A Review on the Surgical Management of Intramural Haematoma of the Aorta
Abstract
1. Introduction
2. Epidemiology and Risk Factors
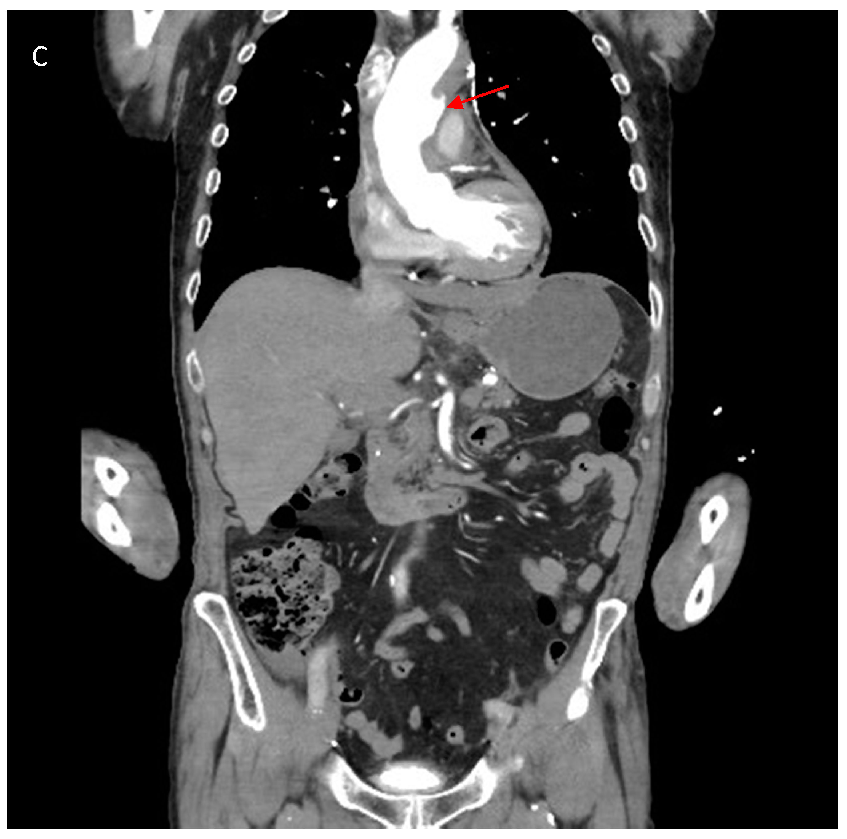
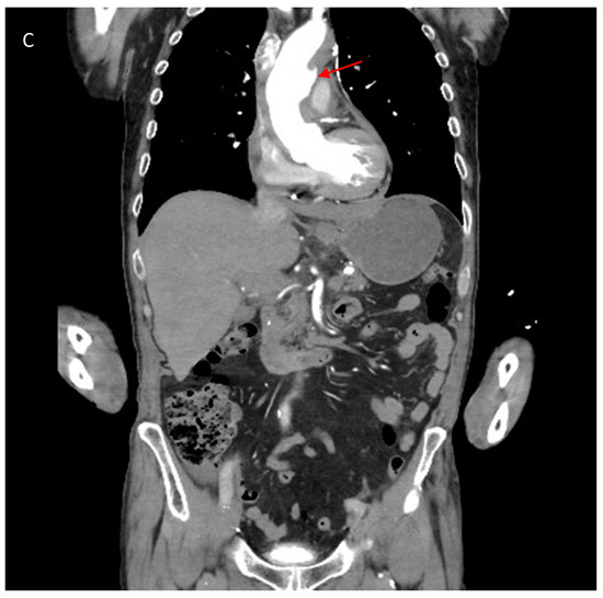
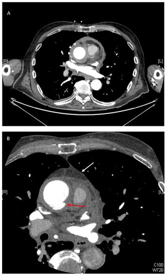
3. Anatomy of the Aorta, Classification Systems and Diagnostic Modalities
4. Pathophysiology and Clinical Manifestations
5. Surgery or Medical Management in Type A IMH
6. Should Type A IMH Be Treated Similarly to Type A AD?
7. Future Research
8. Conclusions
Author Contributions
Funding
Conflicts of Interest
References
- Krukenberg, E. Beitrage zur Frage des Aneurysma dissecans. Beitr. Pathol. Anat. Allg. Pathol. 1920, 67, 329–351. [Google Scholar]
- Erbel, R.; Aboyans, V.; Boileau, C.; Bossone, E.; Bartolomeo, R.D.; Eggebrecht, H.; Evangelista, A.; Falk, V.; Frank, H.; Gaemperli, O.; et al. ESC Committee for Practice Guidelines. 2014 ESC Guidelines on the diagnosis and treatment of aortic diseases: Document covering acute and chronic aortic diseases of the thoracic and abdominal aorta of the adult. The Task Force for the Diagnosis and Treatment of Aortic Diseases of the European Society of Cardiology (ESC). Eur. Heart. J. 2014, 35, 2873–2926. [Google Scholar] [PubMed]
- Evangelista, A. Progress in the acute aortic syndrome. Rev. Española Cardiol. 2007, 60, 428–439. [Google Scholar]
- Chou, A.S.; Ziganshin, B.A.; Charilaou, P.; Tranquilli, M.; Rizzo, J.A.; Elefteriades, J.A. Long-term behavior of aortic intramural hematomas and penetrating ulcers. J. Thorac. Cardiovasc. Surg. 2016, 151, 361–373.e1. [Google Scholar] [CrossRef] [PubMed]
- Nienaber, C.; Clough, R.E. Management of acute aortic dissection. Lancet 2015, 385, 800–811. [Google Scholar] [CrossRef]
- Ferrera, C.; Vilacosta, I.; Gómez-Polo, J.C.; Villanueva-Medina, S.; Cabeza, B.; Ortega, L.; Cañadas, V.; Alcázar, M.C.; Martínez-López, I.; Maroto-Castellanos, L.; et al. Evolution and prognosis of intramural aortic hematoma. Insights from a midterm cohort study. Int. J. Cardiol. 2017, 249, 410–413. [Google Scholar] [CrossRef] [PubMed]
- Schönhoff, F.; Zanchin, C.; Czerny, M.; Makaloski, V.; Gahl, B.; Carrel, T.; Schmidli, J. Aorta Related and All-cause Mortality in Patients with Aortic Intramural Haematoma. Eur. J. Vasc. Endovasc. Surg. 2017, 54, 447–453. [Google Scholar] [CrossRef]
- Maraj, R.; Rerkpattanapipat, P.; Jacobs, L.E.; Makornwattana, P.; Kotler, M.N. Meta-analysis of 143 reported cases of aortic intramural hematoma. Am. J. Cardiol. 2000, 86, 664–668. [Google Scholar] [CrossRef]
