natural Tumor Quiescence" Radiation 6, no. 1: 11. https://doi.org/10.3390/radiation6010011
APA StyleMuljadi, R., Hendriansyah, L., Prasetiyo, P. D., & Octavius, G. S. (2026). Nine-Year Follow-Up of Gamma Knife Surgery for Hemangioblastomas in von Hippel–Lindau Disease: Illustrating the Challenge of Distinguishing Radiosurgical Effect from Natural Tumor Quiescence. Radiation, 6(1), 11. https://doi.org/10.3390/radiation6010011

