Low-Dose Radiotherapy for Severe COVID-19 Lung Disease—Have Meta-Analyses Accounted for Dose and Timing of Radiotherapy?
Simple Summary
Abstract
1. Introduction
2. Methods
2.1. Patient 1
2.2. Patient 2
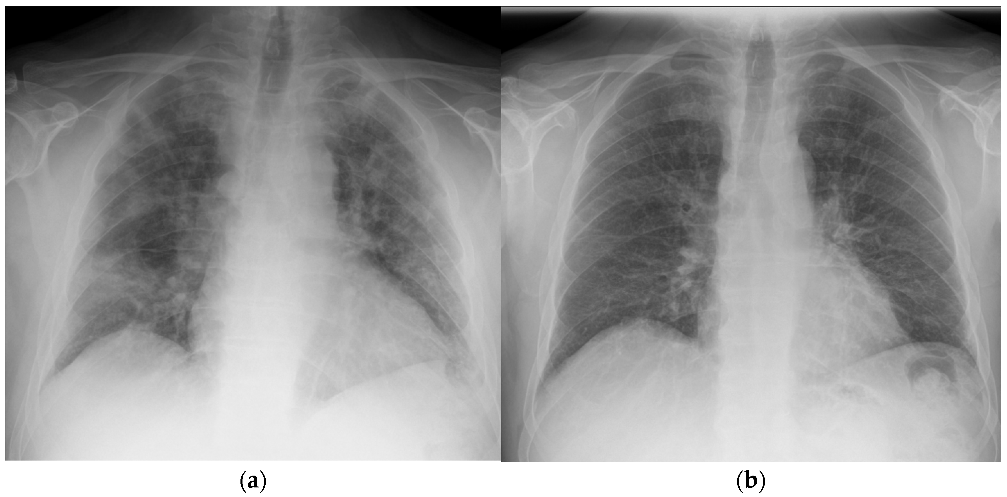
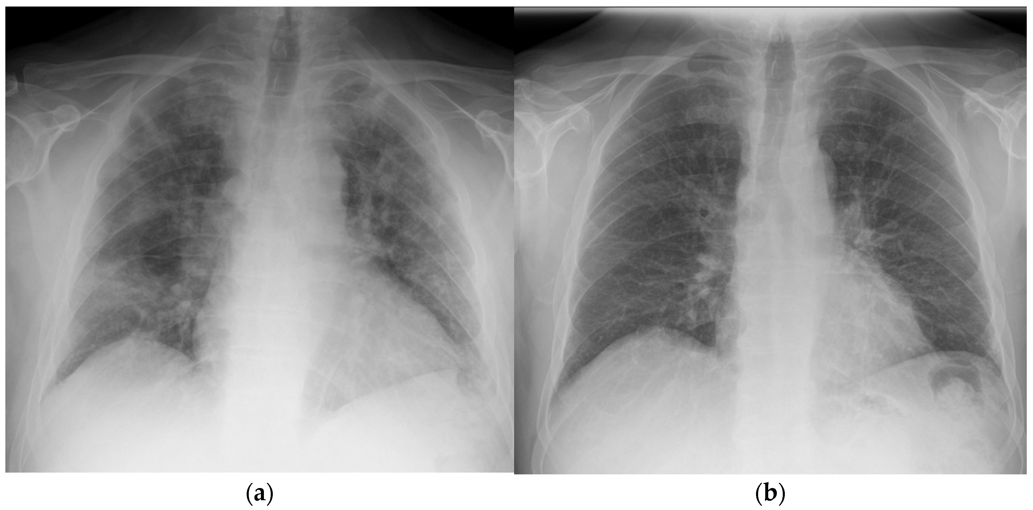
3. Results
3.1. Patient 1
3.2. Patient 2
4. Discussion
- (a.)
- Pneumonitis—radiation lung toxicity is extremely rare at the doses given (0.5 Gy) [20].
- (b.)
- Risk of secondary malignancies—several studies have explored radiation risks associated with typical therapeutic doses (>50 Gy total) of localised radiation [21] and very-low-dose whole body radiation [22]. There is, however, no clear evidence to quantify the risk of radiation-induced malignancy when using regional ultra-low-dose radiotherapy as performed with these patients [23]. Using a cut-off age (e.g., ≥50 years) would help to reduce this risk.
- (c.)
- Cardiac toxicity—the risk of cardiac toxicity using LDRT of 0.5 Gy would be considered very low [24].
