Exploring Neogene Marine Diatomites in Western Crete: A New Source-Rock Candidate with Hydrocarbon Generation Potential?
Abstract
1. Introduction

2. Geological Setting
3. Materials and Methods
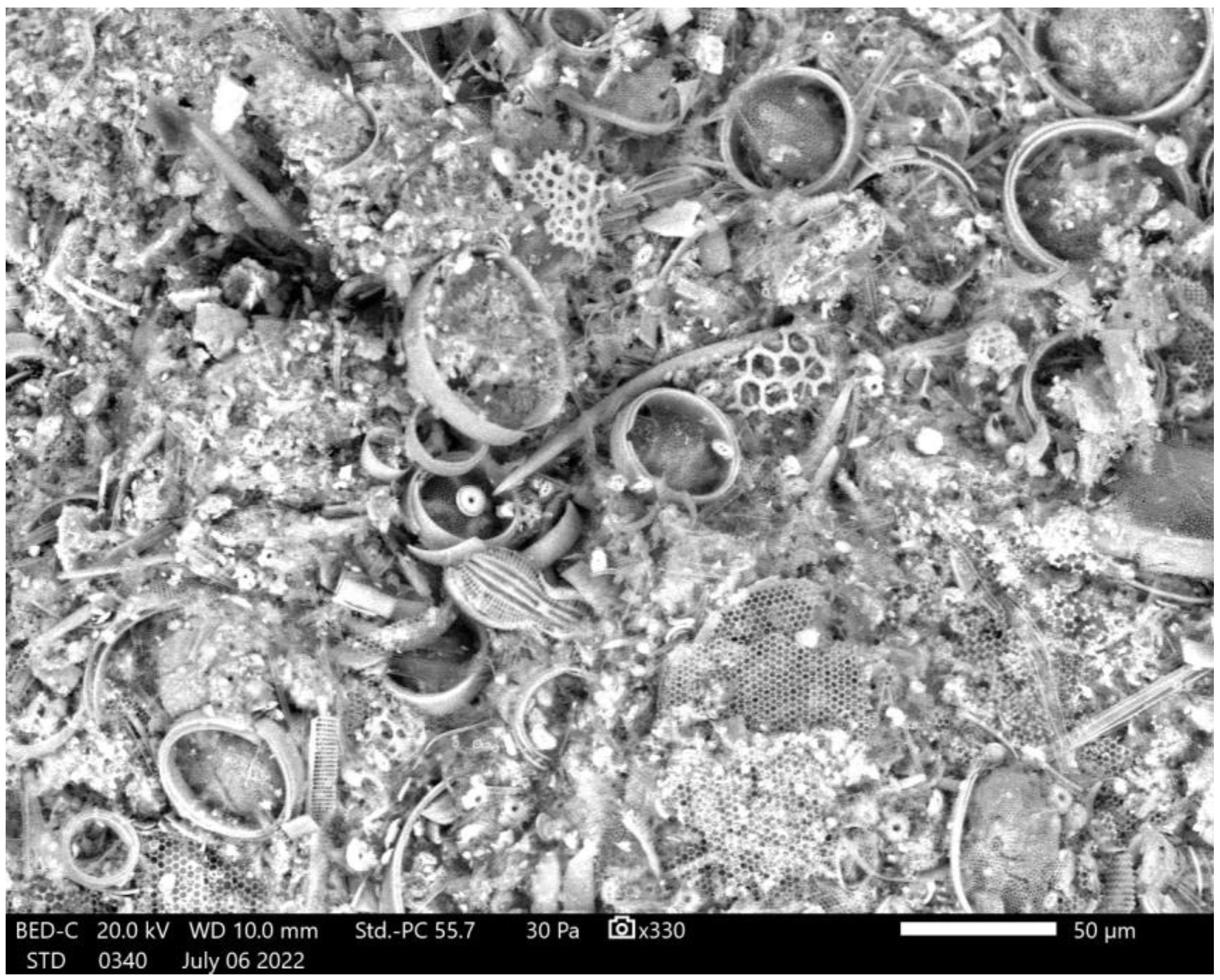
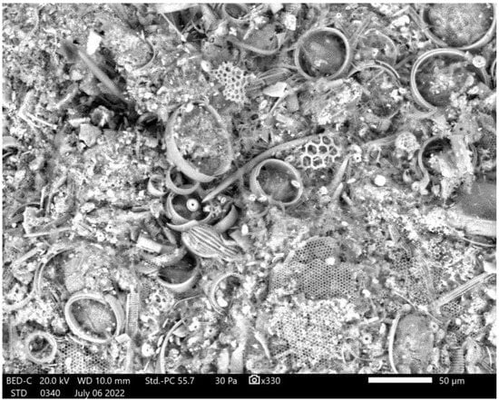
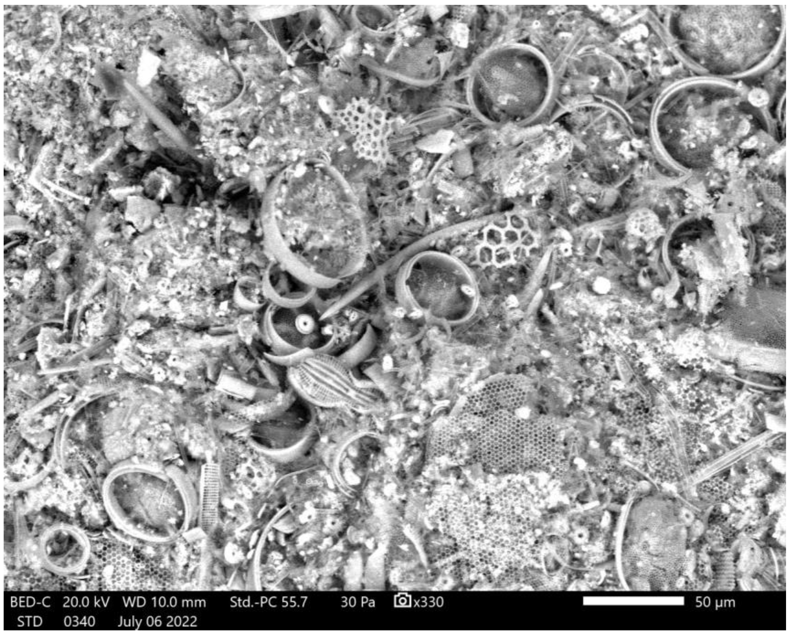
3.1. Lithostratigraphic Logging, Sampling Procedure and Microscopy
3.2. Rock Eval 6 Pyrolysis
4. Results
4.1. Lithostratigraphy
4.2. Sequence Stratigraphy
4.3. Rock-Eval Pyrolysis
4.4. Type and Thermal Maturity of Organic Matter
4.5. Source Rock Potential
5. Discussion
6. Summary and Conclusions
- The studied strata represent pre-evaporitic, marine deposition during the Upper Miocene.
- Initial transgression was both tectonically and climatically controlled, while later development within the basin was mostly controlled by cyclic, eustatic sea-level oscillations. Transgressive, Highstand and Regressive System Tracks were recorded along the outcrop.
- Medium-to-well preserved diatomites deposited in distal settings, during deepening of the basin highstands.
- Source rock quality of the studied diatomitic deposits is proved to be around intermediate levels.
- Hydrocarbon-generating potential lies between fair to excellent.
- The potentially generated hydrocarbons of the analyzed diatomitic samples reach values of 10.6 mg/g.
- Both the stratigraphical data and source rock potential illustrate a new promising case for the offshore exploration of the Crete Island and possibly for the eastern Mediterranean.
