Mantle Cell Lymphoma with Persistent Massive Pleural Effusions Requiring Invasive Mechanical Ventilation and Bilateral Continuous Thoracic Drainage
Abstract
1. Introduction and Clinical Significance
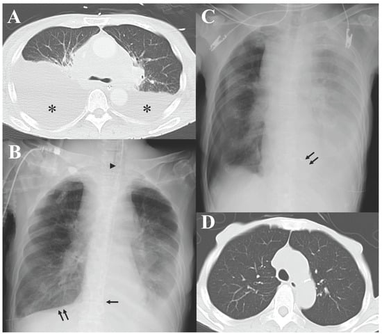
2. Case Presentation
3. Discussion
4. Conclusions
Author Contributions
Funding
Institutional Review Board Statement
Informed Consent Statement
Data Availability Statement
Conflicts of Interest
Abbreviations
| MCL | Mantle cell lymphoma |
| R-CHOP | Rituximab, cyclophosphamide, doxorubicin, vincristine, and prednisone |
| BR | Bendamustine and rituximab |
| CT | Computed tomography |
References
- López, C.; Silkenstedt, E.; Dreyling, M.; Beà, S. Biological and clinical determinants shaping heterogeneity in mantle cell lymphoma. Blood Adv. 2024, 8, 3652–3664. [Google Scholar] [CrossRef] [PubMed] [PubMed Central]
- Campo, E.; Jaffe, E.S.; Cook, J.R.; Quintanilla-Martinez, L.; Swerdlow, S.H.; Anderson, K.C.; Brousset, P.; Cerroni, L.; de Leval, L.; Dirnhofer, S.; et al. The International Consensus Classification of Mature Lymphoid Neoplasms: A report from the Clinical Advisory Committee. Blood 2022, 140, 1229–1253, Erratum in Blood 2023, 141, 437. https://doi.org/10.1182/blood.2022019016. [Google Scholar] [CrossRef] [PubMed] [PubMed Central]
- Silkenstedt, E.; Dreyling, M. Mantle cell lymphoma-Update on molecular biology, prognostication and treatment approaches. Hematol. Oncol. 2023, 41, 36–42. [Google Scholar] [CrossRef] [PubMed]
- Jerkeman, M.; Aurer, I.; Campo, E.; Cheah, C.Y.; Clark, J.; Doorduijn, J.; Eyre, T.A.; Fehr, M.; Giné, E.; Gomes da Silva, M.; et al. EHA-EU MCL network guidelines for diagnosis and treatment of mantle cell lymphoma. HemaSphere 2025, 9, e70233. [Google Scholar] [CrossRef] [PubMed] [PubMed Central]
- Romaguera, J.E.; Medeiros, L.J.; Hagemeister, F.B.; Fayad, L.E.; Rodriguez, M.A.; Pro, B.; Younes, A.; McLaughlin, P.; Goy, A.; Sarris, A.H.; et al. Frequency of gastrointestinal involvement and its clinical significance in mantle cell lymphoma. Cancer 2003, 97, 586–591, Erratum in Cancer 2003, 97, 3131. [Google Scholar] [CrossRef] [PubMed]
- Argatoff, L.H.; Connors, J.M.; Klasa, R.J.; Horsman, D.E.; Gascoyne, R.D. Mantle cell lymphoma: A clinicopathologic study of 80 cases. Blood 1997, 89, 2067–2078. [Google Scholar] [CrossRef] [PubMed]
- Baheti, A.D.; Tirumani, S.H.; Sewatkar, R.; Sachin, S.S.; Shinagare, A.B.; Ramaiya, N.H. MDCT of extranodal mantle cell lymphoma: A single institute experience. Abdom. Imaging 2015, 40, 1693–1699. [Google Scholar] [CrossRef] [PubMed]
- Vega, F.; Padula, A.; Valbuena, J.R.; Stancu, M.; Jones, D.; Medeiros, L.J. Lymphomas involving the pleura: A clinicopathologic study of 34 cases diagnosed by pleural biopsy. Arch. Pathol. Lab. Med. 2006, 130, 1497–1502. [Google Scholar] [CrossRef] [PubMed]
- Jain, P.; Wang, M. Mantle cell lymphoma: 2019 update on the diagnosis, pathogenesis, prognostication, and management. Am. J. Hematol. 2019, 94, 710–725. [Google Scholar] [CrossRef] [PubMed]
