Abstract
Background and objectives: The present research was designed to evaluate the chemical composition of Lavandula stoechas essential oil (EOLS) as well as the in vivo wound-healing property. The chemical composition of EOLS was identified by gas chromatography mass spectrometry. Nineteen compounds of EOLS were reported. Linalool was identified as the major chemical compound (24.87%), followed by linalyl acetate (19.10%). EOLS showed a high content of oxygenated compounds (63.54%). In vivo wound healing activity of the topical cream prepared from EOLS (0.5% w/w) was assessed using a circular excision wound model. The wound area (mm2) in all animal groups was estimated and measured on day 0, 4, 8, 11, and 16. Results: The EOLS formulation cream (0.5% v/w) showed the highest effect on wound models when compared to reference Madecassol® (Asiaticoside). On days 4, 11, and 16, wound contractions were 26.4%, 78%, and 96.3% for the EOLS-treated group, and 8.5%, 64.1%, and 86.1% for the vehicle cream-treated group. Animals treated with EOLS cream showed a significant decrease in the epithelization period, wound area, and scar thickness, whereas the rate of wound contraction significantly increased. This is the first such report to be published. Histological analyses were also consistent with the results of the excision experimental method. Treatment with EOLS cream formulation resulted in decreased inflammation and an increased rate of tissue perfusion and proliferation as well as remodeling, along with re-epithelization. Conclusions: Our results support the use of EOLS in the development of pharmaceuticals for the management of wounds, and/or inflammatory-related diseases. Additional studies are needed to elucidate and explain the exact mechanism of its pharmacological activity.
1. Introduction
Wound diseases and inflammatory-related illnesses have been more common in recent decades. Cure complexity, an increase in multidrug-resistant bacteria, side effects of medical therapies, and medication costs are both reasons for the need for the identification and development of new, efficient treatments with low toxicity and low cost [1]. Aromatic herbs and medicinal plants as well as volatile oils derived from them have long been used for therapeutic and medicinal uses [2]. Many papers and publications in recent years have identified the immense ability of these essential oils (EOs) and their chemical compounds, with several articles highlighting their antinociceptive, fungicidal, antioxidant, and antitumor properties [2,3,4,5,6].
EOs are being investigated for their wound healing properties, in addition to their antitumor and antimicrobial activities. Wound healing consists of a series of steps that repair the damaged tissue in part or completely. This repeated chain of reaction starts at the point of injury and lasts for varying lengths of time depending on the severity of the wounding. The use of aromatic plant and medicinal herb formulations, as well as phytochemical extracts, will help wound healing improvement in an optimized and effective way. Several stages of the healing process have been found to be influenced by these bioactive compounds. The terpenoid molecules in EOs, for example, are small enough to pass through the stratum corneum [7,8,9]. Based on the physical and chemical characteristics of the EO, it can be absorbed through the skin without a problem within 10 to 30 min [7,8,9].
Plant-derived EOs provide an enormous opportunity for the identification and creation of innovative drug leads in this context. Among such long-established wound healing medicines, the EO of the flowering aerial portion of butterfly lavender (Lavandula stoechas) holds a special place in African traditional medicine. Lavandula stoechas, also known as wild lavender, is a perennial flowering plant with aromatic leaves and beautiful bracts at the tops of the flowers [10,11]. Lavandula is a major genus of the Lamiaceae family that has over 39 recognized species and more than 450 produced hybrids. Though it is endemic to the Mediterranean region (Morocco, Algeria, Tunisia, Italy, France, and Spain), lavender has become cultivated around the world, and the numerous species provide us with a variety of EOs used in many applications in the food, cosmetic, pharmaceutical and fragrance industries. It is often used to make conventional meals and herbal teas, as well as for skin creams [10,11,12]. Several studies have been conducted to test the antimicrobial, antifungal, analgesic, antitumor, antiviral, antidepressant, and topical anti-inflammatory effects of EOLS [13,14,15,16].
The chemical composition and pharmacological evaluation of EOLS has been the subject of several studies over the years. However, there are very few systematic publications on its wound healing potential [12,13]. In the present investigation, the chemical composition of EOLS was determined using gas chromatography-mass spectrometry (GC-MS). Furthermore, we evaluated the wound healing potential of a new formulation of EOLS as a topical emulsion (dermal cream) by using an in vivo circular excision wound animal model. Madecassol (Asiaticoside), a registered therapeutic cream, was also included for comparison purposes.
2. Materials and Methods
2.1. Material
2.1.1. Lavandula stoechas Essential Oil
The EOLS used in this study was purchased from Extral-Bio Company (Chiffa, Blida, Algeria). The EO was obtained from fresh leaves, stems and inflorescences of Lavandula stoechas which were collected from the Cherchell state (coordinates 35°52′34″ N latitude and 0°17′2″ W longitude, Tipaza, Algeria) and steam-distilled for 2 h. Before being used, the EOLS was held in a closed vial and stored at 4 °C.
2.1.2. Animals
Male Wistar rats (160–200 g) were acquired from the “Laboratoire National de Contrôle des Produits Pharmaceutiques” (LNCPP, Algiers, Algeria). The animals were kept in a room for three days to acclimate. Throughout the trial, they were fed a normal pellet diet and given unlimited water. The animal study was carried out in compliance with the Algerian Executive Directive (18 March 2004, N° 10–90 JORA) and accordance also to the Law No. 88-08 of 26 January 1988 relating to veterinary medicine activities and the protection of animal health (N° JORA: 004 of 27-01-1988).
2.1.3. Drugs and Chemicals
The following drugs and chemicals were used: Madécassol® (1% Asiaticoside, Roche, Montbrison, France), Tween 80 (IPA, Algiers, Algeria). All cosmetic ingredients (sweet almond oil, beeswax, stearic acid, cetylic alcohol (lanette 16), ceteareth-20 (emulgin B2), triethanolamine (trolamine), octyldodecanol (eutanol G), xanthan gum, stearyl alcohol and glycerin) were purchased from BASF Personal Care GmbH (Monheim, Germany).
