Abstract
Introduction: Hepatectomy (HP) is, along with liver transplantation, the only potentially curative treatment for Hepatocellular Carcinoma (HCC). The high prevalence of Metabolic Syndrome (MS) may be causing a shift in the HCC spectrum. Hepatic Pedicle Clamping (HPC), used to reduce perioperative bleeding during HP, has been theorized to increase the risk of recurrence. Cytokeratin 19 (CK19) and glypican-3 (GLP-3) have been identified as markers of worse prognosis in HCC. Materials and Methods: A clinical and pathological review of 59 patients undergoing HP for HCC between 2005 and 2013 was performed. Chronic liver disease was observed in 53 patients (89.8%), with cirrhosis in 54.2% [most frequent etiologies: ethylism (47.5%), HCV (25.4%) and HBV (11.9%)]. MS was in 36% of patients. In addition, 95% of patients had Child–Pugh class A and 5% class B, and there was a median MELD of 8 (6–18). A single nodule was observed in 46 patients (78%) with an average size of 5.4 cm. Microscopic vascular invasion (MiVI) was in 49% of patients and macroscopic (MaVI) in 17. HPC was in 43 patients (74.1%). Statistical analysis was performed with SPSS™ 21.0. Survival tests (Kaplan–Meier, log-rank and Cox regression). Statistical significance was with p < 0.05. Results: Major morbidity in 22% of patients. Mortality in 5.1%. Median overall survival (OS) of 71 months and median disease-free survival (DFS) of 37. In a multivariate analysis: MaVI (p = 0.001), MiVI (p = 0.005) and HCV infection (p = 0.002) were associated with worse OS; MS was associated with better OS (p = 0.001); MaVI (p = 0.000), MiVI (p = 0.035) and HPC (p = 0.012) were associated with worse DFS. CK19+/GLP-3− (p = 0.007) and CK19−/GLP-3+ (p = 0.029) patients were associated with worse DFS and CK19−/GLP-3− (p = 0.031) with better DFS. Discussion/Conclusions: HPC was an independent factor of worse DFS. The ischemia-reperfusion injury (IRI) produced by HPC could promote a more angiogenic and angioinvasive phenotype of tumor cells, resulting in higher recurrence. HCV etiology was associated with worse OS. MS was associated with better OS, highlighting the importance of a hepatectomy in these cases. The combined detection of CK19 and GLP-3 was an independent prognostic factor in HCC patients allowing for the identification of more aggressive tumors.
1. Introduction
Hepatocellular carcinoma (HCC) is the fifth most common cancer, the third leading cause of cancer-related death worldwide and one of the leading causes of death in patients with cirrhosis [1]. Hepatitis B virus (HBV) infection is the most common risk factor for HCC worldwide [2]; however, in Western countries, HCC incidence has been increasing due to hepatitis C virus (HCV) infection and to the growing incidence of non-alcoholic steatohepatitis (NASH) [2,3,4].
Several studies have described an association between HCC and metabolic syndrome (MS) [5,6,7]. In most patients, NASH is the hepatic manifestation of the MS, which may progress to HCC through the cirrhotic process. Nevertheless, in a minority of patients with non-alcoholic fatty liver disease, it may progress to HCC without cirrhosis [5].
Liver transplantation and hepatectomy are the two curative surgical treatments available for HCC [8,9], however, they are not devoid of risks. During hepatectomy, intraoperative bleeding is a major risk. To prevent major bleeding during the surgery, intermittent hepatic pedicle clamping (HPC)—clamping of the hepatic artery and portal vein (Pringle manoeuvre)—is used [10,11,12]. However, the ischemia-reperfusion injury (IRI) caused by HPC results in complex immunological and microvascular changes, through activation of pro-proliferation cell signaling pathways, and can result in a poorer prognosis [13].
Several histopathological factors are well studied and known to have prognostic implications: macroscopic and microscopic vascular invasion, tumor-free resection margin, underlying liver cirrhosis, tumor necrosis, tumor size and absence of tumoral capsule [14,15,16].
Along with the growing incidence of MS, a new histological subtype—steatohepatitic HCC (SH-HCC) has been recently identified, and this subtype of HCC has been associated with MS [17,18]. This subtype has histological features of steatohepatitis, namely hepatocellular ballooning, Mallory–Denk hyaline bodies, inflammation and fibrosis [18]. It is still controversial whether this subtype has an impact on the patients’ survival [17,19].
On the histological level, the hepatic progenitor cells can differentiate into hepatocytes and cholangiocyte cells [20]. Cytokeratin 19 (CK19) is a molecular marker of cholangiocyte cells and its expression is currently well-accepted as a biomarker for worse prognosis in HCC [15].
HCC with an expression of CK19 is reported with aggressive behavior, which translates into less differentiated tumors and a higher proliferative index [21]. The expression of glypican-3 (GLP-3), a member of the glypican family of glycosil-phosphatidylinositol-anchored cell surface heparan sulfate proteoglycans, is currently used as a diagnostic molecular marker of HCC, and has low expression in well-differentiated HCC [22]. It is established that GLP-3 plays different roles in different cancers, but in HCC it acts as an oncogene and its overexpression is associated with worse prognosis [23].
Working in a tertiary and reference center for HCC, we are always researching new prognostic factors that may aid in the clinical setting. Our goal was to assess clinical and pathological features with influence on a patient’s prognosis after hepatectomy due to HCC.
2. Materials and Methods
2.1. Study Design
A clinical and pathological review was performed of 65 patients undergoing hepatectomy for hepatocellular carcinoma between January 2005 and December 2013 at Serviço de Cirurgia from Centro Hospitalar de Coimbra. Four patients were excluded because of insufficient histological material for evaluation and two for undergoing rehepatectomies. This study was approved by the institution’s ethical committee (CHUC-169-20) and complied with the principles of the Declaration of Helsinki.
2.2. Study Population
Of the 59 patients included in this study, 49 (83%) were male and 10 (17%) were female, with a mean age of 71 ± 9 years (range 38–86 years).
Fifty-three patients had chronic liver disease (89.8%), with established cirrhosis in 32 (54.2%), with the following etiologies: HCV infection—15 (25.4%), HBV infection—seven (11.9%), concomitant HCV and HBV infection—one (1%), ethylism—28 (47.5%), NASH—five (8.5%) and concomitant human immunodeficiency virus (HIV+) and HBV infection—1.7%.
The following comorbidities were present: diabetes mellitus (DM)—31 (52.5%), systemic arterial hypertension (SAH)—40 (67.8%), dyslipidemia—21 (35.6%), abdominal obesity—17 (28.8%), smoking habits—six (10.2%) and MS—21 (35.6%).
The liver function reserve was assessed by calculation of the Child–Pugh and MELD scores: 56 patients (94.9%) were classified as Child–Pugh A and three (5.1%) as Child–Pugh B; the median MELD score was 8 (range 6–18).
A single nodule was present in 78% (46) of the patients, with a mean size of 5.44 ± 4.31 cm (range 0.8–20 cm), and in 22 patients (37.3%) the largest nodule was greater than or equal to 5 cm in diameter. Regarding location, 38 (64.4%) of the nodules were located in the right lobe, 17 (28.8%) in the left lobe and four (6.8%) were billobar. A total of 34 patients (57.5%) were within Milan criteria.
