The Prosthetic Rehabilitation of Maxillary Aesthetic Area Guided by a Multidisciplinary Approach: A Case Report with Histomorphometric Evaluation
Abstract
1. Introduction
2. Methods
2.1. Case Presentation
2.2. Surgical Procedure
2.3. Tissue Processing
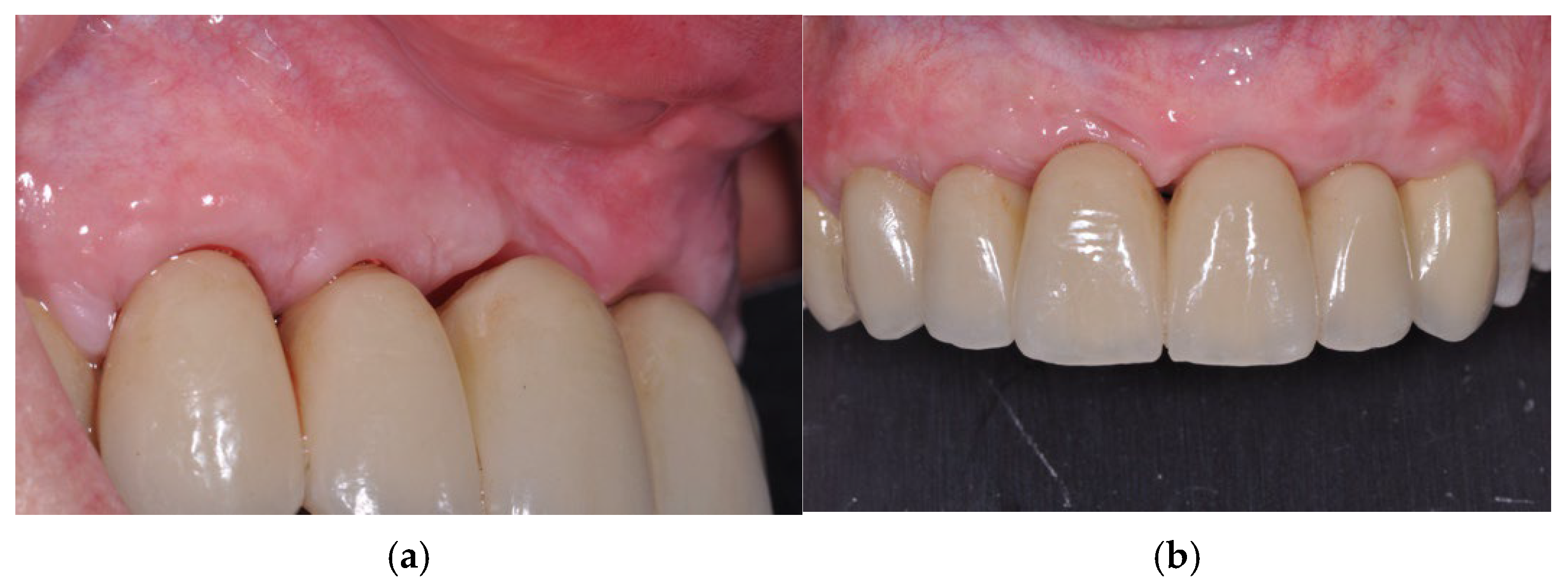
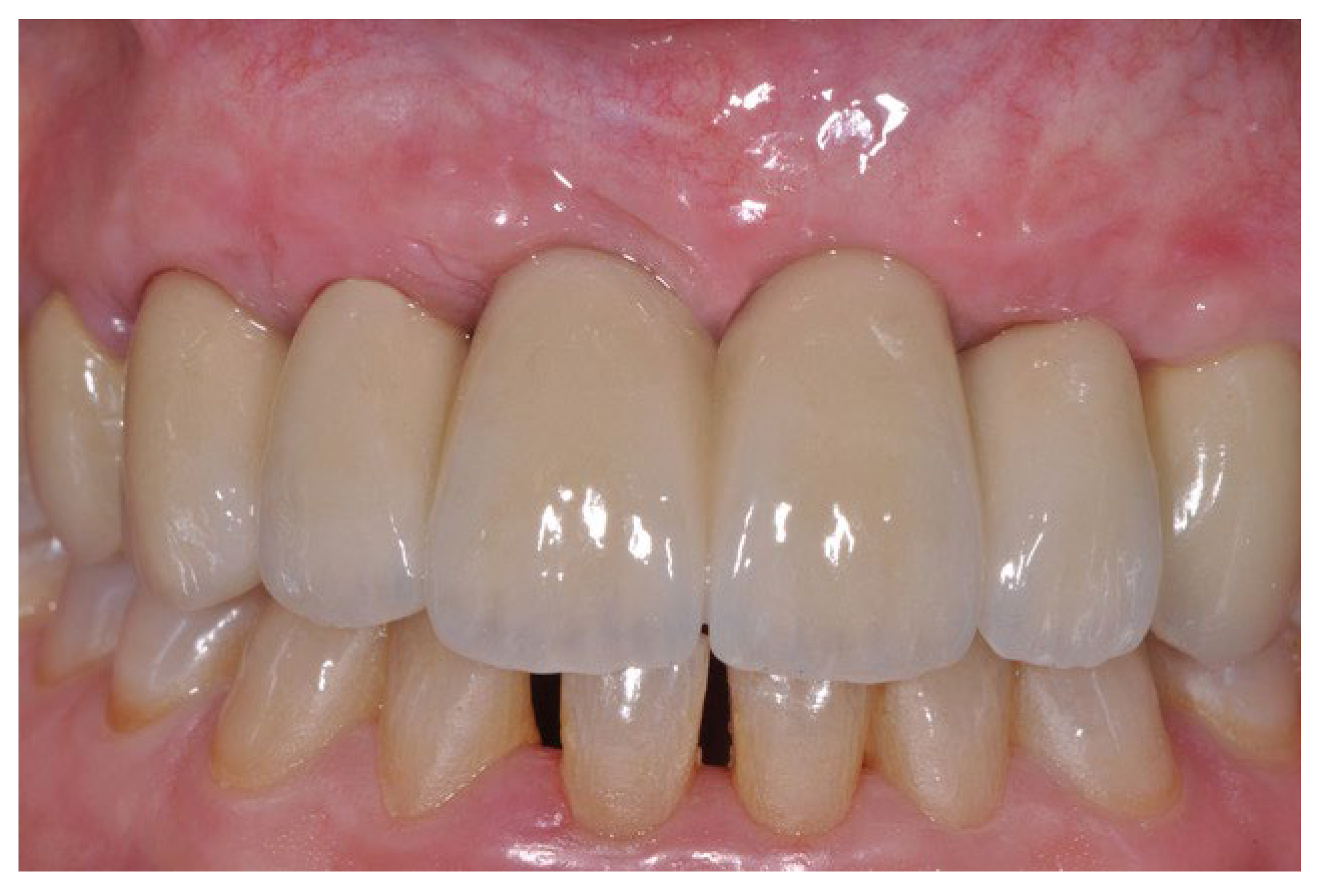
3. Results
4. Discussion
5. Conclusions
Author Contributions
Funding
Institutional Review Board Statement
Informed Consent Statement
Data Availability Statement
Acknowledgments
Conflicts of Interest
References
- Araujo, M.G.; Lindhe, J. Dimensional ridge alterations following tooth extraction. An experimental study in the dog. J. Clin. Periodontol. 2005, 32, 212–218. [Google Scholar] [CrossRef] [PubMed]
- Dahlin, C.; Linde, A.; Gottlow, J.; Nyman, S. Healing of bone defects by guided tissue regeneration. Plast. Reconstr. Surg. 1998, 81, 672–676. [Google Scholar] [CrossRef] [PubMed]
- Urban, I.A.; Monje, A. Guided Bone Regeneration in Alveolar Bone Reconstruction. Oral Maxillofac. Surg. Clin. N. Am. 2019, 31, 331–338. [Google Scholar] [CrossRef] [PubMed]
- Wang, H.L.; Boyapati, L. “PASS” principles for predictable bone regeneration. Implant. Dent. 2006, 15, 8–17. [Google Scholar] [CrossRef] [PubMed]
- Pereira, H.F.; Cengiz, I.F.; Silva, F.S.; Reis, R.L.; Oliveira, J.M. Scaffolds and coatings for bone regeneration. J. Mater. Sci. Mater. Med. 2020, 31, 27. [Google Scholar] [CrossRef]
- Asparuhova, M.B.; Chappuis, V.; Stähli, A.; Buser, D.; Sculean, A. Role of hyaluronan in regulating self-renewal and osteogenic differentiation of mesenchymal stromal cells and preosteoblasts. Clin. Oral Investig. 2020, 24, 3923–3937. [Google Scholar] [CrossRef] [PubMed] [PubMed Central]
- Langer, B.; Calagna, L.J. The subepithelial connective tissue graft. A new approach to the enhancement of anterior cosmetics. Int. J. Periodontics Restor. Dent. 1982, 2, 22–33. [Google Scholar] [PubMed]
- Chen, S.T.; Buser, D. Clinical and esthetic outcomes of implants placed in postextraction sites. Int. J. Oral Maxillofac. Implants 2009, 24, 186–217. [Google Scholar] [PubMed]
- Zucchelli, G. Tecniche di prelievo dell’innesto connettivale. In Chirurgia Estetica Mucogengivale; Zucchelli, G., Ed.; Quintessenza: Rho, MI, USA, 2014; pp. 424–457. [Google Scholar]
