Next Article in Journal
Ketosis Suppression and Ageing (KetoSAge): The Effect of Suppressing Ketosis on GKI and Liver Biomarkers in Healthy Females
Previous Article in Journal
Palliative Care in End-Stage Liver Disease
 
 
Font Type:
Arial Georgia Verdana
Font Size:
Aa Aa Aa
Line Spacing:
Column Width:
Background:
Case Report

Shades of Gray: Diagnostic Challenges and Fatal Tumor Thromboembolism in Periductal-Infiltrating Perihilar Cholangiocarcinoma—Case Report with Autopsy Findings

1
Department of Gastroenterology, Helios Klinikum Gifhorn, 38518 Gifhorn, Germany
2
Department of Surgery, Helios Klinikum Gifhorn, 38518 Gifhorn, Germany
3
Department of Radiology, Helios Klinikum Gifhorn, 38518 Gifhorn, Germany
4
Institute of Pathology, Hannover Medical School, 30625 Hannover, Germany
*
Author to whom correspondence should be addressed.
Livers 2025, 5(3), 40; https://doi.org/10.3390/livers5030040
Submission received: 20 June 2025 / Revised: 1 August 2025 / Accepted: 19 August 2025 / Published: 27 August 2025

Abstract

Background: Perihilar cholangiocarcinoma (pCCA), especially the periductal-infiltrating subtype, is notoriously difficult to diagnose due to subtle imaging findings and the absence of a mass. Case Presentation: We describe a 56-year-old man with morbid obesity and deep vein thrombosis (DVT), admitted for severe cholestatic jaundice. Initial ultrasound and two ERCPs were inconclusive, with only mild hilar duct dilation on CT. MRI was not possible due to the severe weight of the patient. Only at the 3rd ERCP with digital cholangioscopy were irregular mucosa and tumor infiltration observed, and a biopsy confirmed moderately to poorly differentiated adenocarcinoma. The patient deteriorated rapidly after discharge, returning in septic shock. Despite laparoscopy excluding cholecystitis and cirrhosis, he died from multiorgan failure. Autopsy revealed diffuse hilar tumor infiltration, nodal metastases, and fatal pulmonary tumor embolism (Bismuth IV). Conclusions: This case highlights the necessity of early escalation to cholangioscopy in unresolved cholestasis, the importance of recognizing paraneoplastic thrombosis, and the value of autopsy in clarifying cause of death.

1. Introduction

Perihilar cholangiocarcinoma (pCCA) remains a major diagnostic challenge, especially when the tumor exhibits an infiltrative, non-mass-forming pattern [1,2,3]. The diagnosis is further complicated in patients with morbid obesity, which may preclude advanced imaging such as MRI [4]. Paraneoplastic hypercoagulability, manifesting as idiopathic DVT, is a well-described but frequently underappreciated early sign in hepatobiliary malignancies [5]. Here, we present a case where all these factors contributed to a delayed diagnosis and fatal outcome, with final diagnosis and extent established only at autopsy. This particular subtype, known as periductal-infiltrating cholangiocarcinoma, accounts for approximately 25–30% of all perihilar tumors and is characterized by diffuse growth along bile duct walls without forming a discrete mass, making detection by conventional imaging modalities extremely difficult [1,2,4]. The association between unprovoked venous thromboembolism and occult malignancy has been recognized since Trousseau’s original description in 1865 [6], yet it remains underutilized as a diagnostic clue in clinical practice [5,6]. This phenomenon occurs in approximately 5% of patients with unprovoked VTE and can precede cancer diagnosis by weeks to months, representing a critical window for early detection [5,6].

