Spontaneous Abdominal Wall Hematoma Following Violent Cough: A Rare but Severe Condition—Surgical Challenges and Outcomes Regarding Three Cases and a Literature Review
Abstract
1. Introduction and Clinical Significance
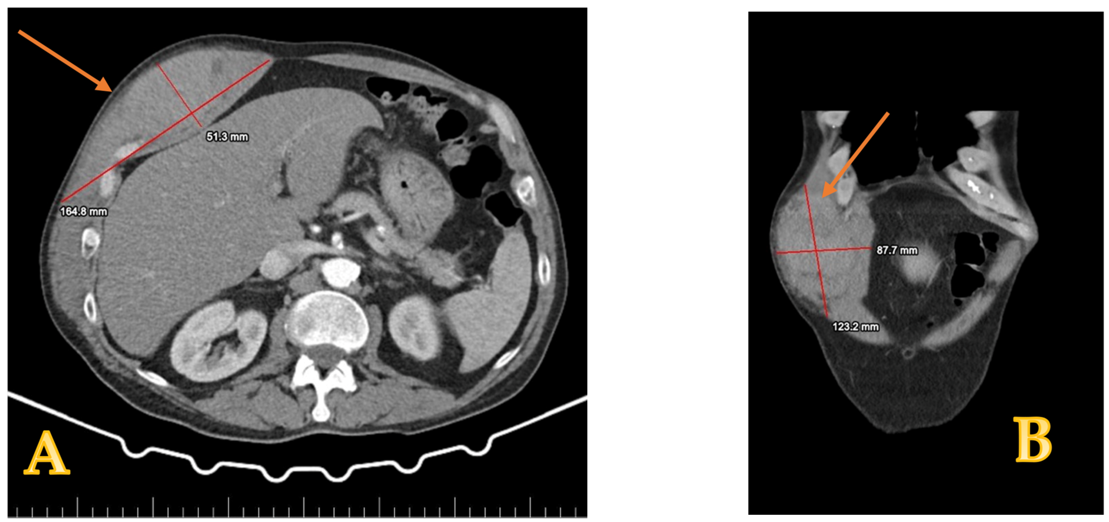
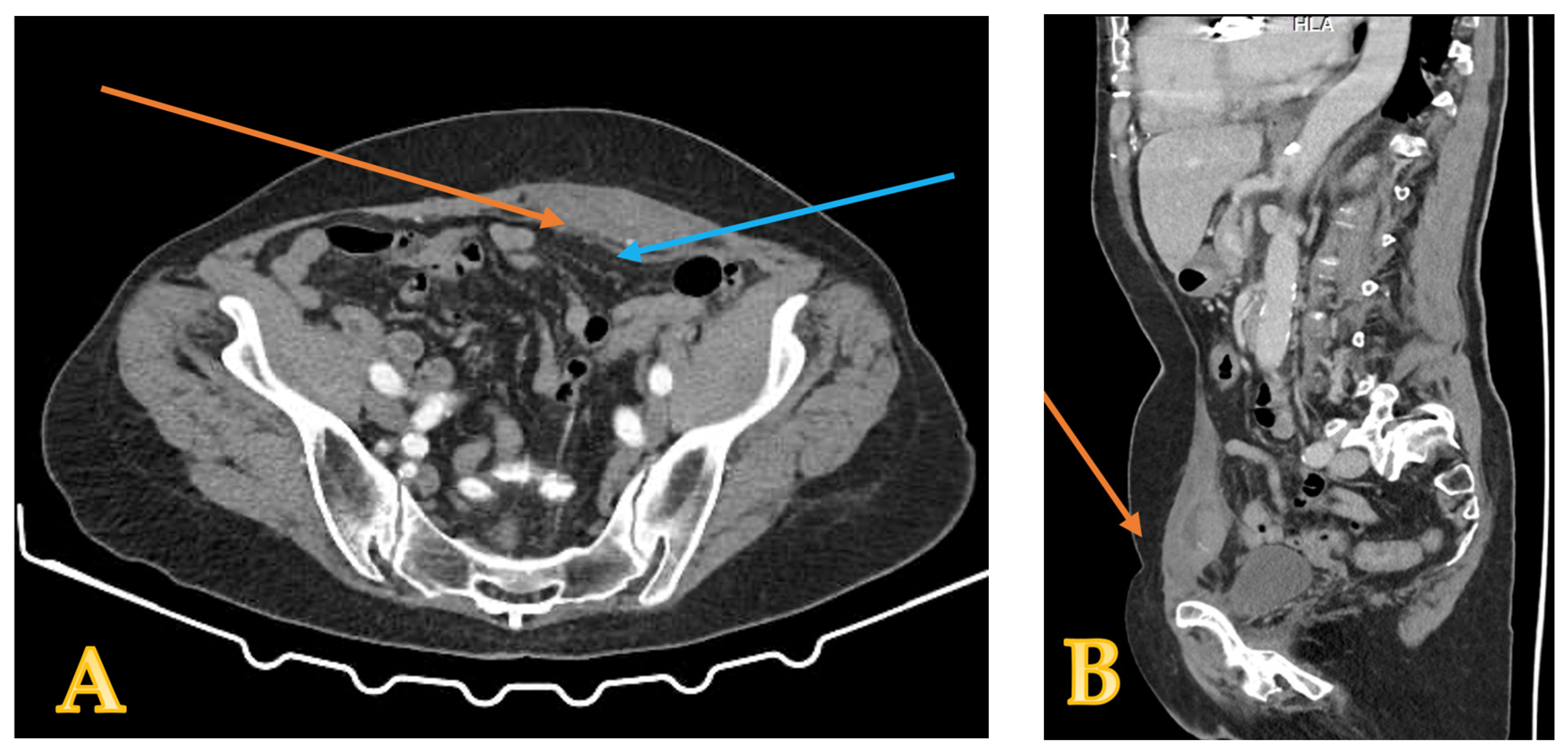
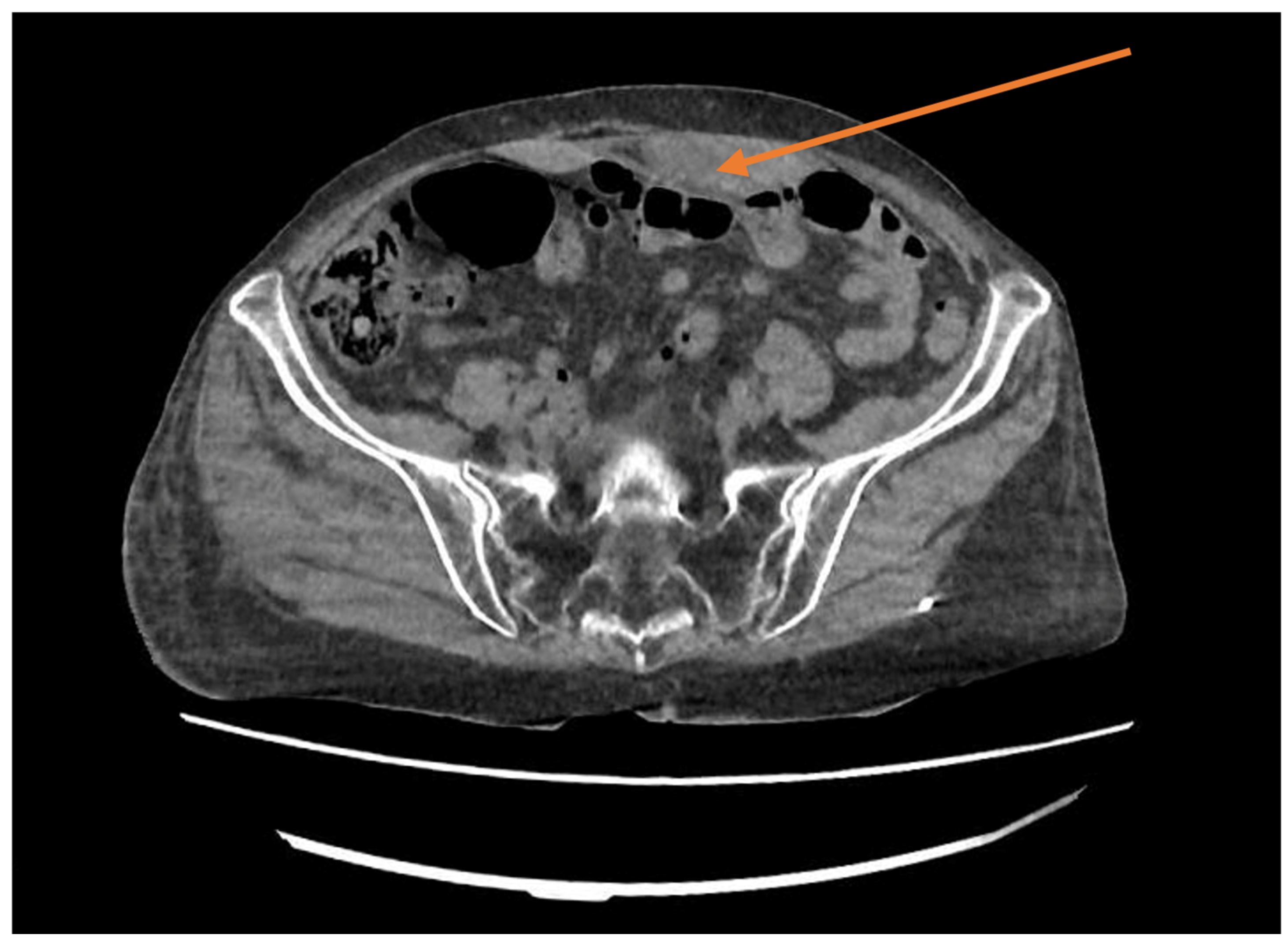
2. Case Presentation
3. Discussion
- Severe cough generates a brutal contraction (over-contraction) of the abdominal wall muscles and consecutive muscular fibers/epigastric vessel rupture, which further leads to accumulation of blood in the rectus sheath, and pain occurs [23,24,25,26,27,28,29]. A similar mechanism may occur in vomiting, twisting, and sneezing.
- Anticoagulant medication is known to play a significant role in developing spontaneous, non-traumatic abdominal wall hematomas, including RSH. By interfering with the body’s natural clotting mechanisms, anticoagulants increase the risk of bleeding, even from minor vessel injury or muscle tears, which otherwise would be self-limited [2,30,31,32]. The mechanism by which anticoagulants contribute to RSH