- Zuhr, O.; Baumer, D.; Hurzeler, M. The addition of soft tissue replacement grafts in plastic periodontal and implant surgery: Critical elements in design and execution. J. Clin. Periodontol. 2014, 41 (Suppl. S15), S123–S142. [Google Scholar] [CrossRef]
- Tatakis, D.N.; Chambrone, L.; Allen, E.P.; Langer, B.; McGuire, M.K.; Richardson, C.R.; Zabalegui, I.; Zadeh, H.H. Periodontal soft tissue root coverage procedures: A consensus report from the AAP Regeneration Workshop. J. Periodontol. 2015, 86 (Suppl. S2), S52–S55. [Google Scholar] [CrossRef] [PubMed]
- Cairo, F.; Nieri, M.; Pagliaro, U. Efficacy of periodontal plastic surgery procedures in the treatment of localized facial gingival recessions. A systematic review. J. Clin. Periodontol. 2014, 41 (Suppl. S15), S44–S62. [Google Scholar] [CrossRef] [PubMed]
- Benic, G.I.; Hämmerle, C.H. Horizontal bone augmentation by means of guided bone regeneration. Periodontology 2000 2014, 66, 13–40. [Google Scholar] [CrossRef] [PubMed]
- Speroni, S.; Polizzi, E.; Antonelli, L.; Coccoluto, L.; Giuffrè, M.; Tetè, G.; Gherlone, E.F. Early implant inserted in a recon-structed site with xenograft, hyaluronic acid, and polynucleotides in non-syndromic agenesis: Histomorphometry and follow-up. Eur. J. Musculoskelet. Dis. 2024, 13, 134–142. [Google Scholar]
- Alrmali, A.; Stuhr, S.; Saleh, M.H.A.; Latimer, J.; Kan, J.; Tarnow, D.P.; Wang, H.L. A decision-making tree for evaluating an esthetically compromised single dental implant. J. Esthet. Restor. Dent. 2023, 35, 1239–1248. [Google Scholar] [CrossRef] [PubMed]
- Simion, M.; Jovanovic, S.A.; Trisi, P.; Scarano, A.; Piattelli, A. Vertical ridge augmentation around dental implants using a membrane technique and autogenous bone or allografts in humans. Int. J. Periodontics Restor. Dent. 1998, 18, 8–23. [Google Scholar] [PubMed]
- Friedmann, A.; Strietzel, F.P.; Maretzki, B.; Pitaru, S.; Bernimoulin, J.P. Histological assessment of augmented jaw bone utilizing a new collagen barrier membrane compared to a standard barrier membrane to protect a granular bone substitute material. Clin. Oral Implants Res. 2002, 13, 587–594. [Google Scholar] [CrossRef] [PubMed]
- Hämmerle, C.H.; Jung, R.E.; Yaman, D.; Lang, N.P. Ridge augmentation by applying bioresorbable membranes and deproteinized bovine bone mineral: A report of twelve consecutive cases. Clin. Oral Implants Res. 2008, 19, 19–25. [Google Scholar] [CrossRef] [PubMed]
