Next Article in Journal
Testing for Endothelial Dysfunction in Children with Rare Genetic Variants of Obesity
Next Article in Special Issue
Nutrition and Physical Activity in Musculoskeletal Health
Previous Article in Journal
Nutritional Studies Evaluating Ketogenic Diets as a Treatment for Obesity and Obesity-Associated Morbidities: Underlying Mechanisms and Potential for Clinical Implementation
Previous Article in Special Issue
The Interplay of the Mammalian Brain and Thyroid Hormones, and the Threat of Endocrine-Disrupting Chemicals
 
 
Font Type:
Arial Georgia Verdana
Font Size:
Aa Aa Aa
Line Spacing:
Column Width:
Background:
Case Report

Multiple Osteoporotic Fractures in Cushing Syndrome: A Case Report and a Review of the Literature

by
Ariadni Spyroglou
1,
Panagiota Konstantakou
1,
Konstantinos Iliakopoulos
1,
Vasiliki Themelidi
1,
Dorothea Tsekoura
1,
Denise Kolomodi
2,
Georgios Kyriakopoulos
3,
Pantelis Antonakis
1,
Konstantinos Bramis
1,
Achilles Chatziioannou
1,
George Mastorakos
1,
Manousos M. Konstadoulakis
1 and
Krystallenia I. Alexandraki
1,*
1
2nd Department of Surgery, Aretaieio Hospital, National and Kapodistrian University of Athens, 11528 Athens, Greece
2
ENETS Center of Excellence, EKPA-LAIKO CENTER, 11527 Athens, Greece
3
Pathology Department, Evangelismos General Hospital, 11521 Athens, Greece
*
Author to whom correspondence should be addressed.
Endocrines 2024, 5(4), 600-612; https://doi.org/10.3390/endocrines5040043
Submission received: 25 July 2024 / Revised: 24 November 2024 / Accepted: 2 December 2024 / Published: 6 December 2024
(This article belongs to the Special Issue Feature Papers in Endocrines: 2024)

Abstract

Background: Osteoporotic fractures are a common clinical sign of Cushing syndrome (CS). However, Cushing diagnosis can occur years after this clinical manifestation. Methods: Herein, we present the case of a 45-year-old woman who was referred to our department for further diagnosis and treatment. Results: The patient was already under treatment for arterial hypertension and osteoporosis and was recently diagnosed with dyslipidemia and type 2 diabetes. She reported several previous fractures starting already 8 years before presentation. An adrenal CS was diagnosed, and the patient was treated with laparoscopic adrenalectomy, with a subsequent complete remission of her hypercortisolism. This case report presenting a particularly long time gap between initial osteoporosis signs and the final diagnosis underlines the need for an investigation into secondary osteoporosis in low-energy fractures also in the peripheral skeleton. In this context, we performed a literature review, including case reports with fragility fractures that were attributed to endogenous CS. Conclusions: In summary, a delayed diagnosis of CS in patients with a previous accumulation of such fractures is a worrisome observation and should be considered in everyday clinical practice in order to improve the timely diagnosis and treatment of CS.

1. Introduction

Cushing syndrome (CS) is characterized by a state of prolonged hypercortisolemia, non-responsive to the physiological regulation of the hypothalamus–pituitary–adrenal axis. Besides iatrogenic hypercortisolism due to chronic steroid administration, common causes of Cushing syndrome include a corticotroph pituitary adenoma, an adrenocortical adenoma and ectopic ACTH secretion [1]. Typical Cushing cases present with central obesity, skin changes (facial plethora, purple striae, thin skin, and easy bruising), metabolic abnormalities (hypertension, type 2 diabetes mellitus, and dyslipidemia), osteoporosis and mood disorders [2].
Screening for hypercortisolemia is performed with a measurement of 24 h urinary free cortisol levels or the performance of a 1 mg dexamethasone suppression test and assessment of the morning plasma cortisol levels thereafter [3,4]. ACTH levels are useful in discerning between an ACTH-dependent and independent syndrome, and imaging helps to identify the tumor responsible for the hypercortisolism [5]. Besides a surgical excision of the tumor, which is the mainstay of treatment, pharmacological treatments or even radiation may be applied to achieve cortisol control [6]. Osteoporosis is one of the typical consequences of chronic hypercortisolemia, with approximately 20% of all CS patients suffering from osteoporotic fractures, with vertebral fractures being more prevalent [7].
Still, osteoporotic fractures, as an initial symptom of Cushing syndrome, are not well recognized, particularly since patients with Cushing syndrome are initially handled for their fracture and do not always adhere to follow-up for a detailed screening for secondary osteoporosis causes. In the present study, we present the case of a middle-aged female patient who suffered multiple osteoporotic fractures several years prior to the diagnosis of Cushing syndrome and perform a literature review on this subject. To the best of our knowledge, this is the first case reporting on such a large time gap between the initial osteoporosis signs and final diagnosis of Cushing syndrome, with hypercortisolemic signs being attributed to other clinical conditions, leading to a relevant delay in targeted treatment. Moreover, it presents rather unusual aspects of osteoporosis, such as low-energy fractures in the ribs and the peripheral skeleton, leading to irrelevant diagnoses. This case report adheres to the CARE guidelines.

