You are currently on the new version of our website. Access the old version .
ProsthesisProsthesis
  • Case Report
  • Open Access

30 November 2019

Screwdriver Aspiration During Oral Procedures: A Lesson for Dentists and Gastroenterologists

,
,
,
,
and
1
Gastrointestinal Unit Department of Medicine, Surgery & Dentistry, Scuola Medica Salernitana, 84084 Salerno, Italy
2
AOU Sangiovanni e Ruggi d’Aragona, 84131 Salerno, Italy
3
Dental School, University of Ferrara, 44121 Ferrara, Italy
*
Author to whom correspondence should be addressed.

Abstract

This article reports the case of a patient suffering from Alzheimer’s disease who underwent a dental procedure for the peri-implantitis of his dental implants placed some years earlier. Our aim was to describe a misinterpreted accidental foreign body aspiration and its management. Due to an involuntary movement, the patient accidentally ingested a screwdriver, so, although asymptomatic, he was taken to the hospital. Based on the radiographic interpretation, the radiologists diagnosed the presence of the object in the distal esophagus; an esophagogastroduodenoscopy was performed but the screwdriver was not found. Subsequently, a computed tomography (CT) scan was performed which placed the foreign body in the airways and it was successfully removed by bronchoscopy. Patients with dementia need additional care during dental procedures because of the increased risk of ingestion and/or aspiration. We demonstrated how important it is, even without any symptoms, the need to be vigilant in seeking out urgent care as soon as possible.

1. Case Presentation

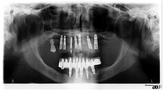
A 78-year-old Caucasian male with primary degenerative dementia (Alzheimer’s disease), who was treated with Memantine, Quetiapine, and Haloperidol sought treatment for difficulty in chewing. The patient complained about other comorbid medical conditions that also required numerous medications, such as, Allopurinol, Simvastatin, baby Aspirin, a mixture of ethyl esters of polyunsaturated fatty acids, and the association between Telmisartan and Hydrochlorothiazide. The patient had a fixed dental prosthesis supported by dental implants, delivered many years before. In recent years, with the increase in difficulty of carrying out oral hygiene procedures, the implants had developed peri-implantitis (Figure 1). The treatment plan was to remove three implants and to retain the others, in order to fabricate a removable denture with implant retention. However, during the dental procedure, it was assumed that the patient swallowed a small screwdriver (Figure 2) due to a sudden unconscious movement. The screwdriver was not tethered to a dental floss, the clinician thought that was not necessary because the procedure involved only the anterior teeth.
Figure 1. A panoramic radiograph showing evident peri-implantitis in lower jaw.
Figure 2. A prosthetic screwdriver similar to one “ingested” by the patient.
Although the patient had no complaints, he was admitted to the Accident & Emergency Department (A&E) and underwent a thorax and abdomen radiograph. It disclosed the presence of a “radiopaque foreign body projecting on the right cardiac atrium” (Figure 3 and Figure 4) and the radiologist diagnosed the presence of a screwdriver in the distal esophagus. Subsequently, the patient was referred to the endoscopy unit to undergo an upper GI endoscopy with the aim of retrieving the foreign body. During the first phase of sedation, when the patient was lying in a recumbent position, he began to cough; so he was immediately placed in the classical left lateral position and he suddenly stopped coughing. The gastroenterologist performed the study thoroughly, by viewing the esophagus, stomach, and the second part of the duodenum very carefully. However, no object was found. Nevertheless, a very tortuous esophagus with absent motility and presence of varix in the upper portion was revealed, as well as a large diverticulum filled with food mixed with bile in the second part of the duodenum. The gastroenterologist carefully washed the second part of the duodenum but the screwdriver was not found. After this unsuccessful procedure, it was unclear whether the screwdriver had already passed beyond the second part of the duodenum or there was a misinterpretation of the previous radiograph.
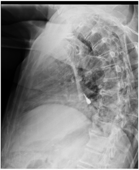
Figure 3. Front view of the thorax and abdomen radiograph.
Figure 4. Lateral view of the thorax and abdomen radiograph.
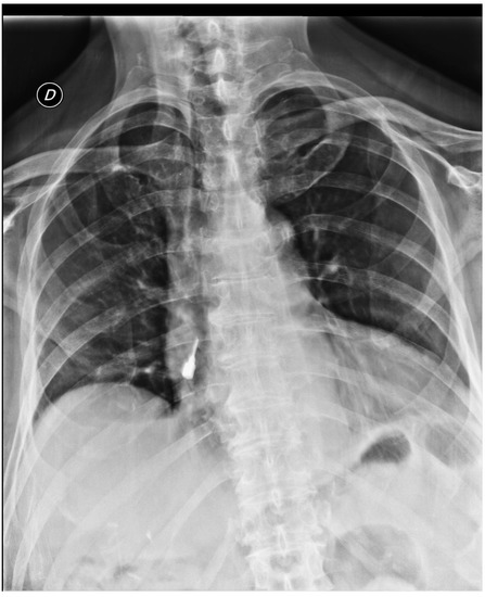
The patient was then referred again to the radiology unit to undergo a thorax and abdomen CT scan. During this period, the patient never complained nor showed any symptoms. Nevertheless, the radiologist localized the presence of “a foreign body of metallic density inside the lumen of the proximal tract of the lower left lobar bronchus” (Figure 5). Therefore, the patient underwent a bronchoscopy in the theater room and the screwdriver was successfully retrieved.
Figure 5. An image from the computed tomography (CT) scan.