- von Kodolitsch, Y.; Csösz, S.K.; Koschyk, D.H.; Schalwat, I.; Loose, R.; Karck, M.; Dieckmann, C.; Fattori, R.; Haverich, A.; Berger, J.; et al. Intramural hematoma of the aorta: Predictors of progression to dissection and rupture. Circulation 2003, 107, 1158–1163. [Google Scholar] [CrossRef]
- Nienaber, C.A.; Von Kodolitsch, Y.; Petersen, B.; Loose, R.; Helmchen, U.; Haverich, A.; Spielmann, R.P. Intramural hemorrhage of the thoracic aorta. Diagnostic and therapeutic Implications. Circulation 1995, 92, 1465–1472. [Google Scholar] [CrossRef]
- Kitai, T.; Kaji, S.; Yamamuro, A.; Tani, T.; Tamita, K.; Kinoshita, M.; Ehara, N.; Kobori, A.; Nasu, M.; Okada, Y.; et al. Clinical outcomes of medical therapy and timely operation in initially diagnosed type a aortic intramural hematoma: A 20-year experience. Circulation 2009, 120, S292–S298. [Google Scholar] [CrossRef] [PubMed]
- Moizumi, Y.; Komatsu, T.; Motoyoshi, N.; Tabayashi, K. Management of patients with intramural hematoma involving the ascending aorta. J. Thorac. Cardiovasc. Surg. 2002, 124, 918–924. [Google Scholar] [CrossRef] [PubMed][Green Version]
- Song, J.-K.; Kim, H.-S.; Kang, D.-H.; Lim, T.-H.; Song, M.-G.; Park, S.-W.; Park, S.-J. Different clinical features of aortic intramural hematoma versus dissection involving the ascending aorta. J. Am. Coll. Cardiol. 2001, 37, 1604–1610. [Google Scholar] [CrossRef]
- Uchida, K.; Imoto, K.; Karube, N.; Minami, T.; Cho, T.; Goda, M.; Suzuki, S.-I.; Masuda, M. Intramural haematoma should be referred to as thrombosed-type aortic dissection†. Eur. J. Cardio Thorac. Surg. 2013, 44, 366–369. [Google Scholar] [CrossRef] [PubMed]
- Hata, M.; Hata, H.; Sezai, A.; Yoshitake, I.; Wakui, S.; Shiono, M. Optimal treatment strategy for type A acute aortic dissection with intramural hematoma. J. Thorac. Cardiovasc. Surg. 2014, 147, 307–311. [Google Scholar] [CrossRef] [PubMed]
- Pelzel, J.M.; Braverman, A.C.; Hirsch, A.T.; Harris, K.M. International heterogeneity in diagnostic frequency and clinical outcomes of ascending aortic intramural hematoma. J. Am. Soc. Echocardiogr. 2007, 20, 1260–1268. [Google Scholar] [CrossRef]
- Harris, K.M.; Braverman, A.C.; Eagle, K.A.; Woznicki, E.M.; Pyeritz, R.E.; Myrmel, T.; Peterson, M.D.; Voehringer, M.; Fattori, R.; Januzzi, J.L.; et al. Acute aortic intramural hematoma: An analysis from the international registry of acute aortic dissection. Circulation 2012, 126 (Suppl. 1), S91–S96. [Google Scholar] [CrossRef]