2. Case Report

2.1. Presentation

In May 2023, a 45-year-old woman was referred to our endocrinology department for a further evaluation and management. The patient reported the appearance of facial plethora since 2014, which was investigated with rheumatological and dermatological consultations and even a skin biopsy, which, however, could not classify this finding in any clinical condition. She had already been under medical treatment with olmesartan/amlodipine/hydrochlorothiazide for arterial hypertension since 2015. Additionally, she had undergone total hysterectomy with bilateral salpingo-oophorectomy due to a large benign uterine fibroid tumor (10 × 8 cm) in 2020 and has, subsequently, been menopausal since the age of 42. She reported regular menstruation prior to the surgical procedure. Upon further questioning, the patient reported several previous fractures without relevant trauma (the sternum in 2015, the middle phalanges of both indicators in 2021, vertebral fractures involving T11 and L1 in 2022, and the sacrum in 2022). She was diagnosed with osteoporosis in 2022 and has been under denosumab treatment, 60 mg every 6 months, since then. Furthermore, she was diagnosed with dyslipidemia and type 2 diabetes mellitus (T2DM) 2 months prior to her presentation in our outpatient clinic, and treatment with atorvastatin/ezetimibe and metformin was initiated, respectively. The patient did not smoke, drink alcohol or present major emotional lability. Upon clinical examination, she presented plethora of the face and upper part of the chest, hyposphagma of the left eye, thin skin with several bruises, bilateral leg edema and muscle weakness (Figure 1). No striae or reports of central obesity were documented, and the patient’s BMI was 23 kg/m2.

2.2. Assessment

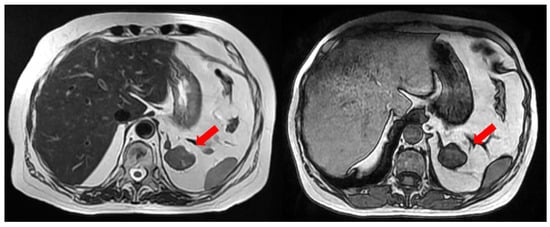
The bone mineral density (BMD) of the patient’s lumbar spine was first defined in 2022 with a T-score of −3.8 (Z-score −4.0, BMD 0.750 g/cm2), which was indicative of osteoporosis, leading to the initiation of treatment with denosumab. A magnetic resonance imaging (MRI) of the retroperitoneum performed as part of her investigation revealed a 3.5 cm lesion of the left adrenal gland with a suspicious morphology, not typical of an adrenal adenoma (Figure 2).
The hormonal work-up for the study of secondary osteoporosis causes revealed a serum calcium level of 9.4 mg/dL, within the normal range (8.4–10.2 mg/dL), with a parathormone level of 38.5 pg/mL (normal 17–100 pg/mL) and normal thyroid function (TSH 0.86, normal range 0.35–4.9 μIU/mL). As expected, the patient presented menopausal estrogen levels of <24 pg/mL along with increased gonadotrophins (FSH 94.6 μIU/mL, LH 51.8 μIU/mL). From the hormonal investigations for the differential diagnosis of the adrenal lesion, plasma renin activity was 0.20 ng/mL/h (normal range 0.2–1.4 ng/mL/h), with normal aldosterone levels (3.97 ng/dL, normal range 1–16) and normal plasma metanephrine and normetanephrine levels. The morning serum cortisol level was 18.7 μg/dL with a suppressed ACTH of <2.4 pg/mL (normal range 6–48 pg/mL), low normal DHEA-S (54.4 μg/dL, normal range 35–256 μg/dL), low normal Δ4 androstenedione (125 ng/dL, normal range 120–400 ng/dL), normal 17-OH-progesterone (0.18 ng/mL), normal testosterone (0.13 ng/mL, normal range 0.1–0.6 ng/mL), and normal SHBG. Moreover, the 24 h urinary free cortisol level (UFC) was 395 (<85 μg/g Creatinine), and cortisol levels after an overnight 1 mg dexamethasone suppression test (DST) were 16.7 μg/dL (normal range < 1.8 μg/dL).
In this context, the osteoporotic fractures emerging already years prior to menopause, with normal thyroid function and calcium metabolism, and the worsening of the metabolic profile of the patient with dyslipidemia and T2DM, together with the described clinical signs (plethora, ecchymoses, and muscle weakness), were attributed to florid Cushing Syndrome (CS). According to the diagnostic algorithm for the diagnosis of CS, an insufficient cortisol suppression upon 1 mg DST and a repeatedly elevated 24 h UFC in the absence of physiological conditions associated with hypercortisolism, as in our case, are confirmatory of CS [8]. As no equivocal results were present at any time in our hormonal investigations, no further functional testing was indicated, and the diagnosis of florid CS was established. The presence of the adrenal mass together with the suppressed ACTH levels were confirmatory of its adrenal origin [4,6,9].
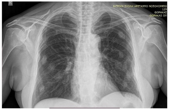
The patient was then referred to the surgical department for left adrenalectomy due to adrenal CS. As part of her preoperative assessment, she had a chest X-ray (Figure 3) where multiple round-shaped nodular opacities were accidentally discovered. The subsequent chest computerized tomography (CT) confirmed these as old porotic costal fractures (Figure 4), excluding any suspicion of an infection or metastasis [10,11,12].

2.3. Management

Given these findings, the patient underwent a laparoscopic left adrenalectomy, with peri-/postoperative hydrocortisone substitution. The pathology report described a 4 cm large adrenocortical neoplasm, with a Ki-67 cell proliferation index of 2%, and 2 mitoses/50 HPFs, without atypical mitoses or capsule infiltration. No necrosis was observed. Positive staining was documented for calretinin (+), MelanA (+), and synaptophysin (+), whereas staining for vimentin (-), CEA (-) and HMB-45 (-) was negative. The adenoma consisted of two populations of adrenocortical cells; approximately 65% of the cells displayed lipid-rich cytoplasm and the rest dense, lipid-poor cytoplasm (compact cells). Both cell populations grew together, forming a trabecular pattern. The SF1 marker showed intense nuclear expression in 100% of the cells, with p53 displaying the wild-type expression pattern, and β-catenin a paranuclear dot-like staining (no aberrant expression pattern). CYP11B1 showed mild to moderate cytoplasmatic expression, mainly in the lipid-poor neoplastic cells, while low to no expression was documented in the lipid-rich cells. CYP11B2 expression was absent in both cell populations, while diffuse and intense HSD3B2 expression was identified in all neoplastic cells. Based on the modified Weiss criteria, this tumor was classified as a benign adrenal cortical adenoma.
After gradual tapering, the patient could finally stop hydrocortisone substitution that had been initiated directly postoperatively. In the 6-month follow-up, a complete normalization of the hormonal profile was documented, with a cortisol level after an overnight 1 mg DST of 0.8 μg/dL (normal range < 1.8 μg/dL) and a 24 h UFC of 69 μg/g Creatinine (normal range < 85 μg/g Creatinine). Glucose metabolism was also normalized, without the necessity for antidiabetic medication. In the 1-year follow-up, the patient reported a weight loss of approx. 10 kg and the BMD of lumbar spine improved under treatment with a T-score of −3.0 (Z-score −2.4, BMD 0.818 g/cm2).

