Pharyngeal Obturator Prosthesis Ideal for Orthodontic Appliances: A Case Series
Abstract
1. Introduction
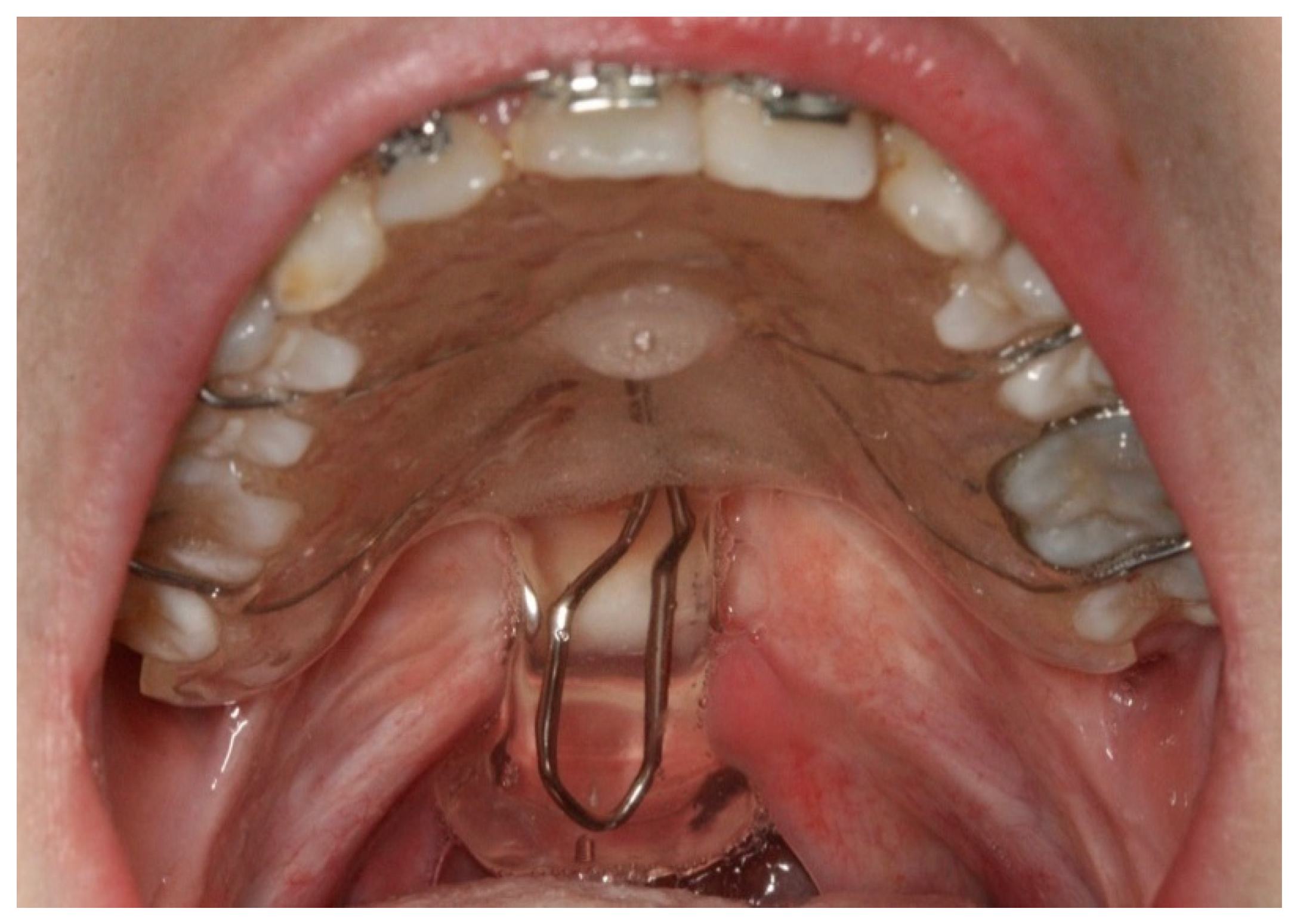
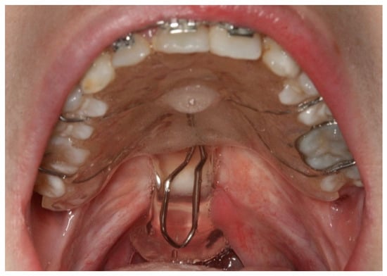
2. Materials and Methods
3. Results
4. Discussion
5. Conclusions
Author Contributions
Funding
Institutional Review Board Statement
Informed Consent Statement
Data Availability Statement
Conflicts of Interest
Correction Statement
References
- Vieira, A.R.; Orioli, I.M. Birth order and oral clefts: A meta analysis. Teratology 2002, 66, 209–216. [Google Scholar] [CrossRef]
- McNEIL, C.K. Orthodontic procedures in the treatment of congenital cleft palate. Dent. Rec. 1950, 70, 126–132. [Google Scholar]
- Kuijpers-Jagtman, A.M. The orthodontist, an essential partner in CLP treatment. B-ENT 2006, 2 (Suppl. S4), 57–62. [Google Scholar] [PubMed]
- Vig, K.W.L.; Mercado, M.A. The orthodontist’s role in a cleft palate-craniofacial team. In Orthodontics Current Principles & Techniques, 4th ed.; Orthodontic Practice US: St. Louis, MI, USA, 2005; pp. 1097–1121. [Google Scholar]
- Semb, G. A study of facial growth in patients with bilateral cleft lip and palate treated by the Oslo CLP Team. Cleft Palate-Craniofacial J. 1991, 28, 22–39. [Google Scholar] [CrossRef] [PubMed]
- David, D.J.; Smith, I.; Nugent, M.; Richards, C.; Anderson, P.J. From birth to maturity: A group of patients who have completed their protocol management. Part III. Bilateral cleft lip-cleft palate. Plast. Reconstr. Surg. 2011, 128, 475–484. [Google Scholar] [CrossRef]
- Nollet, P.J.P.M.; Katsaros, C.; Huyskens, R.W.F.; Borstlap, W.A.; Bronkhorst, E.M.; Kuijpers-Jagtman, A.M. Cephalometric evaluation of long-term craniofacial development in unilateral cleft lip and palate patients treated with delayed hard palate closure. Int. J. Oral Maxillofac. Surg. 2008, 37, 123–130. [Google Scholar] [CrossRef]
- Carvajal Monroy, P.L.; Grefte, S.; Kuijpers-Jagtman, A.M.; Wagener, F.A.D.T.G.; Von den Hoff, J.W. Strategies to Improve Regeneration of the Soft Palate Muscles After Cleft Palate Repair. Tissue Eng. Part B Rev. 2012, 18, 468–477. [Google Scholar] [CrossRef]
- Shin, Y.-J.; Ko, S.-O. Successful and Rapid Response of Speech Bulb Reduction Program Combined with Speech Therapy in Velopharyngeal Dysfunction: A Case Report. Maxillofac. Plast. Reconstr. Surg. 2015, 37, 22. [Google Scholar] [CrossRef]
- Aboloyoun, A.I.; Ghorab, S.; Farooq, M.U. Palatal Lifting Prosthesis and Velopharyngeal Insufficiency: Preliminary Report. Acta Medica Acad. 2013, 42, 55–60. [Google Scholar] [CrossRef]
- Kummer, A. Types and Causes of Velopharyngeal Dysfunction. Semin. Speech Lang. 2011, 32, 150–158. [Google Scholar] [CrossRef]
