Abstract
Background and Clinical Significance: Anti-Leucine-rich glioma inactivated-1 (anti-LGI1) encephalitis is a rare, autoimmune disorder often presenting with limbic encephalitis. The reported incidence of anti-LGI1 is 0.83/million/year, with elderly males accounting for the overwhelming majority of cases. While anti-LGI1 encephalitis is a well-known cause of autoimmune encephalitis in men over 50, our literature review found no published cases in pregnant women. The purpose of this study is to describe a rare presentation of this pathology in an unexpected population. Case Presentation: A 21-year-old gravida 2, para 1001 woman at 20 weeks’ gestation presented with worsening seizure-like activity for the past four months, frequent falls, loss of consciousness, and concern for trauma to the abdomen. Her neurologic workup one month prior revealed a 72 h electroencephalography (EEG) with epileptic seizures of the left frontotemporal region, but a normal magnetic resonance image (MRI) of her head. A repeat MRI during this hospitalization showed bilateral limbic and basal ganglia T2 hyperintensities. She was treated with increasing doses of antiepileptic drugs without improvement and was transferred to a neurology intensive care unit, where she was diagnosed with anti-LGI1 encephalitis. She was initially treated with oral corticosteroids with inadequate response, then with intravenous immunoglobulin therapy (IVIG). Her seizure activity persisted throughout her pregnancy, requiring multiple admissions for IVIG, but she eventually delivered a healthy baby and continues to receive long-term care for her new diagnosis. Conclusions: This case illustrates classic findings of anti-LGI1 encephalitis in a non-classic patient population. Knowledge that such a case exists may serve to broaden the differential diagnoses when physicians are presented with a similar pregnant patient and expand the reported patient population in this rare disease.
1. Introduction
Anti-Leucine-rich glioma inactivated-1 (anti-LGI1) encephalitis is a rare, autoimmune disorder often presenting as limbic encephalitis with subacute progressive disturbances in memory and behavior, loss of spatial orientation, hyponatremia (60% of cases), and seizures. The reported incidence of anti-LGI1 is 0.83/million/year, with elderly males accounting for the great majority of cases. Most cases represent primary autoimmune disorders; however, 5–10% occur as part of a paraneoplastic syndrome, secondary to an underlying malignancy, such as thymoma or lung cancer [,]. While anti-LGI1 encephalitis is a well-known cause of autoimmune encephalitis in men over the age of 50, our review of the literature found no published cases of anti-LGI1 encephalitis in a pregnant female.
LGI1 is a glycoprotein primarily expressed in the hippocampal region and the temporal lobe that helps regulate communication between neurons. The LGI1 protein interacts with ADAM22/23, forming a trans-synaptic complex whose purpose is to maintain α-amino-3-hydroxy-5-methyl-4-isoxazolepropionic acid (AMPA) receptor activity at a physiologic level. The loss of function of the LGI1-ADAM22/23 complex leads to the hyperexcitability of the postsynaptic neuron and epileptogenic activity. LGI1 antibodies demonstrate predominantly IgG4 reactivity and cannot induce cross-linking, complement activation, or cell-mediated cytotoxity, and are considered noninflammatory. It is thought that these antibodies mechanically interfere with the ligand–receptor interaction of LGI1 and ADAM22/23, leading to the dysfunction of the target protein, and resulting in limbic encephalitis [,].
The seizures commonly seen in anti-LGI1 encephalitis are divided into three subtypes, including subtle dyscognitive or autonomic seizures (65% of cases), faciobrachial dystonic seizures (50% of cases), and generalized tonic–clonic seizures (60% of cases). Faciobrachial dystonic seizures (FBDSs) often last less than 3 s, are unilateral (usually involving the face or an extremity), and can occur up to 100 times per a day. FBDSs are very specific for anti-LGI1 encephalitis, though they only occur in one-half of cases. As the disease progresses, patients can develop generalized seizures. A diagnosis of anti-LGI1 is often delayed due to the initial subtle findings that eventually progress to FBDSs or generalized seizures. Initially, there are no significant findings on imaging of the brain. However, as the disease progresses, MRI findings become significant for T2 hyperintensities of the medial temporal lobe in two-thirds of cases and hippocampal atrophy or sclerosis. The common behavioral changes seen in anti-LGI1 are apathy, disinhibition, egocentrism, and obsessive thoughts. Disturbances in sleep are seen in approximately 50% of patients as well [,].