3. Literature Review and Discussion

Herein, we present a case of a middle-aged woman who was diagnosed with adrenal CS, several years after the diagnosis of multiple osteoporotic fractures. In line with our observation, Vestergaard et al. demonstrated that CS patients present an increased fracture risk in the immediate two years prior to the CS diagnosis but not thereafter, probably due to the reduction in hypercortisolism after CS treatment [13] and also thanks to the specific anti-osteoporotic treatment initiated in the vast majority of patients [14].
Interestingly, in our case, the time lapse between the first fragility fracture and the final diagnosis of CS was particularly long, over eight years, unlike previous cases described in the literature. Additionally, as the medical history of our patient was complicated by early menopause at the age of 42, because of the total hysterectomy with bilateral salpingo-oophorectomy, the accumulation of fractures could also be attributed to this later diagnosis. Still, estrogen depletion documented in our patient only began after the surgical intervention (in 2020), whereas the first osteoporotic fractures occurred several years in advance (sternum fracture in 2015). Of course, an additive effect of early menopause in the already disturbed bone metabolism in our patient should be considered. Further signs such as arterial hypertension and dyslipidemia could also be recognized as menopausal consequences. However, when the diagnosis of CS was suspected, several other clinical signs, such as the plethora of the face and upper part of the chest, thin skin with several bruises, bilateral leg edema and muscle weakness, were apparent and indicative of florid CS. These are documented in a recently introduced model to estimate the pre-test probability of Cushing’s syndrome according to the Cushing Score [15].
To further elucidate common characteristics in the occurrence of osteoporotic fractures in patients with endogenous CS, we performed a literature review, using “Cushing Syndrome”, “osteoporotic”, and “fractures” as search terms ((cushing disease [MeSH Terms]) OR (cushing syndrome [MeSH Terms])) AND (fracture, osteoporotic [MeSH Terms]) on the 30th of April 2024. We did not define a timeframe for the search but included only case reports providing information on the occurrence and location of osteoporotic fractures and BMD data in patients with endogenous CS, excluding articles on exogenous CS or other conditions related to hypercortisolism, reports without biochemical information on hypercortisolism, review articles and records in languages other than English. We further included case reports identified from the references of other articles (PRISMA flow diagram—Figure 5). We summarize the clinical, biochemical and imaging characteristics of the case reports included in our review, as displayed in Table 1.
In our review, we included 19 cases from the literature together with our own case, all reporting on patients who presented with osteoporotic fractures as an initial symptom of CS. Out of these twenty cases, eight had an adrenal adenoma, eight pituitary lesions and four ectopic ACTH secretion (one with bronchial carcinoid, one with an unclarified pulmonary lesion, one with medullary thyroid carcinoma and one with unknown focus) [16,17,18,19,20,21,22,23,24,25,26,27,28,29,30,31,32,33,34]. Male and female patients are equally represented in this cohort, with an age range between 16 and 74 years. Sixteen cases (16/19) suffered at least one vertebral fracture, while rib, hip, sternum, tibial and metatarsal fractures were recorded in some patients. Inversely, only three cases (3/19) presented at least one peripheral fracture, including the present case [27,28]. In all but one case, 24 h UFC levels were above the normal range, and similarly, whenever tested, insufficient cortisol suppression was documented after an overnight 1 mg DST, confirming, in all cases, pathological hypercortisolemia. Accordingly, our patient, who suffered from both vertebral and non-vertebral fractures, displayed increased 24 h UFC levels and an absent cortisol suppression upon the DST.
Regarding comorbidities, arterial hypertension was the most common concomitant condition, followed by obesity, dyslipidemia, diabetes and, in women, amenorrhea, all typical symptoms of CS. Interestingly, though, in five of the cases, these comorbidities were only recognized on the occasion of the fractures, as occurred in our patient [16,17,22,23,24]. Furthermore, two of the patients did not present any further comorbidities attributed to CS [21,27]. Of note, in another case, several vertebral fractures were diagnosed in a 29-year-old pregnant woman, who presented with dilated cardiomyopathy due to CS because of an adrenal adenoma, without further typical CS symptoms [16].
Among the cases studied herein, only two of the patients suffered from a solitary fracture prior to the diagnosis of CS [17,30], whereas in the majority, multiple fractures progressively accumulated in the same patient within a timeframe, ranging from a few months up to some years. In line with this observation, in our case report, the patient experienced their first fracture over 8 years prior to their diagnosis.
Although in the vast majority of patients included herein, manifest osteoporosis was documented in at least one of the lumbar spines or femurs. In one case described by Papadakis et al., only osteopenia was recognized [27]. However, this was also one of the four cases where the patient suffered only non-vertebral fractures. In a similar manner, Poonuru et al., besides from the selected case described in detail and included herein (Table 1), report nine more women suffering from CS, all with non-vertebral fractures, who only in part displayed osteoporosis [28]. Our patient, who presented both vertebral and non-vertebral fractures, displayed low BMD corresponding to osteoporosis. However, as the measurement of BMD only occurred several years after the appearance of the first fragility fracture, we cannot exclude a linear evolvement from osteopenia to osteoporosis in our case.
Glucocorticoid excess mainly acts through the inhibition of new bone formation, whereas, during the onset of hypercortisolism, bone resorption is also observed, leading in total to a rapidly increased fracture risk. Besides the direct bone effect, hypercortisolism also leads to myopathy, growth hormone deficiency, hypogonadism, reduced calcium absorption and increased renal calcium secretion, all factors affecting bone metabolism [35]. Furthermore, the severity of hypercortisolism, its duration and the delay to diagnosis all play a role in bone health in CS patients. Several studies have acknowledged that CS patients have a higher risk of fractures than controls, despite slightly decreased BMD values being observed frequently, and identified bone microarchitecture quantified with the trabecular bone score (TBS) as a crucial parameter particularly affected in CS [36,37,38,39]. In a study, TBS correlated with the levels of 24 h UFC and in another with the duration of CS [36,37]. In our case, the first described sternum fracture could timely correlate with the first phase of bone resorption occurring at the onset of hypercortisolism, while the subsequent vertebral fractures could timely coincide with both the inhibition of new bone formation due to chronic hypercortisolemia and the early estrogen deprivation after total hysterectomy. Despite the missing TBS data in our patient, the long duration of CS appears in line with the observation about its role in CS, attributing long-term exposure to increased cortisol levels, pivotal for the development of osteoporotic fractures. This observation could also be confirmed for several of the cases reviewed herein [22,23,24,25,31,32].
Interestingly, though, even patients with mild autonomous cortisol secretion (MACS) display an altered TBS, rendering this marker a sensitive tool for the assessment of bone quality in both CS and MACS, implying a continuum as in the case of cardiometabolic risk factors [40,41]. It has recently been demonstrated that post-menopausal women with MACS in particular demonstrate a significantly higher prevalence of fragility fractures in comparison to patients with non-functioning adrenal adenomas, indicative of an altered bone metabolism in this group [42]. Among others, it has now been suggested to screen for CS patients undergoing fragility fractures with uncommon features such as young age (men <50 or pre-menopausal women) or BMD values inappropriately in normal range or slightly reduced and to additionally employ further tools such as morphometry or a TBS quality assessment in these cases [43].

