Growth Retardation in an Adolescent Secondary to Cushing’s Disease Caused by a Pituitary Microadenoma: A Case Report
Abstract
1. Introduction and Clinical Significance
2. Case Presentation
2.1. Patient Information
2.2. Clinical Findings
2.3. Timeline
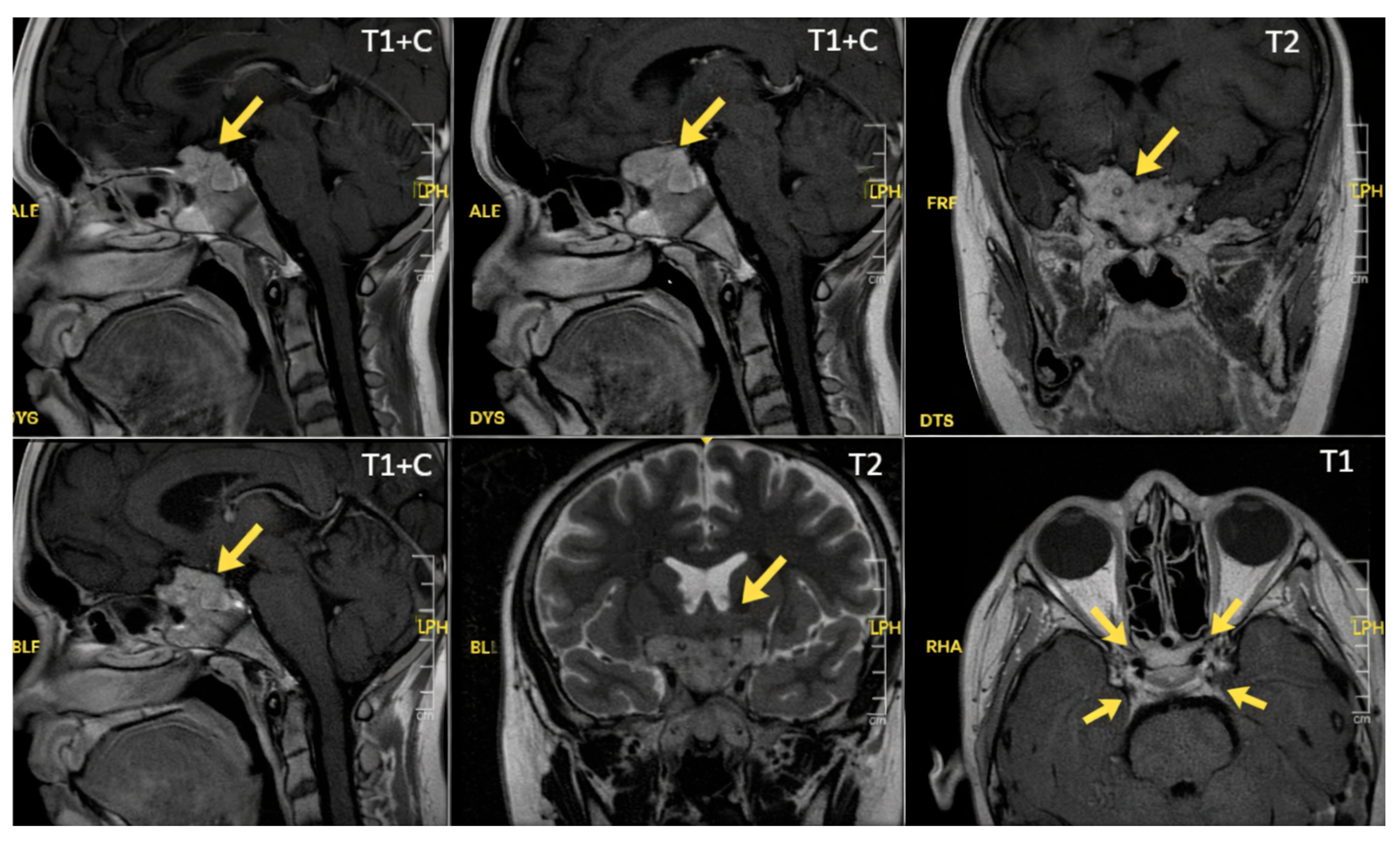
2.4. Follow-Up and Outcomes
3. Discussion
Patient Perspective
4. Conclusions
Author Contributions
Funding
Institutional Review Board Statement
Informed Consent Statement
Data Availability Statement
Acknowledgments
Conflicts of Interest
Abbreviations
| ACTH | Adrenocorticotropic hormone |
| ALT (GPT) | Alanine aminotransferase |
| AST (GOT) | Aspartate aminotransferase |
| BA | Bone age |
| BMI | Body mass index |
| BP | Bayley–Pinneau |
| BUN | Blood urea nitrogen |
| CA | Chronological age |
| CDI | Central diabetes insipidus |
| DST | Dexamethasone suppression test |
| EETS | Endoscopic endonasal transsphenoidal surgery |
| FT4 | Free thyroxine |
| FSH | Follicle-stimulating hormone |
| GH | Growth hormone |
| GP | Greulich and Pyle |
| IGF–1 | Insulin-like growth factor 1 |
| IGFBP–3 | Insulin-like growth factor binding protein 3 |
| IPSS | Inferior petrosal sinus sampling |
| LH | Luteinizing hormone |
| PAH | Predicted adult height |
| RBC | Red blood cells |
| TSH | Thyroid-stimulating hormone |
| UFC | Urinary free cortisol |
| WBCs | White blood cells |
References
- Concepción-Zavaleta, M.J.; Armas, C.D.; Quiroz-Aldave, J.E.; García-Villasante, E.J.; Gariza-Solano, A.C.; Durand-Vásquez, M.D.C.; Concepción-Urteaga, L.A.; Zavaleta-Gutiérrez, F.E. Cushing disease in pediatrics: An update. Ann. Pediatr. Endocrinol. Metab. 2023, 28, 87–97. [Google Scholar] [CrossRef]
- Fassnacht, M.; Tsagarakis, S.; Terzolo, M.; Tabarin, A.; Sahdev, A.; Newell-Price, J.; Pelsma, I.; Marina, L.; Lorenz, K.; Bancos, I.; et al. European Society of Endocrinology Clinical Practice Guidelines on the Management of Adrenal Incidentalomas, in Collaboration with the European Network for the Study of Adrenal Tumors. Eur. J. Endocrinol. 2023, 189, G1–G42. [Google Scholar] [CrossRef] [PubMed]
- Lodish, M.B.; Keil, M.F.; Stratakis, C.A. Cushing’s syndrome in pediatrics: An update. Endocrinol. Metab. Clin. N. Am. 2018, 47, 451–462. [Google Scholar] [CrossRef] [PubMed]
- Chioma, L.; Patti, G.; Cappa, M.; Maghnie, M. Cushing syndrome in paediatric population: Who and how to screen. J. Endocrinol. Investig. 2025, 48, 7–19. [Google Scholar] [CrossRef]
- Joshi, K.; Taliou, A.; Stratakis, C.A. Diagnostic and management challenges in paediatric Cushing’s syndrome. Clin. Endocrinol. 2024, 101, 631–639. [Google Scholar] [CrossRef]
