RIP Sensing Matrices Construction for Sparsifying Dictionaries with Application to MRI Imaging
Abstract
1. Introduction
2. Compressed Sensing Applications
3. Sensing Matrix Construction
- (i)
- There exists an invertible and orthonormal such that ;
- (ii)
- There exists an invertible with ;
- (iii)
- A and D have equal rank.
4. Application to Accelerated MRI Imaging
5. Experimental Results
5.1. Sensing Matrix of Sparsifying Dictionaries
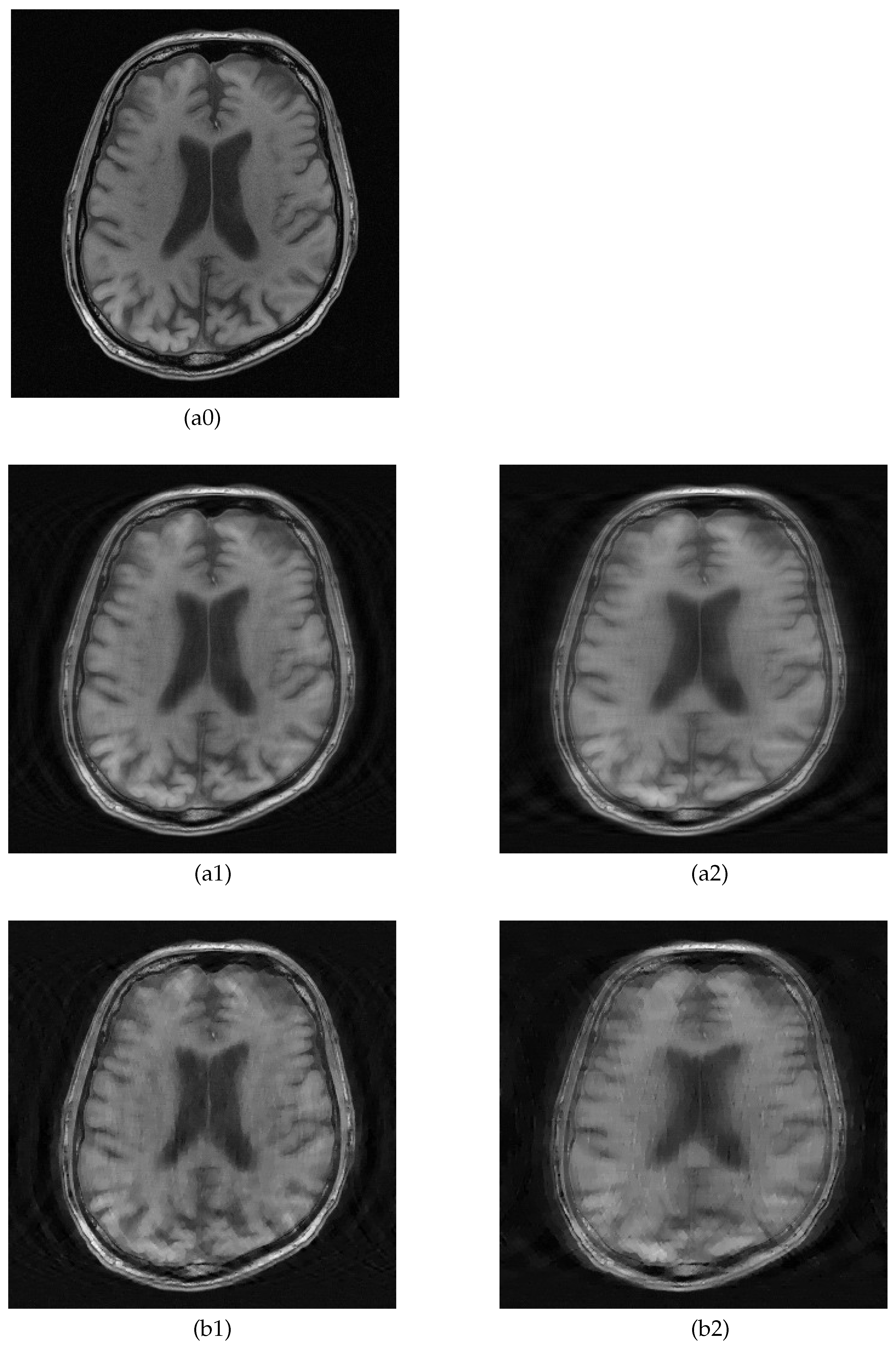
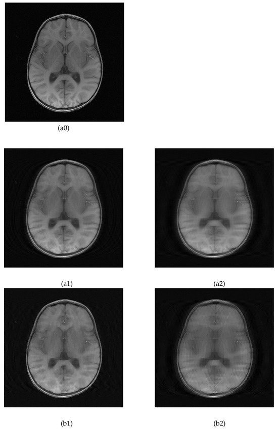