4. Conclusions

Herein, we present the case of a middle-aged woman who already had multiple clinical signs and symptoms of hypercortisolism years prior to the diagnosis of CS. Although fragility fractures as a result of osteoporosis with a simultaneous altered bone architecture are a frequent finding in CS, the review of the literature pinpoints a delayed diagnosis of CS in these patients, sometimes with the accumulation of such fractures before screening for the disease. In our case, only the occurrence of vertebral fractures alerted the physician to investigate further the differential diagnosis of osteoporosis as opposed to all previous fractures that did not raise suspicion to investigate in this direction, resulting in a marked delay in diagnosis and treatment. These findings should be considered in everyday clinical practice in order to improve the timely diagnosis and treatment of CS and to avoid further complications.

Author Contributions

Conceptualization, K.I.A.; methodology, K.I.A., A.S. and P.K.; validation, K.I.A., M.Μ.K. and D.K.; formal analysis, A.S.; investigation, A.C., G.K., D.K., P.A., K.B. and A.S.; resources, K.I., V.T. and D.T.; data curation, P.K., K.I. and V.T.; writing—original draft preparation, A.S.; writing—review and editing, K.I.A., G.M. and M.Μ.K.; visualization, A.S.; supervision, K.I.A., M.Μ.K., A.C. and G.M. All authors have read and agreed to the published version of the manuscript.

Funding

This research received no external funding.

Institutional Review Board Statement

This study was conducted in accordance with the Declaration of Helsinki and approved by the Ethics Committee of the Aretaieio Hospital with reference number 363/13-10-2021.

Informed Consent Statement

Written informed consent has been obtained from the patient to publish this paper and to include medically relevant images.

Data Availability Statement

Data will be available upon reasonable request.

Conflicts of Interest

The authors declare no conflicts of interest.