An initial diagnosis is often determined by detecting antibodies with a cell-based assay using human embryonic kidney cells transfected with LGI1. It is recommended to test both serum and CSF. Some recent studies have shown that human leukocyte antigen-D related7 (HLA-DR7) is present in 90% of non-paraneoplastic anti-LGI1 encephalitis patients, thus suggesting another method of diagnosis in the setting of autoimmune etiologies. In addition, an increase in antibody titers has been seen in LGI-1 encephalitis; thus, monitoring disease activity with frequent titers has been suggested [,].
Patients do not typically respond to antiepileptic medications, but approximately 75% of patients improve with immunotherapy. The overall prognosis is favorable. However, if treatment is delayed, cognitive deficits like memory impairment can persist. Treatment early in the disease course (within the first two months after manifestation) improves long-term outcomes and provides a better prognosis. Relapse can occur in 25–35% of patients and some studies suggest chronic immunotherapy is necessary. The initial therapy typically includes high-dose corticosteroids and/or immunoglobulins. Plasma exchange is also used, though less frequently. Second-line therapies include immunotherapies like cyclophosphamide or rituximab [,].
Below, we present the first case report of anti-LGI1 encephalitis in a pregnant female described in the literature.
2. Results
Case Summary
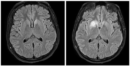
A 21-year-old gravida 2, para 1001 woman at 20 weeks’ gestation presented to labor and delivery for increased seizure activity in addition to frequent falls, loss of consciousness, and concern for trauma to the abdomen in the setting of pregnancy. Prior to this exacerbation of symptoms, she had a four-month history of similar, though less frequent, episodes. Her previous neurologic workup one month prior revealed a 72 h electroencephalography (EEG) with epileptic seizures of the left frontotemporal region, but a normal magnetic resonance image of her head (Figure 1). She had been started on levetiracetam, 1500 mg twice daily.

Figure 1.
(Left) Patient’s head MRI two months before. (Right) Patient’s head MRI upon hospital admission.
During our evaluation, she experienced four seizures, each lasting about five seconds with no loss of consciousness and full recollection of the events. She would exhibit behavioral and speech arrest, left head and left eye turn with eye opening, left arm clonic movements followed by non-sensical vocalizations (e.g., “shut up for a second”, “you can do it”), and oral automatisms like “ma, ma, ma” followed by right arm automatisms. The entire episode would last 5–10 s, after which the patient could continue the conversation normally. Her vitals were normal, and her physical exam was notable only for multiple superficial lacerations and abrasions on her extremities and nasal bridge. Her neurologic exam showed no focal neurologic deficits and negative NIH Stroke Scale (0).
Her medical history was significant for anxiety and depression for which she was seeing behavioral health professionals and not taking any medications currently or previously. She also had a history of nephrolithiasis and pyelonephritis which required hospitalization and treatment with antibiotics four months prior. She had a history of tachycardia for which she had been referred to Cardiology. Her surgical history was notable for a prior cesarean section and wisdom tooth extraction. She denied smoking, drinking alcohol, and drug use. She denied any allergies to medications. She was taking levetiracetam, folic acid, prenatal vitamins, promethazine, pyridoxine, and ondansetron. The patient denied any family history of neurological disorders or autoimmune disorders.
A computed tomography (CT) without contrast of the patient’s head was performed which showed asymmetric hypoattenuation of the right basal ganglia concerning for possible infarction secondary to venous thrombosis or inflammatory changes. The MRI of her head was significant for bilateral T2 hyperintensities in the mesial temporal lobes extending to the basal ganglia, some of which showed restricted diffusion (Figure 1). Head magnetic resonance imaging of the arteries (MRA) and veins (MRV) was negative.
The patient’s laboratory values were notable for mild leukocytosis and hypokalemia. The results of her serum infectious panel, cortisol, homocysteine, vitamin B12, and vitamin B9 levels were normal. Her electrocardiogram was normal, and her transthoracic echocardiogram was notable for a positive bubble study.
EEG captured multiple clinical events characterized by left arm and neck faciobrachial dystonic posturing which corresponded to rhythmic sharp activity in the central leads. She was initially treated with several antiepileptic drugs (lacosamide, clonazepam, and levetiracetam) but her symptoms did not improve until she was given intravenous methylprednisolone for presumed autoimmune encephalitis. A lumbar puncture was performed, which showed oligoclonal bands and LGI1 antibodies. Intravenous immunoglobulin (IVIG) was initiated with improvement in her symptoms. The patient went on to deliver a liveborn, healthy neonate at 35 + 3 weeks’ gestation when she experienced preterm prelabor rupture of membranes and presented in active labor. She underwent an uncomplicated repeat cesarean delivery.
