Serendipity in Medicine-Elevated Immunoglobulin E Levels Associated with Excess Alcohol Consumption
Abstract
1. Introduction
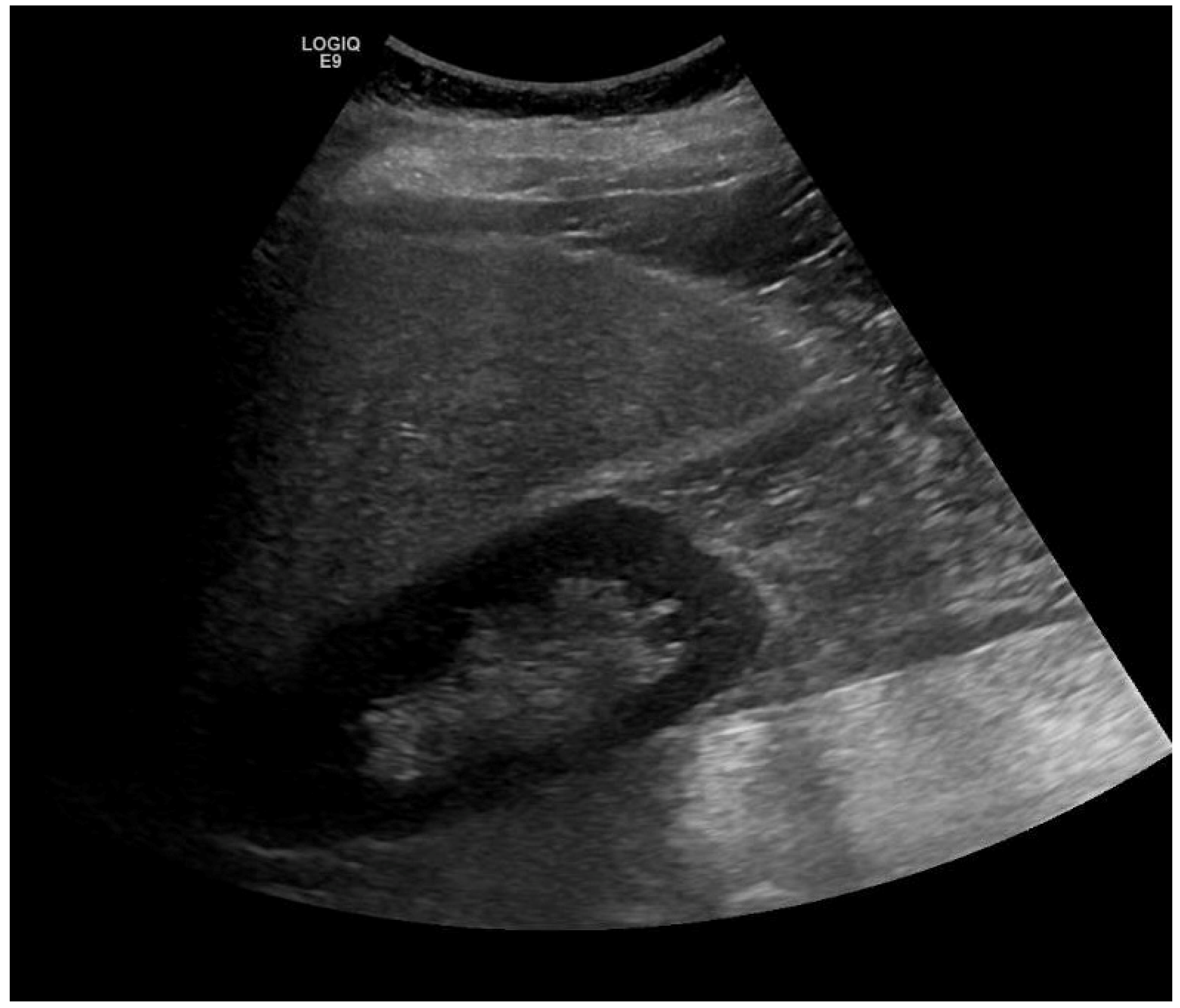
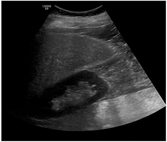
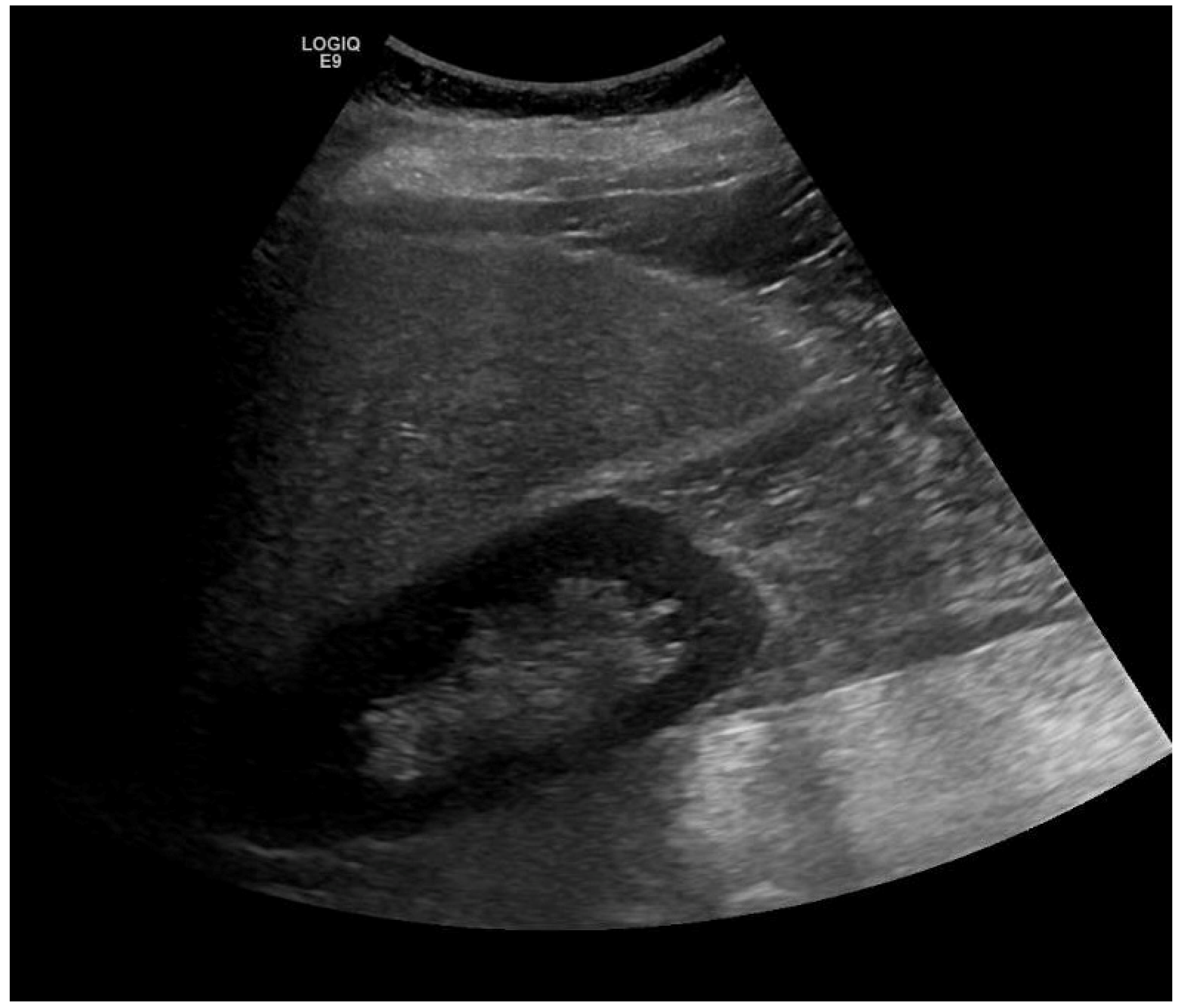
2. Case Report
3. Discussion
Author Contributions
Funding
Institutional Review Board Statement
Informed Consent Statement
Data Availability Statement
Conflicts of Interest
Abbreviations
| ALD | Alcoholic liver disease |
| ALT | Alanine aminotransferase |
| ASH | Alcoholic steatohepatitis |
| AST | Aspartate amino transferase |
| AUD | Alcohol use disorders |
| CDT | Carbohydrate transferrin deficiency |
| MAFLD | Metabolic-associated liver disease |
| MASLD | Metabolic dysfunction-associated steatotic liver disease |
| MASH | Metabolic dysfunction-associated steatohepatitis = NASH |
| MetALD | MASLD (patients consume more than 140 g alcohol/week for women/210 g/week for men) |
| MetS | Metabolic syndrome |
| NAFLD | Nonalcoholic fatty liver disease |
| PTSD | Post-traumatic stress disorder |
References
- Park, S.H.; Ishino, R. Liver injury associated with antidepressants. Curr. Drug Saf. 2013, 8, 207–223. [Google Scholar] [CrossRef]
- Billioti de Gage, S.; Collin, C.; Le-Tri, T.; Pariente, A.; Bégaud, B.; Verdoux, H.; Dray-Spira, R.; Zureik, M. Antidepressants and Hepatotoxicity: A Cohort Study among 5 Million Individuals Registered in the French National Health Insurance Database. CNS Drugs 2018, 32, 673–684. [Google Scholar] [CrossRef]
- Hällgren, R.; Lundin, L. Increased total serum IgE in alcoholics. Acta Med. Scand. 1983, 213, 99–103. [Google Scholar] [CrossRef]
- Gonzalez-Quintela, A.; Vidal, C.; Gude, F. Alcohol, IgE and allergy. Addict. Biol. 2004, 9, 195–204. [Google Scholar] [CrossRef] [PubMed]
- Gonzalez-Quintela, A.; Vidal, C.; Gude, F.; Tome, S.; Lojo, S.; Lorenzo, M.J.; Becerra, E.P.; Martinez-Vazquez, J.M.; Barrio, E. Increased serum IgE in alcohol abusers. Clin. Exp. Allergy 1995, 25, 756–764. [Google Scholar] [CrossRef]