References

  1. Alexandraki, K.; Spyroglou, A.; Grossman, A.B. The diagnosis of Cushing’s disease. In Pituitary Tumors: A Comprehensive and Interdisciplinary Approach; Honegger, J., Reincke, M., Petersenn, S., Eds.; Elsevier: Amsterdam, The Netherlands, 2021; pp. 219–229. [Google Scholar]
  2. Reincke, M.; Fleseriu, M. Cushing Syndrome: A Review. JAMA 2023, 330, 170–181. [Google Scholar] [CrossRef]
  3. Nieman, L.K.; Biller, B.M.; Findling, J.W.; Murad, M.H.; Newell-Price, J.; Savage, M.O.; Tabarin, A.; Endocrine, S. Treatment of Cushing’s Syndrome: An Endocrine Society Clinical Practice Guideline. J. Clin. Endocrinol. Metab. 2015, 100, 2807–2831. [Google Scholar] [CrossRef] [PubMed]
  4. Fleseriu, M.; Auchus, R.; Bancos, I.; Ben-Shlomo, A.; Bertherat, J.; Biermasz, N.R.; Boguszewski, C.L.; Bronstein, M.D.; Buchfelder, M.; Carmichael, J.D.; et al. Consensus on diagnosis and management of Cushing’s disease: A guideline update. Lancet Diabetes Endocrinol. 2021, 9, 847–875. [Google Scholar] [CrossRef] [PubMed]
  5. Violetis, O.; Alexandraki, K.I. New Trends in Treating Cushing’s Disease. Touchreviews Endocrinol. 2024, 20, 10–15. [Google Scholar] [CrossRef]
  6. Alexandraki, K.I.; Grossman, A.B. Novel insights in the diagnosis of Cushing’s syndrome. Neuroendocrinology 2010, 92 (Suppl. S1), 35–43. [Google Scholar] [CrossRef] [PubMed]
  7. Valassi, E.; Santos, A.; Yaneva, M.; Toth, M.; Strasburger, C.J.; Chanson, P.; Wass, J.A.; Chabre, O.; Pfeifer, M.; Feelders, R.A.; et al. The European Registry on Cushing’s syndrome: 2-year experience. Baseline demographic and clinical characteristics. Eur. J. Endocrinol. 2011, 165, 383–392. [Google Scholar] [CrossRef]
  8. Nieman, L.K.; Biller, B.M.; Findling, J.W.; Newell-Price, J.; Savage, M.O.; Stewart, P.M.; Montori, V.M. The diagnosis of Cushing’s syndrome: An Endocrine Society Clinical Practice Guideline. J. Clin. Endocrinol. Metab. 2008, 93, 1526–1540. [Google Scholar] [CrossRef]
  9. Alexandraki, K.; Grossman, A.B. Florid Cushing’s Syndrome. In Endotext; Feingold, K.R., Ed.; MDText.com, Inc.: Fairhaven, MA, USA, 2018. [Google Scholar]
  10. Tavares Bello, C.; van der Poest Clement, E.; Feelders, R. Severe Cushing’s syndrome and bilateral pulmonary nodules: Beyond ectopic ACTH. Endocrinol. Diabetes Metab. Case Rep. 2017, 2017, 17–0100. [Google Scholar] [CrossRef]
  11. Alexandraki, K.I.; Grossman, A.B. The ectopic ACTH syndrome. Rev. Endocr. Metab. Disord. 2010, 11, 117–126. [Google Scholar] [CrossRef]
  12. Wang, C.C.; Robbins, L.L. Cushing’s disease: Its roentgenographic findings. Radiology 1956, 67, 17–25. [Google Scholar] [CrossRef]
  13. Braun, L.T.; Fazel, J.; Zopp, S.; Benedix, S.; Osswald-Kopp, A.; Riester, A.; Rubinstein, G.; Seidensticker, M.; Beuschlein, F.; Drey, M.; et al. The Effect of Biochemical Remission on Bone Metabolism in Cushing’s Syndrome: A 2-Year Follow-Up Study. J. Bone Miner. Res. 2020, 35, 1711–1717. [Google Scholar] [CrossRef] [PubMed]
  14. Vestergaard, P.; Lindholm, J.; Jorgensen, J.O.; Hagen, C.; Hoeck, H.C.; Laurberg, P.; Rejnmark, L.; Brixen, K.; Kristensen, L.O.; Feldt-Rasmussen, U.; et al. Increased risk of osteoporotic fractures in patients with Cushing’s syndrome. Eur. J. Endocrinol. 2002, 146, 51–56. [Google Scholar] [CrossRef]
  15. Parasiliti-Caprino, M.; Bioletto, F.; Frigerio, T.; D’Angelo, V.; Ceccato, F.; Ferrau, F.; Ferrigno, R.; Minnetti, M.; Scaroni, C.; Cannavo, S.; et al. A New Clinical Model to Estimate the Pre-Test Probability of Cushing’s Syndrome: The Cushing Score. Front. Endocrinol. 2021, 12, 747549. [Google Scholar] [CrossRef] [PubMed]
  16. Al Banna, R.; Husain, A.; Al Aali, J.; Ebrahim, K.; Mohammed, A. Reversible cushing dilated cardiomyopathy mimicking peripartum cardiomyopathy with successful subsequent pregnancy. BMJ Case Rep. 2011, 2011, bcr0920114825. [Google Scholar] [CrossRef]
  17. Arduc, A.; Dogan, B.A.; Akbaba, G.; Dagdelen, I.; Kucukler, K.; Isik, S.; Ozuguz, U.; Berker, D.; Guler, S. A rare presentation of subclinical Cushing’s syndrome as a pubic fracture. Intern. Med. 2014, 53, 1779–1782. [Google Scholar] [CrossRef]
  18. Chaudhary, K.; Chandy, D.; Agrawal, V.; Dhawale, A.; Nagaonkar, S. Spinal Epidural Lipomatosis with Osteoporotic Vertebral Fractures Presenting as Acute Thoracic Myelopathy in a 33-Year-Old Man with Cushing Disease. World Neurosurg. 2020, 142, 136–141. [Google Scholar] [CrossRef] [PubMed]
  19. Cheng, J.; Ju, S.; Zhang, Z. Osteoporotic vertebral compression fractures caused by Cushing’s syndrome in young women: Case report and literature review. BMC Musculoskelet. Disord. 2023, 24, 167. [Google Scholar] [CrossRef]
  20. Cheng, P.Y.; Chung, S.D.; Huang, Y.Y.; Jaw, F.S.; Wu, W.C. Repeated vertebral compression fractures in young adult may imply functional adrenal tumor. Neuroendocrinol. Lett. 2022, 43, 208–212. [Google Scholar]
  21. Correia, S.; Ramalho, D.; Rocha, G.; Oliveira, M.J. Multiple Bone Fractures in a Patient With Difficult-to-Treat Cushing’s Disease. Cureus 2022, 14, e29401. [Google Scholar] [CrossRef]
  22. Forde, H.E.; Mehigan-Farrelly, N.; Ryan, K.; Moran, T.; Greally, M.; Duffy, A.G.; Byrne, M.M. Metastatic medullary thyroid carcinoma presenting as ectopic Cushing’s syndrome. Endocrinol. Diabetes Metab. Case Rep. 2021, 2021, 20–0207. [Google Scholar] [CrossRef]
  23. Gil-Ortiz, C.; Ramirez-Romero, A.; Bonifacio-Delgadillo, D.; Lagos-Servellon, J. Multilevel percutaneous vertebroplasty with the Spine Jack(R) system in a patient with Cushing disease. Clin. Case Rep. 2021, 9, e05034. [Google Scholar] [CrossRef] [PubMed]
  24. Han, J.Y.; Lee, J.; Kim, G.E.; Yeo, J.Y.; Kim, S.H.; Nam, M.; Kim, Y.S.; Hong, S. A case of cushing syndrome diagnosed by recurrent pathologic fractures in a young woman. J. Bone Metab. 2012, 19, 153–158. [Google Scholar] [CrossRef]
