Normothermic Machine Perfusion as a Tool for Safe Transplantation of High-Risk Recipients
Abstract
:1. Introduction
2. Normothermic Machine Perfusion
3. Suboptimal Liver Grafts and NMP
4. Graft Assessment
5. High-Risk Transplant Recipients
5.1. Retransplant
5.2. Previous Major Hepatobiliary Surgery
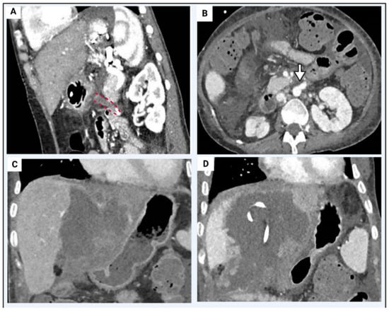
5.3. Portal Vein Thrombosis
5.4. Budd–Chiari Syndrome
6. Normothermic Machine Perfusion Considerations
7. Conclusions
Author Contributions
Funding
Institutional Review Board Statement
Informed Consent Statement
Data Availability Statement
Acknowledgments
Conflicts of Interest
References
- Dueland, S.; Syversveen, T.; Solheim, J.M.; Solberg, S.; Grut, H.; Bjørnbeth, B.A.; Hagness, M.; Line, P.-D. Survival Following Liver Transplantation for Patients with Nonresectable Liver-only Colorectal Metastases. Ann. Surg. 2020, 271, 212–218. [Google Scholar] [CrossRef] [PubMed]
- Cambridge, W.A.; Fairfield, C.; Powell, J.J.; Harrison, E.M.; Søreide, K.; Wigmore, S.J.; Guest, R.V. Meta-analysis and Meta-regression of Survival after Liver Transplantation for Unresectable Perihilar Cholangiocarcinoma. Ann. Surg. 2021, 273, 240–250. [Google Scholar] [CrossRef] [PubMed]
- Annual Report on the National Organ Retrieval Service (NORS). In Report for 2020/2021. UK: NHS Blood and Transplant; National Organ Retrieval Service, 2021; Available online: https://nhsbtdbe.blob.core.windows.net/umbraco-assets-corp/24643/annual-report-on-the-national-organ-retrieval-service-202021.pdf (accessed on 22 February 2022).
- Israni, A.K.; Zaun, D.; Rosendale, J.D.; Schaffhausen, C.; McKinney, W.; Snyder, J.J. OPTN/SRTR 2019 Annual Data Report: Deceased Organ Donors. Am. J. Transplant. 2021, 21 (Suppl. 2), 521–558. [Google Scholar] [CrossRef] [PubMed]
- Lee, E.; Johnston, C.J.C.; Oniscu, G.C. The trials and tribulations of liver allocation. Transpl. Int. 2020, 33, 1343–1352. [Google Scholar] [CrossRef] [PubMed]
- Neuberger, J. Liver allocation. Minerva Gastroenterol. Dietol. 2018, 64, 170–179. [Google Scholar] [CrossRef]
- Buchholz, B.M.; Khan, S.; David, M.D.; Gunson, B.K.; Isaac, J.R.; Roberts, K.J.; Muiesan, P.; Mirza, D.F.; Tripathi, D.; Perera, M.T.P. Retransplantation in Late Hepatic Artery Thrombosis: Graft Access and Transplant Outcome. Transplant. Direct 2017, 3, e186. [Google Scholar] [CrossRef]
- Raigani, S.; De Vries, R.J.; Uygun, K.; Yeh, H. Pumping new life into old ideas: Preservation and rehabilitation of the liver using ex situ machine perfusion. Artif. Organs 2020, 44, 123–128. [Google Scholar] [CrossRef]
- Slapak, M.; Wigmore, R.A.; MacLean, L.D. Twenty-four hour liver preservation by the use of continuous pulsatile perfusion and hyperbaric oxygen. Transplantation 1967, 5, 1154–1158. [Google Scholar] [CrossRef]
- Ceresa, C.D.L.; Nasralla, D.; Coussios, C.C.; Friend, P.J. The case for normothermic machine perfusion in liver transplantation. Liver Transpl. 2018, 24, 269–275. [Google Scholar] [CrossRef] [Green Version]
