Abstract
Background: As transgender people initiate gender-affirming hormone therapy (GAHT), they are exposed to exogenous sex hormones that have effects that have not yet been fully studied. While exogenous estrogen is associated with a risk of venous thrombosis, the full impact of estrogen on the liver is unknown. Conversely, the erroneous attribution of risks from GAHT presents a barrier to treatment for some patients. We present a case of obliterative portal venopathy (OPV) and possible DILI occurring after the initiation of estrogen in a transgender woman. Case presentation: A 28-year-old transgender woman on GAHT was referred to hepatology for liver enzyme elevations. She did not have any notable comorbid conditions, family history, or psychosocial history. Lab and imaging workup were unremarkable, and the patient underwent liver biopsy. The patient’s biopsy results showed OPV. The patient continued GAHT at a lower dose and liver enzyme elevations resolved. Conclusions: OPV is a vascular disease that falls under the category of porto-sinusoidal vascular disorder. Patients with this condition can present with or without overt clinical signs of portal hypertension. Porto-sinusoidal vascular disorder is rare and given the timing and possible dose dependence, it might be reasonable to consider that the observed OPV was influenced by the exogenous estrogen administered in an association not previously reported. Alternatively, the patient’s continued estrogen treatment without ill effect could suggest that the events were not connected and that the fear of harm could have served as a barrier to the patient receiving indicated care.
1. Introduction
Transgender people are a heterogenous group broadly defined as those whose gender differs from the sex recorded at birth after an examination of external genitalia [1]. Studies estimate that approximately 0.6% or more of the United States population is transgender [2,3]. Although not all transgender patients desire gender-affirming medical or surgical treatment, hormone therapy is an important aspect of care for many individuals. It is recommended that gender-affirming hormone therapy (GAHT) should be initiated in transgender and gender-diverse patients who seek it.
With respect to individuals undergoing transfeminine hormone therapy, the primary hormone administered is estrogen. Estrogen administration requires routine lab evaluation when titrating GAHT and 1–2 times per year when on stable doses [3]. Exogenous estrogen therapy has well-known risks such as venous thromboembolism, and caution is recommended for patients with a positive history. Estrogen has also been linked to liver tumors, with early formulations also being associated with liver enzyme elevations. Current forms of estrogen therapy have not been definitively linked to acute or chronic liver injury [4].
Morbidity in transgender people may be erroneously attributed to hormone therapy. Other than VTE risk with exogenous estrogen, the morbidity observed in transgender and gender-diverse people as a cross-section of society to date has been associated with social determinants of health and with exogenous progestin therapy rather than estrogen therapy [5].
Several studies have shown no adverse hepatic effects of estradiol [6,7]. Conversely, other studies have highlighted hepatotoxicity as a major concern with estrogen therapy and recommend routine monitoring of liver function [8]. Herein, we present a case of alanine transaminase (ALT) and aspartate transaminase (AST) elevations and biopsy-proven obliterative portal venopathy (OPV) after the initiation of estrogen as GAHT.
2. Case Presentation
A previously healthy 28-year-old transgender woman was referred to hepatology by endocrinology for new onset ALT and AST elevations (ALT 98, AST 38) from previously normal levels. Repeat labs showed the following markers: ALT of 68, AST of 32, alkaline phosphatase of 73, gamma-glutamyl transferase of 9, total bilirubin of 0.5, albumin of 4.9, and international normalized ratio of 1.1. Her review of systems was notable for constipation, abdominal pain, and rectal bleeding. She had also undergone a negative workup with cardiology for dizziness and chest pressure. Her medical history was remarkable given the initiation of estrogen in 2019 with a drug holiday and the resumption of consistent estrogen administration in 2021. Serial monitoring of serum estradiol levels and liver enzymes was conducted while the patient was receiving hormone therapy (Figure 1).
Figure 1.
Serum estradiol and ALT levels over time. Estrogen therapy was initiated in October 2019. Therapy was discontinued by the patient in 2020 and restarted in December 2021. The route of estrogen was changed from IM to transdermal after liver biopsy showed OPV in July 2023. (print in color).
