Prenatal Diagnosis of Severe Fetal Hydronephrosis Due to Pyeloureteral Junction Syndrome with False Neonatal Resolution
Abstract
:1. Introduction
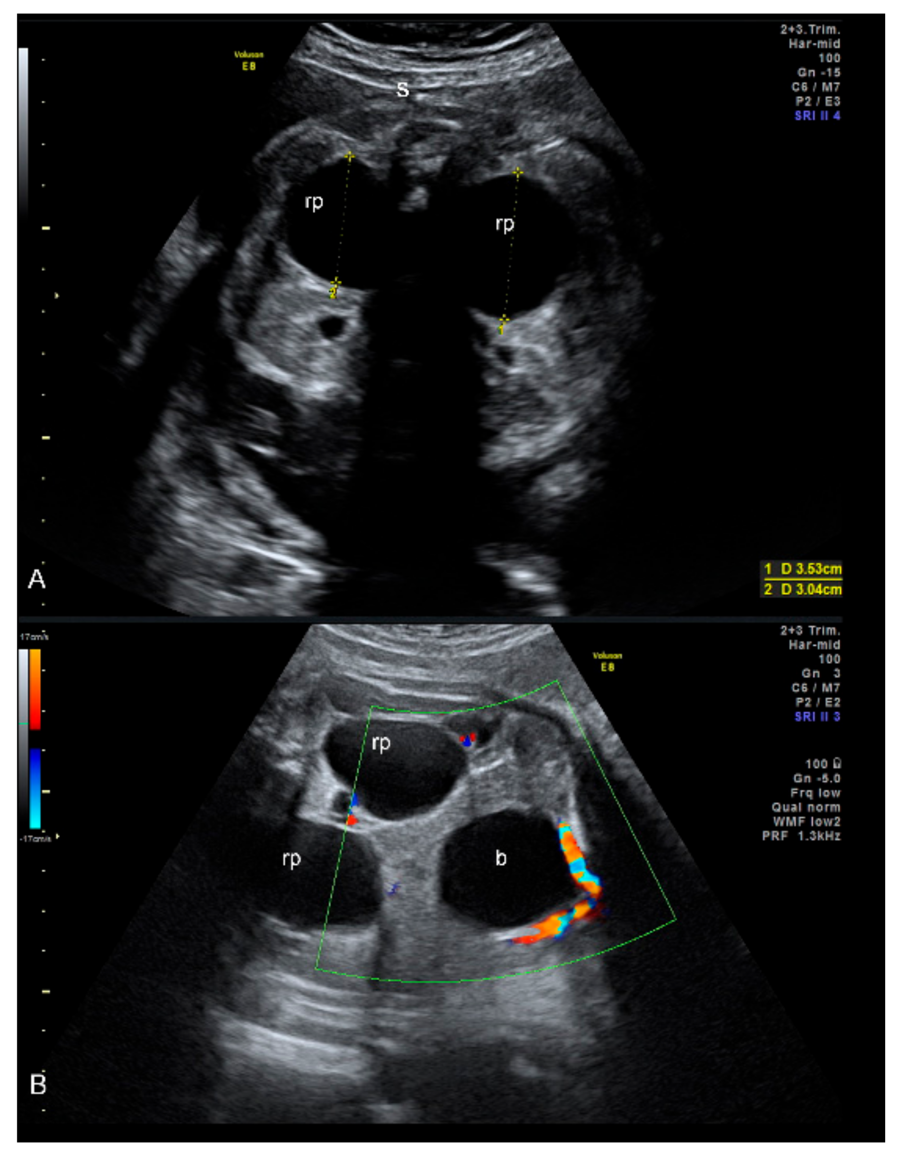
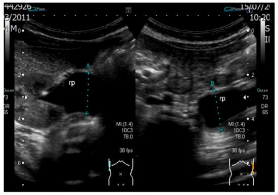
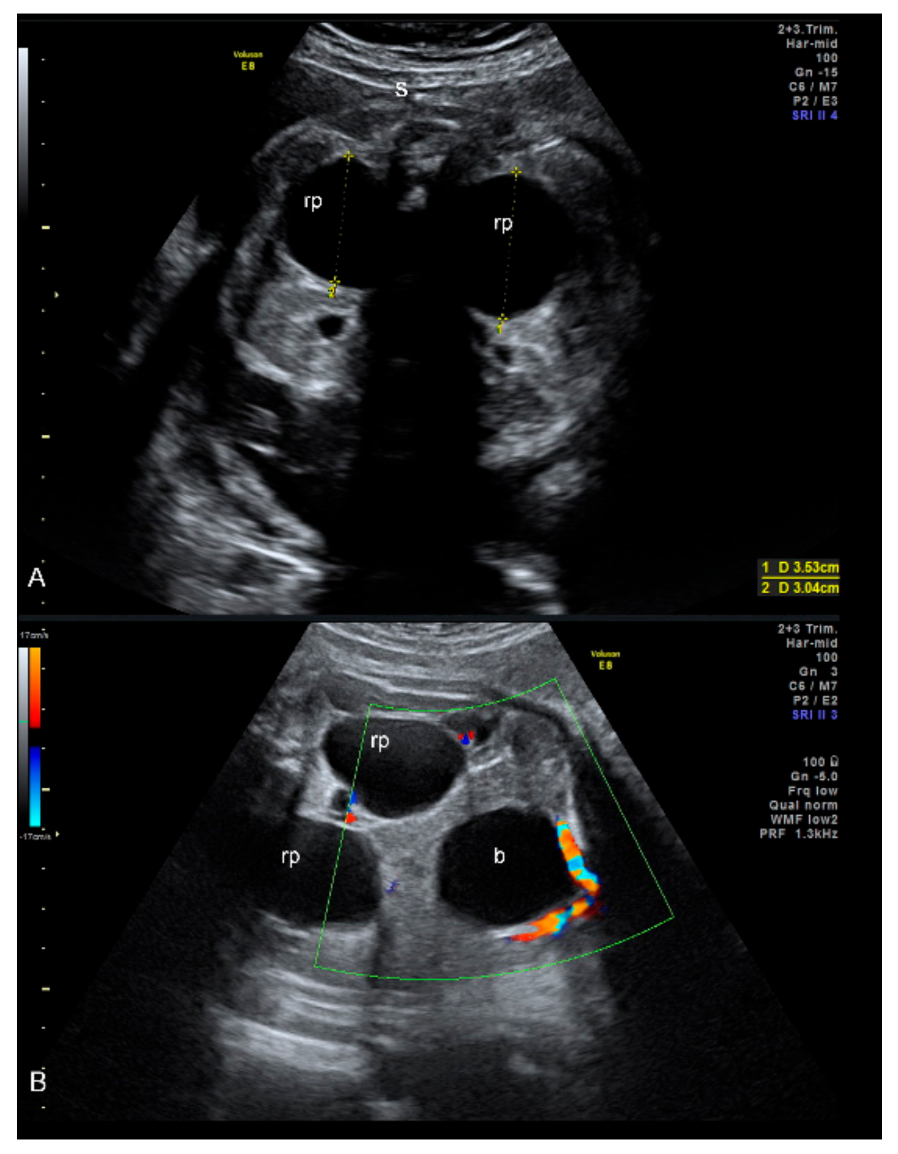
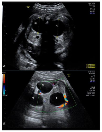
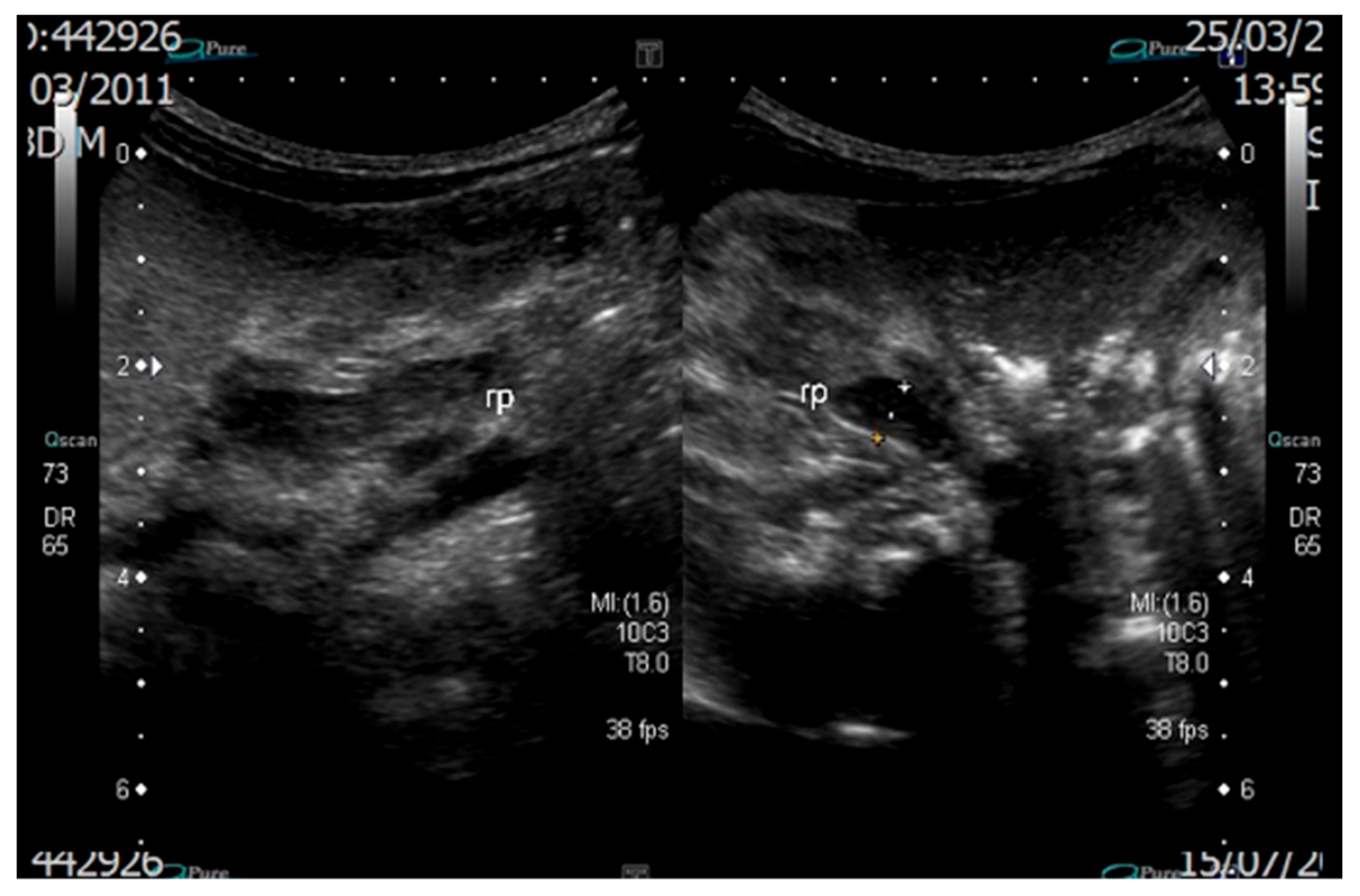
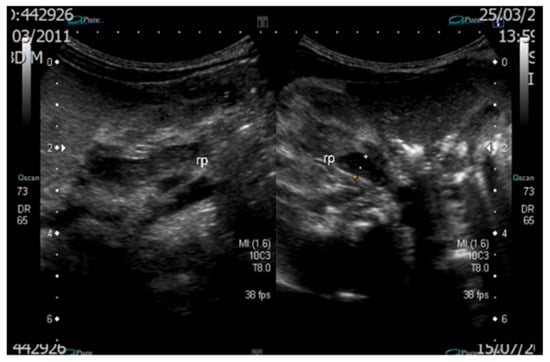
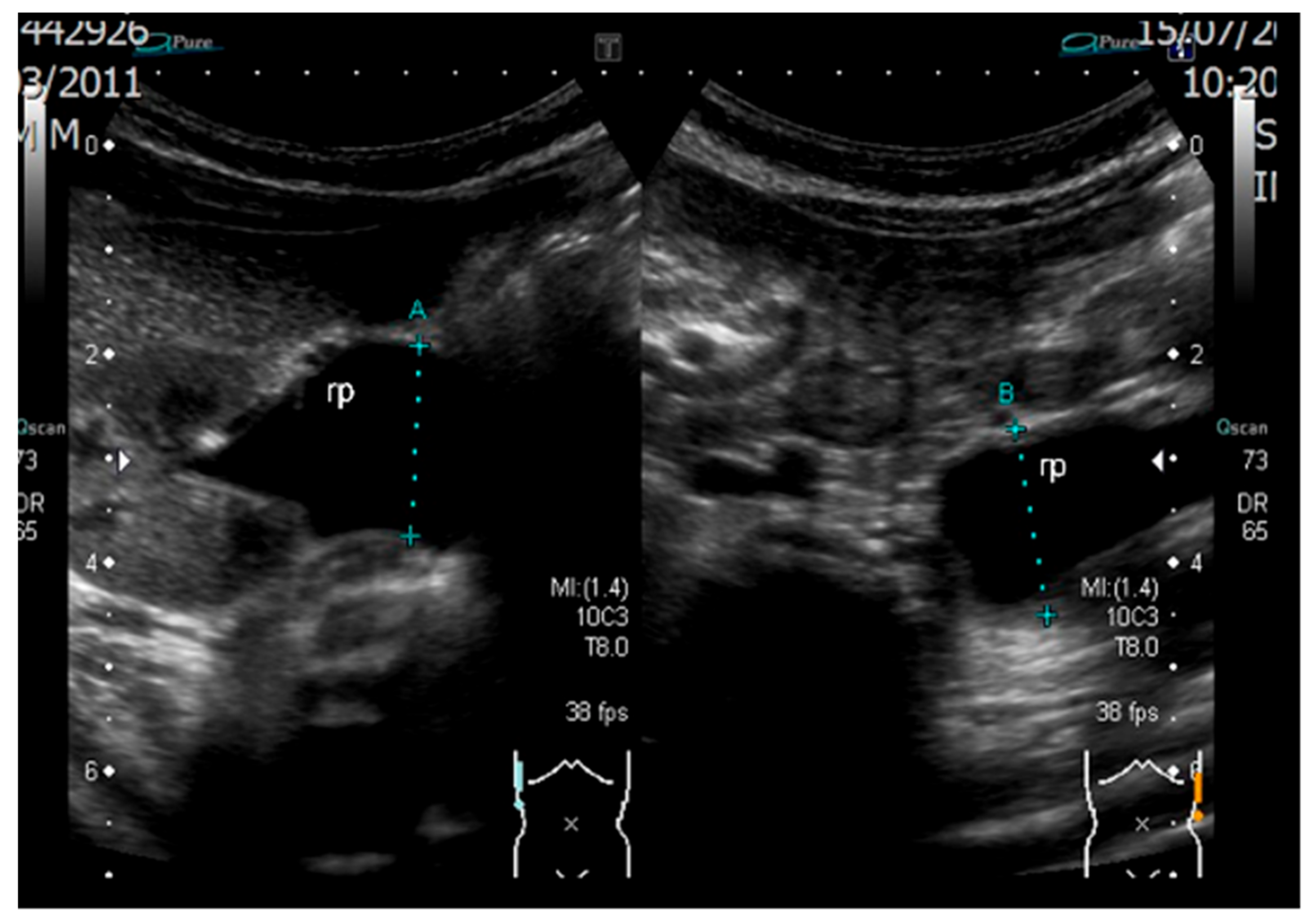
2. Case Report
3. Review of the Literature
4. Discussion
5. Conclusions
Author Contributions
Funding
Institutional Review Board Statement
Informed Consent Statement
Data Availability Statement
Conflicts of Interest
References
- Nguyen, H.T.; Benson, C.B.; Bromley, B.; Campbell, J.B.; Chow, J.; Coleman, B.; Cooper, C.; Crino, J.; Darge, K.; Herndon, C.D.A.; et al. Multidisciplinary Consensus on the Classification of Prenatal and Postnatal Urinary Tract Dilation (UTD Classification System). J. Pediatr. Urol. 2014, 10, 982–998. [Google Scholar] [CrossRef] [Green Version]
- Robyr, R.; Benachi, A.; Daikha-Dahmane, F.; Martinovich, J.; Dumez, Y.; Ville, Y. Correlation between Ultrasound and Anatomical Findings in Fetuses with Lower Urinary Tract Obstruction in the First Half of Pregnancy. Ultrasound Obstet. Gynecol. 2005, 25, 478–482. [Google Scholar] [CrossRef] [PubMed]