Author Contributions
Funding
Institutional Review Board Statement
Informed Consent Statement
Data Availability Statement
Acknowledgments
Conflicts of Interest
References
- Zahajská, P.; Opfergelt, S.; Fritz, S.C.; Stadmark, J.; Conley, D.J. What Is Diatomite? Quat. Res. 2020, 96, 48–52. [Google Scholar] [CrossRef]
- Pinochet, A.; Garces-Vargas, J.; Lara, C.; Olguin, F. Seasonal Variability of Upwelling off Central-Southern Chile. Remote Sens. 2019, 11, 1737. [Google Scholar] [CrossRef]
- Moissette, P.; Bernard, C.; Martin, J. Saint Upwelling and Benthic Communities in the Messinian of Western Mediterranean. Paleontol. I Evol. 1992, 24–25, 245–254. [Google Scholar]
- Pellegrino, L.; Dela Pierre, F.; Jordan, R.W.; Abe, K.; Mikami, Y.; Natalicchio, M.; Gennari, R.; Lozar, F.; Carnevale, G. The Upper Miocene Diatomaceous Sediments of the Northernmost Mediterranean Region: A Lamina-Scale Investigation of an Overlooked Palaeoceanographic Archive. Sedimentology 2020, 67, 3389–3421. [Google Scholar] [CrossRef]
- Pellegrino, L.; Natalicchio, M.; Birgel, D.; Pastero, L.; Carnevale, G.; Jordan, R.W.; Peckmann, J.; Zanellato, N.; Dela Pierre, F. From Biogenic Silica and Organic Matter to Authigenic Clays and Dolomite: Insights from Messinian (Upper Miocene) Sediments of the Northern Mediterranean. Sedimentology 2022, 1–33. [Google Scholar] [CrossRef]
- Cameron, N.G. DIATOMS. In Encyclopedia of Quaternary Science, 2nd ed.; Elias, S.A., Mock, C.J., Eds.; Elsevier: Amsterdam, The Netherlands, 2013; pp. 522–525. ISBN 978-0-444-53642-6. [Google Scholar]
- Flower, R.J. DIATOM METHODS | Diatomites: Their formation, distribution, and uses. In Encyclopedia of Quaternary Science, 2nd ed.; Elias, S.A., Mock, C.J., Eds.; Elsevier: Amsterdam, The Netherlands, 2013; pp. 501–506. ISBN 978-0-444-53642-6. [Google Scholar]
- Stamatakis, M.; Stamatakis, G. The Use of Diatomaceous Rocks of Greek Origin As Absorbents of Olive-Oil Wasters. Bull. Geol. Soc. Greece 2017, 43, 2739. [Google Scholar] [CrossRef]
- Stefanou, E.; Kantiranis, N.; Chatzicharalambous, K.; Mytiglaki, C.; Stamatakis, M.; Georgiadis, G. Diatomaceous Silica in Environmental Applications: A Case Study from the Lacustrine Deposit of Limnos Island, Aegean Sea, Greece. Minerals 2022, 12, 523. [Google Scholar] [CrossRef]
- Aoyagi, K.; Omokawa, M. Neogene Diatoms as the Important Source of Petroleum in Japan. J. Pet. Sci. Eng. 1992, 7, 247–262. [Google Scholar] [CrossRef]
- Aoyagi, K.; Omokawa, M. Diagenesis of Neogene Diatoms and Their Importance as a Source of Petroleum in Japan. Isl. Arc 1993, 2, 273–279. [Google Scholar] [CrossRef]
- Tulan, E.; Radl, M.S.; Sachsenhofer, R.F.; Tari, G.; Witkowski, J. Hydrocarbon Source Rock Potential of Miocene Diatomaceous Sequences in Szurdokpüspöki (Hungary) and Parisdorf/Limberg (Austria). Austrian J. Earth Sci. 2020, 113, 24–42. [Google Scholar] [CrossRef]
- Jirman, P.; Geršlová, E.; Bubík, M.; Sachsenhofer, R.F.; Bechtel, A.; Więcław, D. Depositional Environment and Hydrocarbon Potential of the Oligocene Menilite Formation in the Western Carpathians: A Case Study from the Loučka Section (Czech Republic). Mar. Pet. Geol. 2019, 107, 334–350. [Google Scholar] [CrossRef]
- Martizzi, P.; Chiyonobu, S.; Hibi, Y.; Yamato, H.; Arato, H. Middle–Late Miocene Paleoenvironment of the Japan Sea Inferred by Sedimentological and Geochemical Characterization of Coeval Sedimentary Rocks. Mar. Pet. Geol. 2021, 128, 105059. [Google Scholar] [CrossRef]