- (d.)
- Lymphopenia—the bone marrow, spleen, and circulating lymphocytes may be exposed to radiation; thus, there is a risk of potential haematological toxicity and theoretical risk of immunosuppression. This could lead to a deterioration in viral infection or increase the chance of opportunistic infections. In both our patients, the lymphocyte nadir count remained above 0.5 × 109/L [25].
- (e.)
- Cross-infection—to staff and patients, particularly oncology patients within the department who are likely to be immuno- and myelosuppressed. Appropriate protocols must be put in place to prevent cross-infection [2].
5. Conclusions
- [a]
- Dose: the distinction between 0.5 Gy, which has promising anti-inflammatory effects, and higher doses (≥1 Gy), which may trigger pro-inflammatory and fibrotic responses, must be carefully examined.
- [b]
- Timing of LDRT administration: between early (<7 days post symptom onset) and late (>7 days) treatment, as earlier intervention may prevent the progression to fibrosis and severe acute respiratory distress syndrome (ARDS), while later intervention may have diminished efficacy.
- [c]
- Disease severity (e.g., oxygen requirement, inflammatory marker levels, ARDS presence) should be explored further to define in which clinical scenaria LDRT may offer benefit.
- [d]
- Use of simple radiotherapy methods, such as utilised in our two patients, i.e., parallel-opposed anterior–posterior/posterior–anterior (AP/PA) fields, utilizing 6 MV photons on standard linear accelerators. Approaches should prioritize patient comfort, reduce treatment times, and ensure broader implementation across various healthcare settings, particularly in resource-limited environments.
- [e]
- A structured approach to analysing long-term safety outcomes to provide critical insights into the risk–benefit balance of LDRT (including immunological status, markers of cardiac toxicity, and risk of radiation-induced malignancies).
Author Contributions
Funding
Institutional Review Board Statement
Informed Consent Statement
Data Availability Statement
Conflicts of Interest
References
- WHO. Coronavirus (COVID-19) Dashboard|WHO Coronavirus (COVID-19) Dashboard with Vaccination Data. Available online: https://covid19.who.int/ (accessed on 17 August 2024).
- Hadjiyiannakis, D.; Dimitroyannis, D.; Eastlake, L.; Peedell, C.; Tripathi, L.; Simcock, R.; Vyas, A.; Deutsch, E.; Chalmers, A. Personal View: Low-Dose Lung Radiotherapy Should be Evaluated as a Treatment for Severe COVID-19 Lung Disease. Clin. Oncol. (R. Coll. Radiol.) 2021, 33, e64–e68. [Google Scholar] [CrossRef] [PubMed]
- Cao, X. COVID-19: Immunopathology and its implications for therapy. Nat. Rev. Immunol. 2020, 20, 269–270. [Google Scholar] [CrossRef] [PubMed]
- Que, Y.; Hu, C.; Wan, K.; Hu, P.; Wang, R.; Luo, J.; Li, T.; Ping, R.; Hu, Q.; Sun, Y.; et al. Cytokine release syndrome in COVID-19: A major mechanism of morbidity and mortality. Int. Rev. Immunol. 2021, 41, 217–230. [Google Scholar] [CrossRef] [PubMed]
- Mortazavi, S.M.J.; Shams, S.F.; Mohammadi, S.; Mortazavi, S.A.R.; Sihver, L. Low-Dose Radiation Therapy for COVID-19: A Systematic Review. Radiation 2021, 1, 234–249. [Google Scholar] [CrossRef]
- Calabrese, E.J.; Dhawan, G. How radiotherapy was historically used to treat pneumonia: Could it be useful today? Yale J. Biol. Med. 2013, 86, 555–570. [Google Scholar]
- Kumar, R.; Haresh, K.; Sharma, D.; Gupta, A.; Gupta, S.; Vellaiyan, S.; Rath, G.K. Low-dose radiotherapy for COVID 19: A radioimmuno-logical perspective. J. Cancer Res. Ther. 2021, 17, 295–302. [Google Scholar] [CrossRef]
