Ultrastructural Features of Amoeboid Tumor Cell–Unmyelinated Nerve Fiber Interactions in Early Gastric Cancer: A Case Report Within the Context of Cancer Neuroscience
Abstract
1. Background
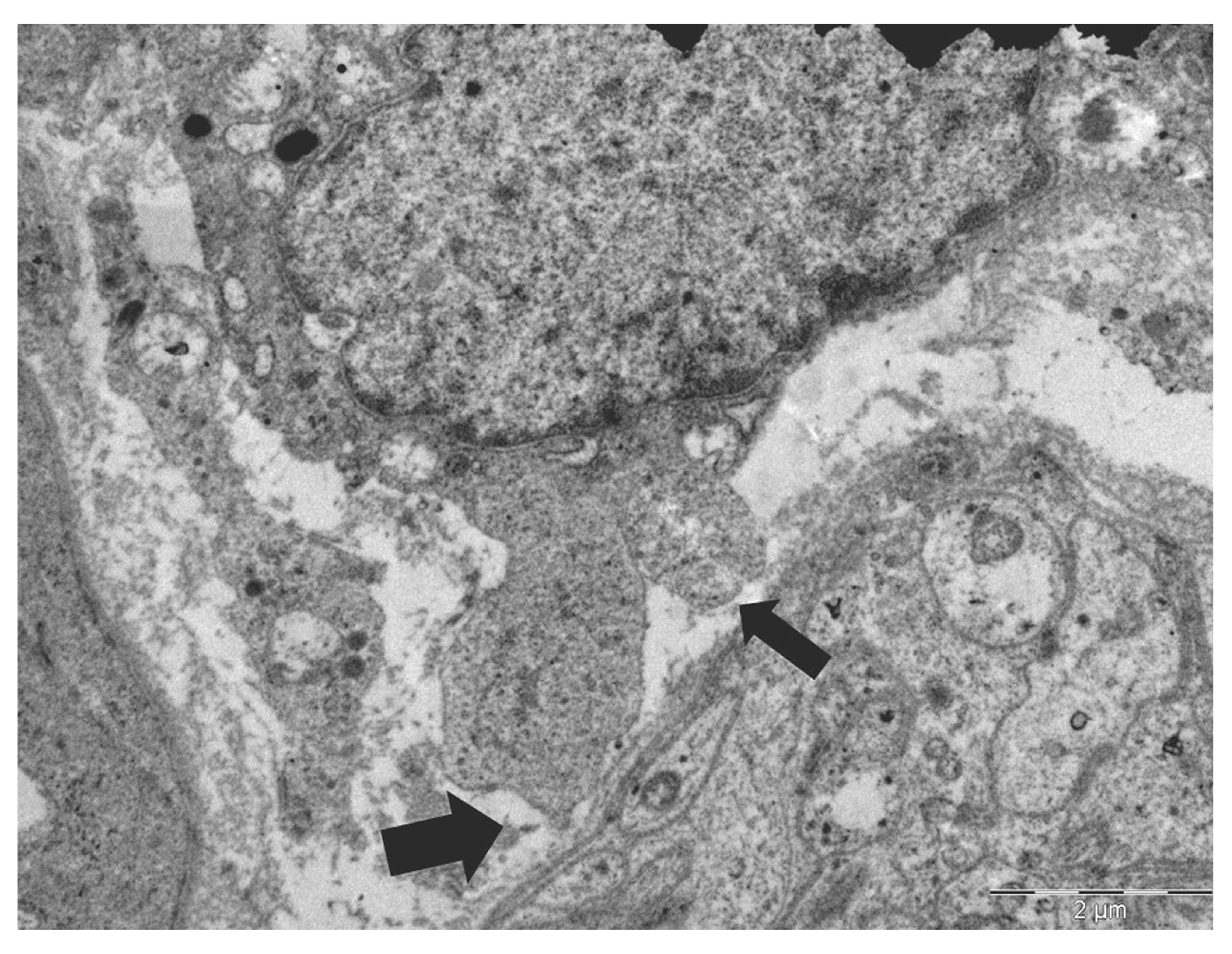
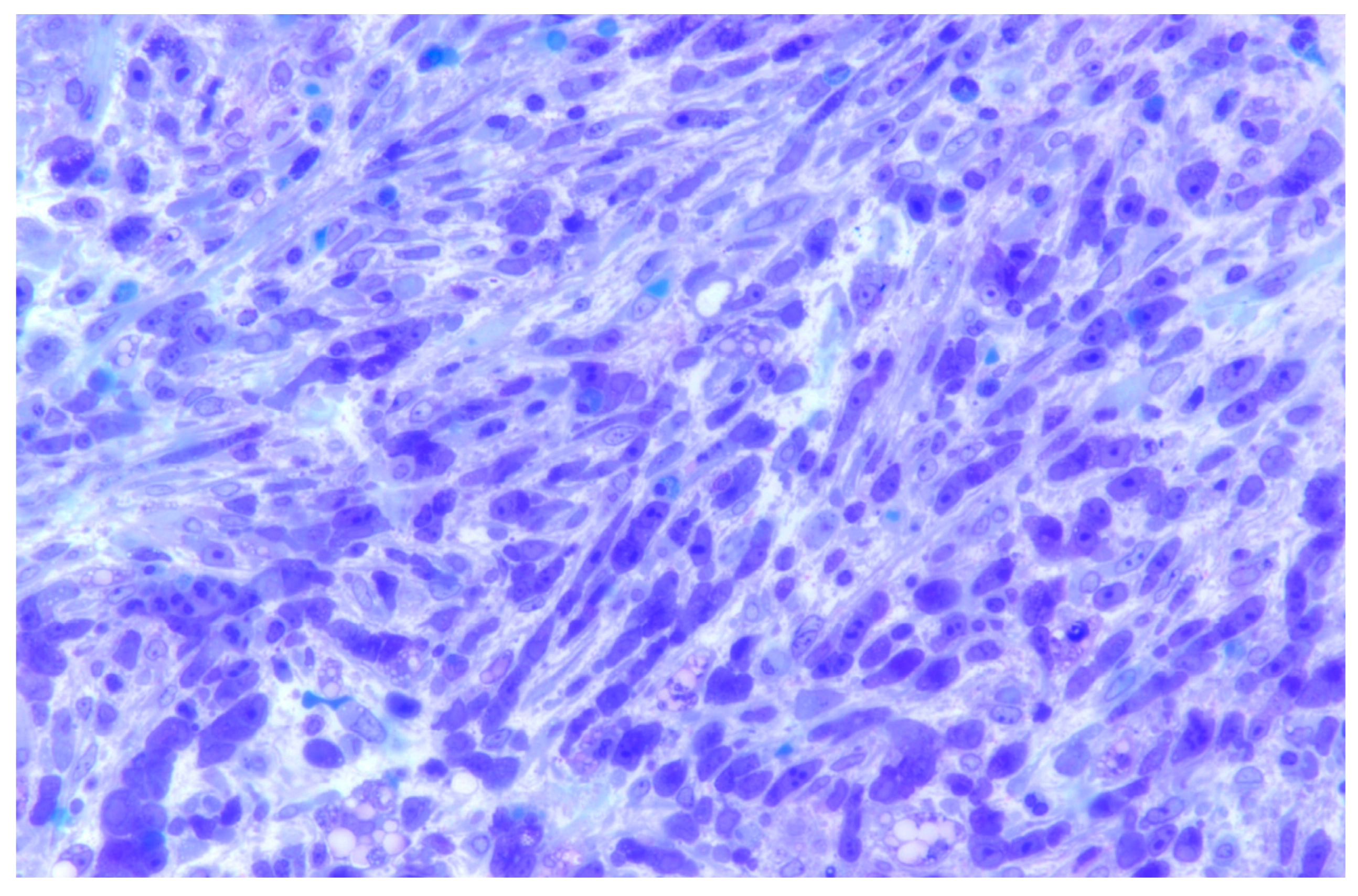
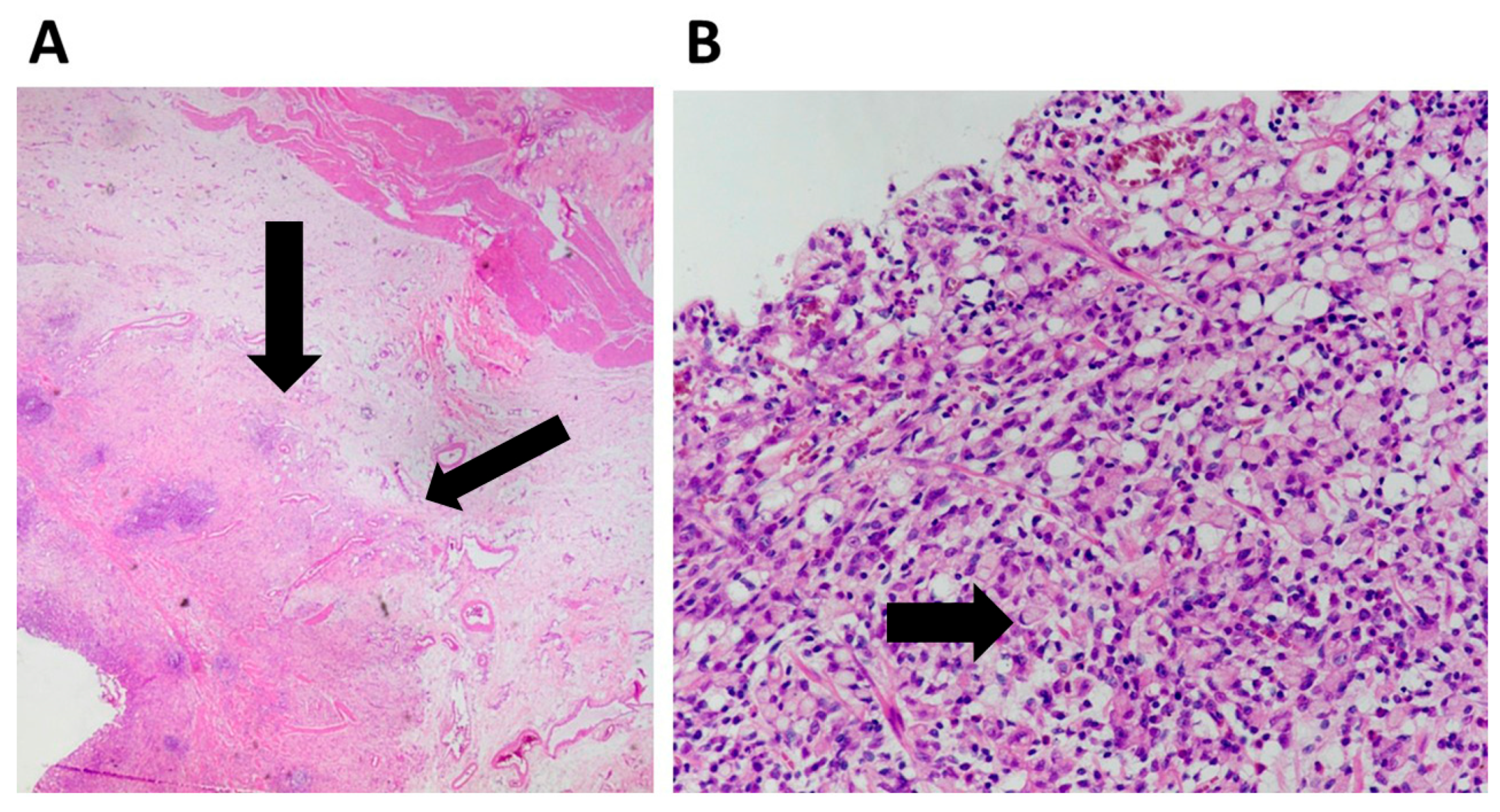
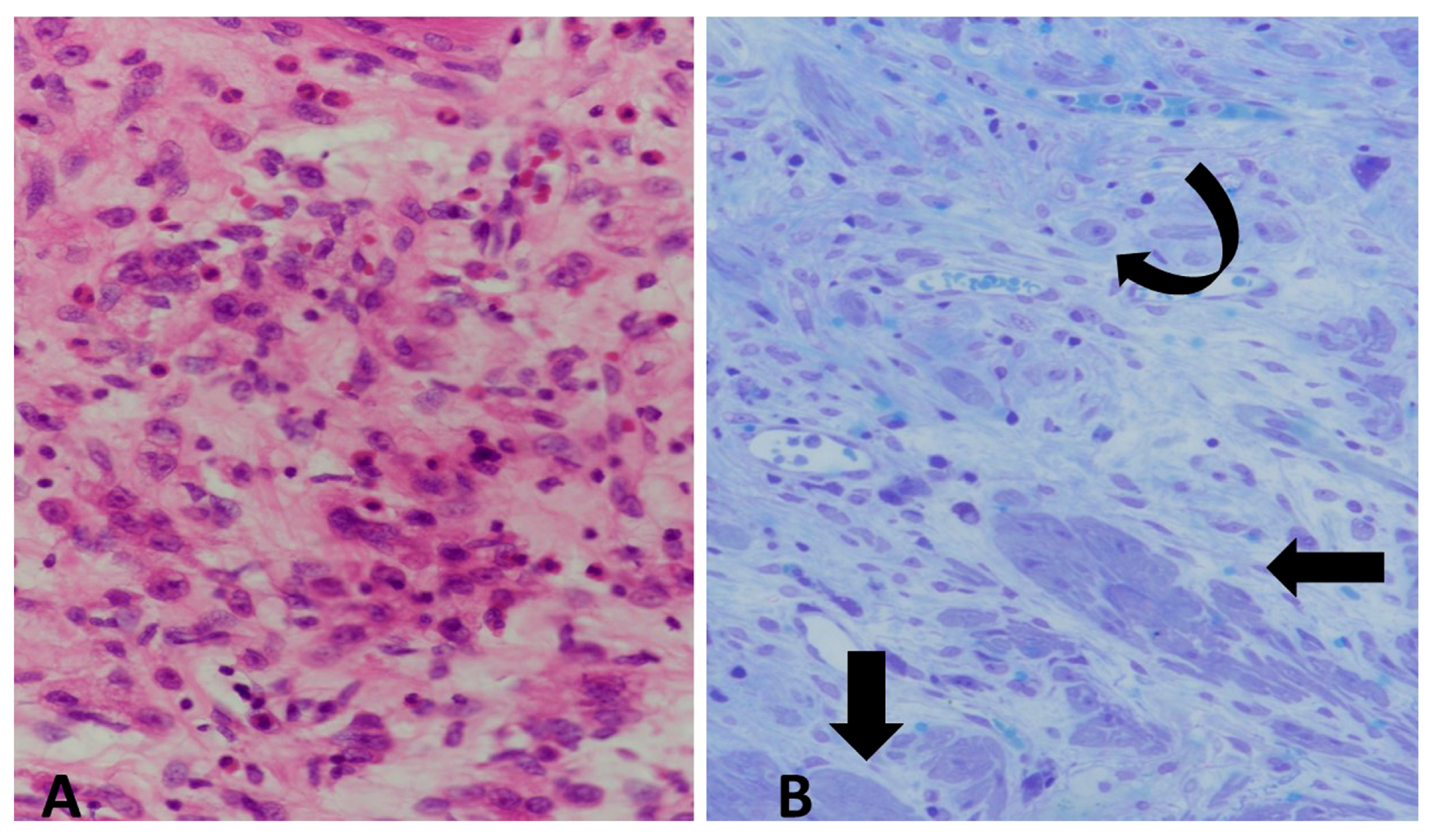
2. Case Report
3. Discussion
Limitations
Author Contributions
Funding
Institutional Review Board Statement
Informed Consent Statement
Data Availability Statement
Conflicts of Interest
Abbreviations
| PNI | Perineural invasion |
| PCC | Poorly cohesive carcinoma |
| SRC | Signet-ring cell |
| TEM | Transmission electron microscopy |
References
- Wang, Q.; Shao, X.; Zhang, Y.; Zhu, M.; Wang, F.X.C.; Mu, J.; Li, J.; Yao, H.; Chen, K. Role of tumor microenvironment in cancer progression and therapeutic strategy. Cancer Med. 2023, 12, 11149–11165. [Google Scholar] [CrossRef] [PubMed]
- Goenka, A.; Khan, F.; Verma, B.; Sinha, P.; Dmello, C.C.; Jogalekar, M.P.; Gangadaran, P.; Ahn, B.C. Tumor microenvironment signaling and therapeutics in cancer progression. Cancer Commun. 2023, 43, 525–561. [Google Scholar] [CrossRef] [PubMed]
- Lee, S.H.; Lee, D.; Choi, J.; Oh, H.J.; Ham, I.H.; Ryu, D.; Lee, S.Y.; Han, D.J.; Kim, S.; Moon, Y.; et al. Spatial dissection of tumour microenvironments in gastric cancers reveals the immunosuppressive crosstalk between CCL2+ fibroblasts and STAT3-activated macrophages. Gut 2025, 74, 714–727. [Google Scholar]
- Jin, M.Z.; Jin, W.L. The updated landscape of tumor microenvironment and drug repurposing. Signal Transduct. Target. Ther. 2020, 5, 166. [Google Scholar] [CrossRef]