- Evangelista, A.; Dominguez, R.; Sebastia, C.; Salas, A.; Permanyer-Miralda, G.; Avegliano, G.; Gomez-Bosh, Z.; Gonzalez-Alujas, T.; Del Castillo, H.G.; Soler-Soler, J. Prognostic value of clinical and morphologic findings in short-term evolution of aortic intramural haematoma. Therapeutic implications. Eur. Hear. J. 2004, 25, 81–87. [Google Scholar] [CrossRef]
- von Kodolitsch, Y.; Nienaber, C.A. Intramural hemorrhage of the thoracic aorta: Diagnosis, therapy and prognosis of 209 in vivo diagnosed cases. Z. Kardiol. 1998, 87, 797–807. [Google Scholar] [CrossRef]
- Bossone, E.; LaBounty, T.M.; Eagle, K.A. Acute aortic syndromes: Diagnosis and management, an update. Eur. Hear. J. 2017, 39, 739–749d. [Google Scholar] [CrossRef]
- Nienaber, C. The role of imaging in acute aortic syndromes. Eur. Hear. J. Cardiovasc. Imaging 2012, 14, 15–23. [Google Scholar] [CrossRef] [PubMed]
- Nishigami, K.; Tsuchiya, T.; Shono, H.; Horibata, Y.; Honda, T. Disappearance of aortic intramural hematoma and its significance to the prognosis. Circulation 2000, 102 (Suppl. 3), Iii-243–Iii-247. [Google Scholar] [CrossRef]
- Park, K.-H.; Lim, C.; Choi, J.H.; Sung, K.; Kim, K.; Lee, Y.T.; Park, P.W. Prevalence of aortic intimal defect in surgically treated acute type a intramural hematoma. Ann. Thorac. Surg. 2008, 86, 1494–1500. [Google Scholar] [CrossRef] [PubMed]
- Estrera, A.L.; Miller, C.; Lee, T.-Y.; De Rango, P.; Abdullah, S.; Walkes, J.-C.; Milewicz, D.; Safi, H. Acute type A intramural hematoma: Analysis of current management strategy. Circulation 2009, 120 (Suppl. 1), S287–S291. [Google Scholar] [CrossRef] [PubMed][Green Version]
- Svensson, L.G.; Labib, S.B.; Eisenhauer, A.C.; Butterly, J.R. Intimal tear without hematoma: An important variant of aortic dissection that can elude current imaging techniques. Circulation 1999, 99, 1331–1336. [Google Scholar] [CrossRef] [PubMed]
- Kruse, M.J.; Johnson, P.T.; Fishman, E.K.; Zimmerman, S. Aortic intramural hematoma: Review of high-risk imaging features. J. Cardiovasc. Comput. Tomogr. 2013, 7, 267–272. [Google Scholar] [CrossRef] [PubMed]
- Ganaha, F.; Miller, D.C.; Sugimoto, K.; Do, Y.S.; Minamiguchi, H.; Saito, H.; Mitchell, R.S.; Dake, M.D. The prognosis of aortic intramural hematoma with and without penetrating atherosclerotic ulcer: A clinical and radiological analysis. Circulation 2002, 106, 342–348. [Google Scholar] [CrossRef]