- Tatsi, C.; Kamilaris, C.; Keil, M.; Saidkhodjaeva, L.; Faucz, F.R.; Chittiboina, P.; Stratakis, C.A. Paediatric Cushing syndrome: A prospective, multisite, observational cohort study. Lancet Child Adolesc. Health 2024, 8, 51–62. [Google Scholar] [CrossRef]
- Storr, H.L.; Savage, M.O. Management of endocrine disease: Paediatric Cushing’s disease. Eur. J. Endocrinol. 2015, 173, R35–R45. [Google Scholar] [CrossRef]
- Reincke, M.; Ritzel, K.; Oßwald, A.; Berr, C.; Stalla, G.; Hallfeldt, K.; Reisch, N.; Schopohl, J.; Beuschlein, F. A critical reappraisal of bilateral adrenalectomy for ACTH–dependent Cushing’s syndrome. Eur. J. Endocrinol. 2015, 173, M23–M32. [Google Scholar] [CrossRef]
- Oßwald, A.; Plomer, E.; Dimopoulou, C.; Milian, M.; Blaser, R.; Ritzel, K.; Mickisch, A.; Knerr, F.; Stanojevic, M.; Hallfeldt, K.; et al. Favorable long–term outcomes of bilateral adrenalectomy in Cushing’s disease. Eur. J. Endocrinol. 2014, 171, 209–215. [Google Scholar] [CrossRef]
- Pivonello, R.; De Leo, M.; Cozzolino, A.; Colao, A. The treatment of Cushing’s disease. Endocr. Rev. 2015, 36, 385–486. [Google Scholar] [CrossRef]
- Ragnarsson, O.; Olsson, D.S.; Papakokkinou, E.; Chantzichristos, D.; Dahlqvist, P.; Segerstedt, E.; Olsson, T.; Petersson, M.; Berinder, K.; Bensing, S.; et al. Overall mortality and cardiovascular morbidity in Cushing’s disease: A population–based study. J. Clin. Endocrinol. Metab. 2019, 104, 2375–2384. [Google Scholar] [CrossRef]
- Martín Pérez, S.E.; Martín Pérez, I.M.; Vega González, J.M.; Molina Suárez, R.; León Hernández, C.; Rodríguez Hernández, F.; Herrera Perez, M. Precision and accuracy of radiological bone age assessment in children among different ethnic groups: A systematic review. Diagnostics 2023, 13, 3124. [Google Scholar] [CrossRef] [PubMed]
- Savage, M.O.; Ferrigno, R. Paediatric Cushing’s disease: Long-term outcome and predictors of recurrence. Front. Endocrinol. 2024, 15, 1345174. [Google Scholar] [CrossRef] [PubMed]
- Ferrigno, R.; Hasenmajer, V.; Caiulo, S.; Minnetti, M.; Mazzotta, P.; Storr, H.L.; Isidori, A.M.; Grossman, A.B.; De Martino, M.C.; Savage, M.O. Paediatric Cushing’s Disease: Epidemiology, Pathogenesis, Clinical Management and Outcome. Rev. Endocr. Metab. Disord. 2021, 22, 817–835. [Google Scholar] [CrossRef]
- Sharifi, G.; Paraandavaji, E.; Nasab, M.M.M.; Mohammadi, E.; Sadeghi, N.; Tavangar, S.M.; Tehrani, M.R.M.; Dilmaghani, N.A. Clinical and Surgical Outcomes of Pediatric Cushing’s Disease Following Endoscopic Transsphenoidal Surgery. Childs Nerv. Syst. 2025, 41, 130. [Google Scholar] [CrossRef]