2. Case Presentation

A 56-year-old male with morbid obesity (BMI 43 kg/m2) and recent idiopathic deep vein thrombosis presented on 13 February 2025 with rapidly progressive jaundice. The DVT, diagnosed two months earlier, involved a long-segment thrombus extending from the popliteal to middle femoral vein. Laboratory findings at DVT diagnosis showed normal hemoglobin (12.8 g%) and platelet count (182,000/µL). The patient had been asymptomatic for any systemic symptoms and no extensive cancer screening was performed at that time, as per standard practice. Apart from obesity, no other VTE risk factors were identified—no smoking history, varicose veins, or family history of thrombosis or malignancy. Upon admission for severe cholestasis, the patient was switched from oral rivaroxaban to subcutaneous tinzaparin (2 × 14,000 IU daily) following standard inpatient protocols. Physical examination confirmed intense jaundice without abdominal tenderness or palpable organomegaly.
Laboratory findings: Marked cholestatic syndrome (ALT 411 U/L, AST 205 U/L, ALP 488 U/L, GGT 699 U/L, total bilirubin 8.9 mg/dL), mild inflammatory markers (CRP 3.9 mg/dL), and negative viral and autoimmune panels (HAV, HBV, HCV, HEV, ANA, AMA, ANCA).
Imaging:
13.02: Abdominal ultrasound identified only gallbladder microlithiasis, without bile duct dilation (Figure 1).
14.02: First ERCP showed normal bile ducts and papilla, no strictures or filling defects (Figure 2).
Following days: Laboratory cholestasis decreased minimally, but jaundice persisted.
Repeat ultrasound revealed discrete hilar ductal dilation.
18.02: Contrast-enhanced CT demonstrated only mild hilar bile duct dilation, with no mass or lymphadenopathy (Figure 3).
18.02: Longitudinal endoscopic ultrasound did not demonstrate any focal mass lesions; only a slight thickening of the bile duct wall was observed. The EUS examination did not demonstrate any focal mass lesions; only a slight, irregular thickening of the bile duct wall was observed in the hilar region. This finding was considered suspicious but not definitively diagnostic, as similar appearances can be seen in inflammatory processes such as primary sclerosing cholangitis or chronic cholangitis. The pancreas appeared normal, and no enlarged lymph nodes were identified in the porta hepatis.
18.02: Second ERCP again found no obstructive lesion; a 10 Fr/10 cm plastic stent was placed empirically (Figure 4). No clinical or biochemical improvement was observed.
Serial sonography showed no new findings post-stenting.
Further workup: Standard investigations excluded common causes of liver disease (viral, autoimmune, metabolic). Tumor markers such as CA 19-9 [7] were not obtained initially due to inconclusive imaging findings and the immediate clinical focus on resolving acute cholestasis. The rapid clinical deterioration subsequently limited further diagnostic investigations.
25.02: A third ERCP was performed. Fluoroscopy showed a chain of short, irregular strictures proximally (Figure 5). Digital cholangioscopy visualized irregular, friable mucosa at the hilum (Figure 6). Multiple biopsies were obtained, and a new stent was placed.
Histology: Biopsies suggested poorly differentiated adenocarcinoma but were inconclusive for full characterization ante-mortem.
The patient was discharged clinically stable pending multidisciplinary tumor board evaluation [8]. Laboratory values demonstrated a slow-declining cholestasis due to stenting: ALT 213 U/L, AST 146 U/L, GGTP 547 U/L, AP 367 U/L, and bilirubin 10.3 mg/dL. Anticoagulation was resumed with oral rivaroxaban (twice daily) for continued DVT treatment.
1.03: The patient was urgently readmitted with worsening jaundice, hypotension, fever, lactic acidosis, AKI, and profound sepsis biomarkers (bilirubin 20 mg/dL, CRP 34 mg/dL, PCT > 100 ng/mL).
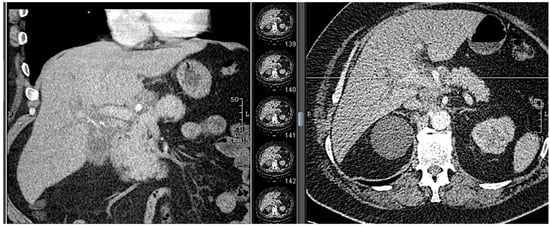
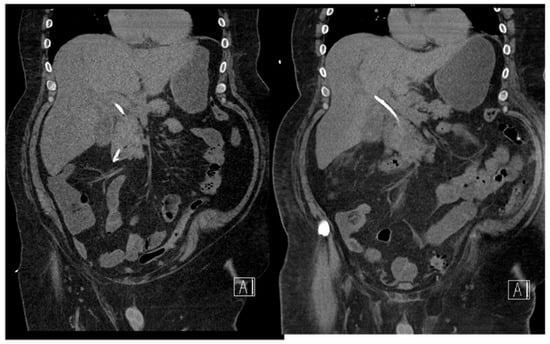
CT at readmission: No significant interval change, plastic stent in situ, no evidence of ductal dilation or masses (Figure 7).
4.03: Diagnostic laparoscopy excluded cholecystitis and cirrhosis [9]; the liver appeared soft, non-cirrhotic, the gallbladder was normal, and no peritonitis or abscess was identified (Figure 8).
Despite maximal therapy, the patient died on 5 March 2025.
Autopsy:
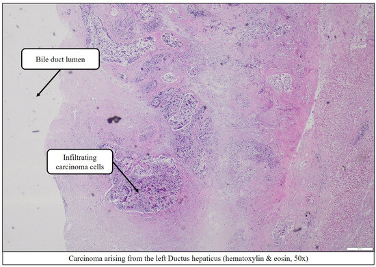
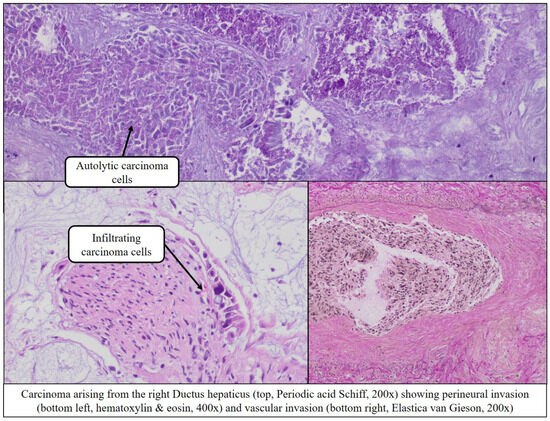
Extensive periductal tumor infiltration of the right and left hepatic ducts (Figure 9 and Figure 10);
Marked regional lymph-node metastases (Figure 11);
Right-sided pulmonary thromb- and tumorembolism (Figure 12);
All histopathological images are from autopsy specimens (March 2025);
No liver abscess or intra-abdominal infection was identified.
Thus, the definitive diagnosis in our patient was acute liver failure with clinically direct hyperbilirubinemia due to mucin-producing adenocarcinoma in the area of the right, left, and common hepatic duct:
With infiltration into adjacent soft tissue and neighboring liver parenchyma;
With regional lymph-node metastases (5/5; apN2);
With lymphangiosis carcinomatosa (L1);
With local hemangioinvasion (including larger branches of the hepatic artery/portal vein) and evidence of tumor cells in the area of the right-sided pulmonary artery embolism (V1);
With perineural infiltration (Pn1)
UICC Classification (8th edition, 2020):
apT3, apN2, apM0, GX, L1, V1, Pn1
Stage IVA T3, N2, M0 (UICC/AJCC 8th edition)
Bismuth–Corlette Classification Type IV