Nine patients (15.3%) underwent neoadjuvant chemoembolization.
2.3. Operative Details
A right subcostal incision was performed to expose the abdominal cavity, and in four cases, resection was performed by laparoscopy (6.8%). Our department’s technique for hepatectomy has been previously described [24]. Whenever possible, an anatomical resection consisting of at least one Couinaud segment was performed.
Surgical procedures are summarized in Table 1. Major hepatectomy, defined by the resection of ≥3 liver segments, was performed in 20 patients (33.9%), and 16 patients (27.6%) needed a blood transfusion during the procedure.
Table 1.
List of hepatectomies performed (per type of surgery) in 59 patients for hepatocellular carcinoma.
Intermittent HPC or the Pringle manoeuvre was used in 29 patients (74.1%), with a mean time of 20.3 ± 18.4 min (range 0–79).
Three patients (5.1%) underwent pre-operative portal vein embolization.
2.4. Morbidity and Mortality
During the first 90 postoperative days, surgical complications were assessed by the Dindo–Clavien classification (13), and patients were divided in three groups: minor or no morbidity (no morbidity, grade I or II), major morbidity (grade IIIa to IVb) and mortality (grade V). The definitions and grading systems by the International Study Group of Liver Surgery (ISGLS) (14–16) were used to evaluate the presence of the following post-operative liver-specific complications: biloma, ascites, abscess, vascular complications, hemorrhage and liver failure.
2.5. Post-Operative Follow-Up
The clinical follow-up of the patients enrolled was completed from the medical records or by telephone call interviews. Overall survival (OS) was defined as the time between hepatectomy and the date of tumoral death or the most recent follow-up registration if the patient was alive.
Disease-Free Survival (DFS) was defined as the time between hepatectomy and the first new tumoral lesion detected by imaging studies, proven to be a liver or distant recurrence.
2.6. Histopathological Analysis
The tumoral parenchyma was analyzed according to the World Health Organization (WHO) [15] and included the following aspects.
Resection margins were measured and classified as R0 (margin ≥ 10 mm), R1 (margin inferior to 10 mm) and R2 (macroscopic tumor in the resection margin).
Macroscopic type of tumor was defined as nodular, diffuse, satellite and massive.
Tumor size was assessed in centimeters and classified as <5 cm or ≥5 cm. Capsule, macroscopic necrosis, macroscopic (MaVI) and microscopic (MiVI) vascular invasion were also examined and determined as present or absent.
Tumor grading was performed by applying the WHO grading system [15]—G1 to G4. The mitotic index was measured by counting the number of mitotic cells in 10 high-power fields (<5 mitotic cells—low mitotic index and ≥5 mitotic cells—high mitotic index) as defined by Ha et al. [25].
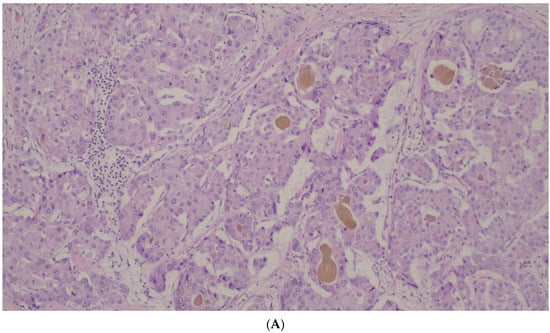
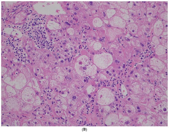
The histological subtype of the tumor was classified as defined by Shibahara et al. [19], in conventional-HCC (C-HCC) (Figure 1A) and steatohepatitic-HCC (SH-HCC) (Figure 1B). The diagnosis of SH-HCC was made if the tumor fulfilled four of the following five criteria in at least 50% of the tumor main nodule: steatosis (>5% tumor cells), ballooning or Mallory–Denk body formation, interstitial fibrosis and inflammatory infiltrates; no minimal criterion was required for each of the criteria above [19].

Figure 1.
(A) Conventional hepatocellular carcinoma (C-HCC) with trabecular and pseudoglandular pattern and bile production, H&E 100×. (B) Steatohepatitic hepatocellular carcinoma (SH-HCC) with inflammatory infiltrate, hepatocellular ballooning and Mallory–Denk hyaline bodies, H&E 400×.
The histological analysis of the tumoral parenchyma are summarized in Table 2.
Table 2.
Histological analysis of the tumoral parenchyma of 59 patients undergoing hepatectomy for hepatocellular carcinoma. WHO—World Health Organization; C-HCC—conventional hepatocellular carcinoma; SH-HCC—steatohepatitic hepatocellular carcinoma.
2.6.1. Non-Tumoral Parenchyma
The non-tumoral parenchyma analysis was performed by examination of the slides on Masson’s trichrome to assess fibrosis. The Metavir [26] and Ishak [27] grading systems were applied to quantify the fibrosis and to evaluate the presence of cirrhosis, defined as M4 (Metavir) and 5–6 (Ishak).
A histological scoring system for NASH was also applied as proposed by Kleiner et al. [28], by the examination of steatosis, lobular inflammation, hepatocellular ballooning and fibrosis.
The histological analysis of the non-tumoral parenchyma is summarized in Table 3.
Table 3.
Histological analysis of non-tumoral parenchyma of 59 patients undergoing hepatectomy for hepatocellular carcinoma. NASH—non-alcoholic steatohepatitis.
2.6.2. Immunohistochemical Staining
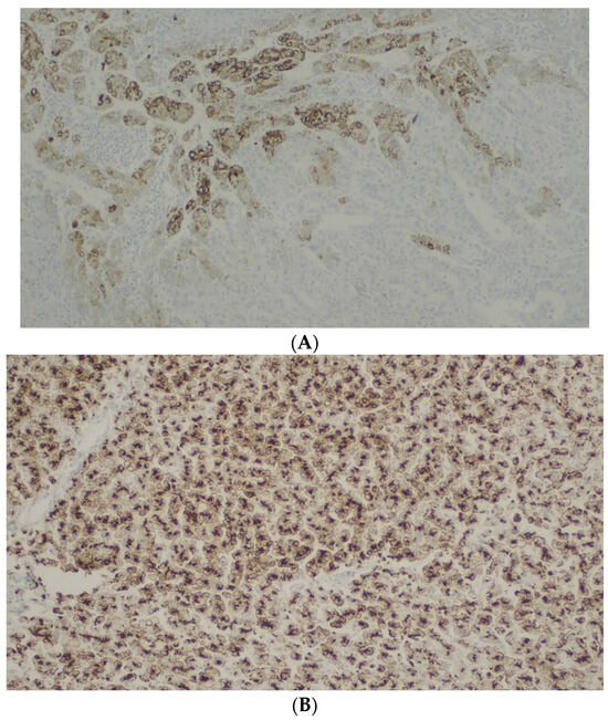
An Immunohistochemical (IHC) study was performed with a paraffin-embedded tissue cut into 4 μm sections adherent on Superfrost Plus Slides (Thermo Fisher Scientific®Plus, Braunschweig, Germany). All glass slides with tissue sections were preheated at 60 °C in an oven prior to IHC staining for 40 min and staining was carried out on Ventana Benchmark Ultra equipment (Ventana Medical System, Tucson, AZ, USA) using the following antibodies: cytokeratin 19 (CK19) (A53-B/A2.26, Ventana, AZ, USA) and glypican-3 (GLP-3) (GC33, Ventana, AZ, USA).