- Saldarriaga, C.; Lyssikatos, C.; Belyavskaya, E.; Keil, M.; Chittiboina, P.; Sinaii, N.; Stratakis, C.A.; Lodish, M. Postoperative Diabetes Insipidus and Hyponatremia in Children after Transsphenoidal Surgery for Adrenocorticotropin Hormone and Growth Hormone Secreting Adenomas. J. Pediatr. 2018, 195, 169–174.e1. [Google Scholar] [CrossRef] [PubMed]
- Łupińska, A.; Aszkiełowicz, S.; Zieliński, G.; Stawerska, R.; Lewiński, A. Osteoporosis as the First Sign of Cushing’s Disease in a Thin 16–Year–Old Boy—A Case Report. J. Clin. Med. 2023, 12, 5967. [Google Scholar] [CrossRef]
- Pivonello, R.; Isidori, A.M.; De Martino, M.C.; Newell-Price, J.; Biller, B.M.K.; Colao, A. Complications of Cushing’s syndrome: State of the art. Lancet Diabetes Endocrinol. 2016, 4, 611–629. [Google Scholar] [CrossRef]
- Nieman, L.K.; Biller, B.M.K.; Findling, J.W.; Newell-Price, J.; Savage, M.O.; Stewart, P.M.; Montori, V.M. The diagnosis of Cushing’s syndrome: An Endocrine Society Clinical Practice Guideline. J. Clin. Endocrinol. Metab. 2008, 93, 1526–1540. [Google Scholar] [CrossRef]
- Grober, Y.; Grober, H.; Wintermark, M.; Jane, J.A., Jr.; Oldfield, E.H. Comparison of MRI techniques for detecting microadenomas in Cushing’s disease. J. Neurosurg. 2018, 128, 1051–1057. [Google Scholar] [CrossRef]
- Devoe, D.J.; Miller, W.L.; Conte, F.A.; Kaplan, S.L.; Grumbach, M.M.; Rosenthal, S.M.; Wilson, C.B.; Gitelman, S.E. Long–term outcome in children and adolescents after transsphenoidal surgery for Cushing’s disease. J. Clin. Endocrinol. Metab. 1997, 82, 3196–3202. [Google Scholar] [CrossRef] [PubMed]
- Gazioglu, N.; Canaz, H.; Camlar, M.; Tanrıöver, N.; Kocer, N.; Islak, C.; Evliyaoglu, O.; Ercan, O. Neurosurgical treatment of Cushing disease in pediatric patients: Case series and review of literature. Child’s Nerv. Syst. 2019, 35, 2127–2132. [Google Scholar] [CrossRef]
- Wang, Z.; Zhong, X.; Yu, J.; Li, H.; Zheng, J. Ectopic adrenocortical adenoma characterized by hypogonadism: A case report and review of the literature. J. Med. Case Rep. 2024, 18, 276. [Google Scholar] [CrossRef]
- Elenius, H.; Nieman, L.K. Recognition and management of ectopic ACTH-secreting tumors. J. Endocr. Soc. 2025, 9, bvae194. [Google Scholar] [CrossRef]
- Stratakis, C.A. Diagnosis and clinical genetics of Cushing syndrome in pediatrics. Endocrinol. Metab. Clin. N. Am. 2016, 45, 311–328. [Google Scholar] [CrossRef]
- Plachy, L.; Petruzelkova, L.; Dusatkova, P.; Maratova, K.; Zemkova, D.; Elblova, L.; Neuman, V.; Kolouskova, S.; Obermannova, B.; Snajderova, M.; et al. Analysis of children with familial short stature: Who should be indicated for genetic testing? Endocr. Connect. 2023, 12, e230238. [Google Scholar] [CrossRef]