Surgical history was notable for hernia repair in infancy. Family history was non-contributory and negative for liver, autoimmune, and hematologic disease. Psychosocial history was notable for infrequent alcohol use, no smoking, and no intravenous drug use. Medications included IM estradiol, spironolactone, and a multivitamin. She started estradiol 2 mg orally twice daily in October 2019 and discontinued the medication at some point in 2020. She restarted the same dose in December 2021 and increased to estradiol 6 mg orally daily in July 2022. The route and dose were changed to estradiol 4 mg IM weekly in October 2022 based on patient preference and then decreased to estrogen 3 mg IM weekly in December 2022 due to an elevated serum estradiol level of 300 pg/mL.
Hepatology evaluation was conducted over telehealth and the physical exam was unremarkable. Hepatitis A, B, and C along HIV, CMV, and EBV serologies were unrevealing. Thyroid studies, iron studies, ceruloplasmin, alpha-1-antitrypsin, ANA, AMA, SPEP, creatine kinase, and aldolase were all unremarkable. The actin smooth muscle antibody was weakly positive. Abdominal ultrasound revealed mild hepatic heterogeneous echogenicity without hepatosplenomegaly, and liver elastography was negative for steatosis or fibrosis.
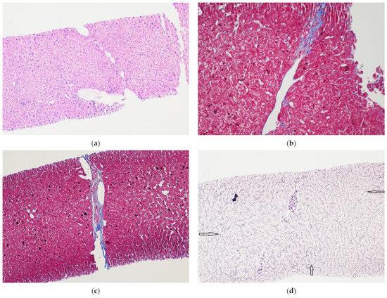
ALT and AST levels remained elevated, and the patient was recommended to undergo liver biopsy due to a lack of diagnostic certainty and concern for conditions such as autoimmune hepatitis and DILI. The patient underwent percutaneous liver biopsy in July 2023. Histologic evaluation demonstrated no steatosis or fibrosis, but showed dystrophic portal veins, paraportal shunt formation, and an increased number of draining veins consistent with OPV. Reticulin stain also confirmed the presence of nodular regenerative hyperplasia (NRH) (Figure 2).
Figure 2.
(a) H&E shows a portal tract with a massively enlarged portal vein in relation to its size. A second portal tract above it shows multiple vascular structures indicative of the formation of paraportal shunts. (b) A longitudinally sectioned portal tract with the portal vein herniated out into the parenchyma. (c) A portal tract with two portal vein structures at both ends. (d) Reticulin stain shows a nodule composed of 2-cell-thick hepatocytes and bordered by mildly atrophic hepatocyte plates (arrows). (print in color).
The timing and dose dependence of the ALT elevation raised the concern for DILI caused by systemic estrogen treatment. The patient was recommended to stop estrogen by endocrinology. She desired to continue the medication, however, and the decision was made to switch to estradiol 0.1 mg transdermal twice weekly with close follow-up with endocrinology and hepatology. This decision was made to reduce peak hormone levels as compared to IM dosing. Repeat labs in December 2023 showed normalized hepatic enzyme levels (ALT 32, AST 21).
3. Discussion
Idiopathic non-cirrhotic portal hypertension (INCPH) is a rare but increasingly recognized condition that is broadly characterized by intrahepatic portal hypertension (PH) without cirrhosis [9,10,11]. INCPH can present with heterogeneous liver histology including OPV, NRH, and incomplete septal cirrhosis [10]. As in this case, OPV and NRH are often found together, with NRH generally thought to arise secondarily to OPV [12]. This condition can manifest clinically as the sequelae of PH with normal to moderately elevated liver enzymes and preserved liver function. Variceal bleeding is a relatively common initial presentation of INCPH, while ascites and hepatic encephalopathy are less common [13]. However, there are increasing numbers of patients found to have these histologic findings without clinical evidence of PH [11,13]. Thus, there have been efforts to refine and standardize the definition of INCPH. Gottardi et al. (2019) proposed “porto-sinusoidal vascular disorder” as a novel term to encompass INCPH, OPV, and NRH. The pathogenesis of PSVD is not fully understood, but has been associated with drugs, thrombophilia, infections, and hereditary disease [12,13]. Azathioprine and other antimetabolites, HIV medications such as didanosine, isoplatin, and vitamin A have all been associated with PSVD [4].