2.2. Methods
2.2.1. Determination of Chemical Composition of Essential Oil
Analysis and identification of the volatile compounds were performed using a Shimadzu GC-17A gas chromatograph coupled with a Shimadzu QP-5050A MS detector (Shimadzu Corporation, Kyoto, Japan). The GC-MS system was equipped with a TRACSIL Meta.X5 (95% dimethylpolysiloxane and 5% diphenylpolysiloxane) column (60 m × 0.25 mm, 0.25 μm film thickness; Teknokroma S. Coop. C. Ltd., Barcelona, Spain). Analyses were carried out using He as a carrier gas at a column flow rate of 0.3 mL/min and a total flow of 3.9 mL/min in a split ratio of 1:50 and the following program: (a) 50 °C for 0 min; (b) increase of 3 °C/min from 80 °C to 240 °C and hold for 1 min; (c) increase of 25 °C/min from 240 °C to 300 °C and hold for 3 min. The temperatures of the injector and detector were 230 °C and 300 °C, respectively. All compounds were identified by comparison of their mass spectra with NIST05 and Wiley spectral library collections.
2.2.2. In Vivo Wound Healing Activity
Preparation of Test Samples for Bioassay
The tissue repair property was determined using an excision wound model (two rats per group). EOLS was formulated into a topical cream emulsion (0.5%, w/w) for the in vivo wound models (Table 1). The abovementioned cream was made by precisely measuring the hydrophilic and lipophilic phase components, placing them in different beakers, and heating them. The lipophilic process was created by melting the waxes and emulsifiers (stearic acid, cetylic alcohol, stearyl alcohol and ceteareth-20) and constantly combining the substances. The water-soluble ingredients (octyldodecanol, xanthan gum and glycerin) were dissolved in deionized water to create the aqueous form. The two phases were heated to 65 °C before all of the components were dissolved.
Table 1.
Topical emulsion preparation with 0.5% of EOLS as a bioactive compound.
When the oil and water phases were both at the same temperature (65 °C), the aqueous phase was gradually combined with the lipophilic phase while stirring until the cream melted and cooled. To create a semisolid cream base (Figure 1), the topical emulsion was cooled. Following the creation of a wound with a surgical instrument, a quantity of each test ointment was added topically to the wounded area. The animals in the vehicle group received only the cream base, while the rats in the positive control group received Madecassol® 1% (Asiaticoside) cream.
Figure 1.
Lavandula stoechas essential oil topical cream formulation.
Circular Excision Wound Model
A spherical excision method has been used to track tissue repair and closure time. Each animal group was sedated with 0.01 mL of Thiopental Rotexmedica® (Sodium thiopental). Shaving was used to remove the animals’ back hairs. Every animal had a superficial wound shaped on the dorsal inter-scapular area by excising the skin with a 2 cm biopsy punch; the wounds were left wide open [17].
The EOLS cream, the standard drug (Madecassol, 1%), and the vehicle ointments base were applied topically once daily until the wound recovered properly (day 16). Every other day, translucent tracing paper was used to track the development of the wound region. Furthermore, the wound region was assessed using an AutoCAD method. Using the formula given, wound contraction was determined as a percent of the contraction in the wounded area:
Each group of animals had a tissue sample obtained from the repaired skin for histology examination.
Histology Examination
On day 17, the end of the study, skin samples from each group were isolated. Specimens were put in 10% buffered formalin, handled, and paraffin-blocked before being sectioned into 5 micrometer sections and stained with (hematoxylin and eosin) H&E stains. A light microscope (Olympus CX41) was used to examine skin tissues, which were rated as medium (+), intermediate (++), or extreme (+++) for epithelial or cutaneous remodeling. To score epithelial tissue or subcutaneous remodeling, re-epithelization or ulcers in the skin, fibroblast formation, polymorphonuclear cells, neo-vascularization, and collagen depositions in the layers of the skin were investigated. Ultimately, all tissue repair treatments were integrated and designed for wound healing processes such as infection, regeneration, and remodeling in all groups [17]. Histopathologic findings were deemed non-parametric, and no statistical study was carried out.
2.3. Statistical Analysis
Mean values of treated groups (EOLS and Madecassol creams) were compared with those of a vehicle group and analyzed using statistical tests. Comparison between different groups was carried out using the one-way analysis of variance (ANOVA). Differences with p < 0.05 between experimental groups were considered statistically significant. Statistical data analysis was carried out using XLStat 2014 software (Addinsoft, Paris, France).
3. Results
3.1. Chemical Composition of Lavandula Stoechas Essential Oil
In the present study, we evaluated the EO extracted from the aerial parts of Lavandula stoechas. Determination of the chemical composition of EOLS was carried out with GC-MS, and quantitative and qualitative compositions are shown in Table 2 and Figure 2. For EOLS, the main compound identified was linalool (24.871%), followed by linalyl acetate (19.10%), myrcene (7.62%), β-farnesene (7.17%), and trans-caryophyllene (6.37%). Other chemical terpenes were detected but were less than 6% (Table 2). Additionally, EOLS showed a high content of oxygenated monoterpenes (56.7%) and low amounts of sesquiterpene hydrocarbons (14.13%).
Table 2.
Chemical composition of the volatile oil extracted from Lavandula stoechas using a steam distillation technique.
Figure 2.
GC-MS chromatogram obtained from Lavandula stoechas essential oil.