- Mayer, J.; Rupprecht, B.; Sachsenhofer, R.; Tari, G.; Bechtel, A.; Coric, S.; Siedl, W.; Kosi, W.; Floodpage, J. Source Potential and Depositional Environment of Oligocene and Miocene Rocks Offshore Bulgaria. Geol. Soc. Lond. Spec. Publ. 2017, 464, 307–328. [Google Scholar] [CrossRef]
- Sachsenhofer, R.F.; Popov, S.V.; Coric, S.; Mayer, J.; Misch, D.; Morton, M.T.; Pupp, M.; Rauball, J.; Tari, G. Paratethyan petroleum source rocks: An overview. J. Pet. Geol. 2018, 41, 219–245. [Google Scholar] [CrossRef]
- Sachsenhofer, R.F.; Popov, S.V.; Bechtel, A.; Coric, S.; Francu, J.; Gratzer, R.; Grunert, P.; Kotarba, M.; Mayer, J.; Pupp, M.; et al. Oligocene and Lower Miocene Source Rocks in the Paratethys: Palaeogeographical and Stratigraphic Controls. Geol. Soc. Spec. Publ. 2018, 464, 267–306. [Google Scholar] [CrossRef]
- Freudenthal, T. Stratigraphy of Neogene Deposits in the Khania Province, Crete, with Special Reference to Foraminifera of the Family Planorbulinidae and the Genus Heterostegina. Utr. Micropaleontol. Bull. 1969, 1, 1–208. [Google Scholar]
- Zachariasse, W.J.; Lourens, L.J. About the Age and Depositional Depth of the Sediments with Reported Bipedal Footprints at Trachilos (NW Crete, Greece). Sci. Rep. 2022, 12, 18471. [Google Scholar] [CrossRef] [PubMed]
- Keupp, H.; Bellas, S. Neogene Development of the Sedimentary Basins of NW Crete Island, Chania Prefecture, South Aegean Arc System (Greece). Berl. Geowiss. Abh. 2000, 34, 3–117. [Google Scholar]
- Zachariasse, W.J.; Kontakiotis, G.; Lourens, L.J.; Antonarakou, A. The Messinian of Agios Myron (Crete, Greece): A Key to Better Understanding of Diatomite Formation on Gavdos (South of Crete). Palaeogeogr. Palaeoclimatol. Palaeoecol. 2021, 581, 110633. [Google Scholar] [CrossRef]
- Drinia, H.; Antonarakou, A.; Tsaparas, N.; Dermitzakis, M.D.; Kontakiotis, G. Foraminiferal record of environmental changes: Preevaporitic diatomaceous sediments from Gavdos island, southernGreece. Bull. Geol. Soc. Greece 2018, 36, 782. [Google Scholar] [CrossRef]
- Frydas, D. Siliceous Phytoplankton Assemblages and Biostratigraphy of the Pre-Evaporite Messinian Diatomites on Gavdos Island, Greece. Rev. Micropaleontol. 2006, 49, 86–96. [Google Scholar] [CrossRef]
- Pyliotis, I.; Hamilaki, E.; Pasadakis, N.; Manoutsoglou, E. Comparative Evaluation of Rock-Eval and Elemental Analysis to Determine Organic Carbon Content in Sediment Samples. Bull. Geol. Soc. Greece 2013, 47, 862–870. [Google Scholar] [CrossRef]
- Pellegrino, L.; Dela Pierre, F.; Natalicchio, M.; Carnevale, G. The Messinian Diatomite Deposition in the Mediterranean Region and Its Relationships to the Global Silica Cycle. Earth Sci. Rev. 2018, 178, 154–176. [Google Scholar] [CrossRef]
- Maravelis, A.G.; Kontakiotis, G.; Bellas, S.; Antonarakou, A.; Botziolis, C.; Janjuhah, H.T.; Makri, P.; Moissette, P.; Cornée, J.J.; Pasadakis, N.; et al. Organic Geochemical Signatures of the Upper Miocene (Tortonian—Messinian) Sedimentary Succession Onshore Crete Island, Greece: Implications for Hydrocarbon Prospectivity. J. Mar. Sci. Eng. 2022, 10, 1323. [Google Scholar] [CrossRef]
- Telemenis, D.; Makridou, Z.; Bellas, S. New Evidence of Diatomitic Occurrences in Western Crete, Greece; A Preliminary Stratigraphic and Geochemical Approach and Its Implications. Bull. Geol. Soc. Greece 2022, 9, 81–82. [Google Scholar]
- Decentralized Administration of Crete—IT and Communications Directorate Geological Map of Crete. Available online: https://www.apdkritis.gov.gr/ (accessed on 13 December 2022).