3. Discussion

This case underscores several key diagnostic and management challenges inherent to perihilar, periductal-infiltrating cholangiocarcinoma (pCCA). The fatal outcome, despite the use of advanced endoscopy and a multidisciplinary approach, prompts critical reflection on what was carried out, what could have been improved, and how current evidence should guide clinicians facing similar diagnostic dilemmas.

4. Diagnostic Delay and Imaging Pitfalls

Periductal-infiltrating pCCA is notorious for its insidious onset and the paucity of clear imaging features in early or even intermediate disease [1,2,3,4]. Our patient underwent a classic diagnostic cascade: initial ultrasound and CT scans were essentially normal, showing only minimal hilar ductal dilation. These findings are not unusual; recent studies confirm that in 20–30% of pCCA cases, cross-sectional imaging and even ERCP may fail to reveal a definite mass or stricture, especially in the periductal-infiltrating subtype [2,5].
While the general challenges in diagnosing perihilar cholangiocarcinoma and the significant impact of diagnostic delays are well-established in the literature, this specific case offers valuable insights beyond general knowledge by:
Highlighting the compounded diagnostic difficulty in complex patients with significant co-morbidities, particularly morbid obesity (BMI > 40 kg/m2), which severely limited standard diagnostic modalities like MRI/MRCP;
Emphasizing critical missed opportunities and diagnostic pitfalls, serving as a stark reminder of the importance of maintaining a high index of suspicion for malignancy in patients with unprovoked VTE and persistent cholestasis;
Illustrating a rare and fatal complication—the ultimate demise due to macroscopic pulmonary tumor embolism (MPE), which is a less common and often under-recognized cause of death in pCCA; and
Reinforcing the need for early and integrated multidisciplinary discussions to prevent diagnostic delays in complex clinical settings.
A major limitation in our case was the inability to perform MRI/MRCP due to morbid obesity. MRI is generally superior to CT for evaluating subtle ductal wall thickening and periductal spread [4,6], and its absence undoubtedly delayed tissue diagnosis. In obese patients, clinicians should be prepared to escalate early to alternative modalities, such as digital cholangioscopy, when MRI is technically unfeasible. Technical limitations for MRI in obese patients often include scanner bore-diameter limits (typically around 60–70 cm, which can be restrictive for patients with BMI > 40–50 kg/m2 or a specific body circumference), the weight limits of the MRI table (which can vary but are generally 150–250 kg, in our case 150 kg), and challenges in achieving adequate signal quality due to increased subcutaneous fat and breathing artifacts. In our patient, a BMI of 43 kg/m2 combined with body habitus made the procedure technically unfeasible with the available equipment [10]. While PET-CT can be useful for staging cholangiocarcinoma, particularly for detecting distant metastases and nodal involvement, its role in the initial diagnosis of periductal-infiltrating pCCA is less established due to variable FDG uptake and potential false positives from inflammatory conditions. It was not performed in this case due to the primary focus on biliary decompression and histological diagnosis.
Specific tumor markers such as CA 19-9 [7] were unfortunately not obtained during the initial diagnostic workup. This decision was influenced by the initial inconclusive imaging findings, the immediate clinical priority of resolving acute cholestasis, and the subsequent rapid deterioration which limited further investigations. In retrospect, obtaining these markers might have provided additional diagnostic information, particularly given the patient’s history of unprovoked DVT.