- Ravikumar, R.; Jassem, W.; Mergental, H.; Heaton, N.; Mirza, D.; Perera, M.T.; Quaglia, A.; Holroyd, D.; Vogel, T.; Coussios, C.-C.; et al. Liver Transplantation after Ex Vivo Normothermic Machine Preservation: A Phase 1 (First-in-Man) Clinical Trial. Am. J. Transplant. 2016, 16, 1779–1787. [Google Scholar] [CrossRef]
- Selzner, M.; Goldaracena, N.; Echeverri, J.; Kaths, J.M.; Linares, I.; Selzner, N.; Serrick, C.; Marquez, M.; Sapisochin, G.; Renner, E.L.; et al. Normothermic ex vivo liver perfusion using steen solution as perfusate for human liver transplantation: First North American results. Liver Transpl. 2016, 22, 1501–1508. [Google Scholar] [CrossRef] [PubMed] [Green Version]
- Bral, M.; Gala-Lopez, B.; Bigam, D.; Kneteman, N.; Malcolm, A.; Livingstone, S.; Andres, A.; Emamaullee, J.; Russell, L.; Coussios, C.; et al. Preliminary Single-Center Canadian Experience of Human Normothermic Ex Vivo Liver Perfusion: Results of a Clinical Trial. Am. J. Transplant. 2017, 17, 1071–1080. [Google Scholar] [CrossRef] [PubMed]
- Nasralla, D.; Coussios, C.C.; Mergental, H.; Akhtar, M.Z.; Butler, A.J.; Ceresa, C.D.L.; Chiocchia, V.; Dutton, S.J.; García-Valdecasas, J.C.; Heaton, N.; et al. A randomized trial of normothermic preservation in liver transplantation. Nature 2018, 557, 50–56. [Google Scholar] [CrossRef] [PubMed]
- Reiling, J.; Butler, N.; Simpson, A.; Hodgkinson, P.; Campbell, C.; Lockwood, D.; Bridle, K.; Santrampurwala, N.; Britton, L.; Crawford, D.; et al. Assessment and Transplantation of Orphan Donor Livers: A Back-to-Base Approach to Normothermic Machine Perfusion. Liver Transpl. 2020, 26, 1618–1628. [Google Scholar] [CrossRef]
- Mergental, H.; Perera, M.T.; Laing, R.W.; Muiesan, P.; Isaac, J.R.; Smith, A.; Stephenson, B.T.F.; Cilliers, H.; Neil, D.A.H.; Hübscher, S.G.; et al. Transplantation of Declined Liver Allografts Following Normothermic Ex-Situ Evaluation. Am. J. Transplant. 2016, 16, 3235–3245. [Google Scholar] [CrossRef] [Green Version]
- Watson, C.J.; Kosmoliaptsis, V.; Randle, L.V.; Russell, N.K.; Griffiths, W.J.; Davies, S.; Mergental, H.; Butler, A.J. Preimplant Normothermic Liver Perfusion of a Suboptimal Liver Donated after Circulatory Death. Am. J. Transplant. 2016, 16, 353–357. [Google Scholar] [CrossRef] [Green Version]
- Mergental, H.; Laing, R.W.; Kirkham, A.J.; Perera, M.T.P.R.; Boteon, Y.L.; Attard, J.; Barton, D.; Curbishley, S.; Wilkhu, M.; Neil, D.A.H.; et al. Transplantation of discarded livers following viability testing with normothermic machine perfusion. Nat. Commun. 2020, 11, 2939. [Google Scholar] [CrossRef]
- Perera, T.; Mergental, H.; Stephenson, B.; Roll, G.R.; Cilliers, H.; Liang, R.; Angelico, R.; Hubscher, S.; Neil, D.A.; Reynolds, G.; et al. First human liver transplantation using a marginal allograft resuscitated by normothermic machine perfusion. Liver Transpl. 2016, 22, 120–124. [Google Scholar] [CrossRef]
- Hartog, H.; Hann, A.; Perera, M. Primary Non-Function of the Liver Allograft. Transplantation 2021, 106, 117–128. [Google Scholar] [CrossRef]
- Feng, S.; Goodrich, N.; Bragg-Gresham, J.; Dykstra, D.; Punch, J.; DebRoy, M.; Greenstein, S.; Merion, R. Characteristics associated with liver graft failure: The concept of a donor risk index. Am. J. Transplant. 2006, 6, 783–790. [Google Scholar] [CrossRef] [Green Version]