- Bromley, B.; Lieberman, E.; Shipp, T.D.; Benacerraf, B.R. The Genetic Sonogram: A Method of Risk Assessment for Down Syndrome in the Second Trimester. J. Ultrasound Med. 2002, 21, 1087–1096. [Google Scholar] [CrossRef] [PubMed]
- Chiodini, B.; Ghassemi, M.; Khelif, K.; Ismaili, K. Clinical Outcome of Children With Antenatally Diagnosed Hydronephrosis. Front. Pediatr. 2019, 7, 103. [Google Scholar] [CrossRef] [PubMed]
- Lee, R.S.; Cendron, M.; Kinnamon, D.D.; Nguyen, H.T. Antenatal Hydronephrosis as a Predictor of Postnatal Outcome: A Meta-Analysis. Pediatrics 2006, 118, 586–593. [Google Scholar] [CrossRef] [Green Version]
- Benacerraf, B.R.; Peters, C.A.; Mandell, J. The Prenatal Evolution of a Nonfunctioning Kidney in the Setting of Obstructive Hydronephrosis. J. Clin. Ultrasound 1991, 19, 446–450. [Google Scholar] [CrossRef]
- Yalçınkaya, F.; Özçakar, Z.B. Management of Antenatal Hydronephrosis. Pediatr. Nephrol. 2020, 35, 2231–2239. [Google Scholar] [CrossRef]
- Duncan, K.A. Antenatal Renal Pelvic Dilatation; the Long-Term Outlook. Clin. Radiol. 2007, 62, 134–139. [Google Scholar] [CrossRef]
- Has, R.; Sarac Sivrikoz, T. Prenatal Diagnosis and Findings in Ureteropelvic Junction Type Hydronephrosis. Front. Pediatr. 2020, 8, 492. [Google Scholar] [CrossRef]