- Ayala, G.E.; Dai, H.; Powell, M.; Li, R.; Ding, Y.; Wheeler, T.M.; Shine, D.; Kadmon, D.; Thompson, T.; Miles, B.J.; et al. Cancer-related axonogenesis and neurogenesis in prostate cancer. Clin. Cancer Res. 2008, 14, 7593–7603. [Google Scholar] [CrossRef]
- Magnon, C.; Hall, S.J.; Lin, J.; Xue, X.; Gerber, L.; Freedland, S.J.; Frenette, P.S. Autonomic nerve development contributes to prostate cancer progression. Science 2013, 341, 1236361. [Google Scholar] [CrossRef]
- Zhao, C.M.; Hayakawa, Y.; Kodama, Y.; Muthupalani, S.; Westphalen, C.B.; Andersen, G.T.; Flatberg, A.; Johannessen, H.; Friedman, R.A.; Chen, D.; et al. Denervation suppresses gastric tumorigenesis. Sci. Transl. Med. 2014, 6, 250ra115. [Google Scholar] [CrossRef]
- Saloman, J.L.; Albers, K.M.; Li, D.; Hartman, D.J.; Crawford, H.C.; Muha, E.A.; Rhim, A.D.; Davis, B.M. Ablation of sensory neurons in a genetic model of pancreatic ductal adenocarcinoma slows initiation and progression of cancer. Proc. Natl. Acad. Sci. USA 2016, 113, 3078–3083. [Google Scholar] [CrossRef]
- Pundavela, J.; Roselli, S.; Faulkner, S.; Attia, J.; Scott, R.J.; Thorne, R.F.; Forbes, J.F.; Bradshaw, R.A.; Walker, M.M.; Jobling, P.; et al. Nerve fibers infiltrate the tumor microenvironment and are associated with nerve growth factor production and lymph node invasion in breast cancer. Mol. Oncol. 2015, 9, 1626–1635. [Google Scholar] [CrossRef]
- Zhou, Y.; Shurin, G.V.; Zhong, H.; Bunimovich, Y.L.; Han, B.; Shurin, M.R. Schwann Cells Augment Cell Spreading and Metastasis of Lung Cancer. Cancer Res. 2018, 78, 5927–5939. [Google Scholar] [CrossRef]