- McKenzie, D. The Plate Tectonics of the Mediterranean Region. Nature 1970, 226, 239–243. [Google Scholar] [CrossRef] [PubMed]
- Makris, J. The Crust and Upper Mantle of Aegean Region from Deep Seismic Soundings. Tectonophysics 1978, 46, 269–284. [Google Scholar] [CrossRef]
- Le Pichon, X.; Angelier, J. The hellenic arc and trench system: A key to the neotectonic evolution of the eastern mediterranean area. Tectonophysics 1979, 60, 1–42. [Google Scholar] [CrossRef]
- Angelier, J.; Lybéris, N.; Le Pichon, X.; Barrier, E.; Huchon, P. The Tectonic Development of the Hellenic Arc and the Sea of Crete: A Synthesis. Tectonophysics 1982, 86, 159–163, 165, 167–196. [Google Scholar] [CrossRef]
- van Hinsbergen, D.J.J.; Meulenkamp, J.E. Neogene Supradetachment Basin Development on Crete (Greece) during Exhumation of the South Aegean Core Complex. Basin Res. 2006, 18, 103–124. [Google Scholar] [CrossRef]
- Kopf, A. The Mediterranean Ridge: A Mass Balance across the Fastest Growing Accretionary Complex on Earth. J. Geophys. Res. 2003, 108, 2372. [Google Scholar] [CrossRef]
- Le Quellec, P.; Mascle, J.; Got, H.; Vittori, J. Seismic Structure of Southwestern Peloponnesus Continental Margin1. AAPG Bull. 1980, 64, 242–263. [Google Scholar] [CrossRef]
- Jongsma, D. Pliny and Strabo Trenches, South of the Hellenic Arc. Geol. Soc. Am. Bull. 1977, 88, 797–805. [Google Scholar] [CrossRef]
- Peters, J.M.; Troelstra, S.R.; van Harten, D. Late Neogene and Quaternary Vertical Movements in Eastern Crete and Their Regional Significance. J. Geol. Soc. London. 1985, 142, 501–513. [Google Scholar] [CrossRef]
- Sakellariou, D.; Tsampouraki-Kraounaki, K. Chapter 14—Plio-Quaternary extension and Strike-Slip tectonics in the Aegean. In Transform Plate Boundaries and Fracture Zones; Duarte, J.C., Ed.; Elsevier: Amsterdam, The Netherlands, 2019; pp. 339–374. ISBN 978-0-12-812064-4. [Google Scholar]
- Lazos, I.; Sboras, S.; Chousianitis, K.; Kondopoulou, D.; Pikridas, C.; Bitharis, S.; Pavlides, S. Temporal Evolution of Crustal Rotation in the Aegean Region Based on Primary Geodetically-Derived Results and Palaeomagnetism. Acta Geod. Geophys. 2022, 57, 317–334. [Google Scholar] [CrossRef]
- Sboras, S.; Lazos, I.; Bitharis, S.; Pikridas, C.; Galanakis, D.; Fotiou, A.; Chatzipetros, A.; Pavlides, S. Source Modelling and Stress Transfer Scenarios of the October 30, 2020 Samos Earthquake: Seismotectonic Implications. Turk. J. Earth Sci. 2021, 30, 699–717. [Google Scholar] [CrossRef]
- Meulenkamp, J.E. Field Guide to the Neogene of Crete. Publ. Dep. Geol. Paleontol. Univ. Athens 1979, 32, 1–32. [Google Scholar]
- Meulenkamp, J.E.; Wortel, M.J.R.; Van Wamel, W.A.; Spakman, W.; Strating, E.H. On the Hellenic Subduction Zone and the Geodynamic Evolution of Crete since the Late Middle Miocene. Tectonophysics 1988, 146, 203–215. [Google Scholar] [CrossRef]