2. Discussion

The ingestion or aspiration of screwdrivers during dental practice has been previously described in the literature [1,2,3,4,5,6,7,8]. To prevent ingestion or aspiration of any foreign body such as screwdrivers some predisposing factors should be taken into account as well as precautionary measures adopted [9]. Usually, if a screwdriver is used for implant in the posterior region, it is tethered with dental floss outside the oral cavity.
In 95% of cases, ingestion of foreign bodies occurs during food swallowing, for example fish and chicken bones [10]. Ingestion of true foreign bodies (i.e., nonfood objects) occurs more frequently in children and in the elderly population, in individuals with underlying psychiatric diseases or during alcohol intoxication. Most ingested foreign bodies (80%–90%) pass spontaneously without the need for intervention [11,12]. Gastroenterologists are the specialists involved in retrieving foreign bodies in the remaining 10%–20% of cases. Surgeons are required in less than 1% of cases and treat complications.
Foreign bodies are located more frequently in the esophagus, due to the presence of physiological reduction of lumen, such as diaphragmatic hiatus and lower esophageal sphincter, or pathological findings such as diverticula or stenosis [13].
The presence of foreign bodies is usually associated with an acute onset of dysphagia, although other symptoms, such as airway obstruction and retrosternal pain may also occur [14,15]. If esophageal obstruction occurs, drooling and vomiting of undigested food as well as inability to swallow any liquids are observed.
When a perforation of the middle esophagus occurs, severe retrosternal chest pain, dyspnea, as well as fever and shock are observed [16,17]. In the case of a cervical perforation, severe neck pain has been described [16,17]. In addition, other complications such as a fistulas between the esophagus and the trachea or the aorta have also been described. In the tracheoesophageal fistula there is a sudden appearance of cyanosis, coughing, and choking [18]. Gastrointestinal bleeding is the most common symptom of an aorto-enteric fistula [19]. If the foreign body does not cause any mucosal damage, the patient is asymptomatic, but problems in swallowing may be persistent and an abrupt onset of gastrointestinal symptoms years after previous foreign body ingestion have been described [20,21,22,23]. Thus, diagnosis could be very challenging [24].
In our case report the patient was completely asymptomatic until he arrived at the A&E Unit. Later, while he was lying in a recumbent position for the upper GI endoscopy he began to cough. However, as soon as he was placed in the left lateral position, he immediately stopped coughing. It is our belief that during the repositioning, the screwdriver moved from the right inferior lobar bronchus, to the left inferior lobar bronchus, where the CT scan found it later, after the initial upper GI endoscopy.
In order to locate objects and assess whether they are in the trachea or the esophagus, it is important to consider the reference points of airways on posterior-anterior and lateral chest radiographs [25].
Following the European Society of Gastrointestinal Endoscopy (ESGE) recommendations (Table 1), the patient who had ingested a blunt foreign body, although asymptomatic, underwent a radiograph of the chest and abdomen, which revealed a screwdriver in the distal esophagus. The patient was referred to undergo an upper GI endoscopy in the A&E unit, on the basis of the ESGE guidelines [11].
Table 1. Imaging. Indications and choice of modality.
In fact, an urgent (preferably within 2 hours, but at the latest within 6 h) therapeutic esophagogastroduodenoscopy is recommended for any sharp-pointed objects in the esophagus.
Therefore, since no foreign body was found, it was not clear whether or not the screwdriver had already passed through the second part of the duodenum, or there was a misinterpretation of the previous radiographs. This was the reason why the patient was sent back to the radiology unit to undergo a further examination of the chest and abdomen with a CT scan. This procedure allowed the radiologist to identify the presence of “a foreign body of metal density inside the lumen of the left inferior lobar bronchus”.
In addition, the personal history of the patient should be taken into account. In this case, a diagnosis of Alzheimer’s disease—the commonest cause of dementia. It has been already described in the literature [6] how patients suffering from Parkinson’s disease are considered at risk of aspirating and/or ingesting dental instruments. Possibly, a sudden unconscious movement of the patient due to the underlying disorder had not been noticed. Thus some precautionary measures such as placing patients in a more vertical position, or fixing small objects with dental floss in order to facilitate recovery should be recommended for all patients. The procedure to use the dental floss must always be applied by well-trained and expert clinicians.