The definition of PSVD includes the absence of cirrhosis in liver biopsy and the presence of specific or non-specific histological findings with or without portal hypertension [13]. OPV, NRH, and incomplete septal fibrosis all represent specific histological findings of PSVD. Generally, PSVD is asymptomatic, as in this case, until patients experience a complication of portal hypertension. Laboratory findings may show moderately increased transaminases, but typically demonstrate preserved synthetic function with normal albumin and bilirubin levels [13,14,15]. Thus, it is important to suspect PSVD in cases of portal hypertension without a clear etiology of cirrhosis or in patients with unexplained transaminase elevations. A biopsy may be warranted in these cases since the diagnosis of PSVD requires histologic examination of the liver.
In this case, there was low suspicion for clinically significant PH, with the histologic findings of OPV and NRH falling under the broader category of PSVD. This patient had no clinical signs of hepatic decompensation to suggest PH. She had mildly elevated transaminases but did not have any biochemical markers to suggest impaired liver function. She also lacked imaging findings of portosystemic shunting or splenomegaly. As her liver biopsy excluded cirrhosis and had multiple histological findings specific for PSVD (OPV and NRH), she was diagnosed with PSVD.
There are currently limited data regarding the natural history and clinical course of PSVD. It does appear that under the broader definition of PSVD, patients without clinical evidence of PH have significantly more favorable morbidity and mortality outcomes when compared to those with evidence of PH [16]. However, given the fact that many patients with PSVD such as this one are young, and that hepatic decompensation has been seen, PSVD remains an important disease entity that warrants proactive monitoring and management.
The relationship between estrogen and liver disease is unclear. Common benign liver tumors such as hemangioma, focal nodular hyperplasia, and adenoma have all been reported to be connected to estrogen exposure, but this association is controversial [17,18]. Some studies have reported a possible dose-dependent link between ALT elevation and exogenous estrogen [19], with chronic exogenous estrogen also being reported with vascular liver conditions such as sinusoidal dilatation and peliosis hepatitis [4]. However, many other studies have not found a link between endogenous or exogenous estrogen and PSVD or vascular disorders in general [20,21]. Interestingly, some studies have even shown that exogenous estrogen exerts a suppressive effect on liver enzyme elevations in both patients with Turner syndrome and those with XX karyotypes [22].
The route of administration may impact the pharmacokinetics and pharmacodynamics of estrogen. While oral estrogen undergoes first-pass metabolism by the liver, parenteral formulations bypass the liver and deliver estradiol directly to the systemic circulation [23,24]. The clinical implication of this difference is not known.
In this patient, the ALT elevation did not correlate with the estrogen initiation but appeared associated with recorded levels of serum estradiol. ALT subsequently normalized despite the patient declining to suspend estrogen use, although the dose delivered via a patch may have been less than the dose delivered intramuscularly. It is possible that this case represented dose-dependent DILI caused by estrogen. The patient’s Roussel Uclaf Causality Assessment Method score was 5, which indicates “possible” estrogen-related DILI. PSVD has a known association with prothrombotic conditions such as protein C deficiency, which suggests that hypercoagulable states may play a role in its pathogenesis [13]. It is therefore also possible that this patient may have had an unknown prothrombotic state exacerbated by exogenous estrogen. It is currently unknown if this patient had an underlying hypercoagulable condition, however. Finally, it is possible that the two events are not related since the ALT elevation resolved with the patient still taking exogenous estrogen.
While both endogenous and exogenous estrogen exhibits pleiotropic effects on the liver, our case presents a knowledge gap specifically regarding estrogen, PSVD, and DILI. Our case was unique in that it may have represented a novel association between estrogen initiation and liver disease in a transgender individual. It is also possible that our observation was coincidental. There is a need for further research into the interplay between estrogen and vascular liver disease.
Author Contributions
Conceptualization, N.B. and T.D.S.; methodology, N.B, T.D.S., J.D.S. and N.S.A.; data curation, N.B. and A.H.S.; writing—original draft preparation, N.S.A.; writing—review and editing, N.S.A., T.D.S., J.D.S., M.I.F., A.H.S. and N.B. All authors have read and agreed to the published version of the manuscript.
Funding
This research received no external funding.
Institutional Review Board Statement
Ethical review and approval were waived for this study as this case is intended to develop information to be shared for medical or educational purposes and does not contribute to generalizable knowledge about a disease or condition.
Informed Consent Statement
Written informed consent has been obtained from the patient(s) to publish this paper.