CK19 staining in the tumoral parenchyma was evaluated and semi-quantified. The immunostaining was classified as positive if there were ≥5% immunoreactive cells and as negative if <5% immunoreactive cells [15] (Figure 2A). GLP-3 staining in the tumoral parenchyma was evaluated and semi-quantified. The immunostaining was classified as follows: positive—≥10% immunoreactive cells; negative—<10% immunoreactive cells [29] (Figure 2B).
Figure 2.
(A) Cytokeratin 19 (CK19) positive staining in hepatocellular carcinoma, 40×. (B) Glypican-3 (GLP-3) positive staining in hepatocellular carcinoma, 40×.
Regarding this evaluation, 10.2% (N = 6) of HCCs were considered positive for CK19 expression, and 86.4% (N = 51) were regarded as negative. A total of 64.4% (N = 38) of HCCs had GLP-3 expression, with a negative result in 30.5% (N = 18).
The immunohistochemical analysis is summarized in Table 4.
Table 4.
Immunohistochemical analysis of 59 patients undergoing hepatectomy for hepatocellular carcinoma.
Table 5 summarizes the groups’ formation in the immunohistochemical analysis.
Table 5.
Immunohistochemical groups’ formation of 59 patients undergoing hepatectomy for hepatocellular carcinoma.
2.7. Statistical Analysis
The statistical analysis was performed with Statistical Package for the Social Sciences (SPSS™) 21.0 for Windows. The quantitative data were expressed as mean ± standard deviation and range. The survival probabilities were calculated using the Kaplan–Meier method and log-rank test. Factors associated with survival were evaluated with Cox regression. Statistical significance was considered with p < 0.05.
3. Results
3.1. Morbidity and Mortality
Major morbidity was observed in 13 patients (22%); mortality in three patients (5.1%), caused by liver failure (one patient) and hemorrhage (two patients).
Major morbidity cases consisted of Clavien IIIa in seven patients (11.9%), IIIb in five patients and IVb in one patient (1.7%). The clinical conditions of each grade are summarized in Table 6.
Table 6.
Morbidity and mortality in 59 patients undergoing hepatectomy for hepatocellular carcinoma. 1 Required paracentesis; 2 required percutaneous drainage; 3 required pleural drainage; 4 required surgical drainage; 5 required intensive care unit management.
3.2. Overall and Disease-Free Survival
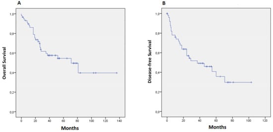
With a median follow-up of 68 months, the median overall survival (OS) after hepatectomy was 71 ± 20 months (range 0–136 months) (Figure 3A), with a 3- and 5-year overall survival of 57.5% and 49.6%, respectively.
Figure 3.
Kaplan–Meier curves of median overall survival (A) and median disease-free survival (B) of 59 patients after hepatectomy for hepatocellular carcinoma.
In the follow-up period, 28 patients (47,5%) experienced recurrence while the other 31 (52.5%) were recurrence-free. Of the 28 patients that developed a recurrent disease, 22 patients (78.5%) had only hepatic recurrence, three patients (10.7%) developed extra-hepatic recurrence, and three patients (10.7%) developed hepatic and extra-hepatic concomitant recurrence.
The distant recurrence was registered in the stomach (two patients), bones (two patient), lungs (one patient), and pancreas (one patient).
The median disease-free survival (DFS) after hepatectomy was 37 ± 14 months (range 0–103 months) (Figure 3B), and the 3- and 5-year disease-free survival was 49.2% and 35.7%, respectively.
3.3. Clinical and Operative Factors with Impact on Survival
Two clinical parameters were associated with worse OS: HCV (p = 0.02; HCV+ median OS: 35 ± 7 months vs. HCV− median OS: 132 ± 7 months) and extra-hepatic recurrence (EHR) (p = 0.01; EHR+ median OS: 17 ± 3.5 months vs. EHR− median OS: 81 ± 20 months). Metabolic syndrome was associated with better OS (p = 0.02; MS+ median OS: 132 ± 12 months vs. MS− median OS: 34 ± 12 months) (Figure 4).
Figure 4.
Survival curves of metabolic syndrome as a factor of better overall survival, p = 0.02, MS+ 5-year OS: 63% vs. MS− 5-year OS: 42%. OS—overall survival; MS—metabolic syndrome; MS+—patient with metabolic syndrome; MS−—patients without metabolic syndrome.
No other preoperative clinical feature had a statistically significant impact on disease-free survival in the Kaplan–Meier test.
Intermittent HPC was associated with worse DFS (p = 0.008; HPC+ median DFS: 24 ± 6 months vs. HPC− median DFS: 96 ± 11 months) (Figure 5).
Figure 5.
Survival curve of operative factor that impacts disease-free survival of 59 patients after hepatectomy for hepatocellular carcinoma: intermittent hepatic pedicle clamping (HPC) as a factor of worse disease-free survival (p = 0.008, HPC+ 5-year DFS: 17% vs. HPC− 5-year DFS: 61%). DFS—disease-free survival. PC+—patient submitted to intermittent hepatic pedicle clamping during surgery; HPC−—patient not submitted to intermittent hepatic pedicle clamping during surgery.
3.4. Pathologic Factors with Impact on Survival
3.4.1. Resection Margins
OS was not affected by a tumor-free resection margin. Patients with R2 had worse DFS than R1 patients and R0, respectively (p = 0.001; R0 median DFS: 60 ± 17 months vs. R1 median DFS: 11 ± 9 months vs. R2 median DSF: 5 ± 2.5 months) (Figure 6).
Figure 6.
Survival curve of tumor-free resection margin as a factor that impacts disease-free survival of 59 patients after hepatectomy for hepatocellular carcinoma: R2 margin as a factor of worse disease-free survival (p = 0.001, R0 5-year DFS: 45.4% vs. R1 5-year DFS: 19.4% vs. R2 5-year DFS: 0%). DFS—disease-free survival.
3.4.2. Non-Tumoral Parenchyma
None of the parameters studied were associated with worse OS or worse DFS.
3.4.3. Tumoral Parenchyma
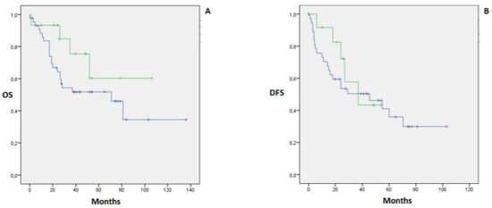
Macroscopic (MaVI) and microscopic (MiVI) vascular invasion were associated with either worse OS (p < 0.001 and p = 0.01, respectively) (Figure 7A,B) and worse DFS (p < 0.001 for both).
Figure 7.
Survival curves of worse overall survival for macroscopic vascular invasion (A) and microscopic vascular invasion (B) of 59 patients after hepatectomy for hepatocellular carcinoma.