- Collett, D.; Friend, P.J.; Watson, C.J. Factors Associated with Short- and Long-term Liver Graft Survival in the United Kingdom: Development of a UK Donor Liver Index. Transplantation 2017, 101, 786–792. [Google Scholar] [CrossRef] [PubMed]
- Buchholz, B.M.; Gerlach, U.A.; Chandrabalan, V.V.; Hodson, J.; Gunson, B.K.; Mergental, H.; Hynek, M.; Paolo, M.; John, R.I.; Keith, J.R.; et al. Revascularization Time in Liver Transplantation: Independent Prediction of Inferior Short- and Long-term Outcomes by Prolonged Graft Implantation. Transplantation 2018, 102, 2038–2055. [Google Scholar] [CrossRef] [PubMed]
- Hann, A.; Sneiders, D.; Hartog, H.; Perera, M. Graft implantation in liver transplantation-The clock is ticking. Transpl. Int. 2021, 34, 1338–1340. [Google Scholar] [CrossRef] [PubMed]
- Stoll, W.D.; Hand, W.R.; Chavin, K.D.; Felton, D.H.; Wolf, B.O.; Davis, G.P.; Harvey, N.R.; Whiteley, J.R.; Mester, R.A.; Bolin, E.D. Post-Reperfusion Syndrome in Liver Transplantation: Does a Caval Blood Flush Vent Help? Ann. Transplant. 2019, 24, 631–638. [Google Scholar] [CrossRef]
- Watson, C.J.E.; Jochmans, I. From “Gut Feeling” to Objectivity: Machine Preservation of the Liver as a Tool to Assess Organ Viability. Curr. Transplant. Rep. 2018, 5, 72–81. [Google Scholar] [CrossRef] [Green Version]
- Mergental, H.; Stephenson, B.T.F.; Laing, R.W.; Kirkham, A.J.; Neil, D.A.H.; Wallace, L.L.; Boteon, Y.L.; Widmer, J.; Bhogal, R.H.; Perera, M.T.P.R.; et al. Development of Clinical Criteria for Functional Assessment to Predict Primary Nonfunction of High-Risk Livers Using Normothermic Machine Perfusion. Liver Transpl. 2018, 24, 1453–1469. [Google Scholar] [CrossRef] [Green Version]
- Hann, A.; Lembach, H.; Nutu, A.; Mergental, H.; Isaac, J.L.; Oo, Y.H.; Armstrong, M.J.; Rajoriya, N.; Afford, S.; Bartlett, D.; et al. Assessment of Deceased Brain Dead Donor Liver Grafts via Normothermic Machine Perfusion: Lactate Clearance Time Threshold Can Be Safely Extended to 6 Hours. Liver Transpl. 2021, 28, 493–496. [Google Scholar] [CrossRef]
- Takagi, K.; Domagala, P.; Porte, R.J.; Alwayn, I.; Metselaar, H.J.; Berg, A.P.V.D.; Van Hoek, B.; Ijzermans, J.N.M.; Polak, W.G. Liver retransplantation in adult recipients: Analysis of a 38-year experience in the Netherlands. J. Hepatobiliary Pancreat. Sci. 2020, 27, 26–33. [Google Scholar] [CrossRef]
- Magee, J.C.; Barr, M.L.; Basadonna, G.P.; Johnson, M.R.; Mahadevan, S.; McBride, M.A.; Schaubel, D.E.; Leichtman, A.B. Repeat organ transplantation in the United States, 1996–2005. Am. J. Transplant. 2007, 7, 1424–1433. [Google Scholar] [CrossRef] [Green Version]
- Markmann, J.F.; Markowitz, J.S.; Yersiz, H.; Morrisey, M.; Farmer, D.G.; Farmer, D.A.; Goss, J.; Ghobrial, R.; McDiarmid, S.V.; Stribling, R.; et al. Long-term survival after retransplantation of the liver. Ann. Surg. 1997, 226, 408–418; discussion 18–20. [Google Scholar] [CrossRef]