- Meulenkamp, J.E.; Van Der Zwaan, G.J.; Van Wamel, W.A. On Late Miocene to Recent Vertical Motions in the Cretan Segment of the Hellenic Arc. Tectonophysics 1994, 234, 53–72. [Google Scholar] [CrossRef]
- Zachariasse, W.J.; van Hinsbergen, D.J.J.; Fortuin, A.R. Formation and Fragmentation of a Late Miocene Supradetachment Basin in Central Crete: Implications for Exhumation Mechanisms of High-Pressure Rocks in the Aegean Forearc. Basin Res. 2011, 23, 678–701. [Google Scholar] [CrossRef]
- Mouslopoulou, V.; Begg, J.; Nicol, A.; Oncken, O.; Prior, C. Formation of Late Quaternary Paleoshorelines in Crete, Eastern Mediterranean. Earth Planet. Sci. Lett. 2015, 431, 294–307. [Google Scholar] [CrossRef]
- Ott, R.F.; Wegmann, K.W.; Gallen, S.F.; Pazzaglia, F.J.; Brandon, M.T.; Ueda, K.; Fassoulas, C. Reassessing Eastern Mediterranean Tectonics and Earthquake Hazard from the 365 CE Earthquake. AGU Adv. 2021, 2, e2020AV000315. [Google Scholar] [CrossRef]
- Frydas, D.; Keupp, H. Biostratigraphical Results in Late Neogene Deposits of NW Crete, Greece, Based on Calcareous Nannofossils. Berl. geowiss. Abh. 1996, E18, 169–189. [Google Scholar]
- Kontopoulos, N.; Zelilidis, A.; Frydas, D. Late Neogene Sedimentary and Tectonostratigraphic Evolution of Northwestern Crete Island, Greece. Neues Jahrb. Fur Geol. Und Palaontologie—Abhandlungen 1996, 202, 287–311. [Google Scholar] [CrossRef]
- Zachariasse, W. Planktonic Foraminiferal Biostratigraphy of the Late Neogene of Crete (Greece). Utr. Micropaleontol. Bull. 1975, 11, 1–171. [Google Scholar]
- Lafargue, E.; Marquis, F.; Pillot, D. Rock-Eval 6 Applications in Hydrocarbon Exploration, Production, and Soil Contamination Studies. Oil Gas Sci. Technol. 1998, 53, 421–437. [Google Scholar] [CrossRef]
- Behar, F.; Beaumont, V.; De, H.L. Technologie Rock-Eval 6: Performances et Développements. Oil Gas Sci. Technol. 2001, 56, 111–134. [Google Scholar] [CrossRef]
- Disnar, J.R.; Guillet, B.; Keravis, D.; Di-Giovanni, C.; Sebag, D. Soil Organic Matter (SOM) Characterization by Rock-Eval Pyrolysis: Scope and Limitations. Org. Geochem. 2003, 34, 327–343. [Google Scholar] [CrossRef]
- Yang, S.; Horsfield, B. Critical Review of the Uncertainty of Tmax in Revealing the Thermal Maturity of Organic Matter in Sedimentary Rocks. Int. J. Coal Geol. 2020, 225, 103500. [Google Scholar] [CrossRef]
- Catuneanu, O. Sequence stratigraphy: Guidelines for a standard methodology. In Stratigraphy & Timescales; Academic Press: Cambridge, MA, USA, 2017; Volume 2, pp. 1–57. [Google Scholar]
- Clark, M.S. Sequence stratigraphy of an interbedded biogenic-clastic reservoir, Belridge diatomite at lost hills field, San Joaquin basin, California. Geol. Soc. Am. Abstr. Programs 2001, 33, 35. [Google Scholar]