- Barba Ostria, C.; Yakar, S. The growth plate: Zonal architecture, plasticity, and endocrine control of linear growth. Growth Horm. IGF Res. 2026, 83, 101679. [Google Scholar] [CrossRef] [PubMed]
- Dixit, M.; Poudel, S.B.; Yakar, S. Effects of GH/IGF axis on bone and cartilage. Mol. Cell. Endocrinol. 2021, 519, 111052. [Google Scholar] [CrossRef]
- Blum, W.F.; Alherbish, A.; Alsagheir, A.; El Awwa, A.; Kaplan, W.; Koledova, E.; Savage, M.O. The growth hormone–insulin-like growth factor-I axis in the diagnosis and treatment of growth disorders. Endocr. Connect. 2018, 7, R212–R222. [Google Scholar] [CrossRef]
- Martín Pérez, S.E. Evaluación Radiológica de la Maduración Ósea en la Población Infantil Canaria: Análisis Mediante Radiografías Digitales de Carpo y Muñeca en Niños y Niñas de 0 a 18 Años. Ph.D. Thesis, University of La Laguna, San Cristóbal de La Laguna, Spain, 2025. [Google Scholar]
- Martín Pérez, I.M. Evaluación Radiológica de la Maduración Ósea en Adolescentes y Adultos Jóvenes Varones Migrantes de Origen Subsahariano: Análisis Mediante Radiografías Digitales de Carpo, Muñeca y Ortopantomografías en Individuos de 15 a 20 Años. Ph.D. Thesis, University of La Laguna, San Cristóbal de La Laguna, Spain, 2025. [Google Scholar]
- Martín Pérez, I.M.; Bourhim, S.; Martín Pérez, S.E. Artificial Intelligence-Based Models for Automated Bone Age Assessment from Posteroanterior Wrist X-Rays: A Systematic Review. Appl. Sci. 2025, 15, 5978. [Google Scholar] [CrossRef]
- Korbonits, M.; Blair, J.C.; Boguslawska, A.; Ayuk, J.; Davies, J.H.; Druce, M.R.; Evanson, J.; Flanagan, D.; Glynn, N.; Higham, C.E.; et al. Consensus guideline for the diagnosis and management of pituitary adenomas in childhood and adolescence: Part 2, specific diseases. Nat. Rev. Endocrinol. 2024, 20, 290–309. [Google Scholar] [CrossRef]
- Guarnotta, V.; Emanuele, F.; Salzillo, R.; Giordano, C. Adrenal Cushing’s syndrome in children. Front. Endocrinol. 2023, 14, 1329082. [Google Scholar] [CrossRef]
- Detomas, M.; Ritzel, K.; Nasi-Kordhishti, I.; Schernthaner-Reiter, M.H.; Losa, M.; Tröger, V.; Altieri, B.; Kroiss, M.; Kickuth, R.; Fassnacht, M.; et al. Bilateral inferior petrosal sinus sampling with human CRH stimulation in ACTH-dependent Cushing’s syndrome: Results from a retrospective multicenter study. Eur. J. Endocrinol. 2023, 188, lvad050. [Google Scholar] [CrossRef]
- Virú-Loza, M.A.; Quispe, A.V. Diagnostic power of bilateral inferior petrosal sinus sampling with desmopressin in paediatric Cushing’s disease. J. Clin. Res. Pediatr. Endocrinol. 2022, 14, 334–338. [Google Scholar] [CrossRef]