Data Availability Statement
The original contributions presented in the study are included in the article, further inquiries can be directed to the corresponding author.
Conflicts of Interest
The authors declare no conflicts of interest.
Abbreviations
| ALT | alanine transaminase |
| AST | aspartate transaminase |
| GAHT | gender-affirming hormone therapy |
| INCPH | idiopathic non-cirrhotic portal hypertension |
| NRH | nodular regenerative hyperplasia |
| OPV | obliterative portal venopathy |
| PH | portal hypertension |
| PSVD | porto-sinusoidal vascular disorder |
References
- Safer, J.D.; Tangpricha, V. Care of the Transgender Patient. Ann. Intern. Med. 2019, 171, ITC1–ITC16. [Google Scholar] [CrossRef] [PubMed]
- Flores, A.R.; Herman, J.L.; Gates, G.J.; Brown, T.N.T. How Many Adults Identify as Transgender in the United States? The Williams Institute: Los Angeles, CA, USA, 2016. [Google Scholar]
- Coleman, E.; Radix, A.E.; Bouman, W.P.; Brown, G.R.; de Vries, A.L.C.; Deutsch, M.B.; Ettner, R.; Fraser, L.; Goodman, M.; Green, J.; et al. Standards of Care for the Health of Transgender and Gender Diverse People, Version 8. Int. J. Transgend. Health 2022, 23 (Suppl. S1), S1–S259. [Google Scholar] [CrossRef] [PubMed]
- Estrogens and Oral Contraceptives. In LiverTox: Clinical and Research Information on Drug-Induced Liver Injury; National Institute of Diabetes and Digestive and Kidney Diseases: Bethesda, MD, USA, 2020.
- Safer, J.D. Research gaps in medical treatment of transgender/nonbinary people. J. Clin. Investig. 2021, 131, e142029. [Google Scholar] [CrossRef] [PubMed]
- Hashemi, L.; Zhang, Q.; Getahun, D.; Jasuja, G.K.; McCracken, C.; Pisegna, J.; Roblin, D.; Silverberg, M.J.; Tangpricha, V.; Vupputuri, S.; et al. Longitudinal Changes in Liver Enzyme Levels among Transgender People Receiving Gender Affirming Hormone Therapy. J. Sex. Med. 2021, 18, 1662–1675. [Google Scholar] [CrossRef] [PubMed]
- Stangl, T.A.; Wiepjes, C.M.; Defreyne, J.; Conemans, E.; Fisher, A.D.; Schreiner, T.; T’Sjoen, G.; den Heijer, M. Is there a need for liver enzyme monitoring in people using gender-affirming hormone therapy? Eur. J. Endocrinol. 2021, 184, 513–520. [Google Scholar] [CrossRef] [PubMed]
- Milionis, C.; Ilias, I.; Koukkou, E. Liver function in transgender persons: Challenges in the COVID-19 era. World J. Clin. Cases 2023, 11, 299–307. [Google Scholar] [CrossRef] [PubMed]
- Schouten, J.N.; Garcia-Pagan, J.C.; Valla, D.C.; Janssen, H.L. Idiopathic noncirrhotic portal hypertension. Hepatology 2011, 54, 1071–1081. [Google Scholar] [CrossRef] [PubMed]
- Schouten, J.N.; Verheij, J.; Seijo, S. Idiopathic non-cirrhotic portal hypertension: A review. Orphanet J. Rare Dis. 2015, 10, 67. [Google Scholar] [CrossRef] [PubMed]
- De Gottardi, A.; Rautou, P.-E.; Schouten, J.; Rubbia-Brandt, L.; Leebeek, F.; Trebicka, J.; Murad, S.D.; Vilgrain, V.; Hernandez-Gea, V.; Nery, F.; et al. Porto-sinusoidal vascular disease: Proposal and description of a novel entity. Lancet Gastroenterol. Hepatol. 2019, 4, 399–411. [Google Scholar] [CrossRef] [PubMed]
- Fiel, M.I.; Schiano, T.D. Idiopathic noncirrhotic portal hypertension. Semin. Diagn. Pathol. 2019, 36, 395–403. [Google Scholar] [CrossRef] [PubMed]
- De Gottardi, A.; Sempoux, C.; Berzigotti, A. Porto-sinusoidal vascular disorder. J. Hepatol. 2022, 77, 1124–1135. [Google Scholar] [CrossRef] [PubMed]