- Monje, M.; Borniger, J.C.; D’Silva, N.J.; Deneen, B.; Dirks, P.B.; Fattahi, F.; Frenette, P.S.; Garzia, L.; Hanahan, D.; Winkler, F.; et al. Roadmap for the Emerging Field of Cancer Neuroscience. Cell 2020, 181, 219–222. [Google Scholar] [CrossRef]
- Huang, Q.; Hu, B.; Zhang, P.; Yuan, Y.; Yue, S.; Chen, X.; Liang, J.; Tang, Z.; Zhang, B. Neuroscience of cancer: Unraveling the complex interplay between the nervous system, the tumor and the tumor immune microenvironment. Mol. Cancer 2025, 24, 24. [Google Scholar] [CrossRef]
- Yuan, M.; Xi, R.; Kang, Y.; Kuang, M.J.; Ji, X. Cancer Neuroscience: Decoding Neural Circuitry in Tumor Evolution for Targeted Therapy. Adv. Sci. 2025, 12, e06813. [Google Scholar] [CrossRef] [PubMed]
- Chen, S.H.; Zhang, B.Y.; Zhou, B.; Zhu, C.Z.; Sun, L.Q.; Feng, Y.J. Perineural invasion of cancer: A complex crosstalk between cells and molecules in the perineural niche. Am. J. Cancer Res. 2019, 9, 1–21. [Google Scholar] [PubMed]
- Fujita, S.; Shimoda, T.; Yoshimura, K.; Yamamoto, S.; Akasu, T.; Moriya, Y. Prospective evaluation of prognostic factors in patients with colorectal cancer undergoing curative resection. J. Surg. Oncol. 2003, 84, 127–131. [Google Scholar] [CrossRef] [PubMed]
- Ueno, H.; Shirouzu, K.; Eishi, Y.; Yamada, K.; Kusumi, T.; Kushima, R.; Ikegami, M.; Murata, A.; Okuno, K.; Sato, T.; et al. Study Group for Perineural Invasion projected by the Japanese Society for Cancer of the Colon and Rectum (JSCCR). Characterization of perineural invasion as a component of colorectal cancer staging. Am. J. Surg. Pathol. 2013, 37, 1542–1549. [Google Scholar] [CrossRef]