Table 7 summarizes the statistical analysis of the MaVI and MiVI impact in the patients’ OS and DFS.
Table 7.
Macroscopic and microscopic vascular invasion as factors of worse overall survival and worse disease-free survival of 59 patients after hepatectomy for hepatocellular carcinoma. MaVI—macroscopic vascular invasion; MiVI—microscopic vascular invasion.
There was no statistical significance that associates the histological subtype with worse OS (p = 0.2) and DFS (p = 0.5), although C-HCC has worse OS than SH-HCC (Figure 8).
Figure 8.
Survival curves of overall survival (A) and disease-free survival (B) for histological subtype of 59 patients after hepatectomy for hepatocellular carcinoma: conventional hepatocellular carcinoma (C-HCC) (blue line) vs. steatohepatitic hepatocellular carcinoma (SH-HCC) (green line).
There is no correlation between SH-HCC and HCV (p = 0.5), HBV (p = 0.1), ethylism (p = 0.6), established cirrhosis (p = 0.1), NASH (p = 0.7), MS (p = 0.5) and diabetes (p = 0.2). There is a correlation between SH-HCC and female gender (p = 0.01).
No other parameter studied was associated with worse OS or worse DFS.
3.4.4. Immunohistochemical Staining
There was no association between CK19 or GLP-3 and worse OS or worse DFS when studied singly. Regarding DFS, group 2 (CK19+/GLP-3−) had worse DFS and group 4 (CK19−/GLP-3−) had better DFS (p = 0.01) (Figure 9). Patients from group 3 also had a worse DFS, but without statistical significance for this group. No impact on OS was observed.
Figure 9.
Survival curves of worse disease-free survival for immunohistochemical staining of CK19 and GLP-3 of 59 patients undergoing hepatectomy for hepatocellular carcinoma: group 4 (CK19−/GLP-3−) with better disease-free survival and group 2 (CK19+/GLP3-3−) with a worse disease-free survival.
Table 8 summarizes the statistical analysis of the groups’ impact on disease-free survival.
Table 8.
Immunohistochemical groups’ formation survival analysis: group 4 as a factor of better disease-free survival and group 2 as a factor of worse disease-free survival of 59 patients after hepatectomy for hepatocellular carcinoma. CK19+—cytokeratin 19 positive; CK19−—cytokeratin 19 negative; GLP-3+—glypican 3 positive; GLP-3−—glypican 3 negative.
3.5. Cox Regression
3.5.1. Overall Survival
In the multivariate analysis, HCV was associated with worse OS, with a hazard ratio (HR) of 4.02 (p = 0.002). MS was a predictor of better OS (HR = 0.19, p = 0.001).
Macroscopic (MaVI) and microscopic (MiVI) vascular invasion were also associated with worse OS (HR = 4.48, p = 0.001 and HR = 3.91, p = 0.005, respectively).
The Cox regression for OS is summarized in Table 9.
Table 9.
Multivariate analysis for overall survival of 59 patients after hepatectomy for hepatocellular carcinoma. HR—hazard ratio; CI—confidence interval; HCV—hepatitis C virus; MaVI—macroscopic vascular invasion; MiVI—microscopic vascular invasion; MS—metabolic syndrome.
3.5.2. Disease-Free Survival
Intermittent HPC and the R2 resection margin were associated with worse DFS in the multivariate analysis (HR = 4.07, p = 0.012 and HR = 2.60, p = 0.002).
Macroscopic and microscopic vascular invasion were associated with worse DFS (HR = 6.16, p < 0.001 and HR = 2.83, p = 0.035, respectively).
Group 2 (CK19+/GLP-3−) and group 3 (CK19−/GLP-3+) were identified as independent factors of worse DFS (HR = 9.99, p = 0.007 and HR = 2.67, p = 0.029), and group 4 (CK19−/GLP-3−) as a factor of better DFS (HR = 0.36, p = 0.031).
The Cox regression for DFS is summarized in Table 10.
Table 10.
Multivariate analysis for disease-free survival of 59 patients after hepatectomy for hepatocellular carcinoma. HR—hazard ratio; CI—confidence interval; HPC—hepatic pedicle clamping; R2—gross surgical positive margin; C virus; MaVI—macroscopic vascular invasion; MiVI—microscopic vascular invasion; CK19+—cytokeratin 19 positive; CK19−—cytokeratin 19 negative; GLP-3+—glypican 3 positive; GLP-3−—glypican 3 negative.
4. Discussion
Hepatocellular carcinoma is a challenging disease [30]. Management is difficult because of the underlying liver disease and due to a lack of adequate systemic therapy. Resection, alongside liver transplantation, is still the most important curative option [31]. Liver resection is of utmost importance and should be considered in selected patients, namely those without chronic liver disease or with compensated cirrhosis [32].
Regarding HCC resection, there are many clinical and pathological parameters to be taken into account.
This study was designed to identify clinical and pathologic prognostic factors that impact the overall and disease-free survival of HCC patients after hepatectomies.
Many studies [33,34] and meta-analyses of observational studies [35] have reported a worse prognosis in patients with HCV and HBV infection undergoing hepatectomy for HCC when compared with patients with negative serology. In our study, only HCV infection was identified as an independent factor of worse OS. It is generally accepted that virus-induced chronic inflammation and hepatocyte necrosis might cause the hepatocytes to undergo proliferation and thus increase the occurrence of genetic aberrations, which may be the main mechanism responsible for late intrahepatic recurrence [35].
It is also generally accepted that HCV-related HCC develops at a more advanced stage of baseline liver disease than does HBV-related HCC [36]. This means that even though patients underwent hepatectomy, they will have a more aggressive HCC since their livers have advanced baseline disease. HCV-related HCC is more likely to be multifocal, whereas HBV-related HCC is normally single [36], suggesting that the risk of developing a recurrent and more aggressive lesion after hepatectomy is higher in patients with HCV than in those with HBV.
Metabolic syndrome was identified as an independent factor of better overall survival in this study. Although the association between metabolic syndrome and HCC is not readily identifiable in a significant percentage of HCC cases, it is now well-established that metabolic syndrome is contributing to the development of HCC [5]. With the current rising epidemic of obesity and metabolic syndrome in the general population, this is becoming the most common cause of HCC in developed countries [2]. In the liver, metabolic syndrome may cause inflammatory and angiogenic changes due to underlying insulin resistance and fatty liver disease [7].
It is thought that HCC secondary to metabolic syndrome may have a better prognosis than its other counterparts, partly because of early diagnosis with favorable prognostic markers and easier management of their comorbidities [5]. Furthermore, resection is probably more easily performed in NASH livers than in other etiologies due to a preserved hepatocellular function and absence of cirrhosis [5]. However, this may also be a reflection of our experience in this cohort, where the NASH-associated HCCs were developed in the background of non-cirrhotic livers. Currently, NASH is becoming a public heath burden, increasing worldwide, and will probably become the major cause for liver disease/cancer and liver transplantation [37]. NASH is associated with a pro-inflammatory state and consequent myofibroblastic activation [38] through the reactivation of developmental pathways [39], so these findings may be analyzed with caution, since they may represent a not (yet)-visible fibrosis.