- Cazals-Hatem, D.; Hillaire, S.; Rudler, M.; Plessier, A.; Paradis, V.; Condat, B.; Francoz, C.; Denninger, M.-H.; Durand, F.; Bedossa, P.; et al. Obliterative portal venopathy: Portal hypertension is not always present at diagnosis. J. Hepatol. 2011, 54, 455–461. [Google Scholar] [CrossRef] [PubMed]
- Guido, M.; Sarcognato, S.; Sonzogni, A.; Lucà, M.G.; Senzolo, M.; Fagiuoli, S.; Ferrarese, A.; Pizzi, M.; Giacomelli, L.; Colloredo, G. Obliterative portal venopathy without portal hypertension: An underestimated condition. Liver Int. 2016, 36, 454–460. [Google Scholar] [CrossRef] [PubMed]
- Wöran, K.; Semmler, G.; Jachs, M.; Simbrunner, B.; Bauer, D.J.M.; Binter, T.; Pomej, K.; Stättermayer, A.F.; Schwabl, P.; Bucsics, T.; et al. Clinical Course of Porto-Sinusoidal Vascular Disease Is Distinct from Idiopathic Noncirrhotic Portal Hypertension. Clin. Gastroenterol. Hepatol. 2022, 20, e251–e266. [Google Scholar] [CrossRef] [PubMed]
- Giannitrapani, L.; Soresi, M.; La Spada, E.; Cervello, M.; D’Alessandro, N.; Montalto, G. Sex hormones and risk of liver tumor. Ann. N. Y. Acad. Sci. 2006, 1089, 228–236. [Google Scholar] [CrossRef] [PubMed]
- Perarnau, J.M.; Bacq, Y. Hepatic vascular involvement related to pregnancy, oral contraceptives, and estrogen replacement therapy. Semin. Liver Dis. 2008, 28, 315–327. [Google Scholar] [CrossRef] [PubMed]
- Lindgren, A.; Olsson, R. Liver damage from low-dose oral contraceptives. J. Intern. Med. 1993, 234, 287–292. [Google Scholar] [CrossRef] [PubMed]
- Zanetto, A.; Cossiga, V.; Shalaby, S.; Guarino, M.; Invernizzi, F.; Lapenna, L.; Becchetti, C.; Morisco, F.; Morelli, M.C.; Merli, M.; et al. Vascular liver diseases: A sex-oriented analysis of the literature. Dig. Liver Dis. 2023, 55, 178–186. [Google Scholar] [CrossRef] [PubMed]
- Roulot, D.; Degott, C.; Chazouill, O.; Oberti, F.; Cal, P.; Carbonell, N.; Benferhat, S.; Bresson-Hadni, S.; Valla, D. Vascular involvement of the liver in Turner’s syndrome. Hepatology 2004, 39, 239–247. [Google Scholar] [CrossRef] [PubMed]
- Koulouri, O.; Ostberg, J.; Conway, G.S. Liver dysfunction in Turner’s syndrome: Prevalence, natural history and effect of exogenous oestrogen. Clin. Endocrinol. 2008, 69, 306–310. [Google Scholar] [CrossRef] [PubMed]
- Balfour, J.A.; Heel, R.C. Transdermal estradiol. A review of its pharmacodynamic and pharmacokinetic properties, and therapeutic efficacy in the treatment of menopausal complaints. Drugs 1990, 40, 561–582. [Google Scholar] [CrossRef] [PubMed]
- von Schoultz, B. Oestrogen therapy: Oral versus non-oral administration. Gynecol. Endocrinol. 2009, 25, 551–553. [Google Scholar] [CrossRef] [PubMed]
Disclaimer/Publisher’s Note: The statements, opinions and data contained in all publications are solely those of the individual author(s) and contributor(s) and not of MDPI and/or the editor(s). MDPI and/or the editor(s) disclaim responsibility for any injury to people or property resulting from any ideas, methods, instructions or products referred to in the content. |
© 2024 by the authors. Licensee MDPI, Basel, Switzerland. This article is an open access article distributed under the terms and conditions of the Creative Commons Attribution (CC BY) license (https://creativecommons.org/licenses/by/4.0/).