involves the activation of inhibitory pathways in coagulation. When anticoagulant therapy is in place, either prophylactically or therapeutically, it can prevent clot formation even in areas where mild trauma, such as a vigorous cough, leads to vessel injury. The lower coagulability makes anticoagulants the most common iatrogenic cause of such hematomas.
- Coagulopathies and hematological disorders, along with diseases affecting the vessel wall, can increase the susceptibility to conditions like RSH, especially in patients with hypertension, arteriosclerosis, advanced age, obesity, and during pregnancy [29].
- Intramuscular, unilateral, and does not dissect along the fascia planes—mild severity and usually without any hemodynamic disturbance. Commonly do not require hospitalization, but follow-up for eventual recurrence or aggravation is mandatory.
- Intramuscular, more often bilateral, but the blood does not occupy the prevesical space between the transversalis fascia and muscle. These are moderate to severe hematomas, and do require hospitalization, but surgery is not required in most of the cases. Patients who undergo nonoperative management of RSH generally have a favorable evolution but may necessitate a longer hospital stay than operated-on patients.
- Bilateral—these hematomas are generally large and dissect the space between the fascia transversalis and the muscle, occupying the prevesical space and breaking the peritoneum with secondary hemoperitoneum. Such hematomas are almost every time developed in patients undergoing anticoagulant therapy and present with significant hemodynamic disturbance, or even as an acute abdomen [14].
4. Conclusions
Author Contributions
Funding
Institutional Review Board Statement
Informed Consent Statement
Data Availability Statement
Conflicts of Interest
Abbreviations
| LMWH | Low-Molecular-Weight Heparin |
| NOM | Nonoperative management |
| NSAID | Non-Steroidal Anti-Inflammatory drugs |
| RSH | Rectus Sheath Hematoma |
References
- Shikhman, A.; Tuma, F. Abdominal Hematoma. In StatPearls [Internet]; StatPearls Publishing: Treasure Island, FL, USA, 2025. Available online: https://www.ncbi.nlm.nih.gov/books/NBK519551/ (accessed on 1 April 2025).