- Fernbach, S.K.; Maizels, M.; Conway, J.J. Ultrasound Grading of Hydronephrosis: Introduction to the System Used by the Society for Fetal Urology. Pediatr. Radiol. 1993, 23, 478–480. [Google Scholar] [CrossRef]
- Loardi, C.; Signorelli, M.; Gregorini, M.; Marella, D.; Torri, F.; Zambelloni, C.M.; Omodei, U.; Odicino, F. Moderate and Severe Fetal Pyelectasis: Correlation between Prenatal Aspects and Postnatal Outcome. J. Neonatal Perinatal Med. 2020, 13, 91–96. [Google Scholar] [CrossRef]
- Nef, S.; Neuhaus, T.J.; Spartà, G.; Weitz, M.; Buder, K.; Wisser, J.; Gobet, R.; Willi, U.; Laube, G.F. Outcome after Prenatal Diagnosis of Congenital Anomalies of the Kidney and Urinary Tract. Eur. J. Pediatr. 2016, 175, 667–676. [Google Scholar] [CrossRef]
- Zhang, D.; Sun, X.; Chen, X.; Yu, B.; Li, T.; Cheng, Y.; Ye, M.; Lin, L.; Ma, L.; Zhao, Y.; et al. Ultrasound Evaluation for Prediction of Outcomes and Surgical Decision in Fetal Hydronephrosis. Exp. Ther. Med. 2019, 18, 1399–1406. [Google Scholar] [CrossRef]
- Elmaci, A.M.; Dönmez, M.İ. Time to Resolution of Isolated Antenatal Hydronephrosis with Anteroposterior Diameter ≤20 Mm. Eur. J. Pediatr. 2019, 178, 823–828. [Google Scholar] [CrossRef] [PubMed]
- Shukla, P.; Kumar, M.; Puri, A.; Siva, P.M. Correlation of Antenatal Ultrasound Parameters with the Postnatal Outcome of Bilateral Fetal Hydronephrosis. J. Obstet. Gynaecol. India 2020, 70, 202–207. [Google Scholar] [CrossRef] [PubMed]