- Nadeu, F.; Martin-Garcia, D.; Clot, G.; Díaz-Navarro, A.; Duran-Ferrer, M.; Navarro, A.; Vilarrasa-Blasi, R.; Kulis, M.; Royo, R.; Gutiérrez-Abril, J.; et al. Genomic and epigenomic insights into the origin, pathogenesis, and clinical behavior of mantle cell lymphoma subtypes. Blood 2020, 136, 1419–1432. [Google Scholar] [CrossRef] [PubMed] [PubMed Central]
- Hoster, E.; Dreyling, M.; Klapper, W.; Gisselbrecht, C.; van Hoof, A.; Kluin-Nelemans, H.C.; Pfreundschuh, M.; Reiser, M.; Metzner, B.; Einsele, H.; et al. A new prognostic index (MIPI) for patients with advanced-stage mantle cell lymphoma. Blood 2008, 111, 558–565, Erratum in Blood 2008, 111, 5761. [Google Scholar] [CrossRef]
- Hoster, E.; Rosenwald, A.; Berger, F.; Bernd, H.W.; Hartmann, S.; Loddenkemper, C.; Barth, T.F.; Brousse, N.; Pileri, S.; Rymkiewicz, G.; et al. Prognostic Value of Ki-67 Index, Cytology, and Growth Pattern in Mantle-Cell Lymphoma: Results From Randomized Trials of the European Mantle Cell Lymphoma Network. J. Clin. Oncol. 2016, 34, 1386–1394. [Google Scholar] [CrossRef] [PubMed]
- Flinn, I.W.; van der Jagt, R.; Kahl, B.; Wood, P.; Hawkins, T.; MacDonald, D.; Simpson, D.; Kolibaba, K.; Issa, S.; Chang, J.; et al. First-Line Treatment of Patients With Indolent Non-Hodgkin Lymphoma or Mantle-Cell Lymphoma With Bendamustine Plus Rituximab Versus R-CHOP or R-CVP: Results of the BRIGHT 5-Year Follow-Up Study. J. Clin. Oncol. 2019, 37, 984–991. [Google Scholar] [CrossRef] [PubMed] [PubMed Central]
- Wang, M.L.; Jurczak, W.; Jerkeman, M.; Trotman, J.; Zinzani, P.L.; Belada, D.; Boccomini, C.; Flinn, I.W.; Giri, P.; Goy, A.; et al. Ibrutinib plus Bendamustine and Rituximab in Untreated Mantle-Cell Lymphoma. N. Engl. J. Med. 2022, 386, 2482–2494. [Google Scholar] [CrossRef] [PubMed]
- Desai, R.; Khazey, K.; Sandhu, H.; Makar, P.; Randhawa, N.; Khalyfa, A.; Khan, M.; Yarbrough, A.; Spyratos, T. Gastrointestinal Symptom-Free Multiple Lymphomatous Polyposis: An Atypical Case Presentation of Mantle Cell Lymphoma. Case Rep. Gastroenterol. 2024, 18, 313–317. [Google Scholar] [CrossRef] [PubMed] [PubMed Central]
- Obregon, M.; Kohli, A.; Song, M. Mantle Cell Lymphoma Causing Recurrent Pleural Effusions: A Case Report. Cureus 2023, 15, e48945. [Google Scholar] [CrossRef] [PubMed] [PubMed Central]
- Safa, F.; Rasmussen, T.; Lobelle-Rich, P.; Collier, S.; Milligan, N.; Schmeig, J.; Schmid, J.; Wiewiorowski, C.; Totaro, D.; Brown, T.C.; et al. Establishment and characterization of a new mantle cell lymphoma cell line with a NOTCH2 mutation. Arbo. eJHaem 2022, 3, 1326–1329. [Google Scholar] [CrossRef] [PubMed] [PubMed Central]
- Kai, K.; Ryu, Y.; Kamochi, K.; Nishioka, A.; Kubota, Y.; Nakamura, M.; Kimura, S.; Sueoka, E.; Aishima, S. Synchronous mantle cell lymphoma and lung adenocarcinoma presenting in a pleural effusion: A rare tumour combination and a potential pitfall of cytodiagnosis. Cytopathology 2018, 29, 400–402. [Google Scholar] [CrossRef] [PubMed]
- Masha, L.; Zinchuk, A.; Boosalis, V. Synchronous Pulmonary Malignancies: Atypical Presentation of Mantle Cell Lymphoma Masking a Lung Malignancy. Rare Tumors 2015, 7, 114–116. [Google Scholar] [CrossRef] [PubMed] [PubMed Central]