3. Conclusions

Voluntary and involuntary ingestion of true foreign bodies such as screwdrivers is an uncommon occurrence. In adults, esophageal food bolus impaction is prevalent with an annual incidence of 13/100,000 persons [11]. In the majority of true foreign body ingestions, they pass through the digestive tract; however, sometimes they become stalled, creating an emergency situation for the patient. The crucial point is to differentiate between the cases that must be immediately treated, from those requiring a simple observation. Endoscopic treatment is definitely the first therapeutic option; an inability to locate the foreign body in the digestive tract through an endoscopy should lead to a CT scan for possible placement in the respiratory tract.
In this particular case, the authors demonstrated how important it is, even without any symptoms, the necessity to be vigilant in seeking out urgent care as soon as possible. Although the wife was reluctant to take her husband to the A&E, as she thought that the screwdriver was ingested and the foreign body would pass through in the normal fashion, this was far from the truth and could have resulted in a more precarious situation.

Author Contributions

P.I.: patient enrollment, conception and study design, collection and interpretation of data, drafting of the article and final approval of the version to be published. A.D.S.: drafting of the article and final approval of the version to be published. A.S.: drafting of the article and final approval of the version to be published. V.D.C. collection and interpretation of data, drafting of the article and final approval of the version to be published. C.M. collection and interpretation of data, drafting of the article and final approval of the version to be published. V.B.: patient enrollment, conception and study design, collection and interpretation of data, drafting of the article and final approval of the version to be published.

Funding

This research received no external funding.

Conflicts of Interest

The authors declare no conflict of interest.