The patient’s postpartum course was complicated by severe major depressive disorder with suicidal ideation. She was started on esketamine, sertraline, and prazosin with improvement in her symptoms. She continues to take oxcarbazepine, levetiracetam, rituximab, and prednisone for her continued seizure activity; however, her FBDSs remain refractory to treatment.
3. Discussion
This case illustrates classic findings of anti-LGI1 encephalitis in a pregnant, previously healthy young woman. This disease is commonly seen in men during the second half of life and, to our knowledge, has never been reported in a young, pregnant female. The patient’s seizure activity is consistent with FBDSs and did not respond to antiepileptic medications but only improved once corticosteroid therapy was initiated. In addition, her CSF showed oligoclonal bands and LGI1 antibodies. These findings are common in anti-LGI1 encephalitis but were initially thought to be unlikely given the complete lack of reported cases in her demographic.
Based on the patient’s initial presentation and imaging, there was concern for a venous versus arterial stroke. Her bilateral basal ganglia edema, restricted diffusion in the right basal ganglia, and bilateral T2 hippocampi hyperintensities represented a significant change from her previous imaging two months prior; however, arterial versus venous infarct was deemed less likely given her lack of headache and encephalopathy. In addition, the MRA and MRV studies showed no evidence of thrombosis. In 2016, a reported case of a 45-year-old woman diagnosed with anti-LGI1 encephalitis who presented with a cryptogenic ischemic stroke was published by McGinley et al. []. The authors discuss the possibility of autoimmune encephalitis being a possible risk factor for ischemic stroke. It was hypothesized that systemic inflammation during autoimmune encephalitis leads to a prothrombotic state that can ultimately lead to a stroke, versus autoimmune encephalitis causing an upregulation of other antibodies that mediate vascular damage. It is unclear if autoimmune encephalitis increases the risk of ischemic stroke; however, our case shows no evidence of ischemic stroke, and this diagnosis was ruled out []. The patient’s MRI changes were likely secondary to limbic encephalitis and associated uncontrolled seizures.
Infectious encephalitis was also considered; however, the patient had no fever or encephalopathy. In addition, the infectious workup was negative for viral, bacterial, and fungal etiologies. Neoplasm was another consideration but unlikely given the normal imaging two months prior. Anti-LGI1 encephalitis can be of neoplastic origin in approximately 5–10% of cases. In the future, it may be beneficial to test this patient for HLA-DR7 to confirm an autoimmune etiology [,,,,,].
Regarding this patient’s pregnancy, early diagnosis and treatment were essential to improve maternal and fetal outcomes. Anti-LGI1 encephalitis has a good prognosis when identified and treated early, though approximately 25–30% of patients will relapse. This patient may require chronic immunosuppressive therapy to prevent relapse. Uncontrolled seizures in pregnancy can have devastating effects on the fetus including fetal loss, fetal hypoxia, and poor neurodevelopment. In addition, infants born to mothers with epilepsy have an increased risk of congenital malformations, largely due to the teratogenic effects of many antiepileptic medications. This, in part, was a barrier when the patient first presented to triage as refractory seizure treatment options were limited due to her pregnancy. Levetiracetam and clonazepam are generally considered safer in pregnancy than many other antiepileptic drugs; however, some studies have suggested that clonazepam is associated with preterm birth. The data on lacosamide in pregnancy is limited, but based on the gestational age, there was a lower concern for birth defects [,,,,,].
The etiology of the patient’s postnatal depression and eventual suicidal ideation in this case is difficult to determine given her history of depression and anxiety, which increases the risk of developing postpartum depression. Anti-LGI1 encephalitis is associated with psychiatric and behavioral disorders, which may have contributed to her postnatal depression as well.
4. Conclusions
This case illustrates classic findings of anti-LGI1 encephalitis in a non-classic demographic (a pregnant, previously healthy young woman). Knowledge that such a case exists may serve to broaden the differential diagnoses when physicians are presented with a similar patient and expand the reported patient population in this rare disease.
Author Contributions
The first draft of this case report was written by B.R., E.S. and B.M. with edits from D.G. and M.B. The final drafts of this report were made by B.R. and D.G. All authors have read and agreed to the published version of the manuscript.
Funding
This research received no external funding.
Institutional Review Board Statement
Not applicable.
Informed Consent Statement
Written informed consent has been obtained from the patient to publish this paper.
Data Availability Statement
No new data were created or analyzed in this study. Data sharing is not applicable to this article.