- Jepsen, S.; Schwarz, F.; Cordaro, L.; Derks, J.; Hämmerle, C.H.F.; Heitz-Mayfield, L.J.; Hernández-Alfaro, F.; Meijer, H.J.A.; Naenni, N.; Ortiz-Vigón, A.; et al. Regeneration of alveolar ridge defects. Consensus report of group 4 of the 15th European Workshop on Periodontology on Bone Regeneration. J. Clin. Periodontol. 2019, 46 (Suppl. S21), 277–286. [Google Scholar] [CrossRef] [PubMed]
- Chiapas, M.; Zaniboni, M. Clinical outcomes of GBR procedures to correct peri-implant dehiscence’s and fenestrations: A systematic review. Clin. Oral Implants Res. 2009, 20 (Suppl. S4), 113–123. [Google Scholar] [CrossRef]
- Soldatos, N.K.; Stylianou, P.; Koidou, V.P.; Angelov, N.; Yukna, R.; Romanos, G.E. Limitations and options using resorbable versus nonresorbable membranes for successful guided bone regeneration. Quintessence Int. 2017, 48, 131–147. [Google Scholar]
- Meijndert, L.; Raghoebar, G.M.; Schupbach, P. Bone quality at the implant site after reconstruction of a local defect of the maxillary anterior ridge with chin bone or deproteinised cancellous bovine bone. Int. J. Oral Maxillofac. Surg. 2005, 34, 877–884. [Google Scholar] [CrossRef] [PubMed]
- Chackartchi, T.; Romanos, G.E.; Parkanyi, L.; Schwarz, F.; Sculean, A. Reducing errors in guided implant surgery to optimize treatment outcomes. Periodontology 2000 2022, 88, 64–72. [Google Scholar] [CrossRef] [PubMed]
- Martelloni, M.; Boccaletto, P.; Montagner, G.; Trojan, D.; Abate, R. Bilaminar Technique with Coronally Advanced Flap and Cryopreserved Human Amniotic Membrane in the Treatment of Gingival Recessions. Case Rep. Dent. 2020, 2020, 7827092. [Google Scholar] [CrossRef] [PubMed] [PubMed Central]
- Canullo, L.; Tallarico, M.; Pradies, G.; Marinotti, F.; Loi, I.; Cocchetto, R. Soft and hard tissue response to an implant with a convergent collar in the esthetic area: Preliminary report at 18 months. Int. J. Esthet. Dent. 2017, 12, 306–323. [Google Scholar] [PubMed]
- Speroni, S.; Antonelli, L.; Coccoluto, L.; Giuffrè, M.; Sarnelli, F.; Tura, T.; Gherlone, E. The Effectiveness and Predictability of BioHPP (Biocompatible High-Performance Polymer) Superstructures in Toronto-Branemark Implant-Prosthetic Rehabilitations: A Case Report. Prosthesis 2025, 7, 10. [Google Scholar] [CrossRef]
- Abad-Coronel, C.; Villacís Manosalvas, J.; Palacio Sarmiento, C.; Esquivel, J.; Loi, I.; Pradíes, G. Clinical outcomes of the biologically oriented preparation technique (BOPT) in fixed dental prostheses: A systematic review. J. Prosthet. Dent. 2024, 132, 502–508. [Google Scholar] [CrossRef] [PubMed]