The chemical composition of EOLS varies from that of many other Lavandula species and hybrids found in the Mediterranean region. The primary constituents of EOLS are oxygenated monoterpenes such as linalool, camphor, 1,8-cineol, terpineol, linalyl acetate and terpinene-4-ol. The chemical composition of EOLS has been investigated in various Mediterranean countries (Algeria, Greece, France, Tunisia, Italy, and Turkey), with varying results (Table 3).
Table 3.
Major chemical compounds EOLS from different regions.
The aromatic compounds of lavender identified in this analysis were both comparable and divergent to those recorded in previous research [18,19,20,21,22,23,24,25,26,27,28,29,30]. For example, our findings are consistent with those of Chebil et al. [40], who found that linalool and linalyl acetate were the most abundant oxygenated terpenes in Tunisian EO. In contrast, a comprehensive review of Indian EOLS revealed that camphor, fenchone, and eucalyptol (1,8-cineol) were the key chemical compounds [41]. Ristorcelli et al. [26] identified the chemical composition of 50 samples of EOLS from different places of Corsica during the flowering stage; they discovered significant differences in the major components: fenchone, 15–75%; camphor, 2–56%; and 1,8-cineol, 1–8%. Nonetheless, the EOLS collected from a different Turkish area [34] tended to be of a peculiar chemotype distinguished by the existence of menthone (12.6%), menthol (18.1%), and pulegone (40.2%).
As previously mentioned, variations in the chemical composition of EOs presented in several reports and publications are most likely due to differences in distillation operational conditions as well as the chemical components of lavender, which are affected by plant types and varieties, phenological transformations, storage, extraction methods, climatic and growth conditions, and harvesting time [11,16,42].
Granger et al. [43] studied eight samples of EOLS from different areas (Southern France, Corsica, Spain, and Turkey). All EOs were characterized by the importance of camphor and/or fenchone, which represented 74−98% of the EO, with one or the other ketone predominant.
The comparison of EO chemical composition among the analyzed Lavandula species indicated that numerous components such as carvacrol, thymol, limonene, farnesene and thymol methyl ether, were restricted to Lavandula multifidi and L. coronopifolia. Additionally, all major L. stoechas constituents (fenchone, comphor and lavandulyl acetate) and a number of minor ones (eucalyptol, borneol, bornyl acetate, myrtenyl acetate, and cadalene) were absent in L. coronopifolia and L. multifida. This chemical difference across species implies that the concentration of organic compounds may be useful in assessing chemotaxonomy. The chemical compositions of lavender essential oils vary greatly due to environmental factors such as latitude, atmospheric pressure, relative humidity, and precipitation, which influence the relative chemical substances in the oil based on how, where, and when the plant was grown and collected [44,45]. The percentage of linalool, the oil’s main chemical component, has been observed to be altered significantly in response to fluctuations in various environmental conditions. For illustration, scientists found one population of lavender cultivated in North Greece with linalool percentages fluctuating from 48.71% to 35.1% over a few weeks due to temperature changes and the duration since the most recent precipitation.
3.2. In Vivo Pharmacological Evaluation of Wound Healing Effect
3.2.1. Effect of Lavender Essential Oil on Percent Wound Contraction and Area
The use of EOs in skincare is rapidly expanding around the globe. Due to the extreme renewed interest in phytochemicals such as EOs, it is important to understand their potential in wound healing for application areas in human wellbeing and health. On days 0, 4, 8, 11, and 16, the wound area (mm2) was determined and analyzed in all animal types (Figure 3). When compared to the control group, animals treated with EOLS cream formulation (0.5%, w/w) had a smaller wound area.
Figure 3.
Effect of EOLS cream formulation treatment on wound area (mm2) in rats. * significant difference; ns: not significant.
Figure 4 illustrates the wound-healing development as a result of wound contraction. When EOLS topical emulsion was applied to rats, the percent wound contraction rate improved when compared to control group animals (Figure 5). In the excision wound model, the EOLS formulation cream was shown to have therapeutic potential, while the vehicle group had no substantial wound healing activity. On days 4, 11, and 16, wound contractions were 26.4%, 78%, and 96.3% for the EOLS-treated group, and 8.5%, 64.1%, and 86.1% for the vehicle cream-treated group.
Figure 4.
Effect of EOLS cream formulation treatment on rate of wound contraction in rats.
Figure 5.
Photographs of rats (dorsal region) showing various phases of wound healing. (A): EOLS cream formulation (0.5% w/w); (B): positive control (Madecassol® cream 1%); (C): vehicle.
3.2.2. Histological Examination
Histopathology was performed on skin samples. Histological analyses supported the findings of the excision experimental study. Representative photomicrographs (Figure 6) stained with H&E were also used to demonstrate the wound healing phase. Among the experimental classes, different stages of wound healing processes were studied. Among the experimental groups, wound healing stages (inflammation, proliferation, and remodeling) were observed and documented (Table 4). Wound healing processes were delayed in the negative control group, while quicker remodeling was found in the test groups in different degrees.


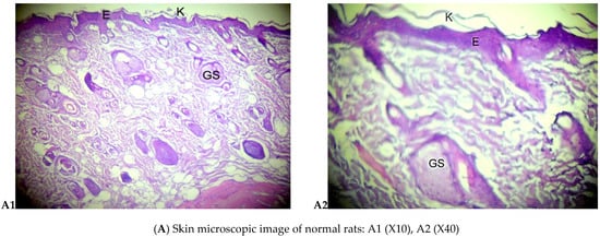
Figure 6.
Photomicrographs of sections of skin from rats stained with H&E. Skin microscopic image of (A) normal rat, (B) wound control rat, (C) positive control rat, and (D,E) EOLS topical cream formulation-treated rat.
Table 4.
Wound healing processes and healing phases of the vehicle, EOLS cream, and Madecassol® administered to rats.
