Crossed Congenital Hemihyperplasia: A Case Report
Abstract
:1. Introduction
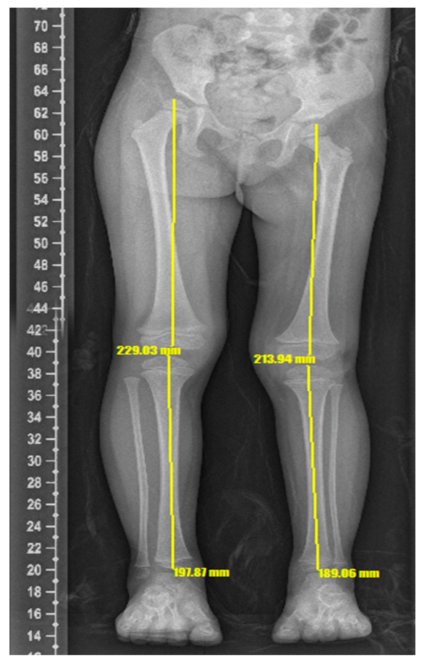
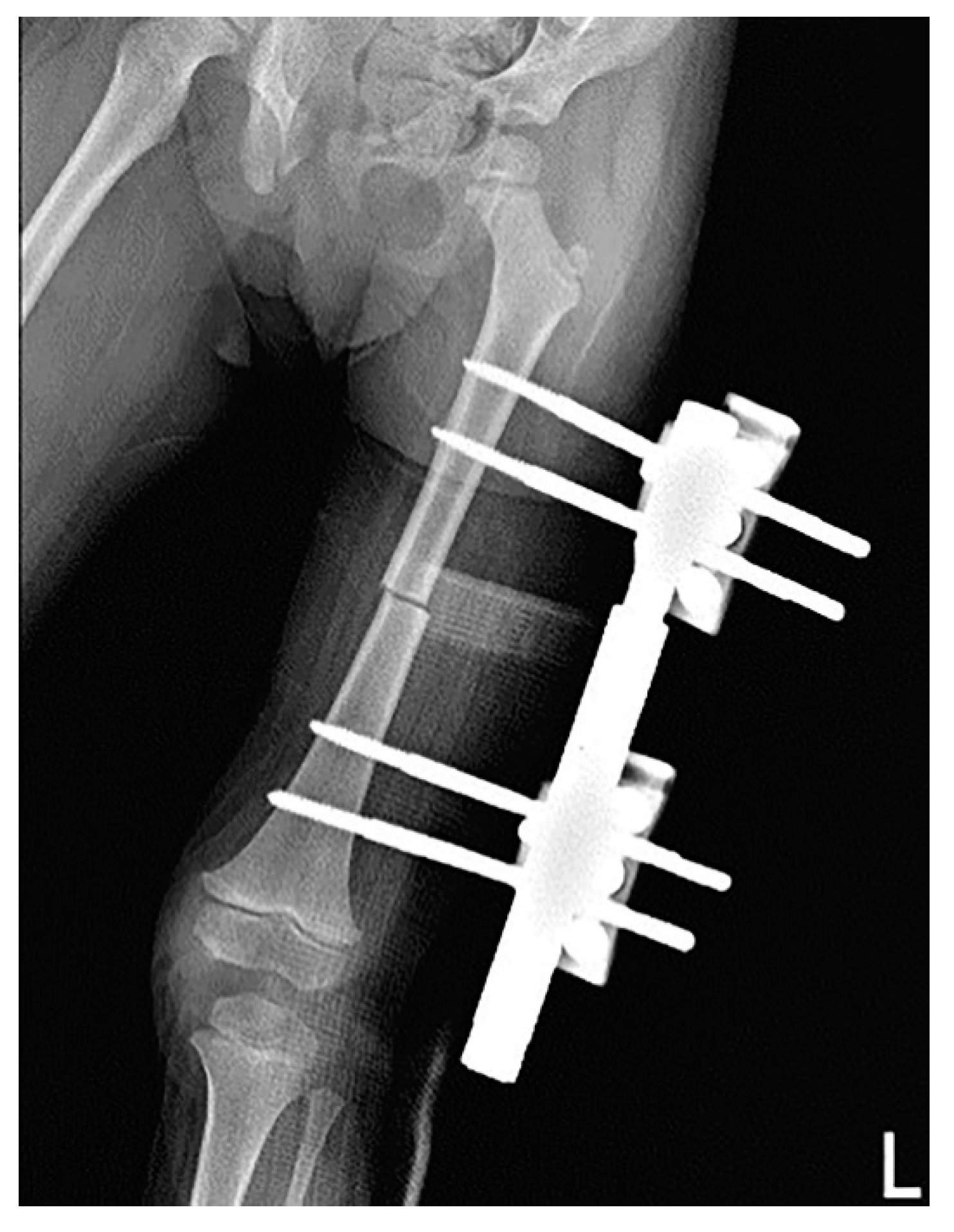
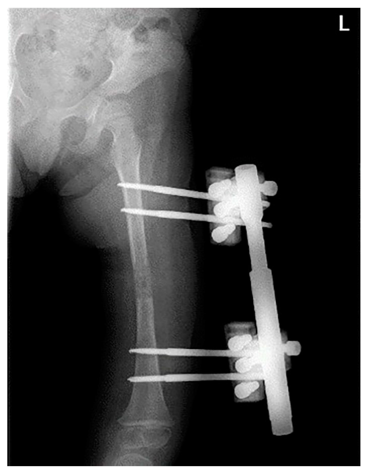
2. Case Description
3. Discussion
4. Conclusions
Author Contributions
Funding
Institutional Review Board Statement
Informed Consent Statement
Data Availability Statement
Conflicts of Interest
References
- Ballock, R.T.; Wiesner, G.L.; Myers, M.T.; Thompson, G.H. Hemihypertrophy. Concepts and controversies. J. Bone Jt. Surg. Am. 1997, 79, 1731–1738. [Google Scholar] [CrossRef] [PubMed]
- Beals, R.K. Hemihypertrophy and hemihypotrophy. Clin. Orthop. Relat. Res. 1982, 199–203. [Google Scholar] [CrossRef]
- Mohanna, M.A.; Sallam, A.K. Idiopathic hemihypertrophy. Saudi Med. J. 2014, 35, 403–405. [Google Scholar] [PubMed]
- Mark, C.; Hart, C.; McCarthy, A.; Thompson, A. Fifteen-minute consultation: Assessment, surveillance and management of hemihypertrophy. Arch. Dis. Child. Educ. Pract. Ed. 2018, 103, 114–117. [Google Scholar] [CrossRef] [PubMed]
- Hennessy, W.T.; Cromie, W.J.; Duckett, J.W. Congenital hemihypertrophy and associated abdominal lesions. Urology 1981, 18, 576–579. [Google Scholar] [CrossRef]
- Elbracht, M.; Prawitt, D.; Nemetschek, R.; Kratz, C.; Eggermann, T. Beckwith-Wiedemann Syndrome (BWS) Current Status of Diagnosis and Clinical Management: Summary of the First International Consensus Statement. Klin. Padiatr. 2018, 230, 151–159. [Google Scholar] [CrossRef] [PubMed]
- Ward, J.; Lerner, H.H. A review of the subject of congenital hemihypertrophy and a complete case report. J. Pediatr. 1947, 31, 403–414. [Google Scholar] [CrossRef]
- Hoyme, H.E.; Seaver, L.H.; Jones, K.L.; Procopio, F.; Crooks, W.; Feingold, M. Isolated hemihyperplasia (hemihypertrophy): Report of a prospective multicenter study of the incidence of neoplasia and review. Am. J. Med. Genet. 1998, 79, 274–278. [Google Scholar] [CrossRef]