- Wessing, B.; Lettner, S.; Zechner, W. Guided Bone Regeneration with Collagen Membranes and Particulate Graft Materials: A Systematic Review and Meta-Analysis. Int. J. Oral Maxillofac. Implants 2018, 33, 87–100. [Google Scholar] [CrossRef] [PubMed]
- Elgali, I.; Omar, O.; Dahlin, C.; Thomsen, P. Guided bone regeneration: Materials and biological mechanisms revisited. Eur. J. Oral Sci. 2017, 125, 315–337. [Google Scholar] [CrossRef] [PubMed] [PubMed Central]
- Calciolari, E.; Corbella, S.; Gkranias, N.; Viganó, M.; Sculean, A.; Donos, N. Efficacy of biomaterials for lateral bone augmentation performed with guided bone regeneration. A network meta-analysis. Periodontology 2000 2023, 93, 77–106. [Google Scholar] [CrossRef] [PubMed]
- Beretta, M.; Manfredini, M.; Dellavia, C.P.B.; Pellegrini, G.; Maiorana, C.; Poli, P.P. Xenograft Combined with a Mixture of Polynucleotides and Hyaluronic Acid (PNs-HA) for Horizontal Alveolar Bone Regeneration: Clinical and Histologic Assessments in a Case Series. Int. J. Periodontics Restor. Dent. 2024, Epub ahead of print, 1–23. [Google Scholar] [CrossRef] [PubMed]
- Colangelo, M.T.; Galli, C.; Guizzardi, S. The effects of polydeoxyribonucleotide on wound healing and tissue regeneration: A systematic review of literature. Regen. Med. 2020. [Google Scholar] [CrossRef] [PubMed]
- Guizzardi, S.; Galli, C.; Govoni, P.; Boratto, R.; Cattarini, G.; Martini, D. Polydeoxyribonucleotide (PDRN) promotes human osteoblast proliferation: A new proposal for bone tissue repair. Life Sci. 2003, 73, 1973–1983. [Google Scholar] [CrossRef] [PubMed]
- Yadalam, P.K.; Arumuganainar, D.; Ronsivalle, V.; Di Blasio, M.; Badnjevic, A.; Marrapodi, M.M.; Cervino, G.; Minervini, G. Prediction of interactomic hub genes in PBMC cells in type 2 diabetes mellitus, dyslipidemia, and periodontitis. BMC Oral Health 2024, 24, 385. [Google Scholar] [CrossRef] [PubMed]
- Li, Y.; Wang, X.; Han, Y.; Sun, H.Y.; Hilborn, J.; Shi, L. Click chemistry-based biopolymeric hydrogels for regenerative medicine. Biomed. Mater. 2021, 13, 022003. [Google Scholar] [CrossRef] [PubMed]
- Manfredini, M.; Poli, P.P.; Beretta, M.; Pellegrini, M.; Salina, F.E.; Maiorana, C. Polydeoxyribonucleotides Pre-Clinical Findings in Bone Healing: A Scoping Review. Dent. J. 2023, 11, 280. [Google Scholar] [CrossRef]