It is still controversial whether HPC is safe during HP. Tralhão et al. [40] reported selective hemihepatic continuous portal clamping as a safe method of vascular control during liver resection. However, HPC depresses liver mitochondrial function [41] and has been associated with worse prognosis [10,42,43,44]. Hamaguchy et al. [13] showed in a rat HCC model that longer HPC (15 min), during major hepatectomy, followed by reperfusion induced the secretion of various cytokines (TFN-α, IL-1β, IL-6, VEGF) and accelerated HCC growth through the upregulation of hypoxia-inducible factor (HIF)-1α and the activation of the IL-6-JAKSTAT3 signaling pathway. Man et al. [45] reported that hepatic ischemia for 60 min followed by reperfusion for 60 min exacerbated liver tumor growth and metastasis through the modification of cell adhesion, invasion and angiogenesis pathways. Our current study correlates HPC with worse DFS, in univariate and multivariate analysis, since the ischemia-reperfusion injury (IRI) produced by HPC could promote a more angiogenic and angioinvasive phenotype of tumor cells, thus activating signaling angiogenic pathways and resulting in higher recurrence. Strategies aiming at reducing IRI are critically important in liver surgery, and more studies should be carried out to assess the impact of HPC, such as the one suggested by Xiaobin et al. [46], a randomized, prospective and controlled multicenter trial to assess whether HPC has a negative effect on the long-term outcome of HCC patients. This trial will also provide prognostic differences, safety, advantages and disadvantages between HPC and non-HPC surgical procedures.
It is known that macroscopic vascular invasion, microscopic vascular invasion and a compromised resection margin result in earlier recurrence of the tumor and a worse prognosis since these factors compromise the curative intention of the surgical resection [47,48,49]. Our results were in agreement with this since the macroscopic vascular invasion and microscopic vascular invasion were identified as independent factors of worse OS and DFS and the R2 resection margin was identified as an independent factor of worse DFS in our study’s population.
Recently a new histological subtype of HCC was identified—steatohepatitic HCC (SH-HCC) [50].
The SH-HCC morphology has similar features of steatohepatitis, namely hepatocellular ballooning, Mallory–Denk hyaline bodies, inflammation and fibrosis. Some studies relate an association between SH-HCC subtype and the metabolic condition of the patient [19,51,52] and others indicate that HCC can also develop steatohepatitic morphology outside the setting of fatty liver disease or metabolic syndrome [18]. In our study, there was no correlation between SH-HCC and metabolic syndrome. This may happen because the SH-HCC subtype is more likely to result from genetic changes to shared genes or metabolic pathways within the tumor [18].
In our study, there was no prognostic significance of SH-HCC when compared with the C-HCC, and this has been reported by Shibahara et al. [19], but Chan et al. [52] reported that SH-HCC was associated with late tumor recurrence despite having more favorable baseline tumor features. Since these results are divergent in the literature it is necessary to do more research about SH-HCC’s survival impact in a larger population sample.
In this study, there was a correlation between SH-HCC and female gender. This may be associated with a prevalence of metabolic syndrome in the female Portuguese population as demonstrated in a recent study by Raposo et al. [53]. Nevertheless, more investigations are needed to further explore and understand this association.
IHC for CK19 [54,55,56] and GLP-3 [22,57,58] have been identified as markers of worse prognosis in HCC. However, in our study, when they were analyzed as a single marker, there was no correlation with the patient’s prognosis. A study carried out by Feng et al. [59] reported that CK19 and GLP-3 expression, when analyzed together, had an impact on patients’ prognosis. In our study, patients from group 4 (CK19-/GLP-3−) independently presented better DFS, while patients from group 3 (CK19-/GLP-3+) and group 2 (CK19+/GLP-3−) experienced worse DFS. This may be explained because the overexpression of these markers represents a state of low cell differentiation, correlated with higher aggressive potential of the tumor, and can result in a higher risk of intrahepatic metastasis, microvascular invasion, regional lymph node involvement and distant metastasis [59]. The immunophenotyping of HCC is therefore of added value in patient stratification. Some classifications have been suggested in the literature, conjugating morphological and IHC features, resorting to more or less simple scoring systems [60,61,62] and the more robust results are based on CK19 expression. Therefore, at least the assessment of CK19 should be performed, which may be of extra value in low-income countries.
In our study, group 1 (CK19+/GLP-3+) patients were not associated with a worse prognosis in the univariate and multivariate analysis. In theory, this group should have the most aggressive behavior [63]. This suggests that a larger sample of patients is needed to investigate these markers since our population with CK19+ was small. Translating this data into molecular profiling and resorting to AI algorithms may also be helpful [64,65].
5. Conclusions
Despite the difficulty in the management of HCC patients, hepatectomy is one of the potentially curative treatments available. During surgical resection, hepatic pedicle clamping results in an ischemia-reperfusion injury that could promote a more angiogenic and angioinvasive phenotype of tumor cells and can activate signaling pathways resulting in higher and more aggressive recurrence. In our series, HPC was associated with worse DFS. Compromised resection margins during hepatectomy are also a factor that impacts the patients’ prognosis.
There are other factors associated with a worse prognosis: HCV etiology, macroscopic and microscopic vascular invasion and diffuse macroscopic type.
Patients with metabolic syndrome can have a better prognosis even though it causes inflammatory and angiogenic changes due to underlying insulin resistance and fatty liver disease, but their comorbidities are easier to manage and they have favorable prognostic markers.
Author Contributions
Conceptualization, R.C.O. and H.A.; methodology, L.V., R.C.O. and H.A.; software, L.V. and H.A.; validation, R.C.O., H.A. and J.G.T.; formal analysis, L.V.; investigation, L.V. and R.M.; data curation, R.C.O., L.V. and H.A. writing—original draft preparation, L.V., R.C.O. and H.A.; writing—review and editing, R.C.O. supervision, J.G.T. and M.A.C. All authors have read and agreed to the published version of the manuscript.
Funding
This research received no external funding.
Institutional Review Board Statement
The study was approved by the ethical committee of Centro Hospitalar de Coimbra (2013-099) and complied with the principles of the Declaration of Helsinki.
Informed Consent Statement
Informed consent was obtained from all subjects involved in the study.
Data Availability Statement
All the data from this study are evident in the manuscript.
Conflicts of Interest
The authors declare no conflicts of interests.