- Dunlap, N.E.; van Berkel, V.; Cai, L. COVID-19 and low-dose radiation therapy. Radiat. Med. Prot. 2021, 2, 139–145. [Google Scholar] [CrossRef]
- WHO. Working Group on the Clinical Characterisation and Management of COVID-19 infection. A minimal common outcome measure set for COVID-19 clinical research. Lancet Infect. Dis. 2020, 20, e192–e197, Erratum in Lancet Infect. Dis. 2020, 20, e250. [Google Scholar] [CrossRef]
- Griffiths, M.J.D.; McAuley, D.F.; Perkins, G.D.; Barrett, N.; Blackwood, B.; Boyle, A.; Cheem, N.; Connollym, B.; Dark, P.; Finney, S.; et al. Guidelines on the management of acute respiratory distress syndrome. BMJ Open Respir. Res. 2019, 6, e000420. [Google Scholar] [CrossRef]
- Strati, P.; Shanafelt, T.D. Monoclonal B-cell lymphocytosis and early-stage chronic lymphocytic leukemia: Diagnosis, natural history, and risk stratification. Blood 2015, 126, 454–462. [Google Scholar] [CrossRef]
- Pandey, S.R.; Yadav, S.A.; Gautam, S.; Giri, K.; Devkota, A.; Shrestha, S.; Bhandari, S.; Baniya, S.; Adhikari, B.; Adhikari, B.; et al. Effectiveness of low-dose radiation therapy in COVID- 19 patients globally: A systematic review. F1000 Res. 2022, 19, 62. [Google Scholar] [CrossRef] [PubMed]
- Kolahdouzan, K.; Chavoshi, M.; Bayani, R.; Darzikolaee, N.M. Low-Dose Whole Lung Irradiation for Treatment of COVID-19 Pneumonia: A Systematic Review and Meta-Analysis. Int. J. Radiat. Oncol. Biol. Phys. 2022, 113, 946–959. [Google Scholar] [CrossRef] [PubMed]
- Oppenheimer, A. Roentgen therapy of “virus” pneumonia. Am. J. Roentgenol. Radium Ther. 1943, 49, 635–658. [Google Scholar]
- Gupta, S.; Ahuja, R.; Sharma, N.; Singh, P.; Verma, S.; Gupta, M. Low dose lung radiotherapy for COVID-19 pneumonia: A potential treatment. Respir. Med. 2021, 186, 106531. [Google Scholar] [CrossRef]
- Kapoor, R.; Welsh, J.S.; Dhawan, V.; Javadinia, S.A.; Calabrese, E.J.; Dhawan, G. Low-dose radiation therapy (LDRT) for COVID-19 and its deadlier variants. Arch. Toxicol. 2021, 95, 3425–3432. [Google Scholar] [CrossRef]
- Lumniczky, K.; Impens, N.; Armengol, G.; Candéias, S.; Georgakilas, A.G.; Hornhardt, S.; Martin, O.A.; Rödel, F.; Schaue, D. Low dose ionizing radiation effects on the immune system. Environ. Int. 2021, 149, 106212. [Google Scholar] [CrossRef]
- Ameri, A.; Ameri, P.; Rahnama, N.; Mokhtari, M.; Sedaghat, M.; Hadavand, F.; Bozorgmehr, R.; Haghighi, M.; Taghizadeh-Hesary, F. Low-Dose Whole-Lung Irradiation for COVID-19 Pneumonia: Final Results of a Pilot Study. Int. J. Radiat. Oncol. Biol. Phys. 2021, 109, 859–866. [Google Scholar] [CrossRef]
- Ahmadikia, K.; Hashemi, S.J.; Khodavaisy, S.; Getso, M.I.; Alijani, N.; Badali, H.; Mirhendi, H.; Salehi, M.; Tabari, A.; Ardehali, M.M.; et al. The double-edged sword of systemic corticosteroid therapy in viral pneumonia: A case report and comparative review of influenza-associated mucormycosis versus COVID-19 associated mucormycosis. Mycoses 2021, 64, 798–808. [Google Scholar] [CrossRef]
- Rahi, M.S.; Parekh, J.; Pednekar, P.; Parmar, G.; Abraham, S.; Nasir, S.; Subramaniyam, R.; Jeyashanmugaraja, G.P.; Gunasekaran, K. Radiation-Induced Lung Injury—Current Perspectives and Management. Clin. Pract. 2021, 11, 410–429. [Google Scholar] [CrossRef]