- González-Quintela, A.; Otero-Antón, E.; Barrio, E.; Vidal, C.; Lojo, S.; Pérez, L.F.; Gude, F. Serum cytokines and increased total serum IgE in alcoholics. Ann. Allergy Asthma Immunol. Off. Publ. Am. Coll. Allergy Asthma Immunol. 1999, 83, 61–67. [Google Scholar] [CrossRef] [PubMed]
- Domínguez-Santalla, M.J.; Vidal, C.; Viñuela, J.; Pérez, L.F.; González-Quintela, A. Increased serum IgE in alcoholics: Relationship with Th1/Th2 cytokine production by stimulated blood mononuclear cells. Alcohol. Clin. Exp. Res. 2001, 25, 1198–1205. [Google Scholar] [CrossRef]
- Campos, J.; Gude, F.; Quinteiro, C.; Vidal, C.; Gonzalez-Quintela, A. Gene by environment interaction: The -159C/T polymorphism in the promoter region of the CD14 gene modifies the effect of alcohol consumption on serum IgE levels. Alcohol. Clin. Exp. Res. 2006, 30, 7–14. [Google Scholar] [CrossRef] [PubMed]
- Linneberg, A.; Petersen, J.; Nielsen, N.H.; Madsen, F.; Frølund, L.; Dirksen, A.; Jørgensen, T. The relationship of alcohol consumption to total immunoglobulin E and the development of immunoglobulin E sensitization: The Copenhagen Allergy Study. Clin. Exp. Allergy J. Br. Soc. Allergy Clin. Immunol. 2003, 33, 192–198. [Google Scholar] [CrossRef] [PubMed]
- González-Quintela, A.; Gude, F.; Boquete, O.; Rey, J.; Meijide, L.M.; Suarez, F.; Fernandez-Merino, M.C.; Perez, L.F.; Vidal, C. Association of alcohol consumption with total serum immunoglobulin E levels and allergic sensitization in an adult population-based survey. Clin. Exp. Allergy J. Br. Soc. Allergy Clin. Immunol. 2003, 33, 199–205. [Google Scholar] [CrossRef]
- Coutinho, V.; Vidal, C.; Vizcaino, L.; Gonzalez-Quintela, A. Effect of alcohol consumption and cessation on serum total immunoglobulin E concentrations. J. Investig. Allergol. Clin. Immunol. 2011, 21, 327–329. [Google Scholar]
- Levo, Y.; Shalit, M. Serum IgE levels in patients with liver disease. Ann. Allergy 1981, 47, 456–459. [Google Scholar]
- González-Quintela, A.; Alende, M.R.; Lojo, S.; Perez, L.F.; Padin, E.; Tome, S.; Vidal, C. Total serum IgE levels in chronic hepatitis C: Influence of interferon alpha therapy. Int. Arch. Allergy Immunol. 2001, 125, 176–181. [Google Scholar] [CrossRef] [PubMed]