References
- Rawla, P.; Sunkara, T.; Muralidharan, P.; Raj, J.P. Update in global trends and aetiology of hepatocellular carcinoma. Wspolczesna Onkol. 2018, 22, 141–150. [Google Scholar] [CrossRef]
- Singal, A.G.; El-Serag, H.B. Hepatocellular Carcinoma from Epidemiology to Prevention: Translating Knowledge into Practice. Clin. Gastroenterol. Hepatol. 2015, 13, 2140–2151. [Google Scholar] [CrossRef]
- Harnois, D.M. Hepatitis C virus infection and the rising incidence of hepatocellular carcinoma. Mayo Clin. Proc. 2012, 87, 7–8. [Google Scholar] [CrossRef]
- Cholankeril, G.; Patel, R.; Khurana, S.; Satapathy, S.K. Hepatocellular carcinoma in non-alcoholic steatohepatitis: Current knowledge and implications for management. World J. Hepatol. 2017, 9, 533–543. [Google Scholar] [CrossRef]
- Rahman, R. Primary hepatocellular carcinoma and metabolic syndrome: An update. World J. Gastrointest. Oncol. 2013, 5, 186. [Google Scholar] [CrossRef]
- Tsoulfas, G. Hepatocellular carcinoma and metabolic syndrome: The times are changing and so should we. World J. Gastroenterol. 2019, 25, 3842–3848. [Google Scholar] [CrossRef]
- Siegel, A.B.; Zhu, A.X. Metabolic syndrome and hepatocellular carcinoma: Two growing epidemics with a potential link. Cancer 2009, 115, 5651–5661. [Google Scholar] [CrossRef]
- Madkhali, A.A.; Fadel, Z.T.; Aljiffry, M.M.; Hassanain, M.M. Surgical treatment for hepatocellular carcinoma. Saudi J. Gastroenterol. 2015, 21, 11–17. [Google Scholar] [CrossRef]
- Zamora-Valdes, D.; Taner, T.; Nagorney, D.M. Surgical Treatment of Hepatocellular Carcinoma. Cancer Control 2017, 24, 1073274817729258. [Google Scholar] [CrossRef]
- Feng, X.; Liu, Z.; Zheng, S.; Dong, J.; Li, X. The Pringle manoeuvre should be avoided in hepatectomy for cancer patients due to its side effects on tumor recurrence and worse prognosis. Med. Hypotheses 2009, 72, 398–401. [Google Scholar] [CrossRef]
- Wei, X.; Zheng, W.; Yang, Z.; Liu, H.; Tang, T.; Li, X.; Liu, X. Effect of the intermittent Pringle maneuver on liver damage after hepatectomy: A retrospective cohort study. World J. Surg. Oncol. 2019, 17, 142. [Google Scholar] [CrossRef]
- Al-Saeedi, M.; Ghamarnejad, O.; Khajeh, E.; Shafiei, S.; Salehpour, R.; Golriz, M.; Mieth, M.; Weiss, K.H.; Longerich, T.; Hoffmann, K.; et al. Pringle Maneuver in Extended Liver Resection: A propensity score analysis. Sci. Rep. 2020, 10, 108847. [Google Scholar] [CrossRef]
- Hamaguchi, Y.; Mori, A.; Fujimoto, Y.; Ito, T.; Iida, T.; Yagi, S.; Okajima, H.; Kaido, T.; Uemoto, S. Longer warm ischemia can accelerate tumor growth through the induction of HIF-1α and the IL-6-JAK-STAT3 signaling pathway in a rat hepatocellular carcinoma model. J. Hepato-Biliary-Pancreat. Sci. 2016, 23, 771–779. [Google Scholar] [CrossRef]
- Colecchia, A.; Schiumerini, R.; Cucchetti, A.; Cescon, M.; Taddia, M.; Marasco, G.; Festi, D. Prognostic factors for hepatocellular carcinoma recurrence. World J. Gastroenterol. 2014, 20, 5935–5950. [Google Scholar] [CrossRef]
- Nagtegaal, I.D.; Odze, R.D.; Klimstra, D.; Paradis, V.; Rugge, M.; Schirmacher, P.; Washington, K.M.; Carneiro, F.; Cree, I.A.; the WHO Classification of Tumours Editorial Board. The 2019 WHO classification of tumours of the digestive system. Histopathology 2019, 76, 182–188. [Google Scholar] [CrossRef]
- Arnaoutakis, D.J.; Mavros, M.N.; Shen, F.; Alexandrescu, S.; Firoozmand, A.; Popescu, I.; Weiss, M.; Wolfgang, C.L.; Choti, M.A.; Pawlik, T.M. Recurrence patterns and prognostic factors in patients with hepatocellular carcinoma in noncirrhotic liver: A multi-institutional analysis. Ann. Surg. Oncol. 2014, 21, 147–154. [Google Scholar] [CrossRef]
- Olofson, A.M.; Gonzalo, D.H.; Chang, M.; Liu, X. Steatohepatitic Variant of Hepatocellular Carcinoma: A Focused Review. Gastroenterol. Res. 2018, 11, 391–396. [Google Scholar] [CrossRef]
- Yeh, M.M.; Liu, Y.; Torbenson, M. Steatohepatitic variant of hepatocellular carcinoma in the absence of metabolic syndrome or background steatosis: A clinical, pathological, and genetic study. Hum. Pathol. 2015, 46, 1769–1775. [Google Scholar] [CrossRef]
- Shibahara, J.; Ando, S.; Sakamoto, Y.; Kokudo, N.; Fukayama, M. Hepatocellular carcinoma with steatohepatitic features: A clinicopathological study of Japanese patients. Histopathology 2014, 64, 951–962. [Google Scholar] [CrossRef]
- Boulter, L.; Lu, W.Y.; Forbes, S.J. Differentiation of progenitors in the liver: A matter of local choice. J. Clin. Investig. 2013, 123, 1867–1873. [Google Scholar] [CrossRef]
- Lo, R.C.L.; Ng, I.O.L. Hepatocellular tumors: Immunohistochemical analyses for classification and prognostication. Chin. J. Cancer Res. 2011, 23, 245–253. [Google Scholar] [CrossRef]
- Li, J.; Gao, J.Z.; Du, J.L.; Wei, L.X. Prognostic and clinicopathological significance of glypican-3 overexpression in hepatocellular carcinoma: A meta-analysis. World J. Gastroenterol. 2014, 20, 6336–6344. [Google Scholar] [CrossRef]
- Zhang, J.; Zhang, M.; Ma, H.; Song, X.; He, L.; Ye, X.; Li, X. Overexpression of glypican-3 is a predictor of poor prognosis in hepatocellular carcinoma an updated meta-analysis. Medicine 2018, 97, e11130. [Google Scholar] [CrossRef]
- Martins, J.; Alexandrino, H.; Oliveira, R.; Cipriano, M.A.; Falcão, D.; Ferreira, L.; Martins, R.; Serôdio, M.; Martins, M.; Tralhão, J.G.; et al. Sinusoidal dilation increases the risk of complications in hepatectomy for CRCLM—Protective effect of bevacizumab and diabetes mellitus, serum gamma-glutamyltranspeptidase as predictive factor. Eur. J. Surg. Oncol. 2016, 42, 713–721. [Google Scholar] [CrossRef]