Various steps in wound healing processes were observed during the experimental period, including inflammation, regeneration, and remodeling. In the negative control group, there were delays in wound repair processes, as well as inflammation, monocyte cells, and cellular necrosis (Figure 6B). Histological analysis of this group revealed macrophage aggregation with poor collagenation. The dermis had a high number of fibroblasts, while the control had less new blood vessel formations. Accumulation of collagen, connective tissues, and blood vessels with epidermal covering at the wound margin was observed in the EOLS topical cream formulation-treated group (Figure 6D,E). Treatment with this EOLS cream formulation resulted in reduced inflammation, enhanced tissue perfusion and regeneration, remodeling, and re-epithelization. In the EOLS cream formulation-treated animals, there were less macrophage and more collagen fibers, with less scar formation. Ben Djemaa et al. [13] demonstrated that the topical application of Lavandula aspic volatile oil raises the amount of epithelial cells and has a great influence on the closure of the wound.
Our data indicate that EOLS topical cream formulation could aid in the rapid healing of acute and chronic wounds by preserving the injury site from infections, inhibiting inflammatory cells, and forming connective tissue in the healed tissue (Table 5). This research will add scientific proof to the folkloric use of the Lavendula genus in tissue regeneration. Plant-derived EOs, such as Lavendula, are being used in the treatment of inflammation and burns [10]. Lavender oil, in particular, has a long history of use in wound repair. It has been stated that lavender EOs have a wide range of pharmacological properties that could be beneficial in the wound healing process [46,47,48]. Antimicrobial agents play a vital part in tissue regeneration. They function as a shield against microbial attacks and protect the injured area from a variety of infections. The wound healing activity of the LSEO could be also attributed to their antimicrobial effects.
Table 5.
The effects of different species of lavender essential oil on wound healing treatment.
Hartman and Coetzee [58] studied the impact of a combined effect of lavender and chamomile EOs (6% combined dose) on severe wound healing. The authors chose lavender EO for its documented skin-regenerative, antimicrobial, and anti-inflammatory characteristics, and they included chamomile EO for its observed anti-inflammatory and sedative attributes. The research included eight patients with chronic ulcers that had been present for three or more months, five of whom were allowed to treat with the EO blend and three of whom were treated with standard approaches such as Granulex or a boric acid and hydrogen peroxide regimen. Scientists concluded that the wounds treated with the EOs were more rapidly cured by the completion of the study (with a total healing time of 420 days off), with four of five wounds treated with essential oils.
An earlier randomized control experiment on 120 women found that lavender EO substantially decreased pain after episiotomy and erythema of incision sites when compared to a control [48]. Another randomized clinical experiment for episiotomy recently found comparable effects, with a substantial reduction in REEDA (redness, edema, ecchymosis, discharge, and approximation) levels and visual analogue scale score for pain when compared to control [59]. Both clinical investigations indicate that lavender EO has a therapeutic effect on wound healing. Moreover, in both an experimental animal model and a human investigation, topical therapy with lavender EO on aphthous ulceration resulted in a considerable ulcer size decrease as compared to the control [60]. Furthermore, there has been research [61] evaluating the mechanism of action of lavender EO on the wound healing process in an experimental animal model. This study found that topical application of lavender EO accelerated wound closure compared to a control group, which was followed by transcriptional activation of PDGF-A and EGF, which are growth factors that play key roles in the wound recovery process such as tissue repair and regeneration [61]. These clinical investigations and animal studies clearly demonstrate that lavender oil has wound healing properties.
Sheikhan et al. [62] conducted a clinical trial in an Iranian hospital, which supports these findings. At five days post-episiotomy, researchers discovered that the group of women treated with 0.96% lavender EO had significantly lower pain intensity and REEDA scores (p < 0.001 and p < 0.001, respectively) than those treated with betadine. Harpreet et al. [63] tried to compare the recovery of episiotomy wounds in postnatal mothers treated with lavender EO versus betadine. Using the REEDA scale as a comparison, scientists discovered that lavender EO was more efficient in wound healing for the first three days (p = 0.035), but by day five (p < 0.05), both treatments were equally effective.
Moreover, it has previously been suggested that Lavandula EO may enhance faster wound healing, related to its potential to influence extracellular matrix caused by platelet-derived growth factors (PDGFs) and re-epithelialization produced by epidermal growth factors (EGFs) [45]. Our findings are also consistent with those reported by Ben Djemaa et al. [13], who revealed a significant decrease in wound area after using a cream carrying Lavandula EO; the authors hypothesize that this result could be linked to the EO’s antibacterial, antifungal, and anti-inflammatory properties, which are attributed to the presence of oxygenated monoterpenes.
A previous research published in the journal Evidence-Based Complementary and Alternative Medicine examined the efficacy of various wound healing treatments. Transcutaneous electrical nerve stimulation (TENS), lavender EO, saline solution and povidone-iodine were all tested on an experimental animal model. The TENS and lavender EO groups repaired wounds quicker than the control groups. These data imply that lavender has wound-healing booster activity [64].
Han et al. [65] assessed the biological effects of EOs on human dermal fibroblast cells that had been exposed to simulated chronic inflammation. Inflammatory molecular stimuli such as Il-1b, TNF-α and IFNγ were used to induce inflammation. A commercial blend of lavender, frankincense, sandalwood, myrrh, Helichrysum, and rose EOs was tested. The researchers found that all of the EOs tested had a significant anti-proliferative effect on fibroblast cells (p < 0.01). Furthermore, lavender EO was one of the few oils that inhibited collagen III (a major component of granulation tissue), plasminogen activator inhibitor (PAI-1) (a protein that tends to cause reduced extracellular matrix degradation), and tissue remodeling-related proteins.