- Minuk, G.Y.; Boyd, N.D.; Matheson, D.S.; Fritzler, M.J.; Green, B.J. Serum immunoglobulin E levels in patients with primary biliary cirrhosis. J. Allergy Clin. Immunol. 1989, 83, 462–466. [Google Scholar] [CrossRef]
- Smith, W.I.J.; Thiel, D.H.V.; Whiteside, T.; Janoson, B.; Magovern, J.; Puet, T.; Rabin, B.S. Altered immunity in male patients with alcoholic liver disease: Evidence for defective immune regulation. Alcohol. Clin. Exp. Res. 1980, 4, 199–206. [Google Scholar] [CrossRef]
- Vidal, C.; Quintela, A.G.; Millán, I.; Gude, F.; Cuervas-Mons, V. Serum IgE levels in liver cirrhosis. Contrasting results in alcoholic and non-alcoholic patients. Clin. Exp. Allergy J. Br. Soc. Allergy Clin. Immunol. 1994, 24, 540–548. [Google Scholar] [CrossRef]
- Alonso, M.; Gomez-Rial, J.; Gude, F.; Vidal, C.; Gonzalez-Quintela, A. Influence of experimental alcohol administration on serum immunoglobulin levels: Contrasting effects on IGE and other immunoglobulin classes. Int. J. Immunopathol. Pharmacol. 2012, 25, 345–355. [Google Scholar] [CrossRef] [PubMed]
- Giltay, E.J.; Fonk, J.C.M.; Von Blomberg, B.M.E.; Drexhage, H.A.; Schalkwijk, C.; Gooren, L.J.G. In vivo effects of sex steroids on lymphocyte responsiveness and immunoglobulin levels in humans. J. Clin. Endocrinol. Metab. 2000, 85, 1648–1657. [Google Scholar] [CrossRef] [PubMed]
- Grossman, C.J.; Nienaber, M.; Mendenhall, C.L.; Hurtubise, P.; Roselle, G.A.; Rouster, S.; Weber, N.; Schmitt, G.; Gartside, P.S. Sex differences and the effects of alcohol on immune response in male and female rats. Alcohol. Clin. Exp. Res. 1993, 17, 832–840. [Google Scholar] [CrossRef]
- Kono, H.; Wheeler, M.D.; Rusyn, I.; Lin, M.; Seabra, V.; Rivera, C.A.; Bradford, B.U.; Forman, D.T.; Thurman, R.G. Gender differences in early alcohol-induced liver injury: Role of CD14, NF-kappaB, and TNF-alpha. Am. J. Physiol. Gastrointest. Liver Physiol. 2000, 278, G652–G661. [Google Scholar] [CrossRef]
- Nanji, A.A.; Jokelainen, K.; Fotouhinia, M.; Rahemtulla, A.; Thomas, P.; Tipoe, G.L.; Su, G.L.; Dannenberg, A.J. Increased severity of alcoholic liver injury in female rats: Role of oxidative stress, endotoxin, and chemokines. Am. J. Physiol. Gastrointest. Liver Physiol. 2001, 281, G1348–G1356. [Google Scholar] [CrossRef]