- Chen, Y.-Y.; Yen, H.-T.; Lo, C.-M.; Wu, C.-C.; Huang, D.K.-R.; Sheu, J.-J. Natural courses and long-term results of type A acute aortic intramural haematoma and retrograde thrombosed type A acute aortic dissection: A single-centre experience. Interact. Cardiovasc. Thorac. Surg. 2019, 30, 113–120. [Google Scholar] [CrossRef]
- Okamoto, R.J.; Xu, H.; Kouchoukos, N.T.; Moon, M.R.; Sundt, T.M. The influence of mechanical properties on wall stress and distensibility of the dilated ascending aorta. J. Thorac. Cardiovasc. Surg. 2003, 126, 842–850. [Google Scholar] [CrossRef]
- Stefanadis, C.I.; Karayannacos, P.E.; Boudoulas, H.K.; Stratos, C.G.; Vlachopoulos, C.V.; Dontas, I.A.; Toutouzas, P.K. Medial necrosis and acute alterations in aortic distensibility following removal of the vasa vasorum of canine ascending aorta. Cardiovasc. Res. 1993, 27, 951–956. [Google Scholar] [CrossRef]
- Goldberg, J.B.; Kim, J.B.; Sundt, T.M. Current understandings and approach to the management of aortic intramural hematomas. Semin. Thorac. Cardiovasc. Surg. 2014, 26, 123–131. [Google Scholar] [CrossRef] [PubMed]
- Maslow, A.; Atalay, M.K.; Sodha, N. Intramural Hematoma. J. Cardiothorac. Vasc. Anesth. 2018, 32, 1341–1362. [Google Scholar] [CrossRef] [PubMed]
- Attia, R.Q.; Young, C.; Fallouh, H.B.; Scarci, M. In patients with acute aortic intramural haematoma is open surgical repair superior to conservative management? Interact. Cardiovasc. Thorac. Surg. 2009, 9, 868–871. [Google Scholar] [CrossRef] [PubMed]
- Matsushita, A.; Fukui, T.; Tabata, M.; Sato, Y.; Takanashi, S. Preoperative characteristics and surgical outcomes of acute intramural hematoma involving the ascending aorta: A propensity score–matched analysis. J. Thorac. Cardiovasc. Surg. 2016, 151, 351–358. [Google Scholar] [CrossRef]
- Kaji, S.; Nishigami, K.; Akasaka, T.; Hozumi, T.; Takagi, T.; Kawamoto, T.; Okura, H.; Shono, H.; Horibata, Y.; Honda, T.; et al. Prediction of progression or regression of type A aortic intramural hematoma by computed tomography. Circulation 1999, 100 (Suppl. 2), II-281–Ii-286. [Google Scholar] [CrossRef] [PubMed]
- Ahn, J.-M.; Kim, H.; Kwon, O.; Om, S.Y.; Heo, R.; Lee, S.; Kim, D.-H.; Kim, H.J.; Kim, J.B.; Jung, S.H.; et al. Differential clinical features and long-term prognosis of acute aortic syndrome according to disease entity. Eur. Hear. J. 2019, 40, 2727–2736. [Google Scholar] [CrossRef]