4. Conclusions
Taken together, our results provide evidence for EOLS’s in vivo wound-healing capabilities, implying its use as a bioactive compound in the pharmaceutical and cosmetic industry sectors. Nevertheless, additional research and studies are needed to explore its health benefit on other dimensions of tissue regeneration, such as cytokine production or tissue remodeling at the cellular level, as well as to elucidate and describe the precise mechanism of its pharmacological effect.
Author Contributions
Conceptualization, M.N.B.; data curation, M.N.B.; formal analysis, M.N.B., H.C., F.O.; investigation, M.N.B., A.H., F.B., F.O., and Y.H.; methodology, M.N.B., H.C., F.O.; resources, M.N.B., F.O., H.C.; supervision, M.N.B., H.C., F.O.; validation, M.N.B., F.O.; visualization, F.O., M.N.B., and H.C.; writing—original draft, M.N.B.; writing—review and editing, M.N.B. All authors have read and agreed to the published version of the manuscript.
Funding
This investigation did not receive any particular grant from funding agencies in the commercial, public, or not-for-profit sectors.
Institutional Review Board Statement
The animal study was carried out in compliance with the Algerian Executive Directive (18 March 2004, N° 10–90 JORA) and accordance also to the Law No. 88-08 of 26 January 1988 relating to veterinary medicine activities and the protection of animal health (N° JORA: 004 of 27-01-1988).
Informed Consent Statement
Not applicable.
Data Availability Statement
Not applicable.
Acknowledgments
The author would like to thank the “Laboratoire National de Contrôle des Produits Pharmaceutiques” (Algiers) and the “Laboratoire Anatomie Pathologique (CHU Beni Messous, Algiers, Algeria)” for their technical support and assistance.
Conflicts of Interest
The authors declare no conflict of interest.
Abbreviations
| ANOVA | Analysis of variance |
| EGF | Epidermal growth factor |
| EO | Essential oil |
| EOLS | Lavandula stoechas essential oil |
| GC-MS | Gas chromatography-mass spectrometry |
| H&E | Hematoxylin and eosin |
| HD | Hydrodistillation |
| hMDM | human Monocyte-derived macrophage |
| IFNγ | Interferon gamma |
| IL-6 | Interleukin-6 |
| LNCPP | Laboratoire National de Contrôle des Produits Pharmaceutiques |
| LPS | Lipopolysaccharide |
| MDA | Malondialdehyde |
| NIST | National Institute of Standards and Technology |
| NPs | Nanoparticles |
| PAI-1 | Plasminogen activator inhibitor |
| PDGF-A | Platelet-derived growth factor subunit A |
| REEDA | Redness, edema, ecchymosis, discharge, and approximation scale |
| RT | Retention times |
| SSD | Silver sulfadiazine |
| TENS | Transcutaneous electrical nerve stimulation |
| TGF-β | Transforming growth factor-β |
| TNF-α | Tumor necrosis factor alpha |
| UVB | Ultraviolet radiation |
| VEGF | Vascular endothelial growth factor |
References
- Suleyman, H.; Demircan, B.; Karagoz, Y. Anti-inflammatory and side effects of cyclo-oxygenase inhibitors. Pharmacol. Rep. 2007, 59, 247. [Google Scholar]
- Bakkali, F.; Averbeck, S.; Averbeck, D.; Idaomar, M. Biological effects of essential oils—A review. Food Chem. Toxicol. 2008, 46, 446–475. [Google Scholar] [CrossRef]
- Edris, A.E. Pharmaceutical and therapeutic potentials of essential oils and their individual volatile constituents: A review. Phytother. Res. 2007, 21, 308–323. [Google Scholar] [CrossRef]
- Lang, G.; Buchbauer, G. A review on recent research results (2008–2010) on essential oils as antimicrobials and antifungals. A review. Flav. Fragr. J. 2012, 27, 13–39. [Google Scholar] [CrossRef]
- Langeveld, W.T.; Veldhuizen, E.J.; Burt, S.A. Synergy between essential oil components and antibiotics: A review. Crit. Rev. Microbiol. 2014, 40, 76–94. [Google Scholar] [CrossRef]
- Raut, J.S.; Karuppayil, S.M. A status review on the medicinal properties of essential oils. Ind. Crops Prod. 2014, 62, 250–264. [Google Scholar] [CrossRef]
- De Oliveira, M.L.M.; Bezerra, B.M.O.; Leite, L.O.; Girão, V.C.C.; Nunes-Pinheiro, D.C.S. Topical continuous use of Lippia sidoides Cham. essential oil induces cutaneous inflammatory response, but does not delay wound healing process. J. Ethnopharmacol. 2014, 153, 283–289. [Google Scholar] [CrossRef]
- Maver, T.; Maver, U.; Stana Kleinschek, K.; Smrke, D.M.; Kreft, S. A review of herbal medicines in wound healing. Int. J. Dermatol. 2015, 54, 740–751. [Google Scholar] [CrossRef]
- Keskin, I.; Gunal, Y.; Ayla, S.; Kolbasi, B.; Sakul, A.; Kilic, U.; Ozbek, H. Effects of Foeniculum vulgare essential oil compounds, fenchone and limonene, on experimental wound healing. Biotech. Histochem. 2017, 92, 274–282. [Google Scholar] [CrossRef]
- Lis-Balchin, M. Lavender: The Genus Lavandula; CRC Press: London, UK, 2003. [Google Scholar]