- Keklik, M.; Yildirim, A.; Keklik, E.; Ertan, S.; Deniz, K.; Ozturk, F.; Ileri, I.; Cerci, I.; Camlica, D.; Cetin, M.; et al. Pericardial, pleural and peritoneal involvement in a patient with primary gastric mantle cell lymphoma. Scott. Med. J. 2015, 60, e21–e24. [Google Scholar] [CrossRef] [PubMed]
- Yonal, I.; Ciftcibasi, A.; Gokturk, S.; Yenerel, M.N.; Akyuz, F.; Karaca, C.; Demir, K.; Besisik, F.; Kalayoglu-Besisik, S. Massive ascites as the initial manifestation of mantle cell lymphoma: A challenge for the gastroenterologist. Case Rep. Gastroenterol. 2012, 6, 803–809. [Google Scholar] [CrossRef]
- Anai, S.; Hashisako, M.; Ikegame, S.; Wakamatsu, K.; Nagata, N.; Nakanishi, Y.; Kajiki, A. Mantle cell lymphoma involvement of the pleura and tuberculous pleurisy with pulmonary tuberculosis: A case report and literature review. J. Infect. Chemother. 2012, 18, 258–264. [Google Scholar] [CrossRef]
- Thompson, B.; Gonzalez, M.R. Ninety-seven Years Old Hispanic Male With Mantle Cell Lymphoma. J. Clin. Med. Res. 2010, 2, 243–245. [Google Scholar] [CrossRef] [PubMed] [PubMed Central]
- Cheng, J.; Hashem, M.A.; Barabé, F.; Cloutier, S.; Xi, L.; Raffeld, M.; Pittaluga, S.; Jaffe, E.S. CCND1 Genomic Rearrangement as a Secondary Event in High Grade B-Cell Lymphoma. HemaSphere 2020, 5, e505. [Google Scholar] [CrossRef] [PubMed] [PubMed Central]
- Castillo, D.R.; Park, D.; Jeon, W.J.; Joung, B.; Lee, J.; Yang, C.; Pham, B.; Hino, C.; Chong, E.; Shields, A.; et al. Unveiling the Prognostic Significance of BCL6+/CD10+ Mantle Cell Lymphoma: Meta-Analysis of Individual Patients and Systematic Review. Int. J. Mol. Sci. 2023, 24, 10207. [Google Scholar] [CrossRef] [PubMed] [PubMed Central]
- Loh, Z.; Yeh, P.; Keane, C.; Hawkes, E.A. Advances in biomarkers for mantle cell lymphoma in the era of targeted therapies. Haematologica 2025. ahead of print. [Google Scholar] [CrossRef]
- Das, D.K. Serous effusions in malignant lymphomas: A review. Diagn. Cytopathol. 2006, 34, 335–347. [Google Scholar] [CrossRef] [PubMed]
- Chen, Y.P.; Huang, H.Y.; Lin, K.P.; Medeiros, L.J.; Chen, T.Y.; Chang, K.C. Malignant effusions correlate with poorer prognosis in patients with diffuse large B-cell lymphoma. Am. J. Clin. Pathol. 2015, 143, 707–715. [Google Scholar] [CrossRef]
- Porcel, J.M.; Cuadrat, I.; García-Cerecedo, T.; Pardina, M.; Bielsa, S. Pleural Effusions in Diffuse Large B-Cell Lymphoma: Clinical and Prognostic Significance. Lung 2019, 197, 47–51. [Google Scholar] [CrossRef] [PubMed]
- van Meerten, T.; Kersten, M.J.; Iacoboni, G.; Hess, G.R.; Mutsaers, P.G.N.J.; Martin Garcia-Sancho, A.M.; Goy, A.; Gine, E.; Hill, B.T.; Weng, W.K.; et al. Brexucabtagene autoleucel for BTKi-naive relapsed/refractory mantle cell lymphoma: Primary analysis of ZUMA-2 Cohort 3. Blood 2025. ahead of print. [Google Scholar] [CrossRef] [PubMed]
- Abramson, J.S.; Palomba, M.L.; Gordon, L.I.; Lunning, M.; Wang, M.; Arnason, J.; Purev, E.; Maloney, D.G.; Andreadis, C.; Sehgal, A.; et al. Two-year follow-up of lisocabtagene maraleucel in relapsed or refractory large B-cell lymphoma in TRANSCEND NHL 001. Blood 2024, 143, 404–416. [Google Scholar] [CrossRef] [PubMed]