Acknowledgments
The views and opinions in this case report in no way represent the United States Military.
Conflicts of Interest
The authors declare no conflicts of interest.
References
- Gold, R.; Ayzenberg, I.; Pitarokoili, K. Autoimmune and Autoantibody-Associated Encephalomyelopathies. In The Autoimmune Diseases, 6th ed.; Elsevier: Amsterdam, The Netherlands, 2020; pp. 1067–1114. [Google Scholar]
- Irani, S.R.; Alexander, S.; Waters, P.; Kleopa, K.A.; Pettingill, P.; Zuliani, L.; Peles, E.; Buckley, C.; Lang, B.; Vincent, A. Antibodies to Kv1 potassium channel-complex proteins leucine-rich, glioma inactivated 1 protein and contactin-associated protein-2 in limbic encephalitis, Morvan’s syndrome and acquired neuromyotonia. Brain J. Neurol. 2010, 133, 2734–2748. [Google Scholar] [CrossRef]
- Bastiaansen AE, M.; van Sonderen, A.; Titulaer, M.J. Autoimmune encephalitis with anti-leucine-rich glioma-inactivated 1 or anti-contactin-associated protein-like 2 antibodies (formerly called voltage-gated potassium channel-complex antibodies). Curr. Opin. Neurol. 2017, 30, 302–309. [Google Scholar] [CrossRef] [PubMed]
- McGinley, M.; Morales-Vidal, S.; Ruland, S. Leucine-Rich Glioma Inactivated-1 and Voltage-Gated Potassium Channel Autoimmune Encephalitis Associated with Ischemic Stroke: A Case Report. Front. Neurol. 2016, 7, 68. [Google Scholar] [CrossRef] [PubMed][Green Version]
- Khan, M.; Bankar, N.J.; Bandre, G.R.; Dhobale, A.V.; Bawaskar, P.A. Epilepsy and Issues Related to Reproductive Health. Cureus 2023, 15, e48201. [Google Scholar] [CrossRef] [PubMed]
- Błaszczyk, B.; Miziak, B.; Pluta, R.; Czuczwar, S.J. Epilepsy in Pregnancy-Management Principles and Focus on Valproate. Int. J. Mol. Sci. 2022, 23, 1369. [Google Scholar] [CrossRef] [PubMed]
- Harden, C.L.; Hopp, J.; Ting, T.Y.; Pennell, P.B.; French, J.A.; Hauser, W.A.; Wiebe, S.; Gronseth, G.S.; Thurman, D.; Meador, K.J.; et al. Practice parameter update: Management issues for women with epilepsy—Focus on pregnancy (an evidence-based review): Obstetrical complications and change in seizure frequency: Report of the Quality Standards Subcommittee and Therapeutics and Technology Assessment Subcommittee of the American Academy of Neurology and American Epilepsy Society. Neurology 2009, 73, 126–132. [Google Scholar] [CrossRef] [PubMed]
- Nishiyama, K.; Komori, M.; Narushima, M.; Yoshizawa, H.; Kawamata, M.; Ozaki, M. A woman who required long-term mechanical ventilation to treat limbic encephalitis during pregnancy. Acta Anaesthesiol. Scand. 2007, 51, 252–254. [Google Scholar] [CrossRef] [PubMed]
- Joubert, B.; García-Serra, A.; Planagumà, J.; Martínez-Hernandez, E.; Kraft, A.; Palm, F.; Iizuka, T.; Honnorat, J.; Leypoldt, F.; Graus, F.; et al. Pregnancy outcomes in anti-NMDA receptor encephalitis: Case series. Neurol. Neuroimmunol. Neuroinflamm. 2020, 7, e668. [Google Scholar] [CrossRef]
- Binks SN, M.; Klein, C.J.; Waters, P.; Pittock, S.J.; Irani, S.R. LGI1, CASPR2 and related antibodies: A molecular evolution of the phenotypes. J. Neurol. Neurosurg. Psychiatry 2018, 89, 526–534. [Google Scholar] [CrossRef]
Disclaimer/Publisher’s Note: The statements, opinions and data contained in all publications are solely those of the individual author(s) and contributor(s) and not of MDPI and/or the editor(s). MDPI and/or the editor(s) disclaim responsibility for any injury to people or property resulting from any ideas, methods, instructions or products referred to in the content. |
© 2025 by the authors. Licensee MDPI, Basel, Switzerland. This article is an open access article distributed under the terms and conditions of the Creative Commons Attribution (CC BY) license (https://creativecommons.org/licenses/by/4.0/).