- Benabdelkader, T. Biodiversité, Bioactivité et Biosynthèse des Composés Terpéniques Volatils des Lavandes Ailées, Lavandula Stoechas Sensu Lato, un Complexe D’espèces Méditerranéennes D’intérêt Pharmacologique. Ph.D. Thesis, Filière de Biologie, Université Jean Monnet-Saint-Etienne (France) en co-tutelle avec l’Ecole Normale Supérieure de Kouba, Algiers, Algeria, 2012. [Google Scholar]
- Cavanagh, H.M.A.; Wilkinson, J.M. Biological activities of lavender essential oil. Phytother. Res. 2002, 16, 301–308. [Google Scholar] [CrossRef]
- Ben Djemaa, F.G.B.; Bellassoued, K.; Zouari, S.; El Feki, A.; Ammar, E. Antioxidant and wound healing activity of Lavandula aspic L. ointment. J. Tissue Viab. 2016, 25, 193–200. [Google Scholar] [CrossRef]
- Rahmati, B.; Kiasalari, Z.; Roghani, M.; Khalili, M.; Ansari, F. Antidepressant and anxiolytic activity of Lavandula officinalis aerial parts hydroalcoholic extract in scopolamine-treated rats. Pharm. Biol. 2017, 55, 958–965. [Google Scholar] [CrossRef] [Green Version]
- Rafiee, M.; Kiani, Z.; Moezi, S.A.; Rad, G.H.M. The Effects of Lavender, Valerian, and Oxazepam on anxiety among hospitalized patients with coronary artery disease. Modern. Care J. 2018, 15, e68390. [Google Scholar] [CrossRef]
- Miraj, S. Lavandula stoechas L: A systematic review of medicinal and molecular perspectives. Der. Pharma. Lett. 2016, 8, 56–58. [Google Scholar]
- Süntar, I.; Tumen, I.; Ustün, O.; Keleş, H.; Akkol, E.K. Appraisal on the wound healing and anti-inflammatory activities of the essential oils obtained from the cones and needles of Pinus species by in vivo and in vitro experimental models. J. Ethnopharmacol. 2012, 139, 533–540. [Google Scholar] [CrossRef]
- Dob, T.; Dahmane, D.; Agli, M.; Chelghoum, C. Essential oil composition of Lavandula stoechas from Algeria. Pharm. Biol. 2006, 44, 60–64. [Google Scholar] [CrossRef]
- Baali, F.; Boumerfeg, S.; Napoli, E.; Boudjelal, A.; Righi, N.; Deghima, A.; Ruberto, G. Chemical Composition and Biological Activities of Essential Oils from Two Wild Algerian Medicinal Plants: Mentha pulegium L. and Lavandula stoechas L. J. Essent. Oil Bear. Plants 2019, 22, 821–837. [Google Scholar] [CrossRef]
- Boukhatem, M.N.; Sudha, T.; Darwish, N.H.; Chader, H.; Belkadi, A.; Rajabi, M.; Mousa, S.A. A New Eucalyptol-Rich Lavender (Lavandula stoechas L.) Essential Oil: Emerging Potential for Therapy against Inflammation and Cancer. Molecules 2020, 25, 3671. [Google Scholar] [CrossRef]
- Yakoubi, R.; Megateli, S.; Sadok, T.H.; Bensouici, C.; Bağci, E. A synergistic interactions of Algerian essential oils of Laurus nobilis L., Lavandula stoechas L. and Mentha pulegium L. on anticholinesterase and antioxidant activities. Biocatal. Agric. Biotechnol. 2021, 31, 101891. [Google Scholar] [CrossRef]
- Loukhaoukha, R.; Saidi, F.; Jullien, F.; Benabdelkader, T. Chemical Composition and Antibacterial Activity of Lavandula Stoechas Essential Oil and Its Main Components against Erwinia Amylovora and Pectobacterium Carotovorum Subsp. Carotovorum. Phytothérapie 2018, 16, 149–157. [Google Scholar] [CrossRef]
- Barkat, M.; Laib, I. Antioxidant activity of the essential oil from the flowers of Lavandula stoechas. J. Pharmacogn. Phytother. 2012, 4, 96–101. [Google Scholar]
- Kokkalou, E. The constituents of the essential oil from Lavandula stoechas growing wild in Greece. Planta Med. 1988, 54, 58–59. [Google Scholar] [CrossRef] [PubMed]
- Skoula, M.; Abidi, C.; Kokkalou, E. Essential oil variation of Lavandula stoechas L. ssp. stoechas growing wild in Crete (Greece). Biochem. Syst. Ecol. 1996, 24, 255–260. [Google Scholar] [CrossRef]
- Ristorcelli, D.; Tomi, F.; Casanova, J. 13C-NMR as a tool for identification and enantiomeric differentiation of major terpenes exemplified by the essential oil of Lavandula stoechas L. ssp. stoechas. Flav. Fragr. J. 1997, 13, 154–158. [Google Scholar] [CrossRef]
- Zuzarte, M.; Gonçalves, M.J.; Cavaleiro, C.; Cruz, M.T.; Benzarti, A.; Marongiu, B.; Salgueiro, L. Antifungal and anti-inflammatory potential of Lavandula stoechas and Thymus herba-barona essential oils. Ind. Crops Prod. 2013, 44, 97–103. [Google Scholar] [CrossRef]
- Domingues, J.; Delgado, F.; Gonçalves, J.C.; Pintado, C.S. Essential Oils of Lavandula stoechas subsp. luisieri as Antifungal Agent against Fungi from Strawberry Tree Fruit. J. Pharm. Pharmacol. 2021, 9, 98–106. [Google Scholar]
- Messaoud, C.; Chograni, H.; Boussaid, M. Chemical composition and antioxidant activities of essential oils and methanol extracts of three wild Lavandula L. species. Nat. Prod. Res. 2012, 26, 1976–1984. [Google Scholar] [CrossRef]