- Bartold, P.M.; Page, R.C. The effect of chronic inflammation on gingival connective tissue proteoglycans and hyaluronic acid. J. Oral Pathol. 1986, 15, 367–374. [Google Scholar] [CrossRef]
- Manzanares, D.; Monzon, M.E.; Savani, R.C. Apical oxidative hyaluronan degradation stimulates airway ciliary beating via RHAMM and RON. Am. J. Respir. Cell Mol. Biol. 2007, 37, 160–168. [Google Scholar] [CrossRef]
- Zhai, P.; Peng, X.; Li, B.; Liu, Y.; Sun, H.; Li, X. The application of Hyaluronic acid in bone regeneration. Int. J. Biol. Macromol. 2020, 151, 1224–1239. [Google Scholar] [CrossRef]
- Kyyak, S.; Blatt, S.; Wiesmann, N.; Smeets, R.; Kaemmerer, P.W. Hyaluronic Acid with Bone Substitutes Enhance Angiogenesis In Vivo. Materials 2022, 15, 3839. [Google Scholar] [CrossRef]
- Koca, C.; Komerik, N.; Ozmen, O. Comparison of efficiency of hyaluronic acid and/or bone grafts in healing of bone defects. Niger. J. Clin. Pract. 2019, 22, 754–762. [Google Scholar] [CrossRef]
- Lee, J.B.; Chu, S.; Ben Amara, H.; Song, H.Y.; Son, M.J.; Lee, J. Effects of hyaluronic acid and deproteinized bovine bone mineral with 10% collagen for ridge preservation in compromised extraction sockets. J. Periodontol. 2021, 92, 1564–1575. [Google Scholar] [CrossRef] [PubMed]
- Kyyak, S.; Pabst, A.; Heimes, D.; Kammerer, P.W. The Influence of Hyaluronic Acid Biofunctionalization of a Bovine Bone Substitute on Osteoblast Activity In Vitro. Materials 2021, 14, 2885. [Google Scholar] [CrossRef] [PubMed]
- Thoma, D.S.; Benić, G.I.; Zwahlen, M.; Hämmerle, C.H.; Jung, R.E. A systematic review assessing soft tissue augmentation techniques. Clin. Oral Implants Res. 2009, 20 (Suppl. S4), 146–165. [Google Scholar] [CrossRef] [PubMed]
- Chambrone, L.; Ortega, M.A.S.; Sukekava, F.; Rotundo, R.; Kalemaj, Z.; Buti, J.; Prato, G.P.P. Root coverage procedures for treating localised and multiple recession-type defects. Cochrane Database Syst. Rev. 2018, 10, CD007161. [Google Scholar] [CrossRef] [PubMed] [PubMed Central]
- Tavelli, L.; Barootchi, S.; Nguyen, T.V.N.; Tattan, M.; Ravida, A.; Wang, H.L. Efficacy of tunnel technique in the treatment of localized and multiple gingival recessions: A systematic review and meta-analysis. J. Periodontol. 2018, 89, 1075–1090. [Google Scholar] [CrossRef]
- Thoma, D.S.; Buranawat, B.; Hammerle, C.H.; Held, U.; Jung, R.E. Efficacy of soft tissue augmentation around dental implants and in partially edentulous areas: A systematic review. J. Clin. Periodontol. 2014, 41 (Suppl. S15), S77–S91. [Google Scholar] [CrossRef]