- Ho, H.H.; Cheung, C.W.; Jim, M.H.; Miu, K.M.; Siu, C.W.; Lam, Y.M.; Chan, H.W.; Lee, W.L.; Tse, H.-F. Type A aortic intramural hematoma: Clinical features and outcomes in chinese patients. Clin. Cardiol. 2011, 34, E1–E5. [Google Scholar] [CrossRef] [PubMed]
- Sandhu, H.K.; Tanaka, A.; Charlton-Ouw, K.M.; Afifi, R.O.; Iii, C.C.M.; Safi, H.J.; Estrera, A.L.; Miller, C.C. Outcomes and management of type A intramural hematoma. Ann. Cardiothorac. Surg. 2016, 5, 317–327. [Google Scholar] [CrossRef]
- Kitamura, T.; Torii, S.; Miyamoto, T.; Mishima, T.; Ohkubo, H.; Fujioka, S.; Yakuwa, K.; Araki, H.; Kondo, S.; Tamura, Y.; et al. Watch-and-wait strategy for type A intramural haematoma and acute aortic dissection with thrombosed false lumen of the ascending aorta: A Japanese single-centre experience. Eur. J. Cardiothorac. Surg. 2020. [Google Scholar] [CrossRef]
- Shores, J.; Berger, K.R.; Murphy, E.A.; Pyeritz, R.E. Progression of aortic dilatation and the benefit of long-term beta-adrenergic blockade in Marfan syndrome. N. Engl. J. Med. 1994, 330, 1335–1341. [Google Scholar] [CrossRef]
- Shimizu, H.; Yoshino, H.; Udagawa, H.; Watanuki, A.; Yano, K.; Ide, H.; Sudo, K.; Ishikawa, K. Prognosis of aortic intramural hemorrhage compared with classic aortic dissection. Am. J. Cardiol. 2000, 85, 792–795. [Google Scholar] [CrossRef]
- Roselli, E.E.; Loor, G.; He, J.; Rafael, A.E.; Rajeswaran, J.; Houghtaling, P.L.; Svensson, L.G.; Blackstone, E.H.; Lytle, B.W. Distal aortic interventions after repair of ascending dissection: The argument for a more aggressive approach. J. Thorac. Cardiovasc. Surg. 2015, 149, S117–S124.e3. [Google Scholar] [CrossRef] [PubMed]


© 2020 by the authors. Licensee MDPI, Basel, Switzerland. This article is an open access article distributed under the terms and conditions of the Creative Commons Attribution (CC BY) license (http://creativecommons.org/licenses/by/4.0/).
Share and Cite
Kho, J.; Petrou, M. A Review on the Surgical Management of Intramural Haematoma of the Aorta. Hearts 2020, 1, 75-85. https://doi.org/10.3390/hearts1020009
Kho J, Petrou M. A Review on the Surgical Management of Intramural Haematoma of the Aorta. Hearts. 2020; 1(2):75-85. https://doi.org/10.3390/hearts1020009
Chicago/Turabian StyleKho, Jason, and Mario Petrou. 2020. "A Review on the Surgical Management of Intramural Haematoma of the Aorta" Hearts 1, no. 2: 75-85. https://doi.org/10.3390/hearts1020009
APA StyleKho, J., & Petrou, M. (2020). A Review on the Surgical Management of Intramural Haematoma of the Aorta. Hearts, 1(2), 75-85. https://doi.org/10.3390/hearts1020009