- Msaada, K.; Salem, N.; Tammar, S.; Hammami, M.; Jamal Saharkhiz, M.; Debiche, N.; Marzouk, B. Essential oil composition of Lavandula dentata, L. stoechas and L. multifida cultivated in Tunisia. J. Essent. Oil Res. Bear. Plants 2012, 15, 1030–1039. [Google Scholar] [CrossRef]
- Akgün, N.A.; Akgün, M.; Dinçer, S.; Akgerman, A. Supercritical fluid extraction of Lavandula stoechas L. ssp. cariensis (Boiss.) Rozeira. J. Essent. Oil Res. 2001, 13, 143–148. [Google Scholar] [CrossRef]
- Giray, E.S.; Kırıcı, S.; Kaya, D.A.; Türk, M.; Sönmez, Ö.; Inan, M. Comparing the effect of sub-critical water extraction with conventional extraction methods on the chemical composition of Lavandula stoechas. Talanta 2008, 74, 930–935. [Google Scholar] [CrossRef]
- Kırmızıbekmez, H.; Demirci, B.; Yeşilada, E.; Başer, K.H.C.; Demirci, F. Chemical composition and antimicrobial activity of the essential oils of Lavandula stoechas L. ssp. stoechas growing wild in Turkey. Nat. Prod. Commun. 2009, 4, 1934578X0900400727. [Google Scholar]
- Gören, A.C.; Topçu, G.; Bilsel, G.; Bilsel, M.; Aydoğmusç, Z.; Pezzuto, J.M. The chemical constituents and biological activity of essential oil of Lavandula stoechas ssp. stoechas. Z. Nat. C 2002, 57, 797–800. [Google Scholar] [CrossRef] [PubMed]
- Bozkurt, İ.A.; Soylu, S.; Kara, M.; Soylu, E.M. Chemical composition and antibacterial activity of essential oils isolated from medicinal plants against gall forming plant pathogenic bacterial disease agents. Kahramanmaraş Sütçü İmam Üniversitesi Tarım ve Doğa Derg. 2020, 23, 1474–1482. [Google Scholar]
- Karan, T. Metabolic profile and biological activities of Lavandula stoechas L. Cell. Mol. Biol. 2018, 64, 1–7. [Google Scholar] [CrossRef]
- Cherrat, L.; Espina, L.; Bakkali, M.; Pagán, R.; Laglaoui, A. Chemical composition, antioxidant and antimicrobial properties of Mentha pulegium, Lavandula stoechas and Satureja calamintha Scheele essential oils and an evaluation of their bactericidal effect in combined processes. Innov. Food Sci. Emerg. Technol. 2014, 22, 221–229. [Google Scholar] [CrossRef]
- Khavarpour, M.; Vahdat, S.M.; Moghadamnia, A.A.; Hasanzadeh, O.; Salimi, Z.; Rahmanpour, N. Chemical composition, antibacterial and analgesic activity of Lavandula stoechas flowers from north of Iran. Int. J. Eng. 2019, 32, 1065–1073. [Google Scholar]
- Asghari, J.; Sadani, S.; Ghaemi, E.; Mazaheri Tehrani, M. Investigation of composition and antimicrobial properties of Lavandula stoechas essential oil using disk diffusion and broth microdilution. Med. Lab. J. 2016, 10, 53–58. [Google Scholar] [CrossRef] [Green Version]
- Chebil, B.; Achouri, M.; Idrissi Hassani, L.M.; Hmamouchi, M. Chemical composition and antifungal activity of essential oils of seven Moroccan Labiatae against Botrytis cinerea Pers: Fr. J. Ethnopharmacol. 2003, 89, 165–169. [Google Scholar]
- Vokou, D.; Chalkos, D.; Karamanlidou, G.; Yiangou, M. Activation of soil respiration and shift of the microbial population balance in soil as a response to Lavandula stoechas essential oil. J. Chem. Ecol. 2002, 28, 755–768. [Google Scholar] [CrossRef]
- Danh, L.T.; Triet, N.D.A.; Zhao, J.; Mammucari, R.; Foster, N. Comparison of chemical composition, antioxidant and antimicrobial activity of lavender (Lavandula angustifolia L.) essential oils extracted by supercritical CO2, hexane and hydrodistillation. Food Bioproc. Technol. 2013, 6, 3481–3489. [Google Scholar] [CrossRef]
- Granger, R.; Passet, J.; Teulade-Arbousset, G. A propos d’une labiée cosmopolite: LaVandula stoechas L. Trav. Soc. Pharm. Montp. 1973, 33, 335–360. [Google Scholar]
- Demasi, S.; Caser, M.; Lonati, M.; Cioni, P.L.; Pistelli, L.; Najar, B.; Scariot, V. Latitude and altitude influence secondary metabolite production in peripheral alpine populations of the Mediterranean species Lavandula angustifolia Mill. Front. Plant Sci. 2018, 9, 983. [Google Scholar] [CrossRef] [Green Version]
- Hassiotis, C.N.; Ntana, F.; Lazari, D.M.; Poulios, S.; Vlachonasios, K.E. Environmental and developmental factors affect essential oil production and quality of Lavandula angustifolia during flowering period. Ind. Crops Prod. 2014, 62, 359–366. [Google Scholar] [CrossRef]
- Baali, F.; Boumerfeg, S.; Boudjelal, A.; Denaro, M.; Ginestra, G.; Baghiani, A.; Trombetta, D. Wound-healing activity of Algerian Lavandula stoechas and Mentha pulegium extracts: From traditional use to scientific validation. Plant Biosyst. 2021, 1–20. [Google Scholar] [CrossRef]
- Lusby, P.E.; Coombes, A.L.; Wilkinson, J.M. A comparison of wound healing following treatment with Lavandula x allardii honey or essential oil. Phytother. Res. 2006, 20, 755–757. [Google Scholar] [CrossRef] [PubMed]
- Vakilian, K.; Atarha, M.; Bekhradi, R.; Chaman, R. Healing advantages of lavender essential oil during episiotomy recovery: A clinical trial. Complement. Ther. Clin. Pract. 2011, 17, 50–53. [Google Scholar] [CrossRef]