- Phillips, T.J.; Carlo-Stella, C.; Morschhauser, F.; Bachy, E.; Crump, M.; Trněný, M.; Bartlett, N.L.; Zaucha, J.; Wrobel, T.; Offner, F.; et al. Glofitamab in Relapsed/Refractory Mantle Cell Lymphoma: Results From a Phase I/II Study. J. Clin. Oncol. 2025, 43, 318–328. [Google Scholar] [CrossRef] [PubMed] [PubMed Central]



| Author | Age | Sex | Onset | Laterality | Fluid Type | Interventions | Treatment | Outcome |
|---|---|---|---|---|---|---|---|---|
| Desai [15] | 71 | Female | Pre-treatment | Right | NR | Thoracocentesis | R-cytarabine → BR | Alive |
| Obregon [16] | 73 | Female | Pre-treatment | Left | Exudate | Thoracocentesis | BR | Alive |
| Safa [17] | 69 | Male | Relapse | Left | NR | Thoracocentesis | R-CHOP | Dead |
| Kai [18] | 71 | Male | Pre-treatment | Bilateral | NR | Thoracocentesis | CHOP → BR | Dead |
| Masha [19] | 70 | Male | Pre-treatment | Right | Exudate | Thoracic drainage | R-CHOP | Dead |
| Keklik [20] | 55 | Female | Pre-treatment | Bilateral | Exudate | Thoracocentesis | R-CHOP | Dead |
| Yonal [21] | 75 | Male | Pre-treatment | Bilateral | Exudate | Thoracocentesis | CHOP | Dead |
| Anai [22] | 78 | Female | Refractory | Right | Exudate | Thoracocentesis | Anti-TB | Alive |
| Thompson [23] | 97 | Male | Pre-treatment | Bilateral | NR | Thoracocentesis | BSC | Alive |
Disclaimer/Publisher’s Note: The statements, opinions and data contained in all publications are solely those of the individual author(s) and contributor(s) and not of MDPI and/or the editor(s). MDPI and/or the editor(s) disclaim responsibility for any injury to people or property resulting from any ideas, methods, instructions or products referred to in the content. |
© 2026 by the authors. Licensee MDPI, Basel, Switzerland. This article is an open access article distributed under the terms and conditions of the Creative Commons Attribution (CC BY) license.
Share and Cite
Tokura, T.; Imai, Y.; Sakai, S.; Saga, R.; Hidai, H.; Motomura, S. Mantle Cell Lymphoma with Persistent Massive Pleural Effusions Requiring Invasive Mechanical Ventilation and Bilateral Continuous Thoracic Drainage. Reports 2026, 9, 38. https://doi.org/10.3390/reports9010038
Tokura T, Imai Y, Sakai S, Saga R, Hidai H, Motomura S. Mantle Cell Lymphoma with Persistent Massive Pleural Effusions Requiring Invasive Mechanical Ventilation and Bilateral Continuous Thoracic Drainage. Reports. 2026; 9(1):38. https://doi.org/10.3390/reports9010038
Chicago/Turabian StyleTokura, Taichiro, Youhei Imai, Satoshi Sakai, Reina Saga, Hiroko Hidai, and Sayuri Motomura. 2026. "Mantle Cell Lymphoma with Persistent Massive Pleural Effusions Requiring Invasive Mechanical Ventilation and Bilateral Continuous Thoracic Drainage" Reports 9, no. 1: 38. https://doi.org/10.3390/reports9010038
APA StyleTokura, T., Imai, Y., Sakai, S., Saga, R., Hidai, H., & Motomura, S. (2026). Mantle Cell Lymphoma with Persistent Massive Pleural Effusions Requiring Invasive Mechanical Ventilation and Bilateral Continuous Thoracic Drainage. Reports, 9(1), 38. https://doi.org/10.3390/reports9010038