- Savas, M.; Mehta, S.; Agrawal, N.; van Rossum, E.F.C.; Feelders, R.A. Approach to the Patient: Diagnosis of Cushing Syndrome. J. Clin. Endocrinol. Metab. 2022, 107, 3162–3174. [Google Scholar] [CrossRef]
- González Fernández, L.; Añez Ramos, R.J.; Rivas Montenegro, A.M.; Brox Torrecilla, N.; Miguélez González, M.; Muñoz Moreno, D.; Goñi, J.A.; Weber, B.; Guerra, A.L.; Ishishi, Y.L.O.; et al. Inferior petrosal sinus sampling and stimulation with CRH: 15 years of experience in a tertiary hospital. Endocrinol. Diabetes Nutr. 2021, 68, 381–388. [Google Scholar] [CrossRef]
- Wang, B.; Zhang, H.; Su, T.; Ren, J.; Sun, Q.; Sun, Y.; Bian, L. The neurosurgical outcome of pediatric Cushing’s disease in a single center from China: A 20-year experience. Front. Endocrinol. 2025, 16, 1663624. [Google Scholar] [CrossRef]
- Fountas, A.; Coulden, A.; Fernández-García, S.; Tsermoulas, G.; Allotey, J.; Karavitaki, N. Central diabetes insipidus (vasopressin deficiency) after surgery for pituitary tumours: A systematic review and meta-analysis. Eur. J. Endocrinol. 2024, 191, S1–S13. [Google Scholar] [CrossRef]
- Güemes, M.; Murray, P.G.; Brain, C.E.; Spoudeas, H.A.; Peters, C.J.; Hindmarsh, P.C.; Dattani, M.T. Management of Cushing syndrome in children and adolescents: Experience of a single tertiary centre. Eur. J. Pediatr. 2016, 175, 967–976. [Google Scholar] [CrossRef] [PubMed]
- Yordanova, G.; Martin, L.; Afshar, F.; Sabin, I.; Plowman, N.P.; Alusi, G.; Riddoch, F.; Evanson, J.; Matson, M.; Grossman, A.B.; et al. Long-term outcomes of children treated for Cushing’s disease: A single-center experience. Pituitary 2016, 19, 612–624. [Google Scholar] [CrossRef]
- Martín Pérez, I.M.; Martín Pérez, S.E.; Bourhim, S. Auxology in Transition: From Anthropometric Growth Assessment to Algorithmic Evaluation of Skeletal Maturation in Contemporary Clinical Practice. Encyclopedia 2026, 6, 31. [Google Scholar] [CrossRef]
- Keil, M.F.; Kang, J.Y.; Liu, A.; Wiggs, E.A.; Merke, D.; Stratakis, C.A. Younger age and early puberty are associated with cognitive function decline in children with Cushing disease. Clin. Endocrinol. 2022, 96, 569–577. [Google Scholar] [CrossRef] [PubMed]
- Santos, A.; Resmini, E.; Martínez-Momblán, M.A.; Valassi, E.; Martel, L.; Webb, S.M. Quality of life in patients with Cushing’s disease. Front. Endocrinol. 2019, 10, 862. [Google Scholar] [CrossRef]

| Parameter | Results |
|---|---|
| Sex | Male |
| Age | 13.7 years |
| Clinical presentation | Progressive growth failure, reduced growth velocity, and weight gain |
| Symptom duration | 12–24 months |
| Height status | 5th percentile (below mid-parental target) |