- Sommer, C.L.; Brandner, S.; Dyck, P.J.; Harati, Y.; LaCroix, C.; Lammens, M.; Magy, L.; Mellgren, S.I.; Morbin, M.; Weis, J.; et al. Peripheral Nerve Society. Peripheral Nerve Society Guideline on processing and evaluation of nerve biopsies. J. Peripher. Nerv. Syst. 2010, 15, 164–175. [Google Scholar] [CrossRef]
- Weis, J.; Katona, I.; Nikolin, S.; Nobbio, L.; Prada, V.; Grandis, M.; Schenone, A. Techniques for the standard histological and ultrastructural assessment of nerve biopsies. J. Peripher. Nerv. Syst. 2021, 26, S3–S10. [Google Scholar] [CrossRef]
- Faussone-Pellegrini, M.S.; Cortesini, C.; Romagnoli, P. The ultrastructure of the muscle coat of human gastro-oesophageal junction, with special reference to “interstitial cells of Cajal”. Front. Neurosci. 2013, 7, 49. [Google Scholar] [CrossRef]
- Burnstock, G. Non-synaptic transmission at autonomic neuroeffector junctions. Neurochem. Int. 2008, 52, 14–25. [Google Scholar] [CrossRef]
- Zauszkiewicz-Pawlak, A.; Godlewski, J.; Kwiatkowski, P.; Kmiec, Z. Ultrastructural characteristics of myenteric plexus in patients with colorectal cancer. Folia Histochem. Cytobiol. 2017, 55, 6–10. [Google Scholar] [CrossRef][Green Version]
- Takubo, K.; Takai, A.; Yamashita, K.; Yoshimatsu, N.; Kitano, M.; Sasajima, K.; Fujita, K. Light and electron microscopic studies of perineural invasion by esophageal carcinoma. J. Natl. Cancer Inst. 1985, 74, 987–993. [Google Scholar] [PubMed]