5. ERCP and the Timing of Advanced Endoscopy

The patient underwent two standard ERCPs and one EUS with empiric stenting before a third diagnostic ERCP with cholangioscopy was performed. This sequence reflects real-world practice but also highlights a common pitfall: “diagnostic inertia,” or the repetition of standard procedures despite a lack of new findings [11]. The lack of clue findings at longitudinal EUS did not initially raise suspicion of a malignant etiology, as it is well recognized that similar EUS features can also be seen in inflammatory processes such as primary sclerosing cholangitis or chronic bacterial cholangitis [2,6,11]. This diagnostic ambiguity is supported by recent studies indicating that EUS has limited sensitivity for detecting periductal-infiltrating or diffuse perihilar cholangiocarcinoma, especially in the absence of a discrete mass lesion [2,6].
Guidelines and recent meta-analyses strongly suggest that if two ERCPs fail to explain persistent cholestasis, early referral for digital cholangioscopy should be prioritized [9,12]. Had cholangioscopy been performed earlier (e.g., at the second ERCP), tissue diagnosis may have been obtained days sooner, potentially allowing for more rapid MDT planning and oncologic workup [9,11,12,13].
However, it must be acknowledged that even with direct visualization, patchy tumor infiltration can yield false negatives on forceps biopsy. Thus, a negative or inconclusive biopsy should not delay referral to an MDT or repeat sampling if clinical suspicion remains high [9].

6. Paraneoplastic Clues and Missed Opportunities

An often-overlooked aspect is the history of deep vein thrombosis (DVT). This event, occurring two months prior to jaundice, should have raised suspicion for an underlying malignancy. The history of idiopathic DVT is a crucial paraneoplastic clue. While population-based studies indicate that approximately 5% of patients with unprovoked VTE may harbor an occult cancer, most studies have not shown clear benefit from extensive screening strategies. Systematic extended cancer screening is not recommended by current guidelines [14,15,16]. A thorough medical history, comprehensive physical examination, routine laboratory tests, chest X-ray, and age-/gender-appropriate cancer screening should be diligently performed to identify potential underlying malignancies [10,13,14,15]. In hindsight, earlier cross-sectional imaging or tumor-marker assessment might have expedited the diagnosis. The decision not to obtain tumor markers such as CA 19-9 [7] during the initial workup represents a missed opportunity, particularly given the patient’s history of unprovoked DVT. While CA 19-9 has limitations in cholangiocarcinoma diagnosis due to elevation in benign conditions and false negatives in Lewis-negative patients, it remains a valuable adjunctive test that might have raised clinical suspicion earlier in this case. The presence of DVT also raises important considerations for the selection and timing of surgical or interventional procedures, as these patients are at increased risk for both thrombosis and bleeding [7].

7. Multidisciplinary Management and System Delays

The patient was discharged in stable condition after tissue diagnosis, pending discussion at a multidisciplinary tumor board (MDT). While MDT review is best practice for all biliary tract cancers [8], this interval between diagnosis and oncology planning may be critical in aggressive, infiltrative disease. There is increasing support for “rapid” pathways that immediately refer newly diagnosed or highly suspected pCCA cases to hepatobiliary surgery and oncology, rather than waiting for routine outpatient MDT scheduling [17,18]. It is a matter of speculation whether this would have altered the fatal trajectory in our patient, but a shorter time to MDT review and staging workup could have allowed for earlier consideration of palliative or pre-emptive interventions (e.g., metal stenting, early antibiotics).

Biliary Sepsis and Limitations of Stenting

The clinical deterioration was characterized by severe sepsis, lactic acidosis, and anuria, despite broad-spectrum antibiotics and empiric biliary stenting. The latest studies highlight that plastic stents may provide suboptimal drainage in diffuse, multifocal pCCA [7,13]. In our case, the persistent cholestasis despite stenting confirmed only a modest biliary decompression, likely contributing to subsequent septic complications. Incomplete biliary decompression is a major risk factor for post-ERCP cholangitis and rapid progression to multiorgan failure, even in the absence of microbiological confirmation [7,19]. This was not the case in our patient, at least given the lack of evidence for contrast retainment. Some centers advocate for early use of self-expandable metal stents (SEMSs) or bilateral drainage in complex hilar strictures, but evidence remains mixed [7]. One of the main issues was that the possibility of a biliary neoplasm was not considered until late in the clinical course, and the use of a metal stent was not discussed prior to obtaining a definitive diagnosis.
In our patient, the lack of clinical improvement after two stents should have prompted urgent re-evaluation and perhaps more aggressive or alternative drainage strategies.
Laparoscopy was performed to exclude surgical sources of sepsis and revealed a soft, non-cirrhotic liver, ruling out hepatic decompensation and acute cholecystitis. This demonstrates the utility of minimally invasive exploration in critically ill patients with diagnostic uncertainty [20].