- Adam, R.; Karam, V.; Cailliez, V.; Grady, J.G.O.; Mirza, D.; Cherqui, D.; Klempnauer, J.; Salizzoni, M.; Pratschke, J.; Jamieson, N.; et al. 2018 Annual Report of the European Liver Transplant Registry (ELTR)-50-year evolution of liver transplantation. Transpl. Int. 2018, 31, 1293–1317. [Google Scholar] [CrossRef] [PubMed] [Green Version]
- Henson, J.B.; Patel, Y.A.; King, L.Y.; Zheng, J.; Chow, S.C.; Muir, A.J. Outcomes of liver retransplantation in patients with primary sclerosing cholangitis. Liver Transpl. 2017, 23, 769–780. [Google Scholar] [CrossRef] [PubMed] [Green Version]
- Cardini, B.; Oberhuber, R.; Fodor, M.; Hautz, T.; Margreiter, C.; Resch, T.; Scheidl, S.; Maglione, M.; Bösmüller, C.; Mair, H.; et al. Clinical Implementation of Prolonged Liver Preservation and Monitoring through Normothermic Machine Perfusion in Liver Transplantation. Transplantation 2020, 104, 1917–1928. [Google Scholar] [CrossRef] [PubMed]
- Hann, A.; Lembach, H.; Nutu, A.; Dassanayake, B.; Tillakaratne, S.; McKay, S.C.; Boteon, A.P.C.S.; Boteon, Y.L.; Mergental, H.; Murphy, N.; et al. Outcomes of normothermic machine perfusion of liver grafts in repeat liver transplantation (NAPLES initiative). Br. J. Surg. 2022, 109, 372–380. [Google Scholar] [CrossRef]
- Ge, L.; Zhan, J.; Gao, W.; Zhao, S.; Xu, X.; Dou, R. Relevant factors for early liver transplantation after Kasai portoenterostomy. BMC Pediatr. 2020, 20, 484. [Google Scholar] [CrossRef]
- Gerlach, U.; Roberts, K.; Abradelo, M.; Mergental, H.; Isaac, J.; Muiesan, P.; Mirza, D.; Perera, T. Liver Transplantation in the Adult following Kasai Operation in Infancy. Transplantation 2018, 102, S893. [Google Scholar] [CrossRef]
- Superina, R. Biliary atresia and liver transplantation: Results and thoughts for primary liver transplantation in select patients. Pediatr. Surg. Int. 2017, 33, 1297–1304. [Google Scholar] [CrossRef]
- Neto, J.S.; Feier, F.H.; Bierrenbach, A.L.; Toscano, C.M.; Fonseca, E.A.; Pugliese, R.; Candido, H.L.; Benavides, M.R.; Porta, G.; Chapchap, P. Impact of Kasai portoenterostomy on liver transplantation outcomes: A retrospective cohort study of 347 children with biliary atresia. Liver Transpl. 2015, 21, 922–927. [Google Scholar] [CrossRef]
- Sandler, A.D.; Azarow, K.S.; Superina, R.A. The impact of a previous Kasai procedure on liver transplantation for biliary atresia. J. Pediatr. Surg. 1997, 32, 416–419. [Google Scholar] [CrossRef]
- Kitajima, T.; Sakamoto, S.; Sasaki, K.; Uchida, H.; Narumoto, S.; Fukuda, A.; Teramukai, S.; Uemoto, S.; Kasahara, M. Living donor liver transplantation for post-Kasai biliary atresia: Analysis of pretransplant predictors of outcomes in infants. Liver Transpl. 2017, 23, 1199–1209. [Google Scholar] [CrossRef]
- Shaw, B.W., Jr.; Iwatsuki, S.; Bron, K.; Starzl, T.E. Portal vein grafts in hepatic transplantation. Surg. Gynecol. Obstet. 1985, 161, 66–68. [Google Scholar]
- Pan, C.; Shi, Y.; Zhang, J.; Deng, Y.; Zheng, H.; Zhu, Z.; Shen, Z. Single-center experience of 253 portal vein thrombosis patients undergoing liver transplantation in China. Transplant. Proc. 2009, 41, 3761–3765. [Google Scholar] [CrossRef]