- Jung, J.; Lee, J.H.; Kim, K.S.; Park, Y.S. Utility of Society for Fetal Urology and Anteroposterior Pelvic Diameter Grading Systems for Estimating Time to Resolution of Isolated Hydronephrosis: A Single Center Study. J. Urol. 2020, 204, 1048–1053. [Google Scholar] [CrossRef] [PubMed]
- Sadeghi-Bojd, S.; Kajbafzadeh, A.-M.; Ansari-Moghadam, A.; Rashidi, S. Postnatal Evaluation and Outcome of Prenatal Hydronephrosis. Iran J. Pediatr. 2016, 26, e3667. [Google Scholar] [CrossRef] [PubMed] [Green Version]
- Scarborough, P.L.; Ferrara, E.; Storm, D.W. Should Prenatal Hydronephrosis That Resolves before Birth Be Followed Postnatally? Analysis and Comparison to Persistent Prenatal Hydronephrosis. Pediatr. Nephrol. 2015, 30, 1485–1491. [Google Scholar] [CrossRef] [PubMed]
- Gartner, L.M.; Morton, J.; Lawrence, R.A.; Naylor, A.J.; O’Hare, D.; Schanler, R.J.; Eidelman, A.I. American Academy of Pediatrics Section on Breastfeeding Breastfeeding and the Use of Human Milk. Pediatrics 2005, 115, 496–506. [Google Scholar] [CrossRef] [Green Version]
- Pelleboer, R.A.; Bontemps, S.T.H.; Verkerk, P.H.; Van Dommelen, P.; Pereira, R.R.; Van Wouwe, J.P. A Nationwide Study on Hospital Admissions Due to Dehydration in Exclusively Breastfed Infants in the Netherlands: Its Incidence, Clinical Characteristics, Treatment and Outcome. Acta Paediatr. 2009, 98, 807–811. [Google Scholar] [CrossRef] [PubMed]