- Cherry, W.B.; Mueller, P.S. Rectus sheath hematoma: Review of 126 cases at a single institution. Medicine 2006, 85, 105–110. [Google Scholar] [CrossRef] [PubMed]
- Standring, S. Gray’s Anatomy: The Anatomical Basis of Clinical Practice, 40th ed.; Elsevier Churchill Livingstone: Beijing, China, 2008. [Google Scholar]
- Titone, C.; Lipsius, M.; Krakauer, J.S. “Spontaneous” hematoma of the rectus abdominis muscle: Critical review of 50 cases with emphasis on early diagnosis and treatment. Surgery 1972, 72, 568–572. [Google Scholar] [PubMed]
- Jafferbhoy, S.F.; Rustum, Q.; Shiwani, M.H. Abdominal compartment syndrome—A fatal complication from a rectus sheath haematoma. BMJ Case Rep. 2012, 2012, bcr1220115332. [Google Scholar] [CrossRef] [PubMed]
- Chan, Y.C.; Morales, J.P.; Reidy, J.F.; Taylor, P.R. Management of spontaneous and iatrogenic retroperitoneal haemorrhage: Conservative management, endovascular intervention or open surgery? Int. J. Clin. Pract. 2008, 62, 1604–1613. [Google Scholar] [CrossRef]
- van den Heuvel, J.K.; Kena, N.; van Hattum, T.; van Dolder, D.; van Wijnen, M. Evaluation of the analytical and clinical performance of the Micropoint qLabs INR point-of-care system. Thromb. Res. 2019, 176, 104–107. [Google Scholar] [CrossRef]
- Karapolat, B.; Tasdelen, H.A.; Korkmaz, H.A.A. Conservative treatment of spontaneous rectus sheath hematomas: Single center experience and literature review. Emerg. Med. Int. 2019, 2019, 2406873. [Google Scholar] [CrossRef]
- Eckhoff, K.; Wedel, T.; Both, M.; Bas, K.; Maass, N.; Alkatout, I. Spontaneous rectus sheath hematoma in pregnancy and a systematic anatomical workup of rectus sheath hematoma: A case report. J. Med. Case Rep. 2016, 10, 292. [Google Scholar] [CrossRef]
- Tolcher, M.C.; Nitsche, J.F.; Arendt, K.W.; Rose, C.H. Spontaneous rectus sheath hematoma pregnancy: Case report and review of the literature. Obstet. Gynecol. Surv. 2010, 65, 517–522. [Google Scholar] [CrossRef]
- Sufficool, M.M.; Sheikh, I.B.; Shapiro, R.E.; Dueñas-Garcia, O.F. Post-partum rectus sheath hematoma complication: Case report. AME Case Rep. 2021, 5, 16. [Google Scholar] [CrossRef]
- Agrawal, S.; Pandey, Y.; Kumar, I.; Kumar, L. A Tertiary Center Case Series on Postpartum Rectus Sheath Hematoma: An Unveiled Identity. Cureus 2024, 16, e58903. [Google Scholar] [CrossRef]
- Berná, J.D.; Garcia-Medina, V.; Guirao, J.; Garcia-Medina, J. Rectus sheath hematoma: Diagnostic classification by CT. Abdom. Imaging 1996, 21, 62–64. [Google Scholar] [CrossRef] [PubMed]
- Smithson, A.; Ruiz, J.; Perello, R.; Valverde, M.; Ramos, J.; Garzo, L. Diagnostic and management of spontaneous rectus sheath hematoma. Eur. J. Intern. Med. 2013, 24, 579–582. [Google Scholar] [CrossRef] [PubMed]
- Carolina, E.; Kato, T.; Khanh, V.C.; Moriguchi, K.; Yamashita, T.; Takeuchi, K.; Hamada, H.; Ohneda, O. Glucocorticoid impaired the wound healing ability of endothelial progenitor cells by reducing the expression of CXCR4 in the PGE2 pathway. Front. Med. 2018, 5, 276. [Google Scholar] [CrossRef] [PubMed]
- Wang, A.S.; Armstrong, E.J.; Armstrong, A.W. Corticosteroids and wound healing: Clinical considerations in the perioperative period. Am. J. Surg. 2013, 206, 410–417. [Google Scholar] [CrossRef]