- Ravaioli, M.; Zanello, M.; Grazi, G.L.; Ercolani, G.; Cescon, M.; Del Gaudio, M.; Cucchetti, A.; Daniele Pinna, A. Portal vein thrombosis and liver transplantation: Evolution during 10 years of experience at the University of Bologna. Ann. Surg. 2011, 253, 378–384. [Google Scholar] [CrossRef] [PubMed]
- Dumortier, J.; Czyglik, O.; Poncet, G.; Blanchet, M.-C.; Boucaud, C.; Henry, L.; Boillot, O. Eversion thrombectomy for portal vein thrombosis during liver transplantation. Am. J. Transplant. 2002, 2, 934–938. [Google Scholar] [CrossRef] [PubMed]
- Harding, D.J.; Perera, M.T.; Chen, F.; Olliff, S.; Tripathi, D. Portal vein thrombosis in cirrhosis: Controversies and latest developments. World J. Gastroenterol. 2015, 21, 6769–6784. [Google Scholar] [CrossRef] [PubMed]
- Shimada, T.; Maruyama, H.; Kondo, T.; Sekimoto, T.; Takahashi, M.; Motoyama, T.; Ogasawara, S.; Suzuki, E.; Ooka, Y.; Tawada, A.; et al. Clinical features and natural history of portal vein thrombosis after radiofrequency ablation for hepatocellular carcinoma in Japan. Hepatol. Int. 2013, 7, 1030–1039. [Google Scholar] [CrossRef]
- Yerdel, M.A.; Gunson, B.; Mirza, D.; Karayalçin, K.; Olliff, S.; Buckels, J.; Mayer, D.; McMaster, P.; Pirenne, J. Portal vein thrombosis in adults undergoing liver transplantation: Risk factors, screening, management, and outcome. Transplantation 2000, 69, 1873–1881. [Google Scholar] [CrossRef]
- Mackiewicz, A.; Kotulski, M.; Zieniewicz, K.; Krawczyk, M. Results of liver transplantation in the treatment of Budd-Chiari syndrome. Ann. Transplant. 2012, 17, 5–10. [Google Scholar]
- Darwish Murad, S.; Kamath, P.S. Liver transplantation for Budd-Chiari syndrome: When is it really necessary? Liver Transpl. 2008, 14, 133–135. [Google Scholar] [CrossRef]
- Plessier, A.; Sibert, A.; Consigny, Y.; Hakime, A.; Zappa, M.; Denninger, M.-H.; Condat, B.; Farges, O.; Chagneau, C.; De Ledinghen, V.; et al. Aiming at minimal invasiveness as a therapeutic strategy for Budd-Chiari syndrome. Hepatology 2006, 44, 1308–1316. [Google Scholar] [CrossRef]
- Sonavane, A.D.; Amarapurkar, D.N.; Rathod, K.R.; Punamiya, S.J. Long Term Survival of Patients Undergoing TIPS in Budd-Chiari Syndrome. J. Clin. Exp. Hepatol. 2019, 9, 56–61. [Google Scholar] [CrossRef] [PubMed]
- Klein, A.S.; Molmenti, E.P. Surgical treatment of Budd-Chiari syndrome. Liver Transpl. 2003, 9, 891–896. [Google Scholar] [CrossRef] [PubMed]
- Molmenti, E.P.; Segev, D.L.; Arepally, A.; Hong, J.; Thuluvath, P.J.; Rai, R.; Klein, A.S. The utility of TIPS in the management of Budd-Chiari syndrome. Ann. Surg. 2005, 241, 978–981; discussion 982–983. [Google Scholar] [CrossRef] [PubMed]
- Tzakis, A.; Todo, S.; Starzl, T.E. Orthotopic liver transplantation with preservation of the inferior vena cava. Ann. Surg. 1989, 210, 649–652. [Google Scholar] [CrossRef] [PubMed] [Green Version]
- Nasralla, D.; Lembach, H.; Mergental, H.; Mirza, D.; Friend, P.; Muiesan, P.; Perera, M. Ex Situ Arterial Reconstruction during Normothermic Perfusion of the Liver. Transplant. Direct. 2020, 6, e596. [Google Scholar] [CrossRef]