- Dang, C.; Takashi, E.; Guo, F.; Naito, Z.; Yokoyama, M.; Asano, G.; Ji, Z.; Qin, Z. Ultrastructural study of the mechanism of perineural extension in pancreatic cancer. Med. Electron Microsc. 1998, 31, 31–37. [Google Scholar]
- Luo, X.L.; Sun, M.Y.; Lu, C.T.; Zhou, Z.H. The role of Schwann cell differentiation in perineural invasion of adenoid cystic and mucoepidermoid carcinoma of the salivary glands. Int. J. Oral Maxillofac. Surg. 2006, 35, 733–739. [Google Scholar] [CrossRef] [PubMed]
- Brierley, J.D.; Gospodarwicz, M.K.; Wittekind, C.; Amin, M.B. TNM Classification of Malignant Tumours, 8th ed.; Wiley Blackwell: Oxford, UK, 2017; pp. 63–66. [Google Scholar]
- Carneiro, F.; Fukayama, M.; Grabsch, H.I.; Yasui, W. Gastric adenocarcinoma. In Digestive System Tumours, 5th ed.; WHO Classification of Tumours Editorial Board; World Health Organization: Lyon, France, 2019; Volume 1, pp. 85–95. [Google Scholar]
- Mariette, C.; Carneiro, F.; Grabsch, H.I.; van der Post, R.S.; Allum, W.; de Manzoni, G.; European Chapter of International Gastric Cancer Association. Consensus on the pathological definition and classification of poorly cohesive gastric carcinoma. Gastric Cancer 2019, 22, 1–9. [Google Scholar] [CrossRef]
- Ueno, H.; Kajiwara, Y.; Ajioka, Y.; Sugai, T.; Sekine, S.; Ishiguro, M.; Takashima, A.; Kanemitsu, Y. Histopathological atlas of desmoplastic reaction characterization in colorectal cancer. Jpn. J. Clin. Oncol. 2021, 51, 1004–1012. [Google Scholar] [CrossRef]
- Chiaravalli, A.M.; Klersy, C.; Tava, F.; Manca, R.; Fiocca, R.; Capella, C.; Solcia, E. Lower- and higher-grade subtypes of diffuse gastric cancer. Hum. Pathol. 2009, 40, 1591–1599. [Google Scholar] [CrossRef]