- Liu, Z.J.; Velazquez, O.C. Hyperoxia, endothelial progenitor cell mobilization, and diabetic wound healing. Antioxid. Redox Signal. 2008, 10, 1869–1882. [Google Scholar] [CrossRef]
- Wicke, C.; Halliday, B.; Allen, D.; Roche, N.S.; Scheuenstuhl, H.; Spencer, M.M.; Roberts, A.B.; Hunt, T.K. Effects of steroids and retinoids on wound healing. Arch. Surg. 2000, 135, 1265–1270. [Google Scholar] [CrossRef]
- Luo, H.C.; You, C.Y.; Lu, S.W.; Fu, Y.Q. Characteristics of coagulation alteration in patients with COVID-19. Ann. Hematol. 2021, 100, 45–52. [Google Scholar] [CrossRef] [PubMed] [PubMed Central]
- Dennison, J.J.; Carlson, S.; Faehling, S.; Phelan, H.; Tariq, M.; Mubarik, A. Splenic infarction and spontaneous rectus sheath hematomas in COVID-19 patient. Radiol. Case Rep. 2021, 16, 999–1004. [Google Scholar] [CrossRef]
- Nematihonar, B.; Qaderi, S.; Shah, J.; Bagherpour, J.Z. Spontaneous giant rectus sheath hematoma in patients with COVID-19: Two case reports and literature review. Int. J. Emerg. Med. 2021, 14, 40–46. [Google Scholar] [CrossRef]
- Kalayci, T. Rectus sheath hematoma due to Low molecular weight heparin in a COVID-19 patient in Turkey. Cureus 2021, 13, e14870. [Google Scholar] [CrossRef]
- Bakirov, I.; Bakirova, G.; Albalawi, Y. Left inferior epigastric artery injury in COVID-19 patient. Case report and literature review. Int. J. Surg. Case Rep. 2020, 76, 415–420. [Google Scholar] [CrossRef] [PubMed]
- Chaves, C.; Reigota, C.; Vilão, F. Rare Cause of Cough-Induced Abdominal Pain. Cureus 2023, 15, e42530. [Google Scholar] [CrossRef]
- Ben Selma, A.; Genese, T. Spontaneous Rectus Sheath Hematoma: An Uncommon Cause of Acute Abdominal Pain. Am. J. Case Rep. 2019, 20, 163–166. [Google Scholar] [CrossRef]
- Wandeler-Meyer, K.; Bremerich, J.; Christ, M. Abdominaler Tumor nach anhaltendem Husten und entgleister Antikoagulation [Abdominal tumor after persistent coughing and uncontrolled anticoagulation]. Praxis (Bern. 1994) 2010, 99, 55–59. (In German) [Google Scholar] [CrossRef]
- Salem, N.; Sharpe, T.; Singh, A.; Bhandari, M. Formation of a Rectus Sheath Hematoma Secondary to COPD Exacerbation While Taking Dual Antiplatelet Therapy. Cureus 2021, 13, e18821. [Google Scholar] [CrossRef]
- Yun, S.; Cho, S.; Kim, Z.; Chong, H.U.; Kim, J.J. Surgical management of left upper quadrant sided rectus sheath hematoma occurred by coughing in a hemodialysis patient. Int. Surg. 2015, 100, 190–192. [Google Scholar] [CrossRef]
- İliklerden, Ü.H.; Kalaycı, T. Treatment of rectus sheath hematomas: Eight years of single-center experience with a review of literature. Ulus. Travma Acil Cerrahi Derg. 2021, 27, 222–230. [Google Scholar] [CrossRef]
- Elikowski, W.; Małek, M.; Klich, A.; Wróblewski, D.; Gizło, J. Krwiak pochewki mieśnia prostego brzucha--rzadko rozpoznawane powikłanie leczenia antykoagulacyjnego [Rectus sheath hematoma: A rarely diagnosed complication of anticoagulation therapy]. Pol. Merkur. Lekarski. 2012, 32, 309–312. (In Polish) [Google Scholar]
- Azharuddin, M.; Gupta, M.; Maniar, M. Subcutaneous Heparin Leads to Rectus Sheath Hematoma: A Rare Complication. Cureus 2018, 10, e2769. [Google Scholar] [CrossRef]