  25. Lupinska, A.; Aszkielowicz, S.; Zielinski, G.; Stawerska, R.; Lewinski, A. Osteoporosis as the First Sign of Cushing’s Disease in a Thin 16-Year-Old Boy-A Case Report. J. Clin. Med. 2023, 12, 5967. [Google Scholar] [CrossRef] [PubMed]
  26. Nogueira, C.; Souto, S.B.; Rios, E.; Pereira, J.; Vinha, E.; Freitas, P.; Carvalho, D. Vertebral osteoporotic fractures with height loss secondary to Cushing’s disease. Acta Reumatol. Port. 2015, 40, 310–311. [Google Scholar] [PubMed]
  27. Papadakis, G.; Uebelhart, B.; Goumaz, M.; Zawadynski, S.; Rizzoli, R. An unusual case of hypercortisolism with multiple weight-bearing bone fractures. Clin. Cases Miner. Bone Metab. 2013, 10, 213–217. [Google Scholar]
  28. Poonuru, S.; Findling, J.W.; Shaker, J.L. Lower extremity insufficiency fractures: An underappreciated manifestation of endogenous Cushing’s syndrome. Osteoporos. Int. 2016, 27, 3645–3649. [Google Scholar] [CrossRef]
  29. Rahimi, B.; Boroofeh, B.; Dinparastisaleh, R.; Nazifi, H. Cement pulmonary embolism after percutaneous vertebroplasty in a patient with cushing’s syndrome: A case report. Respir. Med. Case Rep. 2018, 25, 78–85. [Google Scholar] [CrossRef]
  30. Raj, R.; Taylor, R.K.; Owen, D. A Rapidly Progressive Case of Ectopic Adrenocorticotropic Hormone (ACTH) Syndrome. Am. J. Case Rep. 2021, 22, e934437. [Google Scholar] [CrossRef]
  31. Ramirez-Villaescusa, J.; Ruiz-Picazo, D.; Oliveira, C.L.; Morillas-Arino, C. Secondary thoracolumbar deformity and sagittal imbalance due to osteoporosis in a young man with Cushing’s disease: A case report. Int. J. Surg. Case Rep. 2020, 76, 134–138. [Google Scholar] [CrossRef]
  32. Rashid, F.; Riccio, S.A.; Munk, P.L.; Malfair, D.; Heran, M.K. Vertebroplasty for vertebral compression fractures secondary to Cushing’s syndrome induced by an ACTH-producing bronchial carcinoid tumour. Singap. Med. J. 2009, 50, e147–e150. [Google Scholar]
  33. Reis, B.O.; Leal, C.T.S.; Ezequiel, D.G.A.; Dos Santos Ribeiro Simoes Juliano, A.C.; de Macedo Veloso, F.L.; da Silva, L.M.; Ferreira, L.V.; Ferreira, M.; De Oliveira Souza, G.Z. Severe osteoporosis in a young man with bilateral Cushing’s syndrome: A case report. J. Med. Case Rep. 2023, 17, 251. [Google Scholar] [CrossRef] [PubMed]
  34. Yoshihara, A.; Okubo, Y.; Tanabe, A.; Sata, A.; Nishimaki, M.; Kawamata, T.; Kubo, O.; Hori, T.; Takano, K. A juvenile case of Cushing’s disease incidentally discovered with multiple bone fractures. Intern. Med. 2007, 46, 583–587. [Google Scholar] [CrossRef] [PubMed][Green Version]
  35. Zdrojowy-Welna, A.; Stachowska, B.; Bolanowski, M. Cushing’s disease and bone. Pituitary 2024. [Google Scholar] [CrossRef] [PubMed]
  36. Belaya, Z.E.; Hans, D.; Rozhinskaya, L.Y.; Dragunova, N.V.; Sasonova, N.I.; Solodovnikov, A.G.; Tsoriev, T.T.; Dzeranova, L.K.; Melnichenko, G.A.; Dedov, I.I. The risk factors for fractures and trabecular bone-score value in patients with endogenous Cushing’s syndrome. Arch. Osteoporos. 2015, 10, 44. [Google Scholar] [CrossRef]
  37. Stachowska, B.; Halupczok-Zyla, J.; Kuliczkowska-Plaksej, J.; Syrycka, J.; Bolanowski, M. Decreased Trabecular Bone Score in Patients With Active Endogenous Cushing’s Syndrome. Front. Endocrinol. 2020, 11, 593173. [Google Scholar] [CrossRef]
  38. Trementino, L.; Appolloni, G.; Ceccoli, L.; Marcelli, G.; Concettoni, C.; Boscaro, M.; Arnaldi, G. Bone complications in patients with Cushing’s syndrome: Looking for clinical, biochemical, and genetic determinants. Osteoporos. Int. 2014, 25, 913–921. [Google Scholar] [CrossRef]
  39. Frara, S.; di Filippo, L.; Doga, M.; Loli, P.; Casanueva, F.F.; Giustina, A. Novel approaches to bone comorbidity in Cushing’s disease: An update. Pituitary 2022, 25, 754–759. [Google Scholar] [CrossRef]
  40. Vinolas, H.; Grouthier, V.; Mehsen-Cetre, N.; Boisson, A.; Winzenrieth, R.; Schaeverbeke, T.; Mesguich, C.; Bordenave, L.; Tabarin, A. Assessment of vertebral microarchitecture in overt and mild Cushing’s syndrome using trabecular bone score. Clin. Endocrinol. 2018, 89, 148–154. [Google Scholar] [CrossRef]
  41. Papanastasiou, L.; Alexandraki, K.I.; Androulakis, I.I.; Fountoulakis, S.; Kounadi, T.; Markou, A.; Tsiavos, V.; Samara, C.; Papaioannou, T.G.; Piaditis, G.; et al. Concomitant alterations of metabolic parameters, cardiovascular risk factors and altered cortisol secretion in patients with adrenal incidentalomas during prolonged follow-up. Clin. Endocrinol. 2017, 86, 488–498. [Google Scholar] [CrossRef]
  42. Zavatta, G.; Vicennati, V.; Altieri, P.; Tucci, L.; Colombin, G.; Coscia, K.; Mosconi, C.; Balacchi, C.; Fanelli, F.; Malagrino, M.; et al. Mild autonomous cortisol secretion in adrenal incidentalomas and risk of fragility fractures: A large cross-sectional study. Eur. J. Endocrinol. 2023, 188, 343–352. [Google Scholar] [CrossRef]
  43. Giordano, R.; Parasiliti Caprino, M.; Loli, P.; Giustina, A. Screening for endogenous hypercortisolism in patients with osteoporosis and fractures: Why, when and how. J. Endocrinol. Investig. 2024; Online ahead of print. [Google Scholar] [CrossRef]
Figure 1. Upper panel: facial plethora of the patient, thin skin, easy bruising and leg edema. Lower panel: symptoms’ timeline.
Figure 1. Upper panel: facial plethora of the patient, thin skin, easy bruising and leg edema. Lower panel: symptoms’ timeline.
Endocrines 05 00043 g001
Figure 2. Abdominal MRI (T2–left and in/out of phase—right) depicting a 3.5 cm large left adrenal adenoma. Red arrows depict the left sided adrenal adenoma.
Figure 2. Abdominal MRI (T2–left and in/out of phase—right) depicting a 3.5 cm large left adrenal adenoma. Red arrows depict the left sided adrenal adenoma.