- Ha, S.Y.; Choi, M.; Lee, T.; Park, C.K. The prognostic role of mitotic index in hepatocellular carcinoma patients after curative hepatectomy. Cancer Res. Treat. 2016, 48, 180–189. [Google Scholar] [CrossRef]
- Bedossa, P.; Poynard, T. An algorithm for the grading of activity in chronic hepatitis C. Hepatology 1996, 24, 289–293. [Google Scholar] [CrossRef]
- Ishak, K.; Baptista, A.; Bianchi, L.; Callea, F.; De Groote, J.; Gudat, F.; Denk, H.; Desmet, V.; Korb, G.; MacSween, R.N.; et al. Histological grading and staging of chronic hepatitis. J. Hepatol. 1995, 22, 696–699. [Google Scholar] [CrossRef]
- Kleiner, D.E.; Brunt, E.M.; Van Natta, M.; Behling, C.; Contos, M.J.; Cummings, O.W.; Ferrell, L.D.; Liu, Y.-C.; Torbenson, M.S.; Unalp-Arida, A.; et al. Design and validation of a histological scoring system for nonalcoholic fatty liver disease. Hepatology 2005, 41, 1313–1321. [Google Scholar] [CrossRef]
- Shirakawa, H.; Kuronuma, T.; Nishimura, Y.; Hasebe, T.; Nakano, M.; Gotohda, N.; Takahashi, S.; Nakagohri, T.; Konishi, M.; Kobayashi, N.; et al. Glypican-3 is a useful diagnostic marker for a component of hepatocellular carcinoma in human liver cancer. Int. J. Oncol. 2009, 34, 649–656. [Google Scholar] [CrossRef] [PubMed][Green Version]
- Tsoulfas, G.; Agorastou, P.; Tooulias, A.; Marakis, G.N. Current and future challenges in the surgical treatment of hepatocellular carcinoma: A review. Int. Surg. 2014, 99, 779–786. [Google Scholar] [CrossRef] [PubMed]
- Torzilli, G.; Belghiti, J.; Kokudo, N.; Takayama, T.; Capussotti, L.; Nuzzo, G.; Vauthey, J.-N.; Choti, M.A.; De Santibanes, E.; Donadon, M.; et al. A snapshot of the effective indications and results of surgery for hepatocellular carcinoma in tertiary referral centers: Is it adherent to the EASL/AASLD recommendations? An observational study of the HCC east-west study group. Ann. Surg. 2013, 257, 929–937. [Google Scholar] [CrossRef]
- Belli, A.; Cioffi, L.; Russo, G.; Belli, G. Liver resection for hepatocellular carcinoma in patients with portal hypertension: The role of laparoscopy. Hepatobiliary Surg. Nutr. 2015, 4, 417–41721. [Google Scholar] [CrossRef]
- Utsunomiya, T.; Shimada, M.; Kudo, M.; Ichida, T.; Matsui, O.; Izumi, N.; Matsuyama, Y.; Sakamoto, M.; Nakashima, O.; Ku, Y.; et al. A comparison of the surgical outcomes among patients with HBV-positive, HCV-positive, and non-B non-C hepatocellular carcinoma: A nationwide study of 11,950 patients. Ann. Surg. 2015, 261, 513–520. [Google Scholar] [CrossRef]
- Imamura, H.; Matsuyama, Y.; Tanaka, E.; Ohkubo, T.; Hasegawa, K.; Miyagawa, S.; Sugawara, Y.; Minagawa, M.; Takayama, T.; Kawasaki, S.; et al. Risk factors contributing to early and late phase intrahepatic recurrence of hepatocellular carcinoma after hepatectomy. J. Hepatol. 2003, 38, 200–207. [Google Scholar] [CrossRef]
- Zhou, Y.; Si, X.; Wu, L.; Su, X.; Li, B.; Zhang, Z. Influence of viral hepatitis status on prognosis in patients undergoing hepatic resection for hepatocellular carcinoma: A meta-analysis of observational studies. World J. Surg. Oncol. 2011, 9, 108. [Google Scholar] [CrossRef]
- Miyagawa, S.; Kawasaki, S.; Makuuchi, M. Comparison of the characteristics of hepatocellular carcinoma between hepatitis B and C viral infection: Tumor multicentricity in cirrhotic liver with hepatitis C. Hepatology 1996, 24, 307–310. [Google Scholar] [CrossRef]
- Dufour, J.F.; Anstee, Q.M.; Bugianesi, E.; Harrison, S.; Loomba, R.; Paradis, V.; Tilg, H.; Wong, V.W.-S.; Zelber-Sagi, S. Current therapies and new developments in NASH. Gut 2022, 71, 2123–2134. [Google Scholar] [CrossRef]
- Heyens, L.J.M.; Busschots, D.; Koek, G.H.; Robaeys, G.; Francque, S. Liver Fibrosis in Non-alcoholic Fatty Liver Disease: From Liver Biopsy to Non-invasive Biomarkers in Diagnosis and Treatment. Front. Med. 2021, 8, 615978. [Google Scholar] [CrossRef]
- Schwabe, R.F.; Tabas, I.; Pajvani, U.B. Mechanisms of Fibrosis Development in NASH. Gastroenterology 2020, 158, 1913. [Google Scholar] [CrossRef]
- Tralhão, J.G.; Hoti, E.; Oliveiros, B.; Abrantes, A.M.; Botelho, M.F.; Castro-Sousa, F. Intermittent pringle maneuver and hepatic function: Perioperative monitoring by noninvasive ICG-clearance. World J. Surg. 2009, 33, 2627–2634. [Google Scholar] [CrossRef]
- Alexandrino, H.; Varela, A.T.; Teodoro, J.S.; Martins, M.A.; Rolo, A.P.; Tralhão, J.G.; Palmeira, C.M.; e Sousa, F.C. Mitochondrial bioenergetics and posthepatectomy liver dysfunction. Eur. J. Clin. Investig. 2016, 46, 627–635. [Google Scholar] [CrossRef]
- Hao, S.; Chen, S.; Yang, X.; Wan, C. Impact of intermittent portal clamping on the early recurrence of hepatocellular carcinoma after surgery. Surg. Today 2016, 46, 1290–1295. [Google Scholar] [CrossRef]
- Hao, S.; Chen, S.; Yang, X.; Wan, C. Adverse impact of intermittent portal clamping on long-term postoperative outcomes in hepatocellular carcinoma. Ann. R. Coll. Surg. Engl. 2017, 99, 22–27. [Google Scholar] [CrossRef]
- Ozaki, M.; Todo, S. Surgical stress and tumor behavior: Impact of ischemia-reperfusion and hepatic resection on tumor progression. Liver Transplant. 2007, 13, 1623–1626. [Google Scholar] [CrossRef]
- Man, K.; Ng, K.T.; Lo, C.M.; Ho, J.W.; Sun, B.S.; Sun, C.K.; Lee, T.K.; Poon, R.T.P.; Fan, S.T. Ischemia-reperfusion of small liver remnant promotes liver tumor growth and metastases—Activation of cell invasion and migration pathways. Liver Transplant. 2007, 13, 1669–1677. [Google Scholar] [CrossRef]
- Xiaobin, F.; Shuguo, Z.; Jian, Z.; Yudong, Q.; Lijian, L.; Kuansheng, M.; Xiaowu, L.; Feng, X.; Dong, Y.; Shuguang, W.; et al. Effect of the pringle maneuver on tumor recurrence of hepatocellular carcinoma after curative resection (EPTRH): A randomized, prospective, controlled multicenter trial. BMC Cancer 2012, 12, 340. [Google Scholar] [CrossRef]