- Shroff, R.; Hignett, R.; Pierce, C.; Marks, S.; van’t Hoff, W. Life-Threatening Hypernatraemic Dehydration in Breastfed Babies. Arch. Dis. Child. 2006, 91, 1025–1026. [Google Scholar] [CrossRef] [Green Version]
- Sarin, A.; Thill, A.; Yaklin, C.W. Neonatal Hypernatremic Dehydration. Pediatr. Ann. 2019, 48, e197–e200. [Google Scholar] [CrossRef]
- Robinson, J.N.; Tice, K.; Kolm, P.; Abuhamad, A.Z. Effect of Maternal Hydration on Fetal Renal Pyelectasis. Obstet. Gynecol. 1998, 92, 137–141. [Google Scholar] [CrossRef]
- Babcook, C.J.; Silvera, M.; Drake, C.; Levine, D. Effect of Maternal Hydration on Mild Fetal Pyelectasis. J. Ultrasound Med. 1998, 17, 539–544. [Google Scholar] [CrossRef]
- Laing, F.C.; Burke, V.D.; Wing, V.W.; Jeffrey, R.B.; Hashimoto, B. Postpartum Evaluation of Fetal Hydronephrosis: Optimal Timing for Follow-up Sonography. Radiology 1984, 152, 423–424. [Google Scholar] [CrossRef]
- Wiener, J.S.; O’Hara, S.M. Optimal Timing of Initial Postnatal Ultrasonography in Newborns with Prenatal Hydronephrosis. J. Urol. 2002, 168, 1826–1829. [Google Scholar] [CrossRef]