8. Autopsy Findings and Lessons Learned

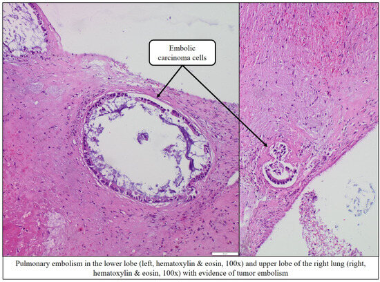
The autopsy revealed the true extent of disease, with periductal infiltration, hemangioinvasion, and massive regional nodal spread. Additionally, a right-sided pulmonary embolism was revealed. Histologically, there were signs of resorption and neovascularization, thus indicating a weeks- to month-old history of thromboembolism. As clinically described, the patient did show bilateral deep vein thrombosis at an older stage, with signs of organization and revascularization. Strikingly, however, there were also nests of carcinoma cells within the pulmonary emboli, showing a direct involvement of the tumor and distinguishing it from a conventional thromboembolism originating from the deep vein thrombosis—such emboli are an under-recognized but well-described cause of sudden death in biliary tract cancer. The entity is seldom diagnosed ante-mortem and highlights the aggressive biology of advanced pCCA [21,22,23]. Moreover, the patient has been constantly anticoagulated since December 2024 and never showed any signs of pulmonary insufficiency.
Reflecting on the clinical course, it is uncertain if earlier diagnosis or MDT review would have definitively changed the fatal outcome given the advanced (Stage IVA disease), multifocal, aggressive, and infiltrative tumor. However, expedited tissue diagnosis, more aggressive biliary drainage, and closer inpatient monitoring after diagnosis may have reduced the risk of catastrophic sepsis or allowed for a timely transition to palliative care [18,24]. Importantly, the role of autopsy remains invaluable in confirming cause of death and providing critical feedback for clinical teams.
The recent literature strongly emphasizes the diagnostic difficulties faced in cases of periductal-infiltrating perihilar cholangiocarcinoma, such as the one presented here. Recent contemporary cohort studies and expert reviews have demonstrated that this tumor subtype is particularly prone to delayed recognition, primarily due to its diffuse, non-mass-forming pattern and the lack of distinctive features on conventional imaging, endoscopic, or even repeated ERCP studies [1,2,3,4,6,12]. Sensitivity for early detection remains limited: cross-sectional imaging, EUS, and standard cytology frequently fail to reveal definitive malignant changes, especially when MRI is not feasible [4,6]. Even digital cholangioscopy, though superior for direct mucosal visualization and targeted biopsies, can yield false negatives due to patchy, submucosal infiltration [12]. These diagnostic issues, as also seen in our patient, are repeatedly highlighted in the latest guidelines and meta-analyses, which now advocate for early escalation to advanced endoscopy and suggest early multidisciplinary team discussion to improve outcomes [2,6,17]. Nevertheless, delays in diagnosis remain common and are associated with poorer prognoses in large-scale studies [15].

9. Key Takeaways for Clinical Practice

Early escalation to digital cholangioscopy is essential in unresolved, unexplained cholestasis, particularly when MRI is unavailable or inconclusive.
Clinicians should maintain a low threshold for malignancy work-up in patients with unprovoked DVT, particularly in those >50 years old. Evaluation should include basic investigations and routine cancer screening per age/gender. Extensive imaging may be reserved for patients with additional risk factors or compelling clinical clues, while research is ongoing to develop predictive models for cancer detection after VTE.s.
Tumor markers such as CA 19-9 should be considered early in the diagnostic workup of unexplained cholestasis, even when imaging is initially inconclusive. Repeated negative ERCPs should not delay referral to advanced endoscopy or MDT.
Plastic stenting may be insufficient in diffuse, infiltrative pCCA; alternative drainage or SEMS should be considered when feasible [25].
MDT and fast-track pathways are crucial to reduce delays between tissue diagnosis and oncology management, though the impact on outcomes in advanced cases remains debated.
Autopsy remains essential for learning and quality assurance in complex oncological cases.
In conclusion, this patient’s tragic outcome serves as a reminder that, even with all the remarkable advances in modern medicine, few situations are ever purely black or white; instead, we are constantly confronted with innumerable shades of gray.

Author Contributions

Conceptualization, M.H.S. and M.K.; methodology, B.S.; formal analysis, J.K.; investigation, M.H.S., M.K., B.S., S.W., S.M., C.D.I. and J.K.; data curation, B.S. and L.B.; writing—original draft preparation, M.H.S.; writing—review and editing, M.H.S. and M.K.; visualization, B.S.; supervision, J.K. All authors have read and agreed to the published version of the manuscript.

Funding

This research received no external funding.

Institutional Review Board Statement

The study was conducted in accordance with the Declaration of Helsinki, and approved by the Ethics Committee of the Helios Clinic Gifhorn (protocol code 01/2025 and date of approval 2025-07-04).