- Laurent, C.; Blanc, J.F.; Nobili, S.; Cunha, A.S.; le Bail, B.; Bioulac-Sage, P.; Balabaud, C.; Capdepont, M.; Saric, J. Prognostic factors and longterm survival after hepatic resection for hepatocellular carcinoma originating from noncirrhotic liver. J. Am. Coll. Surg. 2005, 201, 656–662. [Google Scholar] [CrossRef]
- Poon, R.T.P.; Fan, S.T.; Ng, I.O.L.; Wong, J. Significance of resection margin in hepatectomy for hepatocellular carcinoma: A critical reappraisal. Ann. Surg. 2000, 231, 544–551. [Google Scholar] [CrossRef]
- Shimada, K.; Sakamoto, Y.; Esaki, M.; Kosuge, T.; Morizane, C.; Ikeda, M.; Ueno, H.; Okusaka, T.; Arai, Y.; Takayasu, K. Analysis of prognostic factors affecting survival after initial recurrence and treatment efficacy for recurrence in patients undergoing potentially curative hepatectomy for hepatocellular carcinoma. Ann. Surg. Oncol. 2007, 14, 2337–2347. [Google Scholar] [CrossRef]
- Salomao, M.; Remotti, H.; Vaughan, R.; Siegel, A.B.; Lefkowitch, J.H.; Moreira, R.K. The steatohepatitic variant of hepatocellular carcinoma and its association with underlying steatohepatitis. Hum. Pathol. 2012, 43, 737–746. [Google Scholar] [CrossRef]
- Jain, D.; Nayak, N.C.; Kumaran, V.; Saigal, S. Steatohepatitic hepatocellular carcinoma, a morphologic indicator of associated metabolic risk factors: A study from India. Arch. Pathol. Lab. Med. 2013, 137, 961–966. [Google Scholar] [CrossRef]
- Chan, A.W.H.; Yu, S.; Yu, Y.H.; Tong, J.H.M.; Wang, L.; Tin, E.K.Y.; Chong, C.C.N.; Chan, S.L.; Wong, G.L.H.; Wong, V.W.S.; et al. Steatotic hepatocellular carcinoma: A variant associated with metabolic factors and late tumour relapse. Histopathology 2016, 69, 971–984. [Google Scholar] [CrossRef]
- Raposo, L.; Severo, M.; Barros, H.; Santos, A.C. The prevalence of the metabolic syndrome in Portugal: The PORMETS study. BMC Public Health 2017, 17, 555. [Google Scholar] [CrossRef]
- Uenishi, T.; Kubo, S.; Yamamoto, T.; Shuto, T.; Ogawa, M.; Tanaka, H.; Tanaka, S.; Kaneda, K.; Hirohashi, K. Cytokeratin 19 expression in hepatocellular carcinoma predicts early postoperative recurrence. Cancer Sci. 2003, 94, 851–857. [Google Scholar] [CrossRef]
- Lee JIl Lee, J.-W.; Kim, J.M.; Kim, J.K.; Chung, H.J.; Kim, Y.S. Prognosis of hepatocellular carcinoma expressing cytokeratin 19: Comparison with other liver cancers. World J. Gastroenterol. 2012, 18, 4751–4757. [Google Scholar] [CrossRef]
- Lu, X.Y.; Xi, T.; Lau, W.Y.; Dong, H.; Zhu, Z.; Shen, F.; Wu, M.-C.; Cong, W.-M. Hepatocellular carcinoma expressing cholangiocyte phenotype is a novel subtype with highly aggressive behavior. Ann. Surg. Oncol. 2011, 18, 2210–2217. [Google Scholar] [CrossRef]
- Xue, R.; Feng, J.; Meng, Q.; Lv, F.; Zhu, Y.; Yu, H.; Zhang, S.; Song, C.; Sun, L.; Yue, Z.; et al. The significance of glypican-3 expression profiling in the tumor cellular origin theoretical system for hepatocellular carcinoma progression. J. Gastroenterol. Hepatol. 2017, 32, 1503–1511. [Google Scholar] [CrossRef]
- Wu, Y.; Liu, H.; Ding, H.-G. GPC-3 in hepatocellular carcinoma: Current perspectives. J. Hepatocell. Carcinoma 2016, 3, 63–67. [Google Scholar] [CrossRef]
- Feng, J.; Zhu, R.; Chang, C.; Yu, L.; Cao, F.; Zhu, G.; Chen, F.; Xia, H.; Lv, F.; Zhang, S.; et al. CK19 and glypican 3 expression profiling in the prognostic indication for patients with HCC after surgical resection. PLoS ONE 2016, 11, e0151501. [Google Scholar] [CrossRef]
- Srivastava, S.; Wong, K.F.; Ong, C.W.; Huak, C.Y.; Yeoh, K.G.; Teh, M.; Luk, J.M.; Salto-Tellez, M. A morpho-molecular prognostic model for hepatocellular carcinoma. Br. J. Cancer 2012, 107, 334–339. [Google Scholar] [CrossRef]
- Tsujikawa, H.; Masugi, Y.; Yamazaki, K.; Itano, O.; Kitagawa, Y.; Sakamoto, M. Immunohistochemical molecular analysis indicates hepatocellular carcinoma subgroups that reflect tumor aggressiveness. Hum. Pathol. 2016, 50, 24–33. [Google Scholar] [CrossRef]
- Caetano Oliveira, R.; Martins, R.; Abrantes, A.M.; Jesus, Â.; Teixeira, P.; Canhoto, C.; Guerreiro, P.; Costa, B.; Silva, M.R.; Tralhão, J.G.; et al. Morphophenotypic Classification of Hepatocellular Carcinoma: The Biliary/Stem Cell Subgroup and Worst Outcome—Implications on Patient Selection. J. Gastrointest. Surg. 2020, 25, 698–707. [Google Scholar] [CrossRef]
- Zhuo, J.Y.; Lu, D.; Tan, W.Y.; Zheng, S.S.; Shen, Y.Q.; Xu, X. CK19-positive Hepatocellular Carcinoma is a Characteristic Subtype. J. Cancer 2020, 11, 5069–5077. [Google Scholar] [CrossRef]
- Moldogazieva, N.T.; Mokhosoev, I.M.; Zavadskiy, S.P.; Terentiev, A.A. Proteomic Profiling and Artificial Intelligence for Hepatocellular Carcinoma Translational Medicine. Biomedicines 2021, 9, 159. [Google Scholar] [CrossRef]
- Allaume, P.; Rabilloud, N.; Turlin, B.; Bardou-Jacquet, E.; Loréal, O.; Calderaro, J.; Khene, Z.-E.; Acosta, O.; De Crevoisier, R.; Rioux-Leclercq, N.; et al. Artificial Intelligence-Based Opportunities in Liver Pathology—A Systematic Review. Diagnostics 2023, 13, 1799. [Google Scholar] [CrossRef]
Disclaimer/Publisher’s Note: The statements, opinions and data contained in all publications are solely those of the individual author(s) and contributor(s) and not of MDPI and/or the editor(s). MDPI and/or the editor(s) disclaim responsibility for any injury to people or property resulting from any ideas, methods, instructions or products referred to in the content. |
© 2024 by the authors. Licensee MDPI, Basel, Switzerland. This article is an open access article distributed under the terms and conditions of the Creative Commons Attribution (CC BY) license (https://creativecommons.org/licenses/by/4.0/).