- Gatti, J.M.; Broecker, B.H.; Scherz, H.C.; Perez-Brayfield, M.R.; Kirsch, A.J. Antenatal Hydronephrosis with Postnatal Resolution: How Long Are Postnatal Studies Warranted? Urology 2001, 57, 1178. [Google Scholar] [CrossRef]
- Onen, A.; Jayanthi, V.R.; Koff, S.A. Long-Term Followup of Prenatally Detected Severe Bilateral Newborn Hydronephrosis Initially Managed Nonoperatively. J. Urol. 2002, 168, 1118–1120. [Google Scholar] [CrossRef]
- Tsai, T.C.; Lee, H.C.; Huang, F.Y. The Size of the Renal Pelvis on Ultrasonography in Children. J. Clin. Ultrasound 1989, 17, 647–651. [Google Scholar] [CrossRef]
- Chertin, B.; Pollack, A.; Koulikov, D.; Rabinowitz, R.; Hain, D.; Hadas-Halpren, I.; Farkas, A. Conservative Treatment of Ureteropelvic Junction Obstruction in Children with Antenatal Diagnosis of Hydronephrosis: Lessons Learned after 16 Years of Follow-Up. Eur. Urol. 2006, 49, 734–738. [Google Scholar] [CrossRef]
- Cavoretto, P.; Lesma, A.; Spagnolo, D.; Valsecchi, L.; Negretto, A.; Candiani, M. Prenatal Sonographic Monitoring of Idiopathic Megacystis. J. Clin. Ultrasound 2013, 41, 116–118. [Google Scholar] [CrossRef] [PubMed]



Publisher’s Note: MDPI stays neutral with regard to jurisdictional claims in published maps and institutional affiliations. |
© 2021 by the authors. Licensee MDPI, Basel, Switzerland. This article is an open access article distributed under the terms and conditions of the Creative Commons Attribution (CC BY) license (https://creativecommons.org/licenses/by/4.0/).