- Roviello, F.; Marano, L.; Ambrosio, M.R.; Resca, L.; D’Ignazio, A.; Petrelli, F.; Petrioli, R.; Costantini, M.; Polom, K.; Marrelli, D.; et al. Signet ring cell percentage in poorly cohesive gastric cancer patients: A potential novel predictor of survival. Eur. J. Surg. Oncol. 2022, 48, 561–569. [Google Scholar] [CrossRef]
- Furness, J.B.; Callaghan, B.P.; Rivera, L.R.; Cho, H.J. The enteric nervous system and gastrointestinal innervation: Integrated local and central control. Adv. Exp. Med. Biol. 2014, 817, 39–71. [Google Scholar]
- Schonkeren, S.L.; Thijssen, M.S.; Vaes, N.; Boesmans, W.; Melotte, V. The Emerging Role of Nerves and Glia in Colorectal Cancer. Cancers 2021, 13, 152. [Google Scholar] [CrossRef]
- Kim, Y.B.; Han, S.U.; Lee, D. Prominent neural invasion of mucosal gastric cancer into the muscularis propria. Histopathology 2017, 71, 661–662. [Google Scholar] [CrossRef]
- Friedl, P.; Alexander, S. Cancer invasion and the microenvironment: Plasticity and reciprocity. Cell 2011, 147, 992–1009. [Google Scholar] [CrossRef]
- Marcadis, A.R.; Kao, E.; Wang, Q.; Chen, C.H.; Gusain, L.; Powers, A.; Bakst, R.L.; Deborde, S.; Wong, R.J. Rapid cancer cell perineural invasion utilizes amoeboid migration. Proc. Natl. Acad. Sci. USA 2023, 120, e2210735120. [Google Scholar]