Endocrines 05 00043 g002
Figure 3. Chest radiograph (posteroanterior view) obtained pre-operatively with bilateral nodular opacities reminiscent of metastatic disease.
Figure 3. Chest radiograph (posteroanterior view) obtained pre-operatively with bilateral nodular opacities reminiscent of metastatic disease.
Endocrines 05 00043 g003
Figure 4. Representative images of the thorax CT depicting pathological fractures due to osteoporotic disease. Red arrows depict old porotic costal fractures.
Figure 4. Representative images of the thorax CT depicting pathological fractures due to osteoporotic disease. Red arrows depict old porotic costal fractures.
Endocrines 05 00043 g004
Figure 5. PRISMA flow diagram.
Figure 5. PRISMA flow diagram.
Endocrines 05 00043 g005
Table 1. Characteristics of case reports with osteoporotic fractures in Cushing patients.
Table 1. Characteristics of case reports with osteoporotic fractures in Cushing patients.
StudyOrigin of Cortisol ExcessAgeSexVertebral or Non-Vertebral FracturesBMDConcomitant Conditions24 h UFCACTHF (DST)
Al Banna, 2011 [16]Adrenal adenoma29FMultiple wedge fractures in lumbar spineN/APregnancy, Dilated Cardiomyopathy, Depression1457 nmol/L (131–451)<0.2 pmol/L (0–10)N/A
Arduc, 2014 [17]Adrenal adenoma62FPubic fractureT-score: L1-L4 −4.2,
femoral neck −3.4
Arterial Hypertension371 μg/24 h (20–90)1.1 pg/mL (7–63)20 μg/dL (<1.8)
Chaudhary, 2020 [18]Pituitary microadenoma33MThoracic spine (T4, T5, T7) fracturesZ-score L1-L4 −3.1, femoral neck −1.8Coronary Artery Disease, Diabetes, Arterial Hypertension, Hypokalemia1680 μg/24 h (<400)103 pg/mL (7–63)31 μg/dL (<1.8)
Cheng, 2023 [19]Adrenal adenoma26FL1, L2, L4 vertebral and pelvic fracturesZ-score L1-L5 −4.6, femoral neck −2.1Obesity, Arterial HypertensionN/A<1 pg/mL812.9 nmol/L (<50)
Cheng, 2022 [20]Adrenal adenoma48ML2-L5 and T9-T12 vertebral compression fracturesT-score hip −2.6Diabetes, Arterial HypertensionN/A8.2 pg/mL (10–60)29 μg/dL (0.5 mg Q6-48 h)
Correia, 2022 [21]Pituitary lesion33MT12, costal arches, dorsal columns, sternum fracturesT-score L1-L4 −3.8, femur −2.0None1190 μg/24 h 77 pg/mLN/A
Forde, 2021 [22]Ectopic ACTH syndrome (medullary TC)41MT8, T9, T10, T11, L2, L4, L5 vertebral, bilateral pubic rami fracturesT-score L1-L4 −2.0, femoral neck −3.2Obesity, Arterial HypertensionN/A97 ng/L570 nmol/L (<50)
Gil-Ortiz, 2021 [23]Pituitary adenoma55MT5, T8, T11, T12, L1-L5 vertebral fracturesT-score femoral neck −3.2Obesity, Arterial HypertensionN/A62 pmol/L (0–35)N/A
Han, 2012 [24]Adrenal adenoma28FSacrum, T6, T8, T9, T11, T12, L2, L3 vertebral, 7th, 10th rib fracturesZ-score L1-L4 −2.9, femoral neck −2.1AmenorrheaN/A10 pg/mL28.4 μg/dL (<1.8)
Lupinska, 2023 [25]Pituitary microadenoma16MT5-T9, L4, L5 vertebral fracturesZ-score L1-L5 −4.2, TBLH −1.9Short stature, Tanner 4, Growth Retardation Since 11 y.o.N/A88.9 pg/mL7.8 μg/dL (<1.8)
Nogueira, 2015 [26]Pituitary adenoma37MVertebral and rib fracturesT-score lumbar spine −3.8, femur −3.6, Z-score lumbar −3.8, femur −2.7Arterial Hypertension, Dyslipidemia, Secondary InfertilityN/A118 pg/mL39.5 μg/dL (<1.8)
Papadakis, 2013 [27]Pituitary lesion52FRight olecranon, first, second, fourth left metatarsal, third, fourth right metatarsal, right femoral condyleT-score lumbar spine −1.6, femur −2.3Total Hysterectomy (age 51)449 nmol/24 h79 ng/L (<60)373 nmol/L (<140)
Poonuru, 2016 [28]Bilateral adrenal adenomas50FLeft tibia, right tibia fractureT-score lumbar spine −2.1Arterial HypertensionN/A5.1 pg/mL4.1 mg/dL (<1.8)
Rahimi, 2018 [29]Ectopic ACTH syndrome
(unknown source)
38MT7-T12 vertebral fracturesT- and Z-score spine <−2.9Obesity546 and 764 μg/24 h after low and high DST82 pg/mLN/A
Raj, 2021 [30]Ectopic ACTH syndrome (pulmonary nodule)74FHip fractureN/AObesity, Edema, Hypokalemia, Diabetes, CDK 3b, Atrial Fibrillation, Heart Failure, Arterial Hypertension, Dyslipidemia357 mg/24 h (6–42)174, 229, 342 pg/mL62.99 μg/dL (8 mg DST)
Ramirez, 2020 [31]Pituitary microadenoma43MRib, T6, T11, T12, L1, L2, L4, L5 fracturesT-score lumbar −2.7, femoral neck −3.1Arterial Hypertension1616.8 μg/24 h (2.3–176)104 pg/mL35.8 μg/dL (0.5 mg Q6-48 h)
Rashid, 2009 [32]Ectopic ACTH syndrome (bronchial carcinoid tumor)36FT7, T11-L2, L4, L5 vertebral fracturesT-score lumbar −1.6, femoral neck −3.0Edema, Hirsutism, Amenorrhea, Arterial HypertensionN/A15 pmol/L (0–15)322 nmol/L (8 mg DST) (<50)
Reis, 2023 [33]Bilateral adrenal enlargement20MT12-L3, L5 vertebral fracturesT-score L2-L4 −5.6, femoral neck −3.5, Z-score L2-L4 −5.6, femoral neck −3.0Central Obesity, Arterial Hypertension60.3 μg/24 h (4.3–176)N/A24.1 μg/dL (<1.8)
Yoshihara, 2007 [34]Pituitary microadenoma19FSpine compression fractures, right upper arm (traumatic)T-score lumbar −3.0Amenorrhea, Depression, Arterial Hypertension, Hypokalemia, Impaired Glucose Tolerance748 μg/24 h128 pg/mLN/A
Present caseAdrenal adenoma46Fsternum, middle phalanges of both indicators, rib, vertebral fractures T11, L1, sacrumT-score lumbar −3.8Arterial Hypertension, Dyslipidemia, Diabetes395 μg/24 h<2.4 pg/mL16.7 μg/dL (<1.8 μg/dL)
BMD: bone mineral density; CDK: chronic kidney disease; DST: dexamethasone suppression test; F: cortisol; N/A: non-available; TBLH: total body less head; TC: thyroid carcinoma; UFC: urinary free cortisol.
Disclaimer/Publisher’s Note: The statements, opinions and data contained in all publications are solely those of the individual author(s) and contributor(s) and not of MDPI and/or the editor(s). MDPI and/or the editor(s) disclaim responsibility for any injury to people or property resulting from any ideas, methods, instructions or products referred to in the content.