- Orbak, Z.; Orbak, R.; Kara, C.; Kavrut, F. Differences in dental and bone maturation in regions with or without hemihypertrophy in two patients with Russell-Silver syndrome. J. Pediatr. Endocrinol. Metab. 2005, 18, 701–710. [Google Scholar] [CrossRef] [PubMed]
- Ghanem, I.; Karam, J.A.; Widmann, R.F. Surgical epiphysiodesis indications and techniques: Update. Curr. Opin. Pediatr. 2011, 23, 53–59. [Google Scholar] [CrossRef] [PubMed]





| Publisher’s Note: MDPI stays neutral with regard to jurisdictional claims in published maps and institutional affiliations. | 
© 2022 by the authors. Licensee MDPI, Basel, Switzerland. This article is an open access article distributed under the terms and conditions of the Creative Commons Attribution (CC BY) license (https://creativecommons.org/licenses/by/4.0/).
Share and Cite
Kim, W.-J.; Kim, B.; Nho, J.-H.; Kim, J.; Hong, C.-H.; Kwon, S.-W.; Choi, Y.; Kim, T.-G.; Lee, C.; Jung, K.-J. Crossed Congenital Hemihyperplasia: A Case Report. Surgeries 2022, 3, 242-247. https://doi.org/10.3390/surgeries3030026
Kim W-J, Kim B, Nho J-H, Kim J, Hong C-H, Kwon S-W, Choi Y, Kim T-G, Lee C, Jung K-J. Crossed Congenital Hemihyperplasia: A Case Report. Surgeries. 2022; 3(3):242-247. https://doi.org/10.3390/surgeries3030026
Chicago/Turabian StyleKim, Woo-Jong, Byungsung Kim, Jae-Hwi Nho, Junbum Kim, Chang-Hwa Hong, Sai-Won Kwon, Young Choi, Tae-Gyun Kim, Changeui Lee, and Ki-Jin Jung. 2022. "Crossed Congenital Hemihyperplasia: A Case Report" Surgeries 3, no. 3: 242-247. https://doi.org/10.3390/surgeries3030026
APA StyleKim, W.-J., Kim, B., Nho, J.-H., Kim, J., Hong, C.-H., Kwon, S.-W., Choi, Y., Kim, T.-G., Lee, C., & Jung, K.-J. (2022). Crossed Congenital Hemihyperplasia: A Case Report. Surgeries, 3(3), 242-247. https://doi.org/10.3390/surgeries3030026
 
         
                                                