- González-Quintela, A.; Vidal, C.; Gude, F. Alcohol-induced alterations in serum immunoglobulin E (IgE) levels in human subjects. Front. Biosci. 2002, 7, e234–e244. [Google Scholar]
- Bacharier, L.B.; Geha, R.S. Molecular mechanisms of IgE regulation. J. Allergy Clin. Immunol. 2020, 105, S547–S558. [Google Scholar] [CrossRef] [PubMed]
- Ryan, J.J. Interleukin-4 and its receptor: Essential mediators of the allergic response. J. Allergy Clin. Immunol. 1997, 99, 1–5. [Google Scholar] [CrossRef] [PubMed]
- Bush, B.; Shaw, S.; Cleary, P.; Delbanco, T.L.; Aronson, M.D. Screening for alcohol abuse using the CAGE questionnaire. Am. J. Med. 1987, 82, 231–235. [Google Scholar] [CrossRef]
- Higgins-Biddle, J.C.; Babor, T.F. A review of the Alcohol Use Disorders Identification Test (AUDIT), AUDIT-C, and USAUDIT for screening in the United States: Past issues and future directions. Am. J. Drug Alcohol Abus 2018, 44, 578–586. [Google Scholar] [CrossRef]
- Skinner, H.A.; Holt, S.; Schuller, R.; Roy, J.; Israel, Y. Identification of alcohol abuse using laboratory tests and a history of trauma. Ann. Intern. Med. 1984, 101, 847–851. [Google Scholar] [CrossRef] [PubMed]
- Lucey, M.R.; Mathurin, P.; Morgan, T.R. Alcoholic hepatitis. N. Engl. J. Med. 2009, 360, 2758–2769. [Google Scholar] [CrossRef]
- Cohen, J.A.; Kaplan, M.M. The SGOT/SGPT ratio—An indicator of alcoholic liver disease. Dig. Dis. Sci. 1979, 24, 835–838. [Google Scholar] [CrossRef]
- Sorbi, D.; Boynton, J.; Lindor, K.D. The ratio of aspartate aminotransferase to alanine aminotransferase: Potential value in differentiating nonalcoholic steatohepatitis from alcoholic liver disease. Am. J. Gastroenterol. 1999, 94, 1018–1022. [Google Scholar] [CrossRef]
- Staufer, K.; Huber-Schönauer, U.; Strebinger, G.; Pimingstorfer, P.; Suesse, S.; Scherzer, T.M.; Paulweber, B.; Ferenci, P.; Stimpfl, T.; Yegles, M.; et al. Ethyl glucuronide in hair detects a high rate of harmful alcohol consumption in presumed non-alcoholic fatty liver disease. J. Hepatol. 2022, 77, 918–930. [Google Scholar] [CrossRef]