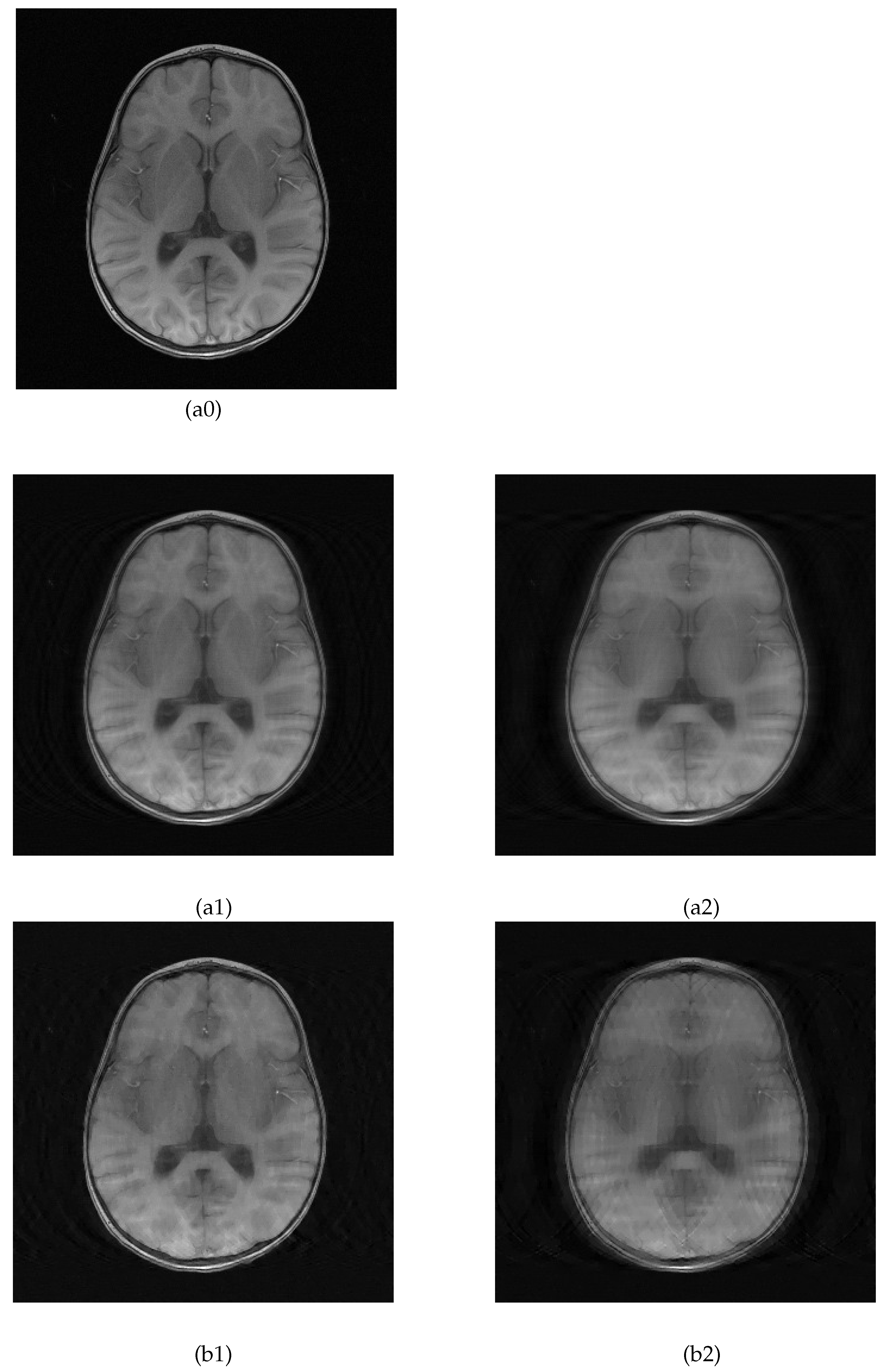
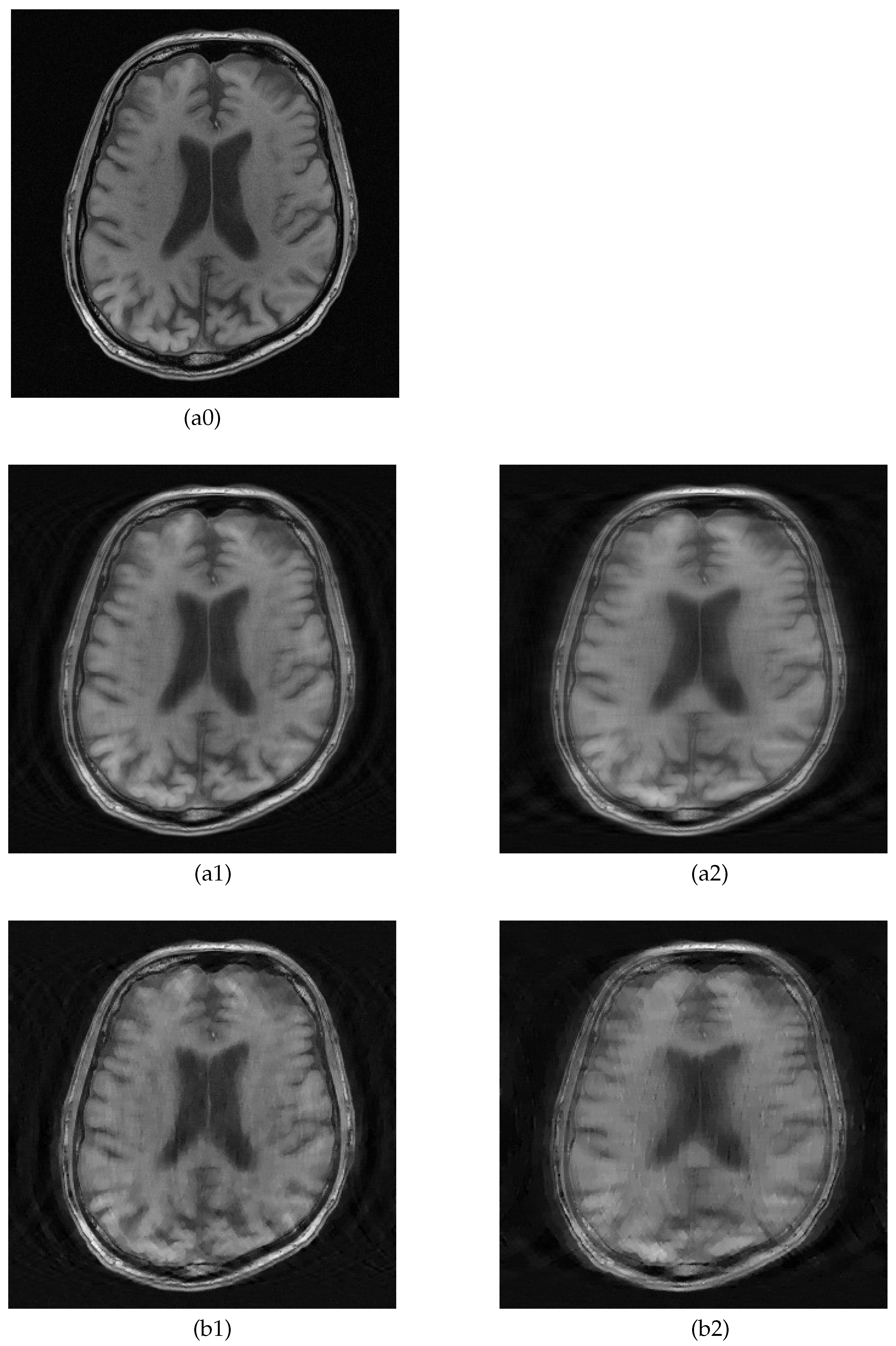
5.2. MRI Image Recovery
6. Conclusions
Author Contributions
Funding
Data Availability Statement
Conflicts of Interest
Appendix A
- (i)
- ;
- (ii)
- ;
- (iii)
- and .