- Goldstein, R.H.; Franseen, E.K. Carbonate Play Models from Miocene Outcrops, Western Mediterranean: Part 2-Stratigraphic and Diagenetic Plays. AAPG Geoscience Technology Workshop. AAPG 2019. [Google Scholar] [CrossRef]
- Behl, R.J. Monterey Formation Overview and Context for New Research. AAPG 2022. [Google Scholar] [CrossRef]
- Peters, K.E. Guidelines for Evaluating Petroleum Source Rock Using Programmed Pyrolysis. AAPG Bull. 1986, 70, 3. [Google Scholar]
- Reynolds, J.G.; Burnham, A.K. Comparison of Kinetic Analysis of Source Rocks and Kerogen Concentrates. Org. Geochem. 1995, 23, 11–19. [Google Scholar] [CrossRef]
- Peters, K.E.; Cassa, M.R. Applied source rock geochemistry. In The Petroleum System: From Source to Trap; Magoon, L.B., Dow, W.G., Eds.; AAPG Memoir: Boulder, CO, USA; Toulsa, OK, USA, 1994; Volume 60; pp. 93–120. [Google Scholar]
- Espitalie, J.; Marquis, F.; Barsony, I. Geochemical logging. In Analytical Pyrolysis—Technics and applications; Voorhees, K.J., Ed.; Butterworth: Boston, MA, USA, 1984; pp. 276–304. [Google Scholar] [CrossRef]
- Baskin, D. Atomic H/C Ratio of Kerogen as an Estimate of Thermal Maturity and Organic Matter Conversion. AAPG Bull. 1997, 81, 1437–1450. [Google Scholar] [CrossRef]
- Killops, S.; Killops, V. An Introduction to Organic Geochemistry; Wiley: Hoboken, NJ, USA, 2013; pp. 1–408. [Google Scholar]
- Dellisanti, F.; Pini, G.A.; Baudin, F. Use of T Max as a Thermal Maturity Indicator in Orogenic Successions and Comparison with Clay Mineral Evolution. Clay Miner. 2010, 45, 115–130. [Google Scholar] [CrossRef]
- Kontakiotis, G.; Butiseacă, G.A.; Antonarakou, A.; Agiadi, K.; Zarkogiannis, S.D.; Krsnik, E.; Besiou, E.; Zachariasse, W.J.; Lourens, L.; Thivaiou, D.; et al. Hypersalinity Accompanies Tectonic Restriction in the Eastern Mediterranean Prior to the Messinian Salinity Crisis. Palaeogeogr. Palaeoclimatol. Palaeoecol. 2022, 592, 110903. [Google Scholar] [CrossRef]
- Kontakiotis, G.; Karakitsios, V.; Cornée, J.-J.; Moissette, P.; Zarkogiannis, S.D.; Pasadakis, N.; Koskeridou, E.; Manoutsoglou, E.; Drinia, H.; Antonarakou, A. Preliminary Results Based on Geochemical Sedimentary Constraints on the Hydrocarbon Potential and Depositional Environment of a Messinian Sub-Salt Mixed Siliciclastic-Carbonate Succession Onshore Crete (Plouti Section, Eastern Mediterranean). Mediterr. Geosci. Rev. 2020, 2, 247–265. [Google Scholar] [CrossRef]









| Sample/Section Lithology | S1 | S2 | S3 | Tmax (°C) | TOC (%wt.) | HI | OI | |
|---|---|---|---|---|---|---|---|---|
| smpl_1i | Fine sands silts | 0.4 | 11.51 | 3.77 | 414 | 3.37 | 342 | 112 |
| smpl_1Bi | Fine sands silts | 0.28 | 9.41 | 3.52 | 413 | 3.27 | 288 | 108 |
| smpl_2i | Fine sands silts | 0.02 | 0.51 | 2.11 | 425 | 0.73 | 70 | 289 |
| smpl_3i | Fine sands silts | 0.06 | 1.84 | 3.15 | 425 | 1.24 | 148 | 254 |
| smpl_4i | Diatomites | 0.33 | 10.27 | 4.14 | 418 | 3.33 | 308 | 124 |