- Kazemi, M.; Mohammadifar, M.; Aghadavoud, E.; Vakili, Z.; Aarabi, M.H.; Talaei, S.A. Deep skin wound healing potential of lavender essential oil and licorice extract in a nanoemulsion form: Biochemical, histopathological and gene expression evidences. J. Tissue Viability 2020, 29, 116–124. [Google Scholar] [CrossRef]
- Carbone, C.; Caddeo, C.; Grimaudo, M.A.; Manno, D.E.; Serra, A.; Musumeci, T. Ferulic Acid-NLC with Lavandula essential oil: A possible strategy for wound-healing? Nanomaterials 2020, 10, 898. [Google Scholar] [CrossRef] [PubMed]
- Sofi, H.S.; Akram, T.; Tamboli, A.H.; Majeed, A.; Shabir, N.; Sheikh, F.A. Novel lavender oil and silver nanoparticles simultaneously loaded onto polyurethane nanofibers for wound-healing applications. Int. J. Pharm. 2019, 569, 118590. [Google Scholar] [CrossRef] [PubMed]
- Mori, H.M.; Kawanami, H.; Kawahata, H.; Aoki, M. Wound healing potential of lavender oil by acceleration of granulation and wound contraction through induction of TGF-β in a rat model. BMC Complement. Altern. Med. 2016, 16, 1–11. [Google Scholar] [CrossRef] [Green Version]
- Momtaz, S.; Abdolghaffari, A.; Jasemi, E.; Yaghoobvand, B.; Esmaeilzadeh, S.; Abdollahi, A.; Abdollahi, M. Evaluation of wound healing and anti-inflammatory activities of a herbal ointment consisting of Althaea officinalis, Lavandula angustifolia, and Rosa x damascena in animal excision wound model. J. Med. Plants 2020, 20, 37–49. [Google Scholar]
- Addis, R.; Cruciani, S.; Santaniello, S.; Bellu, E.; Sarais, G.; Ventura, C.; Pintore, G. Fibroblast proliferation and migration in wound healing by phytochemicals: Evidence for a novel synergic outcome. Int. J. Med. Sci. 2020, 17, 1030. [Google Scholar] [CrossRef] [Green Version]
- Hajiali, H.; Summa, M.; Russo, D.; Armirotti, A.; Brunetti, V.; Bertorelli, R.; Mele, E. Alginate–lavender nanofibers with antibacterial and anti-inflammatory activity to effectively promote burn healing. J. Mater. Chem. B 2016, 4, 1686–1695. [Google Scholar] [CrossRef] [Green Version]
- Miastkowska, M.; Kantyka, T.; Bielecka, E.; Kałucka, U.; Kamińska, M.; Kucharska, M.; Cudzik, K. Enhanced Biological Activity of a Novel Preparation of Lavandula angustifolia Essential Oil. Molecules 2021, 26, 2458. [Google Scholar] [CrossRef] [PubMed]
- Panahi, Y.; Beiraghdar, F.; Akbari, H.; Bekhradi, H.; Taghizadeh, M.; Sahebkar, A. A herbal cream consisting of Aloe vera, Lavandula stoechas, and Pelargonium roseum as an alternative for silver sulfadiazine in burn management. Asian Biomed. 2012, 6, 273–278. [Google Scholar]
- Hartman, D.; Coetzee, J.C. Two US practitioners’ experience of using essential oils for wound care. J. Wound Care 2002, 11, 317–320. [Google Scholar] [CrossRef] [PubMed]
- Marzouk, T.; Barakat, R.; Ragab, A.; Badria, F.; Badawy, A. Lavender-thymol as a new topical aromatherapy preparation for episiotomy: A randomised clinical trial. J. Obstet. Gynaecol. 2015, 35, 472–475. [Google Scholar] [CrossRef] [PubMed]
- Altaei, D.T. Topical lavender oil for the treatment of recurrent aphthous ulceration. Am. J. Dent. 2012, 25, 39–43. [Google Scholar] [PubMed]
- Koca Kutlu, A.; Çeçen, D.; Gürgen, S.G.; Sayın, O.; Çetin, F. A comparison study of growth factor expression following treatment with transcutaneous electrical nerve stimulation, saline solution, povidone-iodine, and lavender oil in wounds healing. Evid. Based Complement. Alternat. Med. 2013. [Google Scholar] [CrossRef]
- Sheikhan, F.; Jahdi, F.; Khoei, E.M.; Shamsalizadeh, N.; Sheikhan, M.; Haghani, H. Episiotomy pain relief: Use of Lavender oil essence in primiparous Iranian women. Complement. Ther. Clin. Pract. 2012, 18, 66–70. [Google Scholar] [CrossRef]
- Harpreet, K.; Monika, K.B. A study to assess the effectiveness of lavender oil versus povidine iodine on healing of episiotomy wound among postnatal mothers. Indian J. Public Health Res. Dev. 2016, 7, 3. [Google Scholar]
- Martins, S.; Sarmento, B.; Ferreira, D.C.; Souto, E.B. Lipid-based colloidal carriers for peptide and protein delivery—Liposomes versus lipid nanoparticles. Int. J. Nanomed. 2007, 2, 595–607. [Google Scholar]
- Han, X.; Beaumont, C.; Stevens, N. Chemical composition analysis and in vitro biological activities of ten essential oils in human skin cells. Biochim. Open 2017, 5, 1–7. [Google Scholar] [CrossRef] [PubMed]
Publisher’s Note: MDPI stays neutral with regard to jurisdictional claims in published maps and institutional affiliations. |
© 2021 by the authors. Licensee MDPI, Basel, Switzerland. This article is an open access article distributed under the terms and conditions of the Creative Commons Attribution (CC BY) license (https://creativecommons.org/licenses/by/4.0/).