- (i’)
- ;
- (ii’)
- ;
- (iii’)
- and ,
References
- Candès, E.J.; Romberg, J.; Tao, T. Robust uncertainty principles: Exact signal reconstruction from highly incomplete frequency information. IEEE Trans. Inf. Theory 2006, 52, 489–509. [Google Scholar] [CrossRef]
- Donoho, D.L. Compressed sensing. IEEE Trans. Inf. Theory 2006, 52, 1289–1306. [Google Scholar] [CrossRef]
- Candès, E.J.; Tao, T. Decoding by linear programming. IEEE Trans. Inf. Theory 2005, 51, 4203–4215. [Google Scholar] [CrossRef]
- Candès, E.J.; Romberg, J.K.; Tao, T. Stable signal recovery from incomplete and inaccurate measurements. Commun. Pure Appl. Math. 2006, 59, 1207–1223. [Google Scholar] [CrossRef]
- Candès, E.J. The restricted isometry property and its implications for compressed sensing. Comptes Rendus Math. 2008, 346, 589–592. [Google Scholar] [CrossRef]
- Foucart, S. A note on guaranteed sparse recovery via ℓ1-minimization. Appl. Comput. Harmon. Anal. 2010, 29, 97–103. [Google Scholar] [CrossRef]
- Tropp, J. Just relax: Convex programming methods for identifying sparse signals in noise. IEEE Trans. Inf. Theory 2006, 52, 1030–1051. [Google Scholar] [CrossRef]
- Baraniuk, R.; Davenport, M.; DeVore, R.; Wakin, M. A simple proof of the restricted isometry property for random matrices. Constr. Approx. 2008, 28, 253–263. [Google Scholar] [CrossRef]
- Candès, E.J.; Tao, T. Near optimal signal recovery from random projections: Universal encoding strategies? IEEE Trans. Inf. Theory 2006, 52, 5406–5425. [Google Scholar] [CrossRef]
- Rudelson, M.; Vershynin, R. On sparse reconstruction from Fourier and Gaussian measurements. Commun. Pure Appl. Math. 2008, 61, 1025–1045. [Google Scholar] [CrossRef]
- Bourgain, J. An improved estimate in the restricted isometry problem. In Geometric Aspects of Functional Analysis: Israel Seminar (GAFA) 2011–2013; Springer: Berlin, Germany, 2014; pp. 65–70. [Google Scholar]
- Lustig, M.; Donoho, D.L.; Santos, J.M.; Pauly, J.M. Compressed sensing MRI. IEEE Signal Process. Mag. 2008, 25, 72–82. [Google Scholar] [CrossRef]
- Candès, E.J.; Eldar, Y.C.; Needell, D.; Randall, P. Compressed sensing with coherent and redundant dictionaries. Appl. Comput. Harmon. Anal. 2011, 31, 59–73. [Google Scholar] [CrossRef]
- Krahmer, F.; Ward, R. New and improved Johnson–Lindenstrauss embeddings via the restricted isometry property. SIAM J. Math. Anal. 2011, 43, 1269–1281. [Google Scholar] [CrossRef]
- Elad, M.; Milanfar, P.; Rubinstein, R. Analysis versus synthesis in signal priors. Inverse Probl. 2007, 23, 947–968. [Google Scholar] [CrossRef]
- Tropp, J.A.; Gilbert, A.C. Signal recovery from random measurements via orthogonal matching pursuit. IEEE Trans. Inf. Theory 2007, 53, 4655–4666. [Google Scholar] [CrossRef]
- Cohen, A.; Dahmen, W.; DeVore, R. Compressed sensing and best k-term approximation. J. Amer. Math. Soc. 2009, 22, 211–231. [Google Scholar] [CrossRef]
- Upadhyaya, V.; Salim, M. Compressive sensing: Methods, techniques, and applications. In IOP Conference Series: Materials Science and Engineering; IOP Publishing: Bristol, UK, 2021; Volume 1099, p. 012012. [Google Scholar]