Informed Consent Statement

Informed consent was obtained from all subjects involved in the study.

Data Availability Statement

Datasets available on request form corresponding author only, as the data are sensitive and participants may be potentially identifiable.

Conflicts of Interest

The authors declare no conflict of interest.

References

  1. Banales, J.M.; Marin, J.J.G.; Lamarca, A.; Rodrigues, P.M.; Khan, S.A.; Roberts, L.R.; Cardinale, V.; Carpino, G.; Andersen, J.B.; Braconi, C.; et al. Cholangiocarcinoma 2020: The next horizon in mechanisms and management. Nat. Rev. Gastroenterol. Hepatol. 2020, 17, 557–588. [Google Scholar] [CrossRef]
  2. Rizvi, S.I.; Gores, G.J. Pathogenesis, diagnosis, and management of cholangiocarcinoma. Gastroenterology 2013, 145, 1215–1229.e1. [Google Scholar] [CrossRef] [PubMed]
  3. European Association for the Study of the Liver. EASL Clinical Practice Guidelines: Cholangiocarcinoma. J. Hepatol. 2023, 79, 768–828. [Google Scholar] [CrossRef] [PubMed]
  4. Harrison, J.M.; Visser, B.C. Cholangiocarcinoma. Surg. Clin. N. Am. 2024, 104, 1281–1293. [Google Scholar] [CrossRef]
  5. Khorana, A.A. Cancer-associated thrombosis: Updates and controversies. Hematol. Am. Soc. Hematol. Educ. Program 2012, 2012, 626–630. [Google Scholar] [CrossRef]
  6. Yuri, T.; Kato, K.; Hirohara, J.; Kinoshita, Y.; Emoto, Y.; Yuki, M.; Yoshizawa, K.; Tsubura, A. Trousseau’s Syndrome Caused by Intrahepatic Cholangiocarcinoma: An Autopsy Case Report and Literature Review. Case Rep. Oncol. 2014, 7, 376–382. [Google Scholar] [CrossRef]
  7. Liang, B.; Zhong, L.; He, Q.; Wang, S.; Pan, Z.; Wang, T.; Zhao, Y. Diagnostic Accuracy of Serum CA19-9 in Patients with Cholangiocarcinoma: A Systematic Review and Meta-Analysis. Int. J. Clin. Exp. Med. 2015, 8, 17820–17828. [Google Scholar] [CrossRef]
  8. Tang, R.S.Y. Endoscopic evaluation of indeterminate biliary strictures: Cholangioscopy, endoscopic ultrasound, or both? Dig. Endosc. 2024, 36, 778–788. [Google Scholar] [CrossRef]
  9. Mauro, A.; Mazza, S.; Scalvini, D.; Lusetti, F.; Bardone, M.; Quaretti, P.; Cobianchi, L.; Anderloni, A. The Role of Cholangioscopy in Biliary Diseases. Diagnostics 2023, 13, 2933. [Google Scholar] [CrossRef] [PubMed]
  10. Uppot, R.N. Technical challenges of imaging & image-guided interventions in obese patients. Br. J. Radiol. 2018, 91, 20170931. [Google Scholar] [CrossRef]
  11. Ietto, G.; Amico, F.; Pettinato, G.; Iori, V.; Carcano, G. Laparoscopy in Emergency: Why Not? Advantages of Laparoscopy in Major Emergency: A Review. Life 2021, 11, 917. [Google Scholar] [CrossRef] [PubMed]
  12. Navaneethan, U.; Hasan, M.K.; Lourdusamy, V.; Njei, B.; Varadarajulu, S.; Hawes, R.H. Single-operator cholangioscopy and targeted biopsies in the diagnosis of indeterminate biliary strictures: A systematic review. Gastrointest. Endosc. 2015, 82, 608–614.e2. [Google Scholar] [CrossRef] [PubMed]
  13. Portillo-Romero, A.; Cuevas-Medina, E.; Ana-Bayona, M.J.S.; Saenz-Ancira, S. Acute pulmonary tumour embolism and right systolic dysfunction in a hidden intrahepatic cholangiocarcinoma: Case report. Eur. Heart J. Case Rep. 2023, 7, ytad29. [Google Scholar] [CrossRef]
  14. Toti, L.; Manzia, T.M.; Di Giuliano, F.; Picchi, E.; Tariciotti, L.; Pedini, D.; Savino, L.; Tisone, G.; Angelico, R. Intraductal Papillary Neoplasms of the Bile Duct: Clinical Case Insights and Literature Review. Clin. Pract. 2024, 14, 1669–1681. [Google Scholar] [CrossRef]
  15. Isayama, H.; Hamada, T.; Fujisawa, T.; Fukasawa, M.; Hara, K.; Irisawa, A.; Ishii, S.; Ito, K.; Itoi, T.; Kanno, Y.; et al. TOKYO criteria 2024 for the assessment of clinical outcomes of endoscopic biliary drainage. Dig. Endosc. 2024, 36, 1195–1210. [Google Scholar] [CrossRef]
  16. van Es, N.; Le Gal, G.; Otten, H.-M.; Robin, P.; Piccioli, A.; Lecumberri, R.; Jara-Palomares, L.; Religa, P.; Rieu, V.; Rondina, M.; et al. Screening for Occult Cancer in Unprovoked Venous Thromboembolism. Annu. Intern. Med. 2018, 168, 143–145. [Google Scholar] [CrossRef]
  17. Delluc, A.; Antic, D.; Lecumberri, R.; Ay, C.; Meyer, G.; Carrier, M. Occult cancer screening in patients with venous thromboembolism: Guidance from the SSC of the ISTH. J. Thromb. Haemost. 2017, 15, 2076–2079. [Google Scholar] [CrossRef] [PubMed]
  18. NICE Guidelines. Venous Thromboembolic Diseases: Diagnosis, Management and Thrombophilia Testing. Available online: https://www.ncbi.nlm.nih.gov/books/NBK556698/ (accessed on 17 July 2025).
  19. Ohaegbulam, K.C.; Koethe, Y.; Fung, A.; Mayo, S.C.; Grossberg, A.J.; Chen, E.Y.; Sharzehi, K.; Kardosh, A.; Farsad, K.; Rocha, F.G.; et al. The multidisciplinary management of cholangiocarcinoma. Cancer 2023, 129, 184–214. [Google Scholar] [CrossRef] [PubMed]
  20. Majewski, W. Diagnostic laparoscopy for the acute abdomen and trauma. Surg. Endosc. 2000, 14, 930–937. [Google Scholar] [CrossRef] [PubMed]
  21. Singer, M.; Deutschman, C.S.; Seymour, C.W.; Shankar-Hari, M.; Annane, D.; Bauer, M.; Bellomo, R.; Bernard, G.R.; Chiche, J.D.; Coopersmith, C.M.; et al. The third international consensus definitions for sepsis and septic shock (Sepsis-3). JAMA 2016, 315, 801–810. [Google Scholar] [CrossRef]