- Ibrahim, M.; Enambir, J.; Zhang, M. Spontaneous Rectus Sheath Hematoma Complicating Therapeutic Heparinization. Am. J. Ther. 2018, 25, e704–e705. [Google Scholar] [CrossRef]
- Guldner, G.T.; Smith, T.; Magee, E.M. Grey Turner Sign. In StatPearls [Internet]; StatPearls Publishing: Treasure Island, FL, USA, 2024. [Google Scholar] [PubMed]
- Fan, Z.; Zhang, Y. Grey Turner’s and Cullen’s signs induced by spontaneous hemorrhage of the abdominal wall after coughing. Ann. Surg. Treat. Res. 2017, 93, 115–117. [Google Scholar] [CrossRef] [PubMed][Green Version]
- Salemis, N.S. Spontaneous rectus sheath hematoma presenting as acute surgical abdomen: An important differential in elderly coagulopathic patients. Geriatr. Gerontol. Int. 2009, 9, 200–202. [Google Scholar] [CrossRef] [PubMed]
- Klingler, P.J.; Wetscher, G.; Glaser, K.; Tschmelitsch, J.; Schmid, T.; Hinder, R.A. The use of ultrasound to differentiate rectus sheath hematoma from other acute abdominal disorders. Surg. Endosc. 1999, 13, 1129–1134. [Google Scholar] [CrossRef] [PubMed]
- Noel, W.; Donahue, B.B. Cough Causing Abdominal Pain? A Rapid POCUS Diagnosis of Rectus Sheath Hematoma. POCUS J. 2023, 8, 121–123. [Google Scholar] [CrossRef]
- Salemis, N.S.; Gourgiotis, S.; Karalis, G. Diagnostic evaluation and management of patients with rectus sheath hematoma. A retrospective study. Int. J. Surg. 2010, 8, 290–293. [Google Scholar] [CrossRef]
- Khan, M.I.; Medhat, O.; Popescu, O.; Rastogi, A.; Thompson, T. Rectus sheath haematoma (RSH) mimicking acute intra-abdominal pathology. N. Z. Med. J. 2005, 118, U1523. [Google Scholar]
- Kocayigit, I.; Can, Y.; Sahinkus, S.; Aydın, E.; Vatan, M.B.; Kılıc, H.; Gunduz, H. Spontaneous rectus sheath hematoma during rivaroxaban therapy. Indian J. Pharmacol. 2014, 46, 339–340. [Google Scholar] [CrossRef]
- Buffone, A.; Basile, G.; Costanzo, M.; Veroux, M.; Terranova, L.; Basile, A.; Okatyeva, V.; Cannizzaro, M.T. Management of patients with rectus sheath hematoma: Personal experience. J. Formos. Med. Assoc. 2015, 114, 647–651. [Google Scholar] [CrossRef]
- Gallego, A.M.; Aguayo, J.L.; Flores, B.; Soria, T.; Hernandez, Q.; Ortiz, S.; González-Costea, R.; Parrilla, P. Ultrasonography and computed tomography reduce unnecessary surgery in abdominal rectus sheath haematoma. J. Br. Surg. 1997, 84, 1295–1297. [Google Scholar]
- Masuda, H.; Yamamoto, Y.; Kimura, S.; Matsuda, K.; Kobayashi, K.; Ae, R. Spontaneous Abdominal Wall Hematoma: Early Recurrence without an Anticoagulant in an Elderly Woman Receiving Chronic Corticosteroid Treatment. Intern. Med. 2024, 63, 2097–2100. [Google Scholar] [CrossRef]
- Angeramo, C.A.; Méndez, P.; Eyheremendy, E.P.; Schlottmann, F. Rectus sheath hematoma: Conservative, endovascular or surgical treatment? A single-center artificial neural network analysis. Eur. J. Trauma Emerg. Surg. 2022, 48, 2157–2164. [Google Scholar] [CrossRef] [PubMed]
- Tseng, G.S.; Liau, G.S.; Shyu, H.Y.; Chu, S.J.; Ko, F.C.; Wu, K.A. Expanding refractory rectus sheath hematoma: A therapeutic dilemma. Diagn. Interv. Radiol. 2012, 18, 139–141. [Google Scholar] [CrossRef] [PubMed]
- Becker, L.S.; Dewald, C.L.A.; Wacker, F.K.; Hinrichs, J.B. Spontane retroperitoneale und Rektusscheidenhämatome und ihre interventionelle Therapie: Ein Review [Spontaneous retroperitoneal and rectus sheath hematomas and their interventional therapy: A review]. Rofo 2024, 196, 163–175. [Google Scholar] [PubMed]