Share and Cite
Gaeta, G.; Pozzoni, M.; Serafini, A.; Lesma, A.; Paesano, P.L.; Candiani, M.; Cavoretto, P.I. Prenatal Diagnosis of Severe Fetal Hydronephrosis Due to Pyeloureteral Junction Syndrome with False Neonatal Resolution. Reprod. Med. 2021, 2, 163-170. https://doi.org/10.3390/reprodmed2040017
Gaeta G, Pozzoni M, Serafini A, Lesma A, Paesano PL, Candiani M, Cavoretto PI. Prenatal Diagnosis of Severe Fetal Hydronephrosis Due to Pyeloureteral Junction Syndrome with False Neonatal Resolution. Reproductive Medicine. 2021; 2(4):163-170. https://doi.org/10.3390/reprodmed2040017
Chicago/Turabian StyleGaeta, Gerarda, Mirko Pozzoni, Audrey Serafini, Arianna Lesma, Pier Luigi Paesano, Massimo Candiani, and Paolo Ivo Cavoretto. 2021. "Prenatal Diagnosis of Severe Fetal Hydronephrosis Due to Pyeloureteral Junction Syndrome with False Neonatal Resolution" Reproductive Medicine 2, no. 4: 163-170. https://doi.org/10.3390/reprodmed2040017
APA StyleGaeta, G., Pozzoni, M., Serafini, A., Lesma, A., Paesano, P. L., Candiani, M., & Cavoretto, P. I. (2021). Prenatal Diagnosis of Severe Fetal Hydronephrosis Due to Pyeloureteral Junction Syndrome with False Neonatal Resolution. Reproductive Medicine, 2(4), 163-170. https://doi.org/10.3390/reprodmed2040017