  22. Affarah, L.; Berry, P.; Kotha, S. Still elusive: Developments in the accurate diagnosis of indeterminate biliarystrictures. World J. Gastrointest. Endosc. 2024, 16, 297–304. [Google Scholar] [CrossRef]
  23. Roberts, K.E.; Hamele-Bena, D.; Saqi, A.; Stein, C.A.; Cole, R.P. Pulmonary tumor embolism: A review of the literature. Am. J. Med. 2003, 115, 228–232. [Google Scholar] [CrossRef] [PubMed]
  24. Elias, C.; Rahman, A.; Mial-Anthony, J.; Packiaraj, G.; Crane, A.; Alshamery, S.; Ganoza, A.; Gunabushanam, V.; Powers, C.; Dharmayan, S.; et al. Advancements in cholangiocarcinoma: Evolving strategies for diagnosis, treatment, and palliation over three decades. Chin. Clin. Oncol. 2024, 13, 70. [Google Scholar] [CrossRef] [PubMed]
  25. Zhang, D.; Shen, T.; Gao, F.; Sun, Y.; Dai, Z.; Luo, H.; Sun, Y.; Yang, Z.; Gu, J. Endoscopic treatment of unresectable perihilar cholangiocarcinoma: Beyond biliary drainage. Ther. Adv. Gastroenterol. 2025, 18, 17562848251328595. [Google Scholar] [CrossRef] [PubMed]
Figure 1. Abdominal ultrasound (13.02.2025): gallbladder microlithiasis, no bile duct dilation.
Figure 1. Abdominal ultrasound (13.02.2025): gallbladder microlithiasis, no bile duct dilation.
Livers 05 00040 g001
Figure 2. First ERCP (14.02.2025): normal bile ducts, no strictures or filling defects.
Figure 2. First ERCP (14.02.2025): normal bile ducts, no strictures or filling defects.
Livers 05 00040 g002
Figure 3. CT scan (18.02.2025): discrete hilar duct dilation, no visible mass.
Figure 3. CT scan (18.02.2025): discrete hilar duct dilation, no visible mass.
Livers 05 00040 g003
Figure 4. Second ERCP (18.02.2025): no obstruction, plastic stent inserted empirically.
Figure 4. Second ERCP (18.02.2025): no obstruction, plastic stent inserted empirically.
Livers 05 00040 g004
Figure 5. Third ERCP (25.02.2025): chain of short, irregular hilar strictures, suspected infiltration. (with long red arrows—pronounced alternation of dilated duct and stenosi, short arrows—subtle irregularities of the choledocus wall).
Figure 5. Third ERCP (25.02.2025): chain of short, irregular hilar strictures, suspected infiltration. (with long red arrows—pronounced alternation of dilated duct and stenosi, short arrows—subtle irregularities of the choledocus wall).
Livers 05 00040 g005
Figure 6. Digital cholangioscopy (25.02.2025): irregular, friable mucosa at hilar confluence.
Figure 6. Digital cholangioscopy (25.02.2025): irregular, friable mucosa at hilar confluence.
Livers 05 00040 g006
Figure 7. CT scan (1.03.2025): no duct dilation, stent in situ, no new findings. A: anterior.
Figure 7. CT scan (1.03.2025): no duct dilation, stent in situ, no new findings. A: anterior.
Livers 05 00040 g007
Figure 8. Laparoscopy (4.03.2025)—no cirrhosis, no cholecystitis, no abscess.
Figure 8. Laparoscopy (4.03.2025)—no cirrhosis, no cholecystitis, no abscess.
Livers 05 00040 g008
Figure 9. Histopathology (autopsy): periductal carcinoma arising from the right Ductus hepaticus (top, Periodic acid Schiff, 200×) showing perineural invasion (bottom left, hematoxylin & eosin, 400×) and vascular invasion (bottom right, Elastica van Gieson, 200×).
Figure 9. Histopathology (autopsy): periductal carcinoma arising from the right Ductus hepaticus (top, Periodic acid Schiff, 200×) showing perineural invasion (bottom left, hematoxylin & eosin, 400×) and vascular invasion (bottom right, Elastica van Gieson, 200×).
Livers 05 00040 g009
Figure 10. Histopathology (autopsy): carcinoma infiltration arising from the left hepatic duct (H&E, 50×).
Figure 10. Histopathology (autopsy): carcinoma infiltration arising from the left hepatic duct (H&E, 50×).
Livers 05 00040 g010
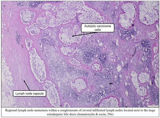
Figure 11. Histopathology (autopsy): Regional lymph-node metastasis within a conglomerate of several infiltrated lymph nodes located next to the large extrahepatic bile ducts (hematoxylin & eosin, 50×).
Figure 11. Histopathology (autopsy): Regional lymph-node metastasis within a conglomerate of several infiltrated lymph nodes located next to the large extrahepatic bile ducts (hematoxylin & eosin, 50×).
Livers 05 00040 g011
Figure 12. Histopathology (autopsy): Pulmonary embolism in the lower lobe (left, hematoxylin & eosin, 100×) and upper lobe of the right lung (right, hematoxylin & eosin, 100×) with evidence of tumor embolism.
Figure 12. Histopathology (autopsy): Pulmonary embolism in the lower lobe (left, hematoxylin & eosin, 100×) and upper lobe of the right lung (right, hematoxylin & eosin, 100×) with evidence of tumor embolism.
Livers 05 00040 g012
Disclaimer/Publisher’s Note: The statements, opinions and data contained in all publications are solely those of the individual author(s) and contributor(s) and not of MDPI and/or the editor(s). MDPI and/or the editor(s) disclaim responsibility for any injury to people or property resulting from any ideas, methods, instructions or products referred to in the content.