- Bispo, N.H.M.; Whitaker, M.E.; Aferri, H.C.; Neves, J.D.A.; Dutka, J.C.R.; Pegoraro-Krook, M.I. Speech Therapy for Compensatory Articulations and Velopharyngeal Function: A Case Report. J. Appl. Oral Sci. 2011, 19, 679–684. [Google Scholar] [CrossRef]
- Woo, A. Velopharyngeal Dysfunction. Semin. Plast. Surg. 2013, 26, 170–177. [Google Scholar] [CrossRef]
- Henningsson, G.; Kuehn, D.P.; Sell, D.; Sweeney, T.; Trost-Cardamone, J.E.; Whitehill, T.L. Universal Parameters for Reporting Speech Outcomes in Individuals with Cleft Palate. Cleft. Palate Craniofac. J. 2008, 45, 1–17. [Google Scholar] [CrossRef] [PubMed]
- Ma, L.; Shi, B.; Li, Y.; Zheng, Q. Velopharyngeal Function Assessment in Patients with Cleft Palate: Perceptual Speech Assessment versus Nasopharyngoscopy. J. Craniofac. Surg. 2013, 24, 1229–1231. [Google Scholar] [CrossRef] [PubMed]
- Lohmander, A.; Hagberg, E.; Persson, C.; Willadsen, E.; Lundeborg, I.; Davies, J.; Havstam, C.; Boers, M.; Kisling-Møller, M.; Alaluusua, S.; et al. Validity of Auditory Perceptual Assessment of Velopharyngeal Function and Dysfunction—The VPC-Sum and the VPC-Rate. Clin. Linguist. Phon. 2017, 31, 589–597. [Google Scholar] [CrossRef]
- Vale, F.; Paula, A.B.; Travassos, R.; Nunes, C.; Ribeiro, M.P.; Marques, F.; Pereira, F.; Carrilho, E.; Marto, C.M.; Francisco, I. Velopharyngeal Insufficiency Treatment in Cleft Palate Patients: Umbrella Review. Biomimetics 2022, 7, 118. [Google Scholar] [CrossRef]
- Téblick, S.; Ruymaekers, M.; van de Casteele, E.; Nadjmi, N. Effect of Cleft Palate Closure Technique on Speech and Middle Ear Outcome: A Systematic Review. J. Oral Maxillofac. Surg. 2018, 77, 405.e1–405.e15. [Google Scholar] [CrossRef] [PubMed]
- Kurnik, N.M.; Weidler, E.M.; Lien, K.M.; Cordero, K.N.; Williams, J.L.; Temkit, M.H.; Beals, S.P.; Singh, D.J.; Sitzman, T.J. The Effectiveness of Palate Re-Repair for Treating Velopharyngeal Insufficiency: A Systematic Review and Meta-Analysis. Cleft. Palate Craniofac. J. 2020, 57, 860–871. [Google Scholar] [CrossRef]
- Ferreira, G.Z.; Bressmann, T.; Dutka, J.C.R.; Whitaker, M.E.; Boer, G.; Marino, V.C.C.; Pegoraro-Krook, M.I. Analysis of Oral-Nasal Balance after Intensive Speech Therapy Combined with Speech Bulb in Speakers with Cleft Palate and Hypernasality. J. Commun. Disord. 2020, 85, 105945. [Google Scholar] [CrossRef]
- El-Maghraby, R.M.; El-Didi, L.M.; Al-Shimy, A.M.; Abdel Razek, M.M. The Speech Outcome of Definitive Obturators Constructed Using Two Different Impression Techniques. Egypt J. Otolaryngol. 2016, 32, 61–66. [Google Scholar] [CrossRef]
- Sun, J.; Li, N.; Sun, G. Application of Obturator to Treat Velopharyngeal Incompetence. Chin. Med. J. 2002, 115, 842–845. [Google Scholar]
- Akin, H.; Coskun, M.E.; Akin, E.G.; Ozdemir, A.K. Multidisciplinary approach for esthetic, functional, and quality-of-life outcome in soft palate cleft patient. Cleft Palate Craniofac. J. 2012, 49, 622–625. [Google Scholar] [CrossRef] [PubMed]
- da Silva Filho, O.G.; Boiani, E.; de Oliveira Cavassan, A.; Santamaria, M. Rapid Maxillary Expansion after Secondary Alveolar Bone Grafting in Patients with Alveolar Cleft. Cleft Palate Craniofac. J. 2009, 46, 331–338. [Google Scholar] [CrossRef] [PubMed]
- Francisco, I.; Paula, A.B.; Oliveiros, B.; Fernandes, M.H.; Carrilho, E.; Marto, C.M.; Vale, F. Regenerative Strategies in Cleft Palate: An Umbrella Review. Bioengineering 2021, 8, 76. [Google Scholar] [CrossRef] [PubMed]
- Nunes, W.R.; Di Francesco, R.C. Variation of Patterns of Malocclusion by Site of Pharyngeal Obstruction in Children. Arch. Otolaryngol. Neck Surg. 2010, 136, 1116. [Google Scholar] [CrossRef] [PubMed]
- Tuna, S.H.; Pekkan, G.; Gumus, H.O.; Aktas, A. Prosthetic Rehabilitation of Velopharyngeal Insufficiency: Pharyngeal Obturator Prostheses with Different Retention Mechanisms. Eur. J. Dent. 2010, 4, 81–87. [Google Scholar] [CrossRef] [PubMed]
- Pegoraro-Krook, M.I.; Rosa, R.R.; Aferri, H.C.; Andrade, L.K.F.D.; Dutka, J.D.C. Pharyngeal Bulb Prosthesis and Speech Outcome in Patients with Cleft Palate. Braz. J. Otorhinolaryngol. 2022, 88, 187–193. [Google Scholar] [CrossRef]
- Harrison, J.W. Dental Implants to Rehabilitate a Patient with an Unrepaired Complete Cleft of the Hard and Soft Palate: A Clinical Report. Cleft Palate Craniofac. J. 1992, 29, 485–488. [Google Scholar] [CrossRef]
- Beumer, J.; Curtis, T.A.; Marunick, M.T. Speech, Velopharyngeal Function, and Restoration of Soft Palate Defects. In Maxillofacial Rehabilitation: Prosthodontic and Surgical Considerations; Ishiyaku EuroAmerica, Inc.: St. Louis, MI, USA, 1996; pp. 285–324. [Google Scholar]
- Melo, P.E.D.; Bocato, J.R.; Conti, A.C.C.F.; Souza, K.R.S.; Fernandes, T.M.F.; Almeida, M.R.; Oltramati, P.V.P. Effects of orthodontic treatment with aligners and fixed appliances on speech. Angle Orthod. 2021, 91, 711–717. [Google Scholar] [CrossRef]
- Spina, V. A proposed modification for the classification of cleft lip and cleft palate. Cleft Palate J. 1973, 10, 251–252. [Google Scholar]
- Pinto, J.H.N.; Dalben, G.S.; Pegoraro-Krook, M.I. Speech intelligibility of patients with cleft lip and palate after placement of speech prosthesis. Cleft Palate Craniofac. J. 2007, 44, 635–641. [Google Scholar] [CrossRef] [PubMed]
- Allareddy, V.; Bruun, R.; MacLaine, J.; Markiewicz, M.R.; Ruiz, R.; Miller, M.A. Orthodontic Preparation for Secondary Alveolar Bone Grafting in Patients with Complete Cleft Lip and Palate. Oral Maxillofac. Surg. Clin. N. Am. 2020, 32, 205–217. [Google Scholar] [CrossRef] [PubMed]
- Ogata, Y.; Matsuzaki, S.; Sasaguri, M.; Kubota, Y.; Suzuki, A.; Nakamura, S.; Shirasuna, K.; Nakamua, N. Effects of Bulb Type Palatal Lift Prosthesis Therapy on Nasality and Velopharyngeal Function of Patients Following Palatoplasty. Oral Sci. Int. 2009, 6, 73–84. [Google Scholar] [CrossRef]
- Rieger, J.M.; Wolfaardt, J.F.; Jha, N.; Seikaly, H. Maxillary Obturators: The Relationship between Patient Satisfaction and Speech Outcome. Head Neck 2003, 25, 895–903. [Google Scholar] [CrossRef] [PubMed]
- Meier, J.D.; Muntz, H.R. Velopharyngeal Dysfunction Evaluation and Treatment. Facial Plast. Surg. Clin. N. Am. 2016, 24, 477–485. [Google Scholar] [CrossRef] [PubMed]
- Sell, D.; Mars, M.; Worrell, E. Process and Outcome Study of Multidisciplinary Prosthetic Treatment for Velopharyngeal Dysfunction. Int. J. Lang Commun. Disord. 2006, 41, 495–511. [Google Scholar] [CrossRef]
- Rillo Dutka, J.C.; Uemeoka, É.; Aferri, H.C.; Pegoraro-Krook, M.I.; De Castro Marino, V.C. Total Obturation of Velopharynx for Treatment of Velopharyngeal Hypodynamism: Case Report. Cleft Palate Craniofac. J. 2012, 49, 488–767. [Google Scholar] [CrossRef]





| Case | Sex | Age | Cleft Type | Date of Surgery | Orthodontic Treatment Phase |
|---|---|---|---|---|---|
| 1 | M | (14 y 5 m) | Left CLP | Cheiloplasty at 4 months; primary bone graft at 12 months | Fixed appliances—leveling and aligning |
| 2 | F | (19 y 2 m) | Left CLP | Cheiloplasty at 4 months; primary bone graft at 3 years and secondary at 13 years | Fixed appliances—leveling and aligning (maxillary expansion was performed before) |
| 3 | M | (16 y 9 m) | Right CLP | Cheiloplasty at 4 months; primary bone graft at 2 years; distraction to close the cleft in 2019 | Fixed appliances—leveling and aligning |
| 4 | M | (15 y 10 m) | Right CLP | Cheiloplasty at 3 months; primary bone graft at 11 months; distraction to close the cleft in 2018 | Fixed appliances—leveling and aligning (maxillary expansion was performed before) |
| 5 | F | (20 y 6 m) | Bilateral CLP | Cheiloplasty at 2 months; primary bone graft at 2 years and secondary in 2018 | Fixed appliances—leveling and aligning |
| 6 | M | (17 y 11 m) | Bilateral CLP | Cheiloplasty at 4 months; primary bone graft at 12 months and secondary in 2016 | Fixed appliances—leveling and aligning (maxillary expansion was performed before) |
| Case | H1 | EAA1 | AV1 | AC1 | H2 | EAA2 | AV2 | AC2 | H3 | EAA3 | AV3 | AC3 | |
|---|---|---|---|---|---|---|---|---|---|---|---|---|---|
| T0 | 1 | M | P | A | P | L | P | A | A | M | P | P | P |
| 2 | S | P | A | P | M | P | A | A | S | P | A | P | |
| 3 | M | P | P | P | S | P | P | P | S | P | P | P | |
| 4 | M | P | P | A | M | P | P | P | S | P | P | P | |
| 5 | S | P | A | P | M | P | A | A | L | P | A | A | |
| 6 | S | P | P | P | M | P | P | P | S | P | P | P | |
| T1 | 1 | L | P | A | P | L | P | P | A | M | P | P | P |
| 2 | S | P | A | P | L | P | P | A | M | P | P | P | |
| 3 | S | P | P | P | S | P | P | P | S | P | P | P | |
| 4 | M | P | P | A | M | P | P | P | M | P | A | P | |
| 5 | M | P | A | P | M | P | A | A | L | P | A | A | |
| 6 | M | P | A | P | M | P | A | P | S | P | P | P |
Disclaimer/Publisher’s Note: The statements, opinions and data contained in all publications are solely those of the individual author(s) and contributor(s) and not of MDPI and/or the editor(s). MDPI and/or the editor(s) disclaim responsibility for any injury to people or property resulting from any ideas, methods, instructions or products referred to in the content. |
© 2023 by the authors. Licensee MDPI, Basel, Switzerland. This article is an open access article distributed under the terms and conditions of the Creative Commons Attribution (CC BY) license (https://creativecommons.org/licenses/by/4.0/).
Share and Cite
Vale, F.; Nunes, C.; Reis, J.; Travassos, R.; Ribeiro, M.; Marques, F.; Pedroso, A.; Marto, C.M.; Paula, A.B.; Francisco, I. Pharyngeal Obturator Prosthesis Ideal for Orthodontic Appliances: A Case Series. Prosthesis 2023, 5, 1129-1138. https://doi.org/10.3390/prosthesis5040079
Vale F, Nunes C, Reis J, Travassos R, Ribeiro M, Marques F, Pedroso A, Marto CM, Paula AB, Francisco I. Pharyngeal Obturator Prosthesis Ideal for Orthodontic Appliances: A Case Series. Prosthesis. 2023; 5(4):1129-1138. https://doi.org/10.3390/prosthesis5040079
Chicago/Turabian StyleVale, Francisco, Catarina Nunes, Joana Reis, Raquel Travassos, Madalena Ribeiro, Filipa Marques, Anabela Pedroso, Carlos Miguel Marto, Anabela Baptista Paula, and Inês Francisco. 2023. "Pharyngeal Obturator Prosthesis Ideal for Orthodontic Appliances: A Case Series" Prosthesis 5, no. 4: 1129-1138. https://doi.org/10.3390/prosthesis5040079
APA StyleVale, F., Nunes, C., Reis, J., Travassos, R., Ribeiro, M., Marques, F., Pedroso, A., Marto, C. M., Paula, A. B., & Francisco, I. (2023). Pharyngeal Obturator Prosthesis Ideal for Orthodontic Appliances: A Case Series. Prosthesis, 5(4), 1129-1138. https://doi.org/10.3390/prosthesis5040079