Disclaimer/Publisher’s Note: The statements, opinions and data contained in all publications are solely those of the individual author(s) and contributor(s) and not of MDPI and/or the editor(s). MDPI and/or the editor(s) disclaim responsibility for any injury to people or property resulting from any ideas, methods, instructions or products referred to in the content. |
© 2026 by the authors. Licensee MDPI, Basel, Switzerland. This article is an open access article distributed under the terms and conditions of the Creative Commons Attribution (CC BY) license.
Share and Cite
Caruso, V.; Rigoli, L.; Caruso, R. Ultrastructural Features of Amoeboid Tumor Cell–Unmyelinated Nerve Fiber Interactions in Early Gastric Cancer: A Case Report Within the Context of Cancer Neuroscience. Gastrointest. Disord. 2026, 8, 11. https://doi.org/10.3390/gidisord8010011
Caruso V, Rigoli L, Caruso R. Ultrastructural Features of Amoeboid Tumor Cell–Unmyelinated Nerve Fiber Interactions in Early Gastric Cancer: A Case Report Within the Context of Cancer Neuroscience. Gastrointestinal Disorders. 2026; 8(1):11. https://doi.org/10.3390/gidisord8010011
Chicago/Turabian StyleCaruso, Valerio, Luciana Rigoli, and Rosario Caruso. 2026. "Ultrastructural Features of Amoeboid Tumor Cell–Unmyelinated Nerve Fiber Interactions in Early Gastric Cancer: A Case Report Within the Context of Cancer Neuroscience" Gastrointestinal Disorders 8, no. 1: 11. https://doi.org/10.3390/gidisord8010011
APA StyleCaruso, V., Rigoli, L., & Caruso, R. (2026). Ultrastructural Features of Amoeboid Tumor Cell–Unmyelinated Nerve Fiber Interactions in Early Gastric Cancer: A Case Report Within the Context of Cancer Neuroscience. Gastrointestinal Disorders, 8(1), 11. https://doi.org/10.3390/gidisord8010011