| Mid-parental height | 177.5 cm (51st percentile) |
| Birth and development | Term birth, appropriate for gestational age, normal neurodevelopment |
| Pubertal onset | Physiological onset at 11 years |
| Medical history | No relevant personal or family history |
| Endocrine risk factors | No known factors affecting HPA axis |
| System | Parameter | Result | Interpretation |
|---|---|---|---|
| Anthropometric | Weight | 52.4 (SDS −0.24) kg, p41 | Normal |
| Height | 148.6 (SDS −1.68) cm, p5 | ↓ Reduced for age | |
| BMI | 23.73 (SDS +0.82) kg/m2, p75 | Normal–high | |
| Growth velocity | 0.8 (SDS −8.07) cm/year, p < 1 | ↓ Severely reduced | |
| Skeletal maturation | Chronological age | 13 years and 2 months | |
| Bone age (G&P Atlas) | 11 years and 6 months | ↓ Delayed | |
| Predicted adult height (B&P method) | 178.6 cm | Within expectation | |
| Hematology | Hemoglobin | 14.2 g/dL (13.0–17.0 g/dL) | Normal |
| Hematocrit | 42% (39–50%) | Normal | |
| RBC | 4.9 × 106/µL (4.5–5.9 × 106/µL) | Normal | |
| WBC | 6.8 × 103/µL (4.0–10.0 × 103/µL) | Normal | |
| Platelets | 278 × 103/µL (150–400 × 103/µL) | Normal | |
| Metabolic panel | Glucose | 96 mg/dL (70–99 mg/dL) | Normal |
| BUN | 18 mg/dL (7–20 mg/dL) | Normal | |
| Creatinine | 0.8 mg/dL (0.6–1.2 mg/dL) | Normal | |
| Sodium | 141 mmol/L (135–145 mmol/L) | Normal | |
| Potassium | 4.2 mmol/L (3.5–5.1 mmol/L) | Normal | |
| Chloride | 103 mmol/L (98–107 mmol/L) | Normal | |
| Total calcium | 9.4 mg/dL (8.6–10.2 mg/dL) | Normal | |
| GOT | 28 U/L (<40 U/L) | Normal | |
| GPT | 31 U/L (<41 U/L) | Normal | |
| Alkaline phosphatase | 312 U/L (130–525 U/L) | Normal | |
| Total bilirubin | 0.7 mg/dL (0.3–1.2 mg/dL) | Normal | |
| Total protein | 7.2 g/dL (6.0–8.3 g/dL) | Normal | |
| Albumin | 4.4 g/dL (3.5–5.0 g/dL) | Normal | |
| Thyroid axis | TSH | 2.1 mIU/L (0.5–4.5 mIU/L) | Normal |
| FT4 | 1.2 ng/dL (0.8–1.8 ng/dL) | Normal | |
| GH–IGF axis | IGF–1 | 491.10 ng/mL (202–957 ng/mL) | Normal |
| IGFBP–3 | 2.19 µg/mL (1.73–5.11 µg/mL) | Normal | |
| Gonadal axis | FSH | 4.22 mIU/mL (5–10 mIU/mL) | Consistent with puberty |
| LH | 0.63 mIU/mL | Early pubertal range | |
| Total testosterone | 1.83 ng/mL | Pubertal | |
| Adrenal axis | Serum cortisol | 16.8 µg/dL (5–25 µg/dL) | Normal (non-suppressed) |
| ACTH | 21.9 pg/mL (10–60 pg/mL) | Normal | |
| UFC 1 (24 h) | 348.8 µg/24 h (235.6 µg/m2/24 h) | ↑ Markedly elevated | |
| UFC 2 (24 h) | 1255.3 µg/24 h (845.47 µg/m2/24 h) | ↑↑ Markedly elevated | |
| UFC 3 (24 h) | 575.64 µg/24 h (319 µg/m2/24 h) | ↑ Markedly elevated | |