- Sankararajan, R.; Rajendran, H.; Sukumaran, A.N. Compressive Sensing for Wireless Communication: Challenges and Opportunities; River Publishers: Nordjylland, Denmark, 2022. [Google Scholar]
- Gibson, G.M.; Johnson, S.D.; Padgett, M.J. Single-pixel imaging 12 years on: A review. Opt. Express 2020, 28, 28190–28208. [Google Scholar] [CrossRef] [PubMed]
- Lustig, M.; Donoho, D.; Pauly, J.M. Sparse MRI: The application of compressed sensing for rapid MR imaging. Magn. Reson. Med. 2007, 58, 1182–1195. [Google Scholar] [CrossRef]
- Pal, A.; Rathi, Y. A review and experimental evaluation of deep learning methods for MRI reconstruction. J. Mach. Learn. Biomed. Imag. 2022. [Google Scholar] [CrossRef]
- Gu, H.; Yaman, B.; Moeller, S.; Ellermann, J.; Ugurbil, K.; Akçakaya, M. Revisiting ℓ1-wavelet compressed-sensing MRI in the era of deep learning. Proc. Natl. Acad. Sci. USA 2022, 119, e2201062119. [Google Scholar] [CrossRef]
- Recht, M.; Zbontar, J.; Sodickson, D.; Knoll, F.; Yakubova, N.; Sriram, A.; Murrell, T.; Defazio, A.; Rabbat, M.; Rybak, L.; et al. Using deep learning to accelerate knee MRI at 3T: Results of an interchangeability study. Amer. J. Roentgenol. 2020, 215, 1421–1429. [Google Scholar] [CrossRef] [PubMed]
- Knoll, F.; Zbontar, J.; Sriram, A.; Muckley, M.; Bruno, M.; Defazio, A.; Parente, M.; Geras, K.; Katsnelson, J.; Chandarana, H.; et al. fastMRI: A publicly available raw k-space and DICOM dataset of knee images for accelerated MR image reconstruction using machine learning. Radiol. Artif. Intell. 2020, 2, e190007. [Google Scholar] [CrossRef] [PubMed]
- Shimron, E.; Tamir, J.I.; Wang, K.; Lustig, M. Subtle inverse crimes: Naïvely training machine learning algorithms could lead to overly-optimistic results. arXiv 2021, arXiv:2109.08237. [Google Scholar]
- Liu, X.; Wang, J.; Peng, C.; Chandra, S.S.; Liu, F.; Zhou, S.K. Undersampled MRI reconstruction with side information-guided normalisation. arXiv 2022, arXiv:2203.03196. [Google Scholar]
- Liu, X.; Wang, J.; Liu, F.; Zhou, S.K. Universal undersampled MRI reconstruction. In Proceedings of the Medical Image Computing and Computer Assisted Intervention—MICCAI 2021: 24th Int. Conf., Strasbourg, France, 27 September–1 October 2021, Proc., VI; Springer: Berlin/Heidelberg, Germany, 2021; pp. 211–221. [Google Scholar]
- Taori, R.; Dave, A.; Shankar, V.; Carlini, N.; Recht, B.; Schmidt, L. Measuring robustness to natural distribution shifts in image classification. Adv. Neural Inf. Process. Syst. 2020, 33, 18583–18599. [Google Scholar]
- Rasool, M.A.; Ahmed, S.; Sabina, U.; Whangbo, T.K. Konet: Towards a weighted ensemble learning model for knee osteoporosis classification. IEEE Access 2024, 12, 5731–5742. [Google Scholar] [CrossRef]
- Zbontar, J.; Knoll, F.; Sriram, A.; Murrell, T.; Huang, Z.; Muckley, M.J.; Defazio, A.; Stern, R.; Johnson, P.; Bruno, M.; et al. fastMRI: An open dataset and benchmarks for accelerated MRI. arXiv 2018, arXiv:1811.08839. [Google Scholar]
- Needell, D.; Tropp, J.A. CoSaMP: Iterative signal recovery from incomplete and inaccurate samples. Appl. Comput. Harmon. Anal. 2009, 26, 301–321. [Google Scholar] [CrossRef]