- Zucchelli, G.; Mazzotti, C.; Mounssif, I.; Mele, M.; Stefanini, M.; Montebugnoli, L. A novel surgical–prosthetic approach for soft tissue dehiscence coverage around single implant. Clin. Oral Implants Res. 2013, 24, 957–962. [Google Scholar] [CrossRef]














Disclaimer/Publisher’s Note: The statements, opinions and data contained in all publications are solely those of the individual author(s) and contributor(s) and not of MDPI and/or the editor(s). MDPI and/or the editor(s) disclaim responsibility for any injury to people or property resulting from any ideas, methods, instructions or products referred to in the content. |
© 2025 by the authors. Licensee MDPI, Basel, Switzerland. This article is an open access article distributed under the terms and conditions of the Creative Commons Attribution (CC BY) license (https://creativecommons.org/licenses/by/4.0/).
Share and Cite
Speroni, S.; Antonelli, L.; Coccoluto, L.; Giuffrè, M.; Zucchelli, A.; Sarnelli, F.; Ronsivalle, V.; Zucchelli, G. The Prosthetic Rehabilitation of Maxillary Aesthetic Area Guided by a Multidisciplinary Approach: A Case Report with Histomorphometric Evaluation. Prosthesis 2025, 7, 63. https://doi.org/10.3390/prosthesis7030063
Speroni S, Antonelli L, Coccoluto L, Giuffrè M, Zucchelli A, Sarnelli F, Ronsivalle V, Zucchelli G. The Prosthetic Rehabilitation of Maxillary Aesthetic Area Guided by a Multidisciplinary Approach: A Case Report with Histomorphometric Evaluation. Prosthesis. 2025; 7(3):63. https://doi.org/10.3390/prosthesis7030063
Chicago/Turabian StyleSperoni, Stefano, Luca Antonelli, Luca Coccoluto, Marco Giuffrè, Alessandro Zucchelli, Francesco Sarnelli, Vincenzo Ronsivalle, and Giovanni Zucchelli. 2025. "The Prosthetic Rehabilitation of Maxillary Aesthetic Area Guided by a Multidisciplinary Approach: A Case Report with Histomorphometric Evaluation" Prosthesis 7, no. 3: 63. https://doi.org/10.3390/prosthesis7030063
APA StyleSperoni, S., Antonelli, L., Coccoluto, L., Giuffrè, M., Zucchelli, A., Sarnelli, F., Ronsivalle, V., & Zucchelli, G. (2025). The Prosthetic Rehabilitation of Maxillary Aesthetic Area Guided by a Multidisciplinary Approach: A Case Report with Histomorphometric Evaluation. Prosthesis, 7(3), 63. https://doi.org/10.3390/prosthesis7030063