| Dynamic Test | Low-dose DST (1 mg) | Basal: 16.8 µg/dL (5–18 µg/dL) Post: 1.86 µg/dL % Suppression: 88.9% (<1.8 µg/dL) | Borderline suppression |
| High-dose DST (8 mg) | Basal: 16.9 µg/dL (5–18 µg/dL) Post: 1.12 µg/dL % Suppression: 93.4% (≥50% reduction) | Appropriate suppression (pituitary pattern) | |
| Gastroenterology | Celiac disease screening | Negative | Normal |
| Age | Event | Clinical Significance |
|---|---|---|
| 11 yrs. | Pubertal onset | Early pubertal activation suspected |
| 12–13 yrs. | Growth deceleration & weight gain | Possible endocrine dysfunction |
| 13.7 yrs. | Endocrine evaluation & diagnosis | Hormonal assessment confirms pathology |
| 13.8 yrs. | Transsphenoidal surgery | Surgical intervention for pituitary lesion |
| >10 months | Catch-up growth | Recovery of growth velocity post-treatment |
| 18 yrs. | Final adult height | Definitive height outcome assessment |
Disclaimer/Publisher’s Note: The statements, opinions and data contained in all publications are solely those of the individual author(s) and contributor(s) and not of MDPI and/or the editor(s). MDPI and/or the editor(s) disclaim responsibility for any injury to people or property resulting from any ideas, methods, instructions or products referred to in the content. |
© 2026 by the authors. Licensee MDPI, Basel, Switzerland. This article is an open access article distributed under the terms and conditions of the Creative Commons Attribution (CC BY) license.
Share and Cite
Ontoria Betancort, M.C.; García de Pablo, I.; Díaz Martín, C.; Martín Pérez, S.E.; Martín Pérez, I.M. Growth Retardation in an Adolescent Secondary to Cushing’s Disease Caused by a Pituitary Microadenoma: A Case Report. Reports 2026, 9, 70. https://doi.org/10.3390/reports9010070
Ontoria Betancort MC, García de Pablo I, Díaz Martín C, Martín Pérez SE, Martín Pérez IM. Growth Retardation in an Adolescent Secondary to Cushing’s Disease Caused by a Pituitary Microadenoma: A Case Report. Reports. 2026; 9(1):70. https://doi.org/10.3390/reports9010070
Chicago/Turabian StyleOntoria Betancort, María Cristina, Inés García de Pablo, Cristina Díaz Martín, Sebastián Eustaquio Martín Pérez, and Isidro Miguel Martín Pérez. 2026. "Growth Retardation in an Adolescent Secondary to Cushing’s Disease Caused by a Pituitary Microadenoma: A Case Report" Reports 9, no. 1: 70. https://doi.org/10.3390/reports9010070
APA StyleOntoria Betancort, M. C., García de Pablo, I., Díaz Martín, C., Martín Pérez, S. E., & Martín Pérez, I. M. (2026). Growth Retardation in an Adolescent Secondary to Cushing’s Disease Caused by a Pituitary Microadenoma: A Case Report. Reports, 9(1), 70. https://doi.org/10.3390/reports9010070