- Cacioppa, L.M.; Floridi, C.; Cocozza, M.A.; Bruno, A.; Modestino, F.; Martella, C.; Rosati, M.; Paccapelo, A.; Mosconi, C.; Candelari, R. The prominent role of percutaneous transarterial embolization in the treatment of anterior abdominal wall hematomas: The results of three high volume tertiary referral centers. Radiol. Med. 2023, 128, 1125–1137. [Google Scholar] [CrossRef]
- Tiralongo, F.; Giurazza, F.; Di Pietro, S.; Lucatelli, P.; Mosconi, C.; Contegiacomo, A.; Vacirca, F.; Ciaglia, S.; Cocozza, M.A.; Castiglione, D.G.; et al. Spontaneous Abdominal Wall Hematoma Treated with Percutaneous Transarterial Embolization: Diagnostic Findings, Procedural Outcome, and Efficacy-A Multicenter Study. J. Clin. Med. 2023, 12, 4779. [Google Scholar] [CrossRef]
- Mirica, R.; Ungureanu, C.; Vacarasu, A.; Ciotirla, D.; Iosifescu, R.; Zamfir, M.; Mirica, A.; Iordache, N.; Ginghina, O. Spontaneous hematomas, the new surgical challenge of COVID patients? Hematomas in COVID patients: Hematomas in COVID patients. Med. Sci. Discov. 2022, 9, 293–299. [Google Scholar] [CrossRef]






Disclaimer/Publisher’s Note: The statements, opinions and data contained in all publications are solely those of the individual author(s) and contributor(s) and not of MDPI and/or the editor(s). MDPI and/or the editor(s) disclaim responsibility for any injury to people or property resulting from any ideas, methods, instructions or products referred to in the content. |
© 2025 by the authors. Licensee MDPI, Basel, Switzerland. This article is an open access article distributed under the terms and conditions of the Creative Commons Attribution (CC BY) license (https://creativecommons.org/licenses/by/4.0/).
Share and Cite
Ungureanu, C.O.; Stănculea, F.C.; Iordache, A.; Burleanu, C.; Grigorean, V.T.; Ginghina, O.; Lițescu, M. Spontaneous Abdominal Wall Hematoma Following Violent Cough: A Rare but Severe Condition—Surgical Challenges and Outcomes Regarding Three Cases and a Literature Review. Reports 2025, 8, 49. https://doi.org/10.3390/reports8020049
Ungureanu CO, Stănculea FC, Iordache A, Burleanu C, Grigorean VT, Ginghina O, Lițescu M. Spontaneous Abdominal Wall Hematoma Following Violent Cough: A Rare but Severe Condition—Surgical Challenges and Outcomes Regarding Three Cases and a Literature Review. Reports. 2025; 8(2):49. https://doi.org/10.3390/reports8020049
Chicago/Turabian StyleUngureanu, Claudiu Octavian, Floris Cristian Stănculea, Alexandru Iordache, Cosmin Burleanu, Valentin Titus Grigorean, Octav Ginghina, and Mircea Lițescu. 2025. "Spontaneous Abdominal Wall Hematoma Following Violent Cough: A Rare but Severe Condition—Surgical Challenges and Outcomes Regarding Three Cases and a Literature Review" Reports 8, no. 2: 49. https://doi.org/10.3390/reports8020049
APA StyleUngureanu, C. O., Stănculea, F. C., Iordache, A., Burleanu, C., Grigorean, V. T., Ginghina, O., & Lițescu, M. (2025). Spontaneous Abdominal Wall Hematoma Following Violent Cough: A Rare but Severe Condition—Surgical Challenges and Outcomes Regarding Three Cases and a Literature Review. Reports, 8(2), 49. https://doi.org/10.3390/reports8020049