- Knoll, F.; Murrell, T.; Sriram, A.; Yakubova, N.; Zbontar, J.; Rabbat, M.; Defazio, A.; Muckley, M.; Sodickson, D.; Zitnick, C.; et al. Advancing machine learning for MR image reconstruction with an open competition: Overview of the 2019 fastMRI challenge. Magn. Reson. Med. 2020, 84, 3054–3070. [Google Scholar] [CrossRef]
- Muckley, M.J.; Riemenschneider, B.; Radmanesh, A.; Kim, S.; Jeong, G.; Ko, J.; Jun, Y.; Shin, H.; Hwang, D.; Mostapha, M.; et al. Results of the 2020 fastMRI challenge for machine learning MR image reconstruction. IEEE Trans. Med. Imag. 2021, 40, 2306–2317. [Google Scholar] [CrossRef]
- Ye, J.C. Compressed sensing mri: A review from signal processing perspective. BMC Biomed. Eng. 2019, 1, 1–17. [Google Scholar] [CrossRef] [PubMed]
- Chambolle, A. An algorithm for total variation minimization and applications. J. Math. Imaging Vis. 2004, 20, 89–97. [Google Scholar]
- Landi, G.; Piccolomini, E.L.; Zama, F. A total variation-based reconstruction method for dynamic mri. Comput. Math. Methods Med. 2008, 9, 69–80. [Google Scholar] [CrossRef]
- Panić, M.; Jakovetić, D.; Vukobratović, D.; Crnojević, V.; Pižurica, A. Mri reconstruction using markov random field and total variation as composite prior. Sensors 2020, 20, 3185. [Google Scholar] [CrossRef]









| Proposed | TV Method | |||||||
|---|---|---|---|---|---|---|---|---|
| PSNR | SSIM | PSNR | SSIM | |||||
| 4× | 8× | 4× | 8× | 4× | 8× | 4× | 8× | |
| Knee A | 28.5 | 26.4 | 0.657 | 0.570 | 28.2 | 24.5 | 0.615 | 0.538 |
| Knee B | 28.4 | 26.1 | 0.635 | 0.535 | 27.8 | 24.1 | 0.625 | 0.541 |
| Brain A | 27.7 | 24.1 | 0.642 | 0.524 | 26.7 | 22.3 | 0.637 | 0.493 |
| Brain B | 27.7 | 24.6 | 0.668 | 0.494 | 26.8 | 22.7 | 0.644 | 0.474 |
Disclaimer/Publisher’s Note: The statements, opinions and data contained in all publications are solely those of the individual author(s) and contributor(s) and not of MDPI and/or the editor(s). MDPI and/or the editor(s) disclaim responsibility for any injury to people or property resulting from any ideas, methods, instructions or products referred to in the content. |
© 2024 by the authors. Licensee MDPI, Basel, Switzerland. This article is an open access article distributed under the terms and conditions of the Creative Commons Attribution (CC BY) license (https://creativecommons.org/licenses/by/4.0/).
Share and Cite
Ho, J.; Hwang, W.-L.; Heinecke, A. RIP Sensing Matrices Construction for Sparsifying Dictionaries with Application to MRI Imaging. Signals 2024, 5, 794-811. https://doi.org/10.3390/signals5040044
Ho J, Hwang W-L, Heinecke A. RIP Sensing Matrices Construction for Sparsifying Dictionaries with Application to MRI Imaging. Signals. 2024; 5(4):794-811. https://doi.org/10.3390/signals5040044
Chicago/Turabian StyleHo, Jinn, Wen-Liang Hwang, and Andreas Heinecke. 2024. "RIP Sensing Matrices Construction for Sparsifying Dictionaries with Application to MRI Imaging" Signals 5, no. 4: 794-811. https://doi.org/10.3390/signals5040044
APA StyleHo, J., Hwang, W.-L., & Heinecke, A. (2024). RIP Sensing Matrices Construction for Sparsifying Dictionaries with Application to MRI Imaging. Signals, 5(4), 794-811. https://doi.org/10.3390/signals5040044