| smpl_5i | Diatomites | 0.27 | 8.56 | 3.84 | 418 | 3.05 | 281 | 126 |
| ex_2i | Diatomites | 0.31 | 8.84 | 3.51 | 418 | 3.02 | 293 | 116 |
| smpl_6i | Diatomites | 0.27 | 6.35 | 3.13 | 420 | 2.29 | 277 | 137 |
| smpl_7i | Diatomites | 0.27 | 6.52 | 2.91 | 417 | 2.45 | 266 | 119 |
| smpl_8i | Diatomites | 0.46 | 8.4 | 3.48 | 412 | 2.77 | 303 | 126 |
| smpl_9i | Diatomites | 0.25 | 6.02 | 2.94 | 421 | 2.19 | 275 | 134 |
| smpl_10ia | Mudstones silts | 0.04 | 1.61 | 1.62 | 415 | 0.77 | 209 | 210 |
| smpl_11ia | Mudstones silts | 0.07 | 2.62 | 2.47 | 424 | 1.28 | 205 | 193 |
| smpl_12ia | Mudstones silts | 0.17 | 5.02 | 4.62 | 418 | 2.14 | 235 | 216 |
| smpl_13ia | Diatomites | 0.09 | 2.24 | 2.17 | 416 | 1.23 | 182 | 176 |
| smpl_14ia | Diatomites | 0.04 | 0.51 | 1.59 | 428 | 0.47 | 109 | 338 |
| smpl_15ia | Diatomites | 0.05 | 0.88 | 1.84 | 423 | 0.71 | 124 | 259 |
| smpl_16ia | Diatomite muds | 0.38 | 9.25 | 3.36 | 419 | 3.29 | 281 | 102 |
| smpl_17ia | Mudstones | 0.08 | 0.38 | 4.65 | 416 | 0.88 | 43 | 528 |
| smpl_18ia | Mudstones | 0.02 | 0.15 | 4.37 | 409 | 0.57 | 26 | 767 |
| smpl_21b | Diatomites | 0.02 | 0.28 | 1.73 | 400 | 0.57 | 49 | 304 |
Disclaimer/Publisher’s Note: The statements, opinions and data contained in all publications are solely those of the individual author(s) and contributor(s) and not of MDPI and/or the editor(s). MDPI and/or the editor(s) disclaim responsibility for any injury to people or property resulting from any ideas, methods, instructions or products referred to in the content. |
© 2023 by the authors. Licensee MDPI, Basel, Switzerland. This article is an open access article distributed under the terms and conditions of the Creative Commons Attribution (CC BY) license (https://creativecommons.org/licenses/by/4.0/).
Share and Cite
Telemenis, D.; Makri, V.-I.; Manoutsoglou, E.; Bellas, S. Exploring Neogene Marine Diatomites in Western Crete: A New Source-Rock Candidate with Hydrocarbon Generation Potential? Eng 2023, 4, 285-300. https://doi.org/10.3390/eng4010017
Telemenis D, Makri V-I, Manoutsoglou E, Bellas S. Exploring Neogene Marine Diatomites in Western Crete: A New Source-Rock Candidate with Hydrocarbon Generation Potential? Eng. 2023; 4(1):285-300. https://doi.org/10.3390/eng4010017
Chicago/Turabian StyleTelemenis, Dimosthenis, Vagia-Ioanna Makri, Emmanouil Manoutsoglou, and Spyridon Bellas. 2023. "Exploring Neogene Marine Diatomites in Western Crete: A New Source-Rock Candidate with Hydrocarbon Generation Potential?" Eng 4, no. 1: 285-300. https://doi.org/10.3390/eng4010017
APA StyleTelemenis, D., Makri, V.-I., Manoutsoglou, E., & Bellas, S. (2023). Exploring Neogene Marine Diatomites in Western Crete: A New Source-Rock Candidate with Hydrocarbon Generation Potential? Eng, 4(1), 285-300. https://doi.org/10.3390/eng4010017