- Journy, N.; Mansouri, I.; Allodji, R.S.; Demoor-Goldschmidt, C.; Ghazi, D.; Haddy, N.; Rubino, C.; Veres, C.; Zrafi, W.S.; Rivera, S.; et al. Volume effects of radiotherapy on the risk of second primary cancers: A systematic review of clinical and epidemiological studies. Radiother. Oncol. 2019, 131, 150–159. [Google Scholar] [CrossRef]
- Douple, E.B.; Mabuchi, K.; Cullings, H.M.; Preston, D.L.; Kodama, K.; Shimizu, Y.; Fujiwara, S.; Shore, R.E. Long-term Radiation-Related Health Effects in a Unique Human Population: Lessons Learned from tIhe Atomic Bomb Survivors of Hiroshima and Nagasaki. Disaster Med. Public Health Prep. 2011, 5 (Suppl. S1), S122–S133. [Google Scholar] [CrossRef] [PubMed]
- Kirsch, D.G.; Diehn, M.; Cucinotta, F.A.; Weichselbaum, R. Lack of supporting data make the risks of a clinical trial of radiation therapy as a treatment for COVID-19 pneumonia unacceptable. Radiother. Oncol. 2020, 147, 217–220. [Google Scholar] [CrossRef] [PubMed]
- Hufnagle, J.J.; Andersen, S.N.; Maani, E.V. Radiation-Induced Cardiac Toxicity. In StatPearls [Internet]; StatPearls: Treasure Island, FL, USA, 2024. [Google Scholar]
- Nag, S.; Shah, V. Once-a-week lower hemibody irradiation (HBI) for metastatic cancers. Int. J. Radiat. Oncol. 1986, 12, 1003–1005. [Google Scholar] [CrossRef] [PubMed]



| Baseline | 5 Days Post LDR | ||
|---|---|---|---|
| Patient 1 | CRP (mg/L) | 10.4 | 1.4 |
| IL-6 (pg/mL) | 9 | 2 | |
| D-Dimer (µg/mL) | 0.91 | 0.54 | |
| BNP (ng/L) | 473 | 80 | |
| Patient 2 | CRP (mg/L) | 50.2 | 3.9 |
| Il-6 (pg/mL) | 3 | 5 | |
| D-Dimer (µg/mL) | 7.93 | 2.99 | |
| BNP (ng/L) | 810 | 439 |
Disclaimer/Publisher’s Note: The statements, opinions and data contained in all publications are solely those of the individual author(s) and contributor(s) and not of MDPI and/or the editor(s). MDPI and/or the editor(s) disclaim responsibility for any injury to people or property resulting from any ideas, methods, instructions or products referred to in the content. |
© 2025 by the authors. Licensee MDPI, Basel, Switzerland. This article is an open access article distributed under the terms and conditions of the Creative Commons Attribution (CC BY) license (https://creativecommons.org/licenses/by/4.0/).
Share and Cite
Eastlake, L.; Thanikachalam, P.; Cameron, D.; Dimitroyannis, D.; Ingham, W.; Mannion, P.; Clarkson, G.; Vyas, A.; Chalmers, A.; Hadjiyiannakis, D. Low-Dose Radiotherapy for Severe COVID-19 Lung Disease—Have Meta-Analyses Accounted for Dose and Timing of Radiotherapy? Radiation 2025, 5, 19. https://doi.org/10.3390/radiation5020019
Eastlake L, Thanikachalam P, Cameron D, Dimitroyannis D, Ingham W, Mannion P, Clarkson G, Vyas A, Chalmers A, Hadjiyiannakis D. Low-Dose Radiotherapy for Severe COVID-19 Lung Disease—Have Meta-Analyses Accounted for Dose and Timing of Radiotherapy? Radiation. 2025; 5(2):19. https://doi.org/10.3390/radiation5020019
Chicago/Turabian StyleEastlake, Leonie, Prakash Thanikachalam, David Cameron, Dimitri Dimitroyannis, Wanda Ingham, Pascoe Mannion, Gillian Clarkson, Aashish Vyas, Anthony Chalmers, and Dennis Hadjiyiannakis. 2025. "Low-Dose Radiotherapy for Severe COVID-19 Lung Disease—Have Meta-Analyses Accounted for Dose and Timing of Radiotherapy?" Radiation 5, no. 2: 19. https://doi.org/10.3390/radiation5020019
APA StyleEastlake, L., Thanikachalam, P., Cameron, D., Dimitroyannis, D., Ingham, W., Mannion, P., Clarkson, G., Vyas, A., Chalmers, A., & Hadjiyiannakis, D. (2025). Low-Dose Radiotherapy for Severe COVID-19 Lung Disease—Have Meta-Analyses Accounted for Dose and Timing of Radiotherapy? Radiation, 5(2), 19. https://doi.org/10.3390/radiation5020019