Share and Cite

MDPI and ACS Style

Spyroglou, A.; Konstantakou, P.; Iliakopoulos, K.; Themelidi, V.; Tsekoura, D.; Kolomodi, D.; Kyriakopoulos, G.; Antonakis, P.; Bramis, K.; Chatziioannou, A.; et al. Multiple Osteoporotic Fractures in Cushing Syndrome: A Case Report and a Review of the Literature. Endocrines 2024, 5, 600-612. https://doi.org/10.3390/endocrines5040043

AMA Style

Spyroglou A, Konstantakou P, Iliakopoulos K, Themelidi V, Tsekoura D, Kolomodi D, Kyriakopoulos G, Antonakis P, Bramis K, Chatziioannou A, et al. Multiple Osteoporotic Fractures in Cushing Syndrome: A Case Report and a Review of the Literature. Endocrines. 2024; 5(4):600-612. https://doi.org/10.3390/endocrines5040043

Chicago/Turabian Style

Spyroglou, Ariadni, Panagiota Konstantakou, Konstantinos Iliakopoulos, Vasiliki Themelidi, Dorothea Tsekoura, Denise Kolomodi, Georgios Kyriakopoulos, Pantelis Antonakis, Konstantinos Bramis, Achilles Chatziioannou, and et al. 2024. "Multiple Osteoporotic Fractures in Cushing Syndrome: A Case Report and a Review of the Literature" Endocrines 5, no. 4: 600-612. https://doi.org/10.3390/endocrines5040043

APA Style

Spyroglou, A., Konstantakou, P., Iliakopoulos, K., Themelidi, V., Tsekoura, D., Kolomodi, D., Kyriakopoulos, G., Antonakis, P., Bramis, K., Chatziioannou, A., Mastorakos, G., Konstadoulakis, M. M., & Alexandraki, K. I. (2024). Multiple Osteoporotic Fractures in Cushing Syndrome: A Case Report and a Review of the Literature. Endocrines, 5(4), 600-612. https://doi.org/10.3390/endocrines5040043

Article Metrics

Back to TopTop