- Boteon, Y.L.; Hessheimer, A.J.; Brüggenwirth, I.M.A.; Boteon, A.P.C.S.; Padilla, M.; de Meijer, V.E.; Domínguez-Gil, B.; Porte, R.J.; Perera, M.T.P.R.; Martins, P.N. The economic impact of machine perfusion technology in liver transplantation. Artif. Organs 2022, 46, 191–200. [Google Scholar] [CrossRef]
- Zimmermann, J.; Carter, A.W. Cost-utility analysis of normothermic and hypothermic ex-situ machine perfusion in liver transplantation. Br. J. Surg. 2022, 109, e31–e32. [Google Scholar] [CrossRef]
- Javanbakht, M.; Mashayekhi, A.; Trevor, M.; Branagan-Harris, M.; Atkinson, J. Cost-utility analysis of normothermic liver perfusion with the OrganOx metra compared to static cold storage in the United Kingdom. J. Med. Econ. 2020, 23, 1284–1292. [Google Scholar] [CrossRef]






| Major criteria (must attain by 6 h) | |
| 1 | Perfusate lactate below 2.5 mmol/L |
| Minor criteria (must attain 2 of the following by 4 h) | |
| 1 | Homogenous graft perfusion |
| 2 | Evidence of glucose metabolism |
| 3 | Evidence of bile production |
| 4 | Stable vascular flows (hepatic artery > 150 mL/min and portal vein > 500 mL/min) |
| 5 | Ph > 7.3 |
| Grade | Extension |
|---|---|
| Grade I | <50% of the vessel lumen with or without minimal extension into the superior mesenteric vein (SMV). |
| Grade II | >50% occlusion of the PV, including total occlusions, with or without minimal extension into the SMV. |
| Grade III | Complete thrombosis of both PV and proximal SMV. Distal SMV is open. |
| Grade IV | Complete thrombosis of the PV and proximal, as well as distal, SMV. |
Publisher’s Note: MDPI stays neutral with regard to jurisdictional claims in published maps and institutional affiliations. |
© 2022 by the authors. Licensee MDPI, Basel, Switzerland. This article is an open access article distributed under the terms and conditions of the Creative Commons Attribution (CC BY) license (https://creativecommons.org/licenses/by/4.0/).
Share and Cite
Durán, M.; Hann, A.; Lembach, H.; Nutu, A.; Clarke, G.; Patel, I.; Sneiders, D.; Hartog, H.; Mirza, D.F.; Perera, M.T.P.R. Normothermic Machine Perfusion as a Tool for Safe Transplantation of High-Risk Recipients. Transplantology 2022, 3, 169-183. https://doi.org/10.3390/transplantology3020018
Durán M, Hann A, Lembach H, Nutu A, Clarke G, Patel I, Sneiders D, Hartog H, Mirza DF, Perera MTPR. Normothermic Machine Perfusion as a Tool for Safe Transplantation of High-Risk Recipients. Transplantology. 2022; 3(2):169-183. https://doi.org/10.3390/transplantology3020018
Chicago/Turabian StyleDurán, Manuel, Angus Hann, Hanns Lembach, Anisa Nutu, George Clarke, Ishaan Patel, Dimitri Sneiders, Hermien Hartog, Darius F. Mirza, and M. Thamara P. R. Perera. 2022. "Normothermic Machine Perfusion as a Tool for Safe Transplantation of High-Risk Recipients" Transplantology 3, no. 2: 169-183. https://doi.org/10.3390/transplantology3020018
APA StyleDurán, M., Hann, A., Lembach, H., Nutu, A., Clarke, G., Patel, I., Sneiders, D., Hartog, H., Mirza, D. F., & Perera, M. T. P. R. (2022). Normothermic Machine Perfusion as a Tool for Safe Transplantation of High-Risk Recipients. Transplantology, 3(2), 169-183. https://doi.org/10.3390/transplantology3020018