Share and Cite

MDPI and ACS Style

Strain, M.H.; Koch, M.; Salayma, B.; Byambaa, L.; Wylenga, S.; Müller, S.; Intemann, C.D.; König, J. Shades of Gray: Diagnostic Challenges and Fatal Tumor Thromboembolism in Periductal-Infiltrating Perihilar Cholangiocarcinoma—Case Report with Autopsy Findings. Livers 2025, 5, 40. https://doi.org/10.3390/livers5030040

AMA Style

Strain MH, Koch M, Salayma B, Byambaa L, Wylenga S, Müller S, Intemann CD, König J. Shades of Gray: Diagnostic Challenges and Fatal Tumor Thromboembolism in Periductal-Infiltrating Perihilar Cholangiocarcinoma—Case Report with Autopsy Findings. Livers. 2025; 5(3):40. https://doi.org/10.3390/livers5030040

Chicago/Turabian Style

Strain, Mihnea Horia, Maike Koch, Basem Salayma, Lkhagvadorj Byambaa, Sven Wylenga, Sven Müller, Christopher D. Intemann, and Johannes König. 2025. "Shades of Gray: Diagnostic Challenges and Fatal Tumor Thromboembolism in Periductal-Infiltrating Perihilar Cholangiocarcinoma—Case Report with Autopsy Findings" Livers 5, no. 3: 40. https://doi.org/10.3390/livers5030040

APA Style

Strain, M. H., Koch, M., Salayma, B., Byambaa, L., Wylenga, S., Müller, S., Intemann, C. D., & König, J. (2025). Shades of Gray: Diagnostic Challenges and Fatal Tumor Thromboembolism in Periductal-Infiltrating Perihilar Cholangiocarcinoma—Case Report with Autopsy Findings. Livers, 5(3), 40. https://doi.org/10.3390/livers5030040

Article Metrics

Back to TopTop