References

  1. De Souza, J.G.; Schuldt Filho, G.; Pereira Neto, A.R.; Lyra, H.F., Jr.; Bianchini, M.A.; Cardoso, A.C. Accident in implant dentistry: Involuntary screwdriver ingestion during surgical procedure. A clinical report. J. Prosthodont. 2012, 21, 191–193. [Google Scholar] [CrossRef] [PubMed]
  2. El Wazani, B.; Nixon, P.; Butterworth, C.J. Accidental Ingestion of an Implant Screwdriver: A Case Report and Literature Review Eur. J. Prosthodont. Restor. Dent. 2018, 26, 184–189. [Google Scholar]
  3. Jain, A.; Baliga, S.D. Accidental Implant Screwdriver Ingestion: A Rare Complication during Implant Placement. J. Dent. 2014, 11, 711–714. [Google Scholar]
  4. Pull Ter Gunne, L.; Wismeijer, D. Accidental ingestion of an untethered instrument during implant surgery. Int. J. Prosthodont. 2014, 27, 277–278. [Google Scholar] [CrossRef] [PubMed]
  5. Kim, A.; Ahn, K.M. Endoscopic removal of an aspirated healing abutment and screwdriver under conscious sedation. Implant Dent. 2014, 23, 250–252. [Google Scholar] [CrossRef] [PubMed]
  6. Deliberador, T.M.; Marengo, G.; Scaratti, R.; Giovanini, A.F.; Zielak, J.C.; Baratto Filho, F. Accidental aspiration in a patient with Parkinson’s disease during implant-supported prosthesis construction: A case report. Spec. Care Dentist. 2011, 31, 156–161. [Google Scholar] [CrossRef] [PubMed]
  7. Pingarrón Martín, L.; Morán Soto, M.J.; Sánchez Burgos, R.; Burgueño García, M. Bronchial impaction of an implant screwdriver after accidental aspiration: Report of a case and revision of the literature. Oral Maxillofac. Surg. 2010, 14, 43–47. [Google Scholar] [CrossRef]
  8. Worthington, P. Ingested foreign body associated with oral implant treatment: Report of a case. Int. J. Oral Maxillofac. Implants 1996, 11, 679–681. [Google Scholar]
  9. Zitzmann, N.U.; Elsasser, S.; Fried, R.; Marinello, C.P. Foreign body ingestion and aspiration. Oral Surg. Oral Med. Oral Pathol. Oral Radiol. Endodontol. 1999, 88, 657–660. [Google Scholar] [CrossRef]
  10. Wu, W.T.; Chiu, C.T.; Kuo, C.J.; Lin, C.J.; Chu, Y.Y.; Tsou, Y.K.; Su, M.Y. Endoscopic management of suspected esophageal foreign body in adults. Dis. Esophagus 2011, 24, 131–137. [Google Scholar] [CrossRef]
  11. Birk, M.; Bauerfeind, P.; Deprez, P.H.; Häfner, M.; Hartmann, D.; Hassan, C.; Hucl, T.; Lesur, G.; Aabakken, L.; Meining, A. Removal of foreign bodies in the upper gastrointestinal tract in adults: European Society of Gastrointestinal Endoscopy (ESGE) Clinical Guideline. Endoscopy 2016, 48, 489–496. [Google Scholar] [CrossRef] [PubMed]
  12. Weiland, S.T.; Schurr, M.J. Conservative management of ingested foreign bodies. J. Gastrointest. Surg. 2002, 6, 496. [Google Scholar] [CrossRef]
  13. Li, Z.S.; Sun, Z.X.; Zou, D.W.; Xu, G.M.; Wu, R.P.; Liao, Z. Endoscopic management of foreign bodies in the upper-GI tract: Experience with 1088 cases in China. Gastrointest. Endosc. 2006, 64, 485–492. [Google Scholar] [CrossRef]
  14. Nandi, P.; Ong, G.B. Foreign body in the oesophagus: Review of 2394 cases. Br. J. Surg. 1978, 65, 5–9. [Google Scholar] [CrossRef] [PubMed]
  15. Khan, M.A.; Hameed, A.; Choudhry, A.J. Management of foreign bodies in the esophagus. J. Coll. Phys. Surg. Pak. 2004, 14, 218–220. [Google Scholar]
  16. Sung, S.H.; Jeon, S.W.; Son, H.S.; Kim, S.K.; Jung, M.K.; Cho, C.M.; Tak, W.Y.; Kweon, Y.O. Factors predictive of risk for complications in patients with oesophageal foreign bodies. Dig. Liver Dis. 2011, 43, 632–635. [Google Scholar] [CrossRef]
  17. Lam, H.C.; Woo, J.K.; van Hasselt, C.A. Management of ingested foreign bodies: A retrospective review of 5240 patients. J. Laryngol. Otol. 2001, 115, 954–957. [Google Scholar] [CrossRef]
  18. Ahn, D.; Heo, S.J.; Park, J.H.; Sohn, J.H. Tracheoesophageal fistula with tracheal stenosis resulting from retained esophageal foreign body. Auris Nasus Larynx 2011, 38, 753–756. [Google Scholar] [CrossRef]
  19. Zhang, X.; Liu, J.; Li, J.; Hu, J.; Yu, F.; Li, S.; Yang, X. Diagnosis and treatment of 32 cases with aortoesophageal fistula due to esophageal foreign body. Laryngoscope 2011, 121, 267–272. [Google Scholar] [CrossRef]
  20. Adams, D.B. Endoscopic removal of entrapped coins from an intraluminal duodenal diverticulum 20 years after ingestion. Gastrointest. Endosc. 1986, 32, 415–416. [Google Scholar] [CrossRef]
  21. Kirberg, A.E. Long-standing esophageal foreign body. Gastrointest. Endosc. 1986, 32, 304–305. [Google Scholar] [CrossRef]
  22. Yamamoto, M.; Mizuno, H.; Sugawara, Y. A chopstick is removed after 60 years in the duodenum. Gastrointest. Endosc. 2016, 31, 51. [Google Scholar] [CrossRef]
  23. Tsui, B.C.; Mossey, J. Occult liver abscess following clinically unsuspected ingestion of foreign bodies. Can. J. Gastroenterol. Hepatol. 1997, 11, 445–448. [Google Scholar] [CrossRef] [PubMed]
  24. Bucci, C.; Gallotta, S.; Morra, I.; Fortunato, A.; Ciacci, C.; Iovino, P. Anisakis, just think about it in an emergency! Int. J. Infect. Dis. 2013, 17, e1071–e1072. [Google Scholar] [CrossRef] [PubMed]
  25. Guelfguat, M.; Kaplinskiy, V.; Reddy, S.H.; DiPoce, J. Clinical guidelines for imaging and reporting ingested foreign bodies. AJR Am. J. Roentgenol. 2014, 203, 37–53. [Google Scholar] [CrossRef] [PubMed]

Article Metrics

Citations

Article Access Statistics

Multiple requests from the same IP address are counted as one view.