- Stibler, H. Carbohydrate-deficient transferrin in serum: A new marker of potentially harmful alcohol consumption reviewed. Clin. Chem. 1991, 37, 2029–2037. [Google Scholar] [CrossRef] [PubMed]
- Golka, K.; Wiese, A. Carbohydrate-deficient transferrin (CDT)—A biomarker for long-term alcohol consumption. J. Toxicol. Environ. Health B Crit. Rev. 2004, 7, 319–337. [Google Scholar] [CrossRef]
- Hermansson, U.; Helander, A.; Brandt, L.; Huss, A.; Rönnberg, S. The Alcohol Use Disorders Identification Test and carbohydrate-deficient transferrin in alcohol-related sickness absence. Alcohol. Clin. Exp. Res. 2002, 26, 28–35. [Google Scholar] [CrossRef]
- Nanau, R.M.; Neuman, M.G. Biomolecules and Biomarkers Used in Diagnosis of Alcohol Drinking and in Monitoring Therapeutic Interventions. Biomolecules 2015, 5, 1339–1385. [Google Scholar] [CrossRef]
- Neuman, M.G.; Schmilovitz-Weiss, H.; Hilzenrat, N.; Bourliere, M.; Marcellin, P.; Trepo, C.; Mazulli, T.; Moussa, G.; Patel, A.; Baig, A.A.; et al. Markers of inflammation and fibrosis in alcoholic hepatitis and viral hepatitis C. Int. J. Hepatol. 2012, 2012, 231210. [Google Scholar] [CrossRef] [PubMed]
- Neuman, M.G.; Schneider, M.; Nanau, R.M.; Parry, C. Alcohol Consumption, Progression of Disease and Other Comorbidities, and Responses to Antiretroviral Medication in People Living with HIV. AIDS Res. Treat. 2012, 2012, 751827. [Google Scholar] [CrossRef] [PubMed]
- Elias, E.D.; Uhanova, J.; Minuk, G.Y. Serum immunoglobulin a levels and alcohol-induced liver disease. Can. Liver J. 2020, 3, 177–187. [Google Scholar] [CrossRef]
- Malnick, S.D.H.; Alin, P.; Somin, M.; Neuman, M.G. Fatty Liver Disease-Alcoholic and Non-Alcoholic: Similar but Different. Int. J. Mol. Sci. 2022, 23, 16226. [Google Scholar] [CrossRef]

| AST (GOT) U/L | ALT (GPT) U/L | LDH–U/L | ALK PHOSPHATASE—U/L | GGT—U/L | BILIRUBIN TOTAL—mg/dL | BILIRUBIN DIRECT mg/dL | IgE IU/mg | |
|---|---|---|---|---|---|---|---|---|
| 19 January 2021 | 58 | 56 | - | - | - | - | - | - |
| 21 January 2021 | 149 | 115 | - | 87 | 216 | 1.14 | 0.27 | - |
| 17 January 2022 | 20 | 17 | - | 81 | 25 | 0.7 | 0.13 | - |
| 28 June 2023 | 245 | 183 | - | - | 219 | - | - | - |
| 27 November 2023 | 273 | 168 | 855 | 125 | 1109 | 5.2 | 3.3 | - |
| 28 November 2023 | 182 | 130 | 685 | 101 | 1007 | 5.5 | 3.5 | 6440 |
| 29 November 2023 | 261 | 156 | 819 | 124 | 1144 | 6.2 | 4.1 | - |
| 30 November 2023 | 329 | 145 | 696 | 115 | 984 | 4.7 | 3.4 | - |
| 01 December 2023 | 329 | 160 | 731 | 127 | 1053 | 4 | 2.8 | - |
| 03 December 2023 | - | 204 | - | 136 | 1081 | 2.9 | - | - |
| 04 December 2023 | 314 | 190 | 552 | 140 | 943 | 2.3 | 1.4 | - |
| 05 December 2023 | 338 | 191 | 573 | 134 | 866 | 2 | 1.3 | 5010 |
Disclaimer/Publisher’s Note: The statements, opinions and data contained in all publications are solely those of the individual author(s) and contributor(s) and not of MDPI and/or the editor(s). MDPI and/or the editor(s) disclaim responsibility for any injury to people or property resulting from any ideas, methods, instructions or products referred to in the content. |
© 2024 by the authors. Licensee MDPI, Basel, Switzerland. This article is an open access article distributed under the terms and conditions of the Creative Commons Attribution (CC BY) license (https://creativecommons.org/licenses/by/4.0/).
Share and Cite
Malnick, S.D.H.; Abdullah, A.; Ghanem, F.; Michael, S.O.; Neuman, M.G. Serendipity in Medicine-Elevated Immunoglobulin E Levels Associated with Excess Alcohol Consumption. Livers 2024, 4, 164-171. https://doi.org/10.3390/livers4020012
Malnick SDH, Abdullah A, Ghanem F, Michael SO, Neuman MG. Serendipity in Medicine-Elevated Immunoglobulin E Levels Associated with Excess Alcohol Consumption. Livers. 2024; 4(2):164-171. https://doi.org/10.3390/livers4020012
Chicago/Turabian StyleMalnick, Stephen D. H., Ali Abdullah, Fadi Ghanem, Sheral Ohayon Michael, and Manuela G. Neuman. 2024. "Serendipity in Medicine-Elevated Immunoglobulin E Levels Associated with Excess Alcohol Consumption" Livers 4, no. 2: 164-171. https://doi.org/10.3390/livers4020012
APA StyleMalnick, S. D. H., Abdullah, A., Ghanem, F., Michael, S. O., & Neuman, M. G. (2024). Serendipity in Medicine-Elevated Immunoglobulin E Levels Associated with Excess Alcohol Consumption. Livers, 4(2), 164-171. https://doi.org/10.3390/